Recovering Cucurbita pepo cv. ‘Lungo Fiorentino’ Wastes: UHPLC-HRMS/MS Metabolic Profile, the Basis for Establishing Their Nutra- and Cosmeceutical Valorisation
Abstract
1. Introduction
2. Results and Discussion
2.1. Metabolic Profiling of ZLF-A Fraction
2.2. Metabolic Profiling of ZLF-O Fraction
2.3. Antioxidant Capacity
2.4. Cytotoxicity Screening
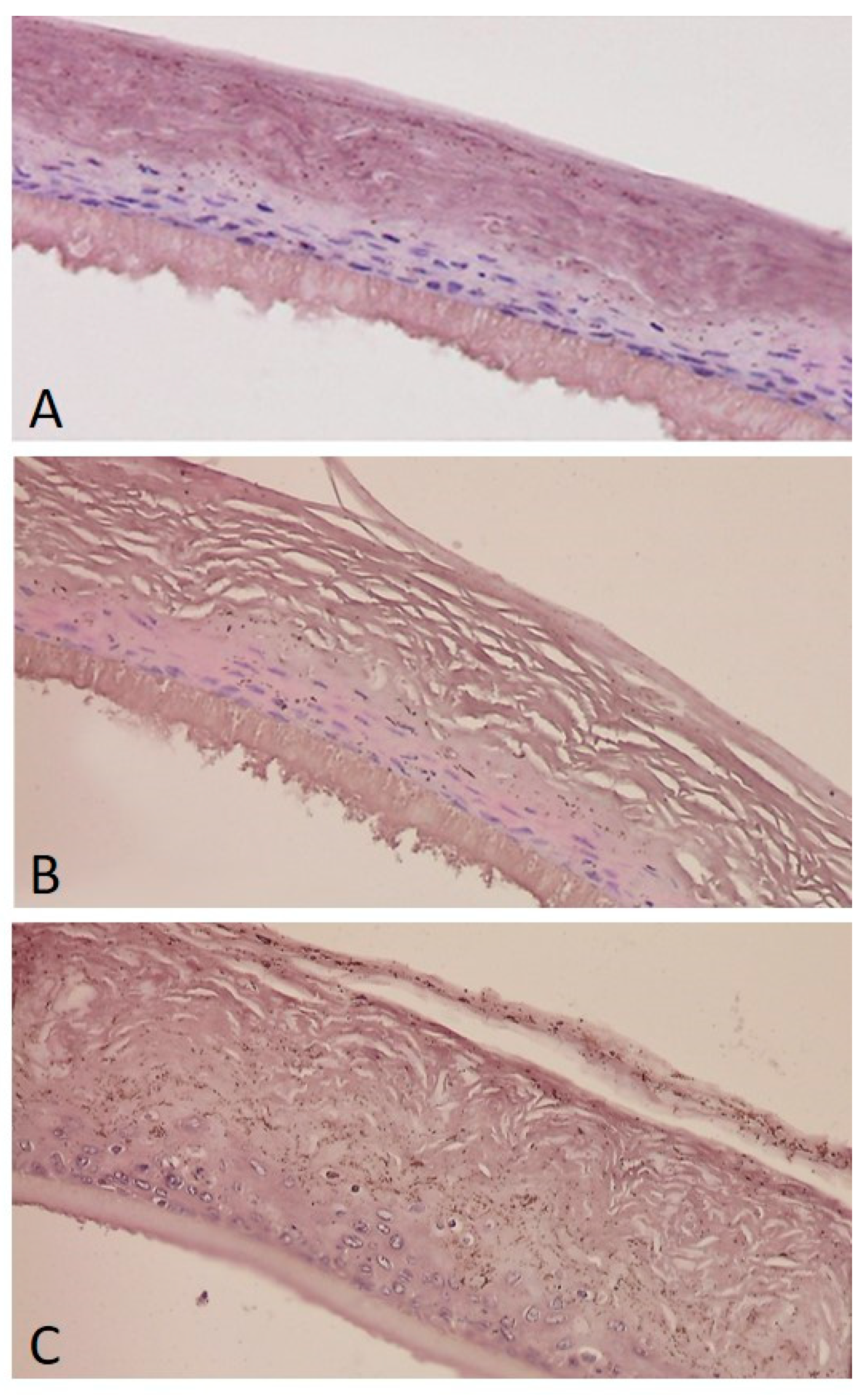
2.5. Cytotoxicity Screening of a Cosmeceutical Formulation Containing ZLF-A Extract
2.6. Preliminary in Vitro Stability Tests of ZLF-A Enriched Emulsion
3. Materials and Methods
3.1. Materials
3.2. Plant Extraction and Fractionation
3.3. UHPLC-HRMS Analyses
3.4. Determination of Total Phenols
3.5. Determination of DPPH Radical Scavenging Capacity
3.6. Determination of ABTS Radical Cation Scavenging Capacity
3.7. Cell culture and Cytotoxicity Assessment
3.8. Radical Scavenging Capacity of Zucchini-Based Cosmeceutical Emulsions
3.8.1. Cream Formulation
3.8.2. Determination of Antiradical Activity
3.8.3. Cytotoxicity Assessment in an In Vitro Reconstructed Human Epidermis (EpiSkin™)
3.8.4. Histological Analysis on Reconstructed Human Epidermis (EpiSkin™)
3.9. Stability Tests
4. Conclusions
Supplementary Materials
Author Contributions
Funding
Acknowledgments
Conflicts of Interest
References
- Barbulova, A.; Colucci, G.; Apone, F. New Trends in Cosmetics: By-Products of Plant Origin and Their Potential Use as Cosmetic Active Ingredients. Cosmetics 2015, 2, 82–92. [Google Scholar] [CrossRef]
- Ribeiro, A.S.; Estanqueiro, M.; Oliveira, M.B.; Sousa Lobo, J.M. Main Benefits and Applicability of Plant Extracts in Skin Care Products. Cosmetics 2015, 2, 48–65. [Google Scholar] [CrossRef]
- Piccolella, S.; Pacifico, S. Plant-Derived Polyphenols: A Chemopreventive and Chemoprotectant Worth-Exploring Resource in Toxicology. In Advances in Molecular Toxicology; Fishbein, J.C., Heilman, J.M., Eds.; Elsevier: Cambridge, MA, USA, 2015; Volume 9, pp. 161–214. [Google Scholar]
- Nichols, J.A.; Katiyar, S.K. Skin photoprotection by natural polyphenols: Anti-inflammatory, antioxidant and DNA repair mechanisms. Arch. Dermatol. Res. 2009, 302, 71–83. [Google Scholar] [CrossRef] [PubMed]
- Zillich, O.V.; Schweiggert-Weisz, U.; Eisner, P.; Kerscher, M. Polyphenols as active ingredients for cosmetic products. Int. J. Cosmet. Sci. 2015, 37, 455–464. [Google Scholar] [CrossRef] [PubMed]
