Next Article in Journal
Editor's Corner: Tribute to Rosemarie Van Norman
Previous Article in Journal
IAOM President’s Greeting 2021: 50th Anniversary Celebration
 
 
International Journal of Orofacial Myology and Myofunctional Therapy is published by MDPI from Volume 51 Issue 1 (2025). Previous articles were published by another publisher in Open Access under a CC-BY (or CC-BY-NC-ND) licence, and they are hosted by MDPI on mdpi.com as a courtesy and upon agreement with International Association of Orofacial Myology (IAOM).
Font Type:
Arial Georgia Verdana
Font Size:
Aa Aa Aa
Line Spacing:
Column Width:
Background:
Case Report

A Submerged Tooth Possibly Caused by Biting on a Tracheal Tube in Hospital Due to Cerebral Hemorrhage in Childhood

by
Yamazaki Terumi
1,*,
Kameoka Ryo
1,
Shionoya Yoshiki
2,
Matsuzaki Yuki
1,
Ide Yoshiaki
3 and
Uchikawa Yoshimori
1
1
Department of Pediatric Dentistry, Nippon Dental University Hospital, 2-3-16 Fujimi Chiyoda-ku, Tokyo 102-8158 Japan
2
Department of Dental Anesthesia, Nippon Dental University Hospital, 2-3-16 Fujimi Chiyoda-ku, Tokyo 102-8158 Japan
3
Department of Developmental and Regenerative Dentistry, School of Life Dentistry at Tokyo, The Nippon Dental University, Tokyo 102-8159, Japan
*
Author to whom correspondence should be addressed.
Int. J. Orofac. Myol. Myofunct. Ther. 2017, 43(1), 47-59; https://doi.org/10.52010/ijom.2017.43.1.4
Submission received: 1 November 2017 / Revised: 1 November 2017 / Accepted: 1 November 2017 / Published: 1 November 2017

Abstract

:
We report the case study of a 17-year-old boy with cerebral-hemorrhage sequelae including intellectual disability, who presented with a severe, submerged first deciduous molar in his mandibular alveolar bone. It was believed that his condition was caused by biting on a tracheal tube during hospitalization after a fall that he experienced at the onset of a cerebral hemorrhage when he was 6 years old. His school dentist referred him to us, but he did not notice the submerged deciduous molar at that time. We found that the patient had 26 permanent teeth, with two congenitally missing lateral mandibular incisors, and there was some space with a small groove between his left first and second premolars. Panoramic radiography revealed the crown of his deciduous first molar lodged in the mandibular alveolar bone. Oral surgery to extract this tooth was performed under general anesthesia, with an additional aim of improving his oral hygiene. Additionally, a part of his extracted tooth was examined histopathologically, and was found to have no sign of ankylosis around its root. This case suggests that medical staff should pay attention to patients’ teeth in the hospital, especially because a tracheal tube has the potential to affect the teeth. This case also confirms the importance of dental treatment for people with special needs to improve their oral hygiene and quality of life.

INTRODUCTION

Eruptive problems are occasionally encountered in pediatric dentistry, and dentists need to choose the best treatment according to the specific condition condition (“Guideline on managing the developing dentition,” 2008-2009). One eruptive problem is a “submerged deciduous tooth”, whereby the affected tooth is located below the occlusal plane. Other terms that refer to a submerged tooth include “infraocclusal deciduous tooth”, “ankylosed deciduous tooth”, and “ankylosed infra-erupted deciduous tooth” (Darling & Levers, 1973; Ertuğrul, Tuncer, & Sezer, 2002; Kaihara, Ito, Amano, Miura, & Kozai, 2003; Naitoh, Ushida, Yoshida, Gotoh, Ariji, Izumi, & Arihi, 2003; Nagayama, Nakano, Yamaguchi, Fujita, Takashima, Takada, & Ooshima, 2012; Otsuka, Mitomi, Tomizawa, & Noda, 2001; Takeda & Yahata, 1982). These terms imply a possibility that the submerged tooth gives rise to complications, possibly by adhering to the alveolar bone. However, the cause and onset of this condition have yet to be elucidated.
This report focuses on the unusual case of a 17-year-old boy with special needs and with a severe case of a submerged tooth in his mandible that seemed to be induced by impaction.

