Histopathological Study of Canine Skin Hemangiomas and Hemangiosarcomas in Uruguay
Abstract
1. Introduction
2. Materials and Methods
2.1. Dogs
2.2. Histopathology and Immunohistochemistry
2.3. Statistical Analysis
3. Results
3.1. Hemangiomas
3.1.1. Dogs
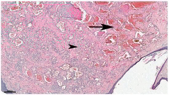
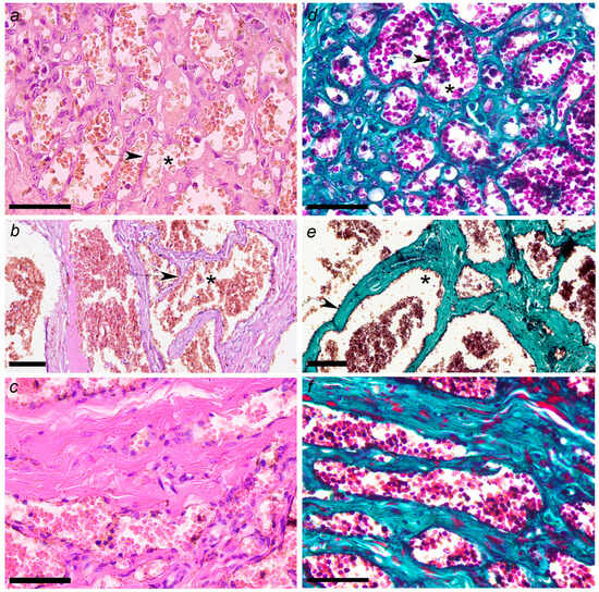
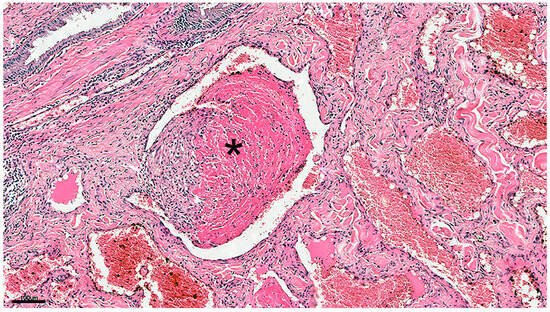
3.1.2. Histopathology
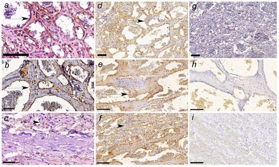
3.1.3. Immunohistochemistry
3.2. Hemangiosarcomas
3.2.1. Dogs
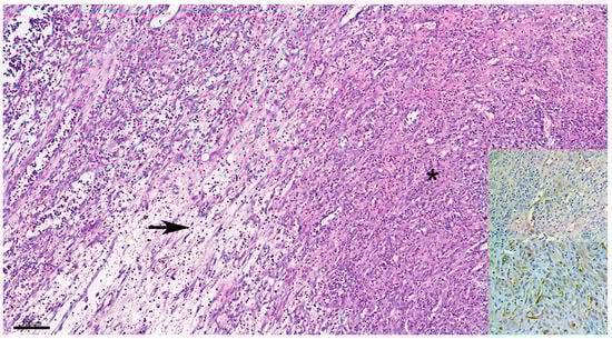
3.2.2. Histopathology
3.2.3. Immunohistochemistry
3.3. Statistical Analysis of the Age of Diagnosis of Dogs with Hemangiomas and Hemangiosarcomas
4. Discussion
5. Conclusions
Supplementary Materials
Author Contributions
Funding
Institutional Review Board Statement
Informed Consent Statement
Data Availability Statement
Acknowledgments
Conflicts of Interest
References
- Hendrick, M.J. Mesenchymal Tumors of the Skin and Soft Tissues. In Tumors in Domestic Animals, 5th ed.; Meuten, D.J., Ed.; John Wiley & Sons Inc.: Ames, IA, USA, 2017; pp. 142–175. ISBN 978-0-813-82179-5. [Google Scholar]
- Mauldin, E.A.; Peters-Kennedy, J. Integumentary System. In Jubb, Kennedy and Palmer’s Pathology of Domestic Animals, 6th ed.; Maxie, M.G., Ed.; Elsevier: Maryland Heights, MO, USA, 2016; Volume 1, pp. 509–736. [Google Scholar] [CrossRef]
- Hargis, A.M.; Ihrke, P.J.; Spangler, W.L.; Stannard, A.A. A retrospective clinicopathologic study of 212 dogs with cutaneous hemangiomas and hemangiosarcomas. Vet. Pathol. 1992, 29, 316–328. [Google Scholar] [CrossRef]
- Nóbrega, D.F.; Sehaber, V.F.; Madureira, R.; Bracarense, A.P.F.R.L. Canine cutaneous haemangiosarcoma: Biomarkers and survival. J. Comp. Pathol. 2019, 166, 87–96. [Google Scholar] [CrossRef]
- Carloni, A.; Terragni, R.; Morselli-Labate, A.M.; Paninarova, M.; Graham, J.; Valenti, P.; Alberti, M.; Albarello, G.; Millanta, F.; Vignoli, M. Prevalence, distribution, and clinical characteristics of hemangiosarcoma-associated skeletal muscle metastases in 61 dogs: A whole body computed tomographic study. J. Vet. Intern. Med. 2019, 33, 812–819. [Google Scholar] [CrossRef]
- Fernandez, S.; Lang, J.M.; Maritato, K.C. Evaluation of nodular splenic lesions in 370 small-breed dogs (<15 kg). J. Am. Anim. Hosp. Assoc. 2019, 55, 201–209. [Google Scholar] [CrossRef] [PubMed]
- Leyva, F.J.; Loughin, C.A.; Dewey, C.W.; Marino, D.J.; Akerman, M.; Lesser, M.L. Histopathologic characteristics of biopsies from dogs undergoing surgery with concurrent gross splenic and hepatic masses: 125 cases (2012–2016). BMC Res. Notes 2018, 11, 122. [Google Scholar] [CrossRef]
- Day, M.J.; Lucke, V.M.; Pearson, H. A review of pathological diagnoses made from 87 canine splenic biopsies. J. Small Anim. Pract. 1995, 36, 426–433. [Google Scholar] [CrossRef]
