The HEARRT-C Score: Is Aspirin Protective in COVID-19 Patients? A Single-Centre Retrospective Study
Abstract
1. Introduction
2. Materials and Methods
2.1. Patients
2.2. Data Analysis
3. Results
4. Discussion
Limitations
5. Conclusions
Author Contributions
Funding
Institutional Review Board Statement
Informed Consent Statement
Data Availability Statement
Conflicts of Interest
References
- World Health Organization Page. Available online: https://data.who.int/dashboards/covid19/cases (accessed on 18 August 2024).
- Pranata, R.; Huang, I.; Lim, M.A.; Wahjoepramono, E.J.; July, J. Impact of cerebrovascular and cardiovascular diseases on mortality and severity of COVID-19: Systematic review, meta-analysis, and meta-regression. J. Stroke Cerebrovasc. Dis. 2020, 29, 104949. [Google Scholar] [CrossRef]
- Dillinger, J.G.; Benmessaoud, F.A.; Pezel, T.; Voicu, S.; Sideris, G.; Chergui, N.; Hamzi, L.; Chauvin, A.; Leroy, P.; Gautier, J.F.; et al. Coronary artery calcification and complications in patients with COVID-19. JACC Cardiovasc. Imaging 2020, 13, 2468–2470. [Google Scholar] [CrossRef] [PubMed]
- Fervers, P.; Kottlors, J.; Zopfs, D.; Bremm, J.; Maintz, D.; Safarov, O.; Tritt, S.; Abdullayev, N.; Persigehl, T. Calcification of the thoracic aorta on low-dose chest CT predicts severe COVID-19. PLoS ONE 2020, 15, e0244267. [Google Scholar] [CrossRef] [PubMed]
- Mehta, R.; Bello-Chavolla, O.Y.; Mancillas-Adame, L.; Rodriguez-Flores, M.; Pedraza, N.R.; Encinas, B.R.; Carrión, C.I.P.; Ávila, M.I.J.; Valladares-García, J.C.; Vanegas-Cedillo, P.E.; et al. Epicardial adipose tissue thickness is associated with increased COVID-19 severity and mortality. Int. J. Obesity 2022, 46, 866–873. [Google Scholar] [CrossRef] [PubMed]