CASE REPORT

Patient

The patient was a 17-year-old boy who was first referred to our hospital by his school dentist on February 20, 2016. His parents’ consent was obtained for the publication of this case, as well as approval from the Ethical Committee of the Nippon Dental University Hospital.

Medical History

The chief complaint mentioned in the referral letter from the patient’s school dentist was an edema-like condition between the first and second premolars on his mandible. His medical history, as obtained from his doctor and parents, included a sudden cerebral hemorrhage caused by a congenital left cerebral arteriovenous malformation (AVM) at 6 years and 3 months of age, when he collapsed and sustained an injury, which was followed by an emergency surgery. This led to hospitalization for 6 months. His parents reported that he lost most of his teeth because of this collapse; however, they did not confirm his oral condition at that time, since the treatment of his physical problems had been the priority. He had been healthy before the development of the AVM, and his family history was non-contributory.
He was diagnosed with the AVM sequela, and he also had epilepsy, right hemiplegia, and right dystonia, and was intellectually impaired.
At the time of his first visit to our hospital, he was taking the following medications: risperidone as an antipsychotic, clonazepam (Rivotril®) as an anti-anxiety drug, carbamazepine as an anti-epileptic drug, and trihexyphenidyl hydrochloride (Pakisonal®) for countering the adverse effects of the antipsychotic.

Dental History

The patient received regular checkups by a dentist with his parents. According to his parents, he was scared of visiting his family dentist because he lacked the ability to understand what was happening during these checkups. Therefore, he was not cooperative in dental situations and his family dentist could therefore not see his teeth in detail. However, his school dentist noticed his unusual dental condition during a dental checkup at the school, and suspected an edema-like condition on the left mandibular gum of his mouth. He was referred to our hospital for patients with special needs for a detailed examination and possible treatment.

Current Condition

When the patient visited our hospital, he had 26 of his permanent teeth intact, from the incisor to the second molar on both sides; his four wisdom teeth had not yet erupted, and both of his lateral mandibular incisors were congenitally missing. Because of proper daily tooth brushing by his parents, his oral health was good, with no new cavities or inflammation of the gums. A small groove in his gum on the left mandibular side of his mouth was noticed. The first and second permanent premolars were pushing against each other and overlapping this small groove in the gum; within the groove there was a white object, similar in appearance to a grain of rice.
However, no gingival cervical fluid was observed. The patient had an open bite and only bit down on the first and second molars, but some of the molars did not occlude. When he opened his mouth too wide, he experienced breathing difficulties.

Examination and Treatment

The patient was approximately 180 cm tall. He came supported by his parents on both sides of his arms because of his paralysis and dystonia; he could stand on his feet but remained unstable, preventing him from walking safely alone. He appeared to be scared to see us; however, his expression showed some relief when we spoke to him gently to try to win his confidence. Although he had an intellectual disability, it was clear that he could partially understand what we said, and asked us slowly whether or not the dental procedures we were going to perform would be painful. He did not struggle during the treatment; however, his dystonia appeared when he felt nervous and anxious, thus interrupting the treatment.
We performed panoramic tomography, with his father and a dentist holding his face and body firmly for stability (Figure 1). We performed this panoramic tomography as we suspected that the cause of his problem might be located deep in the alveolar bone, which would not be revealed by a dental X-ray. The X-ray image showed what looked like the crown of the first deciduous molar in his left mandibular alveolar bone. However, confirmation that it was a submerged first deciduous molar could not be obtained; in any case, it was hard tissue and not an edema.
On June 8, 2016, surgery was performed under general anesthesia because of his uncooperative behavior and lack of ability to understand our instructions. Before administering general anesthesia, confirmation from his doctor that he was medically fit for oral surgery was obtained. Information was provided that he had not recently had any attacks of epilepsy or cerebral hemorrhage.
The treatment was carried out under general anesthesia with the aim of improving his oral hygiene. Initial observation of his oral condition was carefully completed. Dental X-ray and intraoral images during the administration of analgesic were obtained before starting the surgery (Figure 2 and Figure 3). A local anesthetic, proparacaine hydrochloride/felypressin (Citanest-Octapressin Cartridge for Dental use®), was injected into the affected area. An incision was made around the area along the cervical region and the oral mucosa was removed, which revealed the concealed tooth. It was observed from the left buccal side, but it was considered to be partially ankylosed. Then, a part of the target tooth was histopathologically examined to determine if there was any sign of ankylosis around it. Eventually, the tooth was divided into parts for smooth extraction, and the incision was closed using absorbable sutures (Figure 4).

