Crown Lengthening Surgery in the Esthetic Area for Optimized Results: A Review with Surgical Recommendations
Abstract
1. Introduction
1.1. Esthetic in Dentistry
1.2. Gingival Exposition During a Natural Smile
1.3. Periodontal Treatment for Excessive Gingival Exposition
1.4. Patient-Correlated Factors
1.5. Complications Associated with CL
2. Literature Review
2.1. Periodontal Phenotype
2.2. Supracrestal Tissue Attachment (STA) (Former Biological Width)
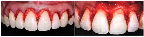
2.3. Surgical Strategy
2.4. Surgical Approach and Clinical Recommendations
3. Discussion
3.1. Periodontal Phenotypes
3.2. Classification and Correlations
3.3. Periodontal Phenotype and STA
3.4. Flapless Technique, Piezoeletric, and Laser
3.5. Tissue Healing After Surgery and Final Considerations
4. Conclusions
Author Contributions
Funding
Institutional Review Board Statement
Informed Consent Statement
Data Availability Statement
Conflicts of Interest
References
- Tan, A.S.; Tan, L.G.; Lukman, S.T.; Berk, L.S. Humor, as an adjunct therapy in cardiac rehabilitation, attenuates catecholamines and myocardial infarction recurrence. Adv. Mind-Body Med. 2007, 22, 8–12. [Google Scholar] [PubMed]
- Fiuza, S.; Marques, T.; Padin, I.; Carvalho, M.T.; Veiga, N.; Fernandes, J.C.H.; Fernandes, G.V.O.; Couto, P. Histological, Clinical Assessment, and Treatment of a Permanent Filler Complication in the Upper Lip: A Case Report with 16-Year Follow-Up. Cosmetics 2024, 11, 50. [Google Scholar] [CrossRef]
- Kahn, S.; Kahn, M.B.; Zimmermman, D.; Dias, A.T.; Fernandes, G.V.O. Desarrollo de una guía quirúrgica periodontal para alcanzar un mejor resultado en los procedimientos de alargamiento coronario: Informe de caso clínico. Perio Clín. 2022, 22, 47–59. [Google Scholar]
- Zhur, O.; Hürzeler, M. Plastic-Esthetic Periodontal and Implant Surgery: A Microsurgical Approach; Quintessence: Berlin, Germany, 2012. [Google Scholar]
- Arias, D.M.; Trushkowsky, R.D.; Brea, L.M.; David, S.B. Treatment of the patient with gummy smile in conjunction with digital smile approach. Dental Clin. N. Am. 2015, 59, 703–716. [Google Scholar] [CrossRef]
- Tjan, A.H.L.; Miller, G.D.; The, J.G. Some esthetic factors in a smile. J. Prosthet. Dent. 1984, 51, 24–28. [Google Scholar] [CrossRef]
- Borghetti, A.; Monnet-Corti, V. Cirurgia Plástica Periodontal, 2nd ed.; Artmed: Porto Alegre, Brazil, 2011. [Google Scholar]
- Tin-Oo, M.M.; Saddki, N.; Hassan, N. Factors influencing patient satisfaction with dental appearance and treatments they desire to improve. BMC Oral Health 2011, 11, 6. [Google Scholar] [CrossRef]
- Kahn, S.; Dias, A.T. Sorriso Gengival: Uma Visão Multidisciplinar; Quintessence: São Paulo, Brazil, 2017. [Google Scholar]
- Rieska, R.; Fatimah Maria, T. Laser-assisted crown lengthening: Clinical efficacy and advantages over conventional techniques. Interdental 2024, 20, 108–117. [Google Scholar] [CrossRef]
- Alhumaidan, A.; Al-Qarni, F.; AlSharief, M.; AlShammasi, B.; Albasry, Z. Surgical guides for esthetic crown lengthening procedures. J. Am. Dental Assoc. 2022, 153, 31–38. [Google Scholar] [CrossRef]
- Carrera, T.M.I.; Freire, A.E.N.; Oliveira, G.J.P.L.; Nicolau, S.R.; Pichotano, E.C.; Junior, N.V.R.; Pires, L.C.; Pigossi, S.C. Digital planning and guided dual technique in esthetic crown lengthening: A randomized controlled clinical trial. Clin. Oral Investig. 2023, 27, 1589–1603. [Google Scholar] [CrossRef]