- Wibowo, A.; Pranata, R.; Akbar, M.R.; Purnomowati, A.; Martha, J.W. Prognostic performance of troponin in COVID-19: A diagnostic meta-analysis and meta-regression. Int. J. Infect. Dis. 2021, 105, 312–318. [Google Scholar] [CrossRef]
- World Health Organization Situation Reports. Available online: https://www.who.int/emergencies/diseases/novel-coronavirus-2019/situation-reports (accessed on 18 August 2024).
- Aydın, H.; Doğan, H.; Erdoğan, M.Ö. Comparison of COVID-GRAM, 4C Mortality, qSOFA, SIRS, NEWS, and MEWS in Predicting Mortality in COVID-19. Med. J. Bakirkoy 2023, 19, 111–118. [Google Scholar] [CrossRef]
- Shang, Y.; Liu, T.; Wei, Y.; Li, J.; Shao, L.; Liu, M.; Zhang, Y.; Zhao, Z.; Xu, H.; Peng, Z.; et al. Scoring systems for predicting mortality for severe patients with COVID-19. eClinicalMedicine 2020, 24, 100426. [Google Scholar] [CrossRef]
- Bae, S.; Kim, Y.; Hwang, S.; Kwon, K.T.; Chang, H.H.; Kim, S.W. New Scoring System for Predicting Mortality in Patients with COVID-19. Yonsei Med. J. 2021, 62, 806–813. [Google Scholar] [CrossRef] [PubMed]
- Prokop, M.; Van Everdingen, W.; van Rees Vellinga, T.; Quarles van Ufford, H.; Stöger, L.; Beenen, L.; Geurts, B.; Gietema, H.; Krdzalic, J.; Schaefer-Prokop, C.; et al. CO-RADS: A categorical CT assessment scheme for patients suspected of having COVID-19—Definition and evaluation. Radiology 2020, 296, E97–E104. [Google Scholar] [CrossRef] [PubMed]
- Shemesh, J.; Henschke, C.I.; Shaham, D.; Yip, R.; Farooqi, A.O.; Cham, M.D.; McCauley, D.I.; Chen, M.; Smith, J.P.; Libby, D.M.; et al. Ordinal scoring of coronary artery calcifications on low-dose CT scans of the chest is predictive of death from cardiovascular disease. Radiology 2010, 257, 541–548. [Google Scholar] [CrossRef] [PubMed]
