Abstract
Incorrectly produced speech sounds, the presence of dentofacial alterations and acquired functional adaptations may be due to a short and inadequate lingual frenum. When frenectomy is indicated, it should be performed as early as possible to prevent functional alterations. This study presents a literature review on correct lingual positioning in relation to orthodontic and phonetic function as well as an assessment of 15 patients who underwent frenectomy utilizing the carbon dioxide laser. The results demonstrated that this technique is safe, effective and perfect for use in young children and can be performed in an outpatient unit.
INTRODUCTION
The term ankyloglossia (‘tongue tie’) is used to describe a short lingual frenum with a limited range of movement, which may cause phonetic disorders (Minsk, 2002; Notestine, 1990), localized periodontal disorders, as well as pain and/or difficulty during mastication. Abnormal lingual pressure is also the cause of secondary malocclusion as described by authors Defabianis (2000) and Andersen (1963).
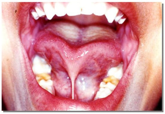
Clinically, when the lingual frenum is short, the tongue has a ‘V’ notch when elevated or stretched outside the buccal cavity and only the lateral part of the tongue has some mobility. Figure 1 demonstrates the clinical aspect of this condition.
An abnormal lingual frenum interferes in the resting position of the tongue in relation to the superior arch, as well as, in its physiological mobility. An abnormal lingual frenum may affect the following orofacial functions: speech; swallowing; mastication and respiration. This structural alteration induces functional adaptations in the individual that, in turn, will affect the development and functioning of originally normal structures (Sanchez – Ruiz, et al., 1999).
When functional adaptations occur during craniofacial growth and development, dentofacial alterations are also observed because the irregular position of the tongue may cause the child to acquire an open mouth position which will lead to buccal respiration. Adapted swallowing may also be observed in individuals with a short lingual frenum, since the correct form of physiological functioning is not possible (Bertolini, 1998).
Complaints related to breastfeeding difficulties are common. In some severe cases, mothers are unable to breastfeed their babies. In these cases, the short frenum interferes in the sucking movement, a very important factor in child’s development (Minsk, 2002).
Taking into consideration all the above described complications, the surgical treatment and ankyloglossia rehabilitation should be effective and performed as early as possible, to prevent the occurrence of functional adaptations and secondary complications. This is a complex and multidisciplinary phase that involves dentistry, otolaryngology and speech therapy.
The surgical treatment, called frenectomy, is considered simple and can be performed with a cold or electrical scalpel. It involves normal risks of a small surgery performed under local anesthesia, such as pain during anesthesia infiltration, bleeding, edema and a risk of infection due to tissue manipulation and suturing. The fact that the lingual frenum is in a very sensitive area, which is close to noble anatomic structures such as important blood vessels and sublingual caruncles, should be highlighted. The postoperative period is rather difficult due to tissue manipulation and the need for suturing, which besides being painful and uncomfortable interferes in mastication and speech. Very often, patients who have undergone frenectomy present significant edema and sometimes hematomas in the operated region that require anti-inflammatory medication and analgesics (Fiorotti, 2000).
A large majority of the patients are young children. These disadvantages are often contraindicative and the preventive treatment is postponed, which may lead to the development of functional adaptations and secondary complications.
OBJECTIVE
The purpose of this study was to assess the efficiency and safety of the proposed surgery technique using the carbon dioxide laser. The clinical results, and the possible benefits of this surgery for complete patient rehabilitation, have also been studied.
MATERIALS AND METHODS
The study sample consisted of fifteen patients of both sexes. Their ages ranged from two years to fifteen years. All patients underwent triage at the Otolaryngology-Laser Outpatient Unit, Hospital das Clínicas, UNICAMP.
The clinical histories of the patients were investigated using a questionnaire regarding the child’s general health and possible alterations caused by the short lingual frenum such as: type of respiration; difficulties in speech sounds; damaging oromyofunctional habits (thumb sucking, pacifier sucking), inadequate postural habits or discomfort during feeding. The physical examination included verification of the stage of the dentition; presence of dentofacial alterations; anadontia and quality of hygiene. An inspection of the soft tissues, facial muscle tonicity and sealing capacity of the lips concluded the assessment. All the patients were photographed before and after the surgery for documentary evidence.
Equipment: A SHARPLAN 40C® CO2 Laser was coupled to an articulated arm with a scanner device called “Swiftlase”. A smoke evacuator was used. The operator as well as the assistant wore protective glasses.
