RETRACTED: Neurological Alterations and Testicular Damages in Aging Induced by D-Galactose and Neuro and Testicular Protective Effects of Combinations of Chitosan Nanoparticles, Resveratrol and Quercetin in Male Mice
Abstract
1. Introduction
2. Materials and Methods
2.1. Chemicals
2.2. Preparation of Chitosan Nanoparticles (CNPs)
2.3. Characterization of Chitosan
2.4. Experimental Animals
2.5. Experimental Design
2.6. Preparation of Brain and Testis Homogenates for Estimation of Redox State
2.7. Determination of Oxidative/Antioxidant Biomarkers
2.8. Determination of the Testosterone Hormone Levels
2.9. Histological Evaluation
2.10. X-ray Examination
2.11. Statistical Analysis
3. Results
3.1. TEM Characterization of Chitosan Nanoparticles
3.2. Oxidative Stress Biomarkers
3.3. Testosterone Hormone Levels
3.4. Histopathology Evaluation of Brain Tissues
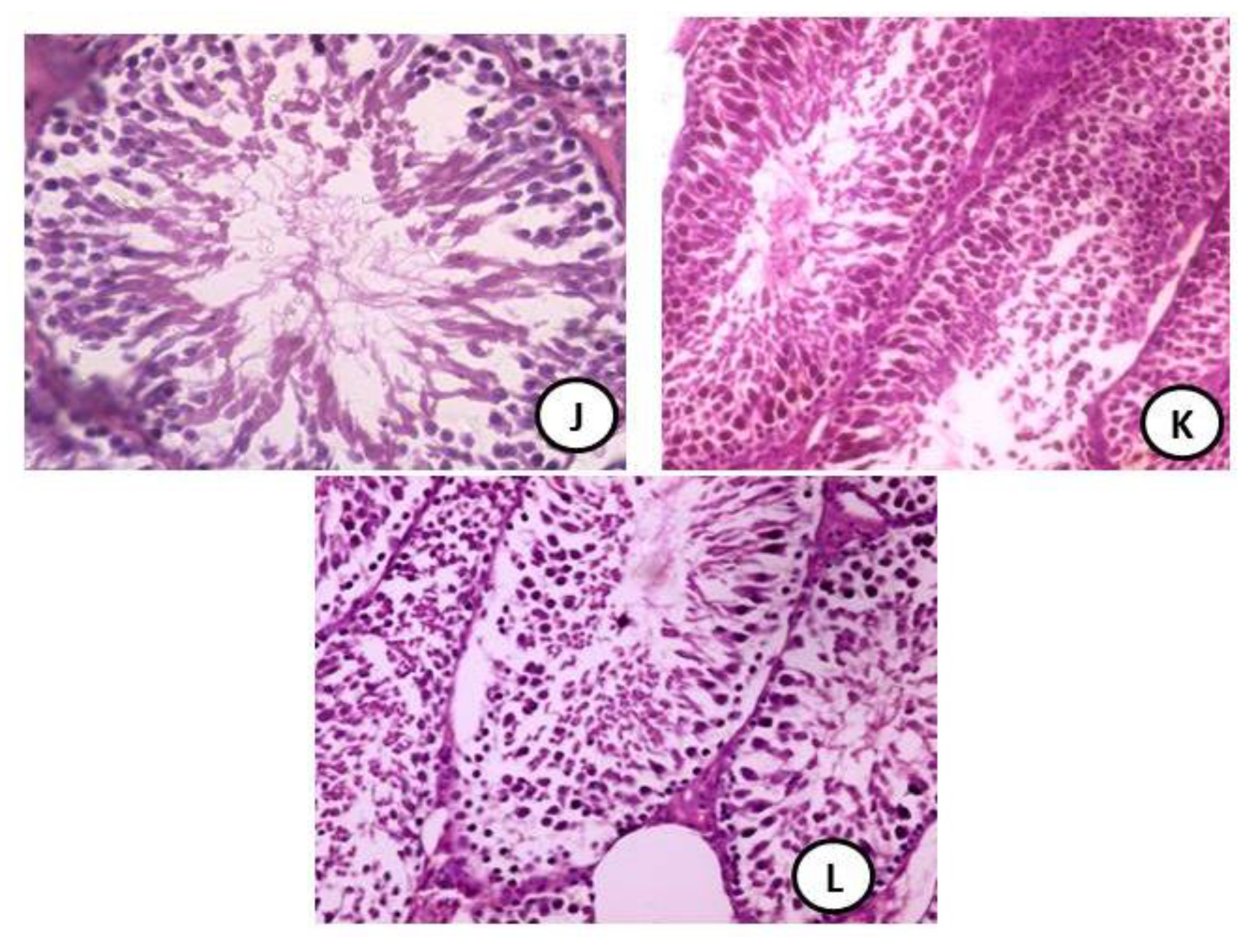
3.5. Histopathology Evaluation of Testicular Tissues
3.6. X-ray Alterations in Brain Structure of Some Selected Groups
4. Discussion
5. Conclusions
Author Contributions
Funding
Institutional Review Board Statement
Informed Consent Statement
Data Availability Statement
Conflicts of Interest
Abbreviations
References
- Banji, D.; Banjia, O.F.; Dasaroju, S.; CH, K.K. Curcumin and piperine abrogate lipid and protein oxidation induced by D-galactose in rat brain. Brain Res. 2013, 1515, 1–11. [Google Scholar] [CrossRef] [PubMed]
- Cui, X.; Zuo, P.; Zhang, Q.; Li, X.; Hu, Y.; Long, J. Chronic systemic D-galactose exposure induces memory loss, neurodegeneration, and oxidative damage in mice: Protective effects of R-alpha-lipoic acid. J. Neurosci. Res. 2006, 83, 1584–1590. [Google Scholar] [CrossRef] [PubMed]
- Park, J.; Ramanathan, R.; Pham, L.; Woodrow, K.A. Chitosan enhances nanoparticle delivery from the repro-ductive tract to target draining lymphoid organs. Nanomed. Nanotechnol. Biol. Med. 2017, 13, 2015–2025. [Google Scholar] [CrossRef]
- Bugnicourt, L.; Ladavière, C. A close collaboration of chitosan with lipid colloidal carriers for drug delivery applications. J. Control. Release 2017, 256, 121–140. [Google Scholar] [CrossRef]
- Ghadi, A.; Mahjoub, S.; Tabandeh, F.; Talebnia, F. Synthesis and optimization of chitosan nanoparticles: Potential applications in nanomedicine and biomedical engineering. Casp. J. Intern. Med. 2014, 5, 156–161. [Google Scholar]
