Multistage Segmentation of Prostate Cancer Tissues Using Sample Entropy Texture Analysis
Abstract
1. Introduction
2. Literature Review
3. Materials and Methods
- (1)
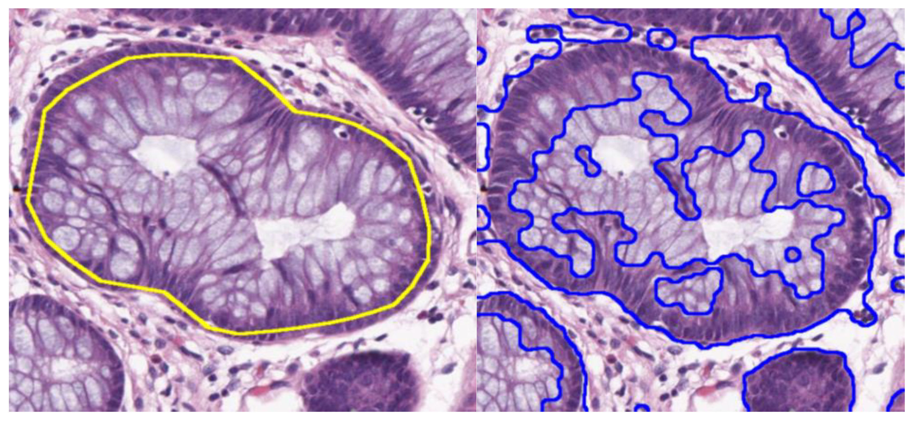
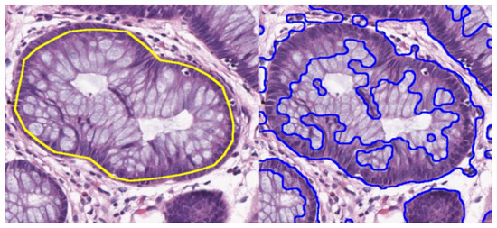
- As a first step, segmentation of the tissue is achieved by applying the color mean-shift (MS) algorithm [34] on the input image I(z). The tissue is divided into four parts that contain epithelial nuclei, cytoplasm, lumen, and stroma nuclei.
- (2)
- The above segmentation result can be used to get a rough idea of pixels forming nuclei, both stromal and epithelial. In the second step, textural features for pixels of the image are used to model the glands. The wavelet packet features [35] and AdaBoost classifier are used in assigning lumen-ness labels T(z) (1 for lumen, and 0 for non-lumen) for all pixel locations z ϵ Z in the image I(z).
- (3)
- Finally, the texture of the image is modeled using sample entropy analysis. Using empirical methods, a threshold is obtained that distinguishes cancerous regions form the benign tissue samples.
4. Results
5. Discussion
- True-positive (TP): The algorithm detects it as cancerous and the ground truth also labels it as cancerous.
- False-positive (FP): The algorithm detects it as cancerous, while the ground truth labels it as normal.
- True-negative (TN): The algorithm detects it as normal, whereas ground truth also labels it as normal.
- False-negative (FN): The algorithm detects it normal, whereas ground truth labels it as cancerous.
