Isolated Hydatid Cyst: A Misleading Diagnosis
Abstract
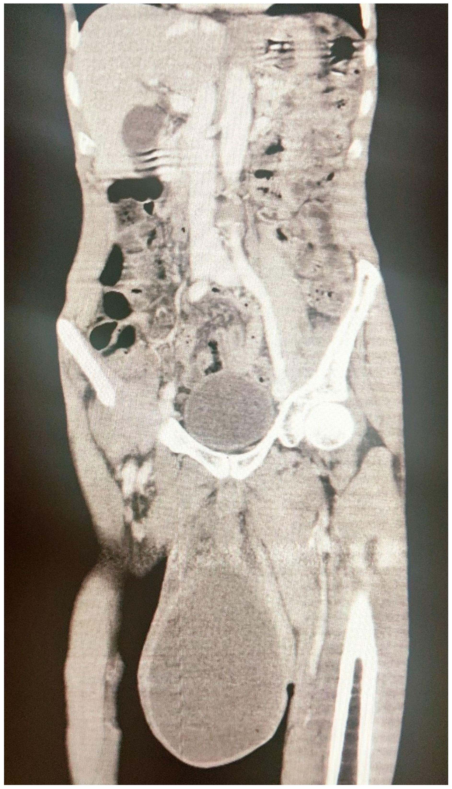
About Our Case
Author Contributions
Funding
Informed Consent Statement
Conflicts of Interest
Reference
- Chatar, A.; AKjay, A.; Ammani, A.; El Anzaoui, J. Hydatid Cyst of the Spermatic Cord Miming a Testicular Torsion. Open Access Libr. J. 2022, 9, e9393. [Google Scholar] [CrossRef]


Disclaimer/Publisher’s Note: The statements, opinions and data contained in all publications are solely those of the individual author(s) and contributor(s) and not of MDPI and/or the editor(s). MDPI and/or the editor(s) disclaim responsibility for any injury to people or property resulting from any ideas, methods, instructions or products referred to in the content. |
© 2024 by the authors. Licensee MDPI, Basel, Switzerland. This article is an open access article distributed under the terms and conditions of the Creative Commons Attribution (CC BY) license (https://creativecommons.org/licenses/by/4.0/).
Share and Cite
Chatar, A.; Amoch, A.; Lakmichi, M.A.; Dahami, Z.; Sarf, I. Isolated Hydatid Cyst: A Misleading Diagnosis. Soc. Int. Urol. J. 2024, 5, 263-265. https://doi.org/10.3390/siuj5040041
Chatar A, Amoch A, Lakmichi MA, Dahami Z, Sarf I. Isolated Hydatid Cyst: A Misleading Diagnosis. Société Internationale d’Urologie Journal. 2024; 5(4):263-265. https://doi.org/10.3390/siuj5040041
Chicago/Turabian StyleChatar, Achraf, Abdelaziz Amoch, Mohamed Amine Lakmichi, Zakaria Dahami, and Ismail Sarf. 2024. "Isolated Hydatid Cyst: A Misleading Diagnosis" Société Internationale d’Urologie Journal 5, no. 4: 263-265. https://doi.org/10.3390/siuj5040041
APA StyleChatar, A., Amoch, A., Lakmichi, M. A., Dahami, Z., & Sarf, I. (2024). Isolated Hydatid Cyst: A Misleading Diagnosis. Société Internationale d’Urologie Journal, 5(4), 263-265. https://doi.org/10.3390/siuj5040041
