Next Article in Journal
Peptide YY and Glucagon-like Peptide-1 Secretion in Obesity
Previous Article in Journal
Guidelines on Management of Hereditary Polyposis Syndromes in Pediatric Patients: Agreement, Disagreement and Where It Matters
 
 
Font Type:
Arial Georgia Verdana
Font Size:
Aa Aa Aa
Line Spacing:
Column Width:
Background:
Case Report

Metastatic Jejunal Adenocarcinoma in the Hepatobiliary Limb Post-Liver Transplant: Diagnostic Challenges in a Patient with Roux-en-Y Gastric Bypass †

1
Department of Internal Medicine, Trinity Health Oakland/Wayne State University, Pontiac, MI 48341, USA
2
Division of Gastroenterology and Hepatology, University of Arkansas for Medical Sciences, Little Rock, AR 72205, USA
3
Department of Internal Medicine, White River Health, Batesville, AR 72501, USA
*
Author to whom correspondence should be addressed.
This paper is an extended version of our paper published in the 2024 ACG Annual Meeting, Philadelphia, PA, USA, 25–30 October 2024.
Gastrointest. Disord. 2025, 7(1), 2; https://doi.org/10.3390/gidisord7010002
Submission received: 26 October 2024 / Revised: 13 December 2024 / Accepted: 24 December 2024 / Published: 30 December 2024

Abstract

Background: The rise in bariatric surgeries, particularly Roux-en-Y gastric bypass (RYGB), has added complexity to diagnostic evaluations in post-transplant patients. Case Presentation: We present a rare case of metastatic jejunal adenocarcinoma in the biliopancreatic limb of a patient with a history of RYGB, diagnosed three months after simultaneous liver–kidney transplantation. Despite multiple advanced imaging modalities, the primary malignancy eluded detection during pre-transplant evaluation. The patient developed progressive anemia and persistent liver enzyme elevation, which led to a comprehensive diagnostic workup. After failed initial endoscopic and radiological attempts, a multifaceted approach combining PET-CT, targeted open liver biopsy, and repeat endoscopy via a G-tube site enabled the discovery of a 5 cm partially obstructing jejunal mass. Histopathological analysis confirmed moderately differentiated adenocarcinoma. Conclusions: This case underscores the challenges in diagnosing gastrointestinal malignancies in patients with altered anatomy, particularly following RYGB. It highlights the need for modified cancer screening protocols before organ transplantation, especially for those with complex post-surgical gastrointestinal anatomy, to prevent the development of metastatic disease post-transplant. Further research is warranted to refine screening strategies and improve early malignancy detection in this high-risk population.

1. Introduction

The small bowel comprises 95% of the mucosal surface of the digestive tract; however, the incidence of small bowel adenocarcinoma (SBA) is only 2.24 per 100,000 in the United States and represents around 3% of digestive cancers [1]. The common presenting symptoms are vague non-specific abdominal pain, nausea, and vomiting. However, some patients are diagnosed due to bleeding or symptoms of obstruction [2]. There is an average delay of 6–8 months in the diagnosis of SBAs, as they are not amenable to endoscopic examination, especially if they are distal to the duodenum [2]. Duodenal primaries comprise 50% of SBAs followed by the jejunum and ileum, comprising 30% and 20%, respectively [3]. Jejunal adenocarcinoma (JA) usually presents around the age of 60 years. A study by Dabaja et al. showed that 80% of JAs are diagnosed at stage III or IV due to vague presentation and poorly defined diagnostic modalities leading to delayed diagnostics [2].
The long-term survival of patients undergoing liver transplantation has markedly improved with advancements in liver transplantation (LT) techniques, postoperative management, and the development of immunosuppressive agents [4]. However, prolonged exposure to immunosuppression has been associated with an increased risk of developing de novo malignancy after liver transplantation [5]. Overall, it is estimated that the incidence of neoplasm ranges from 3.1 to 14.4%, and cancer-related mortality ranges from 0.6 to 8% in liver transplant recipients [6,7]. The risk of de novo malignancy gradually increases from the first transplant year and is the highest at 6–10 years of follow-up [8]. However, cancers diagnosed within the first six months of transplantation are likely pre-existing and cannot be identified as de novo except for post-transplant lymphoproliferative disorder (PTLD) [8].
We report a unique and previously undocumented case of metastatic jejunal adenocarcinoma arising in the hepatobiliary limb of a Roux-en-Y gastric bypass (RYGB) patient three months post simultaneous liver–kidney transplantation. This patient’s malignancy was discovered only after multiple metastatic liver lesions were identified post-simultaneous liver–kidney transplant. The atypical anatomical site and the complexity of post-RYGB anatomy contributed to the delayed diagnosis. This case underscores the diagnostic challenges in patients with altered gastrointestinal anatomy and highlights the need for enhanced cancer screening protocols in transplant candidates.

