Pilot Study on Neonatal Screening for Methylmalonic Acidemia Caused by Defects in the Adenosylcobalamin Synthesis Pathway and Homocystinuria Caused by Defects in Homocysteine Remethylation
Abstract
:1. Introduction
2. Materials and Methods
2.1. Preliminary Retrospective Study
2.2. Prospective Pilot Study
2.3. Biochemical Analysis
2.4. Statistical Analysis
3. Case Report
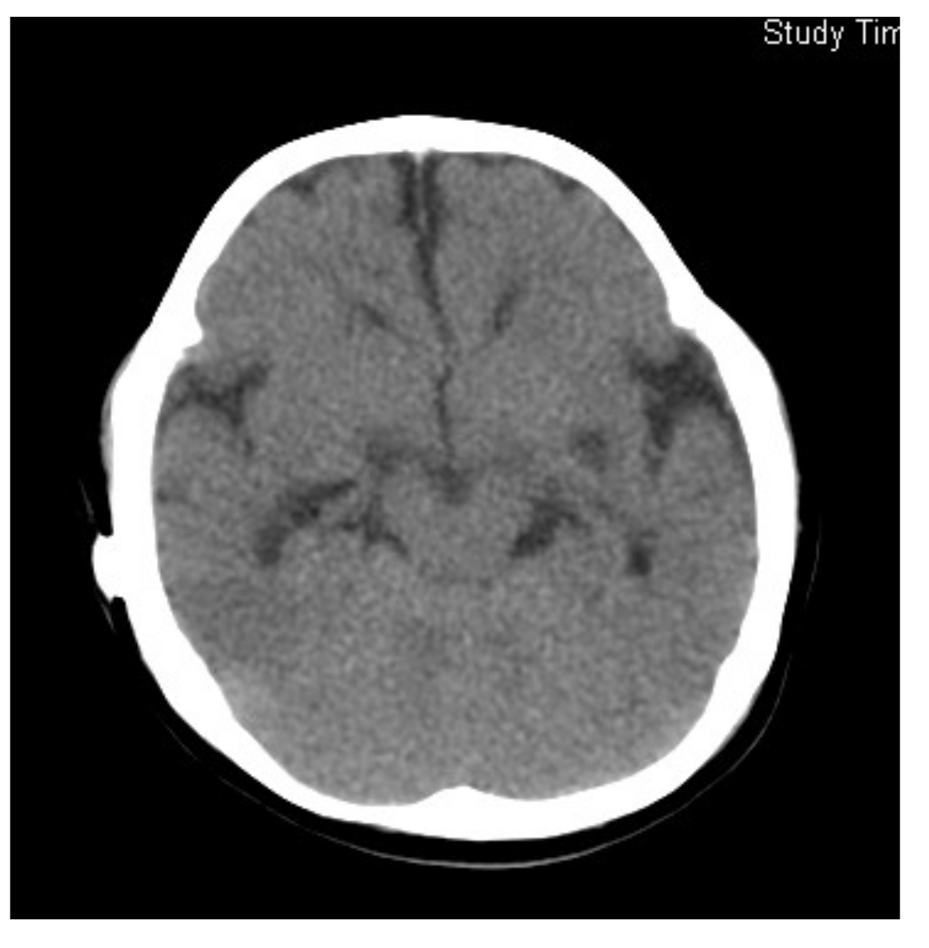
3.1. Case 1
3.2. Case 2
3.3. Case 3
4. Results
4.1. Preliminary Retrospective Study
4.2. Prospective Pilot Study
5. Discussion
6. Conclusions
Author Contributions
Funding
Institutional Review Board Statement
Informed Consent Statement
Data Availability Statement
Acknowledgments
Conflicts of Interest
References
- Huemer, M.; Diodato, D.; Schwahn, B.; Schiff, M.; Bandeira, A.; Benoist, J.F.; Burlina, A.; Cerone, R.; Couce, M.L.; Cazorla, A.G.; et al. Guidelines for diagnosis and management of the cobalamin-related remethylation disorders cblC, cblD, cblE, cblF, cblG, cblJ and MTHFR deficiency. J. Inherit. Metab. Dis. 2017, 40, 21–48. [Google Scholar] [CrossRef] [PubMed] [Green Version]
- Keller, R.; Chrastina, P.; Pavlíková, M.; Gouveia, S.; Ribes, A.; Kölker, S.; Blom, H.J.; Baumgartner, M.R.; Bártl, J.; Dionisi-Vici, C.; et al. Newborn screening for homocystinurias: Recent recommendations versus current practice. J. Inherit. Metab. Dis. 2019, 42, 128–139. [Google Scholar] [CrossRef] [PubMed]
- Huemer, M.; Kozich, V.; Rinaldo, P.; Baumgartner, M.R.; Merinero, B.; Pasquini, E.; Ribes, A.; Blom, H.J. Newborn screening for homocystinurias and methylation disorders: Systematic review and proposed guidelines. J. Inherit. Metab. Dis. 2015, 38, 1007–1019. [Google Scholar] [CrossRef] [Green Version]
- Diekman, E.F.; Koning, T.J.; Verhoeven-Duif, N.M.; Rovers, M.M.; Hasselt, P.M. Survival and psychomotor development with early betaine treatment in patients with severe methylenetetrahydrofolate reductase deficiency. JAMA Neurol. 2014, 71, 188–194. [Google Scholar] [CrossRef] [PubMed]
- Ito, Y.; Sakakibara, T.; Nishiku, T. Early treatment using betaine and methionine for a neonate with MTHFR deficiency. Pediatrics Int. 2019, 61, 1265–1266. [Google Scholar] [CrossRef]
- Adams, J.D.; Bender, H.A.; Miley-Åkerstedt, A.; Frempong, T.; Schrager, N.L.; Patel, K.; Naidich, T.P.; Stein, V.; Spat, J.; Towns, S.; et al. Neurologic and neurodevelopmental phenotypes in young children with early-treated combined methylmalonic acidemia and homocystinuria, cobalamin C type. Mol. Genet. Metab. 2014, 110, 241–247. [Google Scholar] [CrossRef] [PubMed]
