Standardization and Evaluation of the LAMP Technique for the Diagnosis of Canine Visceral Leishmaniasis in Conjunctival Swab Samples Using DNA Extracted by a Silica Column and Boiling
Abstract
1. Introduction
2. Materials and Methods
2.1. Study Population and Inclusion Criteria
2.2. Clinical Examination
2.3. Sample Collection
2.4. Parasitological Tests
2.5. Molecular Tests
2.6. DNA Amplification
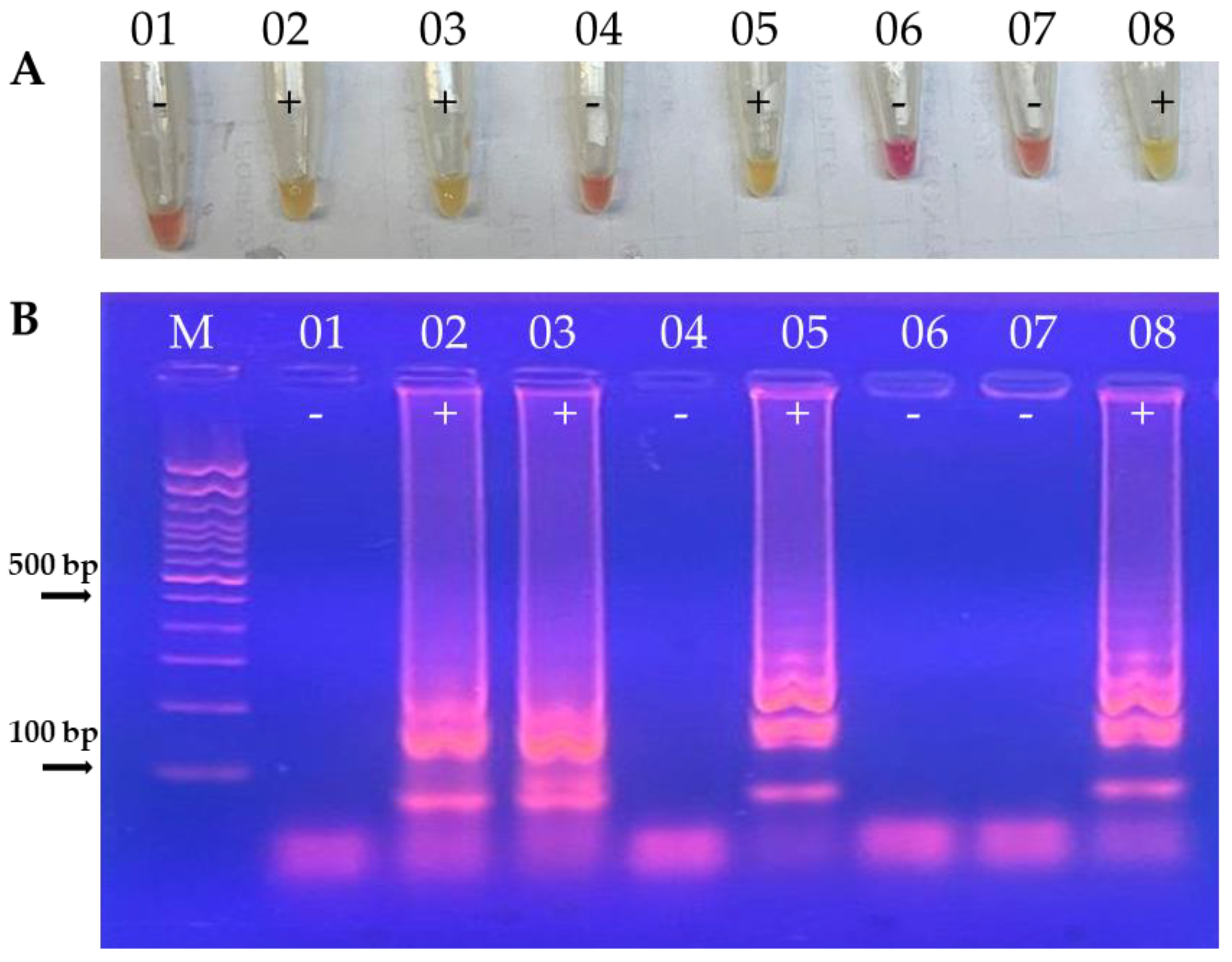
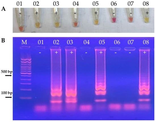
2.7. LAMP Standardization
2.8. Leishmania Species in Clinical Samples
2.9. Statistical Analysis
2.10. Ethical Aspects
3. Results
4. Discussion
5. Conclusions
Author Contributions
Funding
Institutional Review Board Statement
Informed Consent Statement
Data Availability Statement
Acknowledgments
Conflicts of Interest
References
- Brazil Ministry of Health; Health Surveillance Secretariat. Epidemiological Surveillance Department. Manual de Vigilância e Controle das Leishmanioses, 1st ed.; MS Publisher: Brasília, DF, Brazil, 2014; pp. 1–120. ISBN 978-85-334-0742-8.
