Dynamic Navigation for Zygomatic Implants: A Case Report about a Protocol with Intraoral Anchored Reference Tool and an Up-To-Date Review of the Available Protocols
Abstract
1. Introduction
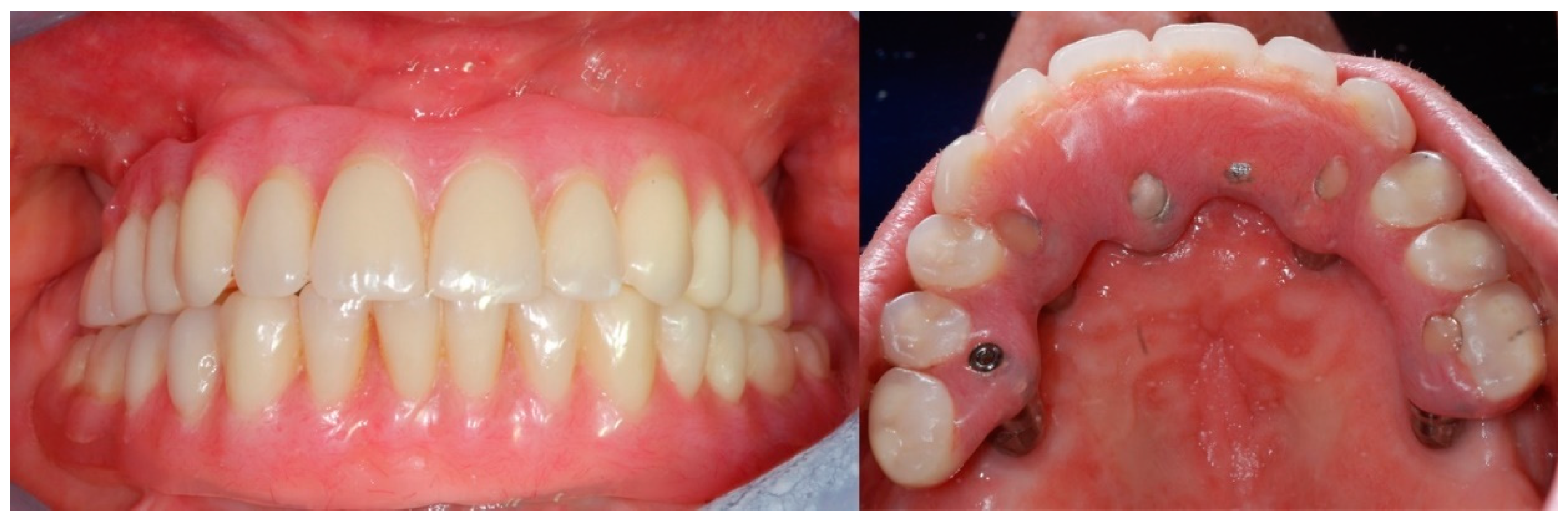