- Al-Baqami1, N.M.; Hamza, R.Z. Synergistic antioxidant capacities of vanillin and chitosan nanoparticlesn against re-active oxygen species, hepatotoxicity, and genotoxicity induced by aging in male Wistar rats. Hum. Exp. Toxicol. 2021, 40, 183–202. [Google Scholar] [CrossRef]
- Dajas, F.; Abin-Carriquiry, J.A.; Arredondo, F.; Blasina, F.; Echeverry, C.; Martínez, M.; Rivera, F.; Vaamonde, L. Quercetin in brain diseases: Potential and limits. Neurochem. Int. 2015, 89, 140–148. [Google Scholar] [CrossRef]
- Zini, A.; Al-Hathal, N. Antioxidant therapy in male infertility: Fact or fiction? Asian J. Androl. 2011, 13, 374–381. [Google Scholar] [CrossRef]
- Bhutada, P.; Mundhada, Y.; Bansod, K.; Bhutada, C.; Tawari, S.; Dixit, P.; Mundhada, D. Neurobiology of learning and memory ameliorative effect of quercetin on memory dysfunction in streptozotocin-induced diabetic rats. Neurobiol. Learn. Mem 2010, 94, 293–302. [Google Scholar] [CrossRef] [PubMed]
- Juan, M.E.; González-Pons, E.; Munuera, T.; Ballester, J.; Rodríguez-Gil, J.E.; Planas, J.M. Trans-Resveratrol, a natural antioxidant from grapes, increases sperm output in healthy rats. J. Nutr. 2005, 135, 757–760. [Google Scholar] [CrossRef] [PubMed]
- Hamza, R.Z.; El-Shenawy, N.S.; Ismail, H.A.A. Protective effects of blackberry and quercetin on sodium fluoride-induced oxidative stress and histological changes in the hepatic, renal, testis and brain tissue of male rat. J. Basic Clin. Physiol. Pharmacol. 2015, 26, 237–251. [Google Scholar] [CrossRef]
- Refat, M.S.; Hamza, R.Z.; Adam, A.A.; Saad, H.A.; Gobouri, A.A.; Al-Harbi, F.S.; Al-Salmi, F.A.; Altalhi, T.; El-Megharbel, S.M. Quercetin/Zinc complex and stem cells: A new drug therapy to ameliorate glycometabolic control and pulmonary dysfunction in diabetes mellitus: Structural characterization and genetic studies. PLoS ONE 2021, 16, e0246265. [Google Scholar] [CrossRef] [PubMed]
- El-Denshary, E.S.; Aljawish, A.; El Nekeety, A.A.; Hassan, N.S.; Saleh, R.H.; Rihn, B.H.; Abdel-Wahaab, M.A. Pos-sible synergistic effect ioxidant properties of chitosan nanoparticles and quercetin against carbon tetrachloride induce hepatotoxicity in rats. Soft Nanosci. Lett. 2015, 5, 36–51. [Google Scholar] [CrossRef]
- Agarwal, A.; Mahfouz, R.Z.; Sharma, R.K.; Sarkar, O.; Mangrola, D.; Mathur, P.P. Potential biological role of poly (ADP-ribose) polymerase (PARP) in male gametes. Reprod. Biol. Endocrinol. 2009, 7, 143. [Google Scholar] [CrossRef] [PubMed]
- Reddy, P.K.; Madhu, P.; Reddy, S.P. Protective effects of resveratrol against cisplatin-induced testicular and epi-didymal toxicity in rats. Food Chem. Toxicol. 2016, 91, 65–72. [Google Scholar] [CrossRef] [PubMed]
