Myelodysplastic/Myeloproliferative Neoplasms with Features Intermediate between Primary Myelofibrosis and Chronic Myelomonocytic Leukemia: Case Series and Review of the Entity
Abstract
1. Introduction
2. Materials and Methods
2.1. Case Selection
2.2. Morphologic and Immunophenotypical Assessment
2.3. Genetic Assessment
2.4. Literature Review
3. Results
3.1. Epidemiological and Clinical Features
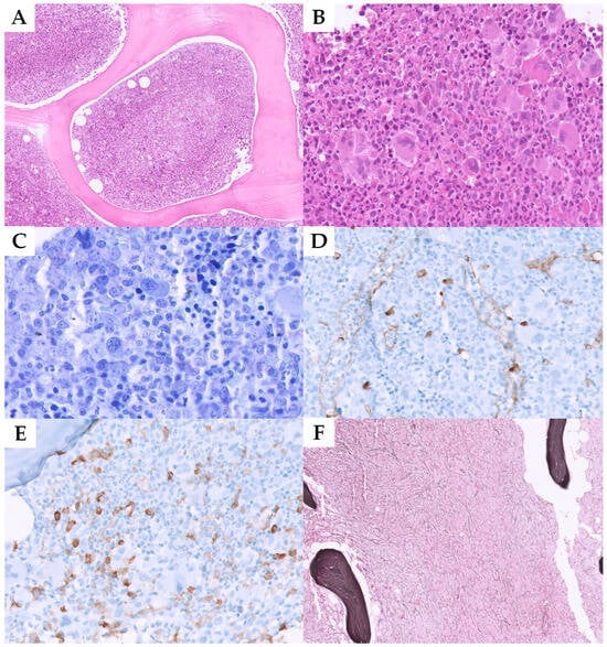
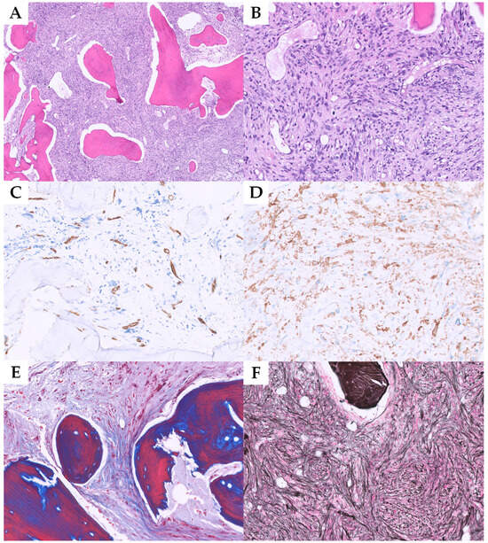
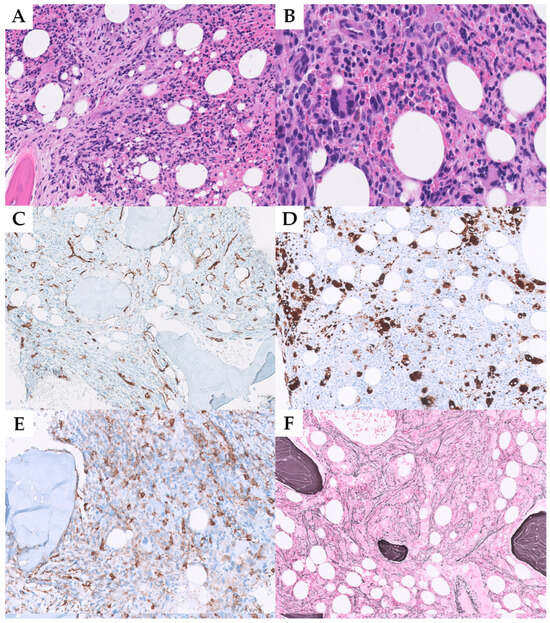
3.2. Histological and Immunohistochemical Features
3.3. Genetic Characterization
3.4. Treatment and Outcome
3.5. Literature Review
3.6. Survival Analyses
4. Discussion
Limitations of the Present Studies
5. Conclusions
Author Contributions
Funding
Institutional Review Board Statement
Informed Consent Statement
Data Availability Statement
Conflicts of Interest
References
- Arber, D.A.; Orazi, A.; Hasserjian, R.P.; Borowitz, M.J.; Calvo, K.R.; Kvasnicka, H.-M.; Wang, S.A.; Bagg, A.; Barbui, T.; Branford, S.; et al. International Consensus Classification of Myeloid Neoplasms and Acute Leukemias: Integrating morphologic, clinical, and genomic data. Blood 2022, 140, 1200–1228. [Google Scholar] [CrossRef] [PubMed]
- Patnaik, M.M.; Tefferi, A. Chronic myelomonocytic leukemia: 2022 update on diagnosis, risk stratification, and management. Am. J. Hematol. 2022, 97, 352–372. [Google Scholar] [CrossRef] [PubMed]
- Tefferi, A. Primary myelofibrosis: 2021 update on diagnosis, risk-stratification and management. Am. J. Hematol. 2021, 96, 145–162. [Google Scholar] [CrossRef] [PubMed]
- Arber, D.A.; Orazi, A. Update on the pathologic diagnosis of chronic myelomonocytic leukemia. Mod. Pathol. 2019, 32, 732–740. [Google Scholar] [CrossRef] [PubMed]
- Khoury, J.D.; Solary, E.; Abla, O.; Akkari, Y.; Alaggio, R.; Apperley, J.F.; Bejar, R.; Berti, E.; Busque, L.; Chan, J.K.C.; et al. The 5th edition of the World Health Organization Classification of Haematolymphoid Tumours: Myeloid and Histiocytic/Dendritic Neoplasms. Leukemia 2022, 36, 1703–1719. [Google Scholar] [CrossRef] [PubMed]
- Swerdlow, S.H.; Campo, E.; Harris, N.L.; Jaffe, E.S. WHO classification of tumours of haematopoietic and lymphoid tissues, Revised 4th edition. In World Health Organization Classification of Tumours; International Agency for Research on Cancer: Lyon, France, 2017. [Google Scholar]
