A Biomorphic Model of Cortical Column for Content—Based Image Retrieval
Abstract
:1. Introduction
2. Review of the Problem of Content-Based Image Retrieval
2.1. Scheme of Content-Based Image Retrieval
An Example of a Bionic Algorithm for Content-Based Image Retrieval
3. Biomorphic Models of Neural Networks. Development of Algorithms and Technical Systems for Information Processing
3.1. From Experimental Data to Brain Theory
3.1.1. Mind as a Neural Hypernetwork
3.1.2. Development of Formalized Models for Describing Living Systems
3.2. Homogeneous Distributed Neuron-Like System—A Model of a Cortical Column Firing during Feature Extraction
3.3. Model of Associative Memory in Ensembles of Single Neurons
- Selectivity;
- Clustering;
- The acquisition of memories.
3.4. Structural Modeling of Neural Networks
3.4.1. Topological Design of Fast Neural Networks
3.4.2. Htm Structural Model of Interacting Columns
3.4.3. Deep Learning Networks
4. The System of Content-Based Image Retrieval—A Biomorphic Structural and Functional Model of Neural Columns of Information Processing in Living System
4.1. System of Content-Based Image Retrieval: General Description
4.2. System of Content-Based Image Retrieval: Algorithms
4.2.1. Weak Classifier
4.2.2. Strong Classifier
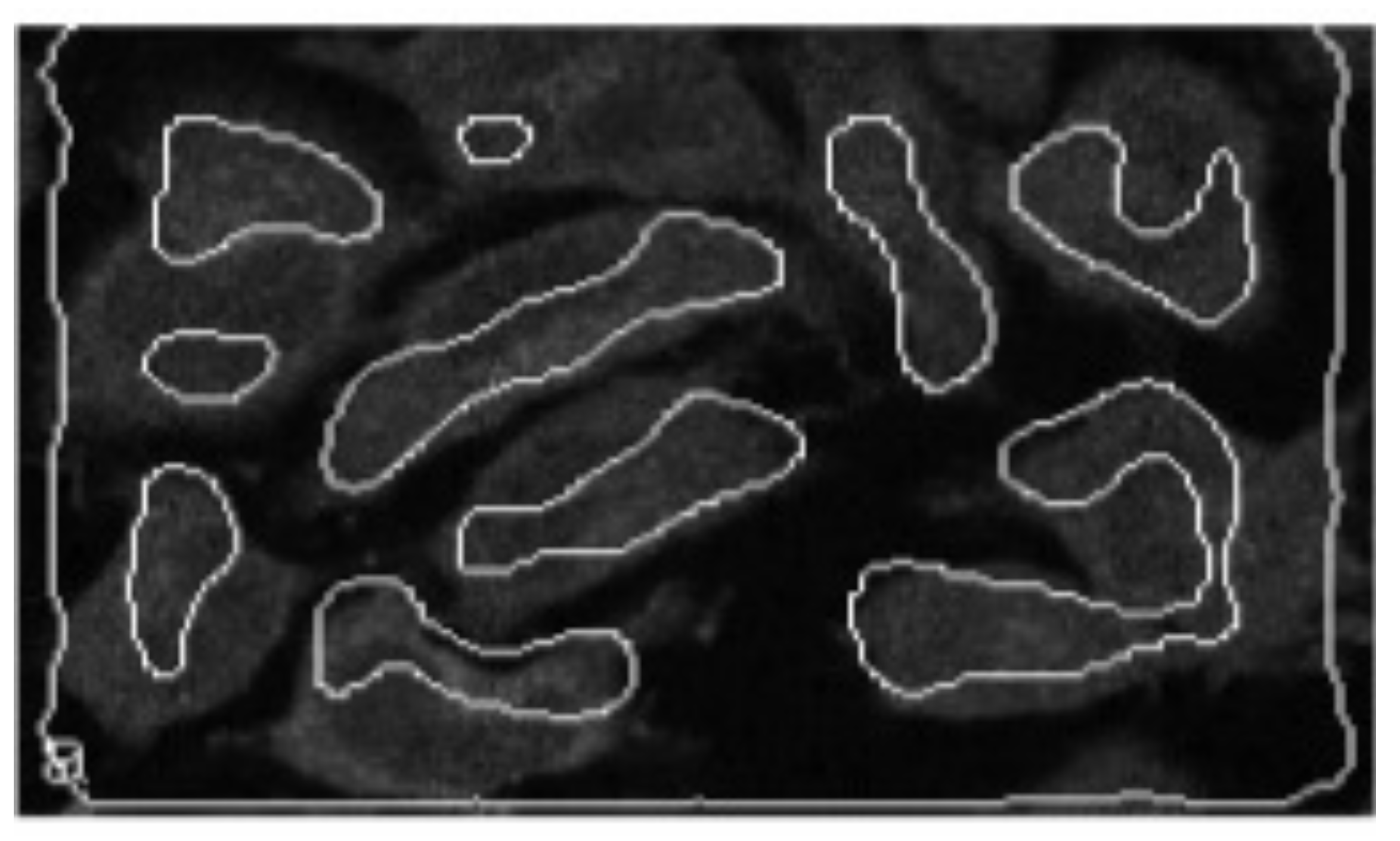
5. Results
5.1. System for Content-Based Image Retrieval Is a Biomorphic Model of Cortical Column
- The image arrives at the input layer.
