Extensive Exophytic Gum Swelling: A Case Study
Abstract
1. Introduction and Clinical Significance
2. Detailed Case Presentation
2.1. Case Presentation
2.2. Clinical Examination
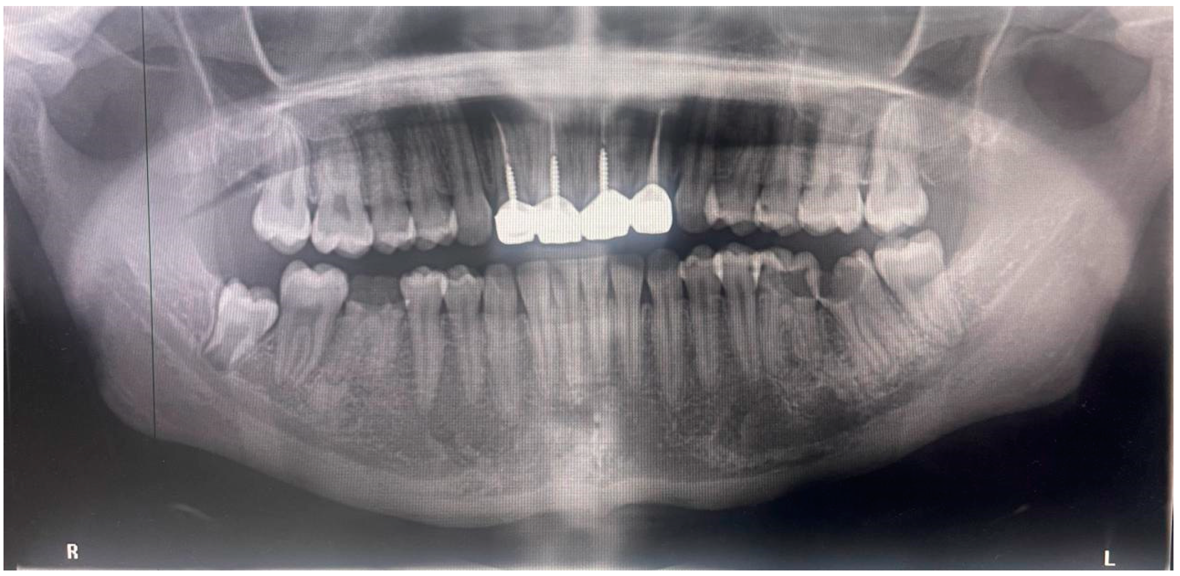
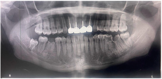
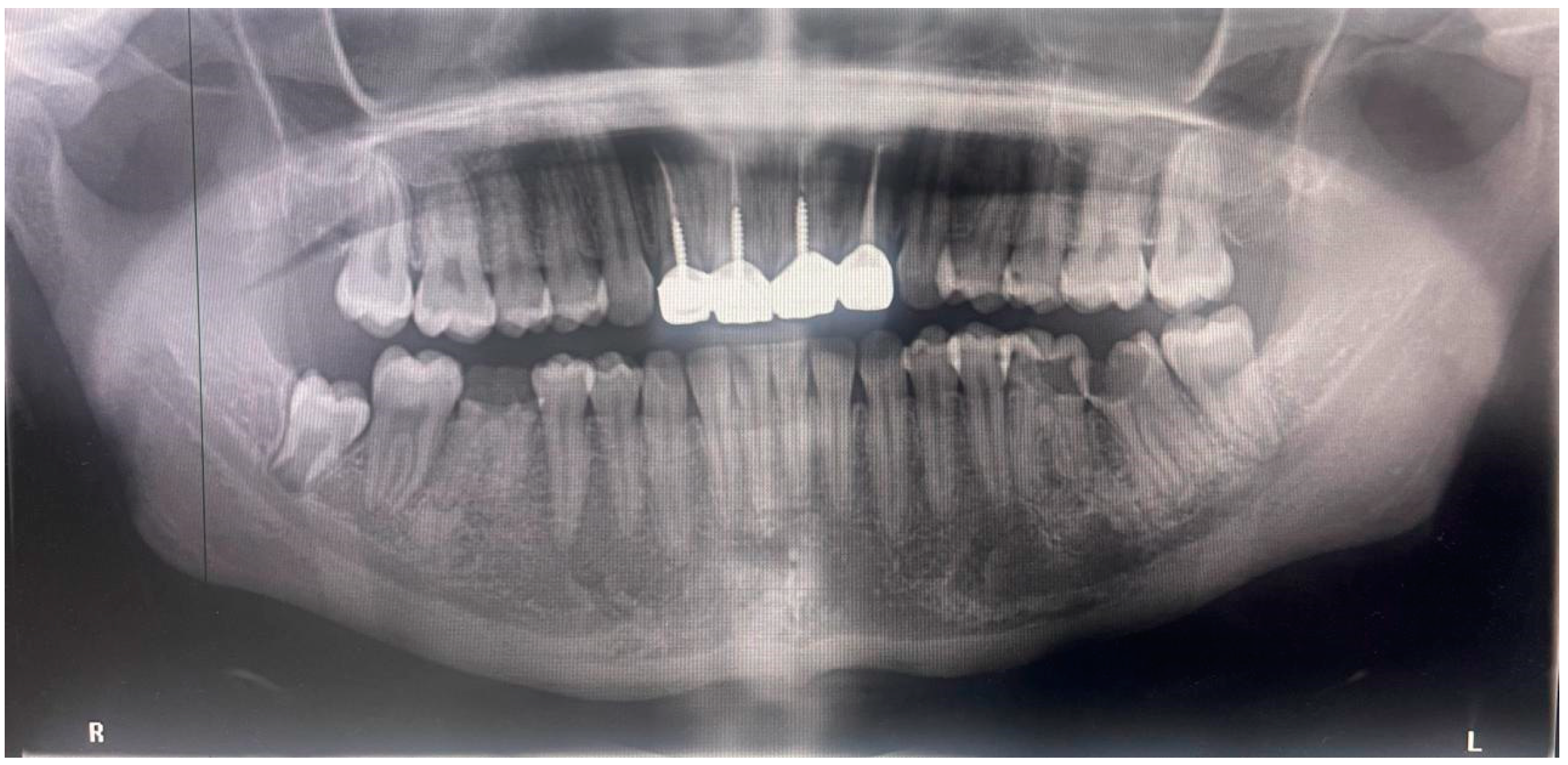
2.3. Radiographic Examination
2.4. Surgical Management
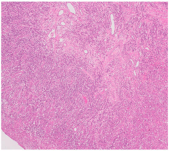
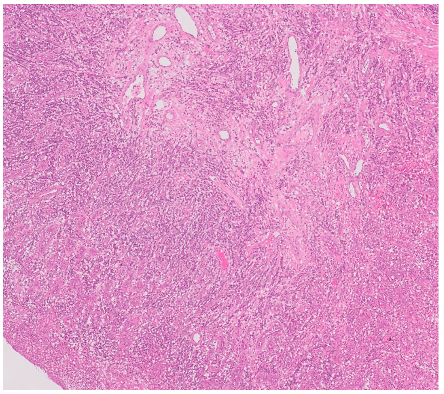
2.5. Results
3. Discussion
4. Conclusions
Author Contributions
Funding
Institutional Review Board Statement
Informed Consent Statement
Data Availability Statement
Conflicts of Interest
References
- Punde, P.A.; Malik, S.A.; Malik, N.A.; Parkar, M.I. Idiopathic huge pyogenic granuloma in young and old: An unusually large lesion in two cases. J. Oral Maxillofac. Pathol. 2013, 17, 463–466. [Google Scholar] [CrossRef]
- Gondivkar, S.M.; Gadbail, A.R.; Chole, R.H. Oral pregnancy tumor. Contemp. Clin. Dent. 2010, 1, 190–192. [Google Scholar] [CrossRef]
- Satpathy, A.K.; Mohanty, P.K. Large pyogenic granuloma: A case report. J. Indian Med. Assoc. 2007, 105, 90–98. [Google Scholar]
- Mastammanavar, D.; Hunasgi, S.; Koneru, A.; Vanishree, M.R.; Surekha, R.; Vardendra, M. Aggressive Pyogenic Granuloma: A Case Report. Int. J. Oral Maxillofac. Pathol. 2014, 5, 29–32. [Google Scholar]
- Sachdeva, S.K. Extragingival Pyogenic Granuloma: An Unusual Clinical Presentation. J. Dent. 2015, 16, 282–285. [Google Scholar]
- Vajawat, M.; Deepika, P.C.; Hegde, U. Pyogenic granuloma: An unusual presentation. Br. J. Med. Med. Res. 2015, 10, 1–5. [Google Scholar] [CrossRef] [PubMed]
- Alshuhail, O.; Alharbi, A.S.; Alakeel, N. A Persistent Oral Pyogenic Granuloma: A Case Report with Review of Literature. Cureus 2023, 15, e49326. [Google Scholar] [CrossRef]
- Mody, R.N.; Raut, D.L. Large pyogenic granuloma: A case report. Dent. Update 1996, 23, 412–413. [Google Scholar] [PubMed]