- Coppens, M.; Eikelboom, J.W.; Hart, R.G.; Yusuf, S.; Lip, G.Y.; Dorian, P.; Shestakovska, O.; Connolly, S.J. The CHA2DS2-VASc score identifies those patients with atrial fibrillation and a CHADS2 score of 1 who are unlikely to benefit from oral anticoagulant therapy. Eur. Heart J. 2013, 34, 170–176. [Google Scholar] [CrossRef]
- Pisters, R.; Lane, D.A.; Nieuwlaat, R.; de Vos, C.B.; Crijns, H.J.; Lip, G.Y. A novel user-friendly score (HAS-BLED) to assess 1-year risk of major bleeding in patients with atrial fibrillation: The Euro Heart Survey. Chest 2010, 138, 1093–1100. [Google Scholar] [CrossRef]
- Reddy, Y.N.V.; Carter, R.E.; Obokata, M.; Redfield, M.M.; Borlaug, B.A. A simple, evidence-based approach to help guide diagnosis of heart failure with preserved ejection fraction. Circulation 2018, 138, 861–870. [Google Scholar] [CrossRef] [PubMed]
- Zhu, J.; Dong, Y.; Liao, P.; Yin, X.; He, J.; Guo, L. Prognostic value of hemoglobin in patients with sepsis: A systematic review and meta-analysis. Heart Lung 2024, 64, 93–99. [Google Scholar] [CrossRef]
- Lee, H.-Y.; Lim, S.; Park, S. Role of inflammation in arterial calcification. Korean Circ. J. 2021, 51, 114–125. [Google Scholar] [CrossRef]
- Cereda, A.; Allievi, L.; Palmisano, A.; Tumminello, G.; Barbieri, L.; Mangieri, A.; Laricchia, A.; Khokhar, A.; Giannini, F.; Toselli, M.; et al. Systematic review and meta-analysis on coronary calcifications in COVID-19. Emerg. Radiol. 2022, 29, 631–643. [Google Scholar] [CrossRef]
- Gong, J.; Sun, Y.; Xie, L. ACEI/ARB drug therapy in COVID-19 patients: Yes or no? J. Transl. Internal Med. 2021, 9, 8–11. [Google Scholar] [CrossRef] [PubMed]
