Imported Cutaneous Leishmaniasis from Peru Caused by Leishmania (Viannia) guyanensis in a Brazilian Patient: Case Report and In Vitro Drug Susceptibility Analysis
Abstract
1. Introduction
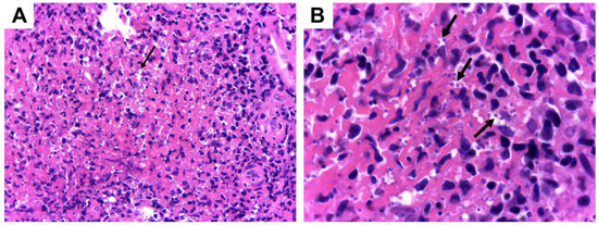
2. Case Presentation
3. Conclusions
Supplementary Materials
Author Contributions
Funding
Institutional Review Board Statement
Informed Consent Statement
Data Availability Statement
Acknowledgments
Conflicts of Interest
Abbreviations
References
- Burza, S.; Croft, S.L.; Boelaert, M. Leishmaniasis. Lancet 2018, 392, 951–970. [Google Scholar] [CrossRef]
- Kato, H.; Cáceres, A.G.; Seki, C.; Silupu García, C.R.; Holguín Mauricci, C.; Castro Martínez, S.C.; Moreno Paico, D.; Castro Muniz, J.L.; Troyes Rivera, L.D.; Villegas Briones, Z.I.; et al. Further insight into the geographic distribution of Leishmania species in Peru by cytochrome b and mannose phosphate isomerase gene analyses. PLoS Negl. Trop. Dis. 2019, 13, e0007496. [Google Scholar] [CrossRef]
- Arevalo, J.; Ramirez, L.; Adaui, V.; Zimic, M.; Tulliano, G.; Miranda-Verástegui, C.; Lazo, M.; Loayza-Muro, R.; De Doncker, S.; Maurer, A.; et al. Influence of Leishmania (Viannia) species on the response to antimonial treatment in patients with American tegumentary leishmaniasis. J. Infect. Dis. 2007, 195, 1846–1851. [Google Scholar] [CrossRef]
- Llanos-Cuentas, A.; Tulliano, G.; Araujo-Castillo, R.; Miranda-Verastegui, C.; Santamaria-Castrellon, G.; Ramirez, L.; Lazo, M.; De Doncker, S.; Boelaert, M.; Robays, J.; et al. Clinical and parasite species risk factors for pentavalent antimonial treatment failure in cutaneous leishmaniasis in Peru. Clin. Infect. Dis. 2008, 46, 223–231. [Google Scholar] [CrossRef]
- Pan American Health Organization. Leishmaniases: Epidemiological Report on the Region of the Americas. No. 12 (December 2023); Pan American Health Organization: Washington, DC, USA, 2023. [Google Scholar]
- Matlin, S.A.; Depoux, A.; Schütte, S.; Flahault, A.; Saso, L. Migrants’ and refugees’ health: Towards an agenda of solutions. Public Health Rev. 2018, 39, 27. [Google Scholar] [CrossRef]
- Eichner, S.; Thoma-Uszynski, S.; Herrgott, I.; Sebald, H.; Debus, A.; Tsianakas, A.; Ehrchen, J.; Harms, G.; Simon, M.; Sunderkötter, C.; et al. Clinical complexity of Leishmania (Viannia) braziliensis infections amongst travelers. Eur. J. Dermatol. 2013, 23, 218–223. [Google Scholar] [CrossRef]
- Moncada-Diaz, M.J.; Rodríguez-Almonacid, C.C.; Quiceno-Giraldo, E.; Khuong, F.T.H.; Muskus, C.; Karamysheva, Z.N. Molecular Mechanisms of Drug Resistance in Leishmania spp. Pathogens 2024, 13, 835. [Google Scholar] [CrossRef]
- Ponte-Sucre, A.; Gamarro, F.; Dujardin, J.C.; Barrett, M.P.; Lopez-Velez, R.; Garcia-Hernandez, R.; Pountain, A.W.; Mwenechanya, R.; Papadopoulou, B. Drug resistance and treatment failure in leishmaniasis: A 21st century challenge. PLoS Negl. Trop. Dis. 2017, 11, e0006052. [Google Scholar] [CrossRef]
