Topic Editors

Department of Science and Technological Innovation, University of Eastern Piedmont, I-15121 Alessandria, Italy
Department of Agricultural Sciences, University of Naples "Federico II", 80055 Portici, NA, Italy

Tolerance to Drought and Salt Stress in Plants, 2nd volume

Abstract submission deadline
closed (31 October 2025)
Manuscript submission deadline
31 December 2025
Viewed by
65350

Topic Information

Dear Colleagues,

Following the successful completion of Volume I of “Tolerance to Drought and Salt Stress in Plants” and the great interest shown in this research topic, we are pleased to announce the launch of Volume II.

The current climate change scenario is accelerating degradation, desertification, and salinization, with drought and salinization being major threats to agriculture worldwide. Therefore, elucidating the mechanisms involved in plant stress tolerance is critical to relieving the effects of drought and salt stresses on plant growth. This topic will focus on recent advances in drought and salt tolerance in crop plants. Submissions of original research articles, reviews, mini-reviews, and short communications are welcome.

Prof. Dr. Roberto Barbato
Prof. Dr. Veronica De Micco
Topic Editors

Keywords

  • drought stress
  • salt stress
  • climate change
  • crops
  • plants
  • abiotic stress

Participating Journals

Journal Name Impact Factor CiteScore Launched Year First Decision (median) APC
Agriculture
agriculture
3.6 6.3 2011 18 Days CHF 2600 Submit
Agronomy
agronomy
3.4 6.7 2011 17.2 Days CHF 2600 Submit
Horticulturae
horticulturae
3.0 5.1 2015 17.1 Days CHF 2200 Submit
International Journal of Plant Biology
ijpb
- 3.0 2010 19.6 Days CHF 1200 Submit
Plants
plants
4.1 7.6 2012 17.7 Days CHF 2700 Submit

Preprints.org is a multidisciplinary platform offering a preprint service designed to facilitate the early sharing of your research. It supports and empowers your research journey from the very beginning.

MDPI Topics is collaborating with Preprints.org and has established a direct connection between MDPI journals and the platform. Authors are encouraged to take advantage of this opportunity by posting their preprints at Preprints.org prior to publication:

  1. Share your research immediately: disseminate your ideas prior to publication and establish priority for your work.
  2. Safeguard your intellectual contribution: Protect your ideas with a time-stamped preprint that serves as proof of your research timeline.
  3. Boost visibility and impact: Increase the reach and influence of your research by making it accessible to a global audience.
  4. Gain early feedback: Receive valuable input and insights from peers before submitting to a journal.
  5. Ensure broad indexing: Web of Science (Preprint Citation Index), Google Scholar, Crossref, SHARE, PrePubMed, Scilit and Europe PMC.

Published Papers (37 papers)

Order results
Result details
Journals
Select all
Export citation of selected articles as:
34 pages, 2701 KB  
Article
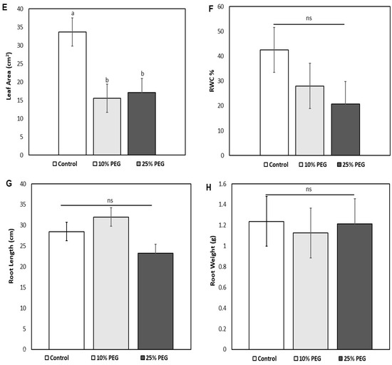
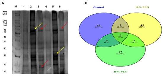
Enhancing Stress Resilience in a Drought-Tolerant Zea mays Cultivar by Integrating Morpho-Physiological and Proteomic Characterization
by Rotondwa Rabelani Sinthumule, Charlie Sithole, Joseph Lesibe Gaorongwe, Kegomoditswe Martha Matebele, Oziniel Ruzvidzo and Tshegofatso Bridget Dikobe
Int. J. Plant Biol. 2025, 16(4), 133; https://doi.org/10.3390/ijpb16040133 - 21 Nov 2025
Viewed by 203
Abstract
Maize is not only a staple across the sub-Saharan Africa (SSA) region but also a substantially economically valuable cereal crop. As a seasonal crop, its successful cultivation depends on favorable rainfall patterns and climatic conditions. However, environmental stresses such as drought limit its [...] Read more.
Maize is not only a staple across the sub-Saharan Africa (SSA) region but also a substantially economically valuable cereal crop. As a seasonal crop, its successful cultivation depends on favorable rainfall patterns and climatic conditions. However, environmental stresses such as drought limit its productivity. Enhancing stress resilience requires understanding the morphological, physiological, and proteomic response mechanisms that contribute to drought tolerance. Hence, it is critical to understand its adaptive capacity at the protein level to achieve improved stress-tolerant cultivars and increased yields in the future. Our study investigated drought stress responses in a drought-tolerant maize cultivar subjected to polyethylene glycol (PEG)-induced water deficit, combining one-dimensional gel electrophoresis (1DE) with LC-MS/MS to profile the leaf proteome. From the analysis, 50 of the 439 identified maize leaf proteins were further studied due to their significant differential expression and functional relevance, revealing the interconnection between the proteomic patterns as well as the morphological and physiological responses that enable drought resilience. These insights provide a foundation for improving stress-tolerant maize cultivars through integrative characterization approaches. Full article
Show Figures

Figure 1

16 pages, 3041 KB  
Article
Characterization of Drought-Responsive miRNAs in Peanut Through Integrated Transcriptomic Approaches
by Xin Zhang, Rui Zhang, Zhenbo Chen, Xiaoyu Zhang, Xiaoji Zhang, Yuexia Tian, Yunyun Xue, Huiqi Zhang, Na Li and Dongmei Bai
Agriculture 2025, 15(21), 2190; https://doi.org/10.3390/agriculture15212190 - 22 Oct 2025
Viewed by 283
Abstract
Drought stress severely limits peanut productivity, highlighting the urgent need to understand the molecular mechanisms that underlie drought adaptation. While microRNAs (miRNAs) are known to play essential roles in plant stress responses, their functional contributions in polyploid crops like peanut remain insufficiently explored. [...] Read more.
Drought stress severely limits peanut productivity, highlighting the urgent need to understand the molecular mechanisms that underlie drought adaptation. While microRNAs (miRNAs) are known to play essential roles in plant stress responses, their functional contributions in polyploid crops like peanut remain insufficiently explored. This study provides the first integrated transcriptomic analysis of drought-responsive miRNAs in tetraploid peanut (Arachis hypogaea). We performed high-throughput sRNA sequencing on a drought-tolerant cultivar Fenhua 8 under PEG6000-simulated drought stress, identifying 10 conserved drought-responsive miRNAs. Among these, ahy-miR398 and ahy-miR408 were significantly downregulated under drought conditions. Degradome sequencing revealed that ahy-miR398 targets copper chaperones for superoxide dismutase (CCSs), potentially reducing SOD activation and amplifying oxidative stress. In contrast, ahy-miR408 targets laccase 12 (LAC12), P-type ATPase copper transporters (COPAs), and a blue copper protein-like (PCL) gene. These targets are involved in copper homeostasis and the regulation of reactive oxygen species (ROS), suggesting that ahy-miR408 plays a role in oxidative stress management. Functional validation in transgenic Arabidopsis lines overexpressing ahy-miR398 or ahy-miR408 showed significantly reduced drought tolerance, with impaired seed germination, shorter primary roots, and exacerbated growth suppression during water deprivation. Taken together, these findings highlight a novel miRNA-mediated regulatory network in peanut drought adaptation, centered on copper-associated oxidative stress management. This study provides new insights into miRNA-based regulation in polyploid crops and offers potential molecular targets for breeding climate-resilient peanut varieties, especially in arid regions where yield stability is crucial. Full article
Show Figures

Figure 1

19 pages, 989 KB  
Article
Analysis of Phenotypic and Grain Quality Traits of Wheat Genotypes Under Drought-Stressed and Non-Stressed Conditions
by Maltase Mutanda and Sandiswa Figlan
Int. J. Plant Biol. 2025, 16(4), 119; https://doi.org/10.3390/ijpb16040119 - 15 Oct 2025
Cited by 1 | Viewed by 484
Abstract
Wheat production and grain quality are adversely affected by drought stress. The deployment of wheat genotypes with improved grain yield and grain quality assists in achieving food security and maintaining a balanced diet. Therefore, this study is aimed at evaluating the phenotypic traits [...] Read more.
Wheat production and grain quality are adversely affected by drought stress. The deployment of wheat genotypes with improved grain yield and grain quality assists in achieving food security and maintaining a balanced diet. Therefore, this study is aimed at evaluating the phenotypic traits and grain quality responses of wheat genotypes to drought-stressed conditions. Two field trials were conducted to evaluate ten wheat genotypes under drought-stressed (DS) and non-stressed (NS) conditions in 2022 and 2023. The grains of the genotypes were further evaluated for their quality. The recorded phenotypic traits include grain yield (GY), shoot biomass (SB), root biomass (RB), and harvest index (HI). The grain quality traits recorded were grain carbon content (C), nitrogen (N), and crude protein (CP). Significant (p < 0.05) genetic variation were observed for the recorded phenotypic and grain quality traits. The highest grain yield was recorded in LM48 (495.83 g m−2), and the least was observed in BW141 (131.48 g m−2) under DS conditions. The N ranged from 1.76% recorded in LM75 to 3.16% (BW141) under DS conditions. The wheat genotypes, LM48 and BW140, presented high harvest index percentages, which indicates that the genotypes were efficient in partitioning their biomass to GY production even under DS conditions. The overall mean values of C and CP were lower under DS than NS conditions. Furthermore, GY was positively associated with SB (r = 0.50 under DS; r = 0.49 under NS) and RB (r = 0.38 under DS conditions; r = 0.32 under NS conditions). Amongst all the evaluated quality traits, only CP was negatively correlated with GY (r = −0.02) under DS conditions. Based on high GY production performance under DS conditions, the wheat genotypes LM48 and BW140 are recommended for further evaluation across diverse environments and production under limited water conditions. Full article
Show Figures