- Lin, T.K.; Zhong, L.; Santiago, J.L. Anti-Inflammatory and Skin Barrier Repair Effects of Topical Application of Some Plant Oils. Int. J. Mol. Sci. 2017, 19, 70. [Google Scholar] [CrossRef] [PubMed]
- Ghosh, P.R.; Fawcett, D.; Sharma, S.B.; Poinern, G.E. Progress towards Sustainable Utilisation and Management of Food Wastes in the Global Economy. Int. J. Food Sci. 2016, 2016, 3563478. [Google Scholar] [CrossRef]
- Zuin, V.G.; Ramin, L.Z. Green and Sustainable Separation of Natural Products from Agro-Industrial Waste: Challenges, Potentialities, and Perspectives on Emerging Approaches. Top. Curr. Chem. (Cham) 2018, 376, 3. [Google Scholar] [CrossRef] [PubMed]
- Omar, S.H. Oleuropein in olive and its pharmacological effects. Sci. Pharm. 2010, 78, 133–154. [Google Scholar] [CrossRef]
- Rodrigues, F.; Pimentel, F.B.; Oliveira, M.B.P.P. Olive by-products: Challenge application in cosmetic industry. Ind. Crop Prod. 2015, 70, 116–124. [Google Scholar] [CrossRef]
- Galanakis, C.M.; Tsatalas, P.; Galanakis, I.M. Implementation of phenols recovered from olive mill wastewater as UV booster in cosmetics. Ind. Crop. Prod. 2018, 111, 30–37. [Google Scholar] [CrossRef]
- Kang, G.J.; Han, S.C.; Yi, E.J.; Kang, H.K.; Yoo, E.S. The Inhibitory Effect of Premature Citrus unshiu Extract on Atopic Dermatitis In Vitro and In Vivo. Toxicol Res. 2011, 27, 173–180. [Google Scholar] [CrossRef]
- Kang, G.J.; Han, S.C.; Ock, J.W.; Kang, H.K.; Yoo, E.S. Anti-Inflammatory Effect of Quercetagetin, an Active Component of Immature Citrus unshiu, in HaCaT Human Keratinocytes. Biomol. Ther. (Seoul) 2013, 21, 138–145. [Google Scholar] [CrossRef]
- Teixeira, A.; Baenas, N.; Dominguez-Perles, R.; Barros, A.; Rosa, E.; Moreno, D.A.; Garcia-Viguera, C. Natural bioactive compounds from winery by-products as health promoters: A review. Int. J. Mol. Sci. 2014, 15, 15638–15678. [Google Scholar] [CrossRef]
- Murthy, S.; Naidu, M. Sustainable management of coffee industry by-products and value addition—A review. Resour. Conserv. Recycl. 2012, 66, 45–58. [Google Scholar] [CrossRef]
- Johnson, L.K.; Dunning, R.; Bloom, J.D.D.; Gunter, C.C.; Boyette, M.D.; Creamer, N.G. Estimating on-farm food loss at the field level: A methodology and applied case study on a North Carolina farm. Resour. Conserv. Recycl. 2018, 137, 243–250. [Google Scholar] [CrossRef]
- Global Food Losses and Food Waste—Extent, Causes and Prevention. Available online: http://www.fao.org/docrep/014/mb060e/mb060e00.pdf (accessed on 1 March 2019).