2. Case Presentation

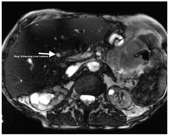
The patient was a 62-year-old woman with a history of Roux-en-Y gastric bypass (1993) for weight management, liver cirrhosis, and chronic kidney disease stage IV secondary to apolipoprotein A-1 amyloidosis requiring simultaneous liver–kidney transplant with gastrostomy tube placement in the remnant pouch due to severe malnutrition (4 months before presentation), chronic iron deficiency anemia with unremarkable EGD, and colonoscopy before transplant (baseline Hb: 8 mg/dL). The patient had persistently elevated liver enzymes post-transplant and was admitted to the hospital for evaluation. The workup revealed multiple ring-enhancing liver lesions and focal narrowing at the anastomotic site, with extra- and intrahepatic duct dilatation on magnetic resonance cholangiopancreatography (Figure 1). In order to address the focal narrowing and the dilatation of the extra and intrahepatic duct, she underwent endoscopic retrograde cholangiopancreatography (ERCP) and endoscopic ultrasound (EUS) through the G-tube, which was unsuccessful due to significant fibrosis of the tract. Subsequently, a stent was placed to dilate the tract. A repeat ERCP and EUS through the G-tube showed right-sided structuring and dilatation. An attempt was made to biopsy the areas of ring-enhancing lesions during the EUS; however, it was unsuccessful due to poor visualization of the hepatic lobes. Subsequently, an IR-guided liver biopsy was attempted, but the histopathologic evaluation was inconclusive due to the limited sample. The patient was eventually discharged with close outpatient follow-up and monitoring.
The patient was noted to have a hemoglobin of 5.3 g/dL on the follow-up visit two days after her discharge, and she also noted dark stools. Her vital signs were stable. Lab work was significant for low WBC (2.51 K/µL, ref. 3.6–9.5), elevated creatinine (2.5 mg/dL, baseline 1.8 mg/dL), elevated ALP (483 IU/L, baseline 350 IU/L post-transplant), elevated GGT (209 IU/L, ref. 7–50 IU/L), and an elevated CA-19-9 of 133.7 U/mL (0–37 U/mL). Lab values before and during admission are presented in Table 1. A CT angiogram of the abdomen pelvis showed a focus of hyperintensity on the venous phase in the loop of the jejunum suggestive of active bleeding without evidence of arterial extravasation. Multiple ring-enhancing lesions on the liver were also evident on the scan. In order to localize the site of bleeding, she underwent endoscopic evaluation through the G-tube. A bronchoscope had to be used due to the smaller diameter of the G-tube, as a routine esophagogastroduodenoscope could not be passed through the G-tube. The scope was not passed across the pylorus due to technical difficulties, but there was no evidence of active or prior bleeding in the visualized areas of the remnant part of the stomach that was excluded during the Roux-en-Y procedure. She also underwent an ultrasound-guided liver biopsy for her workup of ring-enhancing lesions that was successful, and the biopsy was consistent with adenocarcinoma with abundant necrosis and multiple clusters of bacteria within the areas of necrosis.
The biopsy was suggestive of metastasis from the gastrointestinal tract. The patient underwent an esophagogastroduodenoscopy and a colonoscopy to localize the primary tumor, but both procedures were unremarkable for any evidence of malignant lesions. A capsule endoscopy was also performed to assess the small bowel, but there was no evidence of any malignant lesions or active bleeding. In order to further localize the bleeding, a tagged RBC gastrointestinal scan was performed that showed a focus of increased tagged red blood cells along the splenic flexure and extending inferiorly towards the midline. A PET-CT was performed that showed a focal intense FDG uptake in the left upper quadrant in the small bowel loop and multifocal FDG avid hepatic metastasis (Figure 2 and Figure 3). Based on the PET-CT findings, a repeat endoscopy was performed through the G-tube and, ultimately, a partially obstructing lesion of 5 cm was noted in the jejunum in the pancreaticobiliary limb of the remnant pouch with evidence of active bleeding (Figure 4).
The imaging and procedure findings during the hospital stay used to establish the primary site of the tumor are discussed in chronological order in Table 2. Figure 5 shows an illustration of the Roux-en-Y gastric bypass procedure and the approximate position of the jejunal mass, which made it difficult to access using routine endoscopic procedures [9]. The biopsy results of the mass were consistent with invasive moderately differentiated adenocarcinoma. The patient received multiple units of blood transfusion during her hospital stay, as her hemoglobin dropped significantly while undergoing a workup for her anemia. The patient’s case was discussed at the multidisciplinary tumor board meeting as well as the liver transplant team meeting, and a decision was made against systemic chemotherapy due to anemia and neutropenia as well as immunosuppression with tacrolimus. She was not a candidate for surgical excision due to metastasis of the tumor and altered anatomy due to prior Roux-en-y gastric bypass surgery. Palliative care was consulted, and the patient was discharged with outpatient palliative care follow-up to establish goals of care.