Figure 1

17 pages, 1009 KB  
Article
Physiological and Transcriptome Analysis of Drought-Tolerant Mutant ds-1 of Blue Fescue (Festuca glauca) Under Drought Stress
by Yong Zhang, Peng Han, Xuefeng Xiao, Wei Chen, Hang Liu, Hengfeng Zhang and Lu Xu
Int. J. Plant Biol. 2025, 16(4), 116; https://doi.org/10.3390/ijpb16040116 - 4 Oct 2025
Viewed by 443
Abstract
Blue fescue (Festuca glauca) is a widely used ornamental grass worldwide. Drought is an important limiting factor for the growth and development of blue fescue; therefore, cultivating new strains of blue fescue with a strong drought tolerance is of great significance [...] Read more.
Blue fescue (Festuca glauca) is a widely used ornamental grass worldwide. Drought is an important limiting factor for the growth and development of blue fescue; therefore, cultivating new strains of blue fescue with a strong drought tolerance is of great significance for its production practice. To investigate the drought tolerance mechanism of ds-1, this study subjected both ds-1 and “Festina” to a natural drought treatment and measured their physiological and biochemical indicators. A transcriptomic analysis was also conducted to explore the underlying molecular mechanisms. The results showed that, after the drought treatment, the relative water content (RWC), water use efficiency (WUE), and photosynthetic rate (Pn) of ds-1 leaves were significantly higher than those of “Festina”; in addition, the contents of H2O2 and O2, the relative electrical conductivity (REC), the malondialdehyde (MDA) content, the gas conductance (Gs), and the transpiration rate (Tr) were significantly lower than those of “Festina”. The peroxidase (POD) activity of ds-1 was significantly higher than that of “Festina”, while the superoxide dismutase (SOD) activity of ds-1 was significantly lower than that of “Festina”. The transcriptome data analysis showed that there were a total of 9475 differentially expressed genes (DEGs) between ds-1 and “Festina”. A Venn plot analysis showed 692 DEGs between ds-1—8d vs. “Festina”—8d and ds-1—16d vs. “Festina”—16d. A KEGG enrichment analysis showed that these 692 genes were mainly enriched in 86 pathways, including those related to the photosynthesis antenna protein, plant hormone signal transduction, MAPK signaling, starch and sucrose metabolism, and arginine and proline metabolism. Further screening identified genes that may be associated with drought stress, including PYL, PP2C, SnRK2, ABF, BRI1, JAZ, MYC2, Lhc, and MPK6. The qRT-PCR results indicated that the expression trends of the DEGs were consistent with the transcriptome sequencing results. Our research results can provide a basis for exploring candidate genes for drought tolerance in blue fescue. In addition, our research results provide valuable genetic resources for the development of drought-resistant ornamental grass varieties, which can help reduce water consumption in cities and decrease labor and capital investment. Full article
Show Figures

Figure 1

14 pages, 1570 KB  
Article
Response of Pearl Millet (Pennisetum glaucum [L.] R. Br.) Growth to Post-Emergence Water Stress
by Lazare Vourbouè Bazie, Inoussa Drabo, Koussao Some, Armel Rouamba and Pauline Bationo (Kando)
Agronomy 2025, 15(10), 2321; https://doi.org/10.3390/agronomy15102321 - 30 Sep 2025
Viewed by 560
Abstract
Pearl millet is primarily grown under rainfed conditions in Sub-Saharan Africa. Early droughts are prevalent in the Sahel region, where pearl millet is widely cultivated, and they severely impact pearl millet growth and productivity by affecting plant stand and reducing plant density in [...] Read more.
Pearl millet is primarily grown under rainfed conditions in Sub-Saharan Africa. Early droughts are prevalent in the Sahel region, where pearl millet is widely cultivated, and they severely impact pearl millet growth and productivity by affecting plant stand and reducing plant density in the field. Consequently, genetic improvement for early drought tolerance is a promising strategy to enhance productivity in these regions. This study aims to identify pearl millet lines that are tolerant to water stress at the seedling stage by assessing various water-stress-tolerance traits. Two hundred pearl millet inbred lines were screened for drought tolerance by inducing water stress with polyethylene glycol 6000 (PEG 6000) in the laboratory. The experiment was repeated in the greenhouse using pot screening. The experimental design was an alpha lattice with 10 entries × 20 blocks in two replications. Four treatments (0 g/L, 115 g/L, 235 g/L, 289 g/L) were applied in the laboratory: one control and three concentrations of PEG 6000. Control and stress were applied in the greenhouse. Data were collected on germination rate and growth parameters, including root and seedling length, leaf length and width, and chlorophyll content. Results revealed significant differences among the pearl millet inbred lines under both drought and well-watered conditions. The inbred lines IP-16403 and IP-18062 were the most tolerant in both the greenhouse and laboratory. Water stress significantly reduced plant growth, although an increase in root length was observed in some lines. The number of days to 50% emergence was positively and strongly correlated with survival time (+0.45), while leaf width was negatively correlated with survival time (−0.29) and water stress tolerance (−0.37). The drought-tolerant and drought-susceptible pearl millet inbred lines identified in this study provide valuable genetic resources for enhancing pearl millet productivity in arid and semi-arid environments, especially in the face of unpredictable climate variability. Full article
Show Figures

Figure 1

26 pages, 1279 KB  
Review
Drought Stress in Cassava (Manihot esculenta): Management Strategies and Breeding Technologies
by Maltase Mutanda, Assefa B. Amelework, Nzumbululo Ndou and Sandiswa Figlan
Int. J. Plant Biol. 2025, 16(4), 112; https://doi.org/10.3390/ijpb16040112 - 23 Sep 2025
Viewed by 1352
Abstract
Drought stress is a major constraint to cassava productivity, especially in drought-prone regions. Although cassava is considered drought-tolerant, prolonged or severe water scarcity significantly reduces tuber yield, carbon assimilation capacity and overall plant growth. The development, selection and deployment of cassava genotypes with [...] Read more.
Drought stress is a major constraint to cassava productivity, especially in drought-prone regions. Although cassava is considered drought-tolerant, prolonged or severe water scarcity significantly reduces tuber yield, carbon assimilation capacity and overall plant growth. The development, selection and deployment of cassava genotypes with enhanced drought tolerance and water use efficiency (WUE) will help to achieve food security. The ability of cassava genotypes to maintain productivity under drought stress is enhanced by drought-responsive genes that regulate stress-related proteins and metabolites, contributing to stomatal closure, osmotic adjustment, antioxidant defense, and efficient carbon assimilation. Therefore, this comprehensive review aimed to document: (i) the effects of drought stress on cassava’s physiological, biochemical and agronomic traits, and (ii) the mitigation strategies and breeding technologies that can improve cassava yield production, drought tolerance and WUE. The key traits discussed include stomatal regulation, chlorophyll degradation, source–sink imbalance, root system architecture and carbon allocation dynamics. In addition, the review presents advances in genomic, proteomic and metabolomic tools, and emphasizes the role of early bulking genotypes, drought tolerance indices, and multi-trait selection in developing cassava cultivars with enhanced drought tolerance, drought escape and drought avoidance mechanism. Therefore, the integration of these strategies will accelerate the development, selection and deployment of improved cassava varieties, which contribute to sustainable productivity and global food security under climate change. Full article
Show Figures

Figure 1

21 pages, 9820 KB  
Article
Assessment of Deep Water-Saving Practice Effects on Crop Coefficients and Water Consumption Processes in Cultivated Land–Wasteland–Lake Systems of the Hetao Irrigation District
by Jiamin Li, Guoshuai Wang, Delong Tian, Hexiang Zheng, Haibin Shi, Zekun Li, Jie Ren and Ruiping Li
Plants 2025, 14(18), 2933; https://doi.org/10.3390/plants14182933 - 21 Sep 2025
Viewed by 482
Abstract
Water scarcity, soil salinization, and desertification threaten sustainable agricultural ecosystems of Hetao irrigation district, Yellow River Basin (YRB). Precise quantification of soil water dynamics and plant water consumption processes is essential for the agricultural sustainability of the irrigation district. Therefore, this study mainly [...] Read more.
Water scarcity, soil salinization, and desertification threaten sustainable agricultural ecosystems of Hetao irrigation district, Yellow River Basin (YRB). Precise quantification of soil water dynamics and plant water consumption processes is essential for the agricultural sustainability of the irrigation district. Therefore, this study mainly focused on the crop coefficients and water consumption processes of three representative plant types in the Hetao irrigation district, each corresponding to a specific land system: Helianthus annuus (cultivated land), Tamarix chinensis (wasteland), and Phragmites australis (lake). The SIMDualKc model was calibrated and validated based on situ observation data (soil water content and yield) during 2018 (conventional conditions), 2023 and 2024 (deep water-saving conditions). Results show strong agreement between simulated and observed soil moisture and crop yields. The results indicate that the process curves of Kcb (basal crop coefficient) and Kcbadj (adjusted crop coefficient) nearly overlapped for the three plant types in 2018 and 2023. However, under the deep water-saving project implemented in 2024, the Kcbadj process curves for all three plant types exhibited a significant reduction (approximately 15%). Soil evaporation fractions (E/ETcadj) were stable at 19–30% during the 2018, 2023, and 2024. The contribution of capillary rise to ET reached 38.61–43.18% in cultivated land (Helianthus annuus), 41.52–48.93% in wasteland (Tamarix chinensis), and 38.08–46.57% in lake boundary areas (Phragmites australis), which underscores the significant role of groundwater recharge in sustaining plant water consumption. Actual-to-potential transpiration ratios (Ta/Tp) during 2023–2024 decreased by 3–11% for Helianthus annuus, 5–12% for Tamarix chinensis, and 23% for Phragmites australis compared to Ta/Tp values in 2018. Capillary rise decreased approximately 10% during the whole system. Deep water-saving practices increased the groundwater depth and restricted groundwater recharge to plants via capillary rise, thereby impairing plant transpiration and growth. These findings provide scientific support for sustainable agriculture and ecological security in the Yellow River Basin. Full article
Show Figures

Figure 1

13 pages, 3344 KB  
Article
Leaf Physiological Plasticity and the Adaptability of Introduced Landscape Plants on a Tropical Coral Island
by Chushu Meng, Han Sheng, Zhipeng Li, Fasih Ullah Haider, Linhua Wang, Zitao Guo, Zhiyuan Shi, Cheng Huang, Fan Yang and Xu Li
Horticulturae 2025, 11(9), 1094; https://doi.org/10.3390/horticulturae11091094 - 10 Sep 2025
Cited by 1 | Viewed by 566
Abstract
The ecological restoration of tropical islands, such as the Xisha Islands, is critical for sustainable development but is hindered by extreme environmental conditions and nutrient-poor coral sand soils. This study assessed the adaptive strategies of two introduced landscape species, Acacia auriculiformis and Nerium [...] Read more.
The ecological restoration of tropical islands, such as the Xisha Islands, is critical for sustainable development but is hindered by extreme environmental conditions and nutrient-poor coral sand soils. This study assessed the adaptive strategies of two introduced landscape species, Acacia auriculiformis and Nerium oleander, by comparing their leaf physiological and biochemical traits across three treatments: native coral sand (SS2), coral sand amended with garden soil (SS1), and a garden soil control (GZ). Results revealed differentiated physiological adaptation strategies: N. oleander exhibited a ‘conservative tolerance’ strategy, characterized by maintaining higher levels of soluble proteins and the non-enzymatic antioxidant GSH, whereas A. auriculiformis employed an ‘active defense’ strategy, significantly upregulating its enzymatic antioxidant system (SOD activity increased by up to 58.80% in coral sand compared to the control). Soil amendment was crucial for improving plant performance by fundamentally altering the soil’s physicochemical properties and nutrient status. Specifically, amending coral sand with garden soil (SS1 vs. SS2) resulted in a threefold increase in both soil organic carbon (from 3.81 to 11.63 g kg−1) and water content (from 0.04% to 0.12%), while also increasing available phosphorus by over 50% and reducing the extreme soil alkalinity. This amelioration of the soil environment directly enhanced plant antioxidant capacity and overall growth performance. These findings provide a scientific basis for plant introduction on tropical islands, demonstrating that success depends on matching species-specific adaptive strategies with appropriate soil improvement techniques. Full article
Show Figures