- Gianelli, U.; Fiori, S.; Cattaneo, D.; Bossi, A.; Cortinovis, I.; Bonometti, A.; Ercoli, G.; Bucelli, C.; Orofino, N.; Bulfamante, G.; et al. Prognostic significance of a comprehensive histological evaluation of reticulin fibrosis, collagen deposition and osteosclerosis in primary myelofibrosis patients. Histopathology 2017, 71, 897–908. [Google Scholar] [CrossRef] [PubMed]
- Bonometti, A.; Borsani, O.; Rumi, E.; Ferretti, V.V.; Dioli, C.; Lucato, E.; Paulli, M.; Boveri, E. Arginase-1+ bone marrow myeloid cells are reduced in myeloproliferative neoplasms and correlate with clinical phenotype, fibrosis, and molecular driver. Cancer Med. 2022, 12, 7815–7822. [Google Scholar] [CrossRef] [PubMed]
- Kim, S.-Y.; Bae, S.H.; Bang, S.-M.; Eom, K.-S.; Hong, J.; Jang, S.; Jung, C.W.; Kim, H.-J.; Kim, H.Y.; Kim, M.K.; et al. The 2020 revision of the guidelines for the management of myeloproliferative neoplasms. Korean J. Intern. Med. 2021, 36, 45–62. [Google Scholar] [CrossRef]
- Tefferi, A.; Alkhateeb, H.; Gangat, N. Blast phase myeloproliferative neoplasm: Contemporary review and 2024 treatment algorithm. Blood Cancer J. 2023, 13, 108. [Google Scholar] [CrossRef]
- Patnaik, M.M. How I diagnose and treat chronic myelomonocytic leukemia. Haematologica 2022, 107, 1503–1517. [Google Scholar] [CrossRef]
- Gianelli, U.; Cattaneo, D.; Bossi, A.; Cortinovis, I.; Boiocchi, L.; Liu, Y.-C.; Augello, C.; Bonometti, A.; Fiori, S.; Orofino, N.; et al. Erratum: The myeloproliferative neoplasms, unclassifiable: Clinical and pathological considerations. Mod. Pathol. 2017, 30, 1043. [Google Scholar] [CrossRef] [PubMed]
- Wardrop, D.; Steensma, D.P. Is refractory anaemia with ring sideroblasts and thrombocytosis (RARS-T) a necessary or useful diagnostic category? Br. J. Haematol. 2009, 144, 809–817. [Google Scholar] [CrossRef] [PubMed]
- Patnaik, M.M.; Tefferi, A. Refractory anemia with ring sideroblasts (RARS) and RARS with thrombocytosis: “2019 Update on Diagnosis, Risk-stratification, and Management”. Am. J. Hematol. 2019, 94, 475–488. [Google Scholar] [CrossRef] [PubMed]
- Montalban-Bravo, G.; Garcia-Manero, G. MDS/MPN-RS-T justified inclusion as a unique disease entity? Best Pract. Res. Clin. Haematol. 2020, 33, 101147. [Google Scholar] [CrossRef] [PubMed]
- Hu, Z.; Ramos, C.E.B.; Medeiros, L.J.; Zhao, C.; Yin, C.C.; Li, S.; Hu, S.; Wang, W.; Thakral, B.; Xu, J.; et al. Utility of JAK2 V617F allelic burden in distinguishing chronic myelomonocytic Leukemia from Primary myelofibrosis with monocytosis. Hum. Pathol. 2019, 85, 290–298. [Google Scholar] [CrossRef]