- Narayan, S.; Rajasekar, A. Soft tissue re-growth after different crown lengthening techniques among Indian patients. Bioinformation 2021, 17, 1130–1133. [Google Scholar] [CrossRef]
- Katariya, C.; Rajasekar, A. Biologic Width Following Different Crown Lengthening Procedures: A Six-Month Follow-Up Study. Cureus 2024, 16, e59325. [Google Scholar] [CrossRef] [PubMed]
- Kahn, S.; Oliveira, L.Z.; Dias, A.T.; Fernandes, G.V.O. Clinical evaluation and biological understanding of the early step-by-step healing after periodontal microsurgery: A case report with PES analysis comparing initial and 31-day result. J. Adv. Periodontol. Implant. Dent. 2022, 14, 141–145. [Google Scholar] [CrossRef] [PubMed]
- Silva, C.O.; Rezende, R.I.; Mazuquini, A.C.; Leal, V.C.; Amaral, G.S.A.; Guo, X.; Tatakis, D.N. Aesthetic crown lengthening and lip repositioning surgery: Pre- and post-operative assessment of smile attractiveness. J. Clin. Periodontol. 2021, 48, 826–833. [Google Scholar] [CrossRef]
- Altayeb, W.; Rossi, R.; Arnabat-Dominguez, J. Positional stability of the periodontal tissues following crown lengthening surgery. Dent. Rev. 2022, 2, 100059. [Google Scholar] [CrossRef]
- Newaskar, D.P.; Motadu, P.N. Patient-Reported Outcomes After Periodontal Surgical Procedures. Cureus 2024, 16, e63818. [Google Scholar] [CrossRef]
- Xenoudi, P.; Karydis, A. Crown Lengthening Procedures for Functional and Esthetic Purposes. Curr. Oral Health Rep. 2019, 6, 230–236. [Google Scholar] [CrossRef]
- Baghele, O.N. A Comprehensive Update on Crown-Lengthening Procedures with New Concepts and Inputs. J. Int. Clin. Dental Res. Org. 2021, 13, 17–27. [Google Scholar] [CrossRef]
- Guarnieri, R. Long-Term (> 15 Years) Postrestorative Outcomes of Surgical Crown Lengthening Associated with Early Postsurgical Physiologically Oriented Crevicular Repreparation (POCR) Technique in Esthetic Areas. Int. J. Periodontics Restor. Dent. 2021, 41, 845–854. [Google Scholar] [CrossRef]
- Pecheva, A.; Yaneva, B. Aesthetic Rehabilitation Through Crown Lengthening Laser Surgery and Zirconium CAD/CAM Veneers: A Multidisciplinary Case Report. Health Technol. 2021, 5, 15. [Google Scholar] [CrossRef]
- Dridi, S.-M.; Ameline, C.; Heurtebise, J.M.; Vincent-Bugnas, S.; Charavet, C. Prevalence of the Gingival Phenotype in Adults and Associated Risk Factors: A Systematic Review of the Literature. Clin. Pract. 2024, 14, 801–833. [Google Scholar] [CrossRef]
- Zweers, J.; Thomas, R.Z.; Slot, D.E.; Weisgold, A.S.; Van der Weijden, F.G. Characteristic of periodontal biotype, its dimensions, associations, and prevalence: A systematic review. J. Clin. Periodontol. 2014, 41, 958–971. [Google Scholar] [CrossRef] [PubMed]
- Liang, L.; Tan, L.; Wang, W. Impact of periodontal phenotype on the outcomes of crown lengthening surgery: A systematic review and meta-analysis. J. Periodontol. 2021, 92, 1031–1041. [Google Scholar]
- Moosa, Y.; Samaranayake, L.; Pisarnturakit, P.P. The gingival phenotypes and related clinical periodontal parameters in a cohort of Pakistani young adults. Heliyon 2024, 10, e24219. [Google Scholar] [CrossRef] [PubMed]
