Agrimonia eupatoria L. and Cynara cardunculus L. Water Infusions: Phenolic Profile and Comparison of Antioxidant Activities
Abstract
:1. Introduction
2. Results and Discussion
2.1. Extraction and Extract Composition
| Identification | Retention Time (Rt) (min) | [M − H]− | Fragments | % w/w |
|---|---|---|---|---|
| (a) Cynara cardunculus | ||||
| Quinic acid * | 1.5 | 191 | 0.615 ± 0.01 | |
| 1-caffeoyl quinic acid | 3.15 | 353 | 191, 179, 85 | 0.137 ± 0.01 |
| 3-caffeoyl quinic acid * | 5.2 | 353 | 191, 179, 135, 85 | 0.133 ± 0.01 |
| 4-caffeoyl quinic acid | 5.7 | 353 | 191, 173, 135, 93 | 1.646 ± 0.04 |
| 5-caffeoyl quinic acid * | 7 | 353 | 191,179, 135 | 0.320 ± 0.02 |
| Luteolin-7-O-glucoside * | 11 | 447 | 285, 267, 241, 217 | 1.603 ± 0.03 |
| Luteolin-7-O-glucuronide * | 11.6 | 461 | 285, 267, 241, 217 | 0.167 ± 0.02 |
| Luteolin-7-O-acetylglucoside | 13.5 | 489 | 285, 267, 241, 217 | 0.594 ± 0.02 |
| Caffeoil-hexoside | 2.1 | 341 | 179 | 0.093 ± 0.01 |
| Luteolin-7-O-rutinoside * | 10.3 | 593 | 285, 267, 241, 217 | 0.086 ± 0.01 |
| Apigenin-7-O-glucoside * | 13.1 | 431 | 269, 241, 225 | 0.131 ± 0.01 |
| Apigenin-7-O-rutinoside | 12.2 | 577 | 269, 241, 225 | 0.017 ± 0.01 |
| 1,3-dicaffeoyl quinic acid * | 4.3 | 515 | 353, 191, 179 | 0.083 ± 0.01 |
| 1,4-dicaffeoyl quinic acid * | 7.9 | 515 | 353, 179, 173 | 0.042 ± 0.01 |
| 3,4-dicaffeoyl quinic acid | 12 | 515 | 353, 299, 203, 179 | 0.189 ± 0.01 |
| 3,5-dicaffeoyl quinic acid * | 12.5 | 515 | 353, 203, 191, 179 | 1.823 ± 0.01 |
| 4,5-dicaffeoyl quinic acid | 13.7 | 515 | 353 | 0.268 ± 0.03 |
| Total amount | 7.85 | |||
| (b) Agrimonia eupatoria | ||||
| Quinic acid * | 1.5 | 191 | 111, 57 | 0.360 ± 0.01 |
| p-coumaric acid * | 4 | 163 | 1.330 ± 0.01 | |
| Catechin * | 13 | 289 | 245, 205, 175 | 0.200 ± 0.01 |
| Quercitin-acetil-glucoside | 9 | 505 | 445, 301, 271, 255, 179, 151 | 0.670 ± 0.02 |
| Rutin * | 11.0 | 609 | 301, 271, 255, 179, 151 | 0.155 ± 0.01 |
| Apigenin derivative | 12.5 | 447 | 307, 269 | 0.200 ± 0.01 |
| p-Coumaroil quinic acid | 8 | 337 | 163, 191 | 0.260 ± 0.01 |
| 5-caffeoyl quinic acid * | 7.1 | 353 | 191 | 0.510 ± 0.01 |
| Luteolin-7-O-glucuronide * | 12.5 | 461 | 285,257, 229 | 0.270 ± 0.01 |
| Caffeoil-hexoside | 2.1 | 341 | 179 | 0.100 ± 0.01 |
| Kaempferol-p-coumaroyl-hexoside | 15.6 | 593 | 285 | 0.180 ± 0.01 |
| Quercetin-acetyl-hexoside | 6.7 | 505 | 301 | 0.730 ± 0.01 |
| Procyanidin B-1 * | 27.0 | 577 | 425, 407, 289 | 0.180 ± 0.01 |
| Procyanidin B-3 | 29 | 577 | 425, 407, 289 | 0.140 ± 0.01 |
| Procyanidin-trimer-B | 8 | 865 | 695, 577, 407 | 0.870 ± 0.01 |
| Procyanidin tetramer-B | 15 | 1153 | 695, 577, 407 | 0.300 ± 0.02 |