- Chapman, J.; Geyer, J.T.; Khanlari, M.; Moul, A.; Casas, C.; Connor, S.T.; Fan, Y.-S.; Watts, J.M.; Swords, R.T.; Vega, F.; et al. Myeloid neoplasms with features intermediate between primary myelofibrosis and chronic myelomonocytic leukemia. Mod. Pathol. 2018, 31, 429–441. [Google Scholar] [CrossRef] [PubMed]
- Orazi, A. Histopathology in the Diagnosis and Classification of Acute Myeloid Leukemia, Myelodysplastic Syndromes, and Myelodysplastic/Myeloproliferative Diseases. Pathobiology 2007, 74, 97–114. [Google Scholar] [CrossRef] [PubMed]
- Rack, K.A.; Van Den Berg, E.; Haferlach, C.; Beverloo, H.B.; Costa, D.; Espinet, B.; Foot, N.; Jeffries, S.; Martin, K.; O’Connor, S.; et al. European recommendations and quality assurance for cytogenomic analysis of haematological neoplasms. Leukemia 2019, 33, 1851–1867. [Google Scholar] [CrossRef] [PubMed]
- Mangaonkar, A.A.; Tande, A.J.; Bekele, D.I. Differential Diagnosis and Workup of Monocytosis: A Systematic Approach to a Common Hematologic Finding. Curr. Hematol. Malig. Rep. 2021, 16, 267–275. [Google Scholar] [CrossRef]
- Boiocchi, L.; Espinal-Witter, R.; Geyer, J.T.; Steinhilber, J.; Bonzheim, I.; Knowles, D.M.; Fend, F.; Orazi, A. Development of monocytosis in patients with primary myelofibrosis indicates an accelerated phase of the disease. Mod. Pathol. 2013, 26, 204–212. [Google Scholar] [CrossRef]
- Barraco, D.; Cerquozzi, S.; Gangat, N.; Patnaik, M.M.; Lasho, T.; Finke, C.; Hanson, C.A.; Ketterling, R.P.; Pardanani, A.; Tefferi, A. Monocytosis in polycythemia vera: Clinical and molecular correlates. Am. J. Hematol. 2017, 92, 640–645. [Google Scholar] [CrossRef] [PubMed]
- Carreño-Tarragona, G.; Álvarez-Larrán, A.; Harrison, C.; Martínez-Ávila, J.C.; Hernández-Boluda, J.C.; Ferrer-Marín, F.; Radia, D.H.; Mora, E.; Francis, S.; González-Martínez, T.; et al. CNL and aCML should be considered as a single entity based on molecular profiles and outcomes. Blood Adv. 2023, 7, 1672–1681. [Google Scholar] [CrossRef] [PubMed]
- Guastafierro, V.; Ubezio, M.; Manes, N.; Milanesi, C.; Della Porta, M.; Bonometti, A. CSF3R-mutant chronic myelomonocytic leukemia is a distinct clinically subset with abysmal prognosis: A case report and systematic review of the literature. Leuk. Lymphoma 2023, 64, 1566–1573. [Google Scholar] [CrossRef] [PubMed]
- Petrova-Drus, K.; Chiu, A.; Margolskee, E.; Barouk-Fox, S.; Geyer, J.; Dogan, A.; Orazi, A. Bone marrow fibrosis in chronic myelomonocytic leukemia is associated with increased megakaryopoiesis, splenomegaly and with a shorter median time to disease progression. Oncotarget 2017, 8, 103274–103282. [Google Scholar] [CrossRef] [PubMed]