- Sarma, M.; Shenoy, N. Association between Gingival Thickness and Recession in Nonperiodontitis Patients. J. Orofac. Sci. 2021, 13, 142–147. [Google Scholar] [CrossRef]
- Kumar, M.P.; Nagate, R.R.; Chaturvedi, S.; Al-Ahmari, M.M.M.; Al-Qarni, M.A.; Gokhale, S.T.; Ahmed, A.R.; Al Bariqi, A.; Cicciù, M.; Minervini, G. Importance of periodontal phenotype in periodontics and restorative dentistry: A systematic review. BMC Oral Health 2024, 24, 41. [Google Scholar] [CrossRef]
- Tróia, P.M.B.P.S.; Spuldaro, T.R.; Fonseca, P.A.B.; Fernandes, G.V.O. Presence of Gingival Recession or Noncarious Cervical Lesions on Teeth under Occlusal Trauma: A Systematic Review. Eur. J. Gen. Dent. 2021, 10, 50–59. [Google Scholar] [CrossRef]
- Abdelmalek, R.G.; Bissada, N. Incidence and distribution of bony alveolar dehiscence and fenestration in dry human Egyptian jaws. J. Periodontol. 1973, 44, 586–588. [Google Scholar] [CrossRef]
- Olsson, M.; Lindhe, J.; Marinello, C.P. On the relationship between crown form and clinical characteristics of gingival in adolescents. J. Clin. Periodontol. 1993, 20, 570–577. [Google Scholar] [CrossRef]
- Müller, H.P.; Eger, T. Gingival phenotypes in young male adults. J. Clin. Periodontol. 1997, 24, 65–71. [Google Scholar] [CrossRef]
- Müller, H.P.; Schaller, N.; Eger, T.; Heinecke, A. Thickness of masticatory mucosa. J. Clin. Periodontol. 2000, 27, 431–436. [Google Scholar] [CrossRef]
- Bittencourt, S.; Ribeiro, E.D.P.; Sallum, E.A.; Sallum, A.W.; Nociti, F.H., Jr.; Casati, M.Z. Comparative 6-month clinical study of a semilunar coronally positioned flap and subepithelial connective tissue graft for the treatment of gingival recession. J. Periodontol. 2006, 77, 174–181. [Google Scholar] [CrossRef] [PubMed]
- Liu, F.; Pelekos, G.; Jin, L.J. The gingival biotype in a cohort of Chinese subjects with and without history of periodontal disease. J. Periodontal Res. 2017, 52, 1004–1010. [Google Scholar] [CrossRef] [PubMed]
- Maynard, J.G.; Wilson, R.D. Diagnosis and management of mucogingival problems in children. Dent. Clin. N. Am. 1980, 24, 683–703. [Google Scholar] [CrossRef] [PubMed]
- Seibert, J.; Lindhe, J. Esthetics and Periodontal Therapy. In Textbook of Clinical Periodontology; Lindhe, J., Ed.; Copenhagen: Munksgaard, Denmark, 1989; pp. 447–514. [Google Scholar]
- Kao, R.T.; Pasquinelli, K. Thick vs. Thin gingival tissue: A key determinant in tissue response to disease and restorative treatment. CDA J. 2002, 30, 521–526. [Google Scholar]
- Eghbali, A.; De Bruyn, H.; Cosyn, J.; Kerckaert, I.; Van Hoof, T. Ultrasonic assessment of mucosal thickness around implants: Validity, reproducibility, and stability of connective tissue grafts at the buccal aspect. Clin. Implant. Dent. Relat. Res. 2016, 18, 51–61. [Google Scholar] [CrossRef]
- DeRouck, T.; Eghbaldi, R.; Collys, K.; De Bruyn, H.; Cosyn, J. The gingival biotype revisited: Transparency of the periodontal probe through the gingival margin as a method to discriminate thin from thick gingival. J. Clin. Periodontol. 2009, 36, 428–433. [Google Scholar] [CrossRef]
- Kan, J.Y.; Rungcharassaeng, K.; Umezu, K.; Kois, J.C. Dimensions of peri-implant mucosa: An evaluation of maxillary anterior single implants in humans. J. Periodontol. 2003, 74, 557–562. [Google Scholar] [CrossRef]