| Quercetin3-O-glucoside * | 9.5 | 463 | 301, 271, 255, 179, 151 | 0.550 ±0.009 |
| Quercetin-3-O-rhamnoside * | 10.1 | 447 | 301, 271, 255, 179, 151 | 0.301 ± 0.01 |
| Quercetin-7-O-rhamnoside * | 11.2 | 447 | 301, 271, 255, 179, 151 | 0.260 ± 0.01 |
| Apigenin-7-O-glucuronide * | 11.8 | 445 | 269 | 0.190 ± 0.009 |
| luteolin-acetyl-hexoside | 10.5 | 489 | 447, 285 | 0.110 ± 0.009 |
| Total amount | 7.87 | |||
2.2. Cytotoxicity Test

2.3. CAT and SOD Levels

2.4. ABTS Assay
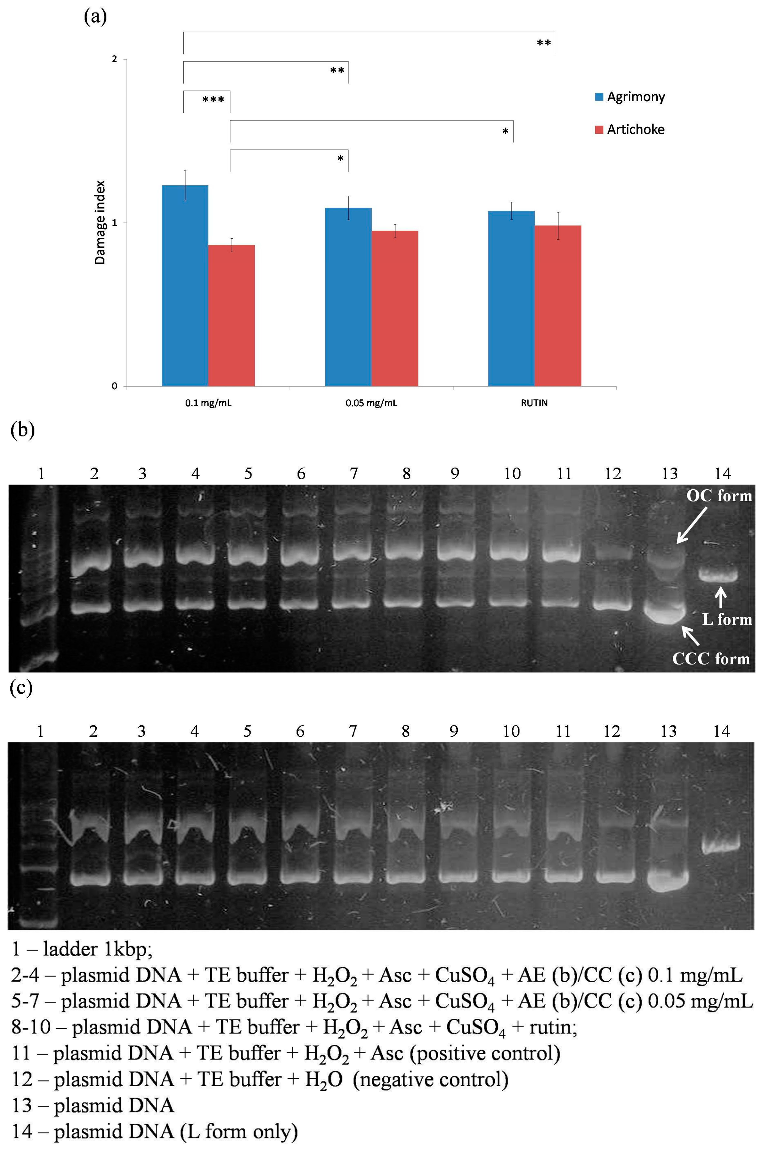
2.5. Oxidative Damage of Plasmid DNA
2.6. Skin Flap Viability


3. Experimental Section
3.1. High-Performance Liquid Chromatography-Mass Spectrometry (HPLC-MS)
3.2. Human Monocytic Leukemia Cell Line (THP1)
3.3. Cyotoxicity Test
3.4. CAT and SOD Activity and Expression
3.5. ABTS Assay
3.6. Determination of Antioxidant Activity Using Oxidative Damage of Plasmid DNA
3.7. In Vivo Skin Flap Viability Model
3.7.1. Macroscopic Measurement of Survived Area on the Skin Flap
3.7.2. Histological Examination
3.8. Statistical Analysis
4. Conclusions
Acknowledgments
Author Contributions
Conflicts of Interest
References
- Giada, M.L.R. Food phenolic compounds: Main classes, sources and their antioxidant power. In Oxidative Stress and Chronic Degenerative Diseases—A Role for Antioxidants; Morales-González, J.A., Ed.; InTech Publishing: Rijeka, Croatia, 2013; pp. 87–112. [Google Scholar]
- Correia, H.; Gonzáles-Paramás, A.; Amaral, M.T.; Santos-Buelga, C.; Batista, M.T. Polyphenolic profile characterization of Agrimonia eupatoria L. by HPLC with different detection devices. Biomed. Chromatogr. 2006, 20, 88–94. [Google Scholar] [CrossRef] [PubMed][Green Version]
- Cao, G.; Sofic, E.; Prior, R.L. Antioxidant and proxidant behavior of flavonoids: Structure-activity relationships. Free Radic. Biol. Med. 1997, 22, 749–760. [Google Scholar] [CrossRef]
- Lazo-de-la-Vega-Monroy, M.L.; Fernández-Mejía, C. Oxidative Stress in diabetes mellitus and the role of vitamins with antioxidant action. In Oxidative Stress and Chronic Degenerative Diseases—A Role for Antioxidants; Morales-González, J.A., Ed.; InTech Publishing: Rijeka, Croatia, 2013; pp. 209–239. [Google Scholar]
- Atoui, A.K.; Mansouri, A.; Boskou, G.; Kefalas, P. Tea and herbal infusions: Their antioxidant activity and phenolic profile. Food Chem. 2005, 89, 27–36. [Google Scholar] [CrossRef]
- Omar, E.A.; Kam, A.; Alqahtani, A.; Li, K.M.; Razmovski-Naumovski, V.; Nammi, S.; Chan, K.; Roufogalis, B.D.; Li, G.Q. Herbal medicines and nutracueticals for diabetic vascular complications: Mechanism of action and bioactive phytochemicals. Curr. Pharm. Des. 2010, 16, 3776–3807. [Google Scholar] [CrossRef] [PubMed]
