Next Article in Journal
Extended Color Doppler Ultrasound in the Diagnosis of Giant Cell Arteritis: Clinical Insights and Literature Review with Emphasis on Posterior Circulation Involvement
Previous Article in Journal
Vertebral Artery Sacrifice After Balloon Test Occlusion in Endovascular Repair of Subclavian Artery Aneurysm
 
 
Font Type:
Arial Georgia Verdana
Font Size:
Aa Aa Aa
Line Spacing:
Column Width:
Background:
Article

Acute Aortic Occlusion Causing Bilateral Lower Extremity Ischemia That Resolved with tPA Administration

1
Department of Emergency Medicine, University of North Carolina Southeastern, Lumberton, NC 28358, USA
2
ApolloMD, Sandy Springs, GA 30328, USA
3
Special Operations Center for Medical Integration and Development (SOCMID), UAB Trauma, Birmingham, AL 35242, USA
*
Author to whom correspondence should be addressed.
J. Vasc. Dis. 2025, 4(3), 36; https://doi.org/10.3390/jvd4030036
Submission received: 24 June 2025 / Revised: 15 August 2025 / Accepted: 1 September 2025 / Published: 14 September 2025
(This article belongs to the Section Cardiovascular Diseases)

Abstract

Background: Acute aortic occlusion (AAO) is a rare but life-threatening condition which can present with a spectrum of symptoms, ranging from mild cramping pain in the lower extremities (with or without sensory loss) to more dramatic motor loss and paraplegia. Once a diagnosis has been established, the treatment remains ambiguous, especially in a resource-limited setting. Treatment ranges from direct vascular intervention to systemic or directed thrombolysis—however, there is a lack of published literature on systemic thrombolysis, and thereby, consensus guidelines are nonexistent. Additionally, systemic thrombolysis bears a risk of hemorrhagic complications; however, the risk of death due to AAO is up to 57 times greater than the risk of intracerebral hemorrhage from systemic thrombolysis. Methods: This case report explores the prompt diagnosis of an acute aortic occlusion causing bilateral acute lower extremity ischemia in a sixty-three-year-old female patient treated with systemic thrombolysis. Results: The patient received 100 mg of tPA (without a bolus dose, over a two-hour period) in the Emergency Department (similar to that which is administered for the full-dose pulmonary embolism protocol). One hour after administration, the patient had restored flow to the bilateral lower extremities verified using bedside color-flow Doppler, with a drastic improvement in her symptoms. Two days after systemic thrombolysis, a repeat CTA showed evidence of complete resolution of her aortic clot. Her condition was complicated by a brief episode of retroperitoneal bleeding (presenting with flank pain) while on a heparin drip after admission (day two), which was resolved through discontinuation of the heparin drip and a two-unit blood transfusion. Conclusion: The patient was discharged with full function of the lower extremities on day six without anticoagulation. At her 2-week follow-up appointment, she was noted to be ambulatory without any neurodeficit, with a persistently restored arterial flow to the lower extremity. The application of systemic tPA could be paramount in the treatment of AAO in the setting of ischemic limb pathology, particularly at rural hospitals and healthcare centers where urgent direct vascular intervention may not be possible.

1. Introduction

1.1. Epidemiology and Pathogenesis

Acute aortic occlusion (AAO) is infrequent, with an estimated incidence of 3.8 per 1 million persons [1]. AAO occurs nearly equally in men and women, with the average age of presentation being 69.7 years [1]. Though exceedingly rare, a rapid diagnosis of AAO is crucial, as an AAO is associated with a 30-day mortality between 25% and 75% [2]. AAOs are most commonly caused by in situ thrombosis, saddle embolus, and occluded grafts/stents/stent-grafts [1]. In situ thrombosis was found in upwards of 64% of cases of AAO, and in these cases, patients were found to have atherosclerotic occlusive disease or hypercoagulable states [1,3]. The precipitation of a thrombosis in patients with atherosclerotic disease can be caused by low flow states such as dehydration or cardiac decompensation from congestive heart failure. Hypercoagulable states have been observed in patients with heparin-associated thrombosis, protein C deficiency, and anticardiolipin antibodies [3]. The majority of patients are current smokers with comorbidities of cardiac disease and hypertension.

1.2. Presentation

Lower extremity pain is the most common presenting symptom in the setting of acute limb ischemia (ALI) from AAO, with a nearly 100% occurrence rate [4]. This speaks to the paramount importance of obtaining reliable pulses in any patient complaining of nontraumatic lower extremity pain. Paraplegia and significant motor and sensory deficits can co-associate but are not ubiquitously present [4]. Once AAO is suspected, the diagnosis is confirmed with a CT angiogram. Once identified, if a patient is at risk of ischemia, emergency vascular intervention should be performed.

1.3. Treatment Options

A variety of different interventions have been used for the treatment of AAO, such as an axillary-bifemoral bypass, an aorto-bifemoral bypass, and a thrombo-embolectomy. Although tissue plasminogen activator (tPA) is an agent frequently utilized systemically for arterial occlusion in the setting of ischemic stroke and pulmonary embolism (PE), there is a dearth of literature describing the use of tPA as an agent for the treatment of AAO, except that which is catheter-mediated [5].
In order to mitigate the potential side effects of systemic thrombolytics, catheter-directed mechanisms facilitate the local delivery of fibrinolytics, rendering increased treatment safety and efficacy [6]. These delivery mechanisms originated with and favored transvenous approaches and venous-directed therapies, first applied to deep venous thrombosis (DVT) treatment. Since this original application and embolectomy using a vacuum-cup catheter, there have been many reports of pharmaco-mechanical, catheter-directed therapies (CDT) that combine fibrinolysis with mechanical breakdown of the thrombus [6]. Arterial applications and approaches are now frequently applied to pulmonary artery occlusions. Reports of the application of CDT to aortic thrombi now exist, with improved outcomes (especially in recovery) compared with those of open vascular surgery (open vascular surgery was historically the primary approach to AAO prior to the turn of the 21st century).
In a published application of CDT in a 44-year-old woman with a history of Crohn disease who presented with an intramural descending aortic thrombus, the patient received localized directed tPA at a much lower dose than would be required for systemic approaches. Through a basket delivery application deployed inside the thrombus, a total of 12–14 mg of tPA in 2.0 mg aliquots was administered over 30 min [6]. A postprocedural angiogram revealed near-complete resolution of the thrombus and patent iliac arteries; follow-up imaging 4 months later revealed complete resolution of the aortic thrombus, with only focal aorto-biiliac calcification remaining [6].