- Januário, A.L.; Barriviera, M.; Duarte, W.R. Soft tissue cone-beam computed tomography: A novel method for the measurement of gingival tissue and the dimensions of the dentogingival unit. J. Esthet. Restor. Dent. 2008, 20, 366–374. [Google Scholar] [CrossRef]
- Beire, J.M.; Paulo, D.C.H.; Devito, K.L.; Falabella, M.E.V. Clinical and tomography evaluation of periodontal phenotypes of Brazilian dental students. J. Indian Soc. Periodontol. 2021, 25, 207–212. [Google Scholar] [CrossRef]
- Zhao, H.; Zhang, L.; Li, H.; Hieawy, A.; Shen, Y.; Liu, H. Gingival phenotype determination: Cutoff values, relationship between gingival and alveolar crest bone thickness at different landmarks. J. Dent. Sci. 2023, 18, 1544–1552. [Google Scholar] [CrossRef]
- Eghbali, A.; De Rouck, T.; De Bruyn, H.; Cosyn, J. The gingival biotype assessed by experienced and inexperienced clinicians. J. Clin. Periodontol. 2009, 36, 958–963. [Google Scholar] [CrossRef] [PubMed]
- Garber, D.A.; Salama, M.A. The aesthetic smile: Diagnosis and treatment. Periodontology 2000 1996, 11, 18–28. [Google Scholar] [CrossRef] [PubMed]
- Gargiulo, A.W.; Wentz, F.M.; Orban, B. Dimensions and relations of the dentogingival junction in humans. J. Periodontol. 1961, 32, 261–267. [Google Scholar] [CrossRef]
- Ingber, J.S.; Rose, L.F.; Coslet, J.G. The “biological width”—A concept in periodontics and restorative dentistry. Alpha Omegan 1977, 70, 62–65. [Google Scholar]
- Schmidt, J.C.; Sahrmann, P.; Weiger, R.; Schmidlin, P.R.; Walter, C. Biologic width dimensions—A systematic review. J. Clin. Periodontol. 2013, 40, 493–504. [Google Scholar] [CrossRef]
- Vacek, J.S.; Gher, M.E.; Assad, D.A.; Richardson, A.C.; Giambarresi, L.I. The dimensions of the human dentogingival junction. Int. J. Periodontics Restor. Dent. 1994, 14, 154–165. [Google Scholar]
- Arora, R.; Narula, S.C.; Sharma, R.K.; Tewari, S. Supracrestal gingival tissue: Assessing relation with periodontal biotypes in a healthy periodontal. Int. J. Periodontics Restor. Dent. 2013, 33, 763–771. [Google Scholar] [CrossRef]
- Sanavi, F.; Weisgold, A.S.; Rose, L.F. Biological width and its relation to periodontal biotypes. J. Esthet. Dent. 1998, 10, 157–163. [Google Scholar] [CrossRef]
- Arora, R.; Narula, S.C.; Sharma, R.K.; Tewari, S. Evaluation of supracrestal gingival tissue after surgical crown lengthening: A 6-month clinical study. J. Periodontol. 2013, 84, 934–940. [Google Scholar] [CrossRef]
- Kahn, S.; Dias, A.T.; Silveira, F.C.; Sliman, S.B.; Fernandes, G.V.O. Multidisciplinary Treatment for Gummy Smile Using Digital Resources. In La Nouvelle Revue de Parodontologie & d’Implantologie; Saadoun, A.P., Mattout, P., Eds.; Espace Id; L’information dentaire: Paris, France, 2022; p. 5. [Google Scholar]
- Abdelhafez, R.; Mustafa, N. Determining the periodontal phenotype—Probe transparency versus actual: A diagnostic study. J. Esthet. Restor. Dent. 2023, 35, 1001–1007. [Google Scholar] [CrossRef]
- Zou, P. Combined periodontal-orthodontic treatment with periodontal corticotomy regenerative surgery in an adult patient suffering from periodontitis and skeletal class ii malocclusion: A case report with 5-year longitudinal observation. Medicina 2024, 60, 904. [Google Scholar] [CrossRef] [PubMed]