- Pakdel, F.; Eslami, H.; Nezhad, S.K.; Etesamnia, P.; Mobaraki, B.; Emamverdizadeh, P. Frequency of Pyogenic Granuloma in pathology Department of Tabriz Dental School years 2006–2016. J. Qazvin Univ. Med. Sci. 2018, 22, 93–98. [Google Scholar] [CrossRef][Green Version]
- Bello, I.O.; Qannam, A. Gingival and alveolar ridge overgrowths: A histopathological evaluation from Saudi Arabia. Saudi Dent. J. 2022, 34, 509–515. [Google Scholar] [CrossRef]
- Aoun, G. Pyogenic Granuloma of the Oral Cavity: Clinical and Histopathological Features, Etiopathogenesis, and Management. J. Health Sci. Res. 2022, 8, 26–28. [Google Scholar] [CrossRef]
- Noorsaeed, A.S.; Al Moslem, M.A.; Alghanem, S.Z.; Al-Khowildi, Z.M.A.; Alshaban, H.A.H.; Alzayer, Z.H.; Alramadhan, A.H.; Almarhoun, N.T.; Algheryafi, A.M.; Alshakhori, H.Z.; et al. The overview of Oral Pyogenic Granuloma. Saudi Med. Horizons J. 2022, 2, 96–102. [Google Scholar] [CrossRef]
- Al Wayli, H.; Rashed, B.A.W.K.; Kumar, A.; Rastogi, S. The Prevalence of Oral Mucosal Lesions among Saudi Females Visiting a Tertiary Dental Health Center in Riyadh Region, Saudi Arabia. J. Int. Oral Health 2016, 8, 675–678. [Google Scholar]
- Saleh, S.M.; Idris, A.M.; Vani, N.V.; Tubaigy, F.M.; Alharbi, F.A.; Sharwani, A.A.; Mikhail, N.T.; Warnakulasuriya, S. Retrospective analysis of biopsied oral and maxillofacial lesions in South-Western Saudi Arabia. Saudi Med. J. 2017, 38, 405–412. [Google Scholar] [CrossRef] [PubMed]
- Saghafi, S.; Zare-Mahmoodabadi, R.; Danesh-Sani, S.A.; Mahmoodi, P.; Esmaili, M. Oral Pyogenic Granuloma: A Retrospective Analysis of 151 Cases in an Iranian Population. Int. J. Oral Maxillofac. Pathol. 2011, 2, 3–6. [Google Scholar]
- Radwan-Oczko, M.; Hirnle, L.; Szczepaniak, M.; Duś-Ilnicka, I. How much do pregnant women know about the importance of oral health in pregnancy? Questionnaire-based survey. BMC Pregnancy Childbirth 2023, 23, 348. [Google Scholar] [CrossRef]
