Local Anaesthesia Techniques in Dogs and Cats: A Review Study
Abstract
1. Introduction
- Pharmacology–Mechanism of action–Pharmacokinetics;
- Anaesthesia of the skin and open wounds;
- Local anaesthesia of the ocular region;
- Local anaesthesia of the oral region;
- Local anaesthesia of the auricular region;
- Local anaesthesia of the forelimb;
- Local anaesthesia of the hindlimb;
- Local anaesthesia of the thoracic region;
- Local anaesthesia of miscellaneous nerves.
2. Pharmacology–Mechanism of Action–Pharmacokinetics
3. Anaesthesia of the Skin and Open Wounds
3.1. EMLA Cream
3.2. Lidocaine Dermal Patches
3.3. Splash Incisional Block
3.4. Infiltration Local Anaesthesia
3.5. Diffusion Catheter
4. Local Anaesthesia of the Ocular Region
4.1. Retrobulbar Block
4.2. Peribulbar Block
4.3. Auriculopalpebral Block
4.4. Sub-Tenon’s (Episcleral) Block
4.5. Splash Block
4.6. Absorbable Gelatine Haemostatic Sponge Infused with Local Anaesthetic
5. Local Anaesthesia of the Oral Region
5.1. Maxillary Nerve Block
5.2. Infraorbital Nerve Block
5.3. Infraorbital or Maxillary Block for Rhinoscopy
5.4. Inferior Alveolar (Mandibular) Nerve Block
5.5. Mental Nerve Block
5.6. Infiltration Local Anaesthesia
6. Local Anaesthesia of the Auricular Region
Auricular and Auriculotemporal Block
7. Local Anaesthesia of the Forelimb
7.1. Cervical Paravertebral Block
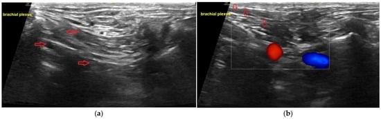
7.2. Brachial Plexus Block
7.3. Radial, Ulnar, Median and Musculocutaneous Nerves Block (RUMM)
8. Local Anaesthesia of the Hindlimb
8.1. Femoral Nerve
8.2. Sciatic Nerve
8.3. Tibial and Common Peroneal Nerve
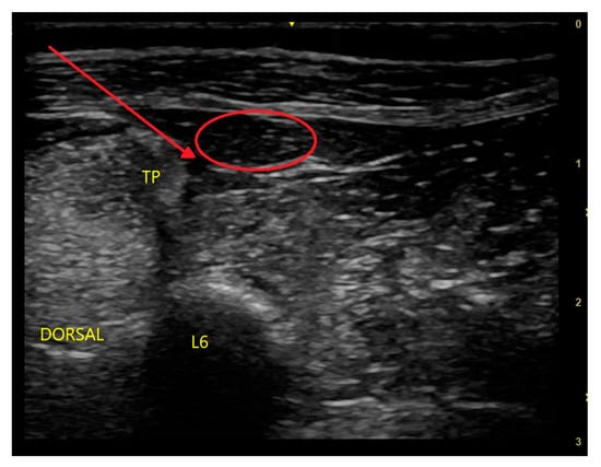
8.4. Lumbosacral Epidural Block
8.5. Sacrococcygeal Epidural Block
8.6. Forelimb and Hindlimb—Digital Nerve Block
9. Local Anaesthesia of the Thoracic Region
9.1. Intercostal Block
9.2. Interpleural Block
9.3. Serratus Plane Block
9.4. Transversus Thoracic (TTP) Plane Block
9.5. Erector Spina Plane (ESP) Block
10. Local Anaesthesia of the Abdominal Region
10.1. Quadratus Lumborum Block (QLB)
10.2. Transversus Abdominis (TAP) Plane Block
10.3. Rectus Abdominis Sheath Block
10.4. Intraperitoneal Technique
11. Local Anaesthesia of Miscellaneous Nerves
11.1. Intratesticular Block
11.2. Mesovarium Splashing during Ovariohysterectomy
11.3. Intra-Articular Block
11.4. Intravenous Regional Anaesthesia (Bier’s Block)
11.5. Combination of the QLB with the Greater Ischiatic Plane Block
12. Conclusions
Author Contributions
Funding
Acknowledgments
Conflicts of Interest
References
- Koller, K. Ueber die Verwendung des Cocain zur Anästhesierung am Auge. Wien Med. Wochenschr 1884, 34, 1276–1278, 1309–1311. [Google Scholar]
- Jones, R.S. A history of veterinary anaesthesia - Historia de la Anestesia Veterinaria. An. Vet. Murcia 2002, 18, 7–15. [Google Scholar]
- Braun, H. Ueber einige neue örtliche anaesthetica (Stovain, Alypin, Novocain). Dtsch. Med. Wochenschr. 1905, 1667–1671. [Google Scholar] [CrossRef]
- Goldberg, L. Xylocain, ett nytt lokalanestetikum. Toxicol. farmacol. 1948, 3, 109. [Google Scholar]
- Gordh, T. Xylocain–a new local analgesic. Anaesthesia 1949, 4, 4–9. [Google Scholar] [CrossRef] [PubMed]
- Ekenstam, B.; Egner, B.; Pettersson, G. Local anaesthetics: I. N-alkyl pyrrolidine and N-alkyl piperidine carboxylic acid amides. Acta Chem. Scand. 1957, 11, 1183–1190. [Google Scholar] [CrossRef]
- Yagiela, J.A. Local anesthetics. Anesth. Progr. 1991, 38, 128–141. [Google Scholar]
- Lund, P.; Cwik, J.; Vallesteros, F. Bupivacaine—A New Long-Acting Local Anesthetic Agent: A Preliminary Clinical and Laboratory Report. Anesth. Analg. 1970, 49, 103–113. [Google Scholar] [CrossRef]
- Albright, G.A. Cardiac arrest following regional anesthesia with etidocaine or bupivacaine. J. Amer. Soc. Anesthesiol. 1979, 51, 285–287. [Google Scholar] [CrossRef]
- Cox, C.; Faccenda, K.; Gilhooly, C.; Bannister, J.; Scott, N.; Morrison, L. Extradural S (-)-bupivacaine: Comparison with racemic RS-bupivacaine. Brit. J. Anaesth. 1998, 80, 289–293. [Google Scholar] [CrossRef]
- Ruetsch, Y.A.; Boni, T.; Borgeat, A. From cocaine to ropivacaine: The history of local anesthetic drugs. Curr. Top. Med. Chem. 2001, 1, 175–182. [Google Scholar] [CrossRef] [PubMed]
- McClure, J.H. Ropivacaine. Brit. J. Anaesth. 1996, 76, 300–307. [Google Scholar] [CrossRef] [PubMed]
- Hernández-Avalos, I.; Flores-Gasca, E.; Mota-Rojas, D.; Casas-Alvarado, A.; Miranda-Cortés, A.; Domínguez-Oliva, A. Neurobiology of anesthetic-surgical stress and induced behavioral changes in dogs and cats: A review. Vet. World 2021, 9, 10. [Google Scholar] [CrossRef]
- Flouraki, E.S.; Kazakos, G.M.; Papazoglou, L.G. Stress response to trauma. J. Hellenic Vet. Med. Soc. 2017, 64, 213–224. [Google Scholar] [CrossRef][Green Version]
- Scott, D.; Jebson, P.; Braid, D.; Ortengren, B.; Frisch, P. Factors affecting plasma levels of lignocaine and prilocaine. Brit. J. Anaesth. 1972, 44, 1040–1049. [Google Scholar] [CrossRef] [PubMed]
- Duke, T. Local and regional anesthetic and analgesic techniques in the dog and cat: Part I, Pharmacology of local anesthetics and topical anesthesia. Can. Vet. J. 2000, 41, 883. [Google Scholar] [PubMed]
- Lirk, P.; Hollmann, M.W.; Strichartz, G. The Science of Local Anesthesia: Basic Research, Clinical Application, and Future Directions. Anesth. Analg. 2018, 126, 1381–1392. [Google Scholar] [CrossRef] [PubMed]
- Lirk, P.; Picardi, S.; Hollmann, M.W. Local anaesthetics: 10 essentials. Europ. J. Anaesth. 2014, 31, 575–585. [Google Scholar] [CrossRef]
- Taylor, R.E. Effect of procaine on electrical properties of squid axon membrane. Am. J. Physiol. 1959, 196, 1071–1078. [Google Scholar] [CrossRef]
- Catterall, W.A. Voltage-gated sodium channels at 60: Structure, function and pathophysiology. Physiol. J. 2012, 590, 2577–2589. [Google Scholar] [CrossRef]
- Hodgkin, A.L.; Huxley, A.F. The components of membrane conductance in the giant axon of Loligo. J. Physiol. 1952, 116, 473. [Google Scholar] [CrossRef] [PubMed]
- Strichartz, G.R. The inhibition of sodium currents in myelinated nerve by quaternary derivatives of lidocaine. J. Gen. Physiol. 1973, 62, 37–57. [Google Scholar] [CrossRef] [PubMed]
- Piccinini, F.; Chiarra, A.; Villani, F. The active form of local anesthetic drugs. Experientia 1972, 28, 140–141. [Google Scholar] [CrossRef] [PubMed]
- Becker, D.E.; Reed, K.L. Local Anesthetics: Review of Pharmacological Considerations. Anesth. Progr. 2012, 59, 90–102. [Google Scholar] [CrossRef] [PubMed]
- Hansen, T.G. Ropivacaine: A pharmacological review. Expert Rev. Neurotherapeut. 2004, 4, 781–791. [Google Scholar] [CrossRef] [PubMed]
- Lascelles, B.D.X.; Kirkby Shaw, K. An extended release local anaesthetic: Potential for future use in veterinary surgical patients? Vet. Med. Sci. 2016, 2, 229–238. [Google Scholar] [CrossRef] [PubMed]
- McClellan, K.J.; Faulds, D. Ropivacaine. Drugs 2000, 60, 1065–1093. [Google Scholar] [CrossRef]
- McAlvin, J.B.; Reznor, G.; Shankarappa, S.A.; Stefanescu, C.F.; Kohane, D.S. Local toxicity from local anesthetic polymeric microparticles. Anesth. Analg. 2013, 116, 794–803. [Google Scholar] [CrossRef] [PubMed]
- Butterworth, J.F. Models and mechanisms of local anesthetic cardiac toxicity: A review. Reg. Anesth. Pain Med. 2010, 35, 167–176. [Google Scholar] [CrossRef]