- World Health Organization Home Page. Available online: https://www.who.int/ (accessed on 5 September 2024).
- Marzochi, M.C.; Fagundes, A.; Andrade, M.V.; Souza, M.B.; Madeira, M.D.; Mouta-Confort, E.; Schubach, A.D.; Marzochi, K.B. Visceral leishmaniasis in Rio de Janeiro, Brazil: Eco-epidemiological aspects and control. Rev. Soc. Bras. Med. Trop. 2009, 42, 570–580. [Google Scholar] [CrossRef] [PubMed]
- Chagas, U.; Avelar, D.M.; Marcelino, A.P.; Paz, G.; Gontijo, C.M.F. Correlations between tissue parasite load and common clinical signs in dogs naturally infected by Leishmania infantum. Vet. Parasitol. 2021, 291, 109368. [Google Scholar] [CrossRef] [PubMed]
- Solano-Gallego, L.; Koutinas, A.; Miró, G.; Cardoso, L.; Pennisi, M.G.; Ferrer, L.; Bourdeau, P.; Oliva, G.; Baneth, G. Directions for the diagnosis, clinical staging, treatment and prevention of canine leishmaniasis. Vet. Parasitol. 2009, 165, 1–18. [Google Scholar] [CrossRef]
- Laurenti, M.D.; de Santana Leandro, M.V., Jr.; Tomokane, T.Y.; De Lucca, H.R.; Aschar, M.; Souza, C.S.; Silva, R.M.; Marcondes, M.; Da Matta, V.L. Comparative evaluation of the DPP (®) CVL rapid test for canine serodiagnosis in area of visceral leishmaniasis. Vet. Parasitol. 2014, 205, 444–450. [Google Scholar] [CrossRef]
- Peixoto, H.M.; de Oliveira, M.R.F.; Romero, G.A.S. Serological diagnosis of canine visceral leishmaniasis in Brazil: Systematic review and meta-analysis. Trop. Med. Int. Health 2015, 20, 334–352. [Google Scholar] [CrossRef]
- Teixeira, A.I.P.; Silva, D.M.; Vital, T.; Nitz, N.; de Carvalho, B.C.; Hecht, M.; Oliveira, D.; Oliveira, E.; Rabello, A.; Romero, G.A.S. Improving the reference standard for the diagnosis of canine visceral leishmaniasis: A challenge for current and future tests. Mem. Inst. Oswaldo Cruz. 2019, 114, e180452. [Google Scholar] [CrossRef]
- Duthie, M.S.; Lison, A.; Courtenay, O. Advances toward Diagnostic Tools for Managing Zoonotic Visceral Leishmaniasis. Trends Parasitol. 2018, 34, 881–890. [Google Scholar] [CrossRef]
- Blaizot, R.; Simon, S.; Ginouves, M.; Prévot, G.; Blanchet, D.; Ravel, C.; pie Coup, P.; Demar, M.; Nabet, C. Validation of swab sampling and SYBR green-based real-time PCR for the diagnosis of cutaneous leishmaniasis in French Guiana. J. Clin. Microbiol. 2021, 59, 10–1128. [Google Scholar] [CrossRef]
- Bento, M.; Souza, G.; Vieira, B.; da Silva, A.A.; Krawczak, F.S.; de Moura, V.M.B.D. Sensitivity of PCR in conjunctival swab samples for the diagnosis of canine visceral leishmaniasis: A systematic review and meta-analysis. Rev. Bras. Parasitol. Vet. 2023, 32, e009423. [Google Scholar] [CrossRef]
- Travi, B.L.; Cordeiro-da-Silva, A.; Dantas-Torres, F.; Miró, G. Canine visceral leishmaniasis: Diagnosis and management of the reservoir living among us. PLoS Negl. Trop. Dis. 2018, 12, e0006082. [Google Scholar] [CrossRef]