- Wici’nskia, M.; Leis, K.; Szyperski, P.; Eclewicz, M.M.W.; Mazura, E.; Pawlak-Osinska, K. Impact of resveratrol on exercise performance: A review. Sci. Sports 2018, in press. [Google Scholar]
- Prakash, A.; Kumar, A. Pioglitazone alleviates the mitochondrial apoptotic pathway and mito-oxidative damage in the d -galactose-induced mouse model. Clin. Exp. Pharmacol. Physiol. 2013, 40, 644–651. [Google Scholar] [CrossRef]
- Hamza, R.Z.; Al-Thubaiti, E.H.; Omar, A.S. The antioxidant activity of quercetin and its effect on acrylamide hepatotoxicity in liver of rats. Lat. Am. J. Pharm. 2019, 38, 2057–2062. [Google Scholar]
- Allen, E.N.; Potdar, S.; Tapias, V.; Parmar, M.; Cassia, S.; Rimando, M.A.; Cavanaugh, J.E. Resveratrol and pinostilbene confer neuroprotection against aging-related deficits through an ERK1/2-dependent mecha-nism. J. Nutr. Biochem. 2018, 54, 77–86. [Google Scholar] [CrossRef]
- Dal-Pan, A.; Terrien, J.; Pifferi, F.; Botalla, R.; Hardy, I.; Marchal, J.; Zahariev, A.; Chery, I.; Zizzari, P.; Perret, M.; et al. Caloric restriction or resveratrol supplementation and ageing in a non-human primate: First-year outcome of the RESTRIKAL study in Microcebus murinus. AGE 2011, 33, 15–31. [Google Scholar] [CrossRef]
- Al-Otaibi, S.S.; Arafah, M.M.; Sharma, B.; Alhomida, A.S.; Siddiqi, N.J. Synergistic effect of quercetin and 𝛼-lipoic acid on aluminium chloride induced neurotoxicity in rats. J. Toxicol. 2018, 2018, 2817036. [Google Scholar] [CrossRef] [PubMed]
- Türedi, S.; Yuluğ, E.; Alver, A.; Kutlu, Ö.; Kahraman, C. Effects of resveratrol on doxorubicin induced testicular damage in rats. Exp. Toxicol. Pathol. 2015, 67, 229–235. [Google Scholar] [CrossRef] [PubMed]
- Tang, Z.-X.; Qian, J.-Q.; Shi, L.-E. Preparation of chitosan nanoparticles as carrier for immobilized enzyme. Appl. Biochem. Biotechnol. 2007, 136, 77–96. [Google Scholar] [CrossRef]
- Hamza, R.Z.; Al-Hazmi, M.A.; Rawi, S.M. Biochemical, histological, and neuro-physiological effects of long-term aluminum chloride exposure in rats. Metab. Brain Dis. 2021, 36, 429–436. [Google Scholar] [CrossRef]
- Habig, W.H.; Pabst, M.J.; Jakoby, W.B. Glutathione S-transferases. The first enzymatic step in mercapturic acid formation. J. Biol. Chem. 1974, 249, 7130–7139. [Google Scholar] [CrossRef]
- Ohkawa, H.; Ohishi, N.; Yagi, K. Assay for lipid peroxides in animal tissues by thiobarbituric acid reaction. Anal. Biochem. 1979, 95, 351–358. [Google Scholar] [CrossRef]
