Sign in to use this feature.

Years

Between: -

Subjects

remove_circle_outline
remove_circle_outline
remove_circle_outline
remove_circle_outline
remove_circle_outline
remove_circle_outline
remove_circle_outline
remove_circle_outline
remove_circle_outline

Journals

Article Types

Countries / Regions

remove_circle_outline
remove_circle_outline
remove_circle_outline

Search Results (138)

Search Parameters:
Keywords = Berberis

Order results
Result details
Results per page
Select all
Export citation of selected articles as:
2 pages, 8912 KB  
Correction
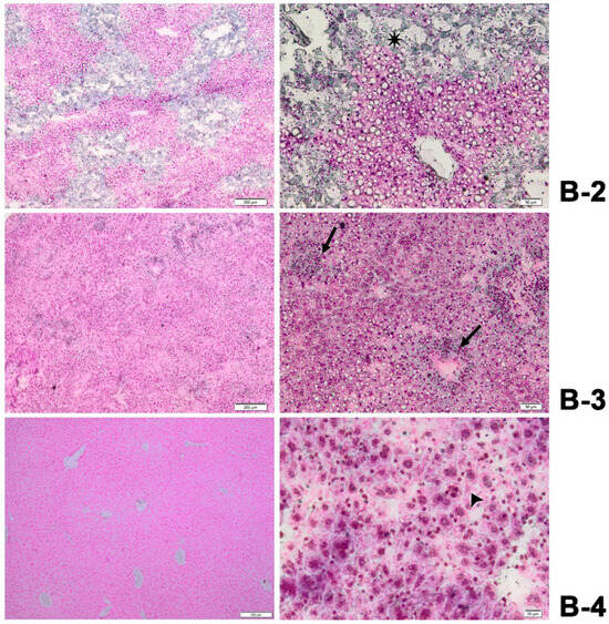
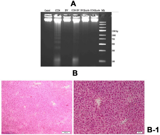
Correction: Hermenean et al. Hepatoprotective Effects of Berberis vulgaris L. Extract/β Cyclodextrin on Carbon Tetrachloride–Induced Acute Toxicity in Mice. Int. J. Mol. Sci. 2012, 13, 9014–9034
by Anca Hermenean, Cristina Popescu, Aurel Ardelean, Miruna Stan, Nicoleta Hadaruga, Ciprian-Valentin Mihali, Marieta Costache and Anca Dinischiotu
Int. J. Mol. Sci. 2026, 27(2), 788; https://doi.org/10.3390/ijms27020788 - 13 Jan 2026
Viewed by 54
Abstract
In the original publication [...] Full article
(This article belongs to the Section Bioactives and Nutraceuticals)
Show Figures

Figure 9

11 pages, 1623 KB  
Article
Seed Dormancy and Bet-Hedging Germination in Berberis amurensis var. quelpaertensis, an Endemic Species of Korea
by Do-Hyun Kim, Ji-Yoon Park, Da-Hyun Lee, Chae-Sun Na and Do-Hyung Lee
Agronomy 2026, 16(2), 140; https://doi.org/10.3390/agronomy16020140 - 6 Jan 2026
Viewed by 217
Abstract
Berberis amurensis var. quelpaertensis (Nakai) Nakai is an endemic shrub species in Korea with considerable conservation importance; however, information regarding its propagation remains limited. This study aimed to characterize its seed dormancy type and identify optimal germination requirements. Water imbibition tests demonstrated that [...] Read more.
Berberis amurensis var. quelpaertensis (Nakai) Nakai is an endemic shrub species in Korea with considerable conservation importance; however, information regarding its propagation remains limited. This study aimed to characterize its seed dormancy type and identify optimal germination requirements. Water imbibition tests demonstrated that seed weight increased by >21% in 24 h, indicating a permeable seed coat and the lack of physical dormancy (PY). Additionally, morphological analysis revealed that embryos were completely developed at the time of seed dispersal, indicating the non-occurrence of morphophysiological dormancy (MPD). The results from modified move-along and stratification experiments showed that germination was notably enhanced by cold stratification at 5 °C; however, it also occurred following a prolonged period (>68 weeks) of warm stratification alone. Therefore, we conclude that the seeds of B. amurensis var. quelpaertensis exhibit intermediate physiological dormancy, which may represent a “bet-hedging” strategy adapted to the unique conditions of their alpine environment. Full article
Show Figures