- Pacifico, S.; Piccolella, S.; Nocera, P.; Tranquillo, E.; Dal Poggetto, F.; Catauro, M. New insights into phenol and polyphenol composition of Stevia rebaudiana leaves. J. Pharm. Biomed. Anal. 2019, 163, 45–57. [Google Scholar] [CrossRef] [PubMed]
- Iswaldi, I.; Gómez-Caravaca, A.M.; Lozano-Sánchez, J.; Arráez-Román, D.; Segura-Carretero, A.; Fernández-Gutiérrez, A. Profiling of phenolic and other polar compounds in zucchini (Cucurbita pepo L.) by reverse-phase high-performance liquid chromatography coupled to quadrupole time-of-flight mass spectrometry. Food Res. Int. 2013, 50, 77–84. [Google Scholar] [CrossRef]
- Tsiklauri, L.; An, G.; Ruszaj, D.M.; Alaniya, M.; Kemertelidze, E.; Morris, M.E. Simultaneous determination of the flavonoids robinin and kaempferol in human breast cancer cells by liquid chromatography-tandem mass spectrometry. J. Pharm. Biomed. Anal. 2011, 55, 109–113. [Google Scholar] [CrossRef] [PubMed]
- Faugno, S.; Piccolella, S.; Sannino, M.; Principio, L.; Crescente, G.; Baldi, G.M.; Fiorentino, N.; Pacifico, S. Can agronomic practices and cold-pressing extraction parameters affect phenols and polyphenols content in hempseed oils? Ind. Crop Prod. 2019, 130, 511–519. [Google Scholar] [CrossRef]
- Abu-Reidah, I.M.; Arráez-Román, D.; Quirantes-Piné, R.; Fernández-Arroyo, S.; Segura-Carretero, A.; Fernández-Gutiérrez, A. HPLC–ESI-Q-TOF-MS for a comprehensive characterization of bioactive phenolic compounds in cucumber whole fruit extract. Food Res. Int. 2012, 46, 108–117. [Google Scholar] [CrossRef]
- Pacifico, S.; Galasso, S.; Piccolella, S.; Kretschmer, N.; Pan, S.-P.; Nocera, P.; Lettieri, A.; Bauer, R.; Monaco, P. Winter wild fennel leaves as a source of anti-inflammatory and antioxidant polyphenols. Arab. J. Chem. 2018, 11, 513–524. [Google Scholar] [CrossRef]
- Brahmi-Chendouh, N.; Piccolella, S.; Crescente, G.; Pacifico, F.; Boulekbache, L.; Hamri-Zeghichi, S.; Akkal, S.; Madani, K.; Pacifico, S. A nutraceutical extract from Inula viscosa leaves: UHPLC-HR-MS/MS based polyphenol profile, and antioxidant and cytotoxic activities. J. Food Drug Anal. 2019, in press. [Google Scholar] [CrossRef]
- Yasir, M.; Sultana, B.; Nigam, P.S.; Owusu-Apenten, R. Antioxidant and genoprotective activity of selected cucurbitaceae seed extracts and LC–ESIMS/MS identification of phenolic components. Food Chem. 2016, 199, 307–313. [Google Scholar] [CrossRef]
- Nikaido, T.; Ohmoto, T.; Sankawa, U.; Kitanaka, S.; Takido, M. Inhibitors of adenosine 3′, 5′-cyclic monophosphate phosphodiesterase in Cassia seed. Chem. Pharm. Bull. 1984, 32, 3075–3078. [Google Scholar] [CrossRef]
- Singh, J.; Singh, J. Two anthraquinone glycosides from Cassia marginata roots. Phytochemistry 1987, 26, 507–508. [Google Scholar] [CrossRef]
- Rai, K.N.; Ranjan, S.; Chandra, S.S. Isolation and characterization of anthraquinone derivatives from the heartwood of Cassia glauca Lam. Asian J. Chem. 2009, 21, 7398–7402. [Google Scholar]