- Palomo, L.; Meggendorfer, M.; Hutter, S.; Twardziok, S.; Ademà, V.; Fuhrmann, I.; Fuster-Tormo, F.; Xicoy, B.; Zamora, L.; Acha, P.; et al. Molecular landscape and clonal architecture of adult myelodysplastic/myeloproliferative neoplasms. Blood 2020, 136, 1851–1862. [Google Scholar] [CrossRef] [PubMed]
- Reynolds, S.B.; Pettit, K.; Kandarpa, M.; Talpaz, M.; Li, Q. Exploring the Molecular Landscape of Myelofibrosis, with a Focus on Ras and Mitogen-Activated Protein (MAP) Kinase Signaling. Cancers 2023, 15, 4654. [Google Scholar] [CrossRef] [PubMed]
- Gur, H.D.; Loghavi, S.; Garcia-Manero, G.; Routbort, M.; Kanagal-Shamanna, R.; Quesada, A.; Khogeer, H.; Pierce, S.; Medeiros, L.J.; Kantarjian, H.; et al. Chronic Myelomonocytic Leukemia With Fibrosis Is a Distinct Disease Subset With Myeloproliferative Features and Frequent JAK2 p.V617F Mutations. Am. J. Surg. Pathol. 2018, 42, 799–806. [Google Scholar] [CrossRef] [PubMed]
- Morsia, E.; Gangat, N. Myeloproliferative Neoplasms with Monocytosis. Curr. Hematol. Malig. Rep. 2022, 17, 46–51. [Google Scholar] [CrossRef] [PubMed]
- Elliott, M.A.; Verstovsek, S.; Dingli, D.; Schwager, S.M.; Mesa, R.A.; Li, C.Y.; Tefferi, A. Monocytosis is an adverse prognostic factor for survival in younger patients with primary myelofibrosis. Leuk. Res. 2007, 31, 1503–1509. [Google Scholar] [CrossRef]
- Mori, M.; Kubota, Y.; Durmaz, A.; Gurnari, C.; Goodings, C.; Adema, V.; Ponvilawan, B.; Bahaj, W.S.; Kewan, T.; LaFramboise, T.; et al. Genomics of deletion 7 and 7q in myeloid neoplasm: From pathogenic culprits to potential synthetic lethal therapeutic targets. Leukemia 2023, 37, 2082–2093. [Google Scholar] [CrossRef]
- Choate, L.A.; Jiang, L.; Stein, M.I.; Shen, W.; Baughn, L.B.; Peterson, J.F. Detection of an MN1::ETV6 Gene Fusion in a Case of Acute Myeloid Leukemia with Erythroid Differentiation: A Case Report and Review of the Literature. Case Rep. Hematol. 2023, 2023, 9771388. [Google Scholar] [CrossRef] [PubMed]
- Valent, P.; Orazi, A.; Savona, M.R.; Patnaik, M.M.; Onida, F.; van de Loosdrecht, A.A.; Haase, D.; Haferlach, T.; Elena, C.; Pleyer, L.; et al. Proposed diagnostic criteria for classical chronic myelomonocytic leukemia (CMML), CMML variants and pre-CMML conditions. Haematologica 2019, 104, 1935–1949. [Google Scholar] [CrossRef] [PubMed]






