Abdominal Pain Due to Liver Capsule Rupture: A Rare but Fatal Complication of Hepatocellular Carcinoma
Abstract
1. Introduction
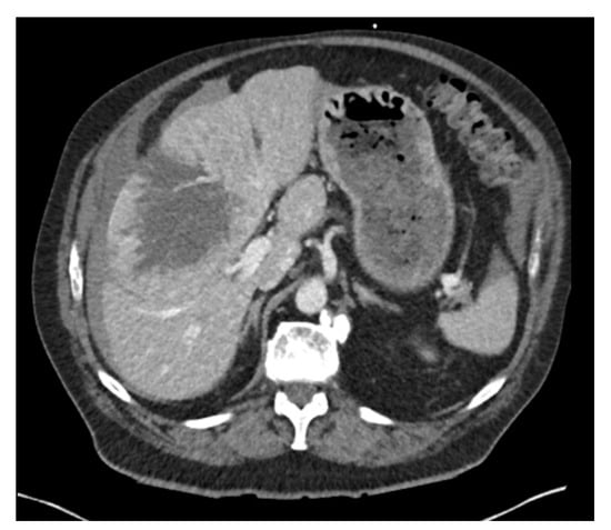
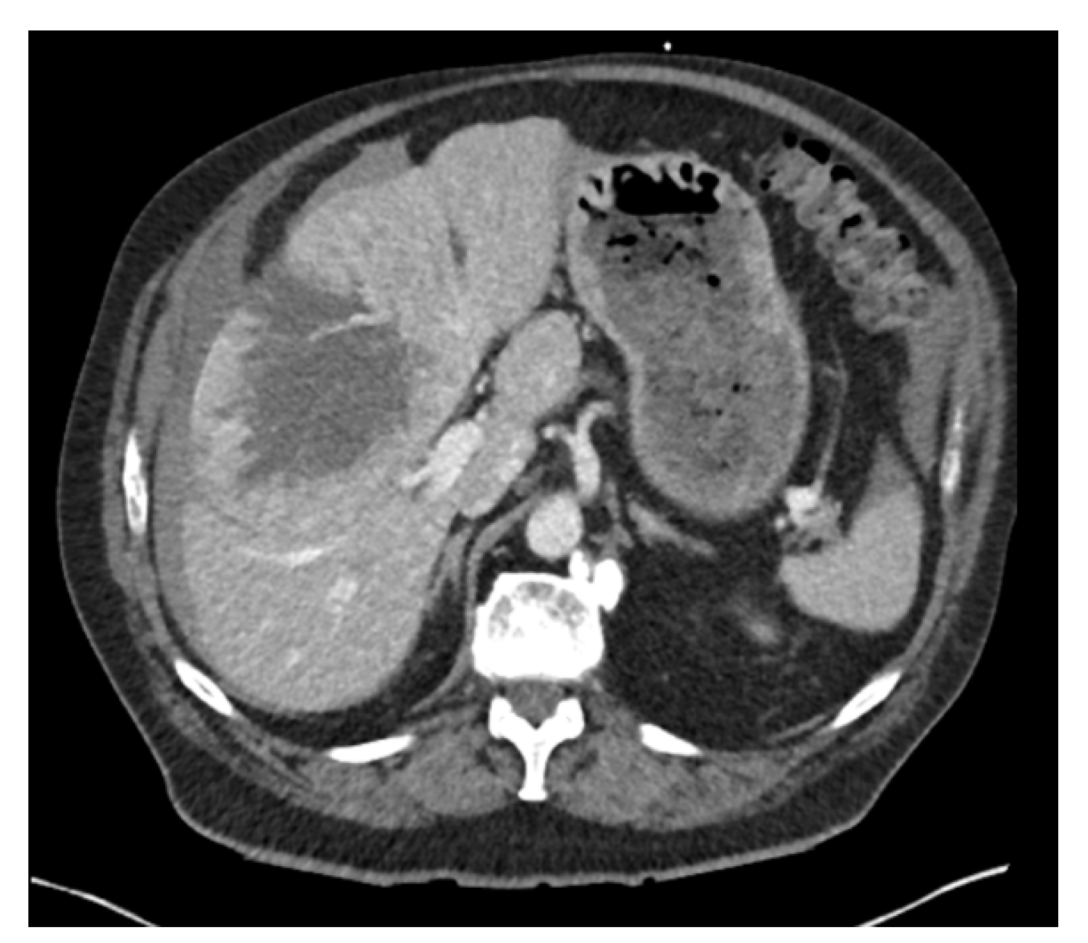
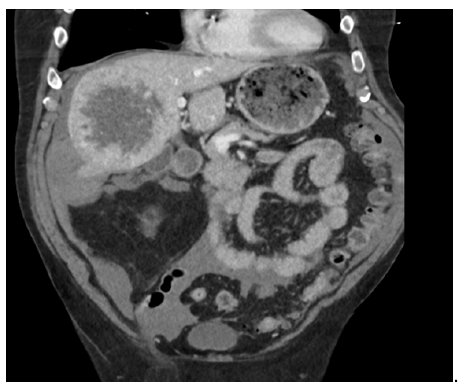
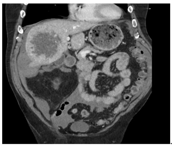
2. Case
3. Discussion
4. Conclusions
Author Contributions
Funding
Institutional Review Board Statement
Informed Consent Statement
Data Availability Statement
Conflicts of Interest
References
- Obeidat, A.E.; Wong, L.L. Spontaneous Rupture of Hepatocellular Carcinoma: New Insights. J. Clin. Exp. Hepatol. 2022, 12, 483–491. [Google Scholar] [CrossRef] [PubMed]
- Llovet, J.M.; Zucman-Rossi, J.; Pikarsky, E.; Sangro, B.; Schwartz, M.; Scherman, M.; Gores, G. Hepatocellular carcinoma. Nat. Rev. Dis. Primers 2016, 2, 16018. [Google Scholar] [CrossRef] [PubMed]
- Marrero, J.A.; Ahn, J.; Reddy, R.K.; on behalf of the Practice Parameters Committee of the American College of Gastroenterology. ACG clinical guideline: The diagnosis and management of focal liver lesions. Am. J. Gastroenterol. 2014, 109, 1328–1347. [Google Scholar] [CrossRef] [PubMed]
- European Association for the Study of the Liver. EASL Clinical Practice Guidelines: Management of hepatocellular carcinoma. J. Hepatol. 2018, 69, 182–236. [Google Scholar] [CrossRef] [PubMed]
- Forner, A.; Reig, M.; Bruix, J. Hepatocellular carcinoma. Lancet 2018, 391, 1301–1314. [Google Scholar] [CrossRef] [PubMed]
- Kirihata, N.; Nakano, Y.; Moriyoshi, K.; Miyamoto, S. Ruptured hepatocellular carcinoma developed in a normal liver in a young patient with a body mass index of 33 kg/m2. BMJ Case Rep. 2024, 17, e262841. [Google Scholar] [CrossRef] [PubMed]
- Xu, K.; Ryu, D.; Choi, H.; Choi, J.-W.; Lee, J. Prognosis and recurrence of spontaneously ruptured hepatocellular carcinoma treated after hepatectomy: A single institution experience. Medicine 2024, 103, e38555. [Google Scholar] [CrossRef] [PubMed]
- Lai, E.C.; Lau, W.Y. Spontaneous rupture of hepatocellular carcinoma: A systematic review. Arch. Surg. 2006, 141, 191–198. [Google Scholar] [CrossRef] [PubMed]
- Zhu, Q.; Li, J.; Yan, J.-J.; Huang, L.; Wu, M.-C.; Yan, Y.-Q. Predictors and clinical outcomes for spontaneous rupture of hepatocellular carcinoma. World J. Gastroenterol. 2012, 18, 7302–7307. [Google Scholar] [CrossRef] [PubMed]