- Hamik, A.; Atkins, G.B.; Jain, M.K. Molecular mechanism of diabetic vasculopathy. Drug Discov. Today Dis. Mech. 2005, 2, 11–17. [Google Scholar] [CrossRef]
- Yetik-Anacak, G.; Catravas, J.D. Nitric oxide and the endothelium: History and impact on cardiovascular disease. Vasc. Pharmacol. 2006, 45, 268–276. [Google Scholar] [CrossRef] [PubMed]
- Taylor-Fishwick, D.A. NOX, NOX who is there? The contribution of NADPH oxidase one to beta cell dysfunction. Front. Endocrinol. 2013, 4, 1–8. [Google Scholar] [CrossRef] [PubMed]
- Andriantsitohaina, R. Regulation of vascular tone by plant polyphenols: Role of nitric oxide. Gen. Physiol. Biophys. 1999, 18, 3–5. [Google Scholar] [PubMed]
- Correia, H.; Batista, M.T.; Dinis, T.C.P. The activity of an extract and fraction of Agrimonia eupatoria L. against reactive species. BioFactors 2007, 29, 91–104. [Google Scholar] [CrossRef] [PubMed]
- Kubínová, R.; Jankovská, D.; Bauerová, V. Antioxidant and α-glucosidase inhibition activities and polyphenol content of five species of Agrimonia genus. Acta Fytotech. Zootech. 2012, 2, 38–41. [Google Scholar]
- Copland, A.; Nahar, L.; TomLinson, C.T.M.; Hamilton, V.; Middleton, M.; Kumarasamy, Y.; Sarker, S.D. Antibacterial and free radical scavenging activity of the seed of Agrimonia eupatoria. Fitoterapia 2003, 74, 133–135. [Google Scholar] [CrossRef]
- Ivanova, D.; Gerova, D.; Chervenkov, T.; Yankova, T. Polyphenols and antioxidant capacity of Bulgarian medicinal plants. J. Ethnopharmacol. 2005, 96, 145–150. [Google Scholar] [CrossRef] [PubMed]
- Venskutonis, P.R.; Škėmaitė, M.; Ragažinskienė, O. Radical scavenging capacity of Agrimonia procera and Agrimonia eupatoria. Fitoterapia 2007, 78, 166–168. [Google Scholar] [CrossRef] [PubMed]
- Gião, M.S.; Gomes, S.; Mdureira, A.R.; Faria, A.; Pestana, D.; Calhau, C.; Pintado, M.E.; Azevedo, I.; Malcata, F.X. Effect of in vitro digestion upon the antioxidant capacity of aqueous extracts of Agrimonia eupatoria, Rubus idaeus, Salvia sp. and Satureja montana. Food Chem. 2012, 131, 761–767. [Google Scholar] [CrossRef]
- Gouveia, S.C.; Castilho, P.C. Phenolic composition and antioxidant capacity of cultivated artichoke, Madeira cardoon and artichoke- based dietary supplements. Food Res. Int. 2012, 48, 712–724. [Google Scholar] [CrossRef]
- Toma, C.C.; Pribac, G.C.; Neag, T.A.; Câmpean, R.F.; Olah, N.K. Correlation between the polyphenol content and antioxidant effect of Cynara scolymus L. mother tincture. Studia Univ. VG SSV 2013, 23, 95–100. [Google Scholar]
- Lutz, M.; Henríquez, C.; Escobar, M. Chemical composition and antioxidant properties of mature and baby artichokes (Cynara scolymus L.), raw and cooked. J. Food Comp. Anal. 2011, 24, 49–54. [Google Scholar] [CrossRef]
