- 3.3Impact Factor
- 5.9CiteScore
- 21 daysTime to First Decision
Application of Artificial Intelligence to Advance Individualized Diagnosis and Treatment in Emergency and Critical Care Medicine, 2nd Edition
This special issue belongs to the section “Machine Learning and Artificial Intelligence in Diagnostics“.
Special Issue Information
Dear Colleagues,
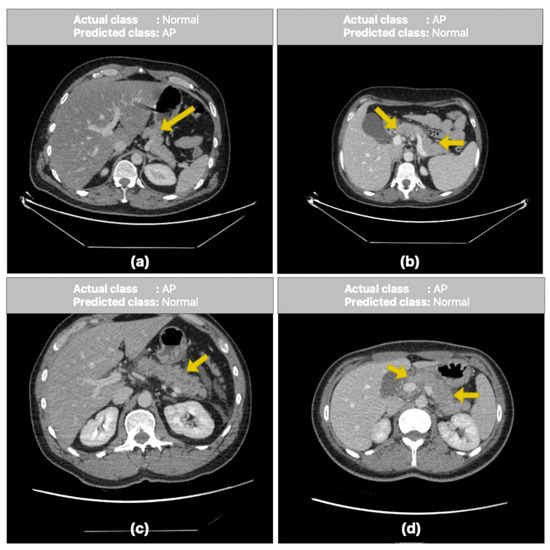
Analytics based on artificial intelligence have greatly advanced scientific research fields such as natural language processing and imaging classification. Clinical research has also been greatly influenced by artificial intelligence for diagnostics involving imaging and molecular markers. Emergency and critical care medicine faces patients with rapidly changing conditions, which require the accurate risk stratification and initiation of rescuing therapies. The key to the successful treatment of critically ill patients involves all aspects of diagnostics such as the early prediction of adverse events, correct diagnosis of causative agents and a differential diagnosis for a manifestation. Critically ill patients usually generate a large amount of data from medical devices such as bedside monitors, ventilators and renal replacement therapy devices. Such large volumes of data are difficult for humans to handle. Artificial intelligence can learn complex data structures to obtain knowledge and wisdom and, thus, can have profound impacts on the management of critically ill patients. Furthermore, critically ill patients such as those with sepsis, acute respiratory distress syndrome and trauma comprise a heterogenous population. The “one-size-fit-all” paradigm may not be suitable for the management of such a heterogeneous patient population. Thus, tools from artificial intelligence can be employed to identify novel subphenotypes of these patients. These subclassifications can not only provide prognostic value for risk stratification but also have predictive value for individualized treatment. Transcriptomes can also provide large amounts of information for the patients; artificial intelligence can greatly help us to obtain useful information from such highly dimensional data.
This Special Issue welcomes articles addressing, but not limited to, the following specific topics:
Predictive analytics for the risk stratification of emergency and critically ill patients.
Diagnostics for critical syndromes such as sepsis, acute respiratory failure and acute circulatory failure.
Biomarkers for the differentiation of critical syndromes.
Individualized treatment strategies for patients with rapidly changing conditions.
Subphenotypes of heterogenous populations in emergency and critical care settings.
Bioinformatics analysis with transcriptomes to develop individualized management.
Reviews, original articles and secondary analyses are welcome.
Dr. Zhongheng Zhang
Guest Editor
Manuscript Submission Information
Manuscripts should be submitted online at www.mdpi.com by registering and logging in to this website. Once you are registered, click here to go to the submission form. Manuscripts can be submitted until the deadline. All submissions that pass pre-check are peer-reviewed. Accepted papers will be published continuously in the journal (as soon as accepted) and will be listed together on the special issue website. Research articles, review articles as well as short communications are invited. For planned papers, a title and short abstract (about 100 words) can be sent to the Editorial Office for announcement on this website.
Submitted manuscripts should not have been published previously, nor be under consideration for publication elsewhere (except conference proceedings papers). All manuscripts are thoroughly refereed through a single-blind peer-review process. A guide for authors and other relevant information for submission of manuscripts is available on the Instructions for Authors page. Diagnostics is an international peer-reviewed open access semimonthly journal published by MDPI.
Please visit the Instructions for Authors page before submitting a manuscript. The Article Processing Charge (APC) for publication in this open access journal is 2600 CHF (Swiss Francs). Submitted papers should be well formatted and use good English. Authors may use MDPI's English editing service prior to publication or during author revisions.
Keywords
- critical care
- sepsis
- artificial intelligence
- predictive analytics
- clustering
- acute kidney injury
- emergency medicine
- transcriptome
Benefits of Publishing in a Special Issue
- Ease of navigation: Grouping papers by topic helps scholars navigate broad scope journals more efficiently.
- Greater discoverability: Special Issues support the reach and impact of scientific research. Articles in Special Issues are more discoverable and cited more frequently.
- Expansion of research network: Special Issues facilitate connections among authors, fostering scientific collaborations.
- External promotion: Articles in Special Issues are often promoted through the journal's social media, increasing their visibility.
- e-Book format: Special Issues with more than 10 articles can be published as dedicated e-books, ensuring wide and rapid dissemination.

