Next Article in Journal
A Focus on Heart Failure Management through Diet and Nutrition: A Comprehensive Review
Previous Article in Journal
Supervised Machine Learning to Examine Factors Associated with Respiratory Sinus Arrhythmias and Ectopic Heart Beats in Adults: A Pilot Study
 
 
Font Type:
Arial Georgia Verdana
Font Size:
Aa Aa Aa
Line Spacing:
Column Width:
Background:
Case Report

Breaking Boundaries: From Fall to Rapid Cardiac Rescue

by
Michele D’Alonzo
1,*,
Mariantonietta Piscitelli
1 and
Francesco Cilia
2
1
Department of Cardiac Surgery, Hôpitaux Universitaires Henri Mondor, Assistance Publique-Hôpitaux de Paris, 94000 Creteil, France
2
Department of Perioperative Cardiology and Cardiovascular Imaging, Centro Cardiologico Monzino IRCCS, 20138 Milan, Italy
*
Author to whom correspondence should be addressed.
Hearts 2024, 5(3), 288-292; https://doi.org/10.3390/hearts5030021
Submission received: 21 June 2024 / Revised: 11 July 2024 / Accepted: 18 July 2024 / Published: 22 July 2024

Abstract

The occurrence of pericardial rupture as a complication of blunt thoracic trauma has the potential to result in cardiac dislocation unless promptly identified and subjected to suitable surgical intervention. This phenomenon is exceptionally uncommon and is associated with a significant mortality rate between 30 and 67%. The diagnosis remains complex due to the scarcity of symptoms. However, the routine application of computed tomography (CT) scans in the management of trauma patients could facilitate the early identification of cardiac dislocation. In this case report, we described the diagnostic–therapeutic pathway of a pericardial rupture due to high-intensity trauma.

1. Introduction

Pericardial rupture, a rare but severe complication of blunt thoracic trauma, poses a significant threat to patients due to the potential for cardiac dislocation. This condition is occasionally encountered in clinical practice, making its diagnosis and treatment particularly challenging. The mortality rate associated with pericardial rupture is alarmingly high, ranging between 30% and 67%, underscoring the critical need for prompt identification and intervention.
Blunt thoracic trauma can result from various high-energy impacts, such as motor vehicle accidents, falls from significant heights, or direct blows to the chest. The pericardium, a tough double-layered fibroelastic sac surrounding the heart, serves as a protective barrier. However, under extreme force, it can tear, leading to pericardial rupture. This rupture creates a risk of cardiac dislocation, where the heart shifts from its normal anatomical position. Such displacement can severely disrupt cardiac function and blood flow, leading to life-threatening complications if not addressed urgently.
One of the primary challenges in diagnosing pericardial rupture lies in its presentation. Symptoms are often nonspecific and can be easily attributed to other injuries or conditions. Patients may exhibit signs of chest pain, dyspnea, or shock, which are common in various forms of thoracic trauma. Due to these overlapping symptoms, the condition can be easily overlooked without a high index of suspicion. Traditional diagnostic methods, such as physical examination and standard chest X-rays, are typically insufficient to detect pericardial rupture or cardiac dislocation accurately. While echocardiography may serve as an initial diagnostic approach, it is inadequate for comprehensively elucidating all aspects of pericardial rupture and for pre-operative planning. In theory, magnetic resonance imaging (MRI) is more effective in visualizing pericardial defects and cardiac dislocation. However, due to the patient’s clinical condition, which requires rapid diagnosis and treatment, it is practically never used.
The advent of computed tomography (CT) scanning has revolutionized the management of trauma patients, particularly in the context of thoracic injuries. CT imaging provides a detailed view of the chest’s anatomical structures, allowing for the precise identification of pericardial tears and the assessment of the heart’s position. In trauma settings, the routine use of CT scans can significantly enhance the early detection of pericardial rupture, facilitating timely surgical intervention.
The prompt diagnosis enabled the medical team to prepare for an immediate surgical response. The surgical intervention involved repairing the pericardial tear and repositioning the heart within the thoracic cavity. Postoperative care focused on monitoring for potential complications, such as infection, arrhythmias, or recurrent dislocation. In this case report, we described the diagnostic–therapeutic pathway of a pericardial rupture due to high-intensity trauma.