1.4. CDT vs. Systemic Applications of tPA (Alteplase)

However, issues persist with the availability of CDT in rural settings, and thus, systemic thrombolysis remains the key treatment option for many populations. The risk of complications in the setting of systemic thrombolysis should be carefully considered and balanced against the real risk of acute limb loss if vascular surgery and CDT are not treatment options. In most settings and in most patients, the minimal risk of intracranial or noncompressible hemorrhage will pale in comparison to that of bilateral limb loss or the known 30-day mortality with this disease condition, which ranges up to 75% [2]. The intracranial hemorrhage (ICH) rates in this disease treatment setting are much lower than the ICH rates in the setting of the treatment for acute stroke systemic thrombolysis. The ICH rates for systemic thrombolysis in the setting of acute limb ischemia are around 1.3% overall [7].
In an assessment of patients receiving CDT verses systemic thrombolysis in the setting of acute limb ischemia, patients were randomly assigned to undergo intravenous or catheter-directed thrombolysis with tPA [7]. The treatment population for this rare condition consisted of 40 individuals (with 2 exclusions, to a final n of 38). The cohort randomly assigned to systemic treatment received 0.6 mg/kg (with an upper limit of 50 mg) of tPA (alteplase). Of the total dose, 20% was administrated as a bolus, and the remainder was given through an intravenous infusion over a period of 2 h. For the second comparison group, CDT was facilitated by a guide wire which passed through the occlusion, and then a side-hole catheter was imbedded into the occluded artery. The size of the fenestrated catheter was commensurate with the length of the clot. Alteplase was delivered as CDT with an infusion rate of 0.05 mg/kg/h, with the first 5 mg of alteplase administrated as a bolus. The subsequent infusion was delivered in divided doses every 2 h over a period of 24 h. For both groups (systemic and CDT tPA), a similar dosage of alteplase was given a day after the initial dose if there was an improvement demonstrated in the peripheral circulation assessment parameters [7].
Surprisingly, there was no difference in the incidence of limb amputations between the two study groups (p = 0.096). None of the patients (in either group) experienced major hemorrhagic therapeutic side effects (which statistically is not surprising when the overall rate of ICH for systemic thrombolysis is 1.3% [7], as this study would have been underpowered to bear out this unlikely complication). Moreover, there was not a single patient in this randomized trial that had an extensive hematoma or that required an emergency blood transfusion. As would be expected, those who underwent CDT did experience a significantly higher rate of angiographic improvement in thrombosis when compared to that in intravenous thrombolysis (p < 0.001); however, the ABI increased in both study groups after 6 months, and no significant differences between the two arms were observed (p = 0.360) [7].
CDT overall has been lauded as the vascular standard of practice; however, much of the data is predicated on comparing the outcomes of open surgical approaches to those of CDT [7]. There are few studies that have directly compared systemic vs. CDT approaches in a randomized control setting. A latent investigation found that the clinical outcomes as well as the complication rates were comparable between the two routes of tPA administration. Indeed, initial clearance favored CDT; however, the 6-month outcomes were equivalent. In considering observation and complete limb ischemia vs. systemic thrombolysis in a care-limited setting, the decision for a disease condition with up to 75% mortality seems to be clear: systemic thrombolysis remains to be a viable and reasonable treatment option.
The authors present a novel case of non-bolus, systemic administration of tPA in the setting of AAO, with resolution of the clot burden and an ultimately positive patient outcome. The case occurred in a limited-resource setting, without the capacity for CDT, and was a novel application of tPA for the institution, with a current dearth of established infusion protocols available for ALI originating from AAO. The publication of this case was deemed exempt by the UNC Institutional Review Board.