- Selander, D.A.G. Neurotoxicity of local anesthetics: Animal data. Reg. Anesth. Pain Med. 1993, 18, 461–468. [Google Scholar]
- Clarkson, C.W.; Hondeghem, L.M. Mechanism for bupivacaine depression of cardiac conduction: Fast block of sodium channels during the action potential with slow recovery from block during diastole. Obstet. Anesth. Dig. 1985, 5, 154–155. [Google Scholar] [CrossRef]
- MacColl, S.; Young, E. An allergic reaction following injection of local anesthetic: A case report. J. Canad. Dental Assoc. 1989, 55, 981–984. [Google Scholar]
- Bromage, P.R.; Pettigrew, R.T.; Crowell, D.E. Tachyphylaxis in epidural analgesia: I. Augmentation and decay of local anesthesia. J. Clin. Pharmacol. 1969, 9, 30–38. [Google Scholar]
- Goluboff, N. Methemoglobinemia due to benzocaine. Pediatrics 1958, 21, 340–341. [Google Scholar] [CrossRef]
- Guan, E.; Liu, H.; Xu, N. Lidocaine suppresses gastric cancer development through Circ_ANO5/miR-21-5p/LIFR Axis. J. Dig. Dis. 2022, 67, 2244–2256. [Google Scholar] [CrossRef] [PubMed]
- Sun, M.; Huang, S.; Gao, Y. Lidocaine inhibits the proliferation and metastasis of epithelial ovarian cancer through the Wnt/β-catenin pathway. Transl. Cancer Res. 2021, 10, 3479. [Google Scholar] [CrossRef] [PubMed]
- Cata, J.P.; Ramirez, M.F.; Velasquez, J.F.; Di, A.; Popat, K.U.; Gottumukkala, V.; Black, D.M.; Lewis, V.O.; Vauthey, J.N. Lidocaine Stimulates the Function of Natural Killer Cells in Different Experimental Settings. Anticanc. Res. 2017, 37, 4727–4732. [Google Scholar]
- Yang, X.; Yang, L.-X.; Wu, J.; Guo, M.-L.; Zhang, Y.; Ma, S.-G. Treatment of lidocaine on subacute thyroiditis via restraining inflammatory factor expression and inhibiting pyroptosis pathway. J. Cell. Biochem. 2019, 120, 10964–10971. [Google Scholar] [CrossRef]
- Razavi, B.M.; Fazly Bazzaz, B.S. A review and new insights to antimicrobial action of local anesthetics. Eur. J. Clin. Microbiol. 2019, 38, 991–1002. [Google Scholar] [CrossRef]
- Lu, C.W.; Lin, T.Y.; Shieh, J.S.; Wang, M.J.; Chiu, K.M. Antimicrobial effect of continuous lidocaine infusion in a Staphylococcus aureus-induced wound infection in a mouse model. Ann. Plast. Surg. 2014, 73, 598–601. [Google Scholar] [CrossRef]
- Yang, H.; Guo, X.; Chen, X.; Ying, C.; Zhao, B.; Zhu, Y.; Wei, Y.; Wang, W. Study on antibacterial effect of lidocaine. Chinese J. Androl. 2013, 27, 14–16. [Google Scholar]
- Parr, A.; Zoutman, D.; Davidson, J. Antimicrobial activity of lidocaine against bacteria associated with nosocomial wound infection. Ann. Plast. Surg. 1999, 43, 239–245. [Google Scholar] [CrossRef] [PubMed]
- Tucker, G.T.; Moore, D.C.; Bridenbaugh, P.O.; Bridenbaugh, L.D.; Thompson, G.E. Systemic absorption of mepivacaine in commonly used regional block procedures. J. Amer. Soc. Anesthesiol. 1972, 37, 277–287. [Google Scholar] [CrossRef] [PubMed]
- Niemi, G. Advantages and disadvantages of adrenaline in regional anaesthesia. Clin. Anaesth. 2005, 19, 229–245. [Google Scholar] [CrossRef] [PubMed]
- Ping, Y.; Ye, Q.; Wang, W.; Ye, P.; You, Z. Dexmedetomidine as an adjuvant to local anesthetics in brachial plexus blocks: A meta-analysis of randomized controlled trials. Medicine 2017, 96, e5846. [Google Scholar] [CrossRef] [PubMed]
- El-Boghdadly, K.; Brull, R.; Sehmbi, H.; Abdallah, F.W. Perineural Dexmedetomidine Is More Effective Than Clonidine When Added to Local Anesthetic for Supraclavicular Brachial Plexus Block: A Systematic Review and Meta-analysis. Anesth. Analg. 2017, 124, 2008–2020. [Google Scholar] [CrossRef] [PubMed]
- Molla, S.; Girma, B. Effectiveness of perineural administration of dexamethasone with lidocaine on onset time of sensory block and early post-operative analgesia in axillary brachial plexus block: A prospective cohort study, Ethiopia. An. Med. Surg. 2024, 86, 1268–1274. [Google Scholar] [CrossRef] [PubMed]
- Movafegh, A.; Razazian, M.; Hajimaohamadi, F.; Meysamie, A. Dexamethasone added to lidocaine prolongs axillary brachial plexus blockade. Anesth. Analg. 2006, 102, 263–267. [Google Scholar] [CrossRef] [PubMed]
- Kirksey, M.A.; Haskins, S.C.; Cheng, J.; Liu, S.S. Local anesthetic peripheral nerve block adjuvants for prolongation of analgesia: A systematic qualitative review. PloS ONE 2015, 10, e0137312. [Google Scholar] [CrossRef]
- Gupta, S.; Kumar, A.; Sharma, A.K.; Purohit, J.; Narula, J.S. “Sodium bicarbonate”: An adjunct to painless palatal anesthesia. J. Oral Maxillofac. Surg. 2018, 22, 451–455. [Google Scholar] [CrossRef]
- McKay, W.; Morris, R.; Mushlin, P. Sodium Bicarbonate Attenuates Pain on Skin Infiltration with Lidocaine, with or without Epinephrine. Anesth. Analg. 1987, 66, 572–574. [Google Scholar] [CrossRef] [PubMed]
- Bunke, J.; Sheikh, R.; Hult, J.; Malmsjö, M. Buffered local anesthetics reduce injection pain and provide anesthesia for up to 5 hours. J. Plast. Reconstr. Aesthet. Surg. 2018, 71, 1216–1230. [Google Scholar] [CrossRef] [PubMed]
- Hellyer, P. Pharmacology and Uses of Local Anesthetics; American College of Veterinary Surgeons: San Francisco, CA, USA, 1996. [Google Scholar]
- Gurney, M.A.; Leece, E.A. Analgesia for pelvic limb surgery. A review of peripheral nerve blocks and the extradural technique. Vet. Anaesth. Analg. 2014, 41, 445–458. [Google Scholar] [CrossRef]
- Barrington, M.J.; Kluger, R. Ultrasound Guidance Reduces the Risk of Local Anesthetic Systemic Toxicity Following Peripheral Nerve Blockade. Reg. Anesth. Pain Med. 2013, 38, 289. [Google Scholar] [CrossRef] [PubMed]
- Sites, B.D.; Taenzer, A.H.; Herrick, M.D.; Gilloon, C.; Antonakakis, J.; Richins, J.; Beach, M.L. Incidence of Local Anesthetic Systemic Toxicity and Postoperative Neurologic Symptoms Associated With 12,668 Ultrasound-Guided Nerve Blocks: An Analysis From a Prospective Clinical Registry. Reg. Anesth. Pain Med. 2012, 37, 478. [Google Scholar] [CrossRef] [PubMed]
- Trębacz, P.; Trębacz, E.; Jurka, P.; Galanty, M. Comparison of the efficiency of anatomical and ultrasound-guided method for the Th4-Th7 intercostal nerve block in dogs. B. Vet. I. Pulawy 2011, 55, 507–511. [Google Scholar]
- Hofmeister, E.H.; Kent, M.; Read, M.R. Paravertebral block for forelimb anesthesia in the dog – an anatomic study. Vet. Anaesth. Analg. 2007, 34, 139–142. [Google Scholar] [CrossRef] [PubMed]
- Campoy, L.; Bezuidenhout, A.J.; Gleed, R.D.; Martin-Flores, M.; Raw, R.M.; Santare, C.L.; Jay, A.R.; Wang, A.L. Ultrasound-guided approach for axillary brachial plexus, femoral nerve, and sciatic nerve blocks in dogs. Vet. Anaesth. Analg. 2010, 37, 144–153. [Google Scholar] [CrossRef]
- Wagatsuma, J.T.; Deschk, M.; Floriano, B.P.; Ferreira, J.Z.; Fioravanti, H.; Gasparello, I.F.; Oliva, V.N.L.S. Comparison of anesthetic efficacy and adverse effects associated with peribulbar injection of ropivacaine performed with and without ultrasound guidance in dogs. Am. J. Vet. Res. 2014, 75, 1040–1048. [Google Scholar] [CrossRef]
- Flecknell, P.A.; Liles, J.H.; Williamson, H.A. The use of lignocaine-prilocaine local anaesthetic cream for pain-free venepuncture in laboratory animals. Lab. Anim. 1990, 24, 142–146. [Google Scholar] [CrossRef] [PubMed]
- Wagner, K.A.; Gibbon, K.J.; Strom, T.L.; Kurian, J.R.; Trepanier, L.A. Adverse effects of EMLA (lidocaine/prilocaine) cream and efficacy for the placement of jugular catheters in hospitalized cats. J. Feline. Med. Surg. 2006, 8, 141–144. [Google Scholar] [CrossRef] [PubMed]