Figure 1

18 pages, 3186 KB  
Article
Genome-Wide Identification and Functional Prediction of the GRAS Transcription Factor Family in Rice Under Abiotic Stress Conditions
by Meng Zhan, Daohe Liu, Yuxing Peng and Yulu Zhou
Int. J. Plant Biol. 2025, 16(3), 95; https://doi.org/10.3390/ijpb16030095 - 19 Aug 2025
Viewed by 790
Abstract
GRAS transcription factors play a crucial role in plant response to abiotic stresses. In this study, 61 members of the rice GRAS family, categorized into nine subfamilies, were identified by searching the latest genome sequence of rice. The OsGRAS genes that may respond [...] Read more.
GRAS transcription factors play a crucial role in plant response to abiotic stresses. In this study, 61 members of the rice GRAS family, categorized into nine subfamilies, were identified by searching the latest genome sequence of rice. The OsGRAS genes that may respond to abiotic stresses were predicted by analyzing the cis-acting elements of the promoters of the genes and the structural features of the proteins. The results showed that the known OsGRAS drought-tolerant genes and OsGRAS salt-tolerant genes have a special structure in their protein structures, and nine genes that may be related to drought tolerance and six genes that may be related to salt tolerance were predicted in this study based on these special structures. The results of tissue expression profiling showed that OsGRAS family genes were expressed in different degrees during plant growth and development, and the expression of DELLA, PAT1, and HAM subfamily members was generally high. Finally, the analysis of the expression levels of 16 randomly selected OsGRAS genes under drought and salt stress conditions showed significant up-regulation of OsGRAS14 and OsGRAS21 under both stress treatments, and OsGRAS52 was significantly down-regulated under drought stress and up-regulated under salt stress. The present study provides important clues for exploring the molecular basis of the mechanism of rice response to abiotic stress, and also provides new ideas for the improvement of rice germplasm resources. Full article
Show Figures

Figure 1

18 pages, 6161 KB  
Article
Validation of Reference Genes for Accurate RT-qPCR Normalization in Aeluropus littoralis Under Drought, Cold, and ABA Treatments
by Seyyed Hamidreza Hashemipetroudi, Ali Rezaei and Markus Kuhlmann
Agronomy 2025, 15(7), 1596; https://doi.org/10.3390/agronomy15071596 - 30 Jun 2025
Cited by 2 | Viewed by 1958
Abstract
Halophyte plants, with genes responsive to abiotic stress, are promising candidates to enhance crop stress tolerance, but reliable RT-qPCR analysis requires the precise selection of candidate reference genes (CRGs) due to their inconsistent expression across tissues and stress conditions. In this study eight [...] Read more.
Halophyte plants, with genes responsive to abiotic stress, are promising candidates to enhance crop stress tolerance, but reliable RT-qPCR analysis requires the precise selection of candidate reference genes (CRGs) due to their inconsistent expression across tissues and stress conditions. In this study eight CRGs of A. littoralis, AlEF1A, AlRPS3, AlGTFC, AlRPS12, AlUBQ2, AlTUB6, AlACT7, and AlGAPDH1, were analyzed to assess their stability for the normalization of RT-qPCR data under polyethylene glycol (PEG, 20% w/v for drought simulation), abscisic acid (ABA, 100 μM), and cold stress (4 °C) treatments. The result of the algorithms suggested different CRGs for different treatments or tissue types. However the comprehensive analysis indicates that AlEF1A is the most stable CRG for PEG-treated leaf tissue, but AlTUB6 is preferable for PEG-treated root tissue, while for PEG-treated leaf and root tissues, AlEF1A can be suggested. For cold-stressed leaf and/or root samples, AlRPS3 was the most stable. For ABA-treated leaf and root tissues, AlGTFC and AlEF1A were the most stable CRGs, respectively, whereas AlTUB6 was suggested for ABA-treated leaf and root tissues. Collectively, for all stresses combined (PEG, ABA, and cold), AlGTFC was the most stable CRG in leaf samples, while AlRPS3 was the most stable in root samples and combined leaf and root samples. The validation analysis indicates a statistically significant difference (p value < 0.05) between normalization with the most and least stable CRGs. This research suggests reliable tissue-specific RGs for A. littoralis under abiotic stresses that can enhances the accuracy of gene expression quantification. Full article
Show Figures

Figure 1

16 pages, 3150 KB  
Review
The Effects of Water-Deficit Stress on Cannabis sativa L. Development and Production of Secondary Metabolites: A Review
by Shiksha Sharma, Thais Alberti, Rodrigo De Sarandy Raposo, Aldwin M. Anterola, Jennifer Weber, Andre A. Diatta and Jose F. Da Cunha Leme Filho
Horticulturae 2025, 11(6), 646; https://doi.org/10.3390/horticulturae11060646 - 6 Jun 2025
Cited by 2 | Viewed by 4678
Abstract
Water-deficit stress is typically viewed as detrimental to agricultural yields. It has been found to enhance secondary metabolite concentrations in certain essential oil-producing plants, including Cannabis sativa L. Cannabis is a versatile plant from the Cannabaceae family which is used for its fibers, [...] Read more.
Water-deficit stress is typically viewed as detrimental to agricultural yields. It has been found to enhance secondary metabolite concentrations in certain essential oil-producing plants, including Cannabis sativa L. Cannabis is a versatile plant from the Cannabaceae family which is used for its fibers, seeds, and bioactive compounds, including medicinal and recreational cannabinoids. Furthermore, it exhibits significant metabolic shifts under water-deficit stress conditions, which may impact the production of these resources. This review explores the physiological mechanisms underlying the metabolic responses of cannabis to water-deficit stress, focusing on how water-deficit stress could promote the accumulation of secondary metabolites. Water-deficit stress induces metabolic changes in cannabis, leading to secondary metabolite accumulation. Water shortages cause stomatal closure, significantly reducing CO2 uptake and fixation via the Calvin cycle and leading to an oversupply of NADPH+H+. This oversupply allows metabolic processes to shift toward synthesizing highly reduced compounds, such as secondary metabolites. Overall, the literature suggests that the controlled application of water-deficit stress during cannabis cultivation can enhance cannabinoid quality and yields, offering a practical strategy for optimizing plant productivity while addressing current knowledge gaps in metabolic signaling pathways. Full article
Show Figures

Figure 1

21 pages, 5244 KB  
Article
Identification and Functional Validation of the PeDHN Gene Family in Moso Bamboo
by Yaqin Ye, Yanting Chang, Wenbo Zhang, Tiankui Chu, Hanchen Tian, Yayun Deng, Zehui Jiang, Yanjun Ma and Tao Hu
Plants 2025, 14(10), 1520; https://doi.org/10.3390/plants14101520 - 19 May 2025
Cited by 1 | Viewed by 929
Abstract
As climate change intensifies soil drought and salinization, enhancing the drought and salt tolerance of moso bamboo (Phyllostachys edulis) is urgent. DHN genes are crucial for plant stress responses and have gained attention in plant resistance to drought and salinity. This [...] Read more.
As climate change intensifies soil drought and salinization, enhancing the drought and salt tolerance of moso bamboo (Phyllostachys edulis) is urgent. DHN genes are crucial for plant stress responses and have gained attention in plant resistance to drought and salinity. This study identified nine DHN family members (PeDHN1PeDHN9) from moso bamboo, which were classified into K2S-type, YK2S-type, and Y2K2S-type dehydrins based on their characteristic motifs. We employed integrated bioinformatics approaches to analyze their gene structure, phylogeny, biological properties, and expression patterns under various stress conditions. Five genes (PeDHN2/4/5/6/8), which may have significant functional roles in moso bamboo, were selected for cloning. Subcellular localization experiments showed that YK2S-type dehydrins (PeDHN2/5/6) localized to both the nucleus and the plasma membrane, while K2S-type dehydrins (PeDHN4/8) were exclusively localized to the plasma membrane, indicating functional differentiation. qRT-PCR analysis revealed that the expression of PeDHN2/4/5/6/8 was significantly responsive to stress treatments with ABA, NaCl, and PEG. Additionally, overexpressing these genes in rice significantly enhanced seed germination rates and root development under salt and ABA stress, further confirming that PeDHN2/4/5/6/8 contribute to enhancing plant stress tolerance. Yeast one-hybrid assays demonstrated that two PeABF1 proteins could bind to the promoter of PeDHN4, suggesting that PeDHN4 may regulate stress responses through the ABA signaling pathway. Thus, these findings demonstrate that PeDHN2/4/5/6/8 are closely related to the response of moso bamboo to drought and saline-alkali environments. This research offers insights for moso bamboo cultivation and theoretical foundations for bamboo genetic improvement in stress environments. Full article
Show Figures

Figure 1

17 pages, 5179 KB  
Article
Salinity-Induced VOC Modulation and Physiological Adaptations in Adenosma indiana
by Jinnawat Manasathien, Woraporn Laojinda and Piyanut Khanema
Int. J. Plant Biol. 2025, 16(1), 36; https://doi.org/10.3390/ijpb16010036 - 19 Mar 2025
Cited by 1 | Viewed by 992
Abstract
Saline environments shape plant metabolism, driving ecological and biochemical adaptations. This study investigated the impact of salinity on Adenosma indiana (Indian scent-wort), a medicinal herb known for its volatile organic compounds (VOCs) and anti-inflammatory and antimicrobial properties, to elucidate its adaptive strategies. During [...] Read more.
Saline environments shape plant metabolism, driving ecological and biochemical adaptations. This study investigated the impact of salinity on Adenosma indiana (Indian scent-wort), a medicinal herb known for its volatile organic compounds (VOCs) and anti-inflammatory and antimicrobial properties, to elucidate its adaptive strategies. During the flowering stage, samples were collected from four saline microhabitats in Kalasin Province, Thailand. We analyzed soil properties, plant growth, photosynthetic pigments, compatible solutes (anthocyanins, proline, total sugars), and elemental concentrations (K, Na, Ca, Mg) across different tissues. Results showed that A. indiana maintained stable growth while enhancing chlorophyll and β-carotene levels under increasing salinity. GC-MS identified 47 VOCs, including 3-cyclopenten-1-one (first reported in this species) and β-bisabolene, both strongly linked to soil salinity. In low-salinity soils, leaves accumulated high sodium, inducing osmoprotectants (proline, total sugars) and VOCs (D-limonene, α-pinene, terpinolene, 1-octen-3-ol) in peltate glandular trichomes. Conversely, in high-salinity soils, lower leaf sodium levels were associated with increased β-bisabolene and β-caryophyllene production, suggesting distinct biochemical pathways. These findings reveal salinity-driven VOC modulation in A. indiana, highlighting its adaptive potential for medicinal applications in saline environments and its role as a source of salt-tolerant bioactive compounds. Full article
Show Figures