- Nawab, M.; Riaz, S.K.; Ismail, E.; Ahamed, A.; Tariq, A.; Malik, M.F.A.; Qusty, N.F.; Bantun, F.; Slama, P.; Umair, M.; et al. Integrated approach for detection of SARS-CoV-2 and its variant by utilizing LAMP and ARMS-PCR. Ann. Clin. Microbiol. Antimicrob. 2024, 23, 11. [Google Scholar] [CrossRef] [PubMed]
- Mori, Y.; Nagamine, K.; Tomita, N.; Notomi, T. Detection of loop-mediated isothermal amplification reaction by turbidity derived from magnesium pyrophosphate formation. Biochem. Biophys. Res. Commun. 2001, 289, 150–154. [Google Scholar] [CrossRef] [PubMed]
- Mikita, K.; Maeda, T.; Yoshikawa, S.; Ono, T.; Miyahira, Y.; Kawana, A. The Direct Boil-LAMP method: A simple and rapid diagnostic method for cutaneous leishmaniasis. Parasitol. Int. 2014, 63, 785–789. [Google Scholar] [CrossRef] [PubMed]
- de Faria, V.; Gonçalves, D.U.; Soares, A.R.C.; Barbosa, P.H.; Saliba, J.W.; Souza, C.S.A.; Cota, G.F.; Avelar, D.M. Impact assessment of different DNA extraction methods for non-invasive molecular diagnosis of tegumentary leishmaniasis. Acta Tropica. 2022, 227, 106275. [Google Scholar] [CrossRef]
- Mello, C.X.D.; Figueiredo, F.B.; Mendes, A.A.V.; Furtado, M.C.; Miranda, L.F.C.D.; Madeira, M.D.F. Outbreak of canine visceral leishmaniasis in Barra Mansa, State of Rio de Janeiro. Rev. Soc. Bras. Med. Trop. 2014, 47, 788–790. [Google Scholar] [CrossRef]
- Miranda, L.F.C.; Pacheco, R.S.; Pimentel, M.I.F.; Salgueiro, M.M.; Silva, A.F.; Mello, C.X.; Barros, J.H.S.; Valete-Rosalino, C.M.; Madeira, M.F.; Xavier, S.C.C.; et al. Geospatial analysis of integumentary leishmaniasis in Rio de Janeiro state, Brazil from 2000 to 2015: Species typing and flow of travelers and migrants with leishmaniasis. PLoS Negl. Trop. Dis. 2019, 13, e0007748. [Google Scholar] [CrossRef]
- Boechat, V.C.; Mendes Junior, A.A.V.; Madeira, M.F.; Ferreira, L.C.; Figueiredo, F.B.; Rodrigues, F.C.C.; Oliveira, V.C.; Oliveira, R.V.C.; Menezes, R.C. Occurrence of Leishmania infantum and associated histological alterations in the genital tract and mammary glands of naturally infected dogs. Parasitol. Res. 2016, 115, 2371–2379. [Google Scholar] [CrossRef]
- Le Fichoux, Y.; Quaranta, J.F.; Aufeuvre, J.P.; Lelievre, A.; Marty, P.; Suffia, I.; Rousseau, D.; Kubar, J. Occurrence of Leishmania infantum parasitemia in asymptomatic blood donors living in an area of endemicity in southern France. J. Clin. Microbiol. 1999, 37, 1953–1957. [Google Scholar] [CrossRef]
- Filgueira, C.P.B.; Moreira, O.C.; Cantanhêde, L.M.; de Farias, H.M.T.; Porrozzi, R.; Britto, C.; Boité, M.C.; Cupolillo, E. Comparison and clinical validation of QPCR assays targeting leishmania 18s rDNA and HSP70 genes in patients with american tegumentary leishmaniasis. PLoS Negl. Trop. Dis. 2020, 14, e0008750. [Google Scholar] [CrossRef]
- Reis, L.E.S.; Coura-Vital, W.; Roatt, B.M.; Bouillet, L.É.M.; Ker, H.G.; de Brito, R.C.F.; Resende, D.M.; Carneiro, M.; Giunchetti, R.C.; Marques, M.J.; et al. Molecular diagnosis of canine visceral leishmaniasis: A comparative study of three methods using skin and spleen from dogs with natural Leishmania infantum infection. Vet. Parasitol. 2013, 197, 3–4. [Google Scholar] [CrossRef]