- Uliana, S.R.B.; Trinconi, C.T.; Coelho, A.C. Chemotherapy of leishmaniasis: Present challenges. Parasitology 2018, 145, 464–480. [Google Scholar] [CrossRef] [PubMed]
- Romero, G.A.; Vinitius De Farias Guerra, M.; Gomes Paes, M.; de Oliveira Macêdo, V. Comparison of cutaneous leishmaniasis due to Leishmania (Viannia) braziliensis and L. (V.) guyanensis in Brazil: Clinical findings and diagnostic approach. Clin. Infect. Dis. 2001, 32, 1304–1312. [Google Scholar] [CrossRef] [PubMed]
- Adaui, V.; Lye, L.F.; Akopyants, N.S.; Zimic, M.; Llanos-Cuentas, A.; Garcia, L.; Maes, I.; De Doncker, S.; Dobson, D.E.; Arevalo, J.; et al. Association of the Endobiont Double-Stranded RNA Virus LRV1 With Treatment Failure for Human Leishmaniasis Caused by Leishmania braziliensis in Peru and Bolivia. J. Infect. Dis. 2016, 213, 112–121. [Google Scholar] [CrossRef] [PubMed]
- Bourreau, E.; Ginouves, M.; Prevot, G.; Hartley, M.A.; Gangneux, J.P.; Robert-Gangneux, F.; Dufour, J.; Sainte-Marie, D.; Bertolotti, A.; Pratlong, F.; et al. Presence of Leishmania RNA Virus 1 in Leishmania guyanensis Increases the Risk of First-Line Treatment Failure and Symptomatic Relapse. J. Infect. Dis. 2016, 213, 105–111. [Google Scholar] [CrossRef]
- Ferreira, B.A.; Santos, G.A.; Coser, E.M.; Sousa, J.M.; Gama, M.E.A.; Júnior, L.L.B.; Pessoa, F.S.; Lima, M.I.S.; Uliana, S.R.B.; Coelho, A.C. In Vitro Drug Susceptibility of a Leishmania (Leishmania) infantum Isolate from a Visceral Leishmaniasis Pediatric Patient after Multiple Relapses. Trop. Med. Infect. Dis. 2023, 8, 354. [Google Scholar] [CrossRef]
- Espada, C.R.; Ferreira, B.A.; Ortiz, P.A.; Uliana, S.R.B.; Coelho, A.C. Full nucleotide sequencing of ribosomal DNA internal transcribed spacer of Leishmania species causing cutaneous leishmaniasis in Brazil and its potential for species typing. Acta Trop. 2021, 223, 106093. [Google Scholar] [CrossRef]
- Espada, C.R.; Ortiz, P.A.; Shaw, J.J.; Barral, A.M.P.; Costa, J.M.L.; Uliana, S.R.B.; Coelho, A.C. Identification of Leishmania (Viannia) species and clinical isolates of Leishmania (Leishmania) amazonensis from Brazil using PCR-RFLP of the heat-shock protein 70 gene reveals some unexpected observations. Diagn. Microbiol. Infect. Dis. 2018, 91, 312–318. [Google Scholar] [CrossRef]
- Lainson, R.; Shaw, J.J.; Ward, R.D.; Ready, P.D.; Naiff, R.D. Leishmaniasis in Brazil: XIII. Isolation of Leishmania from armadillos (Dasypus novemcinctus), and observations on the epidemiology of cutaneous leishmaniasis in north Para State. Trans. R. Soc. Trop. Med. Hyg. 1979, 73, 239–242. [Google Scholar] [CrossRef]
- Yardley, V.; Ortuno, N.; Llanos-Cuentas, A.; Chappuis, F.; Doncker, S.D.; Ramirez, L.; Croft, S.; Arevalo, J.; Adaui, V.; Bermudez, H.; et al. American tegumentary leishmaniasis: Is antimonial treatment outcome related to parasite drug susceptibility? J. Infect. Dis. 2006, 194, 1168–1175. [Google Scholar] [CrossRef]