3. Discussion

Small bowel adenocarcinoma is a rare malignancy of the gastrointestinal tract; however, it is associated with the worst prognosis due to vague signs and symptoms as well as radiological diagnostic challenges [3]. Because of the rarity of small bowel tumors, there is no consensus on the approach for diagnosis and management of small bowel tumors. About 60% of patients are symptomatic at presentation and symptoms are most prominent in patients with jejunoileal tumors as compared to duodenal tumors [10]. According to a study of 127 patients with small bowel adenocarcinoma, 31.7% had stenosis-related symptoms and 25.4% had bleeding-related symptoms [10]. The stage-wise 5-year survival for small bowel adenocarcinoma is 55%, 50%, 30%, and 5% for Stages I, II, III, and IV, respectively [2]. The factors associated with poor prognosis are advanced age, poor performance status, duodenal primary, low serum albumin, high carcinoembryonic antigen (CEA) or cancer antigen 19-9 (CA 19.9), a poorly differentiated tumor, and positive surgical margins [10,11]. The most common sites for metastasis of small bowel adenocarcinoma are the liver and peritoneum, and approximately one-third of patients present with metastatic disease [10,12]. This is consistent with the case presented here, where persistently elevated liver enzymes and the presence of a ring-enhancing lesion on the liver led to further workup that eventually led to the discovery of jejunal adenocarcinoma in the pancreaticobiliary limb of the Roux-en-Y after an extensive radiological and endoscopic work up.
Various imaging techniques that can be employed to evaluate small bowel neoplasms include an upper gastrointestinal series with small bowel follow-through that involves administration of barium to delineate the small bowel and pick up mucosal abnormalities; a CT scan with oral contrast to detect abnormalities in the small bowel, the extramural spread of disease, and to rule out lymphatic and distant metastasis; and CT enterography/magnetic resonance (MR) enterography, which are the preferred modalities for the diagnosis and staging of small bowel neoplasms [3]. Positron emission tomography-CT (PET-CT) can be useful in staging, assessment of response to treatment, and restaging, but it is not routinely recommended [13]. The development of endoscopic ultrasound (EUS) has an expanding role in the field of hepatology due to its potential to evaluate the mediastinum, esophagus, stomach, pancreas, and biliary tract [14]. EUS is better when compared to other imaging modalities due to its potential to evaluate the liver by placing the transducer closer, and thereby avoiding interposing structures [14]. The potential to obtain an EUS-guided liver biopsy is also safer compared to the percutaneous ultrasound-guided liver biopsy, with specimen adequacy and diagnostic yield ranging from 90 to 100% [15]. The development of newer technologies like EUS–elastography, contrast enhancement EUS, and Doppler ultrasound has enabled the differentiation of benign and malignant liver lesions [14]. Arterial hyperenhancement with rim-like enhancement and subsequent rapid washout is the classing finding on contrast-enhanced EUS for metastatic liver lesions [16]. Altered anatomy and significant stenosis were limitations in our case, which led to an inconclusive EUS and difficulty obtaining tissue samples.
The increasing prevalence of obesity, with almost 39.8% of the US population affected, has led to an exponential rise in various malabsorptive or restrictive bariatric procedures like Roux-en-Y gastric bypass (RYGB), sleeve gastrectomy, and gastric banding [17]. RYGB has accounted for 60–70% of all bariatric procedures in the United States since 2003; however, sleeve gastrectomy and banding have become more popular recently due to their low-risk profiles and similar outcomes [17]. RYGB involves the creation of a gastric pouch, biliopancreatic limb, jejunojejunostomy, and gastrojejunostomy; however, endoscopic evaluation of the pancreaticobiliary limb can be challenging and requires double-balloon retrograde endoscopy or percutaneous gastrojejunostomy (PEG) tube placement into the remnant pouch [17,18]. The patient in our case had a PEG tube in the remnant pouch for enteral nutrition that enabled easy access to the pancreaticobiliary limb to evaluate her anemia.
With excellent long-term survival rates in patients with liver transplants, malignancies-related deaths are one of the most common causes in patients surviving at least 1-year post-transplant [19]. The estimate of de novo malignancies in post-transplant patients is estimated between 3.1 and 14.4% with a mortality rate of 0.6–8% [19]. However, there is no case reported in the current literature with a jejunal adenocarcinoma in a post-liver transplant patient within four months of the transplant. It can be postulated that the patient had an undiagnosed jejunal adenocarcinoma in the pancreaticobiliary limb before transplant that metastasized to the transplanted liver, or that the patient had de novo aggressive jejunal adenocarcinoma secondary to immunosuppression. The guidelines of the American Association of Liver Disease [20] do not recommend specific malignancy screening in patients with bariatric surgery; however, PET-CT before transplant or endoscopic evaluation of the remnant pouch could be a consideration in targeted populations to rule out preexisting malignancies definitively before liver transplantation.