- Wong, D.; Tortorelli, S.; Bishop, L.; Sellars, E.A.; Schimmenti, L.A.; Gallant, N.; Prada, C.E.; Hopkin, R.J.; Leslie, N.D.; Berry, S.A.; et al. Outcomes of four patients with homocysteine remethylation disorders detected by newborn screening. Genet. Med. 2016, 18, 162–167. [Google Scholar] [CrossRef] [PubMed] [Green Version]
- Ono, H.; Tajima, G.; Shigematsu, Y.; Hata, I.; Hara, K.; Sakura, N.; Yoshii. A case of vitamin B12 responsive methylmalonic acidemia who developed clinical manifestation following norovirus infection with negative results in newborn mass screening with tandem mass spectrometry. Jpn. J. Neonatal Screen. 2014, 24, 49–56. (In Japanese) [Google Scholar]
- Kagawa, R.; Tajima, G.; Maeda, T.; Hara, K.; Nishimura, Y.; Yoshii, C.; Shigematsu, Y. Preliminary study on newborn screening for inborn errors of cobalamin metabolism by hypomethioninemia. Jpn. J. Neonatal Screen. 2019, 29, 51–56. (In Japanese) [Google Scholar]
- Gavrilov, D.K.; Piazza, A.L.; Pino, G.; Turgeon, C.; Matern, D.; Oglesbee, D.; Raymond, K.; Tortorelli, S.; Rinaldo, P. The combined impact of CLIR post-analytical tools and second tier testing on the performance of newborn screening for disorders of propionate, methionine, and cobalamin metabolism. Int. J. Neonatal Screen. 2020, 6, 33. [Google Scholar] [CrossRef]
- Shigematsu, Y.; Hata, I.; Kikawa, Y.; Mayumia, M.; Tanaka, Y.; Sudo, M.; Kado, N. Modifications in electrospray tandem mass spectrometry for a neonatal-screening pilot study in Japan. J. Chromatogr. B Biomed. Sci. Appl. 1999, 731, 97–103. [Google Scholar] [CrossRef]
- Rozmaric, T.; Mitulovic, G.; Konstantopoulou, V.; Goeschl, B.; Huemer, M.; Plecko, B.; Spenger, J.; Wortmann, S.B.; Scholl-Bürgi, S.; Karall, D.; et al. Elevated homocysteine after elevated propionylcarnitine or low methionine in newborn screening is highly predictive for low vitamin B12 and holo-transcobalamin levels in newborns. Diagnostics 2020, 10, 626. [Google Scholar] [CrossRef] [PubMed]
- Gramer, M.; Hoffmann, J.F.; Feyh, P.; Monostori, P.; Mütze, U.; Posset, R.; Weiss, K.H.; Hoffmann, G.F.; Okun, J.G. Newborn screening for vitamin B12 deficiency in Germany—Strategies, results, and Public Health Implications. J. Pediatrics 2020, 216, 165–172. [Google Scholar] [CrossRef] [PubMed]
- HAbu-El-Haija, A.; Mendelsohn, B.A.; Duncan, J.L.; Moore, A.T.; Glenn, O.A.; Weisiger, K.; Gallagher, R.C. Cobalamin D deficiency identified through newborn screening. In JIMD Reports; Springer: Berlin/Heidelberg, Germany, 2019; Volume 44, pp. 73–77. [Google Scholar] [CrossRef]