- Pereira, C.; Calhelha, R.C.; Barros, L.; Ferreira, I.C.F.R. Antioxidant properties, anti-hepatocellular carcinoma activity and hepatoxicity of artichoke, milk thistle and borututu. Ind. Crops Prod. 2013, 49, 61–65. [Google Scholar] [CrossRef]
- Gray, A.; Flatt, P.R. Actions of the traditional anti-diabetic plant, Agrimonia eupatoria (agrimony): Effects on hyperglycaemia, cellular glucose metabolism and insulin secretion. Br. J. Nutr. 1998, 80, 109–114. [Google Scholar] [CrossRef] [PubMed]
- Patel, D.K.; Prasad, S.K.; Kumar, R.; Hemalatha, S. An overview on antidiabetic medicinal plants having insulin mimetic property. Asian Pac. J. Trop. Biomed. 2012, 2, 320–330. [Google Scholar] [CrossRef]
- Yoon, S.J.; Koh, E.J.; Kim, C.S.; Zee, O.P.; Kwak, J.H.; Jeong, W.J.; Kim, J.H.; Lee, S.M. Agrimonia eupatoria protects against chronic ethanol-induces liver injury in rats. Food Chem. Toxicol. 2012, 50, 2335–2341. [Google Scholar] [CrossRef] [PubMed]
- Lee, K.Y.; Hwang, L.; Jeong, E.J.; Kim, S.H.; Kim, Y.C.; Sung, S.H. Effect of neuroprotective flavonoids of Agrimonia eupatoria on glutamate-induced oxidative injury to HT22 hippocampal cells. Biosci. Biotechnol. Biochem. 2010, 74, 1704–1706. [Google Scholar] [CrossRef] [PubMed]
- Heidarian, E.; Soofiniya, Y. Hypolipidemic and hypoglycemic effects of aerial part of Cynara scolymus in streptozotocin-induced diabetic rats. J. Med. Plants Res. 2011, 5, 2717–2723. [Google Scholar]
- Nazni, P.; Vijayakumar, T.P.; Alagianambi, P.; Amirthaveni, M. Hypoglycemic and hypolipidemic effect of Cynara scolymus among selected type 2 diabetic individuals. Pak. J. Nutr. 2006, 5, 147–151. [Google Scholar] [CrossRef]
- Fantini, N.; Colombo, G.; Giori, A.; Riva, A.; Morazzoni, P.; Bombardelli, E.; Carai, M.A.M. Evidence of glycemia-lowering effect by Cynara scolymus L. extract in normal and obese rats. Phytother. Res. 2011, 25, 463–466. [Google Scholar] [CrossRef] [PubMed]
- Shimoda, H.; Ninomiya, K.; Nishida, N.; Yoshino, T.; Morikawa, T.; Matsuda, H.; Yoshikawa, M. Anti-hyperlipimedicsesquiterpenes and new sesquiterpene glycosides from the leaves of artichoke (Cybara scolymus L.): Structure requirement and mode of action. Bioorg. Med. Chem. Lett. 2003, 13, 223–228. [Google Scholar] [CrossRef]
- Bundy, R.; Walker, A.F.; Middleton, R.W.; Wallis, C.; Simpson, H.C.R. Artichoke leaf extract (Cynara scolymus) reduces plasma cholesterol on otherwise healthy hypercholesterolemic adults: A randomized, double blind placebo controlled trial. Phytomed 2008, 15, 668–675. [Google Scholar] [CrossRef] [PubMed]