- Avelar, D.M.; Carvalho, D.M.; Rabello, A. Development and Clinical Evaluation of Loop-Mediated Isothermal Amplification (LAMP) Assay for the Diagnosis of Human Visceral Leishmaniasis in Brazil. Biomed. Res. Int. 2019, 2019, 8240784. [Google Scholar] [CrossRef] [PubMed]
- Thomaz, C.; de Mello, C.X.; Espíndola, O.M.; Shubach, A.O.; Quintella, L.P.; de Oliveira, R.V.C.; Duarte, A.C.G.; Pimentel, M.I.F.; Lyra, M.R.; Marzochi, M.C.A. Comparison of parasite load by qPCR and histopathological changes of inner and outer edge of ulcerated cutaneous lesions of cutaneous leishmaniasis. PLoS ONE 2021, 21, e0243978. [Google Scholar] [CrossRef] [PubMed]
- Graça, G.C.; Volpini, A.C.; Romero, G.A.S.; Oliveira-Neto, M.P.; Hueb, M.; Porrozzi, R.; Boité, M.C.; Cupolillo, E. Development and validation of PCR-based assays for diagnosis of American cutaneous leishmaniasis and identification of the parasite species. Mem. Inst. Oswaldo Cruz. 2012, 107, 664–674. [Google Scholar] [CrossRef] [PubMed]
- Baneth, G.; Koutinas, A.F.; Solano-Gallego, L.; Bourdeau, P.; Ferrer, L. Canine leishmaniosis—New concepts and insights on an expanding zoonosis: Part one. Trends Parasitol. 2008, 24, 324–330. [Google Scholar] [CrossRef]
- da Silva, K.R.; de Mendonça, V.R.R.; Silva, K.M.; do Nascimento, L.F.M.; Mendes-Sousa, A.F.; de Pinho, F.A.; Barral-Neto, M.; Barral, A.M.P.; Pirez e Cruz, M.S. Scoring clinical signs can help diagnose canine visceral leishmaniasis in a highly endemic area in Brazil. Mem. Inst. Oswaldo Cruz. 2017, 112, 53–62. [Google Scholar] [CrossRef][Green Version]
- Madeira, M.F.; Schubach, A.O.; Schubach, T.M.P.; Pereira, S.A.; Figueiredo, F.B.; Baptista, C.; Leal, C.A.; Mello, C.X.; Confort, E.M.; Marzochi, M.C.A. Post mortem parasitological evaluation of dogs seroreactive for Leishmania from Rio de Janeiro, Brazil. Vet. Parasitol. 2006, 138, 366–370. [Google Scholar] [CrossRef]
- Pimentel, M.I.F.; Alves, E.L.M.; da Silva, M.H.F.F.; Moza, P.G.; de Almeida, P.M.P.; Cunha, C.S.; Mello, C.X.; Schubach, A.O. High visceral leishmaniasis mortality rate in Barra Mansa, a new area of visceral leishmaniasis transmission in the state of Rio de Janeiro, Brazil. Rev. Soc. Bras. Med. Trop. 2014, 47, 521–523. [Google Scholar] [CrossRef]
- Marcelino, A.P.; Souza-Filho, J.A.; Bastos, C.V.; Ribeiro, S.R.; Medeiros, F.A.C.; Reis, I.A.; Lima, A.C.V.M.R.; Barbosa, J.R.; Paz, G.F.; Gontijo, C.M.F. Comparative PCR-based diagnosis for the detection of Leishmania infantum in naturally infected dogs. Acta Trop. 2020, 207, 105495. [Google Scholar] [CrossRef]
- Schrader, C.; Schielke, A.; Ellerbroek, L.; Johne, R. PCR inhibitors—Occurrence, properties and removal. J. Appl. Microbiol. 2012, 113, 1014–1026. [Google Scholar] [CrossRef]