2. The Case Presentation

A 63-year-old Caucasian female with a significant past medical history in terms of hypertension and tobacco use disorder presented to the Emergency Department in an ambulance due to a syncopal event at home. The patient attested to recent alcohol and marijuana smoke exposure, after which she had laid down to rest on her couch. She stated that upon attempting to stand, her legs gave out, and she collapsed. The patient stated that she believed that she had lost consciousness; her daughter notified the emergency services, and an ambulance was dispatched.
The patient’s only complaint was that both of her legs hurt and she could not feel them. On initial examination, the patient’s initial vital signs were as follows: blood pressure: 120/44; heart rate: 53; respiratory rate: 20; rectal temperature: 93.3 F. Her lower extremities showed bilateral petechiae and molting of the feet and were cold to the touch. Dorsalis pedis pulses and posterior tibialis pulses were unable to be palpated. These absent pulses were verified using bedside Doppler and color-flow ultrasound. The patient was immediately brought to imaging, and a CT angiogram of the aorta with a contrast protocol was performed to rule out dissection. CT imaging demonstrated an occlusion of the distal abdominal aorta (without dissection), with concurrent occlusion of the bilateral common iliac arteries.
Vascular surgery was immediately discussed; however, per the evaluation, the patient’s presentation made it difficult to decipher between chronic and acute occlusion, and moreover, it was suspected that she might have developed a collateral flow. Thus, the surgical team recommended