- Polymorphic layer —the polymorphic layer consists of neuron-like elements (neurons), which summarize information from a certain area of a rectangular image of arbitrary size. A neuron-like element is a formal threshold neuron that sums up incoming signals and has a nonlinear threshold activation function [35,39,66,67,68]. Each neuron-like element in this layer can be connected to a different number of neurons within the layer, from 4 to 1024. The function in the system is coding brightness, gradients, texture and color.
- The inner layer of pyramidal cells (inner pyramidal layer 5) contains neurons connected to a different number of neurons of the polymorphic layer (from two to nine), forming its receptive field, and, depending on their state, generates a code description of this state. The function in the system is the layer of weak classifiers.
- The code description of the state of the neurons of the inner pyramidal layer is transmitted to one or more neurons of the inner granular layer , which, depending on the state of this code, are activated exclusively for a given type of signal. The “meaningful” activation of the neurons of this layer becomes possible as a result of training the entire neural network. The function in the system is the layer of strong classifiers.
- The neurons of the outer layer of pyramidal cells (outer pyramidal layer 3) are the classical artificial neurons of the “integrate-and-fire” type which are connected with several neurons of the previous layer. The function in the system is that the hidden layer provides spatial connection of the decisions of cascades of strong classifiers.
- Neuron-like elements of the outer granular layer are also classical artificial neurons of the “integrate-and-fire” type, but they collect information from neurons of the previous layer and from neurons of their own layer, which belong to other cortical columns. One neuron is present in this layer as a rule. However, the case of two neurons mutually reinforcing or suppressing the activity of the entire hierarchy is also considered. The function in the system is the output layer, which contains locations of the found objects, their properties and the results of pixel-by-pixel segmentation.
- Elements of the sixth layer are axon trees of neurons of the fifth layer , which transmit activating or suppressing signals to adjacent columns.
5.2. Visualization of the Growth of the Cortical Column in the Learning Process and Column Firing in the Recognition Process
- Objective;
- The number of neuron-like elements in different layers;
- Thresholds of firing neuron-like elements in different layers;
- Activation functions of neuron-like elements;
- Neuron-like elements distribution over the field of view.
5.3. Capabilities of the Biomorphic Model of the Cortical Column
- Face.xml—a cortical column that responds to a person’s face from the front.
- FaceHalfProfile.xml—a cortical column responding to a human half-face.
- CarSide.xml—a cortical column responding to a car from the side.
- CarBack.xml—a cortical column responding to a car from behind.
- CarFront.xml—a cortical column responding to a vehicle from the front.
- CarHalfProfileBack.xml—a cortical column responding to a vehicle from the rear side.
- CarHalfProfileFront.xml—a cortical column responding to a vehicle from the front side.
- PedistrainFront.xml—a cortical column responding to a pedestrian from the front.
- PedistrainBack.xml—a cortical column responding to a pedestrian from behind.
- PedistrainProfile.xml—a cortical column responding to a pedestrian from the side
6. Conclusions
7. Research Prospects
Author Contributions
Funding
Institutional Review Board Statement
Informed Consent Statement
Data Availability Statement
Acknowledgments
Conflicts of Interest
Appendix A. Structural and Functional Modules of Living Systems for Processing Visual Signals as a Biological Prototype of Elements of Artificial Cognitive Systems—Overview
Appendix A.1. Experimental Data of the 1930s
Appendix A.2. Experimental Data of the 1960s–1970s
Appendix A.3. Experimental Data for the 1970s–1990s
Appendix A.4. Experimental Data for the 1990s–2000s

- Common structural neurogenesis;
- Restriction of excitation patterns by inhibitory neurons;
- Synchronization of generated impulse flows;
- Afferentation-dependent correlation between impulse activity of neurons;
- Common sensory (receptive) space;
- Ability to encode and memorize information;
- Adherence to the “emergence” principle (the results of the work of such a local neural network will not be equivalent to the results of the activity of its constituent cells, but correspond to a qualitatively new level of information processing, different from the level of individual neurons).