- Gajraj, N.M.; Pennant, J.H.; Watcha, M.F. Eutectic Mixture of Local Anesthetics (EMLA®) Cream. Anesth. Analg. 1994, 78, 574–583. [Google Scholar] [CrossRef] [PubMed]
- Van Oostrom, H.; Knowles, T.G. The clinical efficacy of EMLA cream for intravenous catheter placement in client-owned dogs. Vet. Anaesth. Analg. 2018, 45, 604–608. [Google Scholar] [CrossRef] [PubMed]
- Keating, S.C.J.; Thomas, A.A.; Flecknell, P.A.; Leach, M.C. Evaluation of EMLA cream for preventing pain during tattooing of rabbits: Changes in physiological, behavioural and facial expression responses. PloS ONE 2012, 7, e44437. [Google Scholar] [CrossRef]
- Joudrey, S.D.; Robinson, D.A.; Kearney, M.T.; Papich, M.G.; da Cunha, A.F. Plasma concentrations of lidocaine in dogs following lidocaine patch application over an incision compared to intact skin. J. Vet. Pharmacol. Ther. 2015, 38, 575–580. [Google Scholar] [CrossRef] [PubMed]
- Ko, J.C.H.; Maxwell, L.K.; Abbo, L.A.; Weil, A.B. Pharmacokinetics of lidocaine following the application of 5% lidocaine patches to cats. J. Vet. Pharmacol. Ther. 2008, 31, 359–367. [Google Scholar] [CrossRef] [PubMed]
- Weil, A.B.; Ko, J.; Inoue, T. The use of lidocaine patches. Compendium 2007, 29, 208. [Google Scholar]
- Weiland, L.; Croubels, S.; Baert, K.; Polis, I.; De Backer, P.; Gasthuys, F. Pharmacokinetics of a Lidocaine Patch 5% in Dogs. J. Vet. Med. 2006, 53, 34–39. [Google Scholar] [CrossRef]
- Carpenter, R.E.; Wilson, D.V.; Evans, A.T. Evaluation of intraperitoneal and incisional lidocaine or bupivacaine for analgesia following ovariohysterectomy in the dog. Vet. Anaesth. Analg. 2004, 31(1), 46–52. [Google Scholar] [CrossRef]
- Yilmaz, O.T.; Toydemir, T.S.; Kirsan, I.; Dokuzeylul, B.; Gunay, Z.; Karacam, E. Effects of surgical wound infiltration with bupivacaine on postoperative analgesia in cats undergoing bilateral mastectomy. J. Vet. Med. Sci. 2014, 76, 1595–1601. [Google Scholar] [CrossRef]
- Duke, T. Local and regional anesthetic and analgesic techniques in the dog and cat: Part II, Infiltration and nerve blocks. Can. Vet. J. 2000, 41, 949. [Google Scholar] [PubMed]
- Hardie, E.M.; Lascelles, B.D.X.; Meuten, T.; Davidson, G.S.; Papich, M.G.; Hansen, B.D. Evaluation of intermittent infusion of bupivacaine into surgical wounds of dogs postoperatively. Vet. J. 2011, 190, 287–289. [Google Scholar] [CrossRef]
- Fitzpatrick, C.L.; Weir, H.L.; Monnet, E. Effects of infiltration of the incision site with bupivacaine on postoperative pain and incisional healing in dogs undergoing ovariohysterectomy. J. Am. Vet. Med. Assoc. 2010, 237, 395–401. [Google Scholar] [CrossRef]
- Savvas, I.; Papazoglou, L.G.; Kazakos, G.; Anagnostou, T.; Tsioli, V.; Raptopoulos, D. Incisional block with bupivacaine for analgesia after celiotomy in dogs. J. Am. Anim. Hosp. Assoc. 2008, 44, 60–66. [Google Scholar] [CrossRef] [PubMed]
- Gorfine, S.R.; Onel, E.; Patou, G.; Krivokapic, Z.V. Bupivacaine extended-release liposome injection for prolonged postsurgical analgesia in patients undergoing hemorrhoidectomy: A multicenter, randomized, double-blind, placebo-controlled trial. Dis. Colon Rectum 2011, 54, 1552–1559. [Google Scholar] [CrossRef] [PubMed]
- Portillo, J.; Kamar, N.; Melibary, S.; Quevedo, E.; Bergese, S. Safety of liposome extended-release bupivacaine for postoperative pain control. Front. Pharmacol. 2014, 5, 88836. [Google Scholar] [CrossRef]
- Viscusi, E.R.; Sinatra, R.; Onel, E.; Ramamoorthy, S.L. The safety of liposome bupivacaine, a novel local analgesic formulation. Clin. J. Pain 2014, 30, 102–110. [Google Scholar] [CrossRef] [PubMed]
- Richard, B.M.; Newton, P.; Ott, L.R.; Haan, D.; Brubaker, A.N.; Cole, P.I.; Ross, P.E.; Rebelatto, M.C.; Nelson, K.G. The safety of EXPAREL®(bupivacaine liposome injectable suspension) administered by peripheral nerve block in rabbits and dogs. J. Drug Deliv. 2012, 2012, 962101. [Google Scholar] [CrossRef]
- Richard, B.M.; Ott, L.R.; Haan, D.; Brubaker, A.N.; Cole, P.I.; Nelson, K.G.; Ross, P.E.; Rebelatto, M.C.; Newton, P.E. The safety and tolerability evaluation of DepoFoam bupivacaine (bupivacaine extended-release liposome injection) administered by incision wound infiltration in rabbits and dogs. Expert Opin. Investig. Drugs 2011, 20, 1327–1341. [Google Scholar] [CrossRef]
- Richard, B.M.; Rickert, D.E.; Newton, P.E.; Ott, L.R.; Haan, D.; Brubaker, A.N.; Cole, P.I.; Ross, P.E.; Rebelatto, M.C.; Nelson, K.G. Safety evaluation of EXPAREL (DepoFoam bupivacaine) administered by repeated subcutaneous injection in rabbits and dogs: Species comparison. J. Drug Deliv. 2011, 2011, 467429. [Google Scholar] [CrossRef] [PubMed]
- Andrews, C.; Williams, R.; Burneko, M. Use of liposomal bupivacaine in dogs and cats undergoing gastrointestinal surgery is not associated with a higher rate of surgical site infections or multidrug-resistant infections. J. Am. Vet. Med. Assoc. 2024, 262, 1–6. [Google Scholar] [CrossRef] [PubMed]
- Hansen, B.; Lascelles, B.D.X.; Thomson, A.; DePuy, V. Variability of performance of wound infusion catheters. Vet. Anaesth. Analg. 2013, 40, 308–315. [Google Scholar] [CrossRef] [PubMed]
- Abelson, A.L.; McCobb, E.C.; Shaw, S.; Armitage-Chan, E.; Wetmore, L.A.; Karas, A.Z.; Blaze, C. Use of wound soaker catheters for the administration of local anesthetic for post-operative analgesia: 56 cases. Vet. Anaesth. Analg. 2009, 36, 597–602. [Google Scholar] [CrossRef] [PubMed]
- Radlinsky, M.G.; Mason, D.E.; Roush, J.K.; Pineda, R. Use of a continuous, local infusion of bupivacaine for postoperative analgesia in dogs undergoing total ear canal ablation. J. Am. Vet. Med. Assoc. 2005, 227, 414–419. [Google Scholar] [CrossRef] [PubMed]
- Martinez-Taboada, F. Chapter 3: Infiltration Blocks. In Handbook of Small Animal Regional Anesthesia and Analgesia Techniques, 2016; John Wiley & Sons: Hoboken, NJ, USA, 2016; pp. 21–35. [Google Scholar]
- Murphy, C.J.; Pollock, R. The eye. In Miller’s Anatomy of the Dog, 3rd ed.; Evans, H., Evans, H.S., Eds.; W.B. Saunders Co.: Philadelphia, PA, USA, 1993. [Google Scholar]
- Jolliffe, C. Ophthalmic surgery. In BSAVA Manual of Canine and Feline Anaesthesia and Analgesia; BSAVA Library: Gloucester, UK, 2016; pp. 258–271. [Google Scholar]
- Shilo-Benjamini, Y.; Pascoe, P.J.; Maggs, D.J.; Pypendop, B.H.; Johnson, E.G.; Kass, P.H.; Wisner, E.R. Comparison of peribulbar and retrobulbar regional anesthesia with bupivacaine in cats. Am. J. Vet. Res. 2014, 75, 1029–1039. [Google Scholar] [CrossRef] [PubMed]
- Myrna, K.E.; Bentley, E.; Smith, L.J. Effectiveness of injection of local anesthetic into the retrobulbar space for postoperative analgesia following eye enucleation in dogs. J. Am. Vet. Med. Assoc. 2010, 237, 174–177. [Google Scholar] [CrossRef] [PubMed]
- Ploog, C.L.; Swinger, R.L.; Spade, J.; Quandt, K.M.; Mitchell, M.A. Use of lidocaine-bupivacaine–infused absorbable gelatin hemostatic sponges versus lidocaine-bupivacaine retrobulbar injections for postoperative analgesia following eye enucleation in dogs. J. Am. Vet. Med. Assoc. 2013, 244, 57–62. [Google Scholar] [CrossRef] [PubMed]
- Giuliano, E.A. Regional anesthesia as an adjunct for eyelid surgery in dogs. Topics Comp. Anim. Med. 2008, 23, 51–56. [Google Scholar] [CrossRef]