- Aebi, H. Catalase in vitro. Method Enzymol. 1984, 105, 121–126. [Google Scholar]
- Gabe, M. Techniques Histologiques; Masson Publisher: Paris, France, 1968. [Google Scholar]
- Duncan, D.B. Multiple range and multiple F-test. Biometrics 1955, 11, 1–42. [Google Scholar] [CrossRef]
- Halliwell, B. Biochemistry of oxidative stress. Biochem. Soc. Trans. 2007, 35, 1147–1150. [Google Scholar] [CrossRef]
- Susheel, A.K. Fluorosis management programme in India by D-galactose in mice. Curr. Sci. 1999, 77, 1250–1256. [Google Scholar]
- Chinoy, N.J.; Memon, M.R. Beneficial effects of some vitamins and quercetin and quercetin-5′,8-disulfonate against carbon tetrachloride-caused oxidative liver injury in mice. Molecules 2001, 19, 291–305. [Google Scholar]
- Reddy, G.B.; Khandare, A.L.; Reddy, P.Y.; Rao, G.S.; Balakrishna, N. Antioxidant defense system and lipid peroxida-tion in patients with skeletal fluorosis and in fluoride-intoxicated rabbits. Toxicol. Sci. 2003, 72, 363–3688. [Google Scholar] [CrossRef] [PubMed]
- El-Megharbel, S.M.; Alsawat, M.; Al-Salmi, F.A.; Hamza, R.Z. Utilizing of (zinc oxide nano-spray) for disinfection against “SARS-CoV-2” and testing its biological effectiveness on some biochemical parameters during (COVID-19 pandemic)— “ZnO nanoparticles have antiviral activity against (SARS-CoV-2)”. Coatings 2021, 11, 388. [Google Scholar] [CrossRef]
- Day, J.A.; Canada, J.F.; Diaz, C.J.; Kroon, A.P.; Mclauchlan, R.; Faulds, B.C. Dietary flavonoid and isoflavone glyco-sides are hydrolysed D-galactose-induced mouse model. Clin. Exp. Pharmacol. Physiol. 2000, 40, 644–651. [Google Scholar]
- Klotz, L.O.; Sies, H. Defenses against peroxynitrite: Seleno compounds and flavonoids. Toxicol. Lett. 2003, 140, 125–132. [Google Scholar] [CrossRef]
- Jiang, Y.-G.; Peng, T.; Luo, Y.; Li, M.-C.; Lin, Y.-H. Resveratrol reestablishes spermatogenesis after testicular injury in rats caused by 2,5-hexanedione. Chin. Med. J. 2008, 121, 1204–1209. [Google Scholar] [CrossRef]
- Kasdallah-Grissa, A.; Mornagui, B.; Aouani, E.; Hammami, M.; Gharbi, N.; Kamoun, A.; El-Fazaa, S. Protective effect of resveratrol on ethanol-induced lipid peroxidation in rats. Alcohol Alcohol. 2006, 41, 236–239. [Google Scholar] [CrossRef] [PubMed]
- Silan, C. The effects of chronic resveratrol treatment on vascular responsiveness of streptozotocin-induced diabetic rats. Biol. Pharm. Bull. 2008, 31, 897–902. [Google Scholar] [CrossRef]