Appendix A.5. Experimental Data on Brain Research in the 2000s
Appendix A.6. World Brain Research Programs
| Projects | Main Goals and Objectives |
|---|---|
| European Human Brain Project (HBP) [98] | Big Neural Data neuroinformatics; Integration and Big Neural Data analysis; Computational modeling; Development of a neuromorphic model. |
| U.S. BRAIN Initiative Brain Research through Advancing Innovative Neurotechnologies [99] | Development of new neurotechnologies for investigation and control of the brain; Computational modeling and its higher cognitive functions. |
| Japan Brain Project Brain Mapping by Integrated Neurotechnologies for Disease Studies (MINDS) [100] | Primate Brain Mapping (Capuchin Macaques); Innovative neurotechnology for brain research; Brain disease biomarkers and clinical studies. |
| China Brain Project | Fundamental neural principles |
| of cognitive functions; Brain-like intelligent technology; Brain diseases; Primate modeling and early diagnosis. | |
| Korea Brain Project | Systemic mechanisms of cognitive functions and brain diseases; Nerve networks and neuroimaging. |
Appendix A.7. Properties of a Real Cortical Column Inherent Specifically to Our Developed System of Content Base Image Retrieval
| № | Neurophysiological Data on the Columnar Structure of Information Processing Modules | References | System of Content-Based Analysis |
|---|---|---|---|
| 1. | Vertical ordering of neurons in a column | [44,46,62,63,71,73,74,90,93] | Available. |
| 2. | Formation as a result of neurogenesis | [44,46,63,71,73,74] | Defined as a multilayer neural network |
| 3. | Formation depends on incoming afferentation. | [63] | Formed in the learning process for subsequent response to an external signal of a given type. |
| 4. | The activity of neurons in one column leads to inhibition of neurons in adjacent columns of both the same and other modalities. | [62] | There is a threshold for decision making which is determined in the learning process or column formation. If there is no object, then there is no trigger signal. |
| 5. | The ability to encode and remember information. | [44,62,63,90,93] | Available. |
| 6. | Common sensory (receptive) space. | [44,46,62,63,71,73,74,90,93] | One column for one signal detector. |
| 7. | The principle of emergence: when neurons are combined into a column, the system acquires new properties (for example, directional sensitivity). | [28,32] | Formation of a strong classifier from a weak classifiers. When the elements are combined, the system becomes an object detector. |
| 8. | The column is finally formed in the learning process by modifying synaptic connections. | [44,46,62,63,71,73,74,90,93] | Modification of the weights of weak classifiers in the AdaBoost process. |
| 9. | The column is adgusted to extract an object or signal. | [44,74] | It is possible to create a detector of any “complex” signal, for example, faces, face perspective, elements of faces, cars, license plates of cars and railway cars, numbers, etc. |
| 10. | Formation of “conceptual cells” and connections between concepts in different areas of the cortex (grandmother neurons). | [42,76,78,79,80,81] | Space mapping. Triggering of the same type of detectors in different areas of the image allows connecting the triggering areas of the detectors into fields. |
| 11. | Stimulating multiple neurons in a cognitive group can induce selective behavior. | [82,83] | This property is missing. There are no descending connections in the system. |
References
- Available online: https://github.com/telnykha/trains_dataset/ (accessed on 2 November 2021).
- Anst, T.; Keller, I.; Lutz, H. Video Analytics. Myths and Reality, 3rd ed.; Security Focus: Moscow, Russia, 2019. [Google Scholar]
- Gonzalez, R.; Woods, R. Digital Image Processing, 4th ed.; Pearson: London, UK, 2017. [Google Scholar]
- Tyagi, V. Content-Based Image Retrieval: An Introduction. In Content-Based Image Retrieval; Springer: Berlin/Heidelberg, Germany, 2017; pp. 1–48. [Google Scholar]
- Bani, N.T.; Fekri-Ershad, S. Content-Based Image Retrieval Based on Combination of Texture and Colour Information Extracted in Spatial and Frequency Domains. Electron. Libr. 2019, 37, 650–666. [Google Scholar] [CrossRef]
- Hirwane, R. Fundamental of Content Based Image Retrieval. J. Comput. Sci. Inf. Technol. 2012, 3, 114–116. [Google Scholar]
- Dorogov, A.Y.; Kurbanov, R.G.; Razin, V.V. Fast Semantic Classification Algorithm for JPEG Images. In Proceedings of the VIII All-Russsian Scientific and Technical Conference “Neuroinformatics-2006”, Moscow, Russia, 24–27 January 2006; MEPhI: Moscow, Russia, 2006; pp. 124–145. [Google Scholar]