2. Detailed Case Description

In this case report, a 54-year-old female was referred to our Emergency Department of Henri Mondor Hospital (Assistance Publique–Hôpitaux de Paris), Creteil, France, following a suicide attempt encompassing defenestration from a fifth-floor height. Remarkably, despite the high-impact descent, the patient survived the fall. Upon arrival of the emergency, she was positioned in the recovery position with a cervical collar applied by firefighters. Vital signs were as follows: blood pressure 113/92 mmHg, heart rate 90 bpm, and oxygen saturation 91% under 15 L/min of oxygen. Glasgow Coma Scale was 3/15 with anisocoria (right > left), and no signs of focal neurological deficits. Heart sounds were regular with no significant murmurs, palpable pulses, cold extremities. Oxygen desaturation reached 83% prior to intubation.
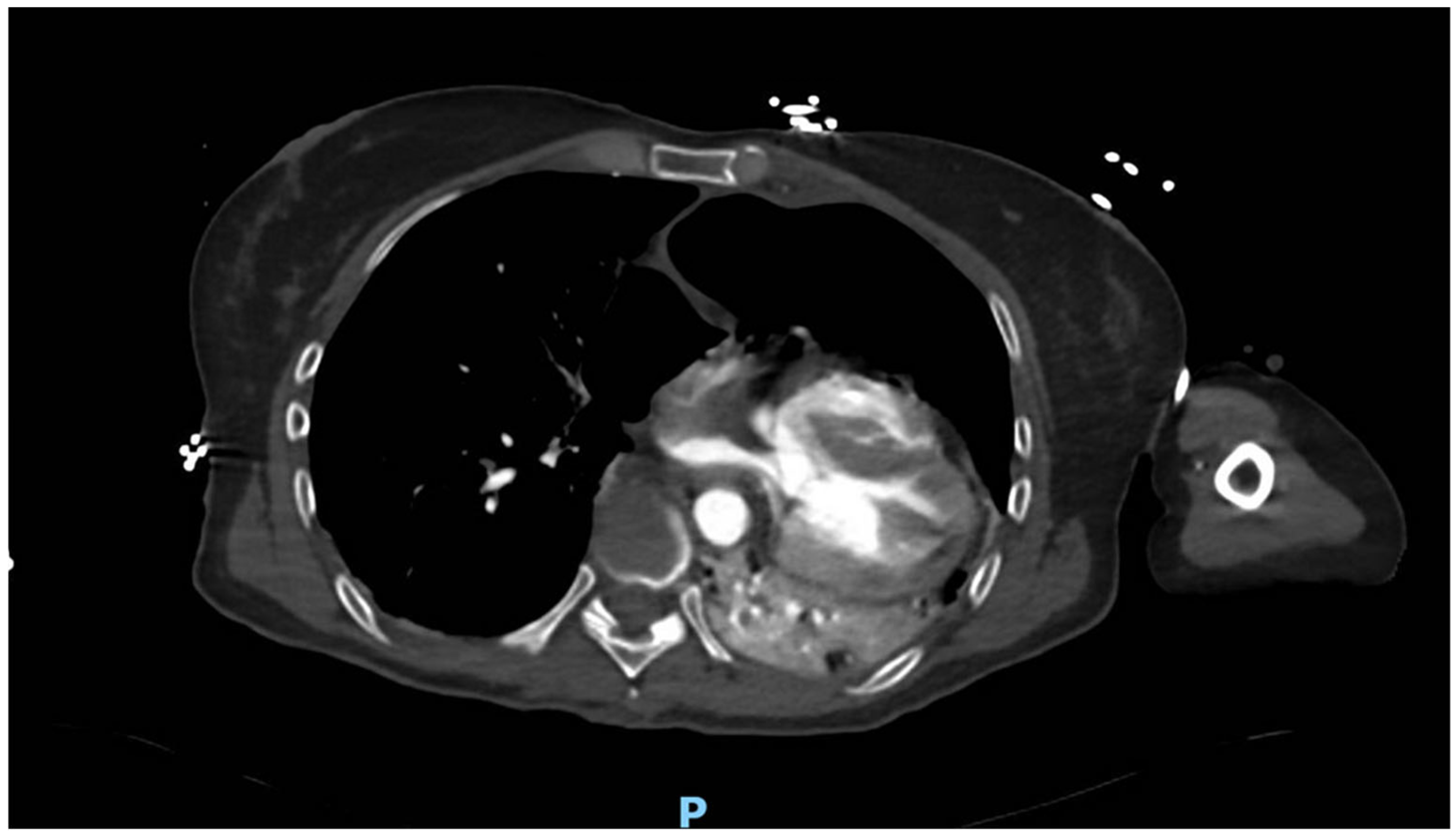
After an expeditious evaluation at the trauma center, a computed tomography (CT) scan revealed that the heart was completely dislocated within the left lung, attributable to a traumatic rupture of the pericardium (Figure 1). Other additional findings included a substantial pneumomediastinum associated with a moderate left pneumothorax, foci of consolidation in the lower lobe, “ground-glass opacities” involving the middle lobe suggestive of parenchymal contusion, no traumatic rupture of the major blood vessels, and no cardiac tamponade.
The 3D reconstruction enabled a better visualization of the pericardial damage and the displacement of the heart within the thoracic cavity, which was significantly shifted to the left. (Figure 2).
The patient exhibited instability, manifesting as sinus tachycardia, low blood pressure, and heightened reliance on inotropic support. Fortunately, no evidence of cardiac tamponade was found at echocardiography.
Immediate surgical intervention was imperative due to the patient’s unpredictable outlook, leading to the patient’s transfer to the operating room. The surgical team executed a procedure of reduction of the luxated heart. Initially, manual repositioning of the heart was conducted, followed by the restoration of the pericardial coverage using a Dacron pericardial patch. A total of seven Polypropylene 2/0 stiches were applied in a simple fashion with 1 cm distance from each other.
The meticulous placement of the pericardial patch reestablished the natural anatomical alignment of the heart within the thoracic cavity, addressing the critical consequences of the traumatic pericardial rupture. Post-surgical care encompassed vigilant monitoring in the intensive care unit, focusing on the meticulous assessment of vital signs. The postoperative CT scan revealed the heart in an intrapericardial position with a normal orientational profile, regression of nearly all the pneumomediastinum and pneumothorax, a minimal left pleural effusion, and an unchanged presentation of rib fractures.
However, the brain scan showed the emergence of a cranial hematoma with a 67 mm anteroposterior diameter involving the temporal region. The patient underwent a fronto-parieto-temporal craniectomy for evacuation, resulting in the regression of hemorrhagic lesions but the appearance of communicating hydrocephalus. Despite cardiovascular optimization, the neurological damage was deemed too extensive, and after 25 days, life support was withdrawn.