against immediate direct intervention. A heparin drip was recommended, with consideration of possible surgery later if the patient failed to demonstrate an improvement. The patient’s pain worsened over the course of the next two hours. She remained persistently hypothermic, and repeat bedside high-resolution color-flow Doppler ultrasound verified no flow in the following arteries (bilateral): the dorsalis pedis, posterior tibialis, popliteal, and femoral.
Therefore, another consultation between the vascular surgery department and the emergency physician resulted in consideration of the treatment modalities for immediate resolution of the clot, as it became clear that the patient had no functional collateral flow. Surgical intervention was deemed to be too high of a risk to the patient—and since it was decided that direct intervention was not currently an option due to her risk profile, systemic thrombolysis via tPA was decided to be a viable surrogate option. The in-patient pharmacy was consulted, and a dose of 100 mg (without a bolus) of tPA was selected (in congruence with the ‘full-dose’ PE treatment protocol/the current FDA-approved application of tPA to PE [8]). tPA was administered at a constant rate over 2 h, and then the heparin infusion was immediately started (similar to the currently recommended PE protocol [8]). Approximately 1 h after completion of the tPA infusion, the patient’s pain had resolved, and pulses had been restored according to palpation of the right posterior tibialis, the right dorsalis pedis, and the left dorsalis pedis (verified using bedside color-flow Doppler). Hypothermia was consequently resolved over the same one-hour period.