- Bhaumik, H.; Bhattacharyya, S.; Nath, M.D.; Chakraborty, S. Hybrid Soft Computing Approaches to Content Based Video Retrieval: A Brief Review. Appl. Soft Comput. 2016, 46, 1008–1029. [Google Scholar] [CrossRef]
- Hu, Y.H.; Hwang, J.-N. Handbook of Neural Network Signal Processing; CRC Press: Boca Raton, FL, USA, 2018. [Google Scholar]
- Rui, Y.; Huang, T.S.; Mehrotra, S. Content-Based Image Retrieval with Relevance Feedback in MARS. In Proceedings of the International Conference on Image Processing, Santa Barbara, CA, USA, 26–29 October 1997; Volume 2, pp. 815–818. [Google Scholar]
- Gevers, T.; Smeulders, A.W.M. Pictoseek. Combining Color and Shape Invariant Features for Image Retrieval. IEEE Trans. Image Process. 2000, 9, 102–119. [Google Scholar] [CrossRef]
- Ouvrard, X.; Goff, J.-M.L.; Marchand-Maillet, S. The hyperbaggraph dataedron: An enriched browsing experience of datasets. In Proceedings of the International Conference on Current Trends in Theory and Practice of Informatics, Limassol, Cyprus, 20–24 January 2020; Springer: Cham, Switzerland, 2020; pp. 362–374. [Google Scholar]
- Naphade, M.R.; Huang, T.S. Extracting Semantics from Audio-Visual Content: The Final Frontier in Multimedia Retrieval. IEEE Trans. Neural Netw. 2002, 13, 793–810. [Google Scholar] [CrossRef] [PubMed]
- Srivastava, P.; Khare, A. Integration of Wavelet Transform, Local Binary Patterns and Moments for Content-Based Image Retrieval. J. Vis. Commun. Image Represent. 2017, 42, 78–103. [Google Scholar] [CrossRef]
- Wei, G.; Cao, H.; Ma, H.; Qi, S.; Qian, W.; Ma, Z. Content-Based Image Retrieval for Lung Nodule Classification Using Texture Features and Learned Distance Metric. J. Med. Syst. 2018, 42, 13. [Google Scholar] [CrossRef] [PubMed]
- Jisha, K.P.; Thusnavis, B.M.I.; Vasuki, A. An Image Retrieval Technique Based on Texture Features Using Semantic Properties. In Proceedings of the 2013 International Conference on Signal Processing, Image Processing and Pattern Recognition, Innsbruck, Austria, 12–14 February 2013; pp. 248–252. [Google Scholar]
- Wang, L.; Zhou, T.H.; Lee, Y.K.; Cheoi, K.J.; Ryu, K.H. An Efficient Refinement Algorithm for Multi-Label Image Annotation with Correlation Model. Telecommun. Syst. 2015, 60, 285–301. [Google Scholar] [CrossRef]
- Wen, H.; Zhan, Y. Content-Based Image Retrieval Base on Relevance Feedback. In AIP Conference Proceedings; AIP Publishing LLC: New York, NY, USA, 2017; Volume 1864, p. 20039. [Google Scholar]
- Muneesawang, P.; Guan, L. Automatic Machine Interactions for Content-Based Image Retrieval Using a Self-Organizing Tree Map Architecture. IEEE Trans. Neural Netw. 2002, 13, 821–834. [Google Scholar] [CrossRef]
- Mirkes, E.M. Principal Component Analysis and Self-Organizing Maps: Applet; University of Leicester: Leicester, UK, 2011. [Google Scholar]
- Putzu, L.; Piras, L.; Giacinto, G. Convolutional Neural Networks for Relevance Feedback in Content Based Image Retrieval. Multimed. Tools Appl. 2020, 79, 26995–27021. [Google Scholar] [CrossRef]
- Lotter, W.; Kreiman, G.; Cox, D. Deep Predictive Coding Networks for Video Prediction and Unsupervised Learning. In Proceedings of the 5th International Conference on Learning Representations (ICLR), Toulon, France, 24–26 April 2017; Conference Track Proceedings; OpenReview.net. Available online: https://openreview.net/forum?id=B1ewdt9xe (accessed on 2 November 2021).
- Wang, H.; Raj, B. On the Origin of Deep Learning. arXiv 2017, arXiv:1702.07800. [Google Scholar]
- Dorogov, A.Y. Regular configurable transformations with the topology og deep learning neural neyworks. In Proceedings of the Neuroinformatics, Its Applications and Data Analysis, Krasnoyarsk, Russia, 27–29 September 2019; Gorban, A., Senashova, M., Eds.; Institute of Computational Modeling SB RAS: Krasnoyarsk, Russia, 2019; pp. 37–44. [Google Scholar]
- Dorogov, A. Theory and Design of Fast Tunable Transformations and Loosely Coupled Neural Networks; Politekhnika: St. Petersburg, Russia, 2014. [Google Scholar]
- Samarin, A.; Podladchikova, L.; Petrushan, M.; Shaposhnikov, D.; Gavriley, Y. Algorithms for Active Spatially Heterogeneous Vision; Southern Federal University Publishing House: Rostov-on-Don, Russia, 2020. [Google Scholar]
- Samarin, A.I.; Podladchikova, L.N.; Petrushan, M.V.; Shaposhnikov, D.G. Active Vision: From Theory to Application. Opt. Mem. Neural Netw. 2019, 28, 185–191. [Google Scholar] [CrossRef]
- Anokhin, K. Brain. Results of the Year 2019. Lecture from 15 February 2020. Available online: https://www.youtube.com/watch?v=aJgTwDhzrVY (accessed on 2 November 2021).