- Johnson, K.A.; Powers, B.E.; Withrow, S.J.; Sheetz, M.J.; Curtis, C.R.; Wrigley, R.H. Splenomegaly in dogs. Predictors of neoplasia and survival after splenectomy. J. Vet. Intern. Med. 1989, 3, 160–166. [Google Scholar] [CrossRef] [PubMed]
- Iwata, M.; Aikawa, T.; Miyazaki, Y.; Sadahiro, S. Primary colonic hemangiosarcoma in a dog. Can. Vet. J. 2018, 59, 373–378. [Google Scholar] [PubMed Central]
- Osuga, T.; Nakamura, K.; Morita, T.; Kagawa, Y.; Ohta, H.; Takiguchi, M. Diastolic heart failure associated with hemangiosarcoma infiltrating left ventricular walls in a dog. Can. Vet. J. 2017, 58, 1167–1170. [Google Scholar] [PubMed Central]
- Burchell, R.K.; Kirberger, R.M.; van Rensberg, J.D.D. Haemangiosarcoma of the os penis in a dog: The most common neoplasm of the canine penis. J. S. Afr. Vet. Assoc. 2014, 85, e1–e4. [Google Scholar] [CrossRef] [PubMed]
- Yamamoto, S.; Hoshi, K.; Hirakawa, A.; Chimura, S.; Kobayashi, M.; Machida, N. Epidemiological, clinical and pathological features of primary cardiac hemangiosarcoma in dogs: A review of 51 cases. J. Vet. Med. Sci. 2013, 75, 1433–1441. [Google Scholar] [CrossRef]
- Guinan, J.; Fischetti, A.; Garate, A.P.; Chalhoub, S. Primary peri-aortic hemangiosarcoma in a dog. Can. Vet. J. 2012, 53, 1214–1218. [Google Scholar] [PubMed Central]
- Clifford, C.A.; Mackin, A.J.; Henry, C.J. Treatment of canine hemangiosarcoma: 2000 and beyond. J. Vet. Intern. Med. 2000, 14, 479–485. [Google Scholar] [CrossRef] [PubMed]
- van der Gaag, I.; Vos, J.H.; van der Linde-Sipman, J.S.; Koeman, J.P. Canine capillary and combined capillary-cavernous haemangioma. J. Comp. Pathol. 1989, 101, 69–74. [Google Scholar] [CrossRef] [PubMed]
- Aronsohn, M. Cardic hemangiosarcoma in the dog: A review of 38 cases. J. Am. Vet. Med. Assoc. 1985, 187, 922–926. [Google Scholar] [CrossRef]
- Brown, N.O.; Patnaik, A.K.; MacEwen, E.G. Canine hemangiosarcoma: Retrospective analysis of 104 cases. J. Am. Vet. Med. Assoc. 1985, 186, 56–58. [Google Scholar] [CrossRef] [PubMed]
- Choi, E.W. Deep dermal and subcutaneous canine hemangiosarcoma in the perianal area: Diagnosis of perianal mass in a dog. BMC Vet. Res 2019, 15, 115. [Google Scholar] [CrossRef]
- Trappler, M.C.; Popovitch, C.A.; Goldschmidt, M.H.; Goldschmidt, K.H.; Risbon, R.E. Scrotal tumors in dogs: A retrospective study of 676 cases (1986–2010). Can. Vet. J. 2014, 55, 1229–1233. [Google Scholar] [PubMed] [PubMed Central]
- Tsuji, N.; Furukawa, S.; Ozaki, K. Cutaneous hemangiosarcoma in a dog. J. Toxicol. Pathol. 2013, 26, 193–195. [Google Scholar] [CrossRef]
- Schultheiss, P.C. A retrospective study of visceral and nonvisceral hemangiosarcoma and hemangiomas in domestic animals. J. Vet. Diagn. Investig. 2004, 16, 522–526. [Google Scholar] [CrossRef]
- Ward, H.; Fox, L.E.; Calderwood-Mays, M.B.; Hammer, A.S.; Couto, C.G. Cutaneous hemangiosarcoma in 25 dogs: A retrospective study. J. Vet. Intern. Med. 1994, 8, 345–348. [Google Scholar] [CrossRef]