- Michel, P.; Dobrowolska, A.; Kicel, A.; Owczarek, A.; Bazylko, A.; Granica, S.; Piwowarski, J.P.; Olszewska, A. Polyphenolic profile, antioxidant and anti-inflammatory activity of eastern teaberry (Gaultheria procumbens L.) leaf extracts. Molecules 2014, 19, 20498–20520. [Google Scholar] [CrossRef] [PubMed]
- Dai, J.; Mumper, R.J. Plant Phenolics: Extraction, analysis and their antioxidant and anticancer properties. Molecules 2010, 15, 7313–7352. [Google Scholar] [CrossRef] [PubMed]
- Naczk, M.; Shahidi, F. Extraction and analysis of phenolics in food. J. Chromatogr. A 2004, 1054, 95–111. [Google Scholar] [CrossRef]
- Pandino, G.; Lombardo, S.; Mauromicale, G.; Williamson, G. Phenolic acids and flavonoids in leaf and floral stem of cultivated and wild Cynara cardunculus L. genotypes. Food Chem. 2011, 126, 417–422. [Google Scholar] [CrossRef]
- Granica, S.; Krupa, K.; Kłębowska, A.; Kiss, A.K. Development and validation of HPLC-DAD-CAD-MS3 method for qualitative and quantitative standardization of polyphenols in Agrimoniae eupatoriae herba (Ph. Eur). J. Pharm. Biomed. Anal. 2013, 86, 112–122. [Google Scholar] [CrossRef] [PubMed]
- Muzykantov, V.R. Targeting of superoxide dismutase and catalase to vascular endothelium. J. Control. Release 2001, 71, 1–21. [Google Scholar] [CrossRef]
- Chávez, M.D.; Lakshmanan, N.; Kavdia, M. Impact of superoxide dismutase on nitric oxide and peroxynitrite levels in the microcirculation—A computational model. In Proceedings of the 29th Annual International Conference of the IEEE Engineering in Medicine and Biology Society, Lyon, France, 23–26 August 2007; IEEE: New York, NY, USA, 2007; pp. 1022–1026. [Google Scholar]
- Venskutonis, P.R.; Škėmaitė, M.; Sivik, B. Assessment of radical scavenging capacity of Agrimonia extracts isolated by supercritical carbon dioxide. J. Supercrit. Fluids 2008, 45, 231–237. [Google Scholar] [CrossRef]
- Topolska, D.; Valachova, K.; Nagy, M.; Soltes, L. Determination of antioxidative properties of herbal extracts: Agrimonia herba, Cynare folium, and Ligustri folium. Neuroendocrinol. Lett. 2014, 35 (Suppl. 2), 192–196. [Google Scholar]
- Góth, L.; Rass, P.; Páy, A. Catalase enzyme mutations and their association with diseases. Mol. Diagn. 2004, 8, 141–149. [Google Scholar] [CrossRef] [PubMed]
- TremL, J.; Šmejkal, K.; Hošek, J.; ŽemLička, M. Determination of antioxidant activity using oxidative damage to plasmid DNA—Pursuit of solvent optimization. Chem. Pap. 2013, 67, 484–489. [Google Scholar] [CrossRef]
- Vasilenko, T.; Slezák, M.; Novotný, M.; Kováč, I.; Durkáč, J.; Tomková, I.; Torma, N.; Vrzgula, A.; Lenhardt, L.; Levkut, M.; et al. Pre- and/or postsurgical administration of estradiol benzoate increases skin flap viability in female rats. Aesthet. Plast. Surg. 2013, 37, 1003–1009. [Google Scholar] [CrossRef] [PubMed]