RESULTS

The oral surgery was successful in improving the patient’s oral hygiene, which resulted in a decreased risk of infection. The groove on his alveolar bone disappeared because of the extra space made by the extraction of the target tooth. However, his first and second premolars still leaned against the gum.
The histopathological analysis revealed some odontoclastic resorption cavities and absorption lines on the root of the extracted tooth, but there was no evidence of ankyloses (Figure 5).

DISCUSSION

The oral surgery was successful because of the detailed investigations into the possible causes of his condition. Indeed, radiography was used, and communication with the patient and interviews with his parents were conducted. It is often difficult to handle such patients because of their reduced ability to comprehend and cooperate with the operating surgeons. However, dentists need to make efforts to provide better treatment to patients with special needs; one should not give up before trying every possible treatment option.
This case raises several questions. First, what was the reason for delayed detection of the affected tooth? At first, almost all his teeth were assumed to be fractured. People with special needs have been shown to be vulnerable to dental trauma, and these injuries are often severe (Lim, Singh, Portnof, & Blumberg 2016; Miyake, Tsuchida, Meguro, Izumikawa, Tagashira, Kuzome, Takeyama, Miki, & Imagawa, 2012). Cerebral hemorrhage can lead to dental trauma by causing falls and consequent injury to the maxillofacial area. For example, Lim et al. (2016) showed that 73.3% of subjects (N = 156) had injuries that concomitantly led to maxillofacial trauma; most of these cases were caused by head-related injuries, such as an intracerebral hemorrhage. Maxillofacial fracture with tooth loss was the main injury. Miyake et al. showed that, in patients in a rehabilitation center who had experienced a fall or crash, 85 of 87 teeth (97.9%) that sustained injuries were anterior teeth (Miyake, et al., 2012). Thus, it is not clear whether or not our patient sustained injury to any of his posterior teeth, such as his deciduous first mandibular molar. However, his parents thought that he had normal deciduous teeth before the onset of the AVM. Therefore, he might have received injury to the target tooth from any direction. It is possible that his parents and doctors could not see the affected tooth in his mouth because it had already sunk down into the mandibular alveolar bone by the time his physical condition improved. Hence, his dental condition at the time of the hospitalization remains unclear.
The second question is how the affected tooth sank deep into the mandibular alveolar bone. The patient was hospitalized because of brain hemorrhage. During this period, an endotracheal tube was maintained on the left side of his mouth for three months. According to his mother, he bit down on the tube frequently, which could explain why his tooth sank into the mandibular alveolar bone. Importantly, endotracheal tubes do not typically cause submerged teeth. However, in this case, the target tooth may have already experienced dental trauma, such as subluxation or mandibular alveolar fracture, thereby providing unusual physiological conditions. Incidentally, Seow (1997) reported that, in preterm children, localized forces from laryngoscopy and endotracheal intubation may cause severe future dilacerations of the crown of deciduous teeth, as well as distortion of the palate. In this case, the extreme forces occurred when the patient was 6 years and 3 months old; thus, this was not a preterm case. However, this report indicates that continued use of a tracheal tube could provide sufficient localized force to affect teeth and bone. While some reports have suggested that eruptive disorders are caused by dental trauma (de Fátima Guedes de Amorim, Estrela & de Costa, 2011; Gurgel, Lourenço Neto, Kobayashi, Garib, Silva, Machado, & Oliveira, 2011; Sakai, Moretti, Oliveira, Silva, Abdo, Santos, & Machado, 2008), the process in our case seems to be different; moreover, dental trauma is usually observed in anterior teeth but, in this case, the affected tooth was posterior. Reported causes of eruptive disorders include congenital reasons, systemic diseases, a tumor or cyst, lack of space, inflammation, and dental trauma (Altun, Cehreli, Güven, & Acikel, 2009; Diab & ElBadrawy, 2000; Rhoads, Hendricks, & Fraziers-Bowers, 2013; Yawaka, Kaga, Osanai, Fukui, & Oguchi, 2002). It is not surprising that the patient developed this condition without his parents’ knowledge, because this happened when the patient was continuously under tracheal intubation, when it was difficult to confirm his oral condition.
The third question is how did his left first mandibular premolar come in? According to Yawaka et al. (2002), the successional tooth germ can be placed in a different position by chronic-inflammation-related apical periodontitis. The influence of root canal treatment or apical periodontitis on permanent dentition has also been reported (Holan, Topf, & Fuks, 1991). The patient also had a congenitally missing lateral incisor in his left mandible. It is hypothesized that the germ of his first premolar moved forward, avoiding the submerged tooth, and using some of the anterior space created by his congenitally missing lateral incisor.
The fourth question is how root resorption occurred. In this case, the target tooth showed root resorption on its root in spite of the left first mandibular premolar having erupted normally at a position different from its mesial side. Ooe (1968) has reported that germs of premolars were originally located on the lingual side of their predecessors, and they moved into a position between the roots of deciduous molars. However, this finding does not fit with our patient’s condition because of his age at the time of cerebral hemorrhage onset. Takeda and Yahata (1982) reported a case of submerged deciduous teeth with ankylosis, where it was considered that there was a process of root resorption without the involvement of odontoclasts. We could not find any odontoclasts on the dental root of the patient’s extracted tooth. However, we saw that some odontoclasts did exist, which may have caused the root resorption. Therefore, we suspect that the process of root resorption had already begun. By the time he was 6 years old, the root resorption may have already started, but could have stopped due to the disappearance of odontoclasts. In addition, his left deciduous first mandibular molar was sunk deep into his mandibular alveolar bone due to the destruction of the periodontal membrane around the dental root; as a result, it was difficult for the tooth to come in again.