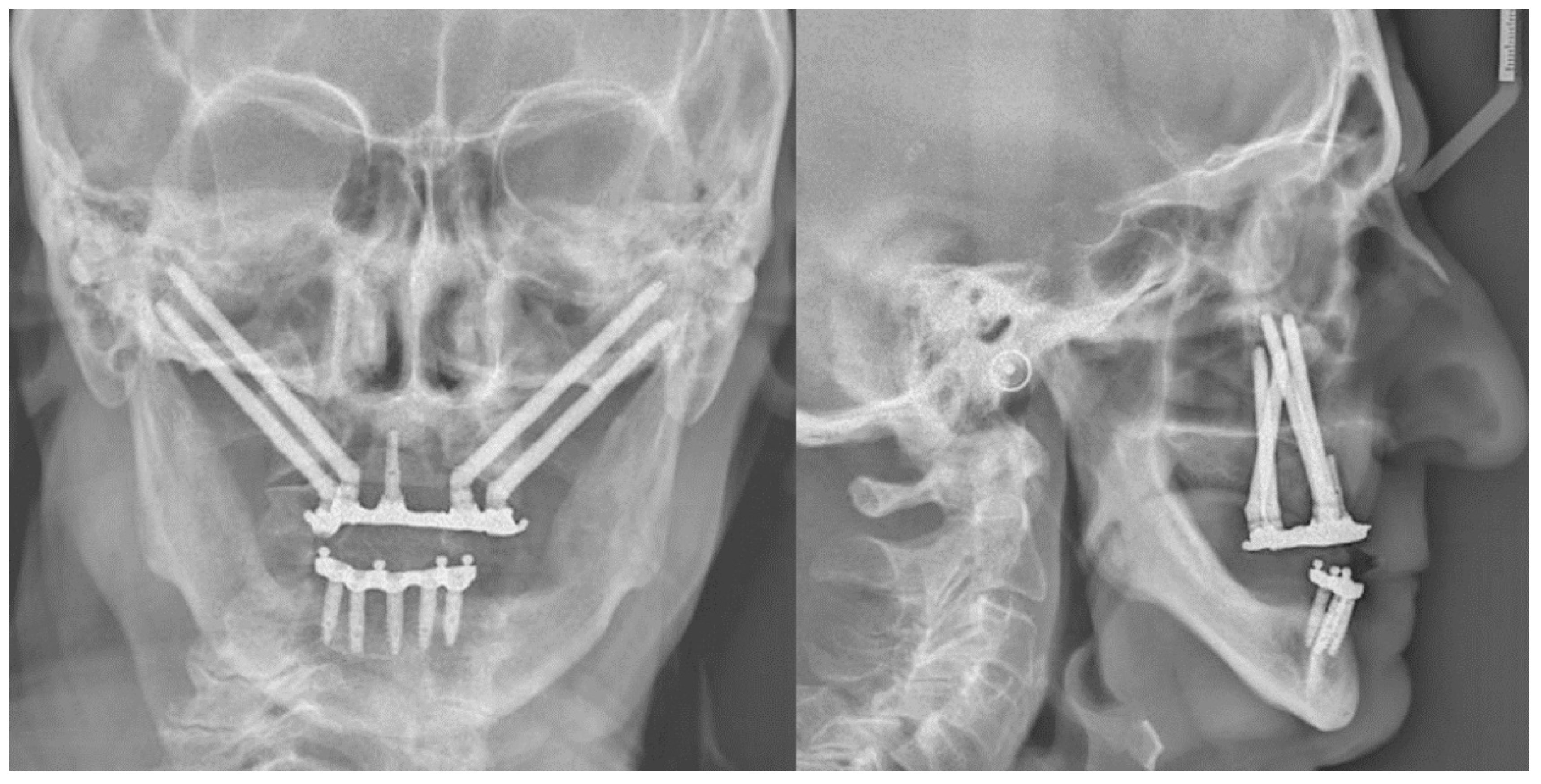
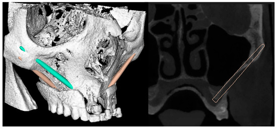
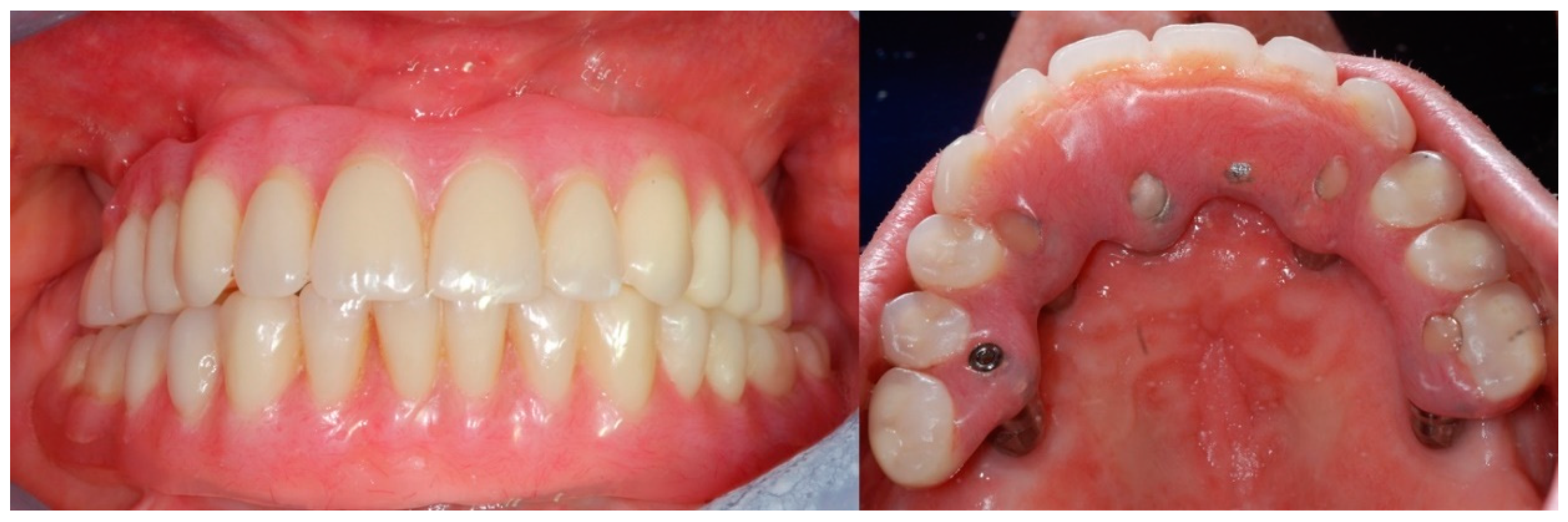
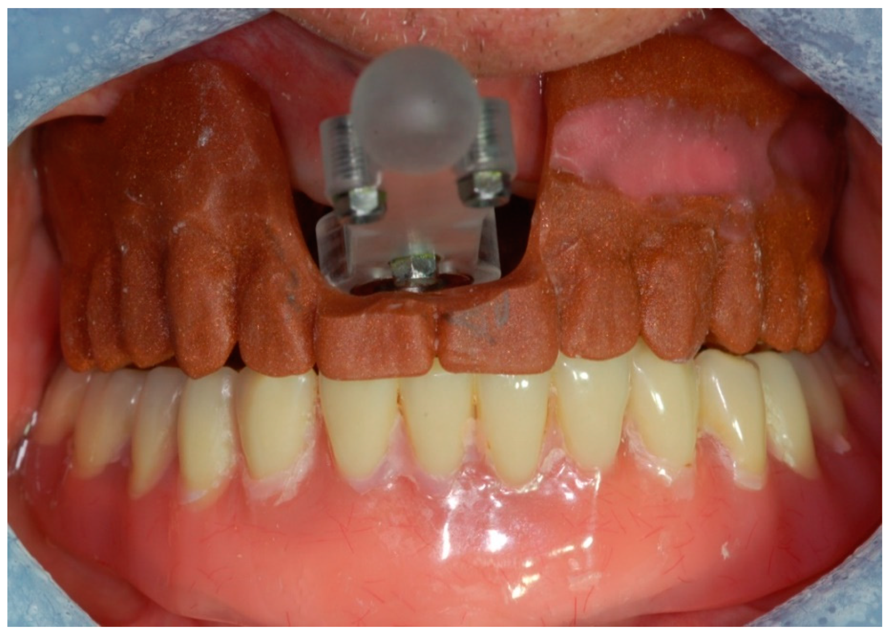
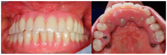
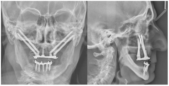
2. Case Report
3. Procedure
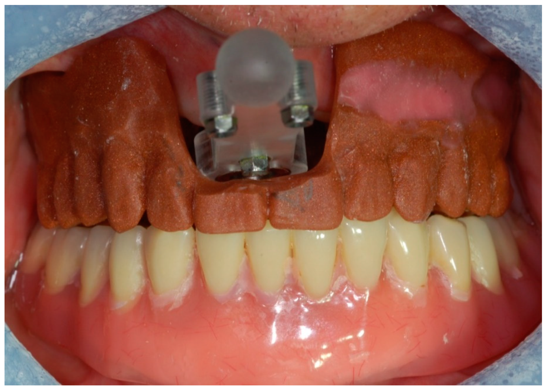
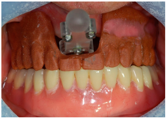
- Step 1. Scanning of the patient and the scan prosthesis/registration template, external registration frame, or bone markers.