Graphical abstract

16 pages, 2162 KB  
Article
Certain Physiological and Chemical Indicators Drive the Yield and Quality of Cladode Mucilage in Three Fodder Nopal Morphotypes (Opuntia spp.) Under Different Soil Water Content Conditions
by Aurelio Pedroza-Sandoval, Luis Ángel González-Espíndola, Isaac Gramillo-Ávila and José Antonio Miranda-Rojas
Agriculture 2025, 15(6), 593; https://doi.org/10.3390/agriculture15060593 - 11 Mar 2025
Cited by 2 | Viewed by 1457
Abstract
Nopal cladode mucilage is a product of great importance in fodder, agri-food, industry, and health areas. This study aimed to evaluate the effect of three soil moisture contents on some physiological and chemical variables associated with the mucilage yield and quality of three [...] Read more.
Nopal cladode mucilage is a product of great importance in fodder, agri-food, industry, and health areas. This study aimed to evaluate the effect of three soil moisture contents on some physiological and chemical variables associated with the mucilage yield and quality of three morphotypes of fodder nopal (Opuntia spp.). A randomized block experimental design in a split–split plot arrangement with three replicates was used. The large plots represented the following soil moisture contents (SMC): optimum soil moisture content (OSMC) from 22 to 27%; suboptimum soil moisture content (SSMC) from 16 to 21%; and deficient soil moisture content (DSMC) from 10 to 15%. The subplots consisted of three cactus pear genotypes identified by the following IDs: C-CH, -C-NA, and C-HE. The relative water content (RWC) was significantly higher in the C-HE morphotype across each soil moisture content, and the lowest value was recorded in C-NA with OSMC; -C-CH had the lowest values in SSMC and DSMC, with 71.3% and 44.3%, respectively. There were slight variations in chlorophyll with SSMC; the C-NA and C-CH morphotypes had significantly higher chlorophyll contents, with values of 10.3 mg g−1 100 FW of chlorophyll a. and 5.87 mg 100 g−1 FW of chlorophyll b. The C-CH morphotype had the best mucilage yield, with 800 mL kg−1 FW and 712.6 mL kg−1 FW in OSMC and SSMC, respectively; DSMC showed the lowest yield at 552.3 mL kg−1 FW. The quality of cladode mucilage by treatment did not vary by soil moisture content or among nopal morphotypes. Additionally, there was a positive correlation among the relative water content and the chlorophyll a, b, and total chlorophyll contents with the yield of the nopal cladode mucilage, but not with the ash content or total solids as variables of mucilage quality vs. yield. Full article
Show Figures

Graphical abstract

18 pages, 1541 KB  
Article
Mitigating Salinity Stress in Pea Plants with Titanium Oxide Nanoparticles
by Ekaterina Yotsova, Martin Stefanov, Georgi Rashkov, Anelia Dobrikova and Emilia Apostolova
Int. J. Plant Biol. 2025, 16(1), 34; https://doi.org/10.3390/ijpb16010034 - 8 Mar 2025
Cited by 3 | Viewed by 1234
Abstract
Changes in the environment have a significant impact on photosynthetic efficiency, which in turn influences plant growth and yield. Consequently, there is a greater focus on methods to enhance photosynthetic efficiency with the goal of raising plant productivity. In this study, the effects [...] Read more.
Changes in the environment have a significant impact on photosynthetic efficiency, which in turn influences plant growth and yield. Consequently, there is a greater focus on methods to enhance photosynthetic efficiency with the goal of raising plant productivity. In this study, the effects of titanium oxide nanoparticles (TiO2 NPs) on pea plants (Pisum sativum L.) subjected to moderate salt stress by the addition of 100 mM NaCl to the nutrient solution were investigated. Two concentrations of NPs (50 mg/L and 100 mg/L) were applied through foliar spray on pea leaves. Data showed that NPs prevent salt-induced membrane damage, growth inhibition, and the increase in hydrogen peroxide and lipid peroxidation. An analysis of the chlorophyll fluorescence curves revealed that TiO2 NPs decreased the effects of NaCl on the reduction in the open photosystem II centers (corresponding with qp) and their efficiency (Φexc), as well as the activity of the oxygen-evolving complex (Fv/Fo). The co-treatment with TiO2 NPs and NaCl also improved the photochemical energy conversion of photosystem II (ΦPSII), alleviated the interaction of QA with plastoquinone, and enhanced electron transport activity and the rate of photosynthesis, compared to the plants treated with NaCl only. Additionally, NPs application under salt stress stimulated cyclic electron transport around photosystem I, thus protecting its photochemical activity. These protective effects of NPs were more pronounced at a concentration of 100 mg/L. Full article
Show Figures

Figure 1

30 pages, 6855 KB  
Article
Circadian-Mediated Regulation of Growth, Chloroplast Proteome, Targeted Metabolomics and Gene Regulatory Network in Spinacia oleracea Under Drought Stress
by Ajila Venkat and Sowbiya Muneer
Agriculture 2025, 15(5), 522; https://doi.org/10.3390/agriculture15050522 - 28 Feb 2025
Viewed by 1678
Abstract
The paramount objectives of this study were to analyze the beneficial role of the circadian clock in alleviating drought stress in an essential green leafy horticultural crop, spinach (Spinacia oleracea), and to attain knowledge on drought-stress adaptation for crop productivity. From [...] Read more.
The paramount objectives of this study were to analyze the beneficial role of the circadian clock in alleviating drought stress in an essential green leafy horticultural crop, spinach (Spinacia oleracea), and to attain knowledge on drought-stress adaptation for crop productivity. From dawn to dusk, a circadian core oscillator-based defense mechanism was noticed in relation to the strength of the chloroplast proteome and transcriptome, and the defense hormone fused it along with the molecular physiology using genotypes “Malav Jyoti” and “Delhi Green”. A photo-periodic rhythmicity containing a 4 h time interval (morning–evening loop) for 12 h in spinach was exhibited under drought-stressed (day-5) and drought re-irrigated (day-10) conditions. The circadian oscillator controlled 70% of the major part of growth and physiological measures such as the biomass, plant height, leaf-relative water content, and the shoot–root ratio under drought stress. Contrarily, drought stress resulted in the upregulation of antioxidative activities and stress markers, whereas it was diversified and maintained in the case of the re-irrigated state at certain rhythmic time intervals of the circadian clock. The physiological parameters we examined, such as net photosynthesis, transpiration, stomatal conductance, and antioxidative enzymes, exhibited the role of the circadian clock in drought stress by showing 80–90% improvements found in plants when they were re-watered after drought stress based on their circadian oscillations. Based on the physiological results, 10 a.m. and 2 p.m. were disclosed to be the rhythmic times for controlling drought stress. Moreover, an extensive study on a gene expression analysis of circadian clock-based genes (CCA1, LHY, TOC1, PRR3, PRR5, PRR7, PRR9, and RVE8) and drought-responsive genes (DREB1, DREB2, and PIP1) depicted the necessity of a circadian oscillator in alleviating drought stress. Hence, the findings of our study allowed for an intense understanding of photo-periodic rhythms in terms of the morning–evening loop, which is in line with the survival rate of spinach plants and occurs by altering cellular ROS-scavenging mechanisms, chloroplast protein profiles, gene regulation, and metabolite concentrations. Full article
Show Figures

Figure 1

15 pages, 3035 KB  
Article
Association Mapping for Drought Tolerance in Watermelons (Citrullus lanatus L.)
by Ömer Faruk Coşkun
Horticulturae 2025, 11(2), 193; https://doi.org/10.3390/horticulturae11020193 - 12 Feb 2025
Cited by 10 | Viewed by 1562
Abstract
Drought stress significantly impacts global agricultural productivity, necessitating the identification of resilient genotypes and genetic markers to develop stress-tolerant crops. This study evaluates 48 watermelon (Citrullus lanatus L.) genotypes under controlled drought conditions to assess their morphological, physiological, and molecular responses. Key [...] Read more.
Drought stress significantly impacts global agricultural productivity, necessitating the identification of resilient genotypes and genetic markers to develop stress-tolerant crops. This study evaluates 48 watermelon (Citrullus lanatus L.) genotypes under controlled drought conditions to assess their morphological, physiological, and molecular responses. Key parameters such as root length, plant height, stem diameter, SPAD index (Soil and Plant Analysis Development index), and MDA levels (Malondialdehyde) were measured. Genotypes W20, W48, W13, and W60 exhibited superior drought tolerance, characterized by enhanced biomass retention, water-use efficiency, and photosynthetic capacity. Correlation analysis revealed significant relationships among traits, such as a strong positive correlation between plant height and stem diameter (r = 0.84) and a negative correlation between MDA and root length (r = −0.99), underscoring the physiological trade-offs under stress. Molecular analyses using inter-primer binding site (iPBS) markers showed a high polymorphism rate (93.2%) and identified 18 markers significantly associated with drought-related traits. Markers iPBS-2239 and iPBS-2400 emerged as highly informative, offering the potential for marker-assisted breeding. This integrative approach highlights the complex mechanisms underlying drought tolerance in watermelons and provides valuable genetic resources and candidate genotypes for developing drought-resilient cultivars. These findings contribute to advancing breeding strategies to address the challenges of climate change and water scarcity in agriculture. Full article
Show Figures

Figure 1

22 pages, 5774 KB  
Article
Comprehensive In Silico Analysis of the NHX (Na+/H+ Antiporter) Gene in Rice (Oryza sativa L.)
by Hoa Hai Thi Bui, Duong Huy Nguyen, Le Thu Thi Dinh, Hang Thu Thi Trinh, Thoa Kim Vu and Van Ngoc Bui
Int. J. Plant Biol. 2025, 16(1), 6; https://doi.org/10.3390/ijpb16010006 - 6 Jan 2025
Cited by 4 | Viewed by 2502
Abstract
The Na+/H+ antiporter (NHX) gene family plays a pivotal role in plant salt tolerance in regulating intracellular Na+ and H+ homeostasis. In this study, seven candidate OsNHX genes (OsNHX1 to OsNHX7) were identified in [...] Read more.
The Na+/H+ antiporter (NHX) gene family plays a pivotal role in plant salt tolerance in regulating intracellular Na+ and H+ homeostasis. In this study, seven candidate OsNHX genes (OsNHX1 to OsNHX7) were identified in the rice genome and classified into three phylogenetic clusters (Vac, Endo, and PM) based on their predicted subcellular localization. Five OsNHX gene pairs (OsNHX1/OsNHX2, OsNHX1/OsNHX3, OsNHX1/OsNHX4, OsNHX2/OsNHX6, and OsNHX5/OsNHX6) were found to have arisen from dispersed duplication events and exhibited purifying selection, indicating functional conservation. Analysis of cis-regulatory elements (CREs) revealed a diverse range of elements associated with tissue-specific expression, hormone signaling, and stress responses, particularly to dehydration and salinity. Notably, CREs associated with tissue/organelle-specific expression and stress responses were the most abundant, suggesting a potential role for OsNHX genes in regulating growth, development, and stress tolerance in rice. Importantly, expression profiling revealed that OsNHX1, OsNHX2, OsNHX3, and OsNHX5 were upregulated under salt stress, with significantly higher expression levels in the salt-tolerant rice cultivar Pokkali compared to the salt-sensitive cultivar IR64. Our findings provide a comprehensive analysis of the evolutionary, structural, and functional features of the OsNHX gene family and highlights their critical role in rice salt tolerance, offering insights into potential applications for crop improvement. Full article
Show Figures