CONCLUSIONS

This case report describes a patient with special needs had an impact-related, submerged deciduous first molar in his left mandibular alveolar bone, possibly caused by biting on a tracheal tube during a hospital stay for a cerebral hemorrhage in his childhood. He received dental treatment under general anesthesia, which led to an improvement in his oral hygiene. Some unusual observations were made in this case. It appeared that the target tooth had sunk into the alveolar bone because of the patient’s frequent biting down on a tracheal tube during hospitalization. It was indicated that his first premolar erupted while avoiding the submerged tooth, using the sufficient space available in the mandibular alveolar bone caused by the congenitally missing mandibular lateral incisor. According to the histopathological analysis performed, there were some odontoclast resorption cavities on the extracted tooth, but no ankylosis around its dental root. This case suggests that medical staff and dental staff should work together in order to detect patients’ problems at an early stage.

Acknowledgements

The authors would like to thank YAGISHITA Toshiro at the Department of Oral Diagnostic Pathology at the Nippon Dental University Hospital for his assistance with the histopathological analysis.

Conflicts of Interest

The authors declare no conflicts of interest associated with this manuscript.

References

  1. Altun, C.; Cehreli, Z. C.; Güven, G.; Acikel, C. Traumatic intrusion of primary teeth and its effects on the permanent successors: A clinical follow-up study. Oral Surgery, Oral Medicine, Oral Pathology, Oral Radiology, Endodontics 2009, 107, 493–498. [Google Scholar] [PubMed]
  2. Darling, A.I.; Levers, B.G.H. Submerged human deciduous molars and ankylosis. Archives of Oral Biology 1973, 18, 1021–1040. [Google Scholar] [CrossRef] [PubMed]
  3. de Fátima Guedes de Amorim, L.; Estrela, C.; de Costa, L. R. R. S. Effects of traumatic dental injuries to primary teeth on permanent teeth—A clinical follow-up study. Dental Traumatology 2011, 27, 117–121. [Google Scholar]
  4. Diab, M.; ElBadrawy, H. E. intrusion injuries of primary incisors. Part III: Effects on the permanent successors. Quintessence International 2000, 31, 377–384. [Google Scholar] [PubMed]
  5. Ertuğrul, F.; Tuncer, A. V.; Sezer, B. Infraclusion of primary molars: A review and report of a case. ASDC Journal of Dentistry for Children 2002, 69, 166–171. [Google Scholar] [PubMed]
  6. Guideline on management of the developing dentition and occlusion in pediatric dentistry. (2008–2009). American Academy on Pediatric Dentistry Clinical Affairs Committee-Developing Dentition Subcommittee: American Academy on Pediatric Dentistry Council on Clinical Affairs. Journal of Pediatric Dentistry 30, 184–195.
  7. Gurgel, C. V.; Lourenço Neto, N.; Kobayashi, T. Y.; Garib, D. G.; Silva, S. M. B. D.; Machado, M. A. D. A. M.; Oliveira, T. M. Management of a permanent tooth after trauma to deciduous predecessor: An evaluation by Cone-Beam Computed Tomography. Dental Traumatology 2011, 27, 408–412. [Google Scholar] [CrossRef] [PubMed]
  8. Holan, G.; Topf, J.; Fuks, A. B. Effect of root canal infection and treatment of traumatized primary incisors on their permanent successors. Endodontics and Dental Traumatology 1991, 8, 12–15. [Google Scholar] [CrossRef] [PubMed]
  9. Kaihara, Y.; Ito, N.; Amano, H.; Miura, K.; Kozai, K. A study on dentition and occlusion in children with infraocclusal lower first deciduous molars. The Japanese Journal of Pediatric Dentistry 2003, 41, 700–709, [In Japanese]. [Google Scholar]
  10. Lim, C. A.; Singh, Y. K.; Portnof, J. E.; Blumberg, S. M. Pediatric maxillofacial trauma: A review of 156 patients. Journal of Oral and Maxillofacial Surgery 2016, 74, 1420-e1. [Google Scholar]
  11. Miyake, M.; Tsuchida, K.; Meguro, K.; Izumikawa, Y.; Tagashira, S.; Kuzome, N.; Takeyama, A.; Miki, T.; Imagawa, N. Clinical investigation of dental trauma of disabled patients in Kagawa Rehabilitation Center. Journal of the Japanese Society for Disability and Oral Health 2012, 33, 659–664, [In Japanese]. [Google Scholar]