- Accola, P.J.; Bentley, E.; Smith, L.J.; Forrest, L.J.; Baumel, C.A.; Murphy, C.J. Development of a retrobulbar injection technique for ocular surgery and analgesia in dogs. J. Am. Vet. Med. Assoc. 2006, 229, 220–225. [Google Scholar] [CrossRef]
- Hazra, S.; De, D.; Roy, B.; Bose, A.; Nandi, S.; Konar, A. Use of ketamine, xylazine, and diazepam anesthesia with retrobulbar block for phacoemulsification in dogs. Vet. Ophthalmol. 2008, 11, 255–259. [Google Scholar] [CrossRef] [PubMed]
- Nicoll, J.M.V.; Acharya, P.A.; Ahlen, K.; Baguneid, S.; Edge, K.R. Central Nervous System Complications After 6000 Retrobulbar Blocks. Anesth. Analg. 1987, 66. [Google Scholar] [CrossRef]
- Shilo-Benjamini, Y.; Pascoe, P.J.; Maggs, D.J.; Hollingsworth, S.R.; Strom, A.R.; Good, K.L.; Thomasy, S.M.; Kass, P.H.; Wisner, E.R. Retrobulbar vs peribulbar regional anesthesia techniques using bupivacaine in dogs. Vet. Ophthalmol. 2019, 22, 183–191. [Google Scholar] [CrossRef]
- Gayer, S.; Palte, H.D. Ultrasound-guided ophthalmic regional anesthesia. Curr. Opin. Anesthesiol. 2016, 29, 655–661. [Google Scholar] [CrossRef] [PubMed]
- Luz, L.C.; Amaral, A.V.C.; Magalhaes, J.R.; Silva, A.C.A.; Neves, C.A.; Cangussu, L.C.; Regalin, D. Effects of auriculopalpebral nerve block on ocular parameters in dogs. Biosci. J. 2021, 37. [Google Scholar] [CrossRef]
- Park, S.A.; Lee, I.; Lee, Y.L.; Jeong, M.B.; Kim, W.T.; Kim, S.E.; Park, Y.W.; Seo, K.M. Combination auriculopalpebral nerve block and local anesthesia for placement of a nictitating membrane-to-superotemporal bulbar conjunctiva flap in dogs. J. Am. Anim. Hosp. Assoc. 2009, 45, 164–167. [Google Scholar] [CrossRef] [PubMed]
- Grubb, T.; Lobprise, H. Local and regional anaesthesia in dogs and cats: Descriptions of specific local and regional techniques (Part 2). Vet. Med. Sci. 2020, 6, 218–234. [Google Scholar] [CrossRef] [PubMed]
- Shah, M. Welfare Appraisal of Unilateral Eyeball Enucleation in a Stray Dog. Int. J. Zoo Animal Biol. 2022, 5. [Google Scholar]
- Bayley, K.D.; Read, R.A. Sub-Tenon’s anesthesia for canine cataract surgery. Vet. Ophthalmol. 2018, 21, 601–611. [Google Scholar] [CrossRef]
- Eke, T.; Thompson, J.R. Serious complications of local anaesthesia for cataract surgery: A 1 year national survey in the United Kingdom. Brit. J. Ophthalm. 2007, 91, 470. [Google Scholar] [CrossRef]
- Chow, D.W.Y.; Wong, M.Y.; Westermeyer, H.D. Comparison of two bupivacaine delivery methods to control postoperative pain after enucleation in dogs. Vet. Ophthalmol. 2015, 18, 422–428. [Google Scholar] [CrossRef] [PubMed]
- Reuss-Lamky, H. Administering dental nerve blocks. J. Amer. Anim. Hosp. Assoc. 2007, 43, 298–305. [Google Scholar] [CrossRef] [PubMed]
- Beckman, B.; Legendre, L. Regional nerve blocks for oral surgery in companion animals. Compend. Cont. Edu. Pract. Vet. 2002, 24, 439–445. [Google Scholar]
- Aguiar, J.; Chebroux, A.; Martinez-Taboada, F.; Leece, E.A. Analgesic effects of maxillary and inferior alveolar nerve blocks in cats undergoing dental extractions. J. Feline. Med. Surg. 2015, 17, 110–116. [Google Scholar] [CrossRef] [PubMed]
- Lantz, G.C. Regional Anesthesia for Dentistry and Oral Surgery. J. Vet. Dent. 2003, 20, 181–186. [Google Scholar] [CrossRef]
- O’Morrow, C. Advanced dental local nerve block anesthesia. Can. Vet. J. 2010, 51, 1411. [Google Scholar] [PubMed]
- Rochette, J. Regional anesthesia and analgesia for oral and dental procedures. Vet. Clin. Small Anim. Pract. 2005, 35, 1041–1058. [Google Scholar] [CrossRef]
- Gross, M.E.; Pope, E.R.; Jarboe, J.M.; O’Brien, D.P.; Dodam, J.R.; Polkow-Haight, J. Regional anesthesia of the infraorbital and inferior alveolar nerves during noninvasive tooth pulp stimulation in halothane-anesthetized cats. Am. J. Vet. Res. 2000, 61, 1245–1247. [Google Scholar] [CrossRef] [PubMed]
- Gross, M.E.; Pope, E.R.; O’Brien, D.; Dodam, J.R.; Polkow-Haight, J. Regional anesthesia of the infraorbital and inferior alveolar nerves during noninvasive tooth pulp stimulation in halothane-anesthetized dogs. J. Am. Vet. Med. Assoc. 1997, 211, 1403–1405. [Google Scholar] [CrossRef]
- Cremer, J.; Sum, S.O.; Braun, C.; Figueiredo, J.; Rodriguez-Guarin, C. Assessment of maxillary and infraorbital nerve blockade for rhinoscopy in sevoflurane anesthetized dogs. Vet. Anaesth. Analg. 2013, 40, 432–439. [Google Scholar] [CrossRef]
- Krug, W.; Losey, J. Area of Desensitization following Mental Nerve Block in Dogs. J. Vet. Dent. 2011, 28, 146–150. [Google Scholar] [CrossRef] [PubMed]
- Gorrel, C. Dental pain. In BSAVA Guide to Pain Management in Small Animal Practice; BSAVA Library: Gloucester, UK, 2019; pp. 137–141. [Google Scholar]
- Stathopoulou, T.-R.; Pinelas, R.; Haar, G.T.; Cornelis, I.; Viscasillas, J. Description of a new approach for great auricular and auriculotemporal nerve blocks: A cadaveric study in foxes and dogs. Vet. Med. Sci. 2018, 4, 91–97. [Google Scholar] [CrossRef] [PubMed]
- Buback, J.L.; Boothe, H.W.; Carroll, G.L.; Green, R.W. Comparison of Three Methods for Relief of Pain After Ear Canal Ablation in Dogs. Vet. Surg. 1996, 25, 380–385. [Google Scholar] [CrossRef] [PubMed]
- Wolfe, T.M.; Bateman, S.W.; Cole, L.K.; Smeak, D.D. Evaluation of a local anesthetic delivery system for the postoperative analgesic management of canine total ear canal ablation – a randomized, controlled, double-blinded study. Vet. Anaesth. Analg. 2006, 33, 328–339. [Google Scholar] [CrossRef] [PubMed]
- Portela, D.A.; Campoy, L.; Otero, P.E.; Martin-Flores, M.; Gleed, R.D. Ultrasound-guided thoracic paravertebral injection in dogs: A cadaveric study. Vet. Anaesth. Analg. 2017, 44, 636–645. [Google Scholar] [CrossRef] [PubMed]
- Choquette, A.; Troncy, E.; Guillot, M.; Varin, F.; del Castillo, J.R.E. Pharmacokinetics of Lidocaine Hydrochloride Administered with or without Adrenaline for the Paravertebral Brachial Plexus Block in Dogs. PloS ONE 2017, 12, e0169745. [Google Scholar] [CrossRef] [PubMed]
- Portela, D.A.; Otero, P.E.; Sclocco, M.; Romano, M.; Briganti, A.; Breghi, G. Anatomical and radiological study of the thoracic paravertebral space in dogs: Iohexol distribution pattern and use of the nerve stimulator. Vet. Anaesth. Analg. 2012, 39, 398–408. [Google Scholar] [CrossRef] [PubMed]
- Mahler, S.P.; Adogwa, A.O. Anatomical and experimental studies of brachial plexus, sciatic, and femoral nerve-location using peripheral nerve stimulation in the dog. Vet. Anaesth. Analg. 2008, 35, 80–89. [Google Scholar] [CrossRef] [PubMed]
- De Marzo, C.; Crovace, A.; De Monte, V.; Grimaldi, D.; Iarussi, F.; Staffieri, F. Comparison of intra-operative analgesia provided by intravenous regional anesthesia or brachial plexus block for pancarpal arthrodesis in dogs. Res. Vet. Sci. 2012, 93, 1493–1497. [Google Scholar] [CrossRef]
- Riccó, C.; Shih, A.; Killos, M.; Henao-Guerrero, N.; Graham, L. Different volumes of injectate using electrostimulator and blinded techniques for brachial plexus block in dogs. Vet. Rec. 2013, 173, 608. [Google Scholar] [CrossRef]
- Akasaka, M.; Shimizu, M. Comparison of ultrasound-and electrostimulation-guided nerve blocks of brachial plexus in dogs. Vet. Anaesth. Analg. 2017, 44, 625–635. [Google Scholar] [CrossRef] [PubMed]