Figure 1

21 pages, 12597 KB  
Article
Genome-Wide Identification and Expression Analysis of NAC Gene Family Members in Seashore Paspalum Under Salt Stress
by Xuanyang Wu, Xiaochen Hu, Qinyan Bao, Qi Sun, Pan Yu, Junxiang Qi, Zixuan Zhang, Chunrong Luo, Yuzhu Wang, Wenjie Lu and Xueli Wu
Plants 2024, 13(24), 3595; https://doi.org/10.3390/plants13243595 - 23 Dec 2024
Cited by 2 | Viewed by 1749
Abstract
The NAC gene family plays a crucial role in plant growth, development, and responses to biotic and abiotic stresses. Paspalum Vaginatum, a warm-season turfgrass with exceptional salt tolerance, can be irrigated with seawater. However, the NAC gene family in seashore paspalum remains [...] Read more.
The NAC gene family plays a crucial role in plant growth, development, and responses to biotic and abiotic stresses. Paspalum Vaginatum, a warm-season turfgrass with exceptional salt tolerance, can be irrigated with seawater. However, the NAC gene family in seashore paspalum remains poorly understood. In this study, genome-wide screening and identification were conducted based on the NAC (NAM) domain hidden Markov model in seashore paspalum, resulting in the identification of 168 PvNAC genes. A phylogenetic tree was constructed, and the genes were classified into 18 groups according to their topological structure. The physicochemical properties of the PvNAC gene family proteins, their conserved motifs and structural domains, cis-acting elements, intraspecific collinearity analysis, GO annotation analysis, and protein–protein interaction networks were analyzed. The results indicated that the majority of PvNAC proteins are hydrophilic and predominantly localized in the nucleus. The promoter regions of PvNACs are primarily enriched with light-responsive elements, ABRE motifs, MYB motifs, and others. Intraspecific collinearity analysis suggests that PvNACs may have experienced a large-scale gene duplication event. GO annotation indicated that PvNAC genes were essential for transcriptional regulation, organ development, and responses to environmental stimuli. Furthermore, the protein interaction network predicted that PvNAC73 interacts with proteins such as BZIP8 and DREB2A to form a major regulatory hub. The transcriptomic analysis investigates the expression patterns of NAC genes in both leaves and roots under varying durations of salt stress. The expression levels of 8 PvNACs in roots and leaves under salt stress were examined and increased to varying degrees under salt stress. The qRT-PCR results demonstrated that the expression levels of the selected genes were consistent with the FPKM value trends observed in the RNA-seq data. This study established a theoretical basis for understanding the molecular functions and regulatory mechanisms of the NAC gene family in seashore paspalum under salt stress. Full article
Show Figures

Figure 1

19 pages, 10439 KB  
Article
Responses of Local and Non-Local Tropical Plant Seedling Functional Traits to Simulated Drought
by Danting Deng, Meiqiu Yang, Zongrui Lai and Yanfei Sun
Agronomy 2024, 14(11), 2584; https://doi.org/10.3390/agronomy14112584 - 1 Nov 2024
Cited by 1 | Viewed by 1525
Abstract
The increasing frequency and severity of drought, driven by global climate change, has emerged as a critical factor constraining the growth of landscaping trees in urban ecosystems. The local or non-local status of tree species is an important driver of plant function traits, [...] Read more.
The increasing frequency and severity of drought, driven by global climate change, has emerged as a critical factor constraining the growth of landscaping trees in urban ecosystems. The local or non-local status of tree species is an important driver of plant function traits, which regulate plant performance. However, the differential impact of varying drought intensities on the functional traits of both non-local and local trees remains poorly understood. This study investigated the responses of leaf and root traits of seven typical tropical landscaping tree seedlings (three local species and four non-local species) to simulated drought conditions in a year-long greenhouse experiment. The results showed that drought significantly increased the specific leaf area, leaf thickness, and root exudate rate, while reducing root nitrogen content and leaf dry matter content, with differences observed between local and non-local species. The non-local species exhibited pronounced fluctuations in leaf and root traits between control and drought conditions. Local species tended to enhance the relationship between leaves and roots under drought, while non-local species showed a weakening of this relationship. Principal component analysis revealed that local species adopted a more conservative strategy under control conditions and a more acquisitive strategy under drought, while root strategies remained stable across conditions. The subordination function method in fuzzy mathematics identified Terminalia neotaliala (non-local) as the most drought-resistant species and Artocarpus heterophyllus (non-local) as the least drought-resistant species. Non-local species demonstrated greater drought resistance in leaf traits compared to local species, but the opposite was observed for root traits. These results underscore the importance of understanding the species-specific responses of local and non-local trees to drought stress. These findings provide a scientific basis for developing effective screening and management protocols for drought-resistant landscaping tree species. Full article
Show Figures

Figure 1

14 pages, 4283 KB  
Article
Genome-Wide Identification of CAMTA Gene Family in Oat (Avena sativa) and Expression Analysis under Various Abiotic Stresses
by Yanjiao Yang, Jin Li, Mingjiu Yao and Shiyong Chen
Agronomy 2024, 14(9), 2053; https://doi.org/10.3390/agronomy14092053 - 8 Sep 2024
Cited by 2 | Viewed by 2033
Abstract
Oat (Avena sativa) is one of the most important cereal crops and cool-season forage grasses in the world. The calmodulin-binding transcription activator (CAMTA) gene family is one of the largest families in plants, and it plays vital roles in [...] Read more.
Oat (Avena sativa) is one of the most important cereal crops and cool-season forage grasses in the world. The calmodulin-binding transcription activator (CAMTA) gene family is one of the largest families in plants, and it plays vital roles in multiple biological processes. However, the CAMTA genes in oats, especially those involved in abiotic stress, have not yet been elucidated. Herein, our findings reveal the presence of 20 distinct AsCAMTA genes, which were clustered into three subfamilies based on their gene structure and conserved motifs, indicating functional similarities within each subgroup. Chromosomal mapping indicated an uneven distribution across 10 chromosomes, suggesting a complex evolutionary history marked by potential gene duplication events. The results showed that most AsCAMTA genes contained stress-related cis-elements. The study further investigated the expression patterns of these genes under abiotic stress conditions utilizing RT-qPCR analysis. The results identified three AsCAMTA genes (AsCAMTA5, AsCAMTA7, and AsCAMTA19) that exhibited significant up-regulation under salt stress, with AsCAMTA7 also showing a marked increase in expression under drought stress. These findings suggest a pivotal role of AsCAMTA5, AsCAMTA7, and AsCAMTA19 genes in mediating the responses to various abiotic stresses by integrating multiple stress signals in oats. This investigation provides valuable insights into the potential functions of AsCAMTA genes in the stress response mechanisms of oats, laying a foundation for further functional studies aimed at enhancing abiotic stress tolerance in crops. Full article
Show Figures

Figure 1

17 pages, 1434 KB  
Article
Establishing In Vitro Screening Protocols Based on Phenotypic Plasticity of Amaranthus dubius and Galinsoga parviflora Seeds for Drought, Salinity, and Heat Tolerance
by Candyce Ann Areington, Martha M. O’Kennedy and Sershen
Int. J. Plant Biol. 2024, 15(3), 878-894; https://doi.org/10.3390/ijpb15030063 - 4 Sep 2024
Cited by 2 | Viewed by 1665
Abstract
The vulnerability of commercial crops under a changing climate has led scientists to consider wild crop species as alternative food sources. The aim of this study was to identify plastic physiological and morphological traits that could be used to in vitro screen Amaranthus [...] Read more.
The vulnerability of commercial crops under a changing climate has led scientists to consider wild crop species as alternative food sources. The aim of this study was to identify plastic physiological and morphological traits that could be used to in vitro screen Amaranthus dubius and Galinsoga parviflora seeds for drought, salinity, and heat tolerance. To establish the lethal dose/temperature, 50% (LD/T50), for each stress, seeds for both were subjected to various mannitol and NaCl stresses and a range of temperatures. Percentage seedling emergence was selected as the initial indicator of tolerance and used to establish the LD/T50 for in vitro screening for both species. Seeds of both were then screened at the LD/T50 concentrations/temperatures established, and seedlings that emerged after 21 days were measured for leaf area, root (RL), shoot length (SL), chlorophyll content (Chl), fresh, dry mass, and leaf number. Data for these were used to quantify plasticity in terms of Valladares’s phenotypic plasticity index. For A. dubius, three (viz. RL, SL, and Chl) showed some plasticity (≥0.53) and tolerance across all three stressors. For G. parviflora all traits except SL showed some plasticity (≥0.58) and tolerance across all three stressors. Both species had high phenotypic plasticity across all three stressors, which suggests that wild leafy vegetables may possess the ability to tolerate climate change-associated stressors and should be considered for future breeding programs. Full article
Show Figures