- Pacifico, S.; Piccolella, S.; Nocera, P.; Tranquillo, E.; Dal Poggetto, F.; Catauro, M. Steviol glycosides content in cultivated Stevia rebaudiana Bertoni: A new sweet expectation from the Campania region (Italy). J. Food Compos. Anal. 2017, 63, 111–120. [Google Scholar] [CrossRef]
- García, P.A.; De Oliveira, A.B.; Batista, R. Occurrence, biological activities and synthesis of kaurane diterpenes and their glycosides. Molecules 2007, 12, 455–483. [Google Scholar] [CrossRef] [PubMed]
- Kikuchi, T.; Ando, H.; Maekawa, K.I.; Arie, H.; Yamada, T.; Tanaka, R. Two new ent-kaurane-type diterpene glycosides from zucchini (Cucurbita pepo L.) seeds. Fitoterapia 2015, 107, 69–76. [Google Scholar] [CrossRef] [PubMed]
- Bang, M.H.; Han, J.T.; Kim, H.Y.; Park, Y.D.; Park, C.H.; Lee, K.R.; Baek, N.I. 13-Hydroxy-9Z,11E,15E-octadecatrienoic acid from the leaves of Cucurbita moschata. Arch. Pharm. Res. 2002, 25, 438–440. [Google Scholar] [CrossRef]
- Cotovio, J.; Grandidier, M.-H.; Lelièvre, D.; Roguet, R.; Tinois-Tessonneaud, E.; Leclaire, J. In vitro acute skin irritancy of chemicals using the validated EPISKIN model in a tiered strategy. Results and performances with 184 cosmetic ingredients. AATEX 2008, 14, 351–358. [Google Scholar]
- EU (2008). Council Regulation (EC) No 440/2008 of 30 May 2008 Laying down Test Methods Pursuant to Regulation (EC) No 1907/2006 of the European Parliament and of the Council on the Registration, Evaluation, Authorisation and Restriction of Chemicals (REACH). Available online: https://eur-lex.europa.eu/legal-content/EN/ALL/?uri=celex:32008R0440 (accessed on 1 March 2019).
- Test No. 439: In Vitro Skin Irritation: Reconstructed Human Epidermis Test Method; OECD Guidelines for the Testing of Chemicals, Section 4; OECD Publishing: Paris, France, 2015. [CrossRef]
- Nour, A.H.; Yunus, R.M. Stability investigation of water-in-crude oil emulsion. J. Appl. Sci. 2006, 6, 2895–2900. [Google Scholar] [CrossRef]
- Smaoui, S.; Hlima, H.B.; Chobba, I.B.; Kadri, A. Development and stability studies of sunscreen cream formulations containing three photo-protective filters. Arabian J. Chem. 2017, 10, S1216–S1222. [Google Scholar] [CrossRef]
- Abels, C.; Angelova-Fischer, I. Skin Care Products: Age-Appropriate Cosmetics. Curr. Probl. Dermatol. 2018, 54, 173–182. [Google Scholar] [CrossRef] [PubMed]
- Lust, T.A.; Paris, H.S. Italian horticultural and culinary records of summer squash (Cucurbita pepo, Cucurbitaceae) and emergence of the zucchini in 19th-century Milan. Ann. Bot. 2016, 118, 53–69. [Google Scholar] [CrossRef]
- Martínez-Valdivieso, D.; Font, R.; Fernández-Bedmar, Z.; Merinas-Amo, T.; Gómez, P.; Alonso-Moraga, Á.; Del Río-Celestino, M. Role of Zucchini and Its Distinctive Components in the Modulation of Degenerative Processes: Genotoxicity, Anti-Genotoxicity, Cytotoxicity and Apoptotic Effects. Nutrients 2017, 9, 755. [Google Scholar] [CrossRef]