- Bortolami, E.; Love, E.J.; Harcourt-Brown, T.R.; Higgs, P.; Robinson, K. Use of mid-humeral block of the radial, ulnar, musculocutaneous and median (RUMM block) nerves for extensor carpi radialis muscle biopsy in a conscious dog with generalized neuro-muscular disease. Vet. Anaesth. Analg. 2012, 39, 446–447. [Google Scholar] [CrossRef] [PubMed]
- Trumpatori, B.J.; Carter, J.E.; Hash, J.; Davidson, G.S.; Mathews, K.G.; Roe, S.C.; Lascelles, B.D.X. Evaluation of a Midhumeral Block of the Radial, Ulnar, Musculocutaneous and Median (RUMM Block) Nerves for Analgesia of the Distal Aspect of the Thoracic Limb in Dogs. Vet. Surg. 2010, 39, 785–796. [Google Scholar] [CrossRef] [PubMed]
- Portela, D.A.; Raschi, A.; Otero, P.E. Ultrasound guided mid–humeral block of the radial, ulnar, median and musculocutaneous (RUMM block) nerves in a dog with traumatic exposed metacarpal luxation. Vet. Anaesth. Analg. 2013, 40, 552–554. [Google Scholar] [CrossRef] [PubMed]
- Campoy, L.; Martin-Flores, M.; Ludders, J.W.; Erb, H.N.; Gleed, R.D. Comparison of bupivacaine femoral and sciatic nerve block versus bupivacaine and morphine epidural for stifle surgery in dogs. Vet. Anaesth. Analg. 2012, 39, 91–98. [Google Scholar] [CrossRef] [PubMed]
- Vettorato, E.; Bradbrook, C.; Gurney, M.; Aprea, F.; Clark, L.; Corletto, F. Peripheral nerve blocks of the pelvic limb in dogs: A retrospective clinical study. Vet. Clin. Small Anim. Pract. 2012, 25, 314–320. [Google Scholar]
- Shilo, Y.; Pascoe, P.J.; Cissell, D.; Johnson, E.G.; Kass, P.H.; Wisner, E.R. Ultrasound-guided nerve blocks of the pelvic limb in dogs. Vet. Anaesth. Analg. 2010, 37, 460–470. [Google Scholar] [CrossRef] [PubMed]
- Brearley, J.C. Local anaesthesia/analgesia of the limbs. UK Vet. Comp. Anim. 2011, 16, 55–60. [Google Scholar] [CrossRef]
- Portela, D.A.; Otero, P.E.; Tarragona, L.; Briganti, A.; Breghi, G.; Melanie, P. Combined paravertebral plexus block and parasacral sciatic block in healthy dogs. Vet. Anaesth. Analg. 2010, 37, 531–541. [Google Scholar] [CrossRef]
- Davies, A.; Segar, E.; Murdoch, J.; Wright, D.; Wilson, I. Epidural infusion or combined femoral and sciatic nerve blocks as perioperative analgesia for knee arthroplasty. Brit. J. Anaesth. 2004, 93, 368–374. [Google Scholar] [CrossRef]
- Acquafredda, C.; Stabile, M.; Lacitignola, L.; Centonze, P.; Di Bella, C.; Crovace, A.; Fiorentino, M.; Staffieri, F. Clinical efficacy of dexmedetomidine combined with lidocaine for femoral and sciatic nerve blocks in dogs undergoing stifle surgery. Vet. Anaesth. Analg. 2021, 48, 962–971. [Google Scholar] [CrossRef] [PubMed]
- Caniglia, A.M.; Driessen, B.; Puerto, D.A.; Bretz, B.; Boston, R.C.; Larenza, M.P. Intraoperative antinociception and postoperative analgesia following epidural anesthesia versus femoral and sciatic nerve blockade in dogs undergoing stifle joint surgery. J. Am. Vet. Med. Assoc. 2012, 241, 1605–1612. [Google Scholar] [CrossRef] [PubMed]
- Evangelista, M.; Doodnaught, G.; Fantoni, D.T.; Steagall, P. Sciatic and femoral nerve blockade using bupivacaine alone, or in combination with dexmedetomidine or buprenorphine in cats. Vet. Rec. 2017, 180, 592. [Google Scholar] [CrossRef] [PubMed]
- Rasmussen, L.M.; Lipowitz, A.J.; Graham, L.F. Development and verification of saphenous, tibial and common peroneal nerve block techniques for analgesia below the thigh in the nonchondrodystrophoid dog. Vet. Anaesth. Analg. 2006, 33, 36–48. [Google Scholar] [CrossRef] [PubMed]
- Kona-Boun, J.-J.; Cuvelliez, S.; Troncy, E. Evaluation of epidural administration of morphine or morphine and bupivacaine for postoperative analgesia after premedication with an opioid analgesic and orthopedic surgery in dogs. J. Am. Vet. Med. Assoc. 2006, 229, 1103–1112. [Google Scholar] [CrossRef] [PubMed]
- Ferreira, J.P. Epidural anaesthesia–analgesia in the dog and cat: Considerations, technique and complications. Comp. An. 2018, 23, 628–636. [Google Scholar] [CrossRef]
- Cicirelli, V.; Burgio, M.; Lacalandra, G.M.; Aiudi, G.G. Local and regional anaesthetic techniques in canine ovariectomy: A review of the literature and technique description. Animals 2022, 12, 1920. [Google Scholar] [CrossRef]
- Nejamkin, P.; Landivar, F.; Clausse, M.; Lorenzutti, M.; Cavilla, V.; Gutierrez, V.; Viviani, P.; Del Sole, M.; Martin-Flores, M. Evaluation of analgesic, sympathetic and motor effects of 1% and 2% lidocaine administered epidurally in dogs undergoing ovariohysterectomy. Vet. Anaesth. Analg. 2020, 47, 797–802. [Google Scholar] [CrossRef]
- Casas-Alvarado, A.; Mota-Rojas, D.; Hernández-Ávalos, I.; Martínez-Burnes, J.; Rosas, M.E.; Miranda-Cortés, A.; Domínguez-Oliva, A.; Mora-Medina, P. Assessment of thermal response, cardiorespiratory parameters and post-operative analgesia in dogs undergoing ovariohysterectomy with different combinations of epidural analgesia and isoflurane. J. Anim. Behav. Biometeorol. 2023, 11, e2023009. [Google Scholar] [CrossRef]
- Hendrix, P.K.; Raffe, M.R.; Robinson, E.P.; Felice, L.J.; Randall, D.A. Epidural administration of bupivacaine, morphine, or their combination for postoperative analgesia in dogs. J. Am. Vet. Med. Assoc. 1996, 209, 598–607. [Google Scholar] [CrossRef]
- Hewitt, S.A.; Brisson, B.A.; Sinclair, M.D.; Sears, W.C. Comparison of cardiopulmonary responses during sedation with epidural and local anesthesia for laparoscopic-assisted jejunostomy feeding tube placement with cardiopulmonary responses during general anesthesia for laparoscopic-assisted or open surgical jejunostomy feeding tube placement in healthy dogs. Am. J. Vet. Res. 2007, 68, 358–369. [Google Scholar] [CrossRef] [PubMed]
- Luna, S.P.L.; Cassu, R.; Castro, G.; Teixeira Neto, F.J.; Silva, J.; Lopes, M.D. Effects of four anaesthetic protocols on the neurological and cardiorespiratory variables of puppies born by caesarean section. Vet. Rec. 2004, 154, 387–389. [Google Scholar] [CrossRef] [PubMed]
- Sibanda, S.; Hughes, J.M.L.; Pawson, P.E.; Kelly, G.; Bellenger, C.R. The effects of preoperative extradural bupivacaine and morphine on the stress response in dogs undergoing femoro-tibial joint surgery. Vet. Anaesth. Analg. 2006, 33, 246–257. [Google Scholar] [CrossRef] [PubMed]
- Stanek, b.; Schwarz, m.; Zimpfer, m.; Raberger, g. Plasma concentrations of noradrenaline and adrenaline and plasma renin activity during extradural blockade in dogs. Brit. J. Anaesth. 1980, 52, 305–311. [Google Scholar] [CrossRef] [PubMed]
- Gomez de Segura, I.A.; Menafro, A.; García-Fernández, P.; Murillo, S.; Parodi, E.M. Analgesic and motor-blocking action of epidurally administered levobupivacaine or bupivacaine in the conscious dog. Vet. Anaesth. Analg. 2009, 36, 485–494. [Google Scholar] [CrossRef] [PubMed]
- Torske, K.E.; Dyson, D.H. Epidural Analgesia and Anesthesia. Vet. Clin. Small Anim. Pract. 2000, 30, 859–874. [Google Scholar] [CrossRef] [PubMed]
- Jones, R.S. Epidural Analgesia in the Dog and Cat. Vet. J. 2001, 161, 123–131. [Google Scholar] [CrossRef]
- Panti, A.; Greenhalgh, S.N.; Longo, M.; Liuti, T. The effect of recumbency and hindlimb position on the lumbosacral interlaminar distance in dogs: A cadaveric computed tomography study. Vet. Anaesth. Analg. 2018, 45, 802–810. [Google Scholar] [CrossRef]