- Toklu, H.Z.; Sehirli, O.; Ersahin, M.; Süleymanoğ, S.; Yiğiner, O.; Emekli-Alturfan, E.; Yarat, A.; Yeğen, B.C.; Sener, G. Resveratrol improves cardiovascular function and reduces oxidative organ damage in the renal, cardiovascular and cerebral tissues of two-kidney, one clip hypertensive rats. J. Pharm. Pharmacol. 2010, 62, 1784–1793. [Google Scholar] [CrossRef] [PubMed]
- Juan, M.E.; Vinardell, M.P.; Planas, J.M. The daily oral administration of high doses of trans-resveratrol to rats for 28 days is not harmful. J. Nutr. 2002, 132, 257–260. [Google Scholar] [CrossRef]
- Hamza, R.Z.; El-Shenawy, N.S. Anti-inflammatory and antioxidant role of resveratrol on nicotine-induced lung changes in male rats. Toxicol. Rep. 2017, 4, 399–407. [Google Scholar] [CrossRef]
- Refat, M.S.; Hamza, R.Z.; Adam, A.A.; Saad, H.A.; Gobouri, A.A.; Al-Salmi, F.A.; Altalhi, T.A.; El-Megharbel, S.M. Potential therapeutic effects of new ruthenium (III) complex with quercetin: characterization, structure, gene regulation, and antitumor and anti-inflammatory studies (RuIII/Q novel complex is a potent immunoprotective agent). Crystals 2021, 11, 367. [Google Scholar] [CrossRef]
- Altintas, R.; Ciftci, O.; Aydin, M.; Akpolat, N.; Oguz, F.; Beytur, A. Quercetin prevents docetaxel-induced testicular damage in rats. Asian J. Androl. 2014, 47, 248–256. [Google Scholar] [CrossRef] [PubMed]
- Zhao, H.; Li, N.; Wang, Q.; Cheng, X.; Li, X.; Liu, T. Resveratrol decreases the insoluble Aβ1–42 level in hippocampus and protects the integrity of the blood–brain barrier in AD rats. Neuroscience 2015, 310, 641–649. [Google Scholar] [CrossRef]
- Hamza, R.Z.; Al-Talhi, T.; Gobouri, A.A.; Al-Yasi, H.M.; Diab, A.A.; El-Megharbel, S.M. Resveratrol and nicotine toxicity. Toxicology 2021, 505–517. [Google Scholar] [CrossRef]
- Bucak, M.N.; Ataman, M.B.; Başpınar, N.; Uysal, O.; Taşpınar, M.; Bilgili, A. Lycopene and resveratrol improve post thaw bull sperm parameters, sperm motility, mitochondrial activity and DNA integrity. Andrologia 2017, 47, 545–552. [Google Scholar] [CrossRef]
- Xiao, N.-N. Effects of resveratrol supplementation on oxidative damage and lipid peroxidation induced by strenuous exercise in rats. Biomol. Ther. 2015, 23, 374–378. [Google Scholar] [CrossRef]









| Groups |
Glutathione Reductase (GRx) (U/g) |
Catalase (CAT) (U/g) |
Malondialdhyde (MDA) (U/g) |
|---|---|---|---|
| Group 1 Control | 0.65 ± 0.09b | 1.15 ± 0.56b | 2.21 ± 0.79e |