4. Limitations

While this case provides valuable insights into the complexities of cancer diagnosis in transplant patients with Roux-en-Y gastric bypass, certain limitations should be acknowledged. The absence of comprehensive cancer screening pre-transplant, due to standard guidelines, limited our ability to ascertain whether the jejunal adenocarcinoma was de novo or pre-existing. Immunosuppressive therapy post-transplant, while essential, posed confounding effects, as it may have influenced the tumor’s aggressive behavior. Future research could explore optimal screening methods for detecting malignancies in high-risk patients undergoing liver transplantation to mitigate these diagnostic challenges and improve outcomes.

5. Conclusions

This case illustrates the limitations of current cancer screening practices in transplant candidates with altered gastrointestinal anatomy, particularly those who have undergone RYGB. The diagnosis of jejunal adenocarcinoma in the pancreaticobiliary limb of a Roux-en-Y gastric bypass patient shortly after a simultaneous liver–kidney transplant is unprecedented, especially given the limited accessibility of the small bowel for routine endoscopic evaluation. The patient’s post-transplant immunosuppression, essential for graft survival, may have contributed to accelerated tumor progression. This case highlights the potential need for enhanced cancer screening protocols in liver transplant candidates, particularly in those with altered anatomy from bariatric procedures, to identify possible pre-existing malignancies that might complicate post-transplant management by incorporating advanced imaging modalities, such as PET-CT, or selective endoscopic evaluations in transplant protocols for patients with a history of bariatric surgery. Early detection could significantly improve post-transplant outcomes by identifying occult malignancies. Furthermore, this case highlights the critical role of interdisciplinary collaboration in diagnosing and managing such complex conditions. Developing personalized screening approaches is essential to mitigate the risk of undiagnosed cancers in transplant recipients.

Author Contributions

All authors contributed to this study’s conception and design. Y.R.S. obtained the patient’s consent. M.K.R., H.K., M.G.S.D.S., M.G.D., C.C., S.I. and Y.R.S. provided clinical care. Y.R.S. and C.C. wrote the first draft of this manuscript. M.K.R. and C.C. contributed to the editing and final review of this manuscript. H.K. and Y.R.S. contributed to collecting data and modifying this manuscript after peer review. Y.R.S. is this article’s guarantor. All authors have read and agreed to the published version of the manuscript.