- Sahu, S.K.; Chawla, Y.K.; Dhiman, R.K.; Singh, V.; Duseja, A.; Taneja, S.; Kalra, N.; Gorsi, U. Rupture of Hepatocellular Carcinoma: A Review of Literature. J. Clin. Exp. Hepatol. 2019, 9, 245–256. [Google Scholar] [CrossRef] [PubMed]
- Liu, C.L.; Fan, S.T.; Lo, C.M.; Tso, W.K.; Poon, R.T.; Lam, C.M.; Wong, J. Management of spontaneous rupture of hepatocellular carcinoma: Single-center experience. J. Clin. Oncol. 2001, 19, 3725–3732. [Google Scholar] [CrossRef]



| Risk Factors Associated with Liver Capsule Rupture in HCC | |
|---|---|
| General condition | High blood pressure, obesity, portal vein thrombosis, unique tumor, tumor size > 5 cm, extrahepatic extension |
| Treatment | Trans-arterial chemoembolization Sorafenib |
| Tumor location | Segment: I, II, III, and IV |
| Liver disease | Cirrhosis (under debate in the literature) |
Disclaimer/Publisher’s Note: The statements, opinions and data contained in all publications are solely those of the individual author(s) and contributor(s) and not of MDPI and/or the editor(s). MDPI and/or the editor(s) disclaim responsibility for any injury to people or property resulting from any ideas, methods, instructions or products referred to in the content. |
© 2025 by the authors. Licensee MDPI, Basel, Switzerland. This article is an open access article distributed under the terms and conditions of the Creative Commons Attribution (CC BY) license (https://creativecommons.org/licenses/by/4.0/).
Share and Cite
Al Saadi, H.; Al Zubaidi, R.; Zender, H.O.; Heymann, E.P.; Said, C. Abdominal Pain Due to Liver Capsule Rupture: A Rare but Fatal Complication of Hepatocellular Carcinoma. Emerg. Care Med. 2025, 2, 13. https://doi.org/10.3390/ecm2010013
Al Saadi H, Al Zubaidi R, Zender HO, Heymann EP, Said C. Abdominal Pain Due to Liver Capsule Rupture: A Rare but Fatal Complication of Hepatocellular Carcinoma. Emergency Care and Medicine. 2025; 2(1):13. https://doi.org/10.3390/ecm2010013
Chicago/Turabian StyleAl Saadi, Haider, Reyam Al Zubaidi, Hervé O. Zender, Eric P. Heymann, and Chiheb Said. 2025. "Abdominal Pain Due to Liver Capsule Rupture: A Rare but Fatal Complication of Hepatocellular Carcinoma" Emergency Care and Medicine 2, no. 1: 13. https://doi.org/10.3390/ecm2010013
APA StyleAl Saadi, H., Al Zubaidi, R., Zender, H. O., Heymann, E. P., & Said, C. (2025). Abdominal Pain Due to Liver Capsule Rupture: A Rare but Fatal Complication of Hepatocellular Carcinoma. Emergency Care and Medicine, 2(1), 13. https://doi.org/10.3390/ecm2010013