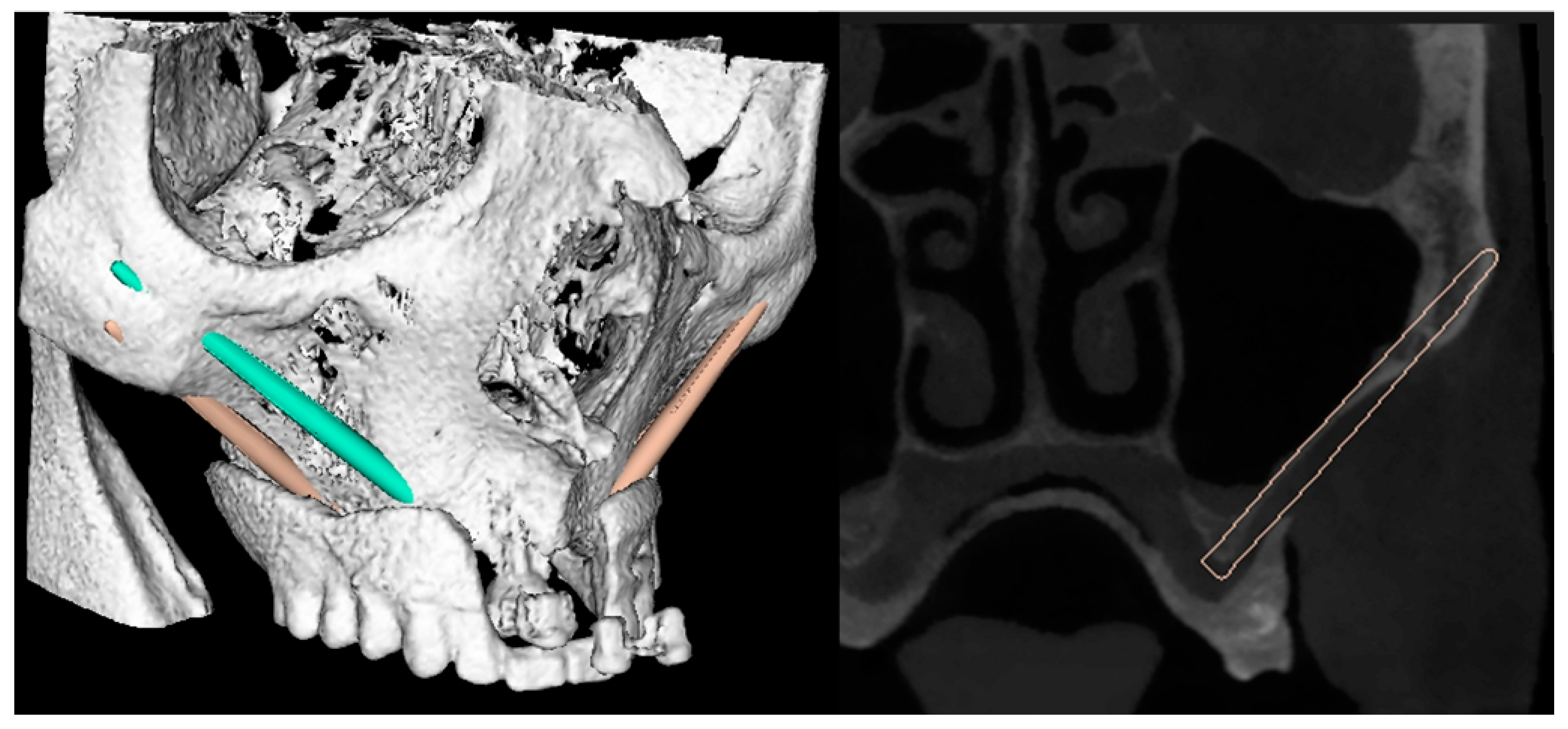
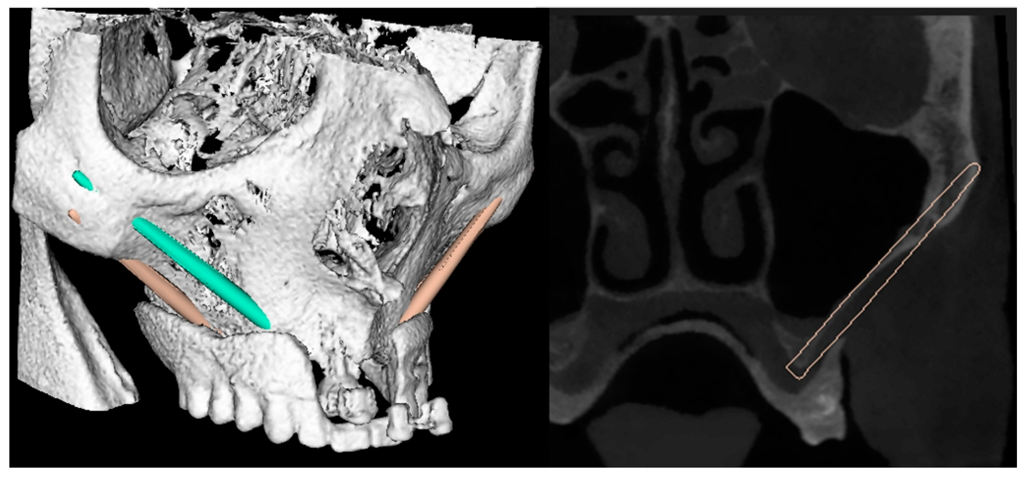
- Step 2. Software planning of the implant position.
- Step 3. Image-to-patient registration via registration templates, external registration frames, or bone markers.
- Step 4. Surgery: navigation of the drill along the predefined surgical plan.
4. Discussions
Author Contributions
Funding
Acknowledgments
Conflicts of Interest
References
- Apaza Alccayhuaman, K.A.; Soto-Peñaloza, D.; Nakajima, Y.; Papageorgiou, S.N.; Botticelli, D.; Lang, N.P. Biological and technical complications of tilted implants in comparison with straight implants supporting fixed dental prostheses. A systematic review and meta-analysis. Clin. Oral Implants Res. 2018, 29 (Suppl. S18), 295–308. [Google Scholar] [CrossRef] [PubMed]
- Nielsen, H.B.; Schou, S.; Isidor, F.; Christensen, A.E.; Starch-Jensen, T. Short implants (≤8 mm) compared to standard length implants (>8 mm) in conjunction with maxillary sinus floor augmentation: A systematic review and meta-analysis. Int. J. Oral Maxillofac. Surg. 2019, 48, 239–249. [Google Scholar] [CrossRef] [PubMed]
- Schiegnitz, E.; Al-Nawas, B. Narrow-diameter implants: A systematic review and meta-analysis. Clin. Oral Implant. Res. 2018, 29 (Suppl. S16), 21–40. [Google Scholar] [CrossRef] [PubMed]
- Pieri, F.; Lizio, G.; Bianchi, A.; Corinaldesi, G.; Marchetti, C. Immediate loading of dental implants placed in severely resorbed edentulous maxillae reconstructed with Le Fort I osteotomy and interpositional bone grafting. J. Periodontol. 2012, 83, 963–972. [Google Scholar] [CrossRef] [PubMed]
- Sales, P.H.; Gomes, M.V.S.W.; de Oliveira-Neto, O.B.; de Lima, F.J.C.; Leão, J.C. Quality assessment of systematic reviews regarding the effectiveness of zygomatic implants: An overview of systematic reviews. Med. Oral Patol. Oral Cir. Bucal. 2020, 25, e541–e548. [Google Scholar] [CrossRef]
- Chana, H.; Smith, G.; Bansal, H.; Zahra, D. A retrospective cohort study of the survival rate of 88 zygomatic implants placed over an 18-year period. Int. J. Oral Maxillofac. Implant. 2019, 34, 461–470. [Google Scholar] [CrossRef]