Funding

This study received no external funding.

Institutional Review Board Statement

Not applicable.

Informed Consent Statement

Written informed consent was obtained from the patient to publish this article.

Data Availability Statement

The original contributions presented in the study are included in the article, further inquiries can be directed to the corresponding author.

Conflicts of Interest

The authors declare no conflicts of interest related to this published work.

References

  1. Aparicio, T.; Pachev, A.; Laurent-Puig, P.; Svrcek, M. Epidemiology, Risk Factors and Diagnosis of Small Bowel Adenocarcinoma. Cancers 2022, 14, 2268. [Google Scholar] [CrossRef] [PubMed]
  2. Dabaja, B.S.; Suki, D.; Pro, B.; Bonnen, M.; Ajani, J. Adenocarcinoma of the small bowel: Presentation, prognostic factors, and outcome of 217 patients. Cancer 2004, 101, 518–526. [Google Scholar] [CrossRef] [PubMed]
  3. Khosla, D.; Dey, T.; Madan, R.; Gupta, R.; Goyal, S.; Kumar, N.; Kapoor, R. Small bowel adenocarcinoma: An overview. World J. Gastrointest. Oncol. 2022, 14, 413–422. [Google Scholar] [CrossRef]
  4. Kang, W.-H. Surveillance and management of de novo malignancy after liver transplantation. Ann. Liver Transplant. 2024, 4, 10–15. [Google Scholar] [CrossRef]
  5. Haagsma, E.B.; Hagens, V.E.; Schaapveld, M.; van den Berg, A.P.; de Vries, E.G.; Klompmaker, I.J.; Slooff, M.J.; Jansen, P.L. Increased cancer risk after liver transplantation: A population-based study. J. Hepatol. 2001, 34, 84–91. [Google Scholar] [CrossRef] [PubMed]
  6. Sanchez, W.; Talwalkar, J.A.; Gores, G.J. Will all liver transplantation patients eventually die from cancer? J. Hepatol. 2006, 44, 13–18. [Google Scholar] [CrossRef]
  7. Chandok, N.; Watt, K.D. Burden of de novo malignancy in the liver transplant recipient. Liver Transplant. 2012, 18, 1277–1289. [Google Scholar] [CrossRef] [PubMed]
  8. Colmenero, J.; Tabrizian, P.; Bhangui, P.; Pinato, D.J.; Rodríguez-Perálvarez, M.L.; Sapisochin, G.; Bhoori, S.; Pascual, S.; Senzolo, M.; Al-Adra, D.; et al. De Novo Malignancy After Liver Transplantation: Risk Assessment, Prevention, and Management-Guidelines From the ILTS-SETH Consensus Conference. Transplantation 2022, 106, e30–e45. [Google Scholar] [CrossRef]
  9. Rizzello, M.; Angelis, F.D.; Campanile, F.C.; Silecchia, G. Effect of Gastrointestinal Surgical Manipulation on Metabolic Syndrome: A Focus on Metabolic Surgery. Gastroenterol. Res. Pract. 2012, 2012, 670418. [Google Scholar] [CrossRef][Green Version]
  10. Sakae, H.; Kanzaki, H.; Nasu, J.; Akimoto, Y.; Matsueda, K.; Yoshioka, M.; Nakagawa, M.; Hori, S.; Inoue, M.; Inaba, T.; et al. The characteristics and outcomes of small bowel adenocarcinoma: A multicentre retrospective observational study. Br. J. Cancer 2017, 117, 1607–1613. [Google Scholar] [CrossRef] [PubMed]
  11. Zaanan, A.; Costes, L.; Gauthier, M.; Malka, D.; Locher, C.; Mitry, E.; Tougeron, D.; Lecomte, T.; Gornet, J.M.; Sobhani, I.; et al. Chemotherapy of advanced small-bowel adenocarcinoma: A multicenter AGEO study. Ann. Oncol. 2010, 21, 1786–1793. [Google Scholar] [CrossRef] [PubMed]
  12. Overman, M.J.; Hu, C.-Y.; Wolff, R.A.; Chang, G.J. Prognostic value of lymph node evaluation in small bowel adenocarcinoma: Analysis of the surveillance, epidemiology, and end results database. Cancer 2010, 116, 5374–5382. [Google Scholar] [CrossRef]
  13. Cronin, C.G.; Scott, J.; Kambadakone, A.; Catalano, O.A.; Sahani, D.; Blake, M.A.; McDermott, S. Utility of positron emission tomography/CT in the evaluation of small bowel pathology. Br. J. Radiol. 2012, 85, 1211–1221. [Google Scholar] [CrossRef] [PubMed]
  14. Campos, S.; Poley, J.-W.; Driel L van Bruno, M.J. The role of EUS in diagnosis and treatment of liver disorders. Endosc. Int. Open. 2019, 7, E1262. [Google Scholar] [CrossRef] [PubMed]
  15. Pineda, J.J.; Diehl, D.L.; Miao, C.L.; Johal, A.S.; Khara, H.S.; Bhanushali, A.; Chen, E.Z. EUS-guided liver biopsy provides diagnostic samples comparable with those via the percutaneous or transjugular route. Gastrointest Endosc. 2016, 83, 360–365. [Google Scholar] [CrossRef] [PubMed]
  16. Minaga, K.; Kitano, M.; Nakai, A.; Omoto, S.; Kamata, K.; Yamao, K.; Takenaka, M.; Tsurusaki, M.; Chikugo, T.; Matsumoto, I.; et al. Improved detection of liver metastasis using Kupffer-phase imaging in contrast-enhanced harmonic EUS in patients with pancreatic cancer (with video). Gastrointest. Endosc. 2021, 93, 433–441. [Google Scholar] [CrossRef] [PubMed]