3. Discussion

The rupture of the pericardium is a rare complication of blunt chest trauma (occurring in approximately 1–2% of cases). Its diagnosis is challenging, and delayed identification could result in life-threatening complications such as cardiac dislocation. Fulda and coworkers reported a mortality rate of 76% in a cohort of 59 patients [1].
As traumatic, pericardial tears can be associated with injuries of the myocardium and valves. Clark et al. [2] reported tricuspid valve injuries in 3% of patients. Echocardiography is necessary to visualize associated heart damage. However, it seldom contributes to diagnosing a pericardial rupture accurately.
Recently, Graef et al. performed a review of the literature and they found that the most frequent traumatic mechanisms were car crashes (65.5%), falls (13.8%) and motorcycle crashes (12%). Of 58 patients with reported heart dislocations, 44 patients survived, accounting for a total mortality rate of 24% [3].
They proposed a classification system based on radiologic and intraoperative findings:
  • Type I: pericardial rupture without dislocation of the heart.
  • Type II: pericardial rupture with subluxation of the heart.
  • Type IIIa: complete dislocation of the heart outside of the pericardium.
  • Type IIIb: complete dislocation of the heart with malrotation.
  • Type IIIc: complete dislocation of the heart in combination with a myocardial tear or rupture.
This classification aids clinicians in understanding the severity and potential complications of the injury, guiding both diagnosis and treatment strategies. Our scenario depicts a case of Type IIIa rupture because of lack of malrotation and myocardial tear.
Cardiac injuries were found in 33 cases (54%), all of which involved falls from heights exceeding 6 m. In 16 cases, the cardiac injuries were the cause of death or contributed to the fatal outcome. In five of these cases, the individuals could have possibly recovered from their trauma if their heart injury had been accurately diagnosed and adequately treated in time [4].
The most severe complication is extra-pericardiac luxation of the heart with strangulation or volvulus, depending on the site and size of the pericardial tear [5]. Factors such as the moment of inertia, hydrodynamic impact, elasticity, and resistance of different tissues are involved in the grade of damage gravity [6].
Due to the urgent nature of the situation, the most common surgical approach is the complete median sternotomy. This method allows for enhanced visualization of the pericardium, heart, and potentially damaged structures resulting from trauma. Nevertheless, it is noteworthy that the literature also reports cases that have been successfully managed through a thoracotomy approach. Our suggestion is to choose a complete median sternotomy in urgent scenarios as it provides a comprehensive view of the vital anatomical structures involved. This approach facilitates a thorough assessment of the pericardium and the heart, enabling surgeons to promptly address any trauma-related damage.

4. Conclusions

CT scan should be performed in all patients with blunt chest trauma. This case report confirms that pericardial rupture with cardiac herniation can be successfully treated with a simple but tempestive operation. Nevertheless, extra-thoracic injuries can be devastating for the patient’s prognosis, necessitating a multidisciplinary approach to address the numerous challenges such a scenario presents.