- Perrone, M.A.; Spolaore, F.; Ammirabile, M.; Romeo, F.; Caciagli, P.; Ceriotti, F.; Bernardini, S. The assessment of high sensitivity cardiac troponin in patients with COVID-19: A multicenter study. IJC Heart Vasc. 2021, 32, 100715. [Google Scholar] [CrossRef]
- Merzon, E.; Green, I.; Vinker, S.; Golan-Cohen, A.; Gorohovski, A.; Avramovich, E.; Frenkel-Morgenstern, M.; Magen, E. The use of aspirin for primary prevention of cardiovascular disease is associated with a lower likelihood of COVID-19 infection. FEBS J. 2021, 288, 6010–6020. [Google Scholar] [CrossRef]
- Rögnvaldsson, K.G.; Bjarnason, A.; Kristinsson, K.; Bragason, H.T.; Erlendsdóttir, H.; Þorgeirsson, G.; Gottfreðsson, M. Acetylsalicylic acid use is associated with improved survival in bacteremic pneumococcal pneumonia: A long-term nationwide study. J. Internal Med. 2022, 292, 321–332. [Google Scholar] [CrossRef] [PubMed]
- Wijaya, I.; Andhika, R.; Huang, I.; Purwiga, A.; Budiman, K.Y. The effects of aspirin on the outcome of COVID-19: A systematic review and meta-analysis. Clin. Epidemiol. Global Health 2021, 12, 100883. [Google Scholar] [CrossRef] [PubMed]
- Roguljić, H.; Arambašić, J.; Ninčević, V.; Kuna, L.; Šesto, I.; Tabll, A.; Smolić, R.; Včev, A.; Primorac, D.; Wu, G.Y.; et al. The role of direct oral anticoagulants in the era of COVID-19: Are antiviral therapy and pharmacogenetics limiting factors? Croat. Med. J. 2022, 63, 287–294. [Google Scholar] [CrossRef] [PubMed]
- Aboul-Fotouh, S.; Mahmoud, A.N.; Elnahas, E.M.; Habib, M.Z.; Abdelraouf, S.M. What are the current anti-COVID-19 drugs? From traditional to smart molecular mechanisms. Virol. J. 2023, 20, 241. [Google Scholar] [CrossRef] [PubMed]







| Demographical and Clinical Data | |
|---|---|
| Age, years | 63 ± 16 | 
| BMI, kg/m2 | 32.2 ± 11.3 | 