- Chrcanovic, B.R.; Albrektsson, T.; Wennerberg, A. Survival and complications of zygomatic implants: An updated systematic review. J. Oral Maxillofac. Surg. 2016, 74, 1949–1964. [Google Scholar] [CrossRef]
- Wu, Y.; Wang, F.; Huang, W.; Fan, S. Real-time navigation in zygomatic implant placement: Workflow. Oral Maxillofac. Surg. Clin. North. Am. 2019, 31, 357–367. [Google Scholar] [CrossRef]
- Yalçın, M.; Can, S.; Akbaş, M.; Dergin, G.; Garip, H.; Altuğ Aydil, B.; Varol, A. Retrospective analysis of zygomatic implants for maxillary prosthetic rehabilitation. Int. J. Oral Maxillofac. Implant. 2020, 35, 750–756. [Google Scholar] [CrossRef]
- Pellegrino, G.; Tarsitano, A.; Taraschi, V.; Vercellotti, T.; Marchetti, C. Simplifying zygomatic implant site preparation using ultrasonic navigation: A technical note. Int. J. Oral Maxillofac. Implant. 2018, 33, e67–e71. [Google Scholar] [CrossRef]
- D’Amico, C.; Bocchieri, S.; Sambataro, S.; Surace, G.; Stumpo, C.; Fiorillo, L. Occlusal load considerations in implant-supported fixed restorations. Prosthesis 2020, 2, 252–265. [Google Scholar] [CrossRef]
- Molinero-Mourelle, P.; Gómez-Polo, M.; Gómez-Polo, C.; Ortega, R.; del Río Highsmith, J.; Celemín-Viñuela, A. Preliminary study on the assessment of the marginal fit of three-dimensional methacrylate oligomer phosphine oxide provisional fixed dental prostheses made by digital light processing. Prosthesis 2020, 2, 240–245. [Google Scholar] [CrossRef]
- Saboury, A.; Beyabanaki, E.A. Modified Technique for Fabricating Customized Angled Dual Abutments for Implants with Severe Angulations. Prosthesis 2020, 2, 246–251. [Google Scholar] [CrossRef]
- Chrcanovic, R.B.; Oliveira, D.R.; Custódio, A.L. Accuracy evaluation of computed tomography-derived stereolithographic surgical guides in zygomatic implant placement in human cadavers. J. Oral Implant. 2010, 36, 345–355. [Google Scholar] [CrossRef]
- Vrielinck, L.; Politis, C.; Schepers, S.; Pauwels, M.; Naert, I. Image-based planning and clinical validation of zygoma and pterygoid implant placement in patients with severe bone atrophy using customized drill guides. Preliminary results from a prospective clinical follow-up study. Int. J. Oral Maxillofac. Surg. 2003, 32, 7–14. [Google Scholar] [CrossRef]