- Valli, V.E.; Bienzle, D.; Meuten, D.J. Tumors of the hemolymphatic system. In Tumors in Domestic Animals, 5th ed.; Meuten, D.J., Ed.; John Wiley & Sons Inc.: Ames, IA, USA, 2017; pp. 209–321. [Google Scholar] [CrossRef]
- Kim, J.H.; Graef, A.J.; Dickerson, E.B.; Modiano, J.F. Pathobiology of hemangiosarcoma in dogs: Research advances and future perspectives. Vet. Sci. 2015, 2, 388–405. [Google Scholar] [CrossRef]
- Gorden, B.H.; Kim, J.H.; Sarver, A.L.; Frantz, A.M.; Breen, M.; Lindblad-Toh, K.; O’Brien, T.D.; Sharkey, L.C.; Modiano, J.F.; Dickerson, E.B. Identification of three molecular and functional subtypes in canine hemangiosarcoma through gene expression profiling and progenitor cell characterization. Am. J. Pathol. 2014, 184, 985–995. [Google Scholar] [CrossRef]
- Shor, S.; Helefard, S.C.; Gorman, E.; Löhr, C.V. Diagnostic exercise: Epithelioid hemangiosarcoma mimicking metastatic prostatic neoplasia in a dog. Vet. Pathol. 2009, 46, 548–552. [Google Scholar] [CrossRef] [PubMed]
- Warren, A.L.; Summers, B.A. Epithelioid variant of hemangioma and hemangiosarcoma in the dog, horse, and cow. Vet. Pathol. 2007, 44, 15–24. [Google Scholar] [CrossRef] [PubMed]
- Dickerson, E.B.; Thomas, R.; Fosmire, S.P.; Lamerato-Kozicki, A.R.; Bianco, S.R.; Wojcieszyn, J.W.; Breen, M.; Helfand, S.C.; Modiano, J.F. Mutations of phosphatase and tensin homolog deleted from chromosome 10 in canine hemangiosarcoma. Vet. Pathol. 2005, 42, 618–632. [Google Scholar] [CrossRef]
- Varela, B.; Larrañaga, C.; Yamasaki, K.; Verdes, J.M. Canine splenic tumors: Histopathological study of 9 cases in Uruguay, 2019–2020. Braz. J. Vet. Pathol. 2022, 15, 127–132. [Google Scholar] [CrossRef]
- Varela, B.; Larrañaga, C.; Yamasaki, K.; Verdes, J.M. Histopathological case study of canine hemangiosarcoma with multiple organ metastases. Braz. J. Vet. Pathol. 2022, 15, 169–173. [Google Scholar] [CrossRef]
- Jennings, R.N.; Miller, M.A.; Ramos-Vara, J.A. Comparison of CD34, CD31, and factor VIII–related antigen immunohistochemical expression in feline vascular neoplasms and CD34 expression in feline nonvascular neoplasms. Vet. Pathol. 2012, 49, 532–537. [Google Scholar] [CrossRef]
- Ramos-Vara, J.A.; Miller, M.A.; Gilbreath, E.; Patterson, J.S. Immunohistochemical detection of CD34, E-cadherin, claudin-1, glucose transporter 1, laminin, and protein gene product 9.5 in 28 canine and 8 feline meningiomas. Vet. Pathol. 2010, 47, 725–737. [Google Scholar] [CrossRef]
- Ramos-Vara, J.A.; Beissenherz, M.E. Optimization of immunohistochemical methods using two different antigen retrieval methods on formalin-fixed, paraffin-embedded tissues: Experience with 63 markers. J. Vet. Diagn. Investig. 2000, 12, 307–311. [Google Scholar] [CrossRef]
- Instituto Nacional de Estadística (INE). Censo 2023: Entre Perros Y Gatos. Available online: https://www.gub.uy/instituto-nacional-estadistica/comunicacion/noticias/censo-2023-entre-perros-gatos (accessed on 2 October 2025).