Technique: Before initiating the surgery, the patient was emotionally prepared by being provided with simple information regarding: the anesthesia and its effects, the duration of the surgery etc. The patients’ eyes were then protected with saline soaked gauze fixed with micropore tape and the surgery was performed in the following manner:
Step 1 - The buccal floor and carunculous were protected with saline soaked gauze rolls. The area was topically pre- anesthetized with 10% Lidocaine spray and then approximately 1.8ml of anesthetic solution (2% lidocaine without a vasoconstrictor) was injected into the mobile portion of the frenum, near the tip, of the tongue and into the fixed portion in the lingual region of the inferior incisors. The solution was always introduced slowly so that discomfort and edema was minimum, and also the original shape of the frenum was preserved, avoiding a larger incision.
Step 2 - The CO2 laser, which was coupled to an articulated arm and hand piece, was focused to a spot size of 2mm diameter and applied continuously with a potency of 6 W with the Swiftlase switched on, so delivering an Intensity of 191 W/cm2.
Step 3 - The laser was applied perpendicular to the lingual frenum so that it was sectioned in the shape of a lozenge. Subsequently, the edges were vaporized with the same potency to obtain a better contour. The surgeon stretched the tongue upwards during the application so that the depth of incision could be controlled and the procedure facilitated as shown in Photographs 02 and 03.
Step 4 - Once the frenum was freed (photographs 05 and 08), the parents or guardians of the patients were given instructions regarding postoperative care on diet and hygiene. Hot, acidic and solid foods were suspended for the first 24 hours. The only medication prescribed was analgesics that were taken, only if needed. The patient was instructed to move the tongue as much as possible in order to avoid coaptation of the sides as well as undesired adhesions since healing is developed by second intention. Buccal hygiene was stimulated and performed normally, with special care being taken with the operated area.
RESULTS
Table 1 demonstrates the distribution of the anamnesis data. In addition the main results obtained by the fifteen patients who underwent frenectomy using the carbon dioxide laser are also included.
Fifteen days after the surgery, the operated site in all the patients presented the same clinical status with a small whitened area around the incision, which is normal. Photograph 06 illustrates the clinical aspect of a patient in this condition.
DISCUSSION
The carbon dioxide laser beam is extremely well absorbed by water and since the major component of biological tissues is water (up to 70%), it is highly effective and applicable in tissue resection and incision. The fibrous cord is completely vaporized with great precision and visibility as the laser offers good hemostasis, coagulating the fine blood vessels. Since the laser is a beam of light, there is no mechanical contact with the surgical wound and hence no risk of contamination. The absence of bleeding and a minimum amount of tissue manipulation because no suturing is needed, lead to better postoperative results with the minimum need of symptomatic medication (Nicola et al., 1994; Bullock, 1995).
The healing time was observed to be similar in both cases, the conventional and laser techniques. As healing with the carbon dioxide laser is by second intention, a delay was observed in the first week when compared with the cold scalpel technique (Nicola et al., 1994). This fact, however, does not affect the final result. The white area observed during 15 postoperative days is due to the remains of the fibrin network formed 24 hours after the surgery and is responsible for the healing process. Some studies declare that this coloration during the first days is due to thermal damage caused by the laser, even though no necrosis occurs (Bullock, 1995). Complete healing takes place in three weeks.
When treatment was completed, the patients, including those with speech disorders, were referred for speech therapy. According to Defabianis (2000) and others, the tongue plays an important role in dentofacial structures and therefore, the correct position of the tongue should be reacquired.
In this study, patients who had undergone adequate speech therapy prior to the surgery, presented greater control and motor capacity of the tongue immediately after frenectomy as shown in photographs 07 and 08. Speech therapy had improved oral motricity but the short frenum did not permit much progress.
Patients, who had not undergone speech therapy before the frenectomy, were not able to move the tongue, even though it was free and had the capacity for movements with greater amplitude. This was due to the lack of oral motricity training. This example was demonstrated in Figure 4 and Figure 5. Therefore, some patients who have undergone frenectomy do not demonstrate functional modifications until they undergo adequate speech therapy treatment.
Figure 1.
Clinical aspect of ankyloglossia.
Figure 2.
Frenectomy procedure assisted by CO2 laser.
Figure 3.
Frenectomy procedure assisted by CO2 laser.
Figure 4.
Lingual frenum before surgery. Note the difficulty during tongue elevation.
Figure 5.
Post operatice aspect. Note the lingual liberation obtained without suture or bleeding.
Figure 6.
Clinical aspect 15 days after surgery.
Figure 7.
Preoperative aspect of patient undergoing speech therapy for 1 year.