| Sex, female, n (%) | 135 (%41.5) | 
| HT, n (%) | 192 (%59.1) | 
| DM, n (%) | 101 (%31.1) | 
| CKD, n (%) | 66 (%20.3) | 
| COPD, n (%) | 44 (%13.5) | 
| HL, n (%) | 51 (%15.7) | 
| Malignancy, n (%) | 45 (%13.8) | 
| CVE, n (%) | 35 (%10.7) | 
| Smoking, n (%) | 148 (%45.5) | 
| CAD, n (%) | 43 (%13.2) | 
| ECG, SR, n (%) | 277 (%85.2) | 
| Heart rate > 100 bpm, n (%) | 86 (%26.5) | 
| ASA users, n (%) | 56 (%17.2) | 
| P2Y12 inhibitor users, n (%) | 22 (%6.8) | 
| OAC users, n (%) | 22 (%6.8) | 
| LMWH users, n (%) | 42 (%12.9) | 
| ACEI users, n (%) | 31 (%9.5) | 
| ARB users, n (%) | 25 (%7.7) | 
| BB users, n (%) | 58 (%17.8) | 
| CCB users, n (%) | 29 (%8.9) | 
| Statin users, n (%) | 45 (%13.8) | 
| Anti-anginal users, n (%) | 8 (%2.5) | 
| MRA users, n (%) | 10 (%3) | 
| Loop diuretic users, n (%) | 34 (%10.5) | 
| SGLT-2 inhibitor users, n (%) | 12 (%3.7) | 
| Dead n: 104 | Survived n: 221 | p Value | |
|---|---|---|---|
| Age, years | 70.9 ± 12.2 | 57.5 ± 14.3 | 0.005 | 
| BMI, kg/m2 | 24.5 ± 12.0 | 32.7 ± 11.1 | 0.027 | 
| Sex, female, n (%) | 39 (37.5) | 96 (44.4) | 0.31 | 
| HT, n (%) | 72 (69) | 120 (55) | 0.011 | 
| DM, n (%) | 35 (34) | 66 (30) | 0.49 | 
| CKD, n (%) | 39 (37.5) | 27 (12) | <0.001 | 
| COPD, n (%) | 16 (15.4) | 28(12.6) | 0.50 | 
| HL, n (%) | 15(14.4) | 36 (16) | 0.66 | 
| Smoking, n (%) | 52 (50) | 96 (43.4) | 0.26 | 
| Malignancy, n (%) | 29 (27.8) | 16 (7.2) | <0.001 | 
| CVE, n (%) | 17 (16.3) | 18 (8) | 0.048 | 
| CAD, n (%) | 20 (19) | 23(10.4) | 0.029 | 
| ECG, non-SR, n (%) | 26 (25) | 23(10.4) | 0.001 | 
| Heart Rate > 100 bpm, n (%) | 49 (47) | 37(16.7) | <0.001 | 
| Saturation, % | 89 (85–92) | 94 (92–96) | <0.001 | 
| ICU need, n (%) | 72 (69) | 12 (5.4) | <0.001 | 