- Lather, D.; Nehra, V.; Gupta, R.P.; Jakhar, K.; Agnihotri, D.; Chaudhary, R. Cutaneous haemangioma in a dog—A case report. Haryana Vet. 2014, 54, 89–90. [Google Scholar]
- Von Beust, B.R.; Suter, M.M.; Summers, B.A. Factor VIII-related antigen in canine endothelial neoplasms: An immunohistochemical study. Vet. Pathol. 1988, 25, 251–255. [Google Scholar] [CrossRef]
- Ferrer, L.; Fondevila, D.; Rabanal, R.M.; Vilafranca, M. Immunohistochemical detection of CD31 antigen in normal and neoplastic canine endothelial cells. J. Comp. Pathol. 1995, 112, 319–326. [Google Scholar] [CrossRef] [PubMed]
- Griffin, M.A.; Culp, W.T.N.; Rebhun, R.B. Canine and feline haemangiosarcoma. Vet. Rec. 2021, 585, e585. [Google Scholar] [CrossRef] [PubMed]
- Robinson, K.L.; Bryan, M.E.; Atkinson, E.S.; Keeler, M.R.; Hahn, A.W.; Bryan, J.N. Neutering is associated with developing hemangiosarcoma in dogs in the Veterinary Medical Database: An age and time-period matched case-control study (1964–2003). Can. Vet. J. 2022, 61, 499–505. [Google Scholar] [PubMed Central]
- Sprangler, W.L.; Kass, P.H. Pathologic factors affecting postsplenectomy survival in dogs. J. Vet. Intern. Med. 1997, 11, 166–171. [Google Scholar] [CrossRef]
- Sprangler, W.L.; Culbertson, M.R. Prevalence, type, and importance of splenic diseases in dogs: 1480 cases (1985–1989). J. Am. Vet. Med. Assoc. 1992, 15, 829–834. [Google Scholar] [CrossRef] [PubMed]
- De Nardi, A.B.; Gomes, C.O.M.S.; Fonseca-Alves, C.E.; de Paiva, F.N.; Linhares, S.C.M.; Carra, G.J.U.; Horta, R.D.S.; Sueiro, F.A.R.; Jark, P.C.; Nishiya, A.T.; et al. Diagnosis, prognosis, and treatment of canine hemangiosarcoma: A review based on a consensus organized by the Brazilian Association of Veterinary Oncology, ABROVET. Cancers 2023, 15, 2025. [Google Scholar] [CrossRef]
- Gruntzig, K.; Graf, R.; Boo, G.; Guscetti, F.; Hässig, M.; Axhausen, K.W.; Fabrikant, S.; Welle, M.; Meier, D.; Folkers, G.; et al. Swiss Canine Cancer Registry 1955-2008: Occurrence of the most common tumour diagnoses and influence of age, breed, body size, sex and neutering status on tumour development. J. Comp. Pathol. 2016, 155, 156–170. [Google Scholar] [CrossRef]
- Prymak, C.; McKee, L.J.; Goldschmidt, M.H.; Glickman, L.T. Epidemiologic, clinical, pathologic, and prognostic characteristics of splenic hemangiosarcoma and splenic hematoma in dogs: 217 cases. J. Am. Vet. Med. Assoc. 1998, 193, 706–712. [Google Scholar] [CrossRef] [PubMed]
- Srebernik, N.; Appleby, E.C. Breed prevalence and sites of haemangioma and haemangiosarcoma in dogs. Vet. Rec. 1991, 129, 408–409. [Google Scholar] [CrossRef] [PubMed]
- Ramos-Vara, J.A.; Miller, M.A.; Dusold, D.M. Immunohistochemical expression of CD31 (PECAM-1) in nonendothelial tumors of dogs. Vet. Pathol. 2018, 55, 402–408. [Google Scholar] [CrossRef] [PubMed]








| Items | Dogs (%) |