Figure 1

18 pages, 8313 KB  
Article
Integrating Network Pharmacology and Experimental Validation: Mechanistic Study of the Anti-Porphyromonas gingivalis and Anti-Inflammatory Effects of Berberis hemsleyana Ahrendt Extract
by Guibin Yang, Mingan Gui, Hai Dong, Dongzhi Zhuoma, Xuehuan Li, Tai Shen, Hao Guo, Ruiying Yuan and Le Li
Plants 2026, 15(1), 115; https://doi.org/10.3390/plants15010115 - 31 Dec 2025
Viewed by 332
Abstract
Anti-Porphyromonas gingivalis mechanisms of Berberis hemsleyana bark extract remain to be elucidated, and the anti-inflammatory activity of its n-butanol fraction (BNB) in RAW264.7 cells—mediated through suppression of the NF-κB pathway—require further validation. The minimum inhibitory concentration (MIC) and minimum bactericidal concentration (MBC) [...] Read more.
Anti-Porphyromonas gingivalis mechanisms of Berberis hemsleyana bark extract remain to be elucidated, and the anti-inflammatory activity of its n-butanol fraction (BNB) in RAW264.7 cells—mediated through suppression of the NF-κB pathway—require further validation. The minimum inhibitory concentration (MIC) and minimum bactericidal concentration (MBC) of the crude extract from B. hemsleyana were determined against Candida albicans, Escherichia coli, Porphyromonas gingivalis, Staphylococcus aureus and Streptococcus mutans. Scanning electron microscopy (SEM) and bacterial protein leakage assays were used to evaluate its antibacterial activity against P. gingivalis. High-performance liquid chromatography-mass spectrometry (LC-MS) was applied to analyze the ethanol extract of B. hemsleyana bark, leading to the screening of 47 compounds. The antibacterial mechanisms of the compounds were predicted through Network Pharmacology analysis and Molecular docking. Anti-inflammatory activity mediated via the NF-κB pathway was verified using an LPS-induced RAW264.7 cell inflammatory model. Specifically, the BNB showed a significant antibacterial effect on P. gingivalis. Meanwhile, it was confirmed that this fraction damaged the bacterial cell membrane structure, leading to the leakage of intracellular proteins in bacteria and thus impairing their infectivity. Network pharmacology analysis and molecular docking results indicated that B. hemsleyana bark’s biologically active compounds (Calenduloside E, Limonin, Acanthoside B, Dihydroberberine) antibacterial activity by regulating cytokines and cell apoptosis, thereby coordinating the body’s microbial homeostasis and inflammation. Additionally, BNB significantly reduced the secretion of the inflammatory cytokines IL-1β, TNF-α and IL-6 in vitro via the NF-κB pathway. The crude extract from the bark of B. hemsleyana has antibacterial and Anti-inflammatory activity. The n-butanol fraction showed a significant antibacterial effect on P. gingivalis. Full article
(This article belongs to the Section Phytochemistry)
Show Figures

Figure 1

15 pages, 1495 KB  
Article
Bioactive Profiling and Anti-Hyperglycemic Potential of Berberis nummularia Bunge: Role of Polyphenols and α-Amylase Inhibition
by Buhailiqiemu Abudureheman, Lin Chen, Jianlin Zhang, Shuai Zhu, Jinjuan Wang, Junli Huang, Chaoying Xie, Haibo Pan and Xingqian Ye
Foods 2025, 14(24), 4180; https://doi.org/10.3390/foods14244180 - 5 Dec 2025
Viewed by 472
Abstract
The Berberis nummularia fruit is rich in polyphenols and which are associated with the inhibition of carbohydrate-digesting enzymes. However, the phytochemical compositions, antioxidant strength, and the ability of the fruits on the inhibition of α-amylase to control postprandial blood glucose remained elusive. In [...] Read more.
The Berberis nummularia fruit is rich in polyphenols and which are associated with the inhibition of carbohydrate-digesting enzymes. However, the phytochemical compositions, antioxidant strength, and the ability of the fruits on the inhibition of α-amylase to control postprandial blood glucose remained elusive. In this study, therefore, different concentrations of ethanol were used in ultrasound processing at 70 °C for 1 h to obtain the crude polyphenol of B. nummularia fruit (CPB) and obtain the purified polyphenol (PPB) using AB-8 macroporous resin. After this, the polyphenolic constituents within PPB were identified using LC-MS/QTOF and investigated for anti-hyperglycemic properties by sucrose loading test. The results showed that the optimal extraction yield (44.32 ± 2.08%) of CPB was achieved with 30% ethanol and the PPB from CPB was reached at 71.88 ± 2.74%. A total of 30 polyphenols including 13 phenolic acids, 13 flavonoids, 3 benzaldehyde derivatives, and 1 aromatic acid were identified, in which the caffeic acid had the highest content (426.20 ± 0.18 ng/mg). The PPB displayed potent α-amylase inhibitory activity with an IC50 value of 69.91 μg/mL and kinetic analysis via Lineweaver–Burk double reciprocal plots confirmed a non-competitive inhibition mechanism. Moreover, at an administration dose of 100 mg/kg body weight (BW), PPB significantly reduced blood glucose levels by 13.75 ± 0.87% and exerted a marked ameliorative effect on postprandial hyperglycemia in vivo. Therefore, these findings provide a foundation for considering PPB as a beneficial functional food ingredient and a potential dietary supplement for the management of postprandial hyperglycemia. Full article
(This article belongs to the Section Food Nutrition)
Show Figures