- Valverde, A. Epidural Analgesia and Anesthesia in Dogs and Cats. Vet. Clin. N. Am. Small Anim. Pract. 2008, 38, 1205–1230. [Google Scholar] [CrossRef]
- Chatterjee, S.; Bisui, B.; Mandal, A.; Sheet, J.; Sengupta, S.; Majumdar, S.; Swaika, S. Effects of intrathecal hyperbaric ropivacaine versus hyperbaric bupivacaine for lower limb orthopedic surgery. Anesth. Essays Res. 2014, 8, 349–353. [Google Scholar]
- Sarotti, D.; Rabozzi, R.; Franci, P. A retrospective study of efficacy and side effects of intrathecal administration of hyperbaric bupivacaine and morphine solution in 39 dogs undergoing hind limb orthopaedic surgery. Vet. Anaesth. Analg. 2013, 40, 220–224. [Google Scholar] [CrossRef] [PubMed]
- Al-Abdulhadi, O.; Biehl, D.; Ong, B.; Boker, A. Hyperbaric spinal for elective cesarean section. MEJ Anesth. 2007, 19. [Google Scholar]
- Chung, C.-J.; Choi, S.-R.; Yeo, K.-H.; Park, H.-S.; Lee, S.-I.; Chin, Y.-J. Hyperbaric spinal ropivacaine for cesarean delivery: A comparison to hyperbaric bupivacaine. Anesth. Analg. 2001, 93, 157–161. [Google Scholar] [CrossRef] [PubMed]
- Khaw, K.S.; Kee, W.D.N.; Wong, M.; Ng, F.; Lee, A. Spinal ropivacaine for cesarean delivery: A comparison of hyperbaric and plain solutions. Anesth. Analg. 2002, 94, 680–685. [Google Scholar] [CrossRef]
- Sarotti, D.; Rabozzi, R.; Corletto, F. Efficacy and side effects of intraoperative analgesia with intrathecal bupivacaine and levobupivacaine: A retrospective study in 82 dogs. Vet. Anaesth. Analg. 2011, 38, 240–251. [Google Scholar] [CrossRef] [PubMed]
- Adami, C.; Gendron, K. What is the evidence? The issue of verifying correct needle position during epidural anaesthesia in dogs. Vet. Anaesth. Analg. 2017, 44, 212–218. [Google Scholar] [CrossRef] [PubMed]
- Valverde, A.; Dyson, D.H.; McDonell, W.N. Epidural morphine reduces halothane MAC in the dog. Can. J. Anaesth. 1989, 36, 629–632. [Google Scholar] [CrossRef] [PubMed]
- Castro, D.S.; Silva, M.F.; Shih, A.C.; Motta, P.P.; Pires, M.V.; Scherer, P.O. Comparison between the analgesic effects of morphine and tramadol delivered epidurally in cats receiving a standardized noxious stimulation. J. Feline Med. Surg. 2009, 11, 948–953. [Google Scholar] [CrossRef]
- Duke, T.; Cox, A.M.K.; Remedios, A.M.; Cribb, P.H. The analgesic effects of administering fentanyl or medetomidine in the lumbosacral epidural space of cats. Vet. Surg. 1994, 23, 143–148. [Google Scholar] [CrossRef]
- Miranda-Cortés, A.; Ruiz-García, A.; Olivera-Ayub, A.; Garza-Malacara, G.; Ruiz-Cervantes, J.; Toscano-Zapien, J.; Hernández-Avalos, I. Cardiorespiratory effects of epidurally administered ketamine or lidocaine in dogs undergoing ovariohysterectomy surgery: A comparative study. Iranian J. Vet. Res. 2020, 21, 92. [Google Scholar]
- DeRossi, R.; Frazílio, F.O.; Jardim, P.H.; Martins, A.R.; Schmidt, R.; Negrini-Neto, J.M. Evaluation of thoracic epidural analgesia induced by lidocaine, ketamine, or both administered via a lumbosacral approach in dogs. Am. J. Vet. Res. 2011, 72, 1580–1585. [Google Scholar] [CrossRef] [PubMed]
- Steagall, P.V.M.; Simon, B.T.; Teixeira Neto, F.J.; Luna, S.P.L. An Update on Drugs Used for Lumbosacral Epidural Anesthesia and Analgesia in Dogs. Front. Vet. Sci. 2017, 4. [Google Scholar] [CrossRef] [PubMed]
- Gregori, T.; Viscasillas, J.; Benigni, L. Ultrasonographic anatomy of the sacrococcygeal region and ultrasound-guided epidural injection at the sacrococcygeal space in dogs. Vet. Rec. 2014, 175, 68. [Google Scholar] [CrossRef] [PubMed]
- Otero, P.E.; Verdier, N.; Zaccagnini, A.S.; Fuensalida, S.E.; Tarragona, L.; Portela, D.A. The use of a nerve stimulation test to confirm sacrococcygeal epidural needle placement in cats. Vet. Anaesth. Analg. 2015, 42, 115–118. [Google Scholar] [CrossRef] [PubMed]
- Credie, L.; Luna, S. The use of ultrasound to evaluate sacrococcygeal epidural injections in cats. Can. Vet. J. 2018, 59, 143–146. [Google Scholar] [PubMed]
- Thompson, S.E.; Johnson, J.M. Analgesia in Dogs after Intercostal Thoracotomy A Comparison of Morphine, Selective Intercostal Nerve Block, and Interpleural Regional Analgesia with Bupivacaine. Vet. Surg. 1991, 20, 73–77. [Google Scholar] [CrossRef] [PubMed]
- Portela, D.A.; Verdier, N.; Otero, P.E. Regional anesthetic techniques for the thoracic limb and thorax in small animals: A review of the literature and technique description. Vet. J. 2018, 241, 8–19. [Google Scholar] [CrossRef]
- Thomson, A.C.S.; Portela, D.A.; Romano, M.; Otero, P.E. Evaluation of the effect of ultrasound guidance on the accuracy of intercostal nerve injection: A canine cadaveric study. Vet. Anaesth. Analg. 2021, 48, 256–263. [Google Scholar] [CrossRef] [PubMed]
- Pascoe, P.J.; Dyson, D.H. Analgesia After Lateral Thoracotomy in Dogs Epidural Morphine Vs. Intercostal Bupivacaine. Vet. Surg. 1993, 22, 141–147. [Google Scholar] [CrossRef]
- Borer, K. Local analgesic techniques in small animals. In Pract. 2006, 28, 200–207. [Google Scholar] [CrossRef]
- Riegler, F.X.; VadeBoncouer, T.R.; Pelligrino, D.A. Interpleural anesthetics in the dog: Differential somatic neural blockade. Anesthesiology 1989, 71, 744–750. [Google Scholar] [CrossRef] [PubMed]
- Cicirelli, V.; Debidda, P.; Maggio, N.; Caira, M.; Mrenoshki, D.; Aiudi, G.G.; Lacalandra, G.M. Use of Spinal Anaesthesia with Anaesthetic Block of Intercostal Nerves Compared to a Continuous Infusion of Sufentanyl to Improve Analgesia in Cats Undergoing Unilateral Mastectomy. Animals 2021, 11, 887. [Google Scholar] [CrossRef] [PubMed]
- Bernard, F.; Kudnig, S.T.; Monnet, E. Hemodynamic Effects of Interpleural Lidocaine and Bupivacaine Combination in Anesthetized Dogs with and Without an Open Pericardium. Vet. Surg. 2006, 35, 252–258. [Google Scholar] [CrossRef] [PubMed]
- Asorey, I.; Sambugaro, B.; Bhalla, R.J.; Drozdzynska, M. Ultrasound-guided serratus plane block as an effective adjunct to systemic analgesia in four dogs undergoing thoracotomy. Open Vet. J. 2020, 10, 407–411. [Google Scholar] [CrossRef] [PubMed]
- Freitag, F.A.; Gaio, T.S.; dos Santos, A.A.; Muehlbauer, E.; Machado, M.; Duque, J.C. Ultrasound-guided superficial serratus plane block in dog cadavers: An anatomical evaluation and volume dispersion study. Vet. Anaesth. Analg. 2020, 47, 88–94. [Google Scholar] [CrossRef]
- Fujii, S.; Bairagi, R.; Roche, M.; Zhou, J.R. Transversus Thoracis Muscle Plane Block. Biomed Res. Int. 2019, 2019, 1716365. [Google Scholar] [CrossRef]
- Abdelbaser, I.I.; Mageed, N.A. Analgesic efficacy of ultrasound guided bilateral transversus thoracis muscle plane block in pediatric cardiac surgery: A randomized, double-blind, controlled study. J. Clin. Anesth. 2020, 67, 110002. [Google Scholar] [CrossRef]
- Alaman, M.; González-Marrón, A.; Lorente, C.; Bonastre, C.; Laborda, A. Description of an ultrasound-guided transverse approach to the transversus thoracis plane block and evaluation of injectate spread in canine cadavers. Animals 2021, 11, 2657. [Google Scholar] [CrossRef] [PubMed]
- Kot Baixauli, P.; Rodriguez Gimillo, P.; Granell Gil, M.; Cano, B.; Rovira, L.; Morales, J.; Broseta, A.; De Andrés Ibáñez, J. The erector spinae plane block: A narrative review. Korean J. Anesthesiol. 2019, 72, 209–220. [Google Scholar]
- Ferreira, T.H.; St James, M.; Schroeder, C.A.; Hershberger-Braker, K.L.; Teixeira, L.B.; Schroeder, K.M. Description of an ultrasound-guided erector spinae plane block and the spread of dye in dog cadavers. Vet. Anaesth. Analg. 2019, 46, 516–522. [Google Scholar] [CrossRef]