- He, Z.; Han, D.; Efimova, O.; Guijarro, P.; Yu, Q.; Oleksiak, A.; Jiang, S.; Anokhin, K.; Velichkovsky, B.; Grünewald, S. Comprehensive Transcriptome Analysis of Neocortical Layers in Humans, Chimpanzees and Macaques. Nat. Neurosci. 2017, 20, 886–895. [Google Scholar] [CrossRef] [PubMed]
- Anokhin, K.V. Connectome and Cognitom: Bridging the Gap Between Brain and Mind. In Proceedings of the Seventh International Conference on Cognitive Science, Svetlogorsk, Russia, 20–24 June 2016; pp. 18–19. [Google Scholar]
- Yakhno, V.G.; Parin, S.B.; Polevaya, S.A.; Nuidel, I.V.; Shemagina, O.V. Who Says Formalized Models are Appropriate for Describing Living Systems? In Advances in Neural Computation, Machine Learning, and Cognitive Research IV. Neuroinformatics 2020, October; Kryzhanovsky, B., Dunin-Barkowski, W., Redko, V., Tiumentsev, Y., Eds.; Studies in Computational Intelligence; Springer: Cham, Switzerland, 2021; Volume 925, pp. 10–33. [Google Scholar]
- Anokhin, P.K. Systemic Mechanisms of Higher Nervous Activity: Selected Works; Nauka: Moscow, Russia, 1979. [Google Scholar]
- Brecht, M.; Schneider, M.; Sakmann, B.; Margrie, T.W. Whisker Movements Evoked by Stimulation of Single Pyramidal Cells in Rat Motor Cortex. Nature 2004, 427, 704–710. [Google Scholar] [CrossRef]
- Marshel, J.H.; Kim, Y.S.; Machado, T.A.; Quirin, S.; Benson, B.; Kadmon, J.; Raja, C.; Chibukhchyan, A.; Ramakrishnan, C.; Inoue, M. Cortical Layer–Specific Critical Dynamics Triggering Perception. Science 2019, 365, eaaw5202. [Google Scholar] [CrossRef] [PubMed]
- Yakhno, V.G. Basic Models of Hierarchy Neuron-like Systems and Ways to Analyse Some of Their Complex Reactions. Opt. Mem. Netw. 1995, 4, 141–155. [Google Scholar]
- Wilson, H.R.; Cowan, J.D. A Mathematical Theory of the Functional Dynamics of Cortical and Thalamic Nervous Tissue. Kybernetik 1973, 13, 55–80. [Google Scholar] [CrossRef]
- Wilson, H.R.; Cowan, J.D. Excitatory and Inhibitory Interactions in Localized Populations of Model Neurons. Biophys. J. 1972, 12, 1–24. [Google Scholar] [CrossRef] [Green Version]
- Amari, S. Dynamics of Pattern Formation in Lateral-Inhibition Type Neural Fields. Biol. Cybern. 1977, 27, 77–87. [Google Scholar] [CrossRef] [PubMed]
- Belliustin, N.S.; Kuznetsov, S.O.; Nuidel, I.V.; Yakhno, V.G. Neural Networks with Close Nonlocal Coupling for Analyzing Composite Image. Neurocomputing 1991, 3, 231–246. [Google Scholar] [CrossRef]
- Tyukin, I.; Gorban, A.N.; Calvo, C.; Makarova, J.; Makarov, V.A. High-Dimensional Brain: A Tool for Encoding and Rapid Learning of Memories by Single Neurons. Bull. Math. Biol. 2019, 81, 4856–4888. [Google Scholar] [CrossRef] [PubMed] [Green Version]
- Gorban, A.N.; Makarov, V.A.; Tyukin, I.Y. The Unreasonable Effectiveness of Small Neural Ensembles in High-Dimensional Brain. Phys. Life Rev. 2019, 29, 55–88. [Google Scholar] [CrossRef]
- Gross, C.G. Genealogy of the “Grandmother Cell”. Neuroscience 2002, 8, 512–518. [Google Scholar]
- Gorban, A.N.; Makarov, V.A.; Tyukin, I.Y. Symphony of High-Dimensional Brain. arXiv 2019, arXiv:1906.12222. [Google Scholar] [CrossRef] [PubMed] [Green Version]
- Mountcastle, V.B. The Columnar Organization of the Neocortex. Brain J. Neurol. 1997, 120, 701–722. [Google Scholar] [CrossRef] [Green Version]
- Wang, X.-J. Macroscopic gradients of synaptic excitation and inhibition in the neocortex. Nat. Rev. Neurosci. 2020, 21, 169–178. [Google Scholar] [CrossRef]
- Mountcastle, V.B. Modality and Topographic Properties of Single Neurons of Cat’s Somatic Sensory Cortex. J. Neurophysiol. 1957, 20, 408–434. [Google Scholar] [CrossRef]
- Escobar, W.A.; Slemons, M. Could Striate Cortex Microcolumns Serve as the Neural Correlates of Visual Consciousness? Athens J. Sci. 2020, 7, 127–142. [Google Scholar] [CrossRef]
- Dovrolis, C. A Neuro-Inspired Architecture for Unsupervised Continual Learning Based on Online Clustering and Hierarchical Predictive Coding. arXiv 2018, arXiv:1810.09391. [Google Scholar]
- Hawkins, J.; Ahmad, S.; Cui, Y. A Theory of How Columns in the Neocortex Enable Learning the Structure of the World. Front. Neural Circ. 2017, 11, 81. [Google Scholar] [CrossRef] [PubMed] [Green Version]
- Krestinskaya, O.; Ibrayev, T.; James, A.P. Hierarchical Temporal Memory Features with Memristor Logic Circuits for Pattern Recognition. IEEE Trans. Comput. Des. Integr. Circ. Syst. 2017, 37, 1143–1156. [Google Scholar] [CrossRef]
- Edwards, J.L.; Saphir, W.C.; Ahmad, S.; George, D.; Astier, F.; Marianetti, R. Hierarchical Temporal Memory (HTM) System Deployed as Web Service. U.S. Patents , US8732098B2, 24 December 2019. [Google Scholar]
- Chen, L.-C.; Papandreou, G.; Schroff, F.; Adam, H. Rethinking Atrous Convolution for Semantic Image Segmentation. arXiv 2017, arXiv:1706.05587. [Google Scholar]
- Caron, M.; Bojanowski, P.; Joulin, A.; Douze, M. Deep Clustering for Unsupervised Learning of Visual Features. In Proceedings of the European Conference on Computer Vision (ECCV), Munich, Germany, 8–14 September 2018; pp. 132–149. [Google Scholar]
- Lin, T.-Y.; Dollár, P.; Girshick, R.; He, K.; Hariharan, B.; Belongie, S. Feature Pyramid Networks for Object Detection. In Proceedings of the IEEE Conference on Computer Vision and Pattern Recognition, Honolulu, HI, USA, 21–26 July 2017; pp. 2117–2125. [Google Scholar]
- Deep Learning Framework. Available online: https://developer.nvidia.com/deep-learning-frameworks (accessed on 2 November 2021).