Graphical abstract

18 pages, 604 KB  
Article
Development of Cereal Bars Enriched with Andean Grains and Patagonian Calafate (Berberis microphylla): Nutritional Composition, Phenolic Content, Antioxidant, Textural, and Sensory Evaluation
by Jéssica López, Romina Cea, Nicole Tiznado, Evelyn Fernández, María Lorena González, Sebastián Pizarro-Oteíza and Carmen Pérez-Cervera
Foods 2025, 14(23), 4127; https://doi.org/10.3390/foods14234127 - 2 Dec 2025
Viewed by 500
Abstract
Background: Cereal bars are convenient vehicles for incorporating ingredients with functional value. In this context, the study aimed to formulate bars enriched with quinoa, amaranth, and calafate (Berberis microphylla) and evaluate their instrumental texture, total phenolic compounds, antioxidant capacity, nutritional [...] Read more.
Background: Cereal bars are convenient vehicles for incorporating ingredients with functional value. In this context, the study aimed to formulate bars enriched with quinoa, amaranth, and calafate (Berberis microphylla) and evaluate their instrumental texture, total phenolic compounds, antioxidant capacity, nutritional composition, and sensory evaluation. Methods: Four formulations were developed, a baseline cereal bar with balanced ingredients (F1), a pseudocereal-enriched bar (F2), a high-calafate bar (F3), and an oat-only control bar (F4). Texture was measured using uniaxial compression, total phenolic compounds (TPC) were determined by the Folin–Ciocalteu method, and antioxidant capacity was assessed by the DPPH assay. The nutritional composition was theoretically estimated using food composition tables and dietary reference intakes (DRIs). Sensory evaluation was performed using affective tests, including acceptability, preference, purchase intention, and sensory attributes. Results: The formulations differed significantly in instrumental hardness. F3 had the highest total phenol content and the highest antioxidant capacity. The estimated nutritional composition showed that the bars provide adequate energy and relevant micronutrients (Ca, Mg, Fe, Zn), as well as bioactive compounds from calafate. Sensory evaluation showed that F2 obtained the highest overall acceptance and the highest acceptability index. Purchase intention did not differ between formulations. In the evaluation of attributes, the results indicate that intermediate hardness maximizes acceptance, while softer (F1) or harder (F3–F4) bars are less preferred. Conclusions: The incorporation of calafate enhances the phenolic and antioxidant profile in F3, while an intermediate hardness linked to the greater use of expanded pseudocereals favors consumer acceptance in F2. The observed differences confirm that the formulation design enables the modulation of functional, mechanical, and sensory properties in cereal bars. Full article
(This article belongs to the Section Food Nutrition)
Show Figures