- Portela, D.A.; Castro, D.; Romano, M.; Gallastegui, A.; Garcia-Pereira, F.; Otero, P.E. Ultrasound-guided erector spinae plane block in canine cadavers: Relevant anatomy and injectate distribution. Vet. Anaesth. Analg. 2020, 47, 229–237. [Google Scholar] [CrossRef] [PubMed]
- Portela, D.A.; Romano, M.; Zamora, G.A.; Garcia-Pereira, F.; Pablo, L.S.; Gatson, B.J.; Johnson, A.N.; Otero, P.E. The effect of erector spinae plane block on perioperative analgesic consumption and complications in dogs undergoing hemilaminectomy surgery: A retrospective cohort study. Vet. Anaesth. Analg. 2021, 48, 116–124. [Google Scholar] [CrossRef] [PubMed]
- Blanco, R. TAP block under ultrasound guidance: The description of a “no pops” technique. Reg. Anesth. Pain Med. 2007, 130. [Google Scholar]
- Garbin, M.; Portela, D.A.; Bertolizio, G.; Garcia-Pereira, F.; Gallastegui, A.; Otero, P.E. Description of ultrasound-guided quadratus lumborum block technique and evaluation of injectate spread in canine cadavers. Vet. Anaesth. Analg. 2020, 47, 249–258. [Google Scholar] [CrossRef] [PubMed]
- Dam, M.; Moriggl, B.; Hansen, C.K.; Hoermann, R.; Bendtsen, T.F.; Børglum, J. The pathway of injectate spread with the transmuscular quadratus lumborum block: A cadaver study. Anesth. Analg. 2017, 125, 303–312. [Google Scholar] [CrossRef] [PubMed]
- Dos-Santos, J.D.; Ginja, M.; Martins, J.; Cabral, P.; Alves-Pimenta, S.; Ribeiro, L.; Otero, P.E.; Colaço, B. Comparison between Bilateral Ultrasound-Guided Quadratus Lumborum Block and Sacrococcygeal Epidural in Cats Undergoing Ovariectomy. Vet. Sci. 2024, 11, 25. [Google Scholar] [CrossRef] [PubMed]
- Viscasillas, J.; Sanchis-Mora, S.; Burillo, P.; Esteve, V.; Del Romero, A.; Lafuente, P.; Redondo, J.I. Evaluation of quadratus lumborum block as part of an opioid-free anaesthesia for canine ovariohysterectomy. Animals 2021, 11, 3424. [Google Scholar] [CrossRef] [PubMed]
- Degani, M.; Di Franco, C.; Tayari, H.; Fages Carcéles, A.; Figà Talamanca, G.; Sandersen, C.; Briganti, A. Postoperative Analgesic Effect of Bilateral Quadratus Lumborum Block (QLB) for Canine Laparoscopic Ovariectomy: Comparison of Two Concentrations of Ropivacaine. Animals 2023, 13, 3604. [Google Scholar] [CrossRef] [PubMed]
- Schroeder, C.A.; Snyder, L.B.; Tearney, C.C.; Baker-Herman, T.L.; Schroeder, K.M. Ultrasound-guided transversus abdominis plane block in the dog: An anatomical evaluation. Vet. Anaesth. Analg. 2011, 38, 267–271. [Google Scholar] [CrossRef]
- Teixeira, L.G.; Pujol, D.M.; Pazzim, A.F.; Souza, R.P.; Fadel, L. Combination of Transversus abdominis plane block and Serratus plane block anesthesia in dogs submitted to masctetomy. Pesqui. Vet. Brasil 2018, 38, 315–319. [Google Scholar] [CrossRef]
- Drożdżyńska, M.; Monticelli, P.; Neilson, D.; Viscasillas, J. Ultrasound-guided subcostal oblique transversus abdominis plane block in canine cadavers. Vet. Anaesth. Analg. 2017, 44, 183–186. [Google Scholar] [CrossRef]
- O’Donnell, B.D. The transversus abdominis plane (TAP) block in open retropubic prostatectomy. Reg. Anesth. Pain Med. 2006, 31, 91. [Google Scholar] [CrossRef] [PubMed]
- Belavy, D.; Cowlishaw, P.; Howes, M.; Phillips, F. Ultrasound-guided transversus abdominis plane block for analgesia after Caesarean delivery. Brit. J. Anaesth. 2009, 103, 726–730. [Google Scholar] [CrossRef]
- McDonnell, J.G.; O’Donnell, B.D.; Farrell, T.; Gough, N.; Tuite, D.; Power, C.; Laffey, J.G. Transversus abdominis plane block: A cadaveric and radiological evaluation. Reg. Anesth. Pain Med. 2007, 32, 399–404. [Google Scholar] [CrossRef] [PubMed]
- Portela, D.A.; Romano, M.; Briganti, A. Retrospective clinical evaluation of ultrasound guided transverse abdominis plane block in dogs undergoing mastectomy. Vet. Anaesth. Analg. 2014, 41, 319–324. [Google Scholar] [CrossRef] [PubMed]
- St James, M.; Ferreira, T.H.; Schroeder, C.A.; Hershberger-Braker, K.L.; Schroeder, K.M. Ultrasound-guided rectus sheath block: An anatomic study in dog cadavers. Vet. Anaesth. Analg. 2020, 47, 95–102. [Google Scholar] [CrossRef]
- Josso, M.; Topie, O.; Bencharif, D.; Doran, D.H.; Desbois, C.; Touzot-Jourde, G. Ultrasound-guided rectus abdominis sheath block in cats undergoing ovariectomy: A prospective, randomized, investigator-blinded, placebo-controlled clinical trial. Open Acc. J. Vet. Sci. Res. 2022, 7, 1–8. [Google Scholar]
- Benito, J.; Monteiro, B.; Lavoie, A.-M.; Beauchamp, G.; Lascelles, B.D.X.; Steagall, P.V. Analgesic efficacy of intraperitoneal administration of bupivacaine in cats. J. Feline Med. Surg. 2016, 18, 906–912. [Google Scholar] [CrossRef]
- Lemke, K.A.; Dawson, S.D. Local and Regional Anesthesia. Vet. Clin. N. Am. Small Anim. Pract. 2000, 30, 839–857. [Google Scholar] [CrossRef]
- Nicácio, I.P.; Stelle, A.B.F.; Bruno, T.S.; Nicácio, G.M.; Costa Jr, J.S.; Cassu, R.N. Comparison of intraperitoneal ropivacaine and ropivacaine–dexmedetomidine for postoperative analgesia in cats undergoing ovariohysterectomy. Vet. Anaesth. Analg. 2020, 47, 396–404. [Google Scholar] [CrossRef]
- Costa, G.L.; Nastasi, B.; Spadola, F.; Leonardi, F.; Interlandi, C. Effect of levobupivacaine, administered intraperitoneally, on physiological variables and on intrasurgery and postsurgery pain in dogs undergoing ovariohysterectomy. J. Vet. Behav. 2019, 30, 33–36. [Google Scholar] [CrossRef]
- Jerram, R.M.; Warman, C.G.; Davies, E.S.S.; Robson, M.C.; Walker, A.M. Successful treatment of a pancreatic pseudocyst by omentalisation in a dog. N. Z. Vet. J. 2004, 52, 197–201. [Google Scholar] [CrossRef]
- Moldal, E.R.; Eriksen, T.; Kirpensteijn, J.; Nødtvedt, A.; Kristensen, A.T.; Sparta, F.M.; Haga, H.A. Intratesticular and subcutaneous lidocaine alters the intraoperative haemodynamic responses and heart rate variability in male cats undergoing castration. Vet. Anaesth. Analg. 2013, 40, 63–73. [Google Scholar] [CrossRef]
- Huuskonen, V.; Hughes, J.M.L.; Estaca Bañon, E.; West, E. Intratesticular lidocaine reduces the response to surgical castration in dogs. Vet. Anaesth. Analg. 2013, 40, 74–82. [Google Scholar] [CrossRef] [PubMed]
- Stevens, B.J.; Posner, L.P.; Jones, C.A.; Lascelles, B.D. Comparison of the effect of intratesticular lidocaine/bupivacaine vs. saline placebo on pain scores and incision site reactions in dogs undergoing routine castration. Vet. J. 2013, 196, 499–503. [Google Scholar] [CrossRef]
- Zilberstein, L.F.; Moens, Y.P.; Leterrier, E. The effect of local anaesthesia on anaesthetic requirements for feline ovariectomy. Vet. J. 2008, 178, 214–218. [Google Scholar] [CrossRef]
- Bubalo, V.; Moens, Y.P.; Holzmann, A.; Coppens, P. Anaesthetic sparing effect of local anaesthesia of the ovarian pedicle during ovariohysterectomy in dogs. Vet. Anaesth. Analg. 2008, 35, 537–542. [Google Scholar] [CrossRef]
- Di Salvo, A.; Bufalari, A.; De Monte, V.; Cagnardi, P.; Marenzoni, M.L.; Catanzaro, A.; Vigorito, V.; della Rocca, G. Intra-articular administration of lidocaine in anaesthetized dogs: Pharmacokinetic profile and safety on cardiovascular and nervous systems. J. Vet. Pharmacol. Ther. 2015, 38, 350–356. [Google Scholar] [CrossRef] [PubMed]