- Kim, D.; Bassir, S.; Nguyen, T. Effect of gingival phenotype on the maintenance of periodontal health: An American Academy of Periodontology best evidence review. J. Periodontol. 2020, 91, 311–338. [Google Scholar] [CrossRef] [PubMed]
- Liu, J.; Li, G.; Ya, T.; Yan, F.; Tan, B. Multi-disciplinary treatment of maxillofacial skeletal deformities by orthognathic surgery combined with periodontal phenotype modification: A case report. World J. Clin. Cases 2022, 10, 8980–8989. [Google Scholar] [CrossRef]
- Kadkhodazadeh, M. Periodontal phenotype modification in orthodontic patients. J. Esthet. Restor. Dent. 2023, 36, 548–554. [Google Scholar] [CrossRef]
- Kao, R.T.; Curtis, D.A.; Kim, D.M.; Lin, G.-H.; Wang, C.-W.; Cobb, C.M.; Hsu, Y.-T.; Kan, J.; Velasquez, D.; Ávila-Ortiz, G.; et al. American Academy of Periodontology best evidence consensus statement on modifying periodontal phenotype in preparation for orthodontic and restorative treatment. J. Periodontol. 2020, 91, 289–298. [Google Scholar] [CrossRef]
- Orvalho, J.M.; Fernandes, J.C.H.; Castilho, R.M.; Fernandes, G.V.O. The Macrophage’s Role on Bone Remodeling and Osteogenesis: A Systematic Review. Clin. Rev. Bone Miner. Metabol. 2023, 21, 1–13. [Google Scholar] [CrossRef]
- Zhang, B.; Yang, Y.; Yi, J. Hyperglycemia modulates m1/m2 macrophage polarization via reactive oxygen species overproduction in ligature-induced periodontitis. J. Periodontal Res. 2021, 56, 991–1005. [Google Scholar] [CrossRef]
- Li, Y. The role of WTAP in regulating macrophage-mediated osteoimmune responses and tissue regeneration in periodontitis. Front. Immunol. 2024, 15. [Google Scholar] [CrossRef]
- Miyashita, Y.; Kuraji, R.; Ito, H.; Numabe, Y. Wound healing in periodontal disease induces macrophage polarization characterized by different arginine-metabolizing enzymes. J. Periodontal Res. 2021, 57, 357–370. [Google Scholar] [CrossRef]
- Wang, Q.; Nie, L.; Zhao, P.; Xinyi, Z.; Ding, Y.; Chen, Q.; Wang, Q. Diabetes fuels periodontal lesions via glut1-driven macrophage inflammaging. Int. J. Oral Sci. 2021, 13, 11. [Google Scholar] [CrossRef]
- Ghahroudi, A.A.R.; Khorsand, A.; Yaghobee, S.; Haghighati, F. Is biological width of anterior and posterior teeth similar? Acta Med. Iran. 2014, 52, 697–702. [Google Scholar]
- Lanning, S.K.; Waldrop, T.C.; Gunsolley, J.C.; Maynard, J.G. Surgical crown lengthening: Evaluation of the biological width. J. Periodontol. 2003, 74, 468–474. [Google Scholar] [CrossRef] [PubMed]
- Ganji, K.K.; Patil, V.A.; John, J. A Comparative Evaluation for Biologic Width Following Surgical Crown Lengthening Using Gingivectomy and Ostectomy Procedure. Int. J. Dent. 2012, 2012, 479241. [Google Scholar] [CrossRef]
- Shobha, K.S.; Mahantesha, S.H.; Mani, R.; Kranti, K. Clinical evaluation of the biological width following surgical crown-lengthening procedure: A prospective study. J. Indian Soc. Periodontol. 2010, 14, 160–167. [Google Scholar] [CrossRef]
- Oakley, E.; Rhyu, I.C.; Karatzas, S.; Gandini-Santiago, L.; Nevins, M.; Caton, J. Formation of the biological width following crown lengthening in nonhuman primates. Int. J. Periodontics Restor. Dent. 1999, 19, 529–541. [Google Scholar]
- Mele, M.; Felice, P.; Sharma, P.; Mazzotti, C.; Bellone, P.; Zucchelli, G. Esthetic treatment of altered passive eruption. Periodontology 2000 2018, 77, 65–83. [Google Scholar] [CrossRef]