Figure 1

12 pages, 3215 KB  
Article
Study of CaDreb2c and CaDreb2h Gene Sequences and Expression in Chickpea (Cicer arietinum L.) Cultivars Growing in Northern Kazakhstan under Drought
by Konstantin V. Kiselev, Zlata V. Ogneva, Alexandra S. Dubrovina, Ademi Zh. Gabdola, Gulmira Zh. Khassanova and Satyvaldy A. Jatayev
Plants 2024, 13(15), 2066; https://doi.org/10.3390/plants13152066 - 26 Jul 2024
Cited by 1 | Viewed by 1392
Abstract
Drought poses a significant challenge to plant growth and productivity, particularly in arid regions like northern Kazakhstan. Dehydration-responsive element-binding (DREB) transcription factors play an important role in plant response to drought and other abiotic stresses. In Arabidopsis thaliana, the DREB subfamily consists [...] Read more.
Drought poses a significant challenge to plant growth and productivity, particularly in arid regions like northern Kazakhstan. Dehydration-responsive element-binding (DREB) transcription factors play an important role in plant response to drought and other abiotic stresses. In Arabidopsis thaliana, the DREB subfamily consists of six groups, designated DREB1 to DREB6. Among these, DREB2 is primarily associated with drought and salinity tolerance. In the chickpea genome, two DREB genes, CaDREB2c and CaDREB2h, have been identified, exhibiting high sequence similarity to Arabidopsis DREB2 genes. We investigated the nucleotide sequences of CaDREB2c and CaDREB2h genes in several chickpea cultivars commonly grown in northern Kazakhstan. Interestingly, the CaDREB2h gene sequence was identical across all varieties and corresponded to the sequence deposited in the GenBank. However, the CaDREB2c gene sequence exhibited variations among the studied varieties, categorized into three groups: the first group (I), comprising 20 cultivars, contained a CaDREB2c gene sequence identical to the GenBank (Indian cultivar CDC Frontier). The second group (II), consisting of 4 cultivars, had a single synonymous substitution (T to C) compared to the deposited CaDREB2c gene sequence. The third group, encompassing 5 cultivars, displayed one synonymous substitution (C to T) and two non-synonymous substitutions (G to T and G to A). Furthermore, we assessed the gene expression patterns of CaDREB2c and CaDREB2h in different chickpea varieties under drought conditions. Chickpea cultivars 8 (III), 37 (I), 6 (III), and 43 (I) exhibited the highest drought resistance. Our analysis revealed a strong positive correlation between drought resistance and CaDREB2h gene expression under drought stress. Our findings suggest that the chickpea’s adaptive responses to water deprivation are associated with changes in CaDREB2 gene expression. To further elucidate the mechanisms underlying drought tolerance, we propose future research directions that will delve into the molecular interactions and downstream targets of CaDREB2 genes. Full article
Show Figures

Figure 1

18 pages, 10556 KB  
Article
The Drought Tolerance Function and Tanscriptional Regulation of GhAPX7 in Gossypium hirsutum
by Tingwei Wang, Quanjia Chen, Yaping Guo, Wenju Gao, Hu Zhang, Duolu Li, Shiwei Geng, Yuxiang Wang, Jieyin Zhao, Jincheng Fu, Yilei Long, Pengfei Liu, Yanying Qu and Qin Chen
Plants 2024, 13(15), 2032; https://doi.org/10.3390/plants13152032 - 24 Jul 2024
Cited by 2 | Viewed by 1798
Abstract
Drought stress significantly affects the growth, development, and yield of cotton, triggering the response of multiple genes. Among them, ascorbate peroxidase (APX) is one of the important antioxidant enzymes in the metabolism of reactive oxygen species in plants, and APX enhances the ability [...] Read more.
Drought stress significantly affects the growth, development, and yield of cotton, triggering the response of multiple genes. Among them, ascorbate peroxidase (APX) is one of the important antioxidant enzymes in the metabolism of reactive oxygen species in plants, and APX enhances the ability of plants to resist oxidation, thus increasing plant stress tolerance. Therefore, enhancing the activity of APX in cells is crucial to improving plant stress resistance. Previous studies have isolated differentially expressed proteins under drought stress (GhAPX7) in drought-resistant (KK1543) and drought-sensitive (XLZ26) plants. Thus, this study analyzed the expression patterns of GhAPX7 in different cotton tissues to verify the drought resistance function of GhAPX7 and explore its regulatory pathways. GhAPX7 had the highest expression in cotton leaves, which significantly increased under drought stress, suggesting that GhAPX7 is essential for improving antioxidant capacity and enzyme activities in cotton. GhAPX7 silencing indirectly affects pronounced leaf yellowing and wilting in drought-resistant and drought-sensitive plants under drought stress. Malondialdehyde (MDA) content was significantly increased and chlorophyll and proline content and APX enzyme activity were generally decreased in silenced plants compared to the control. This result indicates that GhAPX7 may improve drought resistance by influencing the contents of MDA, chlorophyll, proline, and APX enzyme activity through increased expression levels. Transcriptome analysis revealed that the drought-related differentially expressed genes between the control and treated groups enriched plant hormone signal transduction, MAPK signaling, and plant–pathogen interaction pathways. Therefore, the decreased expression of GhAPX7 significantly affects the expression levels of genes in these three pathways, reducing drought resistance in plants. This study provides insights into the molecular mechanisms of GhAPX7 and its role in drought resistance and lays a foundation for further research on the molecular mechanisms of response to drought stress in cotton. Full article
Show Figures

Figure 1

21 pages, 4399 KB  
Article
Potential Application of Selenium and Copper Nanoparticles in Improving Growth, Quality, and Physiological Characteristics of Strawberry under Drought Stress
by Aichun Liu, Wenfei Xiao, Wenguo Lai, Jianrong Wang, Xiaoyuan Li, Hong Yu and Yan Zha
Agriculture 2024, 14(7), 1172; https://doi.org/10.3390/agriculture14071172 - 18 Jul 2024
Cited by 22 | Viewed by 2785
Abstract
Drought stress can reduce strawberry yield and quality and is one of the main abiotic factors restricting strawberry production in China. Nano-agricultural technology has significant regulatory effects in improving crop yield and quality and reducing agricultural environmental pollution. We performed a pot experiment [...] Read more.
Drought stress can reduce strawberry yield and quality and is one of the main abiotic factors restricting strawberry production in China. Nano-agricultural technology has significant regulatory effects in improving crop yield and quality and reducing agricultural environmental pollution. We performed a pot experiment using FenYu No. 1 strawberry and applied copper nanoparticles (CuNPs) and selenium NPs (SeNPs) to study their effects on the growth, quality, photosynthetic parameter indexes, and physiological characteristics of strawberry plants under drought stress. The growth and photosynthesis of strawberry plants were significant adversely affected by moderate drought stress (DS, 60% field capacity (FC)) and severe drought stress (SS, 25% FC). Compared with normal water-holding conditions, the application of CuNPs, SeNPs, and their combination effectively increased the agronomic traits of strawberry plants; improved fruit quality; and enhanced the content of photosynthetic pigments (chlorophyll a, chlorophyll b, and total chlorophyll), photosynthetic characteristic parameters, chlorophyll fluorescence parameters, and water-use efficiency. In addition, the exogenous application of CuNPs and SeNPs improved the drought tolerance of plants by increasing the activities of antioxidant enzymes catalase, peroxidase, and superoxide dismutase, and decreasing the malondialdehyde content, with the following overall trend among the treatments: control < CuNPs < SeNPs < CuNPs + SeNPs. The results of the principal component analysis showed that the two extracted principal components could reflect 85.54% of the information of the original data, leaf photosynthetic pigments, photosynthetic characteristic parameters, chlorophyll fluorescence parameters, and strawberry agronomic traits indexes and could be used as the primary indexes for evaluating the improvement of strawberry growth by nanofertilizers under drought-stress conditions. Taken together, our results indicate that nanofertilizers have potential for improving the growth, quality, and physiological characteristics of strawberries under drought stress. Full article
Show Figures

Figure 1

16 pages, 7548 KB  
Article
Metabolic Response of the Lycium barbarum Variety ‘Ningqi No. 7′ to Drought Stress
by Xiao Liu, Chuanzhe Wang, Qiao Xu, Dan Zhao, Fei Liu and Beibei Han
Plants 2024, 13(14), 1935; https://doi.org/10.3390/plants13141935 - 14 Jul 2024
Cited by 5 | Viewed by 1917
Abstract
Lycium barbarum has been widely planted in arid and semi-arid areas due to its drought-resistant ability, which is of great economic value as a medicinal and edible homology plant. In this study, the metabolome of the L. barbarum variety “Ningqi 7” under different [...] Read more.
Lycium barbarum has been widely planted in arid and semi-arid areas due to its drought-resistant ability, which is of great economic value as a medicinal and edible homology plant. In this study, the metabolome of the L. barbarum variety “Ningqi 7” under different drought stress conditions was compared and analyzed by the non-targeted UPLC-MS (ultra-high performance liquid chromatography with mass spectrometry) technique. The results showed that drought stress significantly decreased the water content of leaves, increased the activity of antioxidant enzymes in plants, and up-regulated the metabolites and pathways involved in osmoregulation, antioxidant stress, energy metabolism, and signal transduction. Under moderate drought (40–45% FC), L. barbarum accumulated osmoregulatory substances mainly through the up-regulation of the arginine metabolism pathway. At the same time, phenylalanine metabolism and cutin, suberine, and wax biosynthesis were enhanced to improve the antioxidant capacity and reduce water loss. However, in severe drought (10–15% FC), L. barbarum shifted to up-regulate purine metabolism and lysine degradation and redistributed energy and nitrogen resources. In addition, vitamin B6 metabolism was significantly upregulated in both groups of stress levels, playing a key role in antioxidant and growth regulation. These observations delineate the metabolic adaptations of L. barbarum “Ningqi 7” in response to drought stress. Full article
Show Figures

Graphical abstract

14 pages, 1809 KB  
Article
Genetic Control of Tolerance to Drought Stress in Wild Soybean (Glycine soja) at the Vegetative and the Germination Stages
by Thi Cuc Nguyen, Hai Anh Tran, Jeong-Dong Lee, Hak Soo Seo, Hyun Jo and Jong Tae Song
Plants 2024, 13(14), 1894; https://doi.org/10.3390/plants13141894 - 9 Jul 2024
Cited by 2 | Viewed by 2558
Abstract
Drought stress, which is becoming more prevalent due to climate change, is a significant abiotic factor that adversely impacts crop production and yield stability. Cultivated soybean (Glycine max), a versatile crop for humans and animals, exhibits sensitivity to drought, resulting in [...] Read more.
Drought stress, which is becoming more prevalent due to climate change, is a significant abiotic factor that adversely impacts crop production and yield stability. Cultivated soybean (Glycine max), a versatile crop for humans and animals, exhibits sensitivity to drought, resulting in reduced growth and development under drought conditions. However, few genetic studies have assessed wild soybean’s (Glycine soja) response to drought stress. In this work, we conducted a genome-wide association study (GWAS) and analysis of wild soybean accessions to identify loci responsible for drought tolerance at the vegetative (n = 187) and the germination stages (n = 135) using the available resequencing data. The GWAS analysis of the leaf wilting score (LWS) identified eight single-nucleotide polymorphisms (SNPs) on chromosomes 10, 11, and 19. Of these, wild soybeans with both SNPs on chromosomes 10 (adenine) and 11 (thymine) produced lower LWS, indicating that these SNPs have an important role in the genetic effect on LWS for drought tolerance at the vegetative stage. At the germination stage, nine SNPs associated with five phenotypic measurements were identified on chromosomes 6, 9, 10, 13, 16, and 17, and the genomic regions identified at the germination stage were different from those identified for the LWS, supporting our previous finding that there may not be a robust correlation between the genes influencing phenotypes at the germination and vegetative stages. This research will benefit marker-assisted breeding programs aimed at enhancing drought tolerance in soybeans. Full article
Show Figures