The patient was admitted to the ICU for monitoring. On day 2, she began to experience abdominal and flank pain. A repeat CT angiogram of the abdominal aorta and bilateral iliofemoral runoff showed complete resolution of the aortic and bilateral common iliac occlusion; however, the patient had a new retroperitoneal bleed. The heparin drip was stopped, and the patient required a transfusion of 2 units of packed red blood cells for blood-loss anemia. The patient’s hemoglobin levels stabilized without further intervention (and did not require any direct surgical or interventional radiology treatment). The patient ultimately had a full return of function of her lower extremities and was discharged, walking, from the hospital on day 6. Further anticoagulation was deferred due to the patient’s recent retroperitoneal bleed. At her 2-week follow-up appointment, she was noted to be ambulatory, without any neurodeficit.
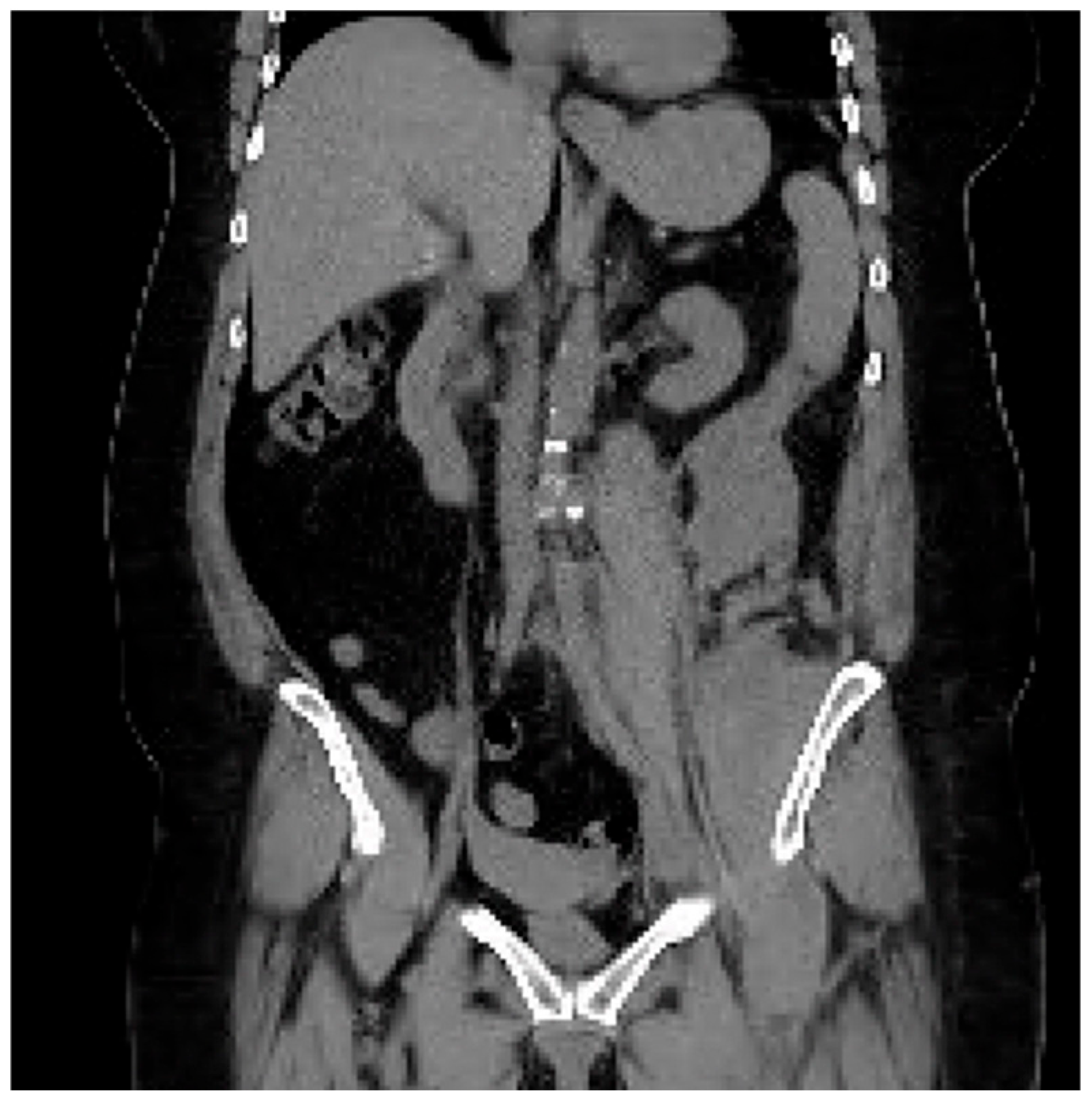
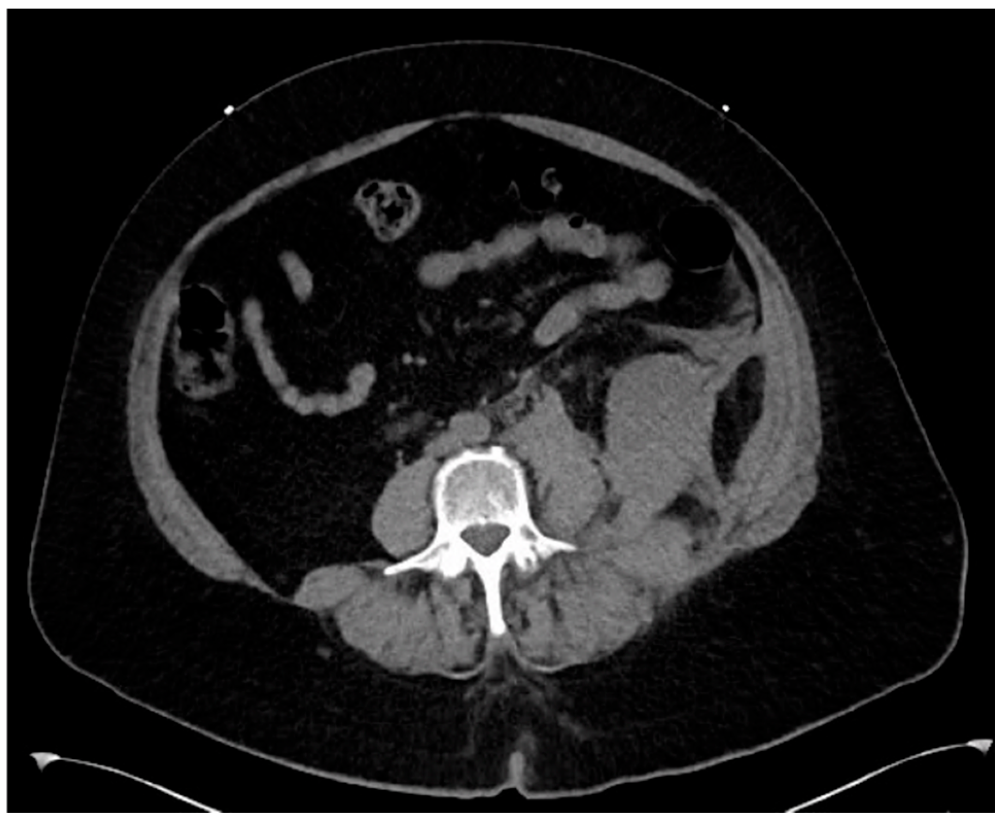
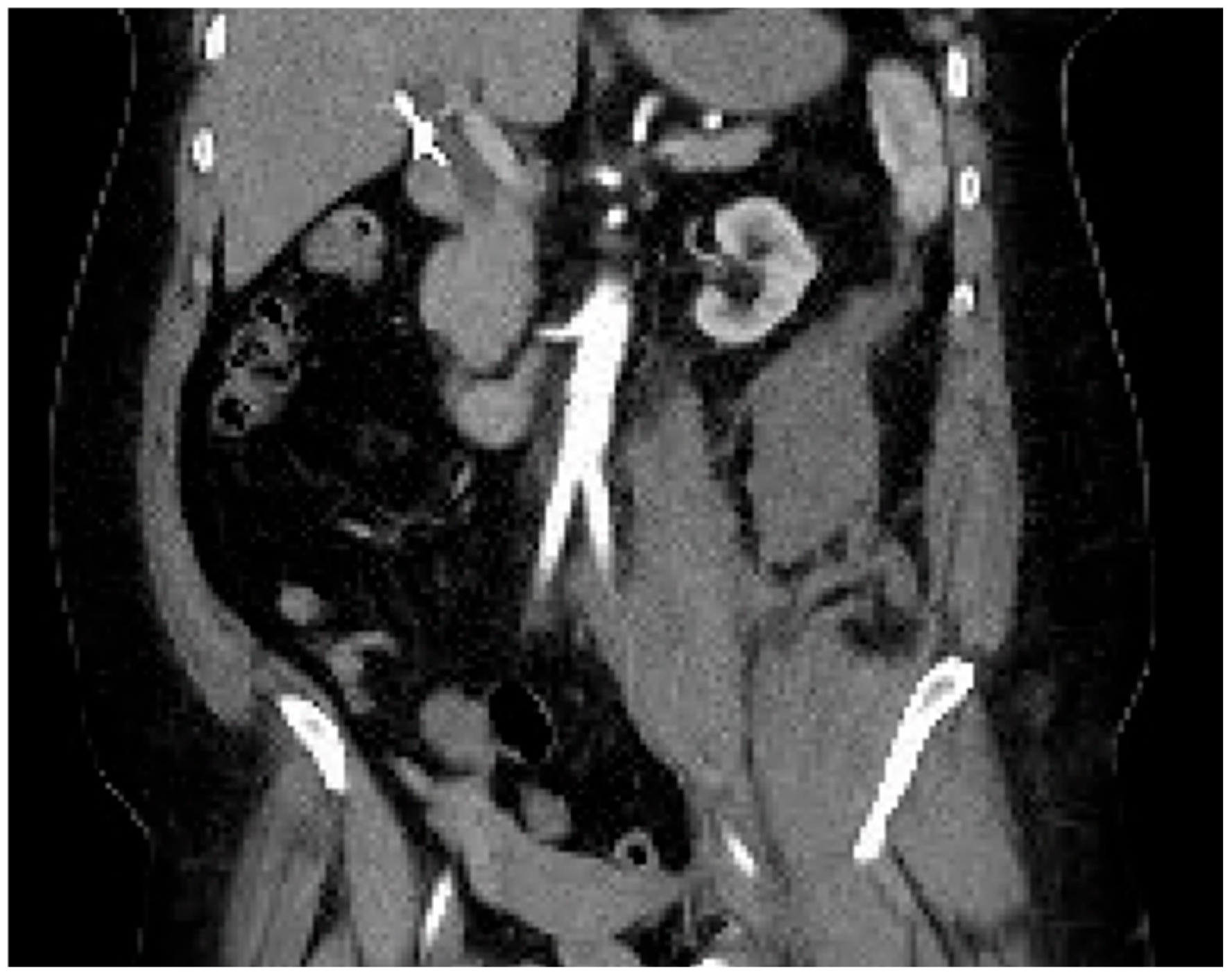
Computed tomography angiogram (CTA) protocol images are displayed below. Figure 1 and Figure 2 correspond to her state prior to tPA administration; notice the 100% occlusive aortic thrombus. Figure 3 and Figure 4 are post-tPA administration, demonstrating the fully restored aortic flow.
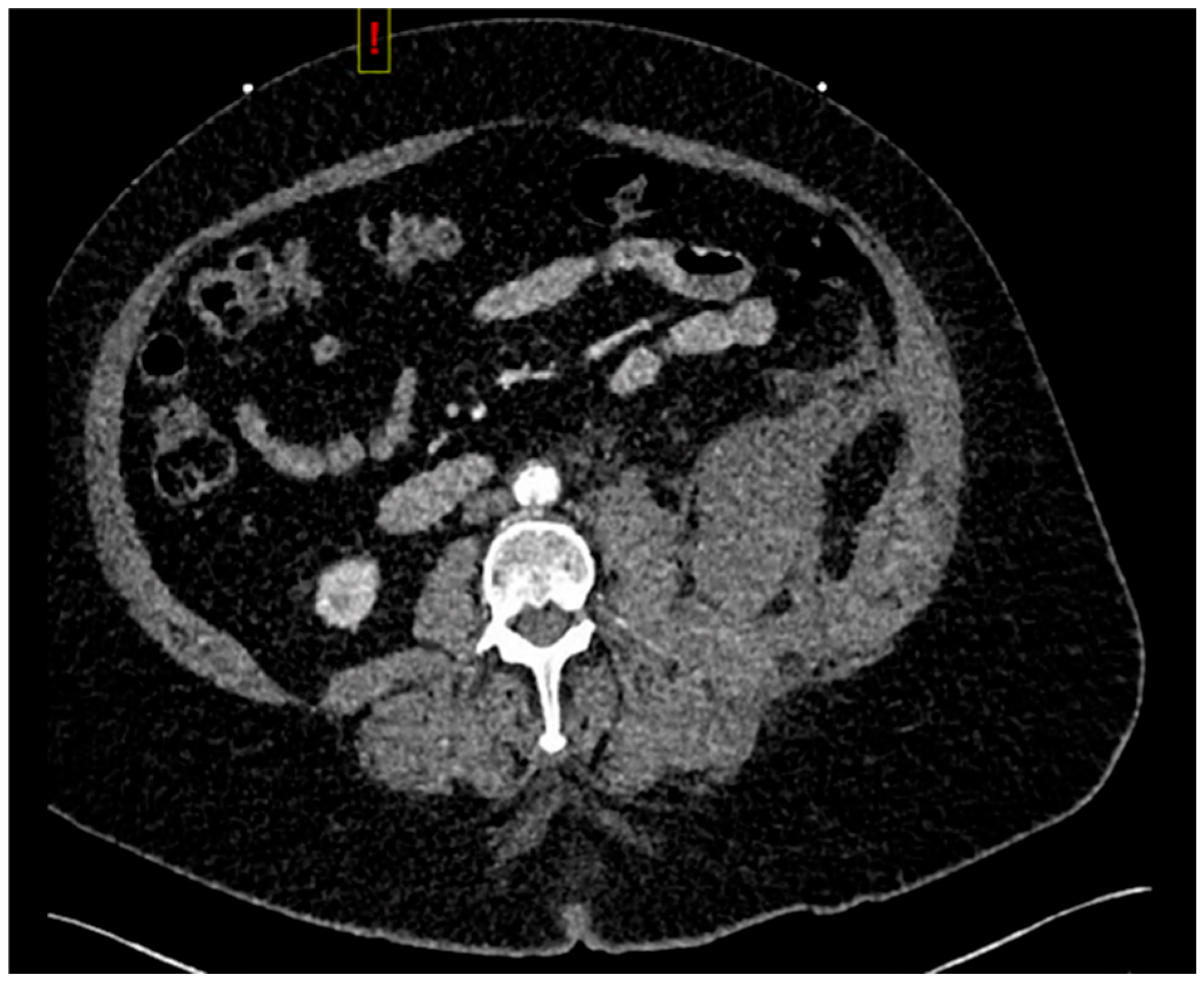
The CTA protocol images featured below (Figure 5 and Figure 6) demonstrate the retroperitoneal bleed noted on treatment day #2. This complication self-resolved without surgical or interventional radiological intervention. The patient required a total of 2 units of packed red blood cells.