- Geisweid, K.; Weber, K.; Sauter-Louis, C.; Hartmann, K. Evaluation of a conjunctival swab polymerase chain reaction for the detection of Leishmania infantum in dogs in a non-endemic area. Vet. J. 2013, 198, 187–192. [Google Scholar] [CrossRef]
- Gao, C.H.; Ding, D.; Wang, J.Y.; Steverding, D.; Wang, X.; Yang, Y.T.; Shi, F. Development of a LAMP assay for detection of Leishmania infantum infection in dogs using conjunctival swab samples. Parasite Vectors 2015, 8, 370. [Google Scholar] [CrossRef] [PubMed]
- Soroka, M.; Wasowicz, B.; Rymaszewska, A. Loop-Mediated Isothermal Amplification (LAMP): The Better Sibling of PCR? Cells 2021, 10, 1931. [Google Scholar] [CrossRef] [PubMed]
- Ferreira, S.A.; Almeida, G.G.; Silva, S.O.; Vogas, G.P.; Fujiwara, R.T.; de Andrade, A.S.R.; Melo, M.N. Nasal, Oral and Ear Swabs for Canine Visceral Leishmaniasis Diagnosis: New Practical Approaches for Detection of Leishmania infantum DNA. PLoS Negl. Trop. Dis. 2013, 7, e2150. [Google Scholar] [CrossRef] [PubMed]
- de Almeida Ferreira, S.; Leite, R.S.; Ituassu, L.T.; Almeida, G.G.; Souza, D.M.; Fujiwara, R.T.; de Andrade, A.S.R.; Melo, M.N. Canine skin and conjunctival swab samples for the detection and quantification of Leishmania infantum DNA in an endemic urban area in Brazil. PLoS Negl. Trop. Dis. 2012, 6, e1596. [Google Scholar] [CrossRef][Green Version]
- Leite, R.S.; Souza, N.A.; Barbosa, A.D.; Ferreira, A.L.C.; de Andrade, A.S.R. Evaluation of conjunctival swab as a mass-screening tool for molecular diagnosis of canine visceral leishmaniasis. Parasitol. Res. 2015, 114, 2255–2262. [Google Scholar] [CrossRef]
- Longhi, S.A.; García-Casares, L.J.; Muñoz-Calderón, A.A.; Alonso-Padilla, J.; Schijman, A.G. Combination of ultra-rapid DNA purification (PURE) and loop-mediated isothermal amplification (LAMP) for rapid detection of Trypanosoma cruzi DNA in dried blood spots. PLoS Negl. Trop. Dis. 2023, 17, e0011290. [Google Scholar] [CrossRef]
- Rajko-Nenow, P.; Flannery, J.; Arnold, H.; Howson, E.L.A.; Darpel, K.; Stedman, A.; Corla, A.; Batten, C. A rapid RT-LAMP assay for the detection of all four lineages of Peste des Petits Ruminants Virus. J. Virol. Methods. 2019, 274, 113730. [Google Scholar] [CrossRef]
- Chaouch, M.; Mhadhbi, M.; Adams, E.R.; Schoone, G.J.; Limam, S.; Gharbi, Z.; Darghouth, M.A.; Guizani, I.; BenAbderrazak, S. Development and evaluation of a loop-mediated isothermal amplification assay for rapid detection of Leishmania infantum in canine leishmaniasis based on cysteine protease B genes. Vet. Parasitol. 2013, 198, 78–84. [Google Scholar] [CrossRef]
- Maurelli, M.P.; Bosco, A.; Manzillo, V.F.; Vitale, F.; Giaquinto, D.; Ciuca, L.; Molinaro, G.; Cringoli, G.; Oliva, G.; Rinaldi, L.; et al. Clinical, Molecular and Serological Diagnosis of Canine Leishmaniasis: An Integrated Approach. Vet. Sci. 2020, 7, 43. [Google Scholar] [CrossRef]