  12. Nagayama, K.; Nakano, K.; Yamaguchi, Y.; Fujita, K.; Takashima, Y.; Takada, A.; Ooshima, T. Application of Isolite system during treatment of dental caries identified in submerged mandibular second primary molar. Journal of Pediatric Dentistry 2012, 22, 78–83. [Google Scholar]
  13. Naitoh, M.; Ushida, M.; Yoshida, K.; Gotoh, M.; Ariji, Y.; Izumi, M.; Arihi, E. Radiographical observation of impacted deciduous teeth. Aichi-Gakuin Dental Science 2003, 16, 5–10, [In Japanese]. [Google Scholar]
  14. Ooe, T. Changes of positions of deciduous molar and premolar germs during development. Okajimas Folia Anatomica Japonica 1968, 44, 83–97. [Google Scholar] [CrossRef] [PubMed]
  15. Otsuka, Y.; Mitomi, T.; Tomizawa, M.; Noda, T. A review of clinical features in 13 cases of impacted primary teeth. International Journal of Paediatric Dentistry 2001, 11, 57–63. [Google Scholar] [CrossRef] [PubMed]
  16. Rhoads, S. G.; Hendricks, H. M.; Fraziers-Bowers, S. A. Establishing the diagnostic criteria for eruption disorders based on genetic and clinical data. American Journal of Orthodontics and Dentofacial Orthopedics 2013, 144, 194–202. [Google Scholar] [PubMed]
  17. Sakai, V. T.; Moretti, A. B.; Oliveira, T. M.; Silva, T. C.; Abdo, R. C. C.; Santos, C. F.; Machado, M. A. A. M. Replantation of an avulsed maxillary primary central incisor and management of dilaceration as a sequel on the permanent successor. Dental Traumatology 2008, 24, 569–573. [Google Scholar] [CrossRef] [PubMed]
  18. Takeda, Y.; Yahata, C. Histologic study of submerged deciduous teeth with marked ankylosis in a case of congenital missing permanent teeth. The Japanese Journal of Pediatric Dentistry 1982, 20, 264–270, [In Japanese]. [Google Scholar]
  19. Seow, W. K. Effects of preterm birth on oral growth and development. Australian Dental Journal 1997, 42, 85–91. [Google Scholar] [PubMed]
  20. Yawaka, Y.; Kaga, M.; Osanai, M.; Fukui, A.; Oguchi, H. Delayed eruption of premolars with periodontitis of primary predecessors and a cystic lesion: A case report. International Journal of Paediatric Dentistry 2002, 12, 53–60. [Google Scholar] [PubMed]
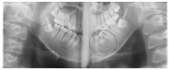
Figure 1. Panoramic X-ray image taken at the first visit to Nippon Dental University Hospital. This image revealed the presence of hard tissue between the first and second mandibular premolars (indicated by the circle).
Figure 1. Panoramic X-ray image taken at the first visit to Nippon Dental University Hospital. This image revealed the presence of hard tissue between the first and second mandibular premolars (indicated by the circle).
Ijom 43 00004 g001
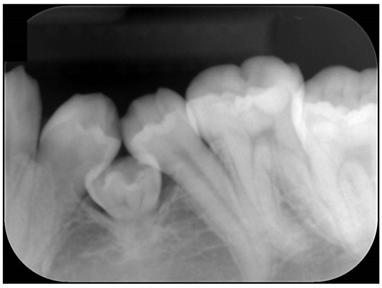
Figure 2. Dental X-ray image of the left mandibular region of the patient’s mouth, taken under general anesthesia. This revealed hard tissue between the first and second mandibular premolars, which was similar in shape to part of a tooth crown.
Figure 2. Dental X-ray image of the left mandibular region of the patient’s mouth, taken under general anesthesia. This revealed hard tissue between the first and second mandibular premolars, which was similar in shape to part of a tooth crown.
Ijom 43 00004 g002
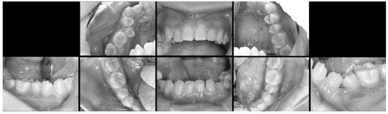
Figure 3. Intraoral images obtained under general anesthesia. These revealed two missing congenital lateral mandibular incisors.
Figure 3. Intraoral images obtained under general anesthesia. These revealed two missing congenital lateral mandibular incisors.
Ijom 43 00004 g003
Figure 4. Condition of the target tooth during oral surgery. The target tooth was visible after removal of the oral mucosa, and the tooth was divided into two parts and extracted.
Figure 4. Condition of the target tooth during oral surgery. The target tooth was visible after removal of the oral mucosa, and the tooth was divided into two parts and extracted.
Ijom 43 00004 g004
Figure 5. Histopathological analysis of the target tooth. The root of the extracted tooth had some odontoclastic resorption cavities and absorption lines.
Figure 5. Histopathological analysis of the target tooth. The root of the extracted tooth had some odontoclastic resorption cavities and absorption lines.
Ijom 43 00004 g005