3. Discussion

Aortic occlusions are a rare and life-threatening condition associated with high morbidity and mortality [1,2]. Early recognition of this pathology is crucial, though its symptoms can vary widely depending on the level of occlusion. Bilateral leg pain is the most common symptom but can be accompanied by motor and sensory loss [4]. The symptoms of cauda equina can also be found depending on the location of the occlusion. The treatment is usually a heparin drip and then direct intervention via vascular surgery, e.g., an axillary-bifemoral bypass, an aorta-bifemoral bypass, or a thrombo-embolectomy. However, in this case, the patient had symptomatology consistent with progressive bilateral ischemic loss of the lower extremities without a foreseeable move to the operating room. Facing a possible permanent ischemic complication (including bilateral amputation), the risk of not administering tPA seemed to far outweigh any benefits of a further delay in thrombolysis. Thus, tPA was administered, though it was recognized as a non-FDA-certified application, and there was a potential risk with this action. The estimated pathophysiological resolution with tPA seemed to follow a similar mechanism to that of PE treatment; therefore, its administration reflected the PE-driven tPA protocol [8]. The resolution interval for the AAO in the above case reflects that of tPA’s terminal half-life of 72 min [8], indicating that it is likely appropriate to deduce that its resolution was indeed consequent to the administration of thrombolysis.
Though tPA is not authorized for ischemic limbs, this case was determined to be a lower-risk application due to the atraumatic occurrence of the AAO, no evidence of dissection, no prior anticoagulation, and no known history or evidence of associated carcinoma. This lesser risk was balanced against the well-described complications of delayed reperfusion, e.g., rhabdomyolysis, the need for hemodialysis, compartment syndrome, sustained motorsensory neurological deficits, and mesenteric ischemia [2,4]. Moreover, the patient was hypothermic and had worsening mottling, cold limbs, and progressively worsening pain. It was clear to all providers that she was at a significant risk of a bilateral amputation vs. death with the considerable amount of body tissue involved in the ischemia. Still, ALI requiring systemic thrombolysis of an AAO (or ALI in the setting of Leriche syndrome (Leriche syndrome (aortoiliac occlusive disease) is characterized by chronic obstruction of the abdominal aorta and the iliac arteries, resulting in claudication of the lower extremities, absent/decreased peripheral pulses, and erectile dysfunction, where risk factors include diabetes, hypertension, smoking, and hyperlipidemia [9])) carries a risk of the above-mentioned adverse complications and also distal embolization (up to 12% for immobile thrombi [10]). However, distal embolization can also be seen in the setting of catheter-mediated procedures (distal embolization is not merely a complication in the setting of systemic thrombolysis but rather distal embolization can occur while crossing the occlusion with a wire or catheter and may make the involved limb more severely ischemic [11]).
While the FDA has approved tPA for myocardial infarction with ST-segment elevation, unstable pulmonary embolism, ischemic stroke for an onset within 3–4.5 h of treatment, and the re-establishment of patency in occluded IV catheters [8], present-day off-label indications exist. Acute limb ischemia (ALI) is considered an off-label use of tPA [7]. The most frequent serious adverse effects of tPA are associated with bleeding. Bleeding events can be divided into internal and external. Internal bleeding events include intracranial bleeding, retroperitoneal bleeding, gastrointestinal bleeding, genitourinary bleeding, and respiratory bleeding [12]. External bleeding consists of ecchymosis, gingival bleeding, and epistaxis. This case did demonstrate a rare complication of tPA administration in the retroperitoneal bleeding observed, which presented with flank pain (with a published incidence of less than 1% [12]); however, this resolved quickly with the discontinuation of heparin and required minimal resuscitation, without lasting complications or morbidity or requiring subsequent surgical intervention. The dose recommended in the pharmacy consultation in the involved case (due to the lack of protocols available for AAO) was congruent with the massive PE dosing recommendations: 100 mg infused intravenously over 2 h [8]. It is possible that a lesser dose, as has been tested previously (systemic treatment with thrombolytics for nontraumatic acute limb ischemia performed by Saroukhani et al. (2015) was defined as the treatment group receiving 0.6 mg/kg (with an upper limit of 50 mg) of tPA (alteplase), with 20% administered as a bolus initially [7]), would have facilitated clot resolution, with a lower chance of the retroperitoneal bleeding. Indeed, overall, the rate of adverse events, including bleeding, appears to correlate with the total cumulative tPA dose [12].
Arguably, ICH remains the most severe and also the primary life-threatening complication of those against which the benefits of tPA administration must be weighed. With a published incidence of 1.3% [7], intracranial hemorrhage represents a significant consideration; however, its incidence is up to 73% lower that the absolute risk of death in the setting of AAO [2]. Said another way, the risk of death from AAO is up to 57 times greater than the risk of intracerebral hemorrhage due to systemic thrombolysis. In resource-limited settings (and while the current research indicates that outcomes are likely to be similar overall for the functional resolution of AAO in comparing CDT vs. systemic approaches [7]), the decision to treat vs. observe is straightforward. Most patients are going to favor the approach of treatment in shared decision-making, rather than risking amputation or worse. We see the same in our stroke patients clinically, who consistently prefer thrombolysis in the setting of acute cerebral vascular accidents even though the risk of ICH is much higher and ranges up to 7% [13], which is at least 5 times the rates of ICH in thrombolysis treatment of AAO.
Ultimately, this patient, who initially presented with global hypothermia, cold and mottled limbs, and severe pain, was able to walk out of the hospital with full preservation of her lower extremities. She did not require any surgical intervention throughout her stay, to include no fasciotomies and no extremity or digit amputations. Not only was her vascular flow re-established using systemic tPA dosed under a massive PE protocol but she retained intact neurological function on follow-up and was pain-free, despite her long-duration smoking status and her belonging to a community with significant social economic constraints. She was not discharged on anticoagulation (per the guideline management of AAO in the setting of ALI, there is no conclusive data on the benefit of anticoagulation (AC) for native (i.e., non-embolic/not associated with atrial fibrillation) aortic thrombosis; however, in prosthetic bypass graft thrombolysis (or thrombectomy), there is a significant improvement in secondary patency outcomes, and thus, long-term AC after thrombolysis/a thrombectomy in the setting of an occluded prosthetic bypass might be considered per the EU guidelines [11]); remained clot-free; and had no long-duration complications. Her case represents an overall low-cost and effective treatment for AAO in resource limited settings. Such an application, especially in the setting of a likely treatment equivalence to CDT [7], of systemic thrombolysis to nontraumatic acute aortic occlusions represents an excellent tool for rural and resource-constrained practice environments.