6. Conclusions
Author Contributions
Funding
Acknowledgments
Conflicts of Interest
References
- Parkin, D.M.; Bray, F.; Ferlay, J.; Pisani, P. Global cancer statistics, 2002. CA Cancer J. Clin. 2019, 55, 74–108. [Google Scholar] [CrossRef] [PubMed]
- WHO. Cancer: Fact Sheet No. 29; WHO: Geneva, Switzerland, 2019. [Google Scholar]
- National Cancer Intelligence Network. Colorectal Cancer Survival by Stage; NCIN Data Briefing; National Cancer Intelligence Network: London, UK, 2019. [Google Scholar]
- Smith, R.A.; Cokkinides, V.; Brawley, O.W. Cancer screening in the united states, 2018: A review of current American cancer society guidelines and issues in cancer screening. CA Cancer J. Clin. 2018, 59, 27–41. [Google Scholar] [CrossRef]
- Murgia, C.; Pritchard, J.; Kim, Y. Colon origin and evolution of a transmissible cancer. Cell 2016, 126, 477–487. [Google Scholar] [CrossRef] [PubMed]
- Gurcan, M.; Boucheron, L.; Can, A.; Madabhushi, A.; Rajpoot, N.; Yener, B. Histopathological image analysis: A review. IEEE Rev. Biomed. Eng. 2009, 2, 147–171. [Google Scholar] [CrossRef] [PubMed]
- Ali, G.; Ali, A.; Ali, F.; Draz, U.; Majeed, F.; Yasin, S.; Ali THaider, N. Artificial neural network based ensemble approach for multicultural facial expressions analysis. IEEE Access 2020, 8, 134950–134963. [Google Scholar] [CrossRef]
- Van Putten, P.G.; Hol, L.; van Dekken, H.; van Krieken, J.H.; van Ballegooijen, M.; Kuipers, E.J.; van Leerdam, M.E. Inter-observer variation in the histological diagnosis of polyps in colorectal cancer screening. Histopathology 2011, 58, 974–981. [Google Scholar] [CrossRef]
- Masood, K.; Alghamdi, M. Modelling mental stress using a deep learning framework. IEEE Access 2019, 7, 68446–68454. [Google Scholar] [CrossRef]
- May, M. A better lens on disease. Sci. Am. 2010, 302, 74–77. [Google Scholar] [CrossRef]
- Masood, K. Adaptive wavelet packets for minimization of error in computation of mental stress. Int. J. Wavelets Multiresolution Inf. Proc. (IJWMIP) 2015, 13, 82–90. [Google Scholar] [CrossRef]
- Richman, J.S.; Moorman, J.R. Physiological time-series analysis using approximate entropy and sample entropy. Am. J. Physiol. Heart Circ. Physiol. 2000, 278, H2039–H2049. [Google Scholar] [CrossRef]
- Grassberger, P.; Procaccia, I. Estimation of the Kolmogorov entropy from a chaotic signal. Phys. Rev. 1983, 2, 25–91. [Google Scholar] [CrossRef]
- Doyle, S.; Feldman, M.; Tomaszewski, J.; Madabhusi, A. A boosted Bayesian multiresolution classifier for prostate cancer detection from digitized needle biopsies. IEEE Trans. Biomed. Eng. 2010, 59, 1205–1218. [Google Scholar] [CrossRef]
- Rajpoot, N. Local discriminant wavelet packet basis for texture classification. In Proceedings of the SPIE Wavelets X, San Diego, CA, USA, 13 November 2003; Volume 5207, pp. 774–783. [Google Scholar]
- Teverovskiy, M.; Kumar, V.; Ma, J.; Kotsianti, A.; Verbel, D.; Tabesh, A.; Pang, H.Y.; Vengrenyuk, Y.; Fogarasi, S.; Saidi, O. Improved prediction of prostate cancer recurrence based on an automated tissue image analysis system. In Proceedings of the IEEE International Symposium on Nano to Micro, Arlington, VA, USA, 18 April 2004; pp. 257–260. [Google Scholar]
- Tabesh, A.; Teverovskiy, M.; Pang, H.Y.; Kumar, V.P.; Verbel, D.; Kotsianti, A.; Saidi, O. Multi-feature prostate cancer diagnosis and Gleason grading of histological images. IEEE Trans. Med. Imaging 2007, 26, 1366–1378. [Google Scholar] [CrossRef]
- Huang, P.; Lee, C. Automatic classification for pathological prostate images based on fractal analysis. IEEE Trans. Med. Imaging 2010, 28, 1037–1050. [Google Scholar] [CrossRef] [PubMed]
- Moradi, M.; Mousavi, P.; Tomaszewski, J.; Feldman, M.; Hagemann, I.; Adolmaesumi, P.; Madabhushi, A. High-throughput detection of prostate cancer in histological sections using probabilistic pairwise Markov models. Med. Image Anal. 2010, 14, 617–629. [Google Scholar]
- Glotsos, D.; Kalatzis, I.; Spyridonos, P.; Kostopoulos, S.; Daskalakis, A.; Athanasiadis, E.; Ravazoula, P.; Nikiforidis, G.; Cavouras, D. Improving accuracy in astrocytomas grading by integrating a robust least squares mapping driven support vector machine classifier into a two level grade classification scheme. Comput. Methods Prog. Biomed. 2008, 90, 251–261. [Google Scholar] [CrossRef] [PubMed]
- Farjam, R.; Soltanian-Zadeh, H.; Khouzani, K. An image analysis approach for automatic malignancy determination of prostate pathological images. Clin. Cytom. 2007, 72, 227–240. [Google Scholar] [CrossRef]
- Naik, S.; Doyle, S.; Fieldman, M. Gland segmentation and Gleason grading of prostate histology by integrating low-high-level and domain specific information. In Proceedings of the 2nd Workshop on Microscopic Image Analysis with Applications in Biology, Piscataway, NJ, USA; 2007. Available online: http://citeseerx.ist.psu.edu/viewdoc/download?doi=10.1.1.98.6547&rep=rep1&type=pdf (accessed on 2 December 2020).