- Fujisawa, K.; Silcott-Niles, C.; Simonson, P.; Lamattina, D.; Humeres, C.A.; Bhattacharyya, T.; Mertens, P.; Thunissen, C.; O’Rourke, V.; Panczuk, M.; et al. Emerging canine visceral leishmaniasis in argentina: Comparative diagnoses and relevance to proliferation of human disease. PLoS Negl. Trop. Dis. 2021, 15, e0009552. [Google Scholar] [CrossRef]
- Coelho, B.O.; Sanchuki, H.B.S.; Zanette, D.L.; Nardin, J.M.; Morales, H.M.P.; Fornazari, B.; Aoki, M.N.; Blanes, L. Essential properties and pitfalls of colorimetric Reverse Transcription Loop-mediated Isothermal Amplification as a point-of-care test for SARS-CoV-2 diagnosis. Mol. Med. 2021, 27, 30. [Google Scholar] [CrossRef]

| Score Awarded | |||
|---|---|---|---|
| Category | 0 | 1 | 2 |
| Ectoparasites | Absent | Fleas | Fleas and ticks |
| Skin | No changes | Skin lesions/ Local alopecia/ Local dermatitis | Ulcerated skin Lesion/generalized Alopecia/generalized Dermatitis |
| Body condition | Normal | Thin/obese | Cachectic |
| Onychogryphosis | Absent | — | Present |
| Ophthalmic changes | Absent | Present (one-sided/light) | Severe (bilateral/purulent) |
| Lymphadenomegaly | Normal | Local | Regional/generalized |
| Splenomegaly | Absent | — | Present |
| Hepatomegaly | Absent | — | Present |
| Limb edema | Absent | Present | — |
| Paresis of hindquarters | Absent | Present | — |
| Mucous membranes | Normal | Pale | Hyperemic |
| Dehydration | Absent | Mild | Severe |
| Epistaxis | Absent | Mild | Severe |
| Clinical Observation | n/N | % |
|---|---|---|
| Ectoparasites | 25/43 | 58.1 |
| Dermatitis (and/or ulcers) | 20/43 | 46.5 |
| Alopecia | 19/43 | 44.1 |
| Poor body condition | 18/43 | 41.8 |
| Skin scaling | 18/43 | 41.8 |
| Splenomegaly | 16/43 | 37.2 |
| Onychogryphosis | 15/43 | 34.8 |
| Lymphadenopathy | 15/43 | 34.8 |
| Ophthalmic lesions | 12/43 | 27.9 |
| Changes in the mucous membranes | 9/43 | 20.9 |
| Dehydration | 6/43 | 13.9 |
| Paresis of hindquarters | 2/43 | 4.6 |
| Epistaxis | 1/43 | 2.3 |
| Hepatomegaly | 1/43 | 2.3 |
| Limb edema | 1/43 | 2.3 |
| Clinical Sample | Quantification (ng/µL) | Ratio 260/280 (nm) | Ct |
|---|---|---|---|
| (Median ± Max–Min) | (Median ± Max–Min) (~1.80) | (Median ± Max) | |
| SW-DB | 299.55 (626.3–25.9) * | 0.58 (2.12–0.41) * | 29.34 (20.88–33.52) * |
| SW-kit | 22.65 (161.1–4.7) * | 1.86 (2.20–1.30) * | 27.70 (17.41–32.26) * |
| SW-Kit | SW-DB | ||||||
|---|---|---|---|---|---|---|---|
| Sensitivity% | (n/N) | 95% CI | Sensitivity% | (n/N) | 95% CI | p-Value | |
| K26-LAMP | 72.1 | 31/43 | 56.3–84.7 | 97.6 | 41/42 | 87.7–99.6 | 0.006 |
| kDNA-cPCR | 81.4 | 35/43 | 66.6–91.6 | 95.2 | 40/42 | 84.2–98.7 | 0.109 |
| 18S-qPCR | 80.5 | 33/43 | 61.3–88.2 | 57.1 | 24/42 | 40.9–72.2 | 0.006 |
| SW-Kit | |||||||
|---|---|---|---|---|---|---|---|
| Mild/Moderate | Severe | ||||||
| Sensitivity % | (n/N) | 95% CI | Sensitivity % | (n/N) | 95% CI | p-Value | |
| K26-LAMP | 57.7 | 15/26 | 36.9–76.7 | 93.8 | 15/16 | 69.7–99.8 | 0.015 |
| kDNA-cPCR | 73.1 | 19/26 | 52.2–88.4 | 93.8 | 15/16 | 69.7–99.8 | 0.127 |