Limitations

The patient in the above case did not undergo subsequent anticoagulation (AC) therapy after discharge, as the decision was made to withhold AC due to the moderate risk reduction for noncompressible hemorrhage. It is possible that this decision could have impacted her outcomes. This seems likely, however, to be a null observation in that her functional and nociceptive outcomes were optimal, and thus, anticoagulation after treatment may have potentially induced unnecessary risk, which seems consistent with the current guidelines for a non-embolic AAO not associated with a prosthetic graft device [11]. The pathophysiological mechanism of an acute nontraumatic aortic occlusion varies by risk factors and concurrent disease conditions. The primary risk factor for this patient was long-duration tobacco smoke exposure. Patients affected by other sources of occlusion risk may not respond as well as the patient above, who demonstrated functionally intact and complete nociceptive resolution by 1 h after the completion of the infusion (which is consistent with the terminal half-life of alteplase of 72 min [8]). The dose chosen for this treatment algorithm was double that in a randomized control trial that directly compared CDT vs. systemic applications [7], and this could logically have been associated with the retroperitoneal bleed observed. It is not known whether a lower dose would have caused such a dramatic resolution (i.e., 50 mg of alteplase) vs. that administered over 2 h (100 mg of alteplase). Additionally, the treatment of the patient described did not include any bolus thrombolysis therapy, in contrast to other protocols (10, 12), and it is unknown how this may have impacted the treatment. Ideally, while in the in-patient setting, a complete hypercoagulability work-up should be undertaken, complete with a trans-esophageal echocardiogram to rule out any ventricular clot burden/cardioembolic source. Lastly, the time intervals in the administration of systemic thrombolysis, dependent on the disease condition, are well described for indications such as myocardial infarction and acute cerebral infarction; however, they are unclear for acute limb ischemia. It is possible that with a further delay in the treatment of the patient described, the outcomes could have been worse, and the immediate complications could also have been worse.

4. Conclusions

Acute aortic occlusion is a disease process that requires urgent identification due to its high morbidity and mortality (which ranges up to 75%). While traditionally AAOs have been treated with surgical intervention, tPA was used to quickly reperfuse the patient’s bilateral ischemic limbs in this case, with near-immediate and complete resolution. Research into the ideal use of tPA for acute ischemic limbs in the setting of AAO is ongoing at this time and will require dedicated studies to decipher the optimal role and dosing regimen for its systemic application. A discussion of the risk and benefit is pivotal; however, the risk of death due to AAO is up to 57 times greater than the risk of intracerebral hemorrhage due to systemic thrombolysis. The application of systemic tPA could be paramount in the treatment of AAO in the setting of ischemic limb pathology, particularly at rural hospitals and healthcare centers where urgent direct vascular intervention may not be possible.

Author Contributions

Conceptualization, G.G. and B.F.; methodology, G.G. and B.F.; validation, G.G., K.H. and B.F.; formal analysis, G.G. and B.F.; investigation, G.G.; resources, G.G. and B.F.; data curation, G.G. and B.F.; writing—original draft preparation, G.G.; writing—review and editing, G.G., K.H. and B.F.; All authors have read and agreed to the published version of the manuscript.

Funding

This research received no external funding.

Data Availability Statement

The original contributions presented in this study are included in the article. Further inquiries can be directed to the corresponding author(s).

Conflicts of Interest

The authors declare no conflicts of interest.