- Levine, R.A.; McGuire, M. The diagnosis and the treatment of the gummy smile. Compend. Contin. Educ. Dent. 1997, 18, 757–762. [Google Scholar]
- Claman, L.; Alfaro, M.A.; Mercado, A. An interdisciplinary approach for improved esthetic result in the anterior maxilla. J. Prosthet. Dent. 2003, 89, 1–5. [Google Scholar] [CrossRef]
- Abou-Array, R.V.; Souccar, N.M. Periodontal treatment of excessive gingival display. Semin. Orthod. 2013, 19, 267–278. [Google Scholar] [CrossRef]
- Batista, E.L., Jr.; Moreira, C.C.; Batista, F.C.; Oliveira, R.R.; Pereire, K.K.Y. Altered passive eruption diagnosis and treatment: A cone beam computed tomography-based reappraisal of the condition. J. Clin. Periodontol. 2012, 39, 1089–1096. [Google Scholar] [CrossRef]
- Ribeiro, F.V.; Hirata, D.Y.; Reis, A.F.; Santos, V.R.; Miranda, T.S.; Faveri, M.; Duarte, P.M. Open-flap versus flapless esthetic crown lengthening: 12-month clinical outcomes of a randomized controlled clinical trial. J. Periodontol. 2014, 85, 536–544. [Google Scholar] [CrossRef] [PubMed]
- Cairo, F.; Graziani, F.; Franchi, L.; Defraia, E.; Pini Prato, G.P. Periodontal plastic surgery to improve aesthetics in patients with altered passive eruption/gummy smile: A case series study. Int. J. Dent. 2012, 2012, 837658. [Google Scholar] [CrossRef]
- Zucchelli, G. Altered Passive Eruption. In Mucogingival Esthetic Surgery; Quintessence Publishing and Co., Inc.: Berlin, Germany, 2013; Volume 29, pp. 749–793. [Google Scholar]
- Camargo, P.M.; Melnick, P.R.; Camargo, L.M. Clinical crown lengthening in the esthetic zone. J. Calif. Dent. Assoc. 2007, 35, 487–498. [Google Scholar]
- Rossi, R.; Benedetti, R.; Santos-Morales, R.I. Treatment of altered passive eruption: Periodontal plastic surgery of the dentogingival junction. Eur. J. Esthet. Dent. 2008, 3, 212–223. [Google Scholar] [PubMed]
- Dolt, A.H.; Robbins, W. Altered passive eruption: An etiology of short clinical crowns. Quintessence Int. 1997, 28, 363–371. [Google Scholar]
- Robbins, W. Differential diagnosis and treatment of excess gingival display. Pract. Periodontics Aesthet. Dent. 1999, 11, 265–272. [Google Scholar]
- De Carvalho, P.F.M.; Silva, R.C.; Joly, J.C. Aesthetic crown lengthening: A flapless, new approach, Revista da Associação Paulista de Cirurgiões Dentistas. Rev. Assoc. Paulista Cir. Dent. 2010, 1, 26–33. [Google Scholar]
- Joly, J.C.; Carvalho, P.F.M.; Silva, R.C. Reconstrução Tecidual Estética—Procedimentos Plásticos e Regenerativos Periodontais e Peri-implantares; Artes. Médicas: São Paulo, Brazil, 2009. [Google Scholar]
- Pontoriero, R.; Carnevale, G. Surgical crown lengthening: A 12-month clinical wound healing study. J. Periodontol. 2001, 72, 841–848. [Google Scholar] [CrossRef]
- Vercellotti, T. Technological characteristics and clinical indications of piezoelectric bone surgery. Minerva Stomatol. 2004, 53, 207–214. [Google Scholar] [PubMed]
- Altayeb, W.; Arnabat-Dominguez, J.; Low, S.B.; Abdullah, A.; Romanos, G.E. Laser-Assisted Esthetic Crown Lengthening: Open-Flap versus Flapless. Int. J. Period. Rest. Dent. 2022, 42, 53–62. [Google Scholar] [CrossRef]
- Aoki, A.; Mizutani, K.; Schwarz, F.; Schwarz, F.; Sculean, A.; Yukna, R.A.; Takasaki, A.A.; Romanos, G.E.; Taniguchi, Y.; Sasaki, K.M.; et al. Periodontal and peri-implant wound healing following laser therapy. Periodontology 2000 2015, 68, 217–269. [Google Scholar] [CrossRef] [PubMed]