| ASA users, n (%) | 4 (3.8) | 52 (23.5) | <0.001 | 
| P2Y12 inhibitor users, n (%) | 3 (2.8) | 19(8.5) | 0.056 | 
| OAC users, n (%) | 4(3.8) | 18(8) | 0.150 | 
| LMWH users, n (%) | 7(6.7) | 35 (15.8) | 0.022 | 
| ACE-I users, n (%) | 2(1.9) | 29 (13) | 0.001 | 
| ARB users, n (%) | 0 (0) | 25(11.3) | <0.001 | 
| BB users, n (%) | 7 (6.7) | 51 (23) | <0.001 | 
| CCB users, n (%) | 3(2.8) | 26 (12) | 0.009 | 
| Statin users, n (%) | 4(3.8) | 41 (18.5) | <0.001 | 
| Anti-anginal users, n (%) | 1(0.96) | 7 (0.03) | 0.231 | 
| MRA users, n (%) | 1(0.96) | 7 (0.03) | 0.231 | 
| Loop diuretic users, n (%) | 10 (9.6) | 24 (11) | 0.732 | 
| Sglt-2-i users, n (%) | 2 (1.9) | 10 (0.05) | 0.246 | 
| Hb g/dL | 10.7 ± 2.1 | 12.6 ± 2 | <0.001 | 
| TC, mg/dL | 167 ± 70 | 199 ± 50 | 0.001 | 
| HDL, mg/dL | 40.6 ± 14.7 | 50.6 ± 17 | <0.001 | 
| LDL, mg/dL | 98 ± 47 | 118 ± 39.6 | 0.004 | 
| TG, mg/dL | 111 (85–165) | 117 (89–192) | 0.343 | 
| WBC, 103/µL | 10 (5.4–10.8) | 6.4(4.6–8.8) | <0.001 | 
| Lymphocyte, 103/µL, n (%) | 7.1 (3.2–12.5) | 15.1 (8.5–24.7) | <0.001 | 
| Creatine, mg/dL | 1.3 (0.8–2.4) | 0.8 (0.6–1) | <0.001 | 
| AST, µ/L | 45 (27–72) | 34 (24–59) | 0.003 | 
| ALT, µ/L | 26 (15–41) | 29(18–49) | 0.176 | 
| LDH, µ/L | 449 (335–592) | 297 (229–413) | <0.001 | 
| Ferritin, mL/n | 637 (273–1355) | 276 (131–550) | <0.001 | 
| Hs-T (on admission), ng/L | 21.5 (10–59) | 5.6 (5.6–10) | <0.001 | 
| Hs-T (peak), ng/L | 139 (38–629) | 8 (5.6–19.5) | <0.001 | 
| Dead n: 104 | Survived n: 221 | p Value | |
|---|---|---|---|
| Thorax CT-CORADS 4–5, n (%) | 89 (%85.5) | 156 (%70.5) | 0.003 | 
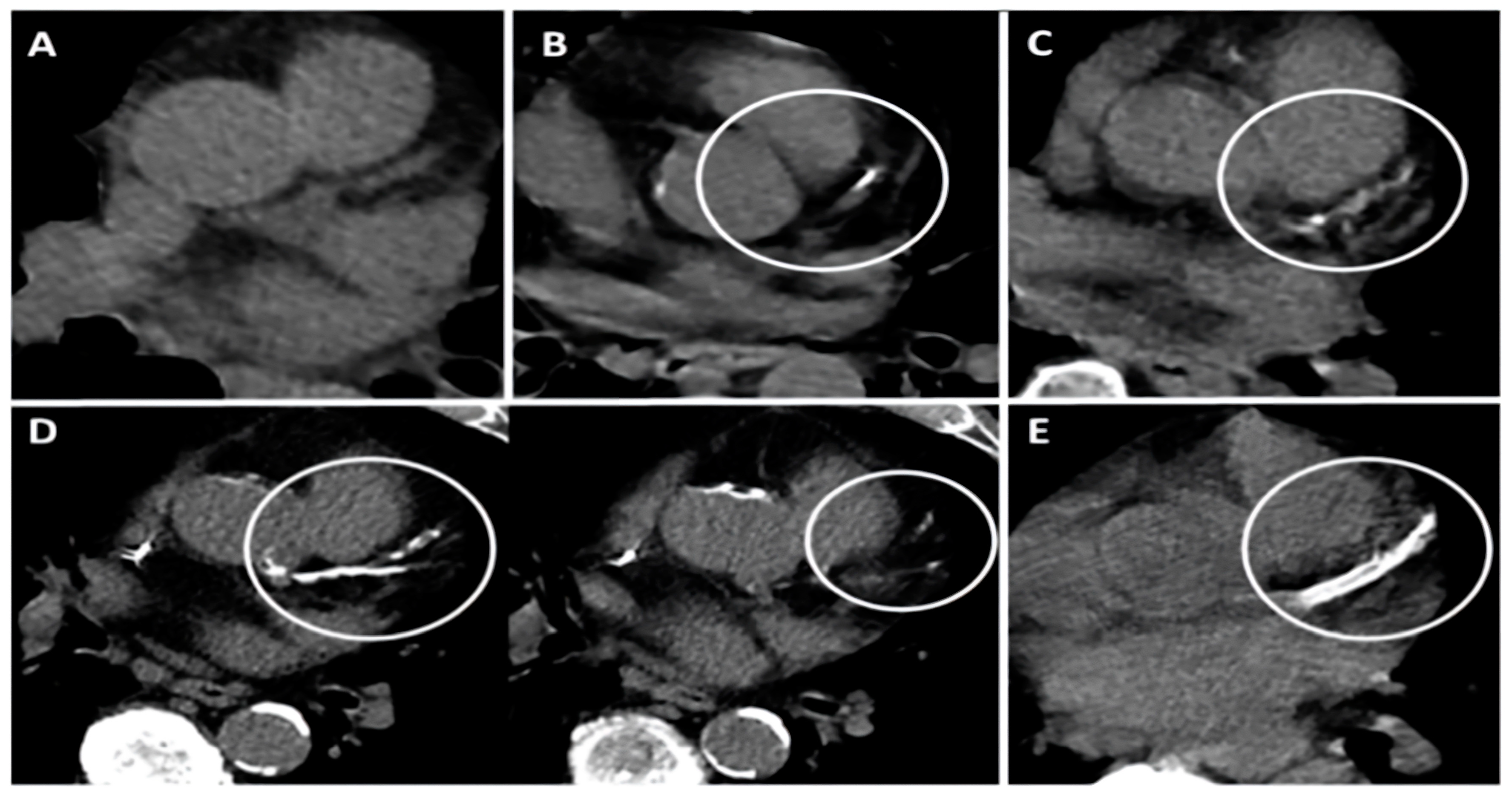
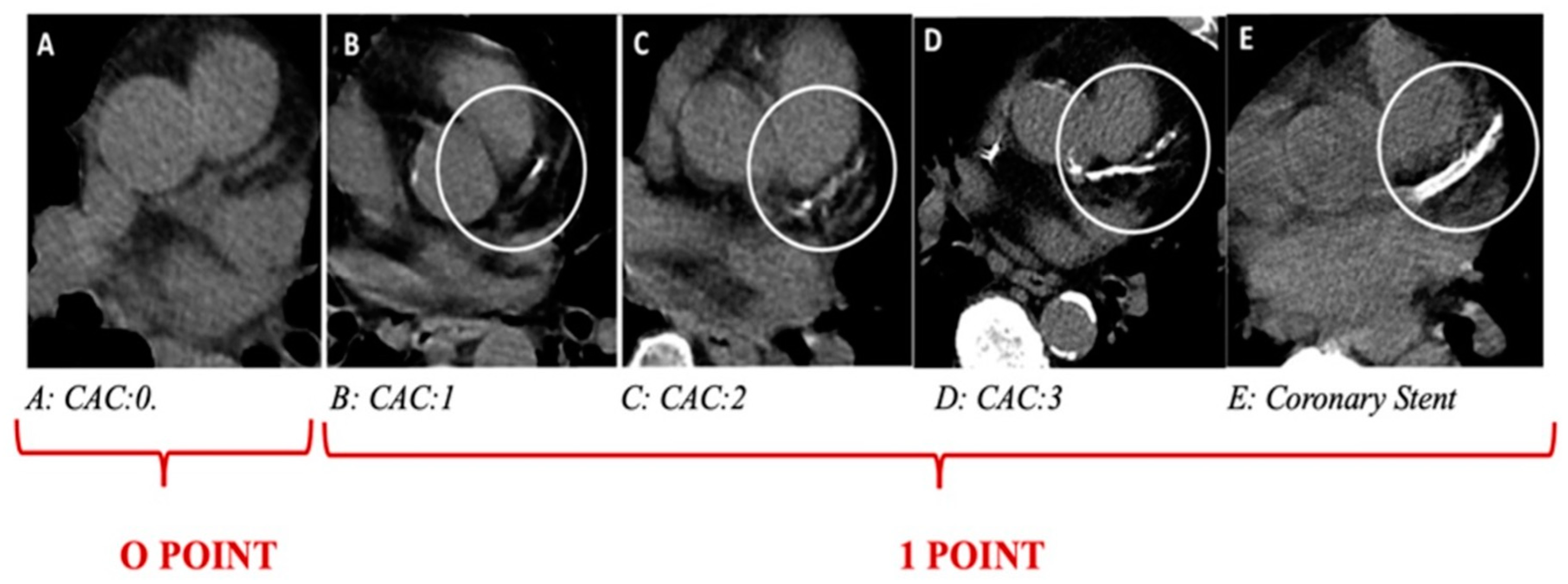
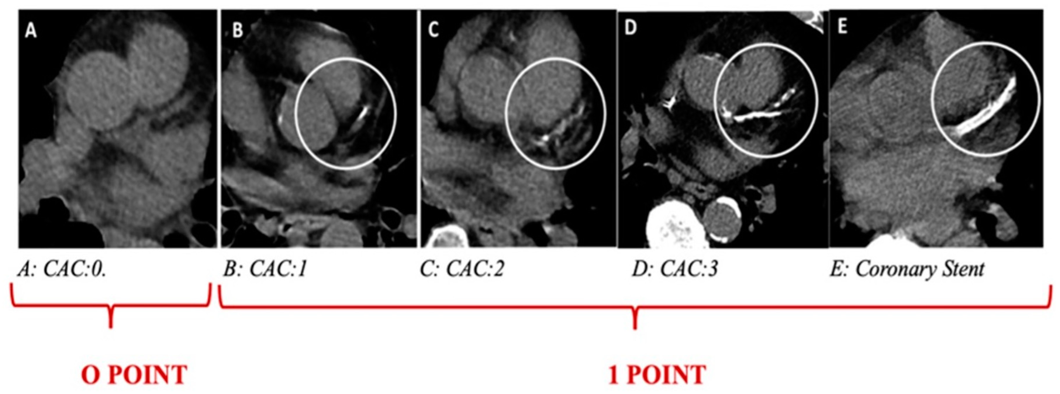
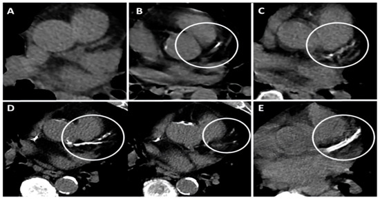