- Hansen, T.B.; Jakobsen, I.A. Intra-articular bupivacaine as treatment for postoperative pain after arthroscopy of the wrist. Scand. J. Plast. Reconstr. Surg. Hand. Surg. Suppl. 2008, 42, 313–315. [Google Scholar] [CrossRef]
- Goodwin, R.C.; Amjadi, F.; Parker, R.D. Short-term analgesic effects of intra-articular injections after knee arthroscopy. J. Arthrosc. Rel. Surg. 2005, 21, 307–312. [Google Scholar] [CrossRef]
- Van Vynckt, D.; Samoy, Y.; Mosselmans, L.; Verhoeven, G.; Verschooten, F.; Van Ryssen, B. The use of intra-articular anesthesia as a diagnostic tool in canine lameness. Flemish Vet. J. 2012, 290-–297. [Google Scholar] [CrossRef]
- Bubenik, L.; Hosgood, G.; Barker, S.; Hicks, M.; Serra, V.; Stout, R. Estimated Plasma Bupivacaine Concentration After Single Dose and Eight-Hour Continuous Intra-Articular Infusion of Bupivacaine in Normal Dogs. Vet. Surg. 2007, 36, 783–791. [Google Scholar] [CrossRef] [PubMed]
- Van Vynckt, D.; Polis, I.; Verschooten, F.; Ryssen, V.B. A review of the human and veterinary literature on local anaesthetics and their intraarticular use. Vet. Clin. Small Anim. Pract. 2010, 23, 225–230. [Google Scholar]
- Lemo, N.; Vnuk, D.; Radisic, B.; Skender, L.; Karacic, V.; Brcic, I. Determination of the toxic dose of lidocaine in dogs and its corresponding serum concentration. Vet. Rec. 2007, 160, 374–375. [Google Scholar] [CrossRef] [PubMed]
- Baker, J.F.; Mulhall, K.J. Local anaesthetics and chondrotoxicty: What is the evidence? Knee Surg. Sports Traumatol. Arthrosc. 2012, 20, 2294–2301. [Google Scholar] [CrossRef] [PubMed]
- Webb, S.T.; Ghosh, S. Intra-articular bupivacaine: Potentially chondrotoxic? Brit. J. Anaesth. 2009, 102, 439–441. [Google Scholar] [CrossRef] [PubMed]
- Chu, C.R.; Izzo, N.J.; Papas, N.E.; Fu, F.H. In Vitro Exposure to 0.5% Bupivacaine Is Cytotoxic to Bovine Articular Chondrocytes. J. Arthrosc. Rel. Surg. 2006, 22, 693–699. [Google Scholar] [CrossRef] [PubMed]
- Chu, C.R.; Coyle, C.H.; Chu, C.T.; Szczodry, M.; Seshadri, V.; Karpie, J.C.; Cieslak, K.M.; Pringle, E.K. In vivo effects of single intra-articular injection of 0.5% bupivacaine on articular cartilage. J. Bone Joint Surg. Am. 2010, 92, 599–608. [Google Scholar] [CrossRef]
- Staffieri, F. Intravenous regional anesthesia. In Small Animal Regional Anesthesia and Analgesia; John Wiley & Sons: Hoboken, NJ, USA, 2013; pp. 261–271. [Google Scholar]
- Webb, A.A.; Cantwell, S.L.; Duke, T.; Adkins, E. Intravenous regional anesthesia (Bier block) in a dog. Can. Vet. J. 1999, 40, 419. [Google Scholar]
- Parkash, S.; Nayak, D.; Takroo, M.M.; Shankran, V. Tourniquet: Basic principles, biomechanics and clinical applications. J. Indian Med. Assoc. 1988, 86, 261–269. [Google Scholar]
- Campoy, L.; Read, M.; Peralta, S. Canine and Feline Local Anesthetic and Analgesic Techniques. In Veterinary Anesthesia and Analgesia: The Fifth Edition of Lumb and Jones; John Wiley & Sons: Hoboken, NJ, USA, 2015; p. 827. [Google Scholar]
- Asik, I.; Kocum, A.I.; Goktug, A.; Turhan, K.S.C.; Alkis, N. Comparison of ropivacaine 0.2% and 0.25% with lidocaine 0.5% for intravenous regional anesthesia. J. Clinic. Anesth. 2009, 21, 401–407. [Google Scholar] [CrossRef] [PubMed]
- Ghaderi, K.; Rahmani, K.; Rahmanpanah, N.; Shami, S.; Zahedi, F.; Nasseri, K. Comparison of lidocaine–dexmedetomidine and lidocaine–saline on the characteristics of the modified forearm bier block: A clinical trial. J. Anaesthesiol. Clin. Pharmacol. 2021, 37, 610–615. [Google Scholar] [PubMed]
- Mansour, M.S.; El Kom, S.; Ahmed, M.; Rady, A.; Sadik, S. Comparison of two different doses of dexmedetomidine added to lignocaine in patients posted for upper limb orthopedic surgery under intravenous regional anaesthesia. Romanian J. Anaesth. Intens. Care 2021, 28, 63–70. [Google Scholar]
- Abdulla, W.Y.; Fadhil, N.M. A New Approach to Intravenous Regional Anesthesia. Anesth. Analg. 1992, 75, 597–601. [Google Scholar] [CrossRef]
- Pitkänen, M.T.; Rosenberg, P.H.; Pere, P.J.; Tuominen, M.K.; Seppälä, T.A. Fentanyl-prilocaine mixture for intravenous regional anaesthesia in patients undergoing surgery. Anaesthesia 1992, 47, 395–398. [Google Scholar] [CrossRef]
- Gupta, A.; Björnsson, A.; Sjöberg, F.; Bengtsson, M. Lack of peripheral analgesic effect of low-dose morphine during intravenous regional anesthesia. Reg. Anesth. 1993, 18, 250–253. [Google Scholar]
- Erciyes, N.; Aktürk, G.; Solak, M.; Dohman, D. Morphine/prilocaine combination for intravenous regional anesthesia. Acta Anaesthesiol. Scandinav. 1995, 39, 845–846. [Google Scholar] [CrossRef]
- Jitendra, M.; Jamwal, A.; Gupta, H. Buprenorphine Significantly Prolongs Postoperative Analgesia in Intravenous Regional Anesthesia. JK Sci. 2015, 17, 114. [Google Scholar]
- Otero, P.E.; Fuensalida, S.E.; Tarragona, L.; Díaz, A.; Sanchez, M.F.; Micieli, F.; Waxman, S.; Zaccagnini, A.C.; Donati, P.A.; Portela, D.A. Ultrasound-guided caudal quadratus lumborum block combined with the greater ischiatic notch plane block as motor-protective analgesia for the pelvic limb in dogs. Vet. Anaesth. Analg. 2024, 51, 97–106. [Google Scholar] [CrossRef]














| Drug | Dose (mg/kg) | Onset (min) | Duration (h) | Reference |
|---|---|---|---|---|
| Lidocaine 2% | 4–5 | 4–6 | 1–1.5 | [150,153,166] |
| Bupivacaine 0.5% | 0.5–1.65 | 5–15 | 2–6 | [150,153,166] |
| Levobupivacaine 0.5% | 0.5–1 | 5–15 | 1–1.5 | [166] |
| Ropivacaine 0.75% | 1–1.65 | 7–15 | 1.5–4 | [153,166] |
| Morphine | 0.1–0.3 | 45–90 | 10–24 | [150,153,166] |
| Hydromorphone | 0.02–0.04 | <30 | 6–12 | [150,153] |
| Buprenorphine | 0.004–0.005 | <60 | ≥24 | [153,166] |
| Tramadol | 1 | − | 6–8 | [162] |
| Fentanyl | 0.004–0.01 | − | 0.3 | [150,163] |
| Medetomidine | 0.005–0.01 (cat)0.015 (dog) | <20 | 4–6 | [153] |
| Dexmedetomidine | 0.003–0.006 | <15 | ≤4.5 | [166] |
| Ketamine | 3.0 | 5–15 | ≤0.5 | [165] |
Disclaimer/Publisher’s Note: The statements, opinions and data contained in all publications are solely those of the individual author(s) and contributor(s) and not of MDPI and/or the editor(s). MDPI and/or the editor(s) disclaim responsibility for any injury to people or property resulting from any ideas, methods, instructions or products referred to in the content. |
© 2024 by the authors. Licensee MDPI, Basel, Switzerland. This article is an open access article distributed under the terms and conditions of the Creative Commons Attribution (CC BY) license (https://creativecommons.org/licenses/by/4.0/).
Share and Cite
Margeti, C.; Kostakis, C.; Tsioli, V.; Karagianni, K.; Flouraki, E. Local Anaesthesia Techniques in Dogs and Cats: A Review Study. Pets 2024, 1, 88-119. https://doi.org/10.3390/pets1020009
Margeti C, Kostakis C, Tsioli V, Karagianni K, Flouraki E. Local Anaesthesia Techniques in Dogs and Cats: A Review Study. Pets. 2024; 1(2):88-119. https://doi.org/10.3390/pets1020009
Chicago/Turabian StyleMargeti, Chrysoula, Charalampos Kostakis, Vassiliki Tsioli, Konstantina Karagianni, and Eugenia Flouraki. 2024. "Local Anaesthesia Techniques in Dogs and Cats: A Review Study" Pets 1, no. 2: 88-119. https://doi.org/10.3390/pets1020009
APA StyleMargeti, C., Kostakis, C., Tsioli, V., Karagianni, K., & Flouraki, E. (2024). Local Anaesthesia Techniques in Dogs and Cats: A Review Study. Pets, 1(2), 88-119. https://doi.org/10.3390/pets1020009