- Chow, J. A novel device for template-guided surgery of the zygomatic implants. Int. J. Oral Maxillofac. Surg. 2016, 45, 1253–1255. [Google Scholar] [CrossRef]
- Koop, R.; Vercruyssen, M.; Vermeulen, K.; Quirynen, M. Tolerance within the sleeve inserts of different surgical guides for guided implant surgery. Clin. Oral Implant. Res. 2013, 24, 630–634. [Google Scholar] [CrossRef]
- Block, M.S.; Emery, R.W. Static or dynamic navigation for implant placement-choosing the method of guidance. J. Oral Maxillofac. Surg. 2016, 74, 269–277. [Google Scholar] [CrossRef]
- Gargallo-Albiol, J.; Barootchi, S.; Salomó-Coll, O.; Wang, H.L. Advantages and disadvantages of implant navigation surgery. A systematic review. Ann. Anat. 2019, 225, 1–10. [Google Scholar] [CrossRef]
- Lopes, A.; de Araújo Nobre, M.; Santos, D. The workflow of a new dynamic navigation system for the insertion of dental implants in the rehabilitation of edentulous jaws: Report of two cases. J. Clin. Med. 2020, 9, 421. [Google Scholar] [CrossRef]
- Schramm, A.; Gellrich, N.C.; Schimming, R.; Schmelzeisen, R. Computer-assisted insertion of zygomatic implants (Brånemark system) after extensive tumor surgery. Mund Kiefer Gesichtschir 2000, 4, 292–295. [Google Scholar] [CrossRef]
- Hung, K.; Huang, W.; Wang, F.; Wu, Y. Real-time surgical navigation system for the placement of zygomatic implants with severe bone deficiency. Int. J. Oral Maxillofac. Implant. 2016, 31, 1444–1449. [Google Scholar] [CrossRef]
- Hung, K.F.; Wang, F.; Wang, H.W.; Zhou, W.J.; Huang, W.; Wu, Y.Q. Accuracy of a real-time surgical navigation system for the placement of quad zygomatic implants in the severe atrophic maxilla: A pilot clinical study. Clin. Implant. Dent. Relat. Res. 2017, 19, 458–465. [Google Scholar] [CrossRef] [PubMed]
- Wang, F.; Bornstein, M.M.; Hung, K.; Fan, S.; Chen, X.; Huang, W.; Wu, Y. Application of real-time surgical navigation for zygomatic implant insertion in patients with severely atrophic maxilla. J. Oral Maxillofac. Surg. 2018, 76, 80–87. [Google Scholar] [CrossRef]