- Konopka, T.; Paradowska-Stolarz, A. Periodontitis and risk of preterm birth and low birthweight—A meta-analysis. Ginekol. Pol. 2012, 83, 446–453. [Google Scholar] [PubMed]
- Avelar, R.L.; Antunes, A.A.; de Carvalho, R.W.F.; de Santana Santos, T.; de Oliveira Neto, P.J.; de Souza Andrade, E.S. Granuloma piogênico oral: Um estudo epidemiológico de 191 casos. RGO 2008, 56, 131–135. [Google Scholar]
- Salum, F.G.; Yurgel, L.S.; Cherubini, K.; De Figueiredo, M.A.Z.; Medeiros, I.C.; Nicola, F.S. Pyogenic granuloma, peripheral giant cell granuloma and peripheral ossifying fibroma: Retrospective analysis of 138 cases. Minerva Stomatol. 2008, 57, 227–232. [Google Scholar]
- Ver Berne, J.; Raubenheimer, E.J.; Jacobs, R.; Politis, C. Clinical and pathological differences between the pyogenic granuloma and lobular capillary hemangioma in the oral cavity: A scoping review. J. Stomatol. 2020, 73, 206–216. [Google Scholar] [CrossRef]
- Alzahrani, S.; Wazzan, T.; Almaghrabi, A.; Alkhudran, A.; Aljereb, H.; Elsayed, S.; Alolayan, A.B. The Prevalence and Diagnostic Patterns of Oral and Maxillofacial Lesions: A Seven-Year, Retrospective, Single-Center Cone Beam Computed Tomography and Histopathology Study in Saudi Arabia. J. Clin. Med. 2024, 13, 7774. [Google Scholar] [CrossRef] [PubMed]
- Andreasen, F.M.; Kahler, B. Pulpal response after acute dental injury in the permanent dentition: Clinical implications—A review. J. Endod. 2015, 41, 299–308. [Google Scholar] [CrossRef]
- Galler, K.M.; Weber, M.; Korkmaz, Y.; Widbiller, M.; Feuerer, M. Inflammatory Response Mechanisms of the Dentine–Pulp Complex and the Periapical Tissues. Int. J. Mol. Sci. 2021, 22, 1480. [Google Scholar] [CrossRef] [PubMed]
- Anilkumar, K.; Lingeswaran, S.; Ari, G.; Thyagarajan, R.; Logaranjani, A. Management of Chronic Hyperplastic Pulpitis in Mandibular Molars of Middle Aged Adults- A Multidisciplinary Approach. J. Clin. Diagn. Res. 2016, 10, ZD23–ZD25. [Google Scholar] [CrossRef]