| Thorax CT-CACS | 3.5 (1–6.7) | 0 (0–3) | <0.001 | 
| Thorax CT-CACS +, n (%) | 84 (%81) | 100 (%45) | <0.001 | 
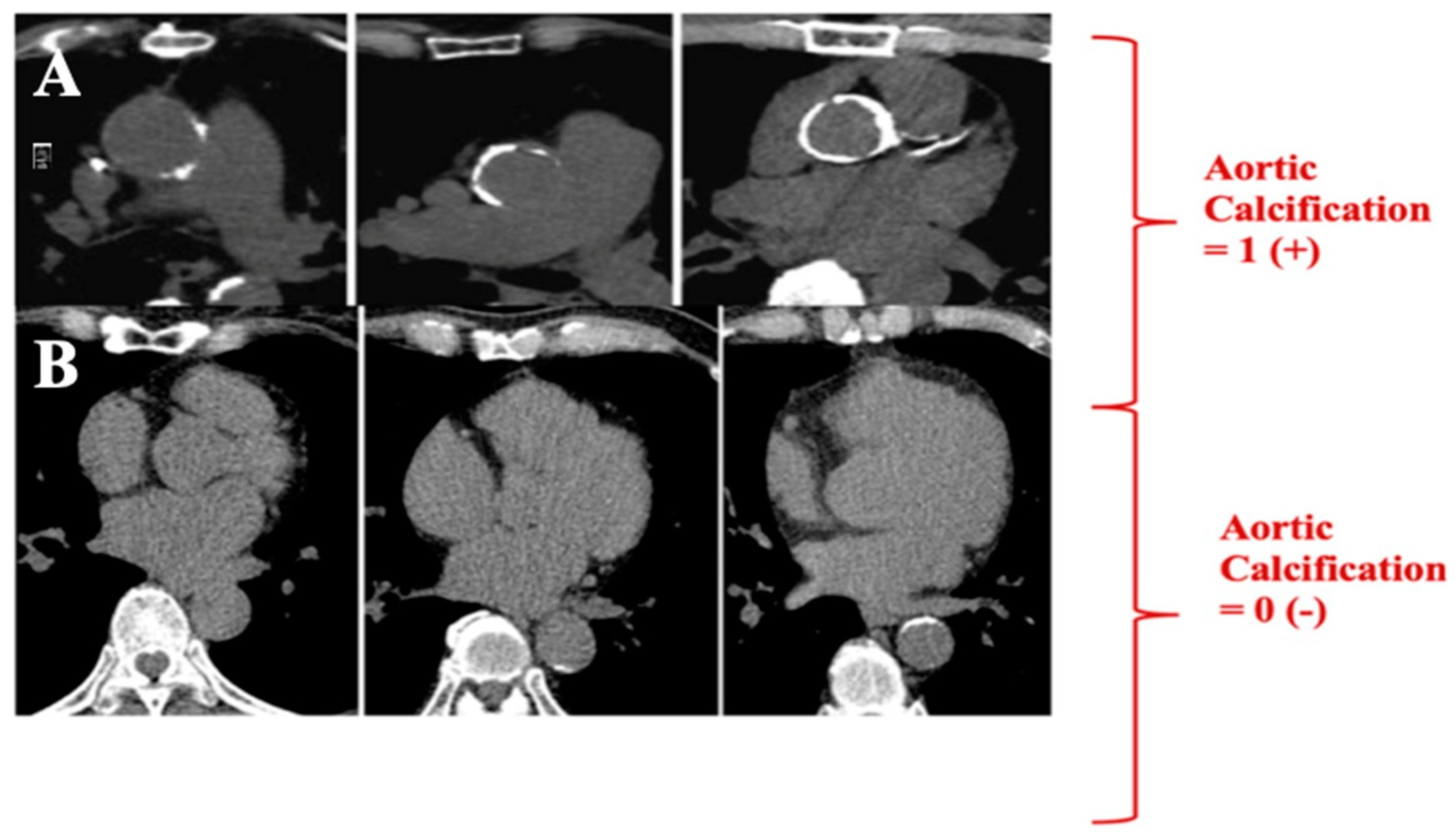
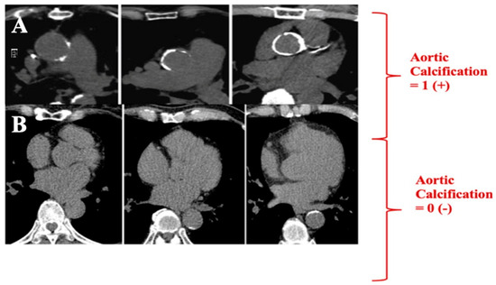
| Thorax CT—aortic calcification +, n (%) | 86 (%82.7) | 103 (%46.6) | <0.001 | 
| Thorax CT-EAT (HU) | −82.7 ± 15.9 | −90.2 ± 16.5 | <0.001 | 
| Univariate Logistic Regression Analysis | Multivariate Logistic Regression Analysis | |||||
|---|---|---|---|---|---|---|
| Variables | OR | %95 CI | p | OR | %95 CI | p | 
| Age > 67 years | 5.67 | 3.39–9.46 | <0.001 | 2.8 | 1.25–6.24 | 0.012 | 
| HT | 1.89 | 1.15–3.1 | <0.011 | |||
| CKD | 4.31 | 2.44–7.58 | <0.001 | |||
| CAD | 2.05 | 1.06–3.93 | 0.031 | |||
| ECG, non-SR | 2.87 | 1.54–5.33 | 0.001 | |||
| Heart rate > 100 bpm | 4.43 | 2.67–7.42 | <0.001 | 4.02 | 1.78–9.06 | 0.001 | 
| Saturation < %90 | 4.63 | 2.81–7.63 | <0.001 | 3.52 | 1.72–7.19 | 0.001 | 
| Thorax CT-CORADS 4–5 | 2.47 | 1.33–4.59 | <0.001 | |||
| Thorax CT CAC + aortic calcification + | 5.28 | 3.13–8.91 | <0.001 | 3.85 | 1.69–8.78 | 0.001 | 
| Thorax CT-EAT > −88.5 HU | 2.07 | 1.26–3.25 | 0.003 | |||
| Hb < 12 g/dL | 5.32 | 3.19–8.86 | <0.001 | 3.80 | 1.87–7.68 | <0.001 | 
| Hs-T > 9.5 ng/L (on admission) | 9.82 | 5.68–16.98 | <0.001 | 6.03 | 2.90–12.52 | <0.001 | 
| Not receiving ASA on admission | 7.69 | 2.70–21.90 | <0.001 | 15.61 | 4.46–54.62 | <0.001 | 
| HEARRT-C Score | ||
|---|---|---|
| H | Haemoglobin < 12 g/dL | 1 point | 
| E | Elderly (age) > 67 years | 1 point | 
| A | ASA (not receiving) | 2 point | 
| R | Rate (heart rate > 100 bpm) | 1 point | 
| R | Respiration (saturation < 90%) | 1 point | 
| T | hsT ≥ 9.5 ng/L (on admission) | 2 point | 
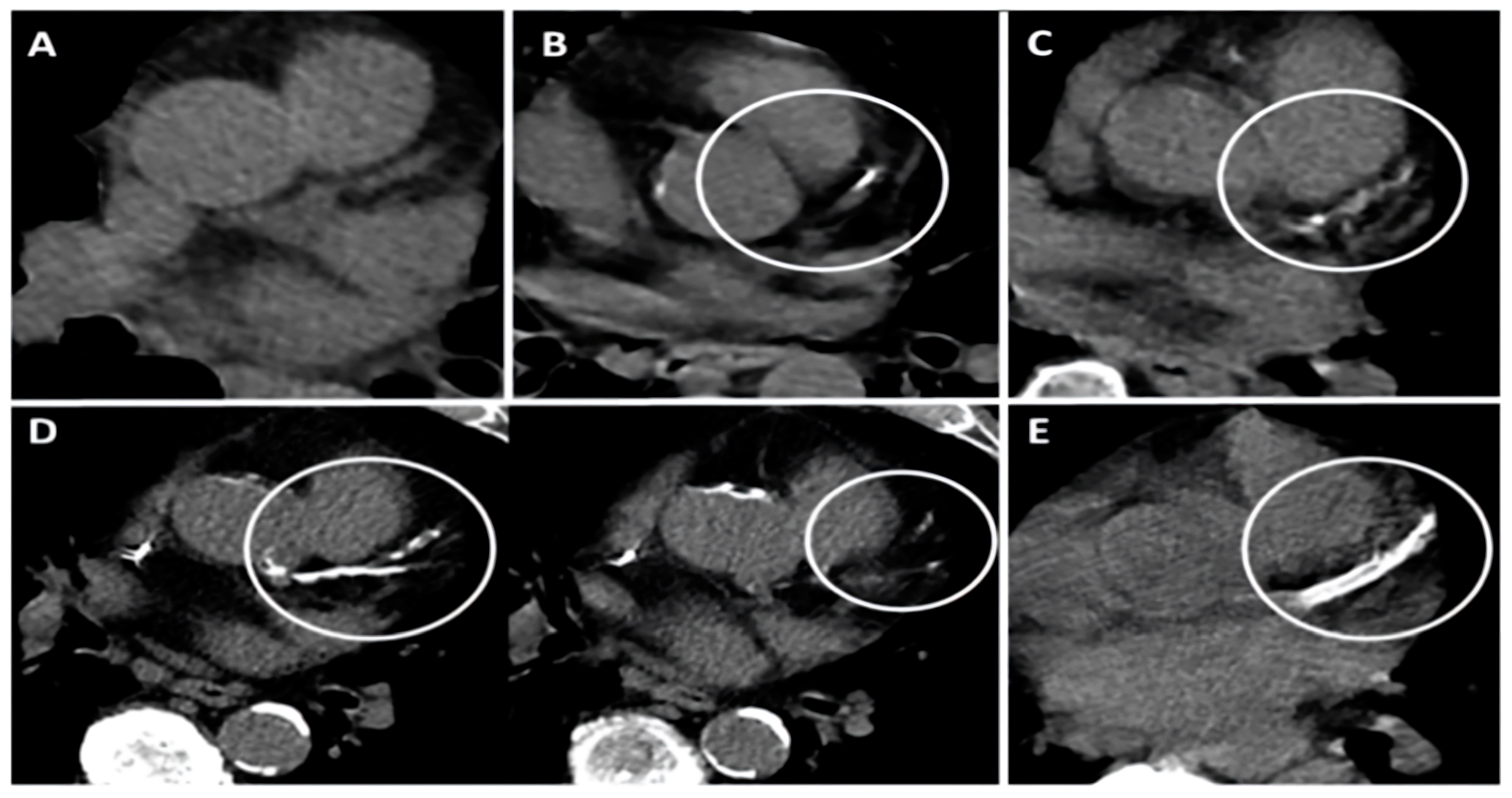