- Pellegrino, G.; Tarsitano, A.; Basile, F.; Pizzigallo, A.; Marchetti, C. Computer-aided rehabilitation of maxillary oncological defects using zygomatic implants: A defect-based classification. J. Oral Maxillofac. Surg. 2015, 73, 2446-e1. [Google Scholar] [CrossRef]
- Schierano, G.; Vercellotti, T.; Modica, F.; Corrias, G.; Russo, C.; Cavagnetto, D.; Baldi, D.; Romano, F.; Carossa, S. A 4-year retrospective radiographic study of marginal bone loss of 156 titanium implants placed with ultrasonic site preparation. Int. J. Periodontics Restor. Dent. 2019, 39, 115–121. [Google Scholar] [CrossRef]
- Stefanelli, L.V.; DeGroot, B.S.; Lipton, D.I.; Mandelaris, G.A. Accuracy of a dynamic dental implant navigation system in a private practice. Int. J. Oral Maxillofac. Implant. 2019, 34, 205–213. [Google Scholar] [CrossRef]
- Xiaojun, C.; Ming, Y.; Yanping, L.; Yiqun, W.; Chengtao, W. Image guided oral implantology and its application in the placement of zygoma implants. Comput. Methods Programs Biomed. 2009, 93, 162–173. [Google Scholar] [CrossRef]
- Pellegrino, G.; Taraschi, V.; Andrea, Z.; Ferri, A.; Marchetti, C. Dynamic navigation: A prospective clinical trial to evaluate the accuracy of implant placement. Int. J. Comput. Dent. 2019, 22, 139–147. [Google Scholar]
- Seeberger, R.; Kane, G.; Hoffmann, J.; Eggers, G. Accuracy assessment for navigated maxillo-facial surgery using an electromagnetic tracking device. J. Craniomaxillofac. Surg. 2012, 40, 156–161. [Google Scholar] [CrossRef]
- Bobek, S.L. Applications of navigation for orthognathic surgery. Oral Maxillofac. Surg. Clin. North. Am. 2014, 26, 587–598. [Google Scholar] [CrossRef]
- Fan, S.; Hung, K.; Bornstein, M.M.; Huang, W.; Wang, F.; Wu, Y. The effect of the configurations of fiducial markers on accuracy of surgical navigation in zygomatic implant placement: An in vitro study. Int. J. Oral Maxillofac. Implant. 2019, 34, 85–90. [Google Scholar] [CrossRef]
- Fitzpatrick, J.M.; West, J.B.; Maurer, C.R., Jr. Predicting error in rigid-body point-based registration. IEEE Trans. Med. Imaging 1998, 17, 694–702. [Google Scholar] [CrossRef] [PubMed]