| # | 1st Author | Sex | Age | Hemoglobin (g/dL) | Leukocytes (U/mmc) | Monocytes (U/mmc) | Mono % | Platelets (U/mmc) | LDH (U/L) | Splenomegaly (cm) | MPN Driver Mutation | VAF | Additional Mutations | Karyotype Anomalies | Therapy | HSCT | Status | FU (mo) |
|---|---|---|---|---|---|---|---|---|---|---|---|---|---|---|---|---|---|---|
| 1 | Chapman #1 | M | 73 | 11 | 24,200 | 970 | 4.0 | 145,000 | N/A | Yes | JAK2V617F | 48 | ASXL1 (42%), SRSF2 (40%), TET2 (46%) | none | Ruxolitinib, Alisertib | N | SD | 40 |
| 2 | Chapman #2 | M | 76 | 9.6 | 6100 | 2440 | 40.0 | 145,000 | N/A | Yes | JAK2wt | N/A | none | Azacitidine | N | DOD | 8 | |
| 3 | Chapman #3 | F | 75 | 14.4 | 19,700 | 2460 | 12.5 | 226,000 | 315 | No | JAK2V617F | 60 | TET2 (47%), TET2 (44%) | none | Ruxolitinib | N | SD | 54 |
| 4 | Chapman #4 | M | 58 | 12.4 | 17,900 | 1400 | 7.8 | 66,000 | N/A | Yes | MPL | 44 | ASXL1 (43%), NRAS (25%), SRSF2 (46%), TET2 (48%), TET2 (42%) | none | Ruxolitinib | Y | DOC | 12 |
| 5 | Chapman #5 | M | 74 | 13.6 | 15,000 | 3700 | 24.7 | 498,000 | N/A | Yes | JAK2V617F | 60 | KRAS (33%), TET2 (48%) | none | Observation | N | SD | 24 |
| 6 | Chapman #6 | M | 63 | 7 | 35,100 | 2850 | 8.1 | 263,000 | N/A | Yes | JAK2V617F | N/A | TET2 | none | N/A | N | LFU | 2 |
| 7 | Hu #1 | M | 67 * | 9.2 * | 70,000 * | 2300 * | 18 * | 42,000 * | 2594 * | Yes | JAK2V617F | 47 | N/A | 46,XY,−6, del(7)(q22q34), +r[20] ** | Hypometilating agent, Rigosertib | N | DOD | 22 |
| 8 | Hu #2 | M | 67 * | 9.2 * | 70,000 * | 2300 * | 18 * | 42,000 * | 2594 * | Yes | JAK2V617F | 30 | SRSF2 | 47,i(X)(p10),+13, del(13)(q12q14)x2 [20] ** | Hypometilating agent | N | DOD | 29 |
| 9 | Hu #3 | F | 67 * | 9.2 * | 70,000 * | 2300 * | 18 * | 42,000 * | 2594 * | Yes | JAK2V617F | 39 | N/A | 47,XY,+8[9] **/45,XY,add(4)(q27),−12, add(17)(p11.2)[4] **/ 46,XY [7] ** | Hypometilating agent | N | DOD | 52 |
| 10 | Present work #1 | M | 60 | 9.9 | 37,100 | 1900 | 5.1 | 280,000 | 397 | Yes (15) | JAK2V617F | 84 | ASLX1 (48%) | 46,XY, del(7)(q22q36)[4] **/ 46,XY[24] ** | Ruxolitinib, Fedratinib | Y | DOD | 55 |
| 11 | Present work #2 | F | 65 | 13 | 8650 | 1300 | 15.0 | 99,000 | 570 | No | JAK2V617F | 35 | DNMT3A, IDH2 | 46,XY,-7[23] ** | Azacytidine | Y | CR | 14 |
| 12 | Present work #3 | M | 66 | 11.8 | 31,930 | 780 | 2.4 | 54,000 | N/A | Yes (18) | JAK2V617F | 38 | CBL (27%), IDH2 (47%), SRSF2 (44%), TET2 (24%) | none | Azacytidine, Ruxolitinib | N | PD | 24 |