- Xu, R.; Ge, J.; Lei, Y.; Lu, X. Improvement effect of estrogen on flap reperfusion injury and blood supply. Zhongguo Xiu Fu Chong Jian Wai Ke Za Zhi 2009, 23, 964–968. [Google Scholar] [PubMed]
- Kane, A.J.; Barker, J.E.; Mitchell, M.G.; Romero, R.; Messina, A.; Wagh, M.; Fraulin, F.O.; Morrison, W.A.; Stewart, A.G. Inducible nitric oxide synthase (iNOS) activity promotes ischaemic skin flap survival. Br. J. Pharmacol. 2001, 132, 1631–1638. [Google Scholar] [CrossRef] [PubMed]
- Ganji, S.H.; Qin, S.; Zhang, L.; Kamanna, V.S.; Kashyap, M.L. Niacin inhibits vascular oxidative stress, redox-sensitive genes, and monocyte adhesion to human aortic endothelial cells. Atherosclerosis 2009, 202, 68–75. [Google Scholar] [CrossRef] [PubMed]
- Pharmacopoeia Bohemoslovaca, 4th ed.; AVICENUM: Prague, Czech Republic, 1987; Volume 3, pp. 43–44.
- Sample Availability: Samples of the extracts are available from the authors.
© 2015 by the authors. Licensee MDPI, Basel, Switzerland. This article is an open access article distributed under the terms and conditions of the Creative Commons by Attribution (CC-BY) license ( http://creativecommons.org/licenses/by/4.0/).
Share and Cite
Kuczmannová, A.; Gál, P.; Varinská, L.; Treml, J.; Kováč, I.; Novotný, M.; Vasilenko, T.; Dall’Acqua, S.; Nagy, M.; Mučaji, P. Agrimonia eupatoria L. and Cynara cardunculus L. Water Infusions: Phenolic Profile and Comparison of Antioxidant Activities. Molecules 2015, 20, 20538-20550. https://doi.org/10.3390/molecules201119715
Kuczmannová A, Gál P, Varinská L, Treml J, Kováč I, Novotný M, Vasilenko T, Dall’Acqua S, Nagy M, Mučaji P. Agrimonia eupatoria L. and Cynara cardunculus L. Water Infusions: Phenolic Profile and Comparison of Antioxidant Activities. Molecules. 2015; 20(11):20538-20550. https://doi.org/10.3390/molecules201119715
Chicago/Turabian StyleKuczmannová, Anika, Peter Gál, Lenka Varinská, Jakub Treml, Ivan Kováč, Martin Novotný, Tomáš Vasilenko, Stefano Dall’Acqua, Milan Nagy, and Pavel Mučaji. 2015. "Agrimonia eupatoria L. and Cynara cardunculus L. Water Infusions: Phenolic Profile and Comparison of Antioxidant Activities" Molecules 20, no. 11: 20538-20550. https://doi.org/10.3390/molecules201119715
APA StyleKuczmannová, A., Gál, P., Varinská, L., Treml, J., Kováč, I., Novotný, M., Vasilenko, T., Dall’Acqua, S., Nagy, M., & Mučaji, P. (2015). Agrimonia eupatoria L. and Cynara cardunculus L. Water Infusions: Phenolic Profile and Comparison of Antioxidant Activities. Molecules, 20(11), 20538-20550. https://doi.org/10.3390/molecules201119715