- Bardaa, S.; Ben Halima, N.; Aloui, F.; Ben Mansour, R.; Jabeur, H.; Bouaziz, M.; Sahnoun, Z. Oil from pumpkin (Cucurbita pepo L.) seeds: Evaluation of its functional properties on wound healing in rats. Lipids Health Dis. 2016, 15, 73. [Google Scholar] [CrossRef]
- Pacifico, S.; Piccolella, S.; Galasso, S.; Fiorentino, A.; Kretschmer, N.; Pan, S.-P.; Bauer, R.; Monaco, P. Influence of harvest season on chemical composition and bioactivity of wild rue plant hydroalcoholic extracts. Food Chem. Toxicol. 2016, 90, 102–111. [Google Scholar] [CrossRef]
- Pacifico, S.; Piccolella, S.; Marciano, S.; Galasso, S.; Nocera, P.; Piscopo, V.; Fiorentino, A.; Monaco, P. LC-MS/MS profiling of a mastic leaf phenol enriched extract and its effects on H2O2 and Aβ (25–35) oxidative injury in SK-B-NE (C)-2 cells. J. Agric. Food Chem. 2014, 62, 11957–11966. [Google Scholar] [CrossRef]
- Di Maro, A.; Pacifico, S.; Fiorentino, A.; Galasso, S.; Gallicchio, M.; Guida, V.; Severino, V.; Monaco, P.; Parente, A. Raviscanina wild asparagus (Asparagus acutifolius L.): A nutritionally valuable crop with antioxidant and antiproliferative properties. Food Res. Int. 2013, 53, 180–188. [Google Scholar] [CrossRef]
- Piccolella, S.; Nocera, P.; Carillo, P.; Woodrow, P.; Greco, V.; Manti, L.; Fiorentino, A.; Pacifico, S. An apolar Pistacia lentiscus L. leaf extract: GC-MS metabolic profiling and evaluation of cytotoxicity and apoptosis inducing effects on SH-SY5Y and SK-N-BE(2)C cell lines. Food Chem. Toxicol. 2016, 95, 64–74. [Google Scholar] [CrossRef] [PubMed]
- Pelle, E.; Mammone, T.; Marenus, K.; Dicanio, D.; Maes, D. A test for antioxidant activity in cosmetic formulations. J. Cosmet. Sci. 2002, 53, 237–240. [Google Scholar]
- Pellevoisin, C.; Videau, C.; Briotet, D.; Grégoire, C.; Tornier, C.; Alonso, A.; Rigaudeau, A.S.; Bouez, C.; Seyler, N. SkinEthic™ RHE for in vitro evaluation of skin irritation of medical device extracts. Toxicol. In Vitro 2018, 50, 418–425. [Google Scholar] [CrossRef] [PubMed]
- Rosati, L.; Prisco, M.; Di Fiore, M.M.; Santillo, A.; Sciarrillo, R.; Valiante, S.; Laforgia, V.; Coraggio, F.; Andreuccetti, P.; Agnese, M. Sex steroid hormone secretion in the wall lizard Podarcis sicula testis: The involvement of VIP. J. Exp. Zool. A Ecol. Genet. Physiol. 2015, 323, 714–721. [Google Scholar] [CrossRef]
- Di Fiore, M.M.; Burrone, L.; Santillo, A.; Chieffi Baccari, G. Endocrine Activity of D-Aspartate in Nonmammalian Animals. In D-Amino Acids. Physiology, Metabolism, and Application; Tohru Yoshimura, T., Nishikawa, T., Homma, H., Eds.; Springer: Tokyo, Japan, 2016; pp. 157–172. [Google Scholar]
- Santillo, A.; Falvo, S.; Chieffi, G.; Di Fiore, M.M. Seasonal changes in gene expression of steroidogenic enzymes, androgen and estrogen receptors in frog testis. Acta Zool. 2017, 98, 221–227. [Google Scholar] [CrossRef]
- Varzakas, T.; Zakynthinos, G.; Verpoort, F. Plant Food Residues as a Source of Nutraceuticals and Functional Foods. Foods 2016, 5, 88. [Google Scholar] [CrossRef]