Author Contributions

Conceptualization, M.D.; writing—original draft preparation, M.D.; writing—review and editing, M.P.; visualization: F.C. All authors have read and agreed to the published version of the manuscript.

Funding

This research received no external funding.

Institutional Review Board Statement

Ethical review and approval were waived for this study due to the observational and retrospective nature of the research.

Informed Consent Statement

Consent was waived due to the emergency scenario and the neurological damage sustained.

Data Availability Statement

The patient data presented in this case report are described in the text. However, if additional data are needed, a request can be made to the corresponding author. Concerning radiological images, the preoperative and postoperative exams are stored on the Hospital server (Assistance Publique–Hôpitaux de Paris) and are available upon request to the corresponding author.

Conflicts of Interest

The authors declare no conflicts of interest.

References

  1. Fulda, G.; Brathwaite, C.E.; Rodriguez, A.; Turney, S.Z.; Dunham, C.M.; Cowley, R.A. Blunt traumatic rupture of the heart and pericardium: A ten-year experience (1979–1989). J. Trauma Acute Care Surg. 1991, 31, 167–172, discussion 172–173. [Google Scholar] [CrossRef]
  2. Clark, D.E.; Wiles, C.S.; Lim, M.K.; Dunham, C.M.; Rodriguez, A. Traumatic rupture of the pericardium. Surgery 1983, 93, 495–503. [Google Scholar] [PubMed]
  3. Graef, F.; Walter, S.; Baur, A.; Tsitsilonis, S.; Moroder, P.; Kempfert, J.; Märdian, S. Traumatic cardiac dislocation-A case report and review of the literature including a new classification system. J. Trauma Acute Care Surg. 2019, 87, 944–953. [Google Scholar] [CrossRef] [PubMed]
  4. Türk, E.E.; Tsokos, M. Blunt Cardiac Trauma Caused by Fatal Falls From Height: An Autopsy-Based Assessment of the Injury Pattern. J. Trauma Inj. Infect. Crit. Care 2004, 57, 301–304. [Google Scholar] [CrossRef] [PubMed]
  5. Raffy, B.; Lacour-Gayet, F.; Etienne, J.C.; Fingerhut, A.; Jaouen, D.; Terville, J.P. Traumatic rupture of the pericardium with left intrapleural luxation of the heart in a patient with multiple trauma. Ann. Chir. 1993, 47, 132–135. [Google Scholar] [PubMed]
  6. Nassiri, N.; Yu, A.; Statkus, N.; Gosselin, M. Imaging of Cardiac Herniation in Traumatic Pericardial Rupture. J. Thorac. Imaging 2009, 24, 69–72. [Google Scholar] [CrossRef] [PubMed]
Figure 1. Computed axial tomography showing heart dislocation. P: posterior side.
Figure 1. Computed axial tomography showing heart dislocation. P: posterior side.
Hearts 05 00021 g001
Figure 2. Three-dimensional reconstruction highlights abnormal position of the heart.
Figure 2. Three-dimensional reconstruction highlights abnormal position of the heart.
Hearts 05 00021 g002
Disclaimer/Publisher’s Note: The statements, opinions and data contained in all publications are solely those of the individual author(s) and contributor(s) and not of MDPI and/or the editor(s). MDPI and/or the editor(s) disclaim responsibility for any injury to people or property resulting from any ideas, methods, instructions or products referred to in the content.

Share and Cite

MDPI and ACS Style

D’Alonzo, M.; Piscitelli, M.; Cilia, F. Breaking Boundaries: From Fall to Rapid Cardiac Rescue. Hearts 2024, 5, 288-292. https://doi.org/10.3390/hearts5030021

AMA Style

D’Alonzo M, Piscitelli M, Cilia F. Breaking Boundaries: From Fall to Rapid Cardiac Rescue. Hearts. 2024; 5(3):288-292. https://doi.org/10.3390/hearts5030021

Chicago/Turabian Style

D’Alonzo, Michele, Mariantonietta Piscitelli, and Francesco Cilia. 2024. "Breaking Boundaries: From Fall to Rapid Cardiac Rescue" Hearts 5, no. 3: 288-292. https://doi.org/10.3390/hearts5030021

APA Style

D’Alonzo, M., Piscitelli, M., & Cilia, F. (2024). Breaking Boundaries: From Fall to Rapid Cardiac Rescue. Hearts, 5(3), 288-292. https://doi.org/10.3390/hearts5030021

Article Metrics

Back to TopTop