Figure 1

21 pages, 1844 KB  
Review
Calafate (Berberis buxifolia Lam.) Berry as a Source of Bioactive Compounds with Potential Health-Promoting Effects: A Critical Review
by Jaime Ortiz-Viedma, Claudia Vergara, Tamar Toledo, Liliana Zura-Bravo, Marcos Flores, Constanza Barrera and Roberto Lemus-Mondaca
Antioxidants 2025, 14(11), 1272; https://doi.org/10.3390/antiox14111272 - 22 Oct 2025
Cited by 1 | Viewed by 1399
Abstract
Calafate berry, an ancient perennial shrub of South America (Chile and Argentina), produces a high antioxidant capacity berry with a high polyphenol (1344.2–6553 mg GAE/100 g d.w.) and anthocyanin (26.5–80 mg C-3-G/100 g d.w.) content. The beneficial effects of calafate berries on human [...] Read more.
Calafate berry, an ancient perennial shrub of South America (Chile and Argentina), produces a high antioxidant capacity berry with a high polyphenol (1344.2–6553 mg GAE/100 g d.w.) and anthocyanin (26.5–80 mg C-3-G/100 g d.w.) content. The beneficial effects of calafate berries on human health are related to the anti-inflammatory, hypoglycemic, anticancer, and antioxidant properties that the berries possess, which have been confirmed through evidence to date, primarily from in vitro, ex vivo, and animal studies. Several investigations have shown a relationship between the consumption of calafate and a reduction in the risk of contracting cardiovascular diseases (CVD). This was evident in changes in plasma level biomarkers related to CVD, such as thrombomodulin (−24%), adiponectin (+68%), sE-selectin (−34%), sICAM-1 (−24%) and proMMP-9 (−31%), and changes in the production of OH radicals in plasma (−17%) after calafate intake. Calafate may have an antithrombotic role that supports cardiovascular health by lowering the Atherogenic and Cardiovascular Risk Indices. Various authors indicate delphinidin-3-glucoside (384–386 mg/100 g) as the primary bioactive compound responsible for the beneficial properties of Calafate. Although some studies report calafate’s health benefits, scientific evidence, especially in humans, remains limited. Meanwhile, Chile is working to domesticate and cultivate calafate, aiming to turn it from a wild native berry into a sustainable crop for use in the antioxidants and nutraceuticals industry. The lack of human clinical trials emphasizes the need for future research to validate calafate’s health benefits berry. Full article
(This article belongs to the Special Issue Berry Antioxidants in Health and Disease—2nd Edition)
Show Figures

Graphical abstract

17 pages, 2274 KB  
Article
The Effect of Smoke-Water on Seed Germination of 18 Grassland Plant Species
by Nicholas Peterson, Wendy Gardner and Lauchlan H. Fraser
Fire 2025, 8(10), 382; https://doi.org/10.3390/fire8100382 - 25 Sep 2025
Viewed by 1664
Abstract
There is an urgent and constant need for land reclamation and to restore self-sustaining, stable, and resilient ecosystems. It is necessary to enhance the frequency, consistency, and success rates of applying native plant seed for ecological restoration. Smoke-water can affect seed germination of [...] Read more.
There is an urgent and constant need for land reclamation and to restore self-sustaining, stable, and resilient ecosystems. It is necessary to enhance the frequency, consistency, and success rates of applying native plant seed for ecological restoration. Smoke-water can affect seed germination of plants, regardless of whether they occur in fire-prone ecosystems. Germination trials of 18 native species of Indigenous value in the southern interior grasslands of British Columbia, Canada were conducted using a smoke aqueous solution. Locally sourced parent plant material was burned to produce smoke-water. Seeds were collected from multiple populations of the species across a wide geographic range within the B.C. southern interior to increase the genetic diversity of the seed stock. Seeds were soaked in smoke aqueous solution in various concentrates, including 0% (control), 1% (1:100), 10% (1:10), 20% (1:5), and 100%. The results indicate that germination rates in the presence of smoke-water are species-specific. Five species showed an increase in germination with smoke-water (Erythronium grandiflorum, Calochortus macrocarpus, Arnica latifolia, Lomatium nudicaule, and Shepherdia canadensis); four species showed no change (Rosa woodsii, Crataegus douglasii, Lewisia rediviva, and Prunus virginiana); and nine species showed some level of decrease (Fritillaria affinis, Fritillaria pudica, Berberis aquifolium, Claytonia lanceolata, Gaillardia aristate, Balsamorhiza sagittata, Allium cernuum, Amelanchier alnifolia, and Lomatium macrocarpum). Smoke-water also affected germination rate by plant form (herbs > shrubs), plant phenology (spring ephemeral and protracted > summer quiescent and summer mature) and plant dispersal mechanism (wind > animal). The treatments applied to encourage the germination of seeds from interior grassland forbs and shrubs have demonstrated that smoke-water can effectively break dormancy and enhance the germination rate from certain native plant species. Full article
Show Figures