| 13 | Present work #4 | M | 56 | 6.6 | 55,000 | 1800 | 3.3 | 41,000 | 1360 | Yes (23) | CALR | 43 | TET2 (6%) | 46,XY,add(6)(p23), t(7;11)(q22;q13), t(12;22)(p13;q12)[8] **/47,idem,+add(6) (p23)[5] **.nuc ish(D7Z1,KMT2E, EZH2)x2[100] **, (KMT2Ax2)[100] **, (ETV6x2) (3′ETV6 sep 5′ETV6x1) [70/100] ** | HU, Vyxeos, Azacytidine, Venetoclax | N | PD | 158 |
| # | 1st Author | BM Cellularity | Morphological Erythroid Dysplasia | Topographic Displacement of Erythrons | Left-Shifting Granulopoiesis | Hyperplastic Megakaryopoiesis | Megakaryocyte Morphology (Myeloproliferative, Atypical, Hypolobated) | Dense Clusters of Megakaryocytes | M:E Ratio | Bone Marrow CD34+ Cells (%) | Paratrabecoular Adipocyte | Microvessel Density | Intrasinusoidal Hemopoiesis | Bone marrow CD14+ cells (%) | Bone Marrow Fibrosis (Grade) | Collagen Fibrosis (Grade) | Osteosclerosis |
|---|---|---|---|---|---|---|---|---|---|---|---|---|---|---|---|---|---|
| 1 | Chapman #1 | 95% | Y | N/A | Y | Y | M, A | Y | N/A | N/A | N/A | N/A | N/A | N/A | 2 | N/A | N/A |
| 2 | Chapman #2 | 95% | N | N/A | Y | Y | A | N | N/A | 7 | N/A | N/A | N/A | 30 | 3 | N/A | N/A |
| 3 | Chapman #3 | 95% | N | N/A | Y | Y | M, A | N | N/A | N/A | N/A | N/A | N/A | 15 | 1 | N/A | N/A |
| 4 | Chapman #4 | 95% | Y | N/A | N | Y | M, A, H | Y | N/A | 3 | N/A | N/A | N/A | N/A | 3 | N/A | N/A |
| 5 | Chapman #5 | 80% | Y | N/A | N | Y | M, H | N | 8:1 | N/A | N/A | N/A | N/A | 15 | 2 | 2 | N/A |
| 6 | Chapman #6 | 100% | Y | N/A | Y | Y | M | Y | 6:1 | 4 | N/A | N/A | N/A | 60 | 3 | N/A | N/A |
| 7 | Hu #1 | 95% | Y | N/A | Y | Y | M, A | N/A | N/A | N/A | N/A | N/A | N/A | N/A | 1 | N/A | N/A |
| 8 | Hu #2 | 95% | Y | N/A | Y | Y | M, A | N/A | N/A | N/A | N/A | N/A | N/A | N/A | 2 | N/A | N/A |
| 9 | Hu #3 | 95% | Y | N/A | Y | Y | M, A | N/A | N/A | N/A | N/A | N/A | N/A | N/A | 2 | N/A | N/A |
| 10 | Present work #1 | 90% | Y | N | Y | Y | H | Y | 10:1 | 2 | Y | Y | Y | 10 | 1 | 0 | 1 |
| 11 | Present work #2 | 90% | Y | N | Y | N | H | N | 4:1 | 1 | Y | Y | N | 15 | 1 | 0 | 1 |
| 12 | Present work #3 | 100% | Y | Y | Y | Y | A | N | 6:1 | 2 | Y | Y | Y | 6 | 2 | 1 | |
| 13 | Present work #4 | 80% | N | Y | N | N | H | N | 4:1 | 1 | N | Y | N | 1 | 3 | 2 | 2 |
| Feature/Diagnostic Criterion | PMF WHO 2022 | PMF ICC | CMML WHO | CMML ICC | MNIPC |
|---|---|---|---|---|---|
| 1-Clinical/Laboratory | |||||
| Cytopenia | Essential | 11/13 (84%) | |||
| Anemia | Minor | Minor | 8/13 (62%) | ||
| Leukocytosis: WBC > 11,000 U/mmc (PMF) WBC > 13,000 U/mmc (CMML) | Minor | Minor | CMML, myeloproliferative subtype | 11/13 (84%) | |
| Monocytes ≥ 500 U/mmc | Essential | Essential | 13/13 (100%) | ||