- Jardón A, P.; Gayoso N, O.; Rey EM, O.; Caamaño M, G.; CM, C.P.; Carrión A, B.; Mundiña B, R. Hyperplastic Pulpitis Management with Endocrown: A Case Report. Open Dent. J. 2022, 16, 1–5. [Google Scholar] [CrossRef]
- Banjar, A.; Al-Masri, N.; Akil, A.; Demyati, A.; Abed, H. Aggressive pyogenic granuloma mimicking a malignant lesion: Case report and review. J. Ir. Dent. Assoc. 2023, 1–10. [Google Scholar] [CrossRef]
- Butler, E.; Macintyre, D. Oral pyogenic granulomas. Dent. Update 1991, 18, 194–195. [Google Scholar]
- Frumkin, N.; Nashef, R.; Shapira, L.; Wilensky, A. Nonsurgical treatment of recurrent gingival pyogenic granuloma: A case report. Quintessence Int. 2015, 46, 539–544. [Google Scholar]
- Singhal, A.; Arora, R.; Sharma, A. Recurrence of a Peripheral Ossifying Fibroma as a Pyogenic Granuloma Within 1 Week: A Case Report. Clin. Adv. Periodontics 2016, 6, 57–62. [Google Scholar] [CrossRef]
- Debnath, K.; Chatterjee, A. Management of recurrent pyogenic granuloma with platelet-rich fibrin membrane. J. Indian Soc. Periodontol. 2018, 22, 360–364. [Google Scholar] [CrossRef]
- Ong, M.; Chai, W.L.; Ngeow, W.C. Recurrent gigantic pyogenic granuloma disturbing speech and mastication: A case report and literature review. Ann. Acad. Med. Singapore 1998, 27, 258–261. [Google Scholar] [PubMed]




| Lesion | Size | Consistency | Shape | Surface Color | Bleeding | Relation to Tissues |
|---|---|---|---|---|---|---|
| Pyogenic Granuloma (PG) | 0.5–2.5 cm (can vary) | Exophytic Soft to firm | Sessile or pedunculated | Reddish Smooth or lobulated | Bleeds easily | Usually on gum, attached to soft tissue |
| Peripheral Giant Cell Granuloma (PGCG) | Up to 5 cm | Firm, rubbery | Usually sessile | purplish Smooth, sometimes ulcerated | May bleed | Exclusively on gingiva or alveolar ridge |
| Peripheral Ossifying Fibroma (POF) | <2 cm | Firm | Sessile | Pinkish smooth May show calcification histologically | Minimal bleeding | Gingiva (interdental papilla) |