- Fernández, O.L.; Diaz-Toro, Y.; Ovalle, C.; Valderrama, L.; Muvdi, S.; Rodríguez, I.; Gomez, M.A.; Saravia, N.G. Miltefosine and antimonial drug susceptibility of Leishmania Viannia species and populations in regions of high transmission in Colombia. PLoS Negl. Trop. Dis. 2014, 8, e2871. [Google Scholar] [CrossRef]
- Rojas, R.; Valderrama, L.; Valderrama, M.; Varona, M.X.; Ouellette, M.; Saravia, N.G. Resistance to antimony and treatment failure in human Leishmania (Viannia) infection. J. Infect. Dis. 2006, 193, 1375–1383. [Google Scholar] [CrossRef] [PubMed]
- Pennini, S.N.; de Oliveira Guerra, J.A.; Rebello, P.F.B.; Abtibol-Bernardino, M.R.; de Castro, L.L.; da Silva Balieiro, A.A.; de Oliveira Ferreira, C.; Noronha, A.B.; Dos Santos da Silva, C.G.; Leturiondo, A.L.; et al. Treatment of cutaneous leishmaniasis with a sequential scheme of pentamidine and tamoxifen in an area with a predominance of Leishmania (Viannia) guyanensis: A randomised, non-inferiority clinical trial. Trop. Med. Int. Health TM IH 2023, 28, 871–880. [Google Scholar] [CrossRef] [PubMed]
- Ginouvès, M.; Couppié, P.; Simon, S.; Bourreau, E.; Rogier, S.; Brousse, P.; Travers, P.; Pommier de Santi, V.; Demar, M.; Briolant, S.; et al. Leishmaniavirus genetic diversity is not related to leishmaniasis treatment failure. Clin. Microbiol. Infect. 2021, 27, 286.e1–286.e5. [Google Scholar] [CrossRef] [PubMed]
- Christen, J.R.; Bourreau, E.; Demar, M.; Lightburn, E.; Couppié, P.; Ginouvès, M.; Prévot, G.; Gangneux, J.P.; Savini, H.; de Laval, F.; et al. Use of the intramuscular route to administer pentamidine isethionate in Leishmania guyanensis cutaneous leishmaniasis increases the risk of treatment failure. Travel Med. Infect. Dis. 2018, 24, 31–36. [Google Scholar] [CrossRef] [PubMed]
- Cantanhede, L.M.; Fernandes, F.G.; Ferreira, G.E.M.; Porrozzi, R.; Ferreira, R.G.M.; Cupolillo, E. New insights into the genetic diversity of Leishmania RNA Virus 1 and its species-specific relationship with Leishmania parasites. PLoS ONE 2018, 13, e0198727. [Google Scholar] [CrossRef] [PubMed]
- Valencia, C.; Arévalo, J.; Dujardin, J.C.; Llanos-Cuentas, A.; Chappuis, F.; Zimic, M. Prediction score for antimony treatment failure in patients with ulcerative leishmaniasis lesions. PLoS Negl. Trop. Dis. 2012, 6, e1656. [Google Scholar] [CrossRef]
- de Araujo, F.J.; da Silva, L.D.; Mesquita, T.G.; Pinheiro, S.K.; Vital Wde, S.; Chrusciak-Talhari, A.; Guerra, J.A.; Talhari, S.; Ramasawmy, R. Polymorphisms in the TOLLIP Gene Influence Susceptibility to Cutaneous Leishmaniasis Caused by Leishmania guyanensis in the Amazonas State of Brazil. PLoS Negl. Trop. Dis. 2015, 9, e0003875. [Google Scholar] [CrossRef]
- Ferreira, B.A.; Coser, E.M.; Saborito, C.; Yamashiro-Kanashiro, E.H.; Lindoso, J.A.L.; Coelho, A.C. In vitro miltefosine and amphotericin B susceptibility of strains and clinical isolates of Leishmania species endemic in Brazil that cause tegumentary leishmaniasis. Exp. Parasitol. 2023, 246, 108462. [Google Scholar] [CrossRef]