Share and Cite

MDPI and ACS Style

Terumi, Y.; Ryo, K.; Yoshiki, S.; Yuki, M.; Yoshiaki, I.; Yoshimori, U. A Submerged Tooth Possibly Caused by Biting on a Tracheal Tube in Hospital Due to Cerebral Hemorrhage in Childhood. Int. J. Orofac. Myol. Myofunct. Ther. 2017, 43, 47-59. https://doi.org/10.52010/ijom.2017.43.1.4

AMA Style

Terumi Y, Ryo K, Yoshiki S, Yuki M, Yoshiaki I, Yoshimori U. A Submerged Tooth Possibly Caused by Biting on a Tracheal Tube in Hospital Due to Cerebral Hemorrhage in Childhood. International Journal of Orofacial Myology and Myofunctional Therapy. 2017; 43(1):47-59. https://doi.org/10.52010/ijom.2017.43.1.4

Chicago/Turabian Style

Terumi, Yamazaki, Kameoka Ryo, Shionoya Yoshiki, Matsuzaki Yuki, Ide Yoshiaki, and Uchikawa Yoshimori. 2017. "A Submerged Tooth Possibly Caused by Biting on a Tracheal Tube in Hospital Due to Cerebral Hemorrhage in Childhood" International Journal of Orofacial Myology and Myofunctional Therapy 43, no. 1: 47-59. https://doi.org/10.52010/ijom.2017.43.1.4

APA Style

Terumi, Y., Ryo, K., Yoshiki, S., Yuki, M., Yoshiaki, I., & Yoshimori, U. (2017). A Submerged Tooth Possibly Caused by Biting on a Tracheal Tube in Hospital Due to Cerebral Hemorrhage in Childhood. International Journal of Orofacial Myology and Myofunctional Therapy, 43(1), 47-59. https://doi.org/10.52010/ijom.2017.43.1.4

Article Metrics

Back to TopTop