Figure 1

14 pages, 622 KB  
Article
Effects of Novel Nutraceutical Combination on Lipid Pattern of Subjects with Sub-Optimal Blood Cholesterol Levels
by Nicola Vitulano, Pietro Guida, Vito Abrusci, Edmondo Ceci, Edy Valentina De Nicolò, Stefano Martinotti, Nicola Duni, Federica Troisi, Federico Quadrini, Antonio di Monaco, Massimo Iacoviello, Andrea Passantino and Massimo Grimaldi
Biomedicines 2025, 13(8), 1948; https://doi.org/10.3390/biomedicines13081948 - 9 Aug 2025
Viewed by 2906
Abstract
Background/Objectives: High concentration of plasma low-density lipoprotein cholesterol (LDL-C) is the predominant cause of atherosclerotic cardiovascular disease progression and coronary heart disease. Nutraceutical combination together with a cholesterol-lowering action provides an alternative to pharmacotherapy in patients reporting intolerance to statins and in [...] Read more.
Background/Objectives: High concentration of plasma low-density lipoprotein cholesterol (LDL-C) is the predominant cause of atherosclerotic cardiovascular disease progression and coronary heart disease. Nutraceutical combination together with a cholesterol-lowering action provides an alternative to pharmacotherapy in patients reporting intolerance to statins and in subjects with low cardiovascular risk. The effects on lipid parameters were evaluated over 6 months for a food supplement containing aqueous extract of Berberis aristata and Olea europea, fenugreek seed extract, water/ethanol extract of artichoke leaf and phytosterols from sunflower seeds (Ritmon Colesystem®). Methods: Laboratory data were obtained at baseline from 44 otherwise healthy subjects (33 males, mean 50 ± 11 years) without cardiovascular disease having LDL-C in the range 115 to 190 mg/dL pharmacologically untreated for hypercholesterolemia. Subjects were re-evaluated at 1, 3 and 6 months during which they took one tablet of Ritmon Colesystem® after dinner. Results: At baseline, the mean values were 151 ± 21 mg/dL for LDL-C, 223 ± 24 mg/dL for total cholesterol (T-C), 52 ± 14 mg/dL for high-density lipoprotein cholesterol (HDL-C), and 124 ± 58 mg/dL for triglycerides. A significant reduction in LDL-C was observed; 9 mg/dL (95% confidence interval 3–14), 10 (4–17) and 7 (1–14) at 1, 3 and 6 months. A similar significant trend was detected for T-C while triglycerides did not show significant changes and HDL-C had lower values only at 3 months. Conclusions: These nutraceuticals in individuals with sub-optimal blood cholesterol levels at intermediate–low cardiovascular risk reduced LDL-C and T-C over 6 months contributing to the improvement of cholesterol control by dietary supplements. Full article
Show Figures

Figure 1

15 pages, 13565 KB  
Article
RGB Imaging and Irrigation Management Reveal Water Stress Thresholds in Three Urban Shrubs in Northern China
by Yuan Niu, Xiaotian Xu, Wenxu Huang, Jiaying Li, Shaoning Li, Na Zhao, Bin Li, Chengyang Xu and Shaowei Lu
Plants 2025, 14(15), 2253; https://doi.org/10.3390/plants14152253 - 22 Jul 2025
Cited by 1 | Viewed by 728
Abstract
The context of global climate change, water stress has a significant impact on the ecological function and landscape value of urban greening shrubs. In this study, three typical greening shrubs (Euonymus japonicus, Ligustrum × vicaryi, and Berberis thunbergii var. atropurpurea) in [...] Read more.
The context of global climate change, water stress has a significant impact on the ecological function and landscape value of urban greening shrubs. In this study, three typical greening shrubs (Euonymus japonicus, Ligustrum × vicaryi, and Berberis thunbergii var. atropurpurea) in North China were subjected to a two-year field-controlled experiment (2022–2023) with four water treatments: full irrigation, deficit irrigation, natural rainfall, and extreme drought. The key findings are as follows: (1) Extreme drought reduced the color indices substantially—the GCC of E. japonicus decreased by 40% (2023); the RCC of B. thunbergii var. atropurpurea declined by 35% (2022); and the color indices of L. × vicaryi remained stable (variation < 15%). (2) Early-season soil water content (SWC) strongly correlated with the color index of E. japonicus (r2 = 0.42, p < 0.05) but weakly with B. thunbergii (r2 = 0.28), suggesting species-specific drought-tolerance mechanisms like reduced leaf area. (3) Deficit irrigation (SWC ≈ 40%) maintained color indices between fully irrigated and drought-stressed levels. Notably, B. thunbergii retained high redness (RCC > 0.8) at an SWC ≈ 40%; E. japonicus required an SWC > 60% to preserve greenness (GCC). The research results provide a scientific basis for urban greening plant screening and water-saving irrigation strategies, and expand the application scenarios of color coordinates in plant physiological and ecological research. Full article
Show Figures