- Hannibal, L.; Lysne, V.; Bjørke-Monsen, A.L.; Behringer, S.; Grünert, S.C.; Spiekerkoetter, U.; Jacobsen, D.W.; Blom, H.J. Biomarkers and algorithms for the diagnosis of vitamin B12 deficiency. Front. Mol. Biosci. 2016, 3, 27. [Google Scholar] [CrossRef] [PubMed] [Green Version]
- Tortorelli, S.; Turgeon, C.T.; Lim, J.S.; Baumgart, S.; Day-Salvatore, D.L.; Abdenur, J.; Bernstein, J.A.; Lorey, F.; Lichter-Konecki, U.; Oglesbee, D.; et al. Two-tier approach to the newborn screening of methylenetetrahydrofolate reductase deficiency and other remethylation disorders with tandem mass spectrometry. J. Pediatrics 2010, 157, 271–275. [Google Scholar] [CrossRef] [PubMed]
- Shigematsu, Y.; Hata, I.; Tajima, G. Useful second-tier tests in expanded newborn screening of isovaleric acidemia and methylmalonic aciduria. J. Inherit. Metab. Dis. 2010, 33, S283–S288. [Google Scholar] [CrossRef] [PubMed]



| Mean | 99th Centile | 99.5th Centile | 99.9th Centile | |
|---|---|---|---|---|
| C3 (μmol/L) | 1.83 | 3.96 | 4.36 | 5.8 |
| C3/C2 | 0.09 | 0.18 | 0.19 | 0.24 |
| C3/Met | 0.08 | 0.18 | 0.20 | 0.25 |
| Met (μmol/L) | 22.10 | 34.71 | 36.60 | 41.75 |
| Index | Cutoff Level | |||||
|---|---|---|---|---|---|---|
| C3 (μmol/L) | 3.5 | 3.6 | 3.7 | |||
| n | % | n | % | n | % | |
| 513 | 2.19 | 423 | 1.82 | 350 | 1.49 | |
| C3/C21 | 0.22 | 0.23 | 0.24 | |||
| n | % | n | % | n | % | |
| 30 | 0.12 | 23 | 0.09 | 15 | 0.06 | |
| C3/C2 and C3 ≥ 3.6 μmol/L 1 | 0.22 | 0.23 | 0.24 | |||
| n | % | n | % | n | % | |
| 22 | 0.09 | 16 | 0.08 | 13 | 0.05 | |
| C3/Met 2 | 0.24 | 0.25 | 0.26 | |||
| n | % | n | % | n | % | |
| 12 | 0.13 | 10 | 0.13 | 8 | 0.10 | |
| Met (μmol/L) | 9 | 10 | 11 | |||
| n | % | n | % | n | % | |
| 11 | 0.05 | 28 | 0.12 | 56 | 0.24 | |
| Index | First Test (n) | Second-Tier Test (n) | |||
|---|---|---|---|---|---|
| Elevated MMA | Elevated MMA and tHcy | Elevated tHcy | Total | ||
| (1) C3 ≥ 3.6 μmol/L and C3/C2 ≥ 0.22 | 116 | 2 | 2 | 0 | 4 |
| (2) C3/Met > 0.25 and Met < 10 μmol/L | 37 | 1 | 0 | 0 | 1 |
| (3) Met < 10 μmol/L | 15 | 0 | 0 | 1 | 1 |
| Total | 168 (0.35%) | 3 | 2 | 1 | 6 (3.67%) |
| Newborns Enrolled in This Study (n = 6080) | All Newborns in the Area (n = 40,595) | |
|---|---|---|
| Index | First Test, n (%) | |
| (1) C3 ≥ 3.6 μmol/L and C3/C2 ≥ 0.23 | 3 (0.05) | 21 * 1 (0.05) |
| (2) C3/Met > 0.25 | 15 * 2 (0.24) | 54 * 3 (0.13) |
| (3) Met < 10 μmol/L | 54 (0.89) | 271 (0.05) |
| Total | 72 (1.18) | 346 (0.85) |