Figure 1

20 pages, 4971 KB  
Article
The Response and Evaluation of Morphology, Physiology, and Biochemistry Traits in Triploid Passiflora edulis Sims ‘Mantianxing’ to Drought Stress
by Xin Su, Zhenxin Yang, Chiyu Zhou, Shili Geng, Shi Chen, Nianhui Cai, Junrong Tang, Lin Chen and Yulan Xu
Plants 2024, 13(12), 1685; https://doi.org/10.3390/plants13121685 - 18 Jun 2024
Cited by 6 | Viewed by 1836
Abstract
As one of the most influential environmental factors, drought stress greatly impacts the development and production of plants. Triploid-induced Passiflora edulis Sims ‘Mantianxing’ is an important new cultivar for multi-resistance variety selective breeding, which is one of the P. edulis breeding essential targets. [...] Read more.
As one of the most influential environmental factors, drought stress greatly impacts the development and production of plants. Triploid-induced Passiflora edulis Sims ‘Mantianxing’ is an important new cultivar for multi-resistance variety selective breeding, which is one of the P. edulis breeding essential targets. However, the performance of triploid ‘Mantianxing’ under drought stress is unknown. In order to study the drought resistance of triploid ‘Mantianxing’, our study compared drought-related indicators in diploids and triploids under natural drought experiments, including morphological, physiological, and biochemical characteristics. Results showed that triploid P. edulis ‘Mantianxing’ showed variable responses to drought treatment. Compared with diploids, triploids showed higher photosynthesis and chlorophyll fluorescence, osmotic adjustment substances, and antioxidant enzyme activity under drought stress and faster chlorophyll biosynthesis and growth recovery after rewatering. Generally speaking, these results indicate that the drought resistance of triploid P. edulis is superior to diploid. This study provides scientific information for breeding stress tolerance variety of P. edulis ‘Mantianxing’ new cultivar. Full article
Show Figures

Figure 1

17 pages, 5811 KB  
Article
Overexpression of Wild Soybean Expansin Gene GsEXLB14 Enhanced the Tolerance of Transgenic Soybean Hairy Roots to Salt and Drought Stresses
by Linlin Wang, Tong Zhang, Cuiting Li, Changjun Zhou, Bing Liu, Yaokun Wu, Fumeng He, Yongqing Xu, Fenglan Li and Xu Feng
Plants 2024, 13(12), 1656; https://doi.org/10.3390/plants13121656 - 14 Jun 2024
Cited by 9 | Viewed by 2005
Abstract
As a type of cell-wall-relaxing protein that is widely present in plants, expansins have been shown to actively participate in the regulation of plant growth and responses to environmental stress. Wild soybeans have long existed in the wild environment and possess abundant resistance [...] Read more.
As a type of cell-wall-relaxing protein that is widely present in plants, expansins have been shown to actively participate in the regulation of plant growth and responses to environmental stress. Wild soybeans have long existed in the wild environment and possess abundant resistance gene resources, which hold significant value for the improvement of cultivated soybean germplasm. In our previous study, we found that the wild soybean expansin gene GsEXLB14 is specifically transcribed in roots, and its transcription level significantly increases under salt and drought stress. To further identify the function of GsEXLB14, in this study, we cloned the CDS sequence of this gene. The transcription pattern of GsEXLB14 in the roots of wild soybean under salt and drought stress was analyzed by qRT-PCR. Using an Agrobacterium rhizogenes-mediated genetic transformation, we obtained soybean hairy roots overexpressing GsEXLB14. Under 150 mM NaCl- and 100 mM mannitol-simulated drought stress, the relative growth values of the number, length, and weight of transgenic soybean hairy roots were significantly higher than those of the control group. We obtained the transcriptomes of transgenic and wild-type soybean hairy roots under normal growth conditions and under salt and drought stress through RNA sequencing. A transcriptomic analysis showed that the transcription of genes encoding expansins (EXPB family), peroxidase, H+-transporting ATPase, and other genes was significantly upregulated in transgenic hairy roots under salt stress. Under drought stress, the transcription of expansin (EXPB/LB family) genes increased in transgenic hairy roots. In addition, the transcription of genes encoding peroxidases, calcium/calmodulin-dependent protein kinases, and dehydration-responsive proteins increased significantly. The results of qRT-PCR also confirmed that the transcription pattern of the above genes was consistent with the transcriptome. The differences in the transcript levels of the above genes may be the potential reason for the strong tolerance of soybean hairy roots overexpressing the GsEXLB14 gene under salt and drought stress. In conclusion, the expansin GsEXLB14 can be used as a valuable candidate gene for the molecular breeding of soybeans. Full article
Show Figures

Figure 1

15 pages, 4310 KB  
Article
Genome-Wide Identification, Characterization, and Expression of the HAK/KUP/KT Potassium Transporter Gene Family in Poncirus trifoliata and Functional Analysis of PtKUP10 under Salt Stress
by Longfei Jin, Xinxing Yin, Mingxia Wen, Bei Huang, Feng Liu, Xinguo Li and Peng Wang
Horticulturae 2024, 10(6), 628; https://doi.org/10.3390/horticulturae10060628 - 12 Jun 2024
Cited by 1 | Viewed by 1573
Abstract
Potassium is an essential mineral nutrient for citrus growth and stress response. In this study, the HAK/KUP/KT gene family was identified from the genome of trifoliate orange (Poncirus trifoliata). The physical and chemical properties, chromosomal location, gene structure, evolutionary relationship, conserved [...] Read more.
Potassium is an essential mineral nutrient for citrus growth and stress response. In this study, the HAK/KUP/KT gene family was identified from the genome of trifoliate orange (Poncirus trifoliata). The physical and chemical properties, chromosomal location, gene structure, evolutionary relationship, conserved motifs, and tissue expression characteristics were analyzed. The expression characteristics under low potassium and salt stress were analyzed by fluorescence quantitative PCR. The function of PtKUP10 was investigated by heterologous expression in Arabidopsis thaliana. The results showed that at least 18 PtKUPs were distributed in seven chromosomes. Phylogenetic analysis showed that four PtKUPs clustered in clade I, which mediated the high-affinity potassium absorption. Gene expression analysis showed that four PtKUPs were highly expressed in root, seven PtKUPs were up-regulated by low potassium stress, and nine PtKUPs were up-regulated by salt stress. The cis-acting elements on the promoter of PtKUPs were predominantly involved in stress and hormone responses. Overexpression of PtKUP10 in Arabidopsis thaliana could enhance salt tolerance by accumulating more potassium in the shoot and reducing sodium content in the shoots and roots. These results indicated that PtKUPs play important roles in potassium absorption and salt stress response, and PtKUP10 might enhance salt tolerance by maintaining potassium and sodium homeostasis. Full article
Show Figures

Figure 1

17 pages, 2940 KB  
Article
Effects of Micro-Topography and Vegetation on Soil Moisture on Fixed Sand Dunes in Tengger Desert, China
by Dinghai Zhang, Youyi Zhao, Haidi Qi, Lishan Shan, Guopeng Chen and Ting Ning
Plants 2024, 13(11), 1571; https://doi.org/10.3390/plants13111571 - 6 Jun 2024
Cited by 10 | Viewed by 2375
Abstract
Soil moisture is a key factor in arid ecosystems, with local variations influenced by topography and vegetation. Understanding this relationship is crucial for combating desertification. Employing ANOVA, Mean Decrease Accuracy (MDA) analysis from random forest modeling and Structural Equation Modeling (SEM), this study [...] Read more.
Soil moisture is a key factor in arid ecosystems, with local variations influenced by topography and vegetation. Understanding this relationship is crucial for combating desertification. Employing ANOVA, Mean Decrease Accuracy (MDA) analysis from random forest modeling and Structural Equation Modeling (SEM), this study investigates the distribution of soil moisture and its associations with topographic and vegetative factors across four micro-geomorphic units in the Tengger Desert, China. Significant heterogeneity in soil moisture across various layers and locations, including windward and leeward slopes and the tops and bottoms of dunes, was observed. Soil moisture generally increases from the surface down to 300 cm, with diminishing fluctuations at greater depths. Soil moisture peaks in the surface and middle layers on windward slopes and in deep layers at the bottom of dunes, exhibiting an initial rise and then a decline on windward slopes. Topographic (including slope direction and elevation difference) and vegetation (including shrub and herb coverage) factors significantly influence soil moisture across three depth layers. Topographic factors negatively affect soil moisture directly, whereas vegetation positively influences it indirectly, with shrub and herb abundance enhancing moisture levels. These insights inform ecological management and the formulation of soil moisture-conservation strategies in arid deserts. The study underscores customizing sand-binding vegetation to various micro-geomorphic dune units. Full article
Show Figures

Figure 1

30 pages, 6252 KB  
Article
Comprehensive Transcriptome and Proteome Analyses Reveal the Drought Responsive Gene Network in Potato Roots
by Tianyuan Qin, Yihao Wang, Zhuanfang Pu, Ningfan Shi, Richard Dormatey, Huiqiong Wang and Chao Sun
Plants 2024, 13(11), 1530; https://doi.org/10.3390/plants13111530 - 31 May 2024
Cited by 3 | Viewed by 2208
Abstract
The root system plays a decisive role in the growth and development of plants. The water requirement of a root system depends strongly on the plant species. Potatoes are an important food and vegetable crop grown worldwide, especially under irrigation in arid and [...] Read more.
The root system plays a decisive role in the growth and development of plants. The water requirement of a root system depends strongly on the plant species. Potatoes are an important food and vegetable crop grown worldwide, especially under irrigation in arid and semi-arid regions. However, the expected impact of global warming on potato yields calls for an investigation of genes related to root development and drought resistance signaling pathways in potatoes. In this study, we investigated the molecular mechanisms of different drought-tolerant potato root systems in response to drought stress under controlled water conditions, using potato as a model. We analyzed the transcriptome and proteome of the drought-sensitive potato cultivar Atlantic (Atl) and the drought-tolerant cultivar Qingshu 9 (Q9) under normal irrigation (CK) and weekly drought stress (D). The results showed that a total of 14,113 differentially expressed genes (DEGs) and 5596 differentially expressed proteins (DEPs) were identified in the cultivars. A heat map analysis of DEGs and DEPs showed that the same genes and proteins in Atl and Q9 exhibited different expression patterns under drought stress. Weighted gene correlation network analysis (WGCNA) showed that in Atl, Gene Ontology (GO) terms and Kyoto Encyclopedia of Genes and Genomes (KEGG)-enriched pathways were related to pyruvate metabolism and glycolysis, as well as cellular signaling and ion transmembrane transporter protein activity. However, GO terms and KEGG-enriched pathways related to phytohormone signaling and the tricarboxylic acid cycle were predominantly enriched in Q9. The present study provides a unique genetic resource to effectively explore the functional genes and uncover the molecular regulatory mechanism of the potato root system in response to drought stress. Full article
Show Figures