- Pasqualini, E.; Castro, F.; Curado, D.; Martelete, A.; Heboyan, A.; Saleh, M.H.; Fernandes, J.C.H.; Fernandes, G.V.O. Minimally invasive periodontal regeneration with the buccal approach: A systematic review and meta-analysis of clinical studies. Evid. Based Dent. 2024, 25, 54. [Google Scholar] [CrossRef]
- Ishikawa, I.; Aoki, A.; Takasaki, A.A.; Mizutani, K.; Sasaki, K.M.; Izumi, Y. Application of lasers in periodontics: True innovation or myth? Periodontology 2000 2009, 50, 90–126. [Google Scholar] [CrossRef]




| Code | Phenotype | Description |
|---|---|---|
| A1 | Thin–Scalloped | Elongated teeth; narrowly inserted gingival band; thin gingival thickness; scalloped gingival margin |
| A2 | Thick Festonated | Elongated teeth; narrow band of attached gingiva; thick gingival thickness; scalloped gingival margin |
| B | Thick–Flat | Short, wide teeth; wide band of attached gingiva; thick gingiva; flat gingival margin |
| Periodontal Phenotype (Gingival Phenotype and Bone Morphotype) | Surgical Approach (Sorted by the 1st Option Recommended) | Surgical Strategies |
|---|---|---|
| A1—Thin and scalloped | No flap (flapless) or careful partial flap * | CEJ–BC distance: 1–2 mm |
| A2—Thick and scalloped | Partial thickness flap or flapless | CEJ–BC distance: 2–3 mm |
| B—Thick and flat | Full thickness flap | CEJ–BC distance: 3–4 mm |
Disclaimer/Publisher’s Note: The statements, opinions and data contained in all publications are solely those of the individual author(s) and contributor(s) and not of MDPI and/or the editor(s). MDPI and/or the editor(s) disclaim responsibility for any injury to people or property resulting from any ideas, methods, instructions or products referred to in the content. |
© 2024 by the authors. Licensee MDPI, Basel, Switzerland. This article is an open access article distributed under the terms and conditions of the Creative Commons Attribution (CC BY) license (https://creativecommons.org/licenses/by/4.0/).
Share and Cite
Kahn, S.; Rodrigues, W.J.d.P.R.; Dias, A.T.; Resende, R.; Fernandes, J.C.H.; Fernandes, G.V.O. Crown Lengthening Surgery in the Esthetic Area for Optimized Results: A Review with Surgical Recommendations. Surgeries 2024, 5, 1043-1055. https://doi.org/10.3390/surgeries5040084
Kahn S, Rodrigues WJdPR, Dias AT, Resende R, Fernandes JCH, Fernandes GVO. Crown Lengthening Surgery in the Esthetic Area for Optimized Results: A Review with Surgical Recommendations. Surgeries. 2024; 5(4):1043-1055. https://doi.org/10.3390/surgeries5040084
Chicago/Turabian StyleKahn, Sérgio, Walmir Júnio de Pinho Reis Rodrigues, Alexandra Tavares Dias, Rodrigo Resende, Juliana Campos Hasse Fernandes, and Gustavo Vicentis Oliveira Fernandes. 2024. "Crown Lengthening Surgery in the Esthetic Area for Optimized Results: A Review with Surgical Recommendations" Surgeries 5, no. 4: 1043-1055. https://doi.org/10.3390/surgeries5040084
APA StyleKahn, S., Rodrigues, W. J. d. P. R., Dias, A. T., Resende, R., Fernandes, J. C. H., & Fernandes, G. V. O. (2024). Crown Lengthening Surgery in the Esthetic Area for Optimized Results: A Review with Surgical Recommendations. Surgeries, 5(4), 1043-1055. https://doi.org/10.3390/surgeries5040084