Graphical abstract

24 pages, 411 KB  
Review
Natural Compounds and Their Potential in Eating-Related Aspects of Mental Health Disorders
by Wenbin Ma, Ralf Regenthal and Ute Krügel
Nutrients 2025, 17(14), 2383; https://doi.org/10.3390/nu17142383 - 21 Jul 2025
Viewed by 2180
Abstract
Background and Objectives: Mental health and healthy eating are inextricably linked by bi-directional interaction. As pharmacological interventions for eating disorders and mental illness have limited efficacy and are associated with significant side effects, natural compounds traditionally used in these fields represent an [...] Read more.
Background and Objectives: Mental health and healthy eating are inextricably linked by bi-directional interaction. As pharmacological interventions for eating disorders and mental illness have limited efficacy and are associated with significant side effects, natural compounds traditionally used in these fields represent an extremely rich source for potential future drugs. This review aims to summarise complex and/or specific pharmacological and clinical effects of mixed compositions and individual compounds derived from Rosmarinus officinalis, Ginkgo biloba, and Bupleurum chinense as well as from Berberis vulgaris and other berberine (BBR)-containing plants, which have been traditionally used for eating and mental health purposes. Results and Conclusions: The data on favoured natural compounds and main ingredients of compound mixtures presented here could provide new impetus for preventive or targeted supplementary treatment, potential drug development, and the design of new compound congeners with improved target spectrum and potency in mental health disorders and eating-related issues. Contemporary methodological development steps in this direction are then proposed. Full article
(This article belongs to the Special Issue Eating and Mental Health Disorders)
30 pages, 2043 KB  
Review
Berberine as a Bioactive Alkaloid: Multi-Omics Perspectives on Its Role in Obesity Management
by Bartłomiej Zieniuk and Magdalena Pawełkowicz
Metabolites 2025, 15(7), 467; https://doi.org/10.3390/metabo15070467 - 9 Jul 2025
Cited by 6 | Viewed by 8350
Abstract
Berberine, a bioactive isoquinoline alkaloid derived from medicinal plants such as Berberis and Coptis species, shows significant promise for managing obesity and associated metabolic disorders. This review synthesizes evidence on its modulation of AMP-activated protein kinase (AMPK) signaling, gut microbiota composition, lipid metabolism, [...] Read more.
Berberine, a bioactive isoquinoline alkaloid derived from medicinal plants such as Berberis and Coptis species, shows significant promise for managing obesity and associated metabolic disorders. This review synthesizes evidence on its modulation of AMP-activated protein kinase (AMPK) signaling, gut microbiota composition, lipid metabolism, and adipokine networks, elucidating how these actions converge to suppress adipogenesis and improve insulin sensitivity. Metabolomic profiling reveals critical shifts in bile acid metabolism, short-chain fatty acid production, and mitochondrial function. Recent studies also highlight berberine’s anti-inflammatory effects and regulatory influence on glucose homeostasis. Despite its promise, challenges in oral bioavailability and drug interactions necessitate the development of advanced delivery strategies. We further discuss nanoformulations and multi-omics approaches, which integrate data from genomics, transcriptomics, proteomics, and metabolomics, provide new insights into berberine’s mechanisms, and may guide personalized therapeutic applications. While promising, further studies are needed to validate these findings in humans and translate them into effective clinical strategies. Full article
Show Figures