| 18S-qPCR * | 68.0 | 17/25 | 46.5–85.1 | 100 | 15/15 | 78.1-100 | 0.016 |
| SW-DB | |||||||
| Mild/Moderate ** | Severe | ||||||
| Sensitivity % | (n/N) | 95% CI | Sensitivity % | (n/N) | 95% CI | p-Value | |
| K26-LAMP | 96.0 | 24/25 | 79.6–99.9 | 100 | 16/16 | 79.3–100 | 0.512 |
| kDNA-cPCR | 96.0 | 24/25 | 79.6–99.9 | 93.8 | 15/16 | 69.7–99.8 | 1.000 |
| 18S-qPCR | 36.0 | 9/25 | 18.0–57.5 | 93.8 | 15/16 | 69.7–99.8 | <0.001 |
Disclaimer/Publisher’s Note: The statements, opinions and data contained in all publications are solely those of the individual author(s) and contributor(s) and not of MDPI and/or the editor(s). MDPI and/or the editor(s) disclaim responsibility for any injury to people or property resulting from any ideas, methods, instructions or products referred to in the content. |
© 2024 by the authors. Licensee MDPI, Basel, Switzerland. This article is an open access article distributed under the terms and conditions of the Creative Commons Attribution (CC BY) license (https://creativecommons.org/licenses/by/4.0/).
Share and Cite
Santos, I.C.S.; Avelar, D.M.; Miranda, L.F.C.; de Mello, C.X.; Keidel, L.; Pimentel, M.I.F.; Ventura, L.S.; Fagundes, A.; Santos, F.N.; Oliveira, L.F.A.; et al. Standardization and Evaluation of the LAMP Technique for the Diagnosis of Canine Visceral Leishmaniasis in Conjunctival Swab Samples Using DNA Extracted by a Silica Column and Boiling. Trop. Med. Infect. Dis. 2024, 9, 277. https://doi.org/10.3390/tropicalmed9110277
Santos ICS, Avelar DM, Miranda LFC, de Mello CX, Keidel L, Pimentel MIF, Ventura LS, Fagundes A, Santos FN, Oliveira LFA, et al. Standardization and Evaluation of the LAMP Technique for the Diagnosis of Canine Visceral Leishmaniasis in Conjunctival Swab Samples Using DNA Extracted by a Silica Column and Boiling. Tropical Medicine and Infectious Disease. 2024; 9(11):277. https://doi.org/10.3390/tropicalmed9110277
Chicago/Turabian StyleSantos, Isabela C. S., Daniel M. Avelar, Luciana F. C. Miranda, Cintia X. de Mello, Lucas Keidel, Maria Inês F. Pimentel, Luanna S. Ventura, Aline Fagundes, Fernanda N. Santos, Liliane F. A. Oliveira, and et al. 2024. "Standardization and Evaluation of the LAMP Technique for the Diagnosis of Canine Visceral Leishmaniasis in Conjunctival Swab Samples Using DNA Extracted by a Silica Column and Boiling" Tropical Medicine and Infectious Disease 9, no. 11: 277. https://doi.org/10.3390/tropicalmed9110277
APA StyleSantos, I. C. S., Avelar, D. M., Miranda, L. F. C., de Mello, C. X., Keidel, L., Pimentel, M. I. F., Ventura, L. S., Fagundes, A., Santos, F. N., Oliveira, L. F. A., Santos, S. A., Pereira, S. A., Menezes, R. C., & Marcelino, A. P. (2024). Standardization and Evaluation of the LAMP Technique for the Diagnosis of Canine Visceral Leishmaniasis in Conjunctival Swab Samples Using DNA Extracted by a Silica Column and Boiling. Tropical Medicine and Infectious Disease, 9(11), 277. https://doi.org/10.3390/tropicalmed9110277