Sample Availability: All samples investigated in this manuscript are available from the authors. |








| Peak n. | Rt (min) | Tentative Assignment | Formula | [M−H]− Found (m/z) | [M−H]− Calc. (m/z) | Error (ppm) | RDB | MS/MS Fragment Ions (m/z) |
|---|---|---|---|---|---|---|---|---|
| 1 | 8.80 | Myricetin 3-O-hexoside | C21H20O13 | 479.0826 | 479.0831 | −1.0 | 12 | 317.0313; 316.0218; 287.0194; 271.0234; 259.0247 |
| 2 | 9.33 | Quercetin 3-O-dideoxyhexosyl-hexoside | C33H40O20 | 755.2025 | 755.2040 | −2.0 | 14 | 609.1484; 591.1386; 489.1059; 301.0355; 300.0277; 271.0246; 255.0297; 178.9985 |
| 3 | 9.71 | Quercetin 3-O-hexosyl-pentoside | C26H28O16 | 595.1303 | 595.1304 | −0.2 | 13 | 301.0350; 300.0279; 287.0578; 271.0249; 255.0292 |
| 4 | 10.64 | Kaempferol 3-O-(2′′,6′′-di-O-deoxyhexosyl)hexoside (e.g., clitorin) | C33H40O19 | 739.2066 | 739.2091 | −3.4 | 14 | 575.1429; 285.0406; 284.0325; 255.0300; 227.0350 |
| 5 | 10.72 | Rutin | C27H30O16 | 609.1462 | 609.1461 | −0.2 | 13 | 343.0461; 301.0351; 300.0271; 271.0245; 255.0298; 243.0297; 178.9980; 151.0031 |
| 6 | 10.97 | Quercetin 3-O-hexoside | C21H20O12 | 463.0876 | 463.0882 | 1.3 | 12 | 301.0360; 300.0280; 271.0252; 255.0302; 243.0297; 151.0032 |
| 7 | 10.98 | Isorhamnetin 3-O-(2″,6″-di-O-deoxyhexosyl) hexoside (e.g., typhaneoside) | C34H42O20 | 769.2183 | 769.2197 | −1.8 | 14 | 605.1556; 315.0514; 314.0439; 299.0204; 271.0252; 243.0301 |
| 8 | 11.19 | Luteolin hexoside | C21H20O11 | 447.0925 | 447.0933 | −1.8 | 12 | 285.0395; 284.0314 |
| 9 | 11.20 | Luteolin hexosyl-deoxyhexoside | C27H30O15 | 593.1506 | 593.1512 | −1.0 | 13 | 285.0404; 284.0314 |
| 10 | 11.36 | Kaempferol hexosyl-deoxyhexoside (isomer 1) | C27H30O15 | 593.1514 | 593.1512 | 0.3 | 13 | 473.1109; 447.0953; 429.0826; 327.0503; 285.0395; 284.0322; 255.0292; 227.0341; 178.9978; 151.0037 |
| 11 | 11.41 | Kaempferol 3-O-hexosyl-pentoside (e.g., sambubioside) | C26H28O15 | 579.1358 | 579.1355 | 0.4 | 13 | 357.1471; 285.0387; 284.0315; 255.0287; 227.0331 |
| 12 | 11.65 | Isorhamnetin 4′-O-rutinoside | C28H32O16 | 623.1619 | 623.1618 | 0.2 | 13 | 477.1032; 459.0941; 443.2295; 357.0613; 339.0506; 315.0505; 314.0428; 299.0188; 285.0386; 271.0238; 255.0287; 243.0292; 227.0332; 199.0390; 178.9975; 151.0021 |
| 13 | 12.27 | Kaempferol hexosyl-deoxyhexoside (isomer 2) | C27H30O15 | 593.1520 | 593.1512 | 1.4 | 13 | 327.0513; 285.0404; 284.0327; 257.0455; 255.0299; 227.0351 |
| 14 | 12.27 | Kaempferol 3-O-hexoside | C21H20O11 | 447.0924 | 447.0933 | −2.4 | 12 | 285.0392; 284.0326; 257.0437; 255.0302; 227.0342 |
| 15 | 12.60 | Isorhamnetin 7-O-rutinoside | C28H32O16 | 623.1620 | 623.1618 | 0.4 | 13 | 357.0623; 315.0514; 314.0438; 300.0282; 299.0188; 285.0409; 271.0253; 255.0300; 243.0304 |
| 16 | 13.31 | Anthraquinone derivative 1 | C34H36O17 | 715.1893 | 715.1880 | 1.8 | 17 | 621.1469; 407.0773; 406.0694; 313.0346; 312.0269; 285.0381; 283.0243 |