Figure 1

13 pages, 1308 KB  
Article
Nitrogen Addition Mitigates Drought by Promoting Soybean (Glycine Max (Linn.) Merr) Flowering and Podding and Affecting Related Enzyme Activities
by Mengjiao Li, Kangxu Zhang, Jianguo Liu and Ghulam Nizam ul Din
Agriculture 2024, 14(6), 852; https://doi.org/10.3390/agriculture14060852 - 29 May 2024
Cited by 1 | Viewed by 1408
Abstract
Drought at the flower and pod stage, which is the most moisture-sensitive stage of soybean development, is the main cause of yield loss in soybean. Nitrogen is a vital nutrient for soybeans. The objective of this study was to assess the potential of [...] Read more.
Drought at the flower and pod stage, which is the most moisture-sensitive stage of soybean development, is the main cause of yield loss in soybean. Nitrogen is a vital nutrient for soybeans. The objective of this study was to assess the potential of post-drought nitrogen fertilization at the soybean (Heihe 45) pod stage to (1) reduce pod shedding and increase yield, and (2) elucidate the mechanisms by which nitrogen fertilization regulates soybean growth under drought stress. The pot experiment was designed with two moisture levels and three nitrogen levels, resulting in a total of six treatments. The results show that nitrogen reduces cellular oxidation by regulating key enzymes of sucrose metabolism, such as sucrose synthase and sucrose phosphate synthase; and regulates cellulase to reduce shedding and mitigate drought. Comparison of low and high nitrogen conditions under drought conditions showed that the number of flowers and pods in soybean increased by 30% and 32.94%, respectively, malondialdehyde content decreased by 24%, cellulase activity in flowers and pods decreased by 15.07% and 12.31%, respectively, and yields increased by 29.98% under high nitrogen conditions. The high nitrogen treatment performed optimally and the differences between treatments reached the significant level. Full article
Show Figures

Figure 1

16 pages, 4708 KB  
Article
Hydrogen Sulfide Increases Drought Tolerance by Modulating Carbon and Nitrogen Metabolism in Foxtail Millet Seedlings
by Juan Zhao, Shifang Zhang, Xiaoxiao Yang, Ke Feng, Guo Wang, Qifeng Shi, Xinru Wang, Xiangyang Yuan and Jianhong Ren
Agronomy 2024, 14(5), 1080; https://doi.org/10.3390/agronomy14051080 - 19 May 2024
Cited by 9 | Viewed by 2557
Abstract
Hydrogen sulfide (H2S), a novel gas signaling molecule, has been shown to enhance plant resistance to various abiotic stresses. Here, we investigated the effect of sodium hydrosulfide (NaHS, a H2S donor) on the growth, photosynthetic parameters, and enzyme activities [...] Read more.
Hydrogen sulfide (H2S), a novel gas signaling molecule, has been shown to enhance plant resistance to various abiotic stresses. Here, we investigated the effect of sodium hydrosulfide (NaHS, a H2S donor) on the growth, photosynthetic parameters, and enzyme activities related to carbon and nitrogen metabolism, as well as the levels of carbohydrates and nitrogen metabolites in foxtail millet seedlings subjected to drought stress conditions in pots. The findings revealed that drought stress led to a significant 41.2% decline in the total dry weight (DW) after 12 days of treatment, whereas plants treated with NaHS showed a lesser reduction of 18.7% in total DW. Under drought stress, exogenous NaHS was found to enhance carbon metabolism in foxtail millet seedlings by significantly enhancing photosynthetic capacity, starch, and sucrose content. Additionally, exogenous NaHS was observed to improve nitrogen metabolism by substantially increasing soluble protein content, nitrogen assimilate activity, and synthesis of nitrogen-containing compounds in foxtail millet seedlings. In summary, the exogenous application of NaHS stimulated seedling growth and enhanced drought resistance in foxtail millet by modulating carbon and nitrogen metabolism processes affected by drought stress. Full article
Show Figures

Figure 1

12 pages, 7138 KB  
Article
Overexpression of NB-LRR Gene AtRPM1(D505V) Improved Drought and Salt Resistance and Decreased Cold Tolerance in Transgenic Rice
by Zhaowu Li, Xiaojie Zhou, Xiaoxiao Liu, Xiaoqiu Wu, Zhiming He, Zhiyong Gao and Zhangying Wang
Agronomy 2024, 14(5), 1050; https://doi.org/10.3390/agronomy14051050 - 15 May 2024
Cited by 5 | Viewed by 2068
Abstract
Abiotic stimuli severely restrict the growth and development of plants, resulting in massive losses in the quality and yield of crops. Exploring genes that can improve crop tolerance to abiotic stress is important. In a previous study, we found that overexpression of the [...] Read more.
Abiotic stimuli severely restrict the growth and development of plants, resulting in massive losses in the quality and yield of crops. Exploring genes that can improve crop tolerance to abiotic stress is important. In a previous study, we found that overexpression of the Arabidopsis nucleotide-binding domain leucine-rich repeat (NB-LRR) gene AtRPM1(D505V) increased disease resistance in rice. In this research, we found that AtRPM1(D505V) transgenic plants were more sensitive to abscisic acid (ABA) than wild type (WT) plants. Abiotic-stress resistance in AtRPM1(D505V) transgenic plants was investigated. We found that AtRPM1(D505V) transgenic plants exhibited improved resistance to drought and salt stress; the phonotype and survival rates of transgenic rice were better than WT plants. The expression of stress responsive genes including OsDREB2A, OsDREB2B, OsRD22, and OsRD29A were significantly upregulated in AtRPM1(D505V) overexpressed plants than in WT plants. Moreover, the activities of catalase (CAT), superoxide dismutase (SOD), and peroxidase (POD) were significantly increased in AtRPM1(D505V) overexpressed plants than in WT plants under drought and salt stress. Under cold stress, the expression of stress responsive genes and the activities of antioxidant enzymes in AtRPM1(D505V) transgenic plants were significantly lower than in WT plants. Our research demonstrated that AtRPM1(D505V) confers drought and salt resistance to transgenic rice. Therefore, AtRPM1(D505V) could act as a potential candidate gene to cultivate drought- and salt-tolerant plants. Full article
Show Figures

Figure 1

17 pages, 358 KB  
Article
Sodium Chloride Tolerance during Germination and Seedling Stages of Tomato (Solanum lycopersicum L.) Lines Native to Mexico
by Ariadna Goreti López-Méndez, Juan Enrique Rodríguez-Pérez, José Oscar Mascorro-Gallardo, Jaime Sahagún-Castellanos and Ricardo Lobato-Ortiz
Horticulturae 2024, 10(5), 466; https://doi.org/10.3390/horticulturae10050466 - 3 May 2024
Cited by 4 | Viewed by 4121
Abstract
Tomato is considered moderately sensitive to salinity, which detracts from the quality and yield of its fruit; therefore, wild populations have been used as a genetic resource. The aim of this research was to identify lines derived from wild tomato populations with tolerance [...] Read more.
Tomato is considered moderately sensitive to salinity, which detracts from the quality and yield of its fruit; therefore, wild populations have been used as a genetic resource. The aim of this research was to identify lines derived from wild tomato populations with tolerance to salinity during the germination and seedling stages. During germination, 52 wild lines and 2 commercial hybrids (Imperial®, Reserva®) were subjected to treatment with 150 mM and 0 mM NaCl and evaluated. The test was carried out for 20 days in a germination chamber with constant darkness, a temperature of 25 ± 2 °C and relative humidity conditions of 80 ± 4%. At the seedling stage, 22 wild tomato lines with the best performance in the germination test and 2 commercial hybrids (Imperial®, Topanga®) were evaluated for 12 days in a floating raft system. Concentrations of 175 mM and 0 mM of NaCl were used. During germination, the saline condition decreased the germination percentage (65.2%), speed of germination (88.2%), steam length (72.5%), root length (46.56%), number of normal plants (59.5%), stem dry matter (68.78%), root dry matter (61.99%), and total dry matter (67.1%). At the seedling stage, this condition decreased (p < 0.05) the aerial part dry matter (46.37%), leaf area (59.35%), root length (42.43%), final plant height (40.24%), and growth rate (71.42%). Seventeen tolerant genotypes were identified in one of the two developmental stages, while one genotype showed tolerance in both stages. These results indicate that there are different response mechanisms in each developmental stage. Native tomatoes play an important role in the identification of tolerant genotypes since they can be used as genetic resources for obtaining commercial genotypes with salt tolerance. Full article
18 pages, 2083 KB  
Article
Effects of Salt Stress on Salt-Repellent and Salt-Secreting Characteristics of Two Apple Rootstocks
by De Zhang, Zhongxing Zhang and Yanxiu Wang
Plants 2024, 13(7), 1046; https://doi.org/10.3390/plants13071046 - 8 Apr 2024
Cited by 6 | Viewed by 2329
Abstract
The effects of NaCl-induced salinity on biomass allocation, anatomical characteristics of leaves, ion accumulation, salt repellency, and salt secretion ability were investigated in two apple rootstock cultivars (Malus halliana ‘9-1-6’ and Malus baccata), which revealed the physiological adaptive mechanisms of M. [...] Read more.
The effects of NaCl-induced salinity on biomass allocation, anatomical characteristics of leaves, ion accumulation, salt repellency, and salt secretion ability were investigated in two apple rootstock cultivars (Malus halliana ‘9-1-6’ and Malus baccata), which revealed the physiological adaptive mechanisms of M. halliana ‘9-1-6’ in response to salt stress factors. This experiment was conducted in a greenhouse using a nutrient solution pot. Salt stress was simulated by treating the plants with a 100 mM NaCl solution, while 1/2 Hoagland nutrient solution was used as a control (CK) instead of the NaCl solution. The results showed that the two rootstocks responded to salt environments by increasing the proportion of root biomass allocation. According to the stress susceptibility index, ‘9-1-6’ exhibits a lower salt sensitivity index and a higher salt tolerance index. The thickness of the leaf, upper and lower epidermis, palisade tissue, and mesophyll tissue compactness (CTR) of the two rootstocks were significantly decreased, while the thickness of sponge tissue and mesophyll tissue looseness (SR) were significantly increased, and the range of ‘9-1-6’ was smaller than that of M. baccata. With an extension of stress time, the accumulation of Na+ increased significantly, and the accumulation of K+ decreased gradually. The stem and leaves of ‘9-1-6’ showed a lower accumulation of Na+ and a higher accumulation of K+, and the roots displayed a higher ability to reject Na+, as well as young and old leaves showed a stronger ability to secrete Na+. In conclusion, within a certain salt concentration range, the ‘9-1-6’ root part can maintain lower salt sensitivity and a higher root-to-shoot ratio by increasing the proportion of root biomass allocation; the aerial part responds to salt stress through thicker leaves and a complete double-layer fence structure; the roots and stem bases can effectively reduce the transportation of Na+ to the aerial parts, as well as effectively secrete Na+ from the aerial parts through young and old leaves, thereby maintaining a higher K+/Na+ ratio in the aerial parts, showing a strong salt tolerance. Full article
Show Figures

Figure 1

Back to TopTop