  17. Mitchell, B.G.; Gupta, N. Roux-en-Y Gastric Bypass. In StatPearls; StatPearls Publishing: Treasure Island, FL, USA, 2024. [Google Scholar]
  18. Morrell, D.; Pauli, E.; Juza, R. Endoscopy in surgically altered anatomy. Ann. Laparosc. Endosc. Surg. 2019, 4, 41. [Google Scholar] [CrossRef]
  19. Burra, P.; Rodriguez-Castro, K.I. Neoplastic disease after liver transplantation: Focus on de novo neoplasms. World J. Gastroenterol. 2015, 21, 8753–8768. [Google Scholar] [CrossRef]
  20. Martin, P.; DiMartini, A.; Feng, S.; Brown, R.J.; Fallon, M. Evaluation for liver transplantation in adults: 2013 practice guideline by the American Association for the Study of Liver Diseases and the American Society of Transplantation. Hepatology 2014, 59, 1144. [Google Scholar] [CrossRef] [PubMed]
Figure 1. MRI of the abdomen showing ring-enhancing lesions in the liver.
Figure 1. MRI of the abdomen showing ring-enhancing lesions in the liver.
Gastrointestdisord 07 00002 g001
Figure 2. PET-CT showing FDG avid focal uptake in small bowel loop.
Figure 2. PET-CT showing FDG avid focal uptake in small bowel loop.
Gastrointestdisord 07 00002 g002
Figure 3. PET-CT showing FDG avid uptake in metastatic hepatic lesions.
Figure 3. PET-CT showing FDG avid uptake in metastatic hepatic lesions.
Gastrointestdisord 07 00002 g003
Figure 4. Partially obstructing mass in the jejunum with active bleeding noted on endoscopy in the pancreaticobiliary limb of the remnant pouch.
Figure 4. Partially obstructing mass in the jejunum with active bleeding noted on endoscopy in the pancreaticobiliary limb of the remnant pouch.
Gastrointestdisord 07 00002 g004
Figure 5. Illustration showing the approximate site of the jejunal mass in the pancreaticobiliary limb post Roux-en-Y procedure in our patient [9].
Figure 5. Illustration showing the approximate site of the jejunal mass in the pancreaticobiliary limb post Roux-en-Y procedure in our patient [9].
Gastrointestdisord 07 00002 g005
Table 1. Pertinent labs before, during, and after admission (abnormal labs highlighted in bold).
Table 1. Pertinent labs before, during, and after admission (abnormal labs highlighted in bold).
Laboratory Test Before Admission During Admission Day of Discharge
Alkaline Phosphatase (units/L)395483323
Aspartate Transaminase (units/L)6010424
Alanine Transaminase (units/L)3810019
Gamma-glutamyl Transferase (units/L)183209165
Lactate Dehydrogenase (units/L)341--
Total Bilirubin (mg/dL) 2.40.90.5
Creatinine (mg/dL) 2.51.61.6
Hemoglobin (g/dL)5.367.6
Platelets (K/mcL) 186233296
White Blood Cells (K/mcL) 2.992.573.69
Alpha-fetoprotein (ng/mL) -2.3-
CA-19-9 (unit/mL)-133.7-
Carcinoembryonic Antigen (ng/mL)-1.3-
Table 2. Imaging and Endoscopic Procedure Findings in Chronological Order During the Hospital Stay.
Table 2. Imaging and Endoscopic Procedure Findings in Chronological Order During the Hospital Stay.
Hospitalization DayProcedure NameFindings
2CTA abdomen/pelvisFocus of hyperintensity on the venous phase in the loop of jejunum suggestive of active bleeding without evidence of arterial extravasation. Multiple hypodense lesions throughout the transplanted liver.
2Endoscopy via G-tube site using a bronchoscopeNo evidence of active or prior bleeding in the visualized areas of the remnant stomach. The scope was not passed across the pylorus due to technical difficulties.
2US-guided liver biopsyConsistent with adenocarcinoma with abundant necrosis and multiple clusters of bacteria within the areas of necrosis.
3, 4EGD and colonoscopyUnremarkable in localizing primary site.
4Capsule endoscopyUnremarkable evaluation of the small intestine.
6Tagged red blood cell gastrointestinal scanPositive for the focus of increased tagged red blood cells along the splenic flexure and extending inferiorly towards the midline.
10PET-CT (Figure 2 and Figure 3)Focal intense FDG uptake in the left upper quadrant in the small bowel loop and multifocal FDG avid hepatic metastasis.
11Repeat endoscopy (via G-tube) (Figure 4) A partially obstructing lesion of 5 cm noted in the jejunum in the pancreaticobiliary limb of the remnant pouch with evidence of bleeding.
Disclaimer/Publisher’s Note: The statements, opinions and data contained in all publications are solely those of the individual author(s) and contributor(s) and not of MDPI and/or the editor(s). MDPI and/or the editor(s) disclaim responsibility for any injury to people or property resulting from any ideas, methods, instructions or products referred to in the content.