- Pellegrino, G.; Mangano, C.; Mangano, R.; Ferri, A.; Taraschi, V.; Marchetti, C. Augmented reality for dental implantology: A pilot clinical report of two cases. BMC Oral Health 2019, 19, 158. [Google Scholar] [CrossRef]
- Qin, C.; Ran, X.; Wu, Y.; Chen, X. The development of non-contact user interface of a surgical navigation system based on multi-LSTM and a phantom experiment for zygomatic implant placement. Int. J. Comput. Assist. Radiol. Surg. 2019, 14, 2147–2154. [Google Scholar] [CrossRef]









Publisher’s Note: MDPI stays neutral with regard to jurisdictional claims in published maps and institutional affiliations. |
© 2020 by the authors. Licensee MDPI, Basel, Switzerland. This article is an open access article distributed under the terms and conditions of the Creative Commons Attribution (CC BY) license (http://creativecommons.org/licenses/by/4.0/).
Share and Cite
Pellegrino, G.; Lizio, G.; Basile, F.; Stefanelli, L.V.; Marchetti, C.; Felice, P. Dynamic Navigation for Zygomatic Implants: A Case Report about a Protocol with Intraoral Anchored Reference Tool and an Up-To-Date Review of the Available Protocols. Methods Protoc. 2020, 3, 75. https://doi.org/10.3390/mps3040075
Pellegrino G, Lizio G, Basile F, Stefanelli LV, Marchetti C, Felice P. Dynamic Navigation for Zygomatic Implants: A Case Report about a Protocol with Intraoral Anchored Reference Tool and an Up-To-Date Review of the Available Protocols. Methods and Protocols. 2020; 3(4):75. https://doi.org/10.3390/mps3040075
Chicago/Turabian StylePellegrino, Gerardo, Giuseppe Lizio, Francesco Basile, Luigi Vito Stefanelli, Claudio Marchetti, and Pietro Felice. 2020. "Dynamic Navigation for Zygomatic Implants: A Case Report about a Protocol with Intraoral Anchored Reference Tool and an Up-To-Date Review of the Available Protocols" Methods and Protocols 3, no. 4: 75. https://doi.org/10.3390/mps3040075
APA StylePellegrino, G., Lizio, G., Basile, F., Stefanelli, L. V., Marchetti, C., & Felice, P. (2020). Dynamic Navigation for Zygomatic Implants: A Case Report about a Protocol with Intraoral Anchored Reference Tool and an Up-To-Date Review of the Available Protocols. Methods and Protocols, 3(4), 75. https://doi.org/10.3390/mps3040075