| Irritation gingival hyperplasia | <1.5 cm | Firm | Sessile | pale Smooth, normal mucosal color | Rarely bleeds | chronic trauma mucosal surface, mobile |
| Lobular Capillary Hemangioma (LCH) | Variable, often <2 cm | Soft, compressible | Sessile or pedunculated | Red–blue, translucent | Vascular Bleeds easily | Submucosal, may blanch with pressure |
| Squamous Papilloma | <1 cm | Soft | HPV-related, pedunculated | White–pink, wart-like papillary or cauliflower-like | Rarely bleeds | Attached to mucosal surface |
| Metastatic Tumor (rare) | Variable | Firm | Sessile or irregular | Ulcerated, nodular | May bleed | Malignant, fixed to underlying structures |
Disclaimer/Publisher’s Note: The statements, opinions and data contained in all publications are solely those of the individual author(s) and contributor(s) and not of MDPI and/or the editor(s). MDPI and/or the editor(s) disclaim responsibility for any injury to people or property resulting from any ideas, methods, instructions or products referred to in the content. |
© 2025 by the authors. Licensee MDPI, Basel, Switzerland. This article is an open access article distributed under the terms and conditions of the Creative Commons Attribution (CC BY) license (https://creativecommons.org/licenses/by/4.0/).
Share and Cite
Saeidi, A.; Mirah, M.; Alolayan, A.; Zaki, H.; Elsayed, S. Extensive Exophytic Gum Swelling: A Case Study. Reports 2025, 8, 52. https://doi.org/10.3390/reports8020052
Saeidi A, Mirah M, Alolayan A, Zaki H, Elsayed S. Extensive Exophytic Gum Swelling: A Case Study. Reports. 2025; 8(2):52. https://doi.org/10.3390/reports8020052
Chicago/Turabian StyleSaeidi, Abdullah, Mahir Mirah, Albraa Alolayan, Hattan Zaki, and Shadia Elsayed. 2025. "Extensive Exophytic Gum Swelling: A Case Study" Reports 8, no. 2: 52. https://doi.org/10.3390/reports8020052
APA StyleSaeidi, A., Mirah, M., Alolayan, A., Zaki, H., & Elsayed, S. (2025). Extensive Exophytic Gum Swelling: A Case Study. Reports, 8(2), 52. https://doi.org/10.3390/reports8020052