|---|---|
| Breeds (n = 25) | |
| Mixed | 11 (44) |
| German Shepherd | 3 (12) |
| Boxer | 2 (8) |
| Cocker Spaniel | 2 (8) |
| Sharpei | 2 (8) |
| Others | 5 (20) |
| Sex (n = 25) | |
| Male | 13 (52) |
| Female | 12 (48) |
| Localization (n = 25) | |
| Limbs | 10 (40) |
| Trunk | 9 (36) |
| Neck | 3 (12) |
| No information | 3 (12) |
| Histological occurrence site (n = 25) | |
| Dermis | 24 (96) |
| Subcutaneous tissue | 1 (4) |
| Histological types (n = 25) | |
| Mixed capillary and cavernous types | 23 (92) |
| Capillary type | 1 (4) |
| Cavernous type | 1 (4) |
| Items | Dogs (%) |
|---|---|
| Breeds (n = 24) | |
| Mixed | 10 (42) |
| Pitbull Terrier | 3 (13) |
| Labrador Retriever | 2 (8) |
| Boxer | 2 (8) |
| Others | 7 (29) |
| Sex (n = 24) | |
| Male | 10 (42) |
| Female | 14 (58) |
| Localization (n = 24) | |
| Trunk | 12 (50) |
| Limbs | 8 (34) |
| Scrotum | 2 (8) |
| Lip | 1 (4) |
| No information | 1 (4) |
| Histological types (n = 24) | |
| Mixed capillary, cavernous, and solid types | 9 (39) |
| Mixed cavernous and solid types | 6 (25) |
| Mixed capillary, cavernous, solid, and epithelioid types | 2 (8) |
| Mixed solid and epithelioid types | 2 (8) |
| Mixed capillary, solid, and epithelioid types | 2 (8) |
| Mixed cavernous, solid, and epithelioid types | 1 (4) |
| Capillary type | 1 (4) |
| Epithelioid type | 1 (4) |
Disclaimer/Publisher’s Note: The statements, opinions and data contained in all publications are solely those of the individual author(s) and contributor(s) and not of MDPI and/or the editor(s). MDPI and/or the editor(s) disclaim responsibility for any injury to people or property resulting from any ideas, methods, instructions or products referred to in the content. |
© 2025 by the authors. Licensee MDPI, Basel, Switzerland. This article is an open access article distributed under the terms and conditions of the Creative Commons Attribution (CC BY) license (https://creativecommons.org/licenses/by/4.0/).
Share and Cite
Varela, B.; Larrañaga, C.; Yozzi, V.; Yamasaki, K.; Verdes, J.M. Histopathological Study of Canine Skin Hemangiomas and Hemangiosarcomas in Uruguay. Pets 2025, 2, 36. https://doi.org/10.3390/pets2040036
Varela B, Larrañaga C, Yozzi V, Yamasaki K, Verdes JM. Histopathological Study of Canine Skin Hemangiomas and Hemangiosarcomas in Uruguay. Pets. 2025; 2(4):36. https://doi.org/10.3390/pets2040036
Chicago/Turabian StyleVarela, Belén, Camila Larrañaga, Victoria Yozzi, Kanji Yamasaki, and José Manuel Verdes. 2025. "Histopathological Study of Canine Skin Hemangiomas and Hemangiosarcomas in Uruguay" Pets 2, no. 4: 36. https://doi.org/10.3390/pets2040036
APA StyleVarela, B., Larrañaga, C., Yozzi, V., Yamasaki, K., & Verdes, J. M. (2025). Histopathological Study of Canine Skin Hemangiomas and Hemangiosarcomas in Uruguay. Pets, 2(4), 36. https://doi.org/10.3390/pets2040036