- Telnykh, A.; Nuidel, I.; Samorodova, Y. Construction of Efficient Detectors for Character Information Recognition. Procedia Comput. Sci. 2020, 169, 744–754. [Google Scholar] [CrossRef]
- Bellustin, N.; Moiseev, K.; Shemagina, O.; Starkov, S.; Telnykh, A. One Approach to Intellectual Image Analysis. In Proceedings of the ITM Web of Conferences EDP Sciences, Moscow, Russia, 19 September 2016; Volume 8, p. 01010. [Google Scholar]
- Bellustin, N.; Kovalchuck, A.T.; Shemagina, O.; Yakho, V.; Kalafati, Y.; Vaish, A.; Verma, S. Instant Human Face Attributes Recognition System. Int. J. Adv. Comput. Sci. Appl. Spec. Issue Artif. Intell. 2011, 3, 112–120. [Google Scholar] [CrossRef]
- Viola, P.; Jones, M. Rapid Object Detection Using a Boosted Cascade of Simple Features. In Proceedings of the 2001 IEEE Computer Society Conference on Computer Vision and Pattern Recognition. CVPR 2001, Kauai, HI, USA, 8–14 December 2001; Volume 1, p. I-I. [Google Scholar]
- Wang, F.; Li, Z.; He, F.; Wang, R.; Yu, W.; Nie, F. Feature Learning Viewpoint of AdaBoost and a New Algorithm. IEEE Access 2019, 7, 149890–149899. [Google Scholar] [CrossRef]
- Beygelzimer, A.; Kale, S.; Luo, H. Optimal and Adaptive Algorithms for Online Boosting. In Proceedings of the International Conference on Machine Learning, Lille, France, 6–11 July 2015; pp. 2323–2331. [Google Scholar]
- Potjans, T.C.; Diesmann, M. The Cell-Type Specific Cortical Microcircuit: Relating Structure and Activity in a Full-Scale Spiking Network Model. Cereb. Cortex 2014, 24, 785–806. [Google Scholar] [CrossRef] [PubMed]
- Komissarov, V.I. The Concept of the Functional Organization of Neural Networks of the Brain. Kursk Sci. Pract. Bull. Man His Health 2005, 2, 30–38. [Google Scholar]
- Schwalger, T.; Deger, M.; Gerstner, W. Towards a Theory of Cortical Columns: From Spiking Neurons to Interacting Neural Populations of Finite Size. PLoS Comput. Biol. 2017, 13, e1005507. [Google Scholar] [CrossRef] [Green Version]
- Cichy, R.M.; Khosla, A.; Pantazis, D.; Torralba, A.; Oliva, A. Comparison of Deep Neural Networks to Spatio-Temporal Cortical Dynamics of Human Visual Object Recognition Reveals Hierarchical Correspondence. Sci. Rep. 2016, 6, 27755. [Google Scholar] [CrossRef] [PubMed] [Green Version]
- Kuznetsova, G.D.; Nuidel, I.V.; Sokolov, M.E.; Yakhno, V.G. Simulation of Dynamic Processes of Transformation of Sensory Signals in Thalamo-Cortical Networks. In Proceedings of the XVI All-Russian Scientific and Technical Conference “Neuroinformatics 2014” with International Participation: Lectures on Neuroinformatics, Moscow, Russia, 30 January 2014; MEPhI: Moscow, Russia, 2014; pp. 150–178. [Google Scholar]
- Bellustin, N.S.; Kalafati, Y.D.; Kovalchuk, A.V.; Telnykh, A.A.; Shemagina, O.V.; Yakhno, V.G. Objects Detection, Tracking and Clustering Systems Based on Neuron-Like Coding. Inf.-Meas. Control Syst. 2010, 8, 29. [Google Scholar]
- Yakhno, V.G.; Belliustin, N.S.; Krasilnikova, I.G.; Kuznetsov, S.O.; Nuidel, I.V.; Panfilov, A.I.; Perminov, A.O.; Shadrin, A.V.; Shevyrev, A.A. Research Decisionmaking System Operating with Composite Image Fragments Using Neuron-like Algorithms. Radiophysics 1994, 37, 961–986. [Google Scholar]
- YOLOv5. Available online: https://pytorch.org/hub/ultralytics_yolov5/ (accessed on 2 November 2021).