| Group 2 D-galactose | 0.11 ± 0.02e | 0.15 ± 0.02e | 52.06 ± 4.69a |
| Group 3 Chitosan (High dose) | 0.65 ± 0.08b | 1.30 ± 0.28ab | 2.36 ± 0.86de |
| Group 4 Chitosan (Low dose) | 0.68 ± 0.04b | 1.20 ± 0.78b | 2.33 ± 0.18de |
| Group 5 Resveratrol | 0.61 ± 0.06b | 1.23 ± 0.58b | 2.38 ± 0.65de |
| Group 6 Quercetin | 0.63 ± 0.05b | 1.27 ± 0.58b | 2.10 ± 0.77e |
| Group 7 Chitosan (Low dose) + Resveratrol | 0.77 ± 0.09ab | 1.21 ± 0.55b | 2.62 ± 0.26de |
| Group 8 Chitosan (High dose) + Resveratrol | 0.76 ± 0.09ab | 1.26 ± 0.74b | 2.38 ± 0.25de |
| Group 9 Chitosan (Low dose) + Quercetin | 0.64 ± 0.05b | 1.32 ± 0.56ab | 2.47 ± 0.48de |
| Group 10 Chitosan (High dose) + Quercetin | 0.64 ± 0.09b | 1.35 ± 0.47ab | 2.49 ± 0.58de |
| Group 11 D-galactose +Chitosan (Low dose) + Resveratrol + Quercetin | 0.45 ± 0.02d | 1.18 ± 0.81bc | 16.29 ± 2.81b |
| Group 12 D-galactose + Chitosan (High dose) + Resveratrol + Quercetin | 0.53 ± 0.05c | 1.01 ± 0.52d | 12.16 ± 1.18c |
| Groups | Post Hoc Power Analysis | ||
| Groups 1 versus 2 | 100% | 100% | 100% |
| Groups 2 versus 3 | 100% | 14.95% | 100% |
| Groups 3 versus 4 | 100% | 80% | 70.12% |
| Groups 4 versus 5 | 57.85% | 13.92% | 50.47% |
| Groups 5 versus 6 | 49.98% | 51.25% | 98.76% |
| Groups 6 versus 7 | 100% | 24.36% | 100% |
| Groups 7 versus 8 | 90% | 100% | 90% |
| Groups 8 versus 9 | 81.57% | 52.58% | 49.13% |
| Groups 9 versus 10 | 99.93% | 100% | 88.4% |
| Groups 10 versus 11 | 97.93% | 99.94% | 44.18% |
| Groups 11 versus 12 | 97.93% | 95.94% | 44.18% |
| Groups |
Glutathione Reductase (GRx) (U/g) |
Catalase (CAT) (U/g) |
Malondialdhyde (MDA) (U/g) |
|---|---|---|---|
| Group 1 Control | 2.65 ± 0.59ab | 3.32 ± 0.44b | 4.01 ± 0.89d |
| Group 2 D-galactose | 0.81 ± 0.12e | 1.01 ± 0.04d | 40.46 ±3.69a |
| Group 3 Chitosan (High dose) | 2.35 ± 0.58bc | 3.48 ± 0.84ab | 3.06 ± 0.58e |
| Group 4 Chitosan (Low dose) | 2.28 ± 0.54bc | 3.45 ± 0.57ab | 3.13 ± 0.88e |
| Group 5 Resveratrol | 2.51 ± 0.96b | 3.43 ± 0.25ab | 3.48 ± 0.85e |
| Group 6 Quercetin | 2.73 ± 0.85ab | 3.47 ± 0.68ab | 3.20 ± 0.67e |
| Group 7 Chitosan (Low dose) + Resveratrol | 2.57 ± 0.89ab | 3.41 ± 0.25b | 3.10 ± 0.56e |
| Group 8 Chitosan (High dose) + Resveratrol | 2.56 ± 0.29ab | 3.46 ± 0.87ab | 3.48 ± 0.75e |
| Group 9 Chitosan (Low dose) + Quercetin | 2.54 ± 0.45ab | 3.52 ± 0.26ab | 3.37 ± 0.38e |
| Group 10 Chitosan (High dose) + Quercetin | 2.68 ± 0.99ab | 3.55 ± 0.97ab | 3.59 ± 0.58e |