| 17 | 13.53 | Anthraquinone derivative 2 | C34H36O16 | 699.1942 | 699.1931 | 1.6 | 17 | 605.1517; 391.0806; 390.0731; 333.0745; 297.0385; 296.0304; 269.0432; 267.0276 |
| 18 | 13.73 | Ent-kaurene diterpene glycoside | C38H60O18 | 803.3713 | 803.3707 | 0.8 | 9 | 641.3231 (→479.2690; 461.2578; 335.2240; 317.2119); 623.3117; 479.2673; 413.2344; 317.2129 |
| Peak n. | Rt (min) | Tentative Assignment | Formula | [M−H]− Found (m/z) | [M−H]− Calc. (m/z) | Error (ppm) | RDB | MS/MS Fragment Ions (m/z) |
|---|---|---|---|---|---|---|---|---|
| 1 | 2.420 | p-Coumaric acid | C9H8O3 | 163.0407 | 163.0401 | 3.9 | 6 | 119.0508; 117.0348; 93.0351 |
| 2 | 2.557 | Quercetin rutinoside | C27H30O16 | 609.1464 | 609.1461 | 0.5 | 13 | 301.0349; 300.0275; 271.0247; 255.0297 |
| 3 | 2.674 | Quercetin hexoside | C21H20O12 | 463.0871 | 463.0882 | −2.4 | 12 | 301.0347; 300.0279; 271.0241; 255.0298; 151.0026 |
| 4 | 2.791 | Kaempferol rutinoside | C27H30O15 | 593.1520 | 593.1512 | 1.4 | 13 | 285.0407; 284.0327; 255.0296 |
| 5 | 2.85 | (iso)rhamnetin rutinoside | C28H32O16 | 623.1620 | 623.1618 | 0.4 | 13 | 315.0519; 314.0435; 300.0279; 299.0204; 271.0248 |
| 6 | 2.928 | Quercetin deoxyhexoside | C21H20O11 | 447.0929 | 447.0933 | −0.9 | 12 | 301.0350; 300.0274; 271.0245; 255.0298; 243.0300 |
| 7 | 3.240 | Kaempferol deoxyhexoside | C21H20O10 | 431.0984 | 431.0984 | 0.1 | 12 | 285.0413; 284.0326; 255.0303; 227.0350 |
| 8 | 3.530 | Cartamidin | C15H12O6 | 287.0560 | 287.0561 | −0.4 | 10 | 151.0027; 135.0449; 134.0371 |
| 9 | 3.630 | Quercetin | C15H10O7 | 301.0351 | 301.0354 | −0.9 | 11 | 273.0406; 245.0448; 227.0351; 178.9982; 151.0037; 121.0295; 107.0141 |
| 10 | 3.668 | Oxo-dihydroxyoctadecenoic acid hexoside | C24H42O10 | 489.2708 | 489.2705 | 0.6 | 4 | 327.2179; 291.1973; 229.1445; 211.1338; 171.1026 |
| 11 | 4.174 | Trihydroxyoctadecadienoic acid 1 | C18H32O5 | 327.2177 | 327.2177 | 0.0 | 3 | 309.2078; 291.1966; 229.1448; 211.1347; 183.1396; 171.1034; 165.1290; 137.0977 |
| 12 | 4.405 | Trihydroxyoctadecenoic acid | C18H34O5 | 329.2335 | 329.2333 | 0.5 | 2 | 311.2232; 293.2124; 229.1449; 211.1347; 183.1396; 171.1029; 127.1130 |
| 13 | 4.521 | n.i. | C18H32O5 | 327.2174 | 327.2177 | −0.9 | 3 | 291.1970; 239.1655; 221.1546; 197.1181; 195.1390; 179.1437 |
| 14 | 4.690 | n.i. | C13H18O4 | 237.1137 | 237.1132 | 2.0 | 5 | 217.0877; 193.1242; 177.0927; 165.0925; 133.1024 |
| 15 | 5.222 | n.i. | C25H38O6 | 433.2600 | 433.2596 | 1.0 | 7 | 327.2184; 291.1967; 229.1441; 211.1337; 201.1123; 183.1388; 171.1023 |
| 16 | 5.320 | Trihydroxyoctadecadienoic acid 2 | C18H32O5 | 327.2177 | 327.2177 | −0.3 | 3 | 309.2078; 291.1967; 283.1931; 265.1820; 239.1643; 211.1336; 183.1387; 171.1025; 135.0455 |
| 17 | 5.533 | Dihydroxyoctadecadienoic acid | C18H32O4 | 311.2232 | 311.2228 | 1.3 | 3 | 293.2128; 275.2018; 235.1702; 223.1706; 201.1134; 199.0974; 171.1025; 165.0919; 155.1078; 127.1129; 125.0974 |
| 18 | 5.726 | n.i. | C24H34O6 | 417.2288 | 417.2283 | 1.3 | 8 | 373.2402; 301.2179; 259.1711 |