Share and Cite

MDPI and ACS Style

Shah, Y.R.; Cezar, C.; Khan, H.; Inamdar, S.; Garcia Saenz De Sicilia, M.; Deneke, M.G.; Rude, M.K. Metastatic Jejunal Adenocarcinoma in the Hepatobiliary Limb Post-Liver Transplant: Diagnostic Challenges in a Patient with Roux-en-Y Gastric Bypass. Gastrointest. Disord. 2025, 7, 2. https://doi.org/10.3390/gidisord7010002

AMA Style

Shah YR, Cezar C, Khan H, Inamdar S, Garcia Saenz De Sicilia M, Deneke MG, Rude MK. Metastatic Jejunal Adenocarcinoma in the Hepatobiliary Limb Post-Liver Transplant: Diagnostic Challenges in a Patient with Roux-en-Y Gastric Bypass. Gastrointestinal Disorders. 2025; 7(1):2. https://doi.org/10.3390/gidisord7010002

Chicago/Turabian Style

Shah, Yash R., Carensa Cezar, Heena Khan, Sumant Inamdar, Mauricio Garcia Saenz De Sicilia, Matthew G. Deneke, and Mary K. Rude. 2025. "Metastatic Jejunal Adenocarcinoma in the Hepatobiliary Limb Post-Liver Transplant: Diagnostic Challenges in a Patient with Roux-en-Y Gastric Bypass" Gastrointestinal Disorders 7, no. 1: 2. https://doi.org/10.3390/gidisord7010002

APA Style

Shah, Y. R., Cezar, C., Khan, H., Inamdar, S., Garcia Saenz De Sicilia, M., Deneke, M. G., & Rude, M. K. (2025). Metastatic Jejunal Adenocarcinoma in the Hepatobiliary Limb Post-Liver Transplant: Diagnostic Challenges in a Patient with Roux-en-Y Gastric Bypass. Gastrointestinal Disorders, 7(1), 2. https://doi.org/10.3390/gidisord7010002

Article Metrics

Back to TopTop