| Group 11 D-galactose +Chitosan (Low dose) + Resveratrol + Quercetin | 2.15 ± 0.52d | 3.28 ± 0.51b | 10.49 ± 1.01bc |
| Group 12 D-galactose +Chitosan (High dose) + Resveratrol + Quercetin | 2.13 ± 0.35d | 3.00 ± 0.52c | 9.36 ± 1.58c |
| Groups | Post Hoc Power Analysis | ||
| Groups 1 versus 2 | 100% | 100% | 100% |
| Groups 2 versus 3 | 100% | 85% | 100% |
| Groups 3 versus 4 | 100% | 80% | 100% |
| Groups 4 versus 5 | 100% | 13.92% | 100% |
| Groups 5 versus 6 | 95% | 100% | 98.76% |
| Groups 6 versus 7 | 100% | 95% | 100% |
| Groups 7 versus 8 | 100% | 100% | 90% |
| Groups 8 versus 9 | 100% | 100% | 98% |
| Groups 9 versus 10 | 100% | 100% | 95% |
| Groups 10 versus 11 | 98% | 99.94% | 100% |
| Groups 11 versus 12 | 100% | 95.94% | 98% |
Publisher’s Note: MDPI stays neutral with regard to jurisdictional claims in published maps and institutional affiliations. |
© 2021 by the authors. Licensee MDPI, Basel, Switzerland. This article is an open access article distributed under the terms and conditions of the Creative Commons Attribution (CC BY) license (https://creativecommons.org/licenses/by/4.0/).
Share and Cite
Hamza, R.Z.; Al-Harbi, M.S.; Al-Hazaa, M.A. RETRACTED: Neurological Alterations and Testicular Damages in Aging Induced by D-Galactose and Neuro and Testicular Protective Effects of Combinations of Chitosan Nanoparticles, Resveratrol and Quercetin in Male Mice. Coatings 2021, 11, 435. https://doi.org/10.3390/coatings11040435
Hamza RZ, Al-Harbi MS, Al-Hazaa MA. RETRACTED: Neurological Alterations and Testicular Damages in Aging Induced by D-Galactose and Neuro and Testicular Protective Effects of Combinations of Chitosan Nanoparticles, Resveratrol and Quercetin in Male Mice. Coatings. 2021; 11(4):435. https://doi.org/10.3390/coatings11040435
Chicago/Turabian StyleHamza, Reham Z., Mohammad S. Al-Harbi, and Munirah A. Al-Hazaa. 2021. "RETRACTED: Neurological Alterations and Testicular Damages in Aging Induced by D-Galactose and Neuro and Testicular Protective Effects of Combinations of Chitosan Nanoparticles, Resveratrol and Quercetin in Male Mice" Coatings 11, no. 4: 435. https://doi.org/10.3390/coatings11040435
APA StyleHamza, R. Z., Al-Harbi, M. S., & Al-Hazaa, M. A. (2021). RETRACTED: Neurological Alterations and Testicular Damages in Aging Induced by D-Galactose and Neuro and Testicular Protective Effects of Combinations of Chitosan Nanoparticles, Resveratrol and Quercetin in Male Mice. Coatings, 11(4), 435. https://doi.org/10.3390/coatings11040435