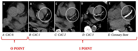
| C | CACS + Aort calcification + | 1 point | 
| Total points: | >5 | 
| Disclaimer/Publisher’s Note: The statements, opinions and data contained in all publications are solely those of the individual author(s) and contributor(s) and not of MDPI and/or the editor(s). MDPI and/or the editor(s) disclaim responsibility for any injury to people or property resulting from any ideas, methods, instructions or products referred to in the content. | 
© 2025 by the authors. Licensee MDPI, Basel, Switzerland. This article is an open access article distributed under the terms and conditions of the Creative Commons Attribution (CC BY) license (https://creativecommons.org/licenses/by/4.0/).
Share and Cite
Kumral, Z.; Canturk, A.; Baskurt, A.A.; Taylan, A.; Colak, A.; Badak, O. The HEARRT-C Score: Is Aspirin Protective in COVID-19 Patients? A Single-Centre Retrospective Study. COVID 2025, 5, 21. https://doi.org/10.3390/covid5020021
Kumral Z, Canturk A, Baskurt AA, Taylan A, Colak A, Badak O. The HEARRT-C Score: Is Aspirin Protective in COVID-19 Patients? A Single-Centre Retrospective Study. COVID. 2025; 5(2):21. https://doi.org/10.3390/covid5020021
Chicago/Turabian StyleKumral, Zeynep, Ali Canturk, Ahmet Anil Baskurt, Abdullah Taylan, Ayse Colak, and Ozer Badak. 2025. "The HEARRT-C Score: Is Aspirin Protective in COVID-19 Patients? A Single-Centre Retrospective Study" COVID 5, no. 2: 21. https://doi.org/10.3390/covid5020021
APA StyleKumral, Z., Canturk, A., Baskurt, A. A., Taylan, A., Colak, A., & Badak, O. (2025). The HEARRT-C Score: Is Aspirin Protective in COVID-19 Patients? A Single-Centre Retrospective Study. COVID, 5(2), 21. https://doi.org/10.3390/covid5020021
 
        


 
       