| Second test, n | ||
| Elevated MMA | 1 | ND |
| Elevated tHcy | 0 | ND |
| Birth Weight ≥ 2000 g, n (%) | Birth Weight < 2000 g, n (%) | p-Value | |
|---|---|---|---|
| n (%) | 12,191 (98.32) | 209 (1.68) | |
| (1) C3 ≥ 3.6 μmol/L and C3/C2 ≥ 0.23 | 5 * 1 (0.04) | (0) | – |
| (2) C3/Met > 0.25 | 3 (0.02) | 3 (1.43) | <0.001 |
| (3) Met < 10 μmol/L | 74 (0.61) | 26 (12.44) | <0.001 |
Publisher’s Note: MDPI stays neutral with regard to jurisdictional claims in published maps and institutional affiliations. |
© 2021 by the authors. Licensee MDPI, Basel, Switzerland. This article is an open access article distributed under the terms and conditions of the Creative Commons Attribution (CC BY) license (https://creativecommons.org/licenses/by/4.0/).
Share and Cite
Kagawa, R.; Tajima, G.; Maeda, T.; Sakura, F.; Nakamura-Utsunomiya, A.; Hara, K.; Nishimura, Y.; Yuasa, M.; Shigematsu, Y.; Tanaka, H.; et al. Pilot Study on Neonatal Screening for Methylmalonic Acidemia Caused by Defects in the Adenosylcobalamin Synthesis Pathway and Homocystinuria Caused by Defects in Homocysteine Remethylation. Int. J. Neonatal Screen. 2021, 7, 39. https://doi.org/10.3390/ijns7030039
Kagawa R, Tajima G, Maeda T, Sakura F, Nakamura-Utsunomiya A, Hara K, Nishimura Y, Yuasa M, Shigematsu Y, Tanaka H, et al. Pilot Study on Neonatal Screening for Methylmalonic Acidemia Caused by Defects in the Adenosylcobalamin Synthesis Pathway and Homocystinuria Caused by Defects in Homocysteine Remethylation. International Journal of Neonatal Screening. 2021; 7(3):39. https://doi.org/10.3390/ijns7030039
Chicago/Turabian StyleKagawa, Reiko, Go Tajima, Takako Maeda, Fumiaki Sakura, Akari Nakamura-Utsunomiya, Keiichi Hara, Yutaka Nishimura, Miori Yuasa, Yosuke Shigematsu, Hiromi Tanaka, and et al. 2021. "Pilot Study on Neonatal Screening for Methylmalonic Acidemia Caused by Defects in the Adenosylcobalamin Synthesis Pathway and Homocystinuria Caused by Defects in Homocysteine Remethylation" International Journal of Neonatal Screening 7, no. 3: 39. https://doi.org/10.3390/ijns7030039
APA StyleKagawa, R., Tajima, G., Maeda, T., Sakura, F., Nakamura-Utsunomiya, A., Hara, K., Nishimura, Y., Yuasa, M., Shigematsu, Y., Tanaka, H., Fujihara, S., Yoshii, C., & Okada, S. (2021). Pilot Study on Neonatal Screening for Methylmalonic Acidemia Caused by Defects in the Adenosylcobalamin Synthesis Pathway and Homocystinuria Caused by Defects in Homocysteine Remethylation. International Journal of Neonatal Screening, 7(3), 39. https://doi.org/10.3390/ijns7030039