References

  1. Grip, O.; Wanhainen, A.; Bjorck, M. Acute Aortic Occlusion Nationwide Cohort Study. Circulation 2019, 139, e470–e471. [Google Scholar] [CrossRef] [PubMed]
  2. Crawford, J.D.; Perrone, K.H.; Wong, V.W. A Modern Series of Acute Aortic Occlusion. J. Vasc. Surg. 2014, 59, 1044–1050. [Google Scholar] [CrossRef] [PubMed]
  3. Babu, S.C.; Shah, P.M.; Nitahara, J. Acute Aortic Occlusion-Factors that Influence Outcome. J. Vasc. Surg. 1995, 21, 567–575. [Google Scholar] [CrossRef] [PubMed]
  4. Hines, G.L.; Liu, H.H.D. Acute Aortic Occlusion and its Sequelae. Cardiol. Rev. 2021, 29, 57–61. [Google Scholar] [CrossRef] [PubMed]
  5. Lee, R.; Hsu, R. Acute aortic occlusion associated with COVID-19: A rare complication of a not so rare disease. J. Am. Coll. Emerg. Physicians Open 2022, 3, e12730. [Google Scholar] [CrossRef] [PubMed]
  6. Clark, A.H.; Levy, B.E.; Castle, J.T. Recanalization of Aortic and Iliocaval Occlusions By a New Catheter-Directed Thrombotic System-Report of Two Cases. Ann. Vasc. Surg.-Brief Rep. Innov. 2022, 2, 100122. [Google Scholar]
  7. Saroukhani, A.; Ravari, H.; Rad, M.P. Effects of Intravenous and Catheter Directed Thrombolytic Therapy with Recombinant Tissue Plasminogen Activator (Alteplase) in Non-Traumatic Acute Limb Ischemia; A Randomized Double-Blind Clinical Trial. Bull. Emerg. Trauma 2015, 3, 86–92. [Google Scholar] [PubMed]
  8. Reed, M.; Kerndt, C.C.; Nicolas, D. Alteplase. In Treasure Island; Updated 16 May 2023; StatPearls Publishing: St. Petersburg, FL, USA, 2023. Available online: https://www.ncbi.nlm.nih.gov/books/NBK499977/ (accessed on 15 August 2025).
  9. Marak, J.R.; Narayan, S.; Lal, N.R.; Raj, G.; Gara, H. Leriche syndrome: Clinical and diagnostic approach of a rare infrarenal aortoiliac occlusive disease. Radiol. Case Rep. 2023, 19, 540–546. [Google Scholar] [CrossRef] [PubMed] [PubMed Central]
  10. Celikyay, F.; Yuksekkaya, R.; Yilmaz, A.; Beyhan, M.; Sivqin, H.; Almusa, F. A fatal condition in the thoracic aorta. What’s your diagnosis? Floating aortic thrombus. Ann. Saudi Med. 2013, 33, 508–509. [Google Scholar] [CrossRef] [PubMed] [PubMed Central]
  11. Björck, M.; Earnshaw, J.J.; Acosta, S.; Bastos Gonçalves, F.; Cochennec, F.; Debus, E.S.; Hinchliffe, R.; Jongkind, V.; Koelemay, M.J.W.; Menyhei, G.; et al. Editor’s Choice—European Society for Vascular Surgery (ESVS) 2020 Clinical Practice Guidelines on the Management of Acute Limb Ischaemia. Eur. J. Vasc. Endovasc. Surg. 2020, 59, 173–218. [Google Scholar] [CrossRef] [PubMed]
  12. Hughes, R.E.; Tadi, P.; Bollu, P.C. TPA Therapy. In Treasure Island; Updated 4 July 2022; StatPearls Publishing: St. Petersburg, FL, USA, 2023. Available online: https://www.ncbi.nlm.nih.gov/books/NBK482376/ (accessed on 15 August 2025).
  13. Yaghi, S.; Willey, J.Z.; Cucchiara, B.; Goldstein, J.N.; Gonzales, N.R.; Khatri, P.; Kim, L.J.; Mayer, S.A.; Sheth, K.N.; Schwamm, L.H. Treatment and outcome of hemorrhagic transformation after intravenous alteplase in acute ischemic stroke: A scientific statement for health care professionals from the American Heart Association/American Stroke Association. Stroke 2017, 48, e343–e361. [Google Scholar] [CrossRef] [PubMed]
Figure 1. CTA in transverse view prior to tPA.
Figure 1. CTA in transverse view prior to tPA.
Jvd 04 00036 g001
Figure 2. CTA in coronal view prior to tPA.
Figure 2. CTA in coronal view prior to tPA.
Jvd 04 00036 g002
Figure 3. CTA in transverse view post-tPA.
Figure 3. CTA in transverse view post-tPA.
Jvd 04 00036 g003
Figure 4. CTA in coronal view post-tPA.
Figure 4. CTA in coronal view post-tPA.
Jvd 04 00036 g004
Figure 5. CTA in transverse view: retroperitoneal bleed.
Figure 5. CTA in transverse view: retroperitoneal bleed.
Jvd 04 00036 g005
Figure 6. CTA in coronal view: retroperitoneal bleed.
Figure 6. CTA in coronal view: retroperitoneal bleed.
Jvd 04 00036 g006
Disclaimer/Publisher’s Note: The statements, opinions and data contained in all publications are solely those of the individual author(s) and contributor(s) and not of MDPI and/or the editor(s). MDPI and/or the editor(s) disclaim responsibility for any injury to people or property resulting from any ideas, methods, instructions or products referred to in the content.

Share and Cite

MDPI and ACS Style

Gallagher, G.; Handler, K.; Ferguson, B. Acute Aortic Occlusion Causing Bilateral Lower Extremity Ischemia That Resolved with tPA Administration. J. Vasc. Dis. 2025, 4, 36. https://doi.org/10.3390/jvd4030036

AMA Style

Gallagher G, Handler K, Ferguson B. Acute Aortic Occlusion Causing Bilateral Lower Extremity Ischemia That Resolved with tPA Administration. Journal of Vascular Diseases. 2025; 4(3):36. https://doi.org/10.3390/jvd4030036

Chicago/Turabian Style

Gallagher, Gabrielle, Keith Handler, and Brian Ferguson. 2025. "Acute Aortic Occlusion Causing Bilateral Lower Extremity Ischemia That Resolved with tPA Administration" Journal of Vascular Diseases 4, no. 3: 36. https://doi.org/10.3390/jvd4030036

APA Style

Gallagher, G., Handler, K., & Ferguson, B. (2025). Acute Aortic Occlusion Causing Bilateral Lower Extremity Ischemia That Resolved with tPA Administration. Journal of Vascular Diseases, 4(3), 36. https://doi.org/10.3390/jvd4030036

Article Metrics

Back to TopTop