Figure 8.
The same patient immediately after surgery Note the capacity to elevate the tongue.
Figure 9.
Maximum tongue protrusion. Note the “V” notch at the anterior region.
Figure 10.
Tongue exteriorization of the same child 15 days after surgery. Note the regular aspect of the tongue without the “V” notch.
Table 1.

The surgery is able to structurally modify the mobility of the tongue but its correct position and function are only acquired with complete rehabilitation treatment, which includes speech therapy and, in some cases, even orthodontics.
CONCLUSION
The use of carbon dioxide laser in the above lingual frenectomy surgeries demonstrated highly satisfactory results. The treatment, which is quick, safe and effective, offers the patient and surgeon an excellent option for surgically treating ankyloglossia, particularly in young children.
About the Authors:
Renata C. Fiorotti: Dental Surgeon; Master in Biomedical Sciences, doctorate student of the Postgraduate Course in Biomedical Sciences – School of Medical Sciences – State University of Campinas (UNICAMP), SP, Brazil.
Milene M. Bertolini:Speech Therapist, Master in Neurosciences, doctorate student of the Postgraduate Course in Biomedical Sciences – School of Medical Sciences – State University of Campinas (UNICAMP), SP, Brazil.
Jorge H. Nicola: Physicist, PhD, Professor of the Physics Institute Gleb Wataghin (retired) and Professor of the Postgraduate course in Biomedical Sciences – School of Medical Sciences – State University of Campinas (UNICAMP), SP, Brazil.
Ester M. D. Nicola: Otorhinolaryngologist, MD, PhD, Professor of the ENT Department, School of Medical Sciences – State University of Campinas (UNICAMP). Coordinator of the Multidisciplinary Center of Laser Medicine, Hospital of Clinics – UNICAMP, SP, Brazil
Acknowledgments
The authors thank to FAEP/FCM – UNICAMP for supporting this research. One of the authors (RCF) thank to CAPES, Brazil, for Postgraduate Scholarship.
References
- Andersen, W. S. 1963. The relationship of the tongue thrust syndrome to maturation and other factors. American Journal Orthodontics 49, 4: 264–75. [Google Scholar] [CrossRef]
- Bertolini, M. M. 1998. Prevalência da deglutição adaptada numa População de Escolares. Master thesis, performed at the Department of Otolaryngology – School of Medical Sciences - State University of Campinas - UNICAMP, Brazil. [Google Scholar]
- Bullock, N., Jr. 1995. The Use of CO2 Laser for Lingual Frenectomy and Excisional Biopsy. Compendium Continue Education 16, 11: 1118-20, 1122–23. [Google Scholar]
- Defabianis, P. 2000. Ankiloglossia and its influence on maxillary and mandibular development (A seven year follow-up case report). Functional Orthodontics 17, 4: 25–33. [Google Scholar]
- Fiorotti, R. C., N. P. Cassitas, B. S. Bellini, D. H. Baldin, and E. M. D. Nicola. 2000. Use of CO2 laser in lingual and labial frenectomy. In: Lasers in Dentistry VI. Proceedings of Spie, vol. 3910, 117–23. [Google Scholar]
- Minsk, L. 2002. The frenectomy as an adjunct to periodontal treatment. Compendium Continue Educcation Dentistry 23, 5: 424–6,428. [Google Scholar]
- Nicola, E. M. D., E. M. Abreu, R. J. Gusmão, and A. A. Coutinho. 1994. Comparative study between conventional surgery and CO2 laser surgery in gingival hyperplasia. In: Laser Surgery: Advanced Characterization, Therapeutics and Systems IV. Proceedings of Spie, vol. 2128, 386–8. [Google Scholar]
- Notestine, G. 1990. The importance of the identification of Ankiloglossia (short lingual frenulum) as a cause of breastfeeding problems. Journal of Human Lactation 6: 113–15. [Google Scholar] [CrossRef] [PubMed]
- Sanchez-Ruiz, I., and et al. 1999. section of the sublingual frenulum. Are the indications correct? Cirurgical Pediatric 12, 4: 461–4. [Google Scholar]
Disclaimer/Publisher’s Note: The statements, opinions and data contained in all publications are solely those of the individual author(s) and contributor(s) and not of MDPI and/or the editor(s). MDPI and/or the editor(s) disclaim responsibility for any injury to people or property resulting from any ideas, methods, instructions or products referred to in the content. |
© 2004 by the author. 2004 Fiorotti, R.C., Bertolini, M.M., Nicola, J.H., Nicola, E.M.D.