| Drugs | Promastigotes | Intracellular Amastigotes | CC50 c | ||
|---|---|---|---|---|---|
| M4147 | IMLC | M4147 | IMLC | ||
| SbIII a | 20.58 ± 2.88 | 10.82 ± 4.25 | - | - | - |
| SbV a | - | - | >1000 | 221.8 ± 18 | >2000 |
| AmB b | 31.73 ± 2.81 | 15.26 ± 2.43 | 13.11 ± 1.11 | 9.8 ± 2.95 | 127.36 ± 0.94 |
| PEN a | 0.41 ± 0.078 | 0.91 ± 0.07 | >0.4 | >0.4 | 0.36 ± 0.02 |
| MF a | 46.4 ± 4.37 | 21.52 ± 5.43 | 13.5 ± 4.52 | 9.05 ± 2.3 | 49.52 ± 2.93 |
Disclaimer/Publisher’s Note: The statements, opinions and data contained in all publications are solely those of the individual author(s) and contributor(s) and not of MDPI and/or the editor(s). MDPI and/or the editor(s) disclaim responsibility for any injury to people or property resulting from any ideas, methods, instructions or products referred to in the content. |
© 2024 by the authors. Licensee MDPI, Basel, Switzerland. This article is an open access article distributed under the terms and conditions of the Creative Commons Attribution (CC BY) license (https://creativecommons.org/licenses/by/4.0/).
Share and Cite
Coser, E.M.; Aoki, J.I.; Saborito, C.; de la Roca, S.; Brufatto, J.P.T.; Angerami, R.; Stelini, R.F.; Velho, P.E.N.F.; Coelho, A.C. Imported Cutaneous Leishmaniasis from Peru Caused by Leishmania (Viannia) guyanensis in a Brazilian Patient: Case Report and In Vitro Drug Susceptibility Analysis. Trop. Med. Infect. Dis. 2024, 9, 264. https://doi.org/10.3390/tropicalmed9110264
Coser EM, Aoki JI, Saborito C, de la Roca S, Brufatto JPT, Angerami R, Stelini RF, Velho PENF, Coelho AC. Imported Cutaneous Leishmaniasis from Peru Caused by Leishmania (Viannia) guyanensis in a Brazilian Patient: Case Report and In Vitro Drug Susceptibility Analysis. Tropical Medicine and Infectious Disease. 2024; 9(11):264. https://doi.org/10.3390/tropicalmed9110264
Chicago/Turabian StyleCoser, Elizabeth M., Juliana I. Aoki, Cristiele Saborito, Stephane de la Roca, João Paulo T. Brufatto, Rodrigo Angerami, Rafael F. Stelini, Paulo Eduardo N. F. Velho, and Adriano C. Coelho. 2024. "Imported Cutaneous Leishmaniasis from Peru Caused by Leishmania (Viannia) guyanensis in a Brazilian Patient: Case Report and In Vitro Drug Susceptibility Analysis" Tropical Medicine and Infectious Disease 9, no. 11: 264. https://doi.org/10.3390/tropicalmed9110264
APA StyleCoser, E. M., Aoki, J. I., Saborito, C., de la Roca, S., Brufatto, J. P. T., Angerami, R., Stelini, R. F., Velho, P. E. N. F., & Coelho, A. C. (2024). Imported Cutaneous Leishmaniasis from Peru Caused by Leishmania (Viannia) guyanensis in a Brazilian Patient: Case Report and In Vitro Drug Susceptibility Analysis. Tropical Medicine and Infectious Disease, 9(11), 264. https://doi.org/10.3390/tropicalmed9110264