- Tariq, A.; Yasin, S.; Draz, U.; Tariq, T.; Javaid, S.; Arshad, M.A. Motif Detection in Cellular Tumor p53 Antigen Protein Sequences by using Bioinformatics Big Data Analytical Techniques. Int. J. Adv. Comput. Sci. Appl. 2018, 9, 330–338. [Google Scholar]
- Monaco, J.; Madabhushi, A. Weighted maximum posterior marginal for random fields using an ensemble of conditional densities from multiple Markov chain Monte Carlo simulations. Med. Imaging IEEE Trans. 2011, 30, 1335–1364. [Google Scholar] [CrossRef]
- Madabhushi, A. Digital pathology image analysis: Opportunities and challenges. Imaging Med. 2009, 1, 7–10. [Google Scholar] [CrossRef]
- Waqas, M.; Ghamdi, M.A.; Hussain, M.; Adnan, M.; Masood, K. Brain tumor analysis empowered with deep learning: A review, taxonomy, and future challenges. Brain Sci. 2020, 10, 118–130. [Google Scholar]
- Yasin, S.; Ali, T.; Draz, U.; Jung, L.T.; Arshad, M.A. Formal Analysis of Coherent Non-Redundant Partition-based Motif Detection Algorithm for Data Visual Analytics. J. Appl. Environ. Biol. Sci. 2018, 8, 23–30. [Google Scholar]
- Wu, H.; Xu, R.; Harpaz, N. Segmentation of gland images with iterative region growing. J. Microsc. 2005, 220, 190–204. [Google Scholar] [CrossRef]
- Demir, C.; Kandemir, M.; Tosun, A. Automatic segmentation of colon glands using object graphs. Med. Image Anal. 2009, 14, 1–12. [Google Scholar] [CrossRef] [PubMed]
- Gunduz, C.; Yener, B.; Gultekin, S.H. The cell graphs of cancer. Bioinformatics 2004, 2, 145–155. [Google Scholar] [CrossRef] [PubMed]
- Tosun, A.B.; Gunduz-Demir, C. Graph run-length matrices for histopathological image segmentation. Med. Imaging IEEE Trans. 2011, 30, 721–732. [Google Scholar] [CrossRef]
- Nguyen, K.; Jain, A.K.; Allen, R.L. Automated gland segmentation and classification for Gleason grading of prostate tissue images. In Proceedings of the 20th International Conference on Pattern Recognition (ICPR), Istanbul, Turkey, 23–26 August 2010; Volume 1, pp. 1497–1500. [Google Scholar]
- Yoo, S.; Gujrathi, I.; Haider, M.; Khalvati, F. Prostate Cancer Detection using Deep Convolutional Neural Networks. Sci. Rep. 2019, 9, 19518. [Google Scholar] [CrossRef]
- Abbasi, A.; Hussain, L.; Awan, I.; Abbasi, I.; Majid, A.; Nadeem, M.A.; Chaudhary, Q. Detecting prostate cancer using deep learning convolution neural network with transfer learning approach. Cogn. Neurodynamics 2020, 14, 523–533. [Google Scholar] [CrossRef]
- Caselles, V.; Kimmel, R.; Sapiro, G. Geodesic active contours. Int. J. Comput. Vis. 1997, 22, 61–79. [Google Scholar] [CrossRef]
- Comaniciu, D.; Meer, P. Mean shift: A robust approach towards feature space analysis. IEEE Trans. Pattern Anal. Mach. Intell. 2002, 24, 603–619. [Google Scholar] [CrossRef]
- Coifman, R.R.; Wickerhauser, M.V. Entropy-based algorithms for best basis selection. IEEE Trans. Inf. Theory 2002, 38, 713–718. [Google Scholar] [CrossRef]