| Monocytes ≥ 1000 U/mmc | Needed in case of no evidence of clonality | 11/13 (84%) | |||
| Monocytes ≥ 10% of WBC | Essential | Essential | 7/13 (54%) | ||
| Abnormal partitioning of peripheral monocyte subsets | Desirable | Needed in case of no evidence of clonality | N/A | ||
| Increased LDH | Minor | Minor | 7/7 (100%) | ||
| Leukoerythroblastosis | Overt PMF only | Overt PMF only | N/A | ||
| Splenomegaly | Minor | Minor | 11/13 (84%) | ||
| 2-Histopathological | |||||
| Hypercellularity | Essential | 13/13 (100%) | |||
| Hyperplastic granulopoiesis | Major | Major | 13/13 (100%) | ||
| Hypoplastic erythropoiesis | Major | Major | N/A | ||
| Dysplasia | Desirable | Needed in case of no evidence of clonality | 11/13 (84%) | ||
| Megakaryocytic hyperplasia | Major | Major | 11/13 (84%) | ||
| Megakaryocytic atypia | Major | Major | 8/13 (62%) | ||
| Dense clusters of megakaryocytes | Major | 4/9 (44%) | |||
| Increased monocytes | Essential | 6/8 (75%) | |||
| Reticulin fibrosis grade 0–1 | Major | Major | 4/13 (31%) | ||
| Reticulin fibrosis grade 2–3 | Major | Major | 9/13 (69%) | ||
| Absence of reactive bone marrow fibrosis | Major | Major | 13/13 (100%) | ||
| Peripheral and/or bone marrow blasts >2/5%, <20% | In CMML with excess blasts | 1/7 (14%) | |||
| Peripheral and/or bone marrow blasts <20% | Essential | Essential | 13/13 (100%) | ||
| 3-Genetic | |||||
| Clonal marker | Major | Major | Desirable | Essential | 12/13 (92%) |
| JAK2 mutation | Major | Major | 10/13 (77%) | ||
| JAK2 mutation VAF | 44% | ||||
| MPL or CALR mutation | Major | Major | 2/13 (15%) | ||
| Absence of Philadelphia chromosome | Major | Major | Essential | Essential | 13/13 (100%) |
| Absence of tyrosine kinase fusions | Major | Major | Essential | Essential | 13/13 (100%) |
| 4-Other criteria | |||||
| Exclusion of other myeloid neoplasms | Major | Major | Essential | Essential | 13/13 (100%) |
| Median | Min | Max | |
|---|---|---|---|
| Male sex/Total, (%) | 10/13 (77) | ||
| Age at diagnosis | 67 | 56 | 76 |
| Hemoglobin (g/dL) | 9.9 | 6.6 | 14.4 |
| Leukocytes (U/mmc) | 31,930 | 6100 | 70,000 |
| Monocytes (U/mmc) | 2300 | 780 | 3700 |
| Relative monocytes (%) | 12.5 | 2.4 | 40 |
| Platelets (U/mmc) | 99,000 | 41,000 | 498,000 |
| LDH (U/L) | 1360 | 315 | 2594 |
| Splenomegaly/Tot, (%) | 11/13 (85) | ||
| JAK2 mutation n., (%) | 10/13 (77) | ||
| Molecular driver VAF | 44 | 30 | 84 |
| Bone marrow cellularity | 95% | 80% | 100% |
| Erythroid dysplasia n., (%) | 10/13 (77) | ||