Figure 1

18 pages, 3320 KB  
Article
Isolation and Bioactive Characterization of Berberis kaschgarica Rupr-Derived Exosome-Like Nanovesicles: Exploring Therapeutic Potential in Atherosclerosis Pathogenesis
by Dilihuma Dilimulati, Nuerbiye Nueraihemaiti, Alhar Baishan, Sendaer Hailati, Alifeiye Aikebaier, Yipaerguli Paerhati and Wenting Zhou
Biology 2025, 14(6), 726; https://doi.org/10.3390/biology14060726 - 19 Jun 2025
Cited by 1 | Viewed by 1247
Abstract
Berberis kaschgarica Rupr.-derived exosome-like nanovesicles (BELNs), a type of plant-derived extracellular vesicle, consist of proteins, lipids, and nucleic acids. In this research, we employed differential centrifugation and ultracentrifugation techniques to isolate and purify BELNs. Subsequently, we conducted a comprehensive multi-omics analysis to systematically [...] Read more.
Berberis kaschgarica Rupr.-derived exosome-like nanovesicles (BELNs), a type of plant-derived extracellular vesicle, consist of proteins, lipids, and nucleic acids. In this research, we employed differential centrifugation and ultracentrifugation techniques to isolate and purify BELNs. Subsequently, we conducted a comprehensive multi-omics analysis to systematically determine their physicochemical properties. Experiments were conducted in vitro with Human Umbilical Vein Endothelial Cells (HUVECs) to verify the therapeutic impact of BELNSs on atherosclerosis. The isolated BELNs exhibited a distinctive teacup-shaped exosome morphology. The extraction yield was approximately 2.1 × 1013 particles per milliliter, and the average particle size was measured to be 179.1 nm. These nanovesicles were lipid-rich. The protein content predominantly comprised cytoplasmic proteins. In-depth analysis revealed the presence of five highly conserved plant microRNAs: miR166, miR156, miR399, miR171, and miR395. These miRNAs are involved in regulating plant growth and responses to both biotic and abiotic stresses. Functional assays demonstrated that Berberis kaschgarica Rupr.-derived exosome-like nanovesicles substantially decreased the lipid deposition in HUVECs that was triggered by Palmitic Acid (PA). This research establishes the inaugural utilization of multi-omics platforms to systematically elucidate the bioactivity profile of BELNs from Berberis kaschgarica Rupr., thereby laying the groundwork for advancing its therapeutic potential. Full article
(This article belongs to the Special Issue Plant Natural Products: Mechanisms of Action for Promoting Health)
Show Figures

Graphical abstract

10 pages, 2012 KB  
Proceeding Paper
Development of Technology for Candy Caramel with Barberry Powder and Sugar Substitute Isomaltitol
by Oksana Sema, Olena Aksonova, Anastasiia Sachko and Sergey Gubsky
Eng. Proc. 2025, 87(1), 73; https://doi.org/10.3390/engproc2025087073 - 10 Jun 2025
Viewed by 1348
Abstract
Confectionery products, particularly caramel, often have low nutritional value and a high glycaemic index, necessitating the development of functional alternatives. This study aimed to create candy caramel with a reduced glycaemic index and enhanced nutritional properties by incorporating isomaltitol and invert syrup as [...] Read more.
Confectionery products, particularly caramel, often have low nutritional value and a high glycaemic index, necessitating the development of functional alternatives. This study aimed to create candy caramel with a reduced glycaemic index and enhanced nutritional properties by incorporating isomaltitol and invert syrup as sugar substitutes and fortifying it with dried barberry (Berberis vulgaris L.) powder in amounts of 1%, 2.5%, 5%, and 10% (w/w). Barberry powder, rich in bioactive compounds and essential minerals, also acts as a natural colourant. The powder’s microstructural characteristics were assessed using laser diffraction, while its elemental composition was confirmed via atomic adsorption spectroscopy. The samples of caramel were evaluated using physicochemical and sensory analysis methods. The results showed that the addition of barberry powder enriches caramel with sodium, potassium, iron, manganese and zinc. The increase in the content of barberry in sweets was accompanied by an increase in titratable acidity and a decrease in pH. Sensory evaluation identified 2.5–5% barberry powder as optimal, yielding a product with attractive colour and flavour. Higher concentrations resulted in excessive acidity and darker coloration, which were deemed undesirable. The developed formulation demonstrates the potential of candy caramel as a functional food product, offering improved nutritional and sensory attributes. This approach provides a promising solution for addressing the health and dietary concerns associated with traditional confectionery products. Full article
(This article belongs to the Proceedings of The 5th International Electronic Conference on Applied Sciences)
Show Figures