| 19 | 5.803 | n.i. | C17H26O4 | 293.1764 | 293.1758 | 1.9 | 5 | 249.1863; 193.1599; 192.1160; 177.0922; 136.0897; 121.0657 |
| 20 | 5.899 | Dihydroxyoctadecenoic acid 1 | C18H34O4 | 313.2388 | 313.2384 | 1.2 | 2 | 295.2287; 277.2175; 201.1135; 195.1393; 183.1393; 129.0921; 99.0818 |
| 21 | 5.956 | Dihydroxyoctadecenoic acid 2 | C18H34O4 | 313.2392 | 313.2384 | 2.4 | 2 | 295.2285; 277.2177; 201.1135; 199.0975; 171.1029; 165.0922; 155.1082; 127.1133; 125.0974 |
| 22 | 6.494 | Hydroxyoctadecatrienoic acid | C18H30O3 | 293.2126 | 293.2122 | 1.3 | 4 | 275.2022; 223.1334; 205.1219; 195.1387; 183.1383; 171.1023; 121.1020 |
| 23 | 7.985 | Hydroxypalmitic acid | C16H32O3 | 271.2283 | 271.2279 | 1.6 | 1 | 253.2175; 225.2228; 223.2070; 221.1912; 197.1909 |
| 24 | 8.187 | Linolenic acid | C18H30O2 | 277.2179 | 277.2173 | 2.1 | 4 | 259.2089; 127.0774 |
| 25 | 8.665 | Linoleic acid | C18H32O2 | 279.2334 | 279.2330 | 1.6 | 3 | 261.2227 |
| 26 | 9.023 | Palmitic acid | C16H32O2 | 255.2337 | 255.2330 | 2.9 | 1 | 237.2214; 201.8350; 166.8665 |
| ZLF-O | ZLF-A | |
|---|---|---|
| TOF-MS Survey Scan Range | 100–1500 Da | 250–950 Da |
| TOF-MS Accumulation Time | 250 ms | 250 ms |
| TOF-MS/MS Scan Range | 80–1250 Da | 100–800 Da |
| TOF-MS/MS Accumulation Time | 100 ms | 100 ms |
| Collision Energy | 45 V | 35 V |
| Collision Energy Spread | 15 V | 25 V |
| Declustering Potential | 60 V | 70 V |
© 2019 by the authors. Licensee MDPI, Basel, Switzerland. This article is an open access article distributed under the terms and conditions of the Creative Commons Attribution (CC BY) license (http://creativecommons.org/licenses/by/4.0/).
Share and Cite
Piccolella, S.; Bianco, A.; Crescente, G.; Santillo, A.; Chieffi Baccari, G.; Pacifico, S. Recovering Cucurbita pepo cv. ‘Lungo Fiorentino’ Wastes: UHPLC-HRMS/MS Metabolic Profile, the Basis for Establishing Their Nutra- and Cosmeceutical Valorisation. Molecules 2019, 24, 1479. https://doi.org/10.3390/molecules24081479
Piccolella S, Bianco A, Crescente G, Santillo A, Chieffi Baccari G, Pacifico S. Recovering Cucurbita pepo cv. ‘Lungo Fiorentino’ Wastes: UHPLC-HRMS/MS Metabolic Profile, the Basis for Establishing Their Nutra- and Cosmeceutical Valorisation. Molecules. 2019; 24(8):1479. https://doi.org/10.3390/molecules24081479
Chicago/Turabian StylePiccolella, Simona, Alessandro Bianco, Giuseppina Crescente, Alessandra Santillo, Gabriella Chieffi Baccari, and Severina Pacifico. 2019. "Recovering Cucurbita pepo cv. ‘Lungo Fiorentino’ Wastes: UHPLC-HRMS/MS Metabolic Profile, the Basis for Establishing Their Nutra- and Cosmeceutical Valorisation" Molecules 24, no. 8: 1479. https://doi.org/10.3390/molecules24081479
APA StylePiccolella, S., Bianco, A., Crescente, G., Santillo, A., Chieffi Baccari, G., & Pacifico, S. (2019). Recovering Cucurbita pepo cv. ‘Lungo Fiorentino’ Wastes: UHPLC-HRMS/MS Metabolic Profile, the Basis for Establishing Their Nutra- and Cosmeceutical Valorisation. Molecules, 24(8), 1479. https://doi.org/10.3390/molecules24081479