| Left-shifting granulopoiesis n., (%) | 10/13 (77) | ||
| Hyperplastic megakaryopoiesis n., (%) | 11/13 (85) | ||
| Myeloproliferative or atypical megakaryocytes n., (%) | 10/13 (77) | ||
| Dense clusters of megakaryocytes | 4/13 (31) | ||
| M:E ratio | 6:1 | 4:1 | 10:1 |
| Bone marrow CD34+ cells (%) | 2 | 1 | 7 |
| Bone marrow fibrosis (grade) | 2 | 1 | 3 |
| DOD n., (%) | 6 (46) | ||
| Follow-up (mo) | 24 | 2 | 158 |
Disclaimer/Publisher’s Note: The statements, opinions and data contained in all publications are solely those of the individual author(s) and contributor(s) and not of MDPI and/or the editor(s). MDPI and/or the editor(s) disclaim responsibility for any injury to people or property resulting from any ideas, methods, instructions or products referred to in the content. |
© 2024 by the authors. Licensee MDPI, Basel, Switzerland. This article is an open access article distributed under the terms and conditions of the Creative Commons Attribution (CC BY) license (https://creativecommons.org/licenses/by/4.0/).
Share and Cite
Bonometti, A.; Zanella, S.; Rahal, D.; Milanesi, C.; Caselli, R.; Della Porta, M.G.; Uccella, S.; Fraticelli, S. Myelodysplastic/Myeloproliferative Neoplasms with Features Intermediate between Primary Myelofibrosis and Chronic Myelomonocytic Leukemia: Case Series and Review of the Entity. Hemato 2024, 5, 230-250. https://doi.org/10.3390/hemato5030019
Bonometti A, Zanella S, Rahal D, Milanesi C, Caselli R, Della Porta MG, Uccella S, Fraticelli S. Myelodysplastic/Myeloproliferative Neoplasms with Features Intermediate between Primary Myelofibrosis and Chronic Myelomonocytic Leukemia: Case Series and Review of the Entity. Hemato. 2024; 5(3):230-250. https://doi.org/10.3390/hemato5030019
Chicago/Turabian StyleBonometti, Arturo, Simone Zanella, Daoud Rahal, Chiara Milanesi, Rossella Caselli, Matteo Giovanni Della Porta, Silvia Uccella, and Sara Fraticelli. 2024. "Myelodysplastic/Myeloproliferative Neoplasms with Features Intermediate between Primary Myelofibrosis and Chronic Myelomonocytic Leukemia: Case Series and Review of the Entity" Hemato 5, no. 3: 230-250. https://doi.org/10.3390/hemato5030019
APA StyleBonometti, A., Zanella, S., Rahal, D., Milanesi, C., Caselli, R., Della Porta, M. G., Uccella, S., & Fraticelli, S. (2024). Myelodysplastic/Myeloproliferative Neoplasms with Features Intermediate between Primary Myelofibrosis and Chronic Myelomonocytic Leukemia: Case Series and Review of the Entity. Hemato, 5(3), 230-250. https://doi.org/10.3390/hemato5030019