- OpenVINO Toolkit. Available online: https://software.intel.com/content/www/us/en/develop/tools/openvino-toolkit.html (accessed on 2 November 2021).
- De N, R.L. Analysis of the Activity of the Chains of Internuncial Neurons. J. Neurophysiol. 1938, 1, 207–244. [Google Scholar] [CrossRef]
- Haueis, P. The Life of the Cortical Column: Opening the Domain of Functional Architecture of the Cortex (1955–1981). Hist. Philos. Life Sci. 2016, 38, 1–27. [Google Scholar] [CrossRef] [Green Version]
- Hubel, D.H.; Wiesel, T.N. Receptive Fields, Binocular Interaction and Functional Architecture in the Cat’s Visual Cortex. J. Physiol. 1962, 160, 106–154. [Google Scholar] [CrossRef]
- Mouncastle, V. An Organizing Principle for Cerebral Function: The Unit Module and The Distributed System. In The Mindful Brain; MIT Press: Cambridge, MA, USA, 1978. [Google Scholar]
- Stefanis, C.; Jasper, H. Recurrent Collateral Inhibition in Pyramidal Tract Neurons. J. Neurophysiol. 1964, 27, 855–877. [Google Scholar] [CrossRef]
- Quiroga, R.Q.; Fried, I.; Koch, C. Brain Cells for Grandmother. Sci. Am. 2013, 308, 30–35. [Google Scholar] [CrossRef] [PubMed]
- Clark, W.J.; Colombo, M. Face-Selective Neurons: Comparative Perspectives. In Encyclopedia of Animal Cognition and Behavior; Springer International Publishing AG: Berlin/Heidelberg, Germany, 2018; pp. 1–10. [Google Scholar]
- Barwich, A.-S. The Value of Failure in Science: The Story of Grandmother Cells in Neuroscience. Front. Neurosci. 2019, 13, 1121. [Google Scholar] [CrossRef]
- Konorski, J. Integrative Activity of the Brain: An Interdisciplinary Approach; University of Chicago: Chicago, IL, USA, 1967. [Google Scholar]
- Alexandrov, Y.I.; Shvyrkov, V.B. Latent Periods and Synchronicity of Neuron Discharges in the Visual and Somatosensory Cortex in Response to a Conditional Flash of Light. Neurophysiology 1974, 6, 551–553. [Google Scholar]
- Shvyrkov, V.B. Systemic Determination of Neuron Activity in Behavior. J. Adv. Physiol. Sci. 1983, 14, 45–66. [Google Scholar]
- Carrillo-Reid, L.; Han, S.; Yang, W.; Akrouh, A.; Yuste, R. Controlling Visually Guided Behavior by Holographic Recalling of Cortical Ensembles. Cell 2019, 178, 447–457. [Google Scholar] [CrossRef] [PubMed]
- Steinmetz, P.N. Estimates of Distributed Coding of Visual Objects by Single Neurons in the Human Brain Depend on Which Spike Sorting Technique Is Used. J. Neural Eng. 2020, 17, 26030. [Google Scholar] [CrossRef] [PubMed]
- Irwin, L.N.; Irwin, B.A. Place and Environment in the Ongoing Evolution of Cognitive Neuroscience. J. Cogn. Neurosci. 2020, 32, 1837–1850. [Google Scholar] [CrossRef] [PubMed]
- Huang, J.Y.; Wang, C.; Dreher, B. Silencing “Top-Down” Cortical Signals Affects Spike-Responses of Neurons in Cat’s “Intermediate” Visual Cortex. Front. Neural Circ. 2017, 11, 27. [Google Scholar] [CrossRef] [Green Version]
- Shevelev, I.A.; Sharaev, G.A.; Lazareva, N.A.; Novikova, R.V.; Tikhomirov, A.S. Dynamics of Orientation Tuning in the Cat Striate Cortex Neurons. Neuroscience 1993, 56, 865–876. [Google Scholar] [CrossRef]
- Shevelev, I.A.; Volgushev, M.A.; Sharaev, G.A. Dynamics of Responses of V1 Neurons Evoked by Stimulation of Different Zones of Receptive Field. Neuroscience 1992, 51, 445–450. [Google Scholar] [CrossRef]
- Feller, M.B. Spontaneous Correlated Activity in Developing Neural Circuits. Neuron 1999, 22, 653–656. [Google Scholar] [CrossRef] [Green Version]
- Kossut, M.; Hand, P.J.; Greenberg, J.; Hand, C.L. Single Vibrissal Cortical Column in SI Cortex of Rat and Its Alterations in Neonatal and Adult Vibrissa-Deafferented Animals: A Quantitative 2DG Study. J. Neurophysiol. 1988, 60, 829–852. [Google Scholar] [CrossRef] [PubMed]
- Jones, E.G. Microcolumns in the Cerebral Cortex. Proc. Natl. Acad. Sci. USA 2000, 97, 5019–5021. [Google Scholar] [CrossRef] [PubMed] [Green Version]
- Hartenstein, V.; Omoto, J.J.; Lovick, J.K. The role of cell lineage in the development of neuronal circuitry and function. Dev. Biol. 2021, 475, 165–180. [Google Scholar] [CrossRef] [PubMed]