Figure 1

19 pages, 888 KB  
Article
Fruits of Polish Medicinal Plants as Potential Sources of Natural Antioxidants: Ellagic Acid and Quercetin
by Agnieszka Szmagara, Agnieszka Krzyszczak-Turczyn and Ilona Sadok
Appl. Sci. 2025, 15(11), 6094; https://doi.org/10.3390/app15116094 - 28 May 2025
Cited by 2 | Viewed by 1308
Abstract
Due to their antioxidant and other beneficial properties, polyphenol-rich plants are important functional foods. The purpose of the study was to evaluate the content of two polyphenols—ellagic acid and quercetin—in fruits of wild medicinal plants of Polish origin, as potential sources of these [...] Read more.
Due to their antioxidant and other beneficial properties, polyphenol-rich plants are important functional foods. The purpose of the study was to evaluate the content of two polyphenols—ellagic acid and quercetin—in fruits of wild medicinal plants of Polish origin, as potential sources of these compounds. The research material was chosen considering both the popularity of the fruits and their recognized medicinal and pharmaceutical properties. All selected fruits—barberry (Berberis vulgaris), blackthorn (Prunus spinosa), chokeberry (Aronia melanocarpa), elderberry (Sambucus nigra), hawthorn (Crataegus monogyna), lingonberry (Vaccinium vitis-idaea), rowanberry (Sorbus aucuparia), and sea-buckthorn (Hippophae rhamnoides syn. Elaeagnus rhamnoides)—are known for therapeutic use in Polish folk medicine. Extracts were analyzed for ellagic acid and quercetin content using UHPLC-ESI-MS/MS. Quantitative results revealed that barberries, blackthorn, and sea-buckthorn contained the highest amounts of ellagic acid, up to 3.29 ± 0.24, 3.50 ± 0.16, and 4.80 ± 0.18 μg/g dw, respectively, while lingonberry provided up to 196.20 ± 3.10 μg/g dw of quercetin, making it a valuable dietary source of this flavonoid. The study confirms that Polish wild medicinal plants are valuable reservoirs of key polyphenols relevant to human health and support their potential inclusion in dietary strategies for disease prevention. Full article
Show Figures

Figure 1

24 pages, 2830 KB  
Article
Nutritional, Phytochemical, and Biological Characterization of Peel, Pulp, and Seed Powder from the Fruits of Berberis mikuna and Berberis burruyacuensis: Potential as a Functional Ingredient
by Enzo Agustín Matteucci, María Eugenia Orqueda, Mariana Leal, María Inés Isla, Mario Simirgiotis, Iris Catiana Zampini, Oscar R. Dantur and María Alejandra Moreno
Plants 2025, 14(10), 1418; https://doi.org/10.3390/plants14101418 - 9 May 2025
Viewed by 1390
Abstract
Berberis mikuna Job. (common name “mikuna”) and Berberis burruyacuensis O.R. Dantur, S. Radice, E. Giordani and Papini (common name “sacha mikuna”) are endemic native plant species from northwestern Argentina. The aim of this work was to evaluate, for the first time, the potential [...] Read more.
Berberis mikuna Job. (common name “mikuna”) and Berberis burruyacuensis O.R. Dantur, S. Radice, E. Giordani and Papini (common name “sacha mikuna”) are endemic native plant species from northwestern Argentina. The aim of this work was to evaluate, for the first time, the potential of the pulp, seed, and peel powders from B. mikuna and B. burruyacuensis fruits as functional food ingredients, with the purpose of adding value to these native resources and promoting their sustainable use. All powders exhibited nutritional value due to their protein, lipid, fiber, and ash content, especially the seed powder. Phenolic compounds (including xanthone, phenolic esters, coumarins, flavonoids, tannins, and anthocyanins), alkaloids, amino acids, lipids, and vitamins, totaling 33 compounds, were identified in the pulp, seed, and peel of both Berberis fruits through UHPLC-PDA-ESI-QT-MS/MS. High anthocyanin content was observed in the pulp and peel, mainly in B. mikuna (195.55 ± 7.75 and 283.49 ± 6.55 g C3GE/100 g of powder, respectively), while tannins were abundant in the seeds (3.64 ± 0.11 and 6.09 ± 0.06 mg PB2/100 g of powder for B. mikuna and B. burruyacuensis, respectively). The powders exhibited antioxidant activity (ABTS•+; H2O2) and the capacity to inhibit enzymes related to metabolic syndrome, such as α-glucosidase, α-amylase, and lipase. These findings suggest the potential of B. mikuna and B. burruyacuensis fruit powders as functional food ingredients, dietary supplements, or natural functional colorants for foods and beverages. Full article
(This article belongs to the Section Phytochemistry)
Show Figures

Graphical abstract

Back to TopTop