- Rawla, P. Epidemiology of prostate cancer. World J. Oncol. 2019, 10, 63–89. [Google Scholar] [CrossRef]
- Gopinath, N. Tumor detection in prostate organ using canny edge detection technique. Int. J. Pure Appl. Math. 2018, 118, 211–217. [Google Scholar]
- Cardenas, C.E.; McCarroll, R.E.; Court, L.E.; Elgohari, B.A.; Elhalawani, H. Deep learning algorithm for auto-delineation of high-risk oropharyngeal clinical target volumes with built-in dice similarity coefficient parameter optimization function. Int. J. Radiat. Oncol. Biol. Phys. 2018, 101, 468–478. [Google Scholar] [CrossRef] [PubMed]
- Draz, U.; Ali, T.; Yasin, S. Towards Pattern Detection of Proprotein Convertase Subtilisin/kexin type 9 (PCSK9) Gene in Bioinformatics Big Data. NFC IEFR J. Eng. Sci. Res. 2018, 6, 160–165. [Google Scholar]
- Draz, U.; Ali, T.; Yasin, S.; Waqas, U.; Zahra, S.B.; Shoukat, M.A.; Gul, S. A Pattern Detection Technique of L-MYC for Lungs Cancer Oncogene in Bioinformatics Big Data. In Proceedings of the 2020 17th International Bhurban Conference on Applied Sciences and Technology (IBCAST), Islamabad, Pakistan, 14–18 January 2020; pp. 218–223. [Google Scholar]






| Quality Metrics | Benign | Malignant |
|---|---|---|
| SVM (%) | SVM (%) | |
| Accuracy | 90 | 91 |
| Precision | 86 | 89 |
| Recall | 81 | 84 |
| F1 Score | 85 | 87 |
Publisher’s Note: MDPI stays neutral with regard to jurisdictional claims in published maps and institutional affiliations. |
© 2020 by the authors. Licensee MDPI, Basel, Switzerland. This article is an open access article distributed under the terms and conditions of the Creative Commons Attribution (CC BY) license (http://creativecommons.org/licenses/by/4.0/).
Share and Cite
Ali, T.; Masood, K.; Irfan, M.; Draz, U.; Nagra, A.A.; Asif, M.; Alshehri, B.M.; Glowacz, A.; Tadeusiewicz, R.; Mahnashi, M.H.; et al. Multistage Segmentation of Prostate Cancer Tissues Using Sample Entropy Texture Analysis. Entropy 2020, 22, 1370. https://doi.org/10.3390/e22121370
Ali T, Masood K, Irfan M, Draz U, Nagra AA, Asif M, Alshehri BM, Glowacz A, Tadeusiewicz R, Mahnashi MH, et al. Multistage Segmentation of Prostate Cancer Tissues Using Sample Entropy Texture Analysis. Entropy. 2020; 22(12):1370. https://doi.org/10.3390/e22121370
Chicago/Turabian StyleAli, Tariq, Khalid Masood, Muhammad Irfan, Umar Draz, Arfan Ali Nagra, Muhammad Asif, Bandar M. Alshehri, Adam Glowacz, Ryszard Tadeusiewicz, Mater H. Mahnashi, and et al. 2020. "Multistage Segmentation of Prostate Cancer Tissues Using Sample Entropy Texture Analysis" Entropy 22, no. 12: 1370. https://doi.org/10.3390/e22121370
APA StyleAli, T., Masood, K., Irfan, M., Draz, U., Nagra, A. A., Asif, M., Alshehri, B. M., Glowacz, A., Tadeusiewicz, R., Mahnashi, M. H., & Yasin, S. (2020). Multistage Segmentation of Prostate Cancer Tissues Using Sample Entropy Texture Analysis. Entropy, 22(12), 1370. https://doi.org/10.3390/e22121370