- Sharon, D.; Grinvald, A. Dynamics and Constancy in Cortical Spatiotemporal Patterns of Orientation Processing. Science 2002, 295, 512–515. [Google Scholar] [CrossRef] [Green Version]
- Thomson, A.M.; Lamy, C. Functional Maps of Neocortical Local Circuitry. Front. Neurosci. 2007, 1, 19–42. [Google Scholar] [CrossRef] [PubMed] [Green Version]
- Asanuma, H. Recent Developments in the Study of the Columnar Arrangement of Neurons within the Motor Cortex. Physiol. Rev. 1975, 55, 143–156. [Google Scholar] [CrossRef] [PubMed]
- LaBerge, D.; Kasevich, R.S. Neuroelectric Tuning of Cortical Oscillations by Apical Dendrites in Loop Circuits. Front. Syst. Neurosci. 2017, 11, 37. [Google Scholar] [CrossRef] [PubMed] [Green Version]
- Towe, A.L. Notes on the Hypothesis of Columnar Organization in Somatosensory Cerebral Cortex. Brain Behav. Evol. 1975, 11, 32–47. [Google Scholar] [CrossRef]
- Szentagothai, J. The ‘Module-Concept’in Cerebral Cortex Architecture. Brain Res. 1975, 95, 475–496. [Google Scholar] [CrossRef]
- Available online: https://www.humanbrainproject.eu/en/ (accessed on 2 November 2021).
- Available online: https://braininitiative.nih.gov/ (accessed on 2 November 2021).
- Available online: https://brainminds.jp/en/ (accessed on 2 November 2021).













| № | Parameter Name and Purpose | Available Values |
|---|---|---|
| 1 | FileName File name Each model of an artificial cortical column is in a file; to start working with it, the system must load it into memory. |
|
| 2 | ImageName Image file name Each artificial cortical column model works with an image file. | Any jpeg or png image. If the image is not specified, then the work of the cortical column cannot be visualized in dynamics. Only its internal representation is available. |
| 3 | Rect The rectangle in which the search for an object must be made | Any rectangular fragment of the image ImageName. If it is not specified, then the search is performed over the entire image. |
| 4 | ObjectType Object type Each of the artificial cortical columns can only respond to one type of object. This parameter indicates what type of object is associated with this column. The parameter is read-only. | Face, vehicle, pedestrian |
| 5 | NumStages The number of neurons in the pyramidal layer. The parameter is read-only. | 0, 1,, 100 |
| 6 | NumSensor(K) The number of neurons of the inner granular layer associated with the K-th neuron of the pyramidal layer | 1, 2,, 1000 |
| 7 | Layer(N) Display the N-th layer in the column. | True/false. … |
| 8 | Stage(N) Display the N-th neuron in the pyramidal layer with all connections. | True/false. … NumStages |
| 9 | 3DView Display the column in 3D. | True/false. |
Publisher’s Note: MDPI stays neutral with regard to jurisdictional claims in published maps and institutional affiliations. |
© 2021 by the authors. Licensee MDPI, Basel, Switzerland. This article is an open access article distributed under the terms and conditions of the Creative Commons Attribution (CC BY) license (https://creativecommons.org/licenses/by/4.0/).
Share and Cite
Telnykh, A.; Nuidel, I.; Shemagina, O.; Yakhno, V. A Biomorphic Model of Cortical Column for Content—Based Image Retrieval. Entropy 2021, 23, 1458. https://doi.org/10.3390/e23111458
Telnykh A, Nuidel I, Shemagina O, Yakhno V. A Biomorphic Model of Cortical Column for Content—Based Image Retrieval. Entropy. 2021; 23(11):1458. https://doi.org/10.3390/e23111458
Chicago/Turabian StyleTelnykh, Alexander, Irina Nuidel, Olga Shemagina, and Vladimir Yakhno. 2021. "A Biomorphic Model of Cortical Column for Content—Based Image Retrieval" Entropy 23, no. 11: 1458. https://doi.org/10.3390/e23111458
APA StyleTelnykh, A., Nuidel, I., Shemagina, O., & Yakhno, V. (2021). A Biomorphic Model of Cortical Column for Content—Based Image Retrieval. Entropy, 23(11), 1458. https://doi.org/10.3390/e23111458

