Next Article in Journal
Anorexia Nervosa and Reproduction: Connecting Brain to Gonads
Previous Article in Journal
Chronic Vulvar Paget’s Disease: A Therapeutic Challenge with a Review of the Literature
 
 
Journal of Mind and Medical Sciences is published by MDPI from Volume 12 Issue 1 (2025). Previous articles were published by another publisher in Open Access under a CC-BY (or CC-BY-NC-ND) licence, and they are hosted by MDPI on mdpi.com as a courtesy and upon agreement with Valparaiso University (ValpoScholar).
Font Type:
Arial Georgia Verdana
Font Size:
Aa Aa Aa
Line Spacing:
Column Width:
Background:
Case Report

Primary Hyperparathyroidism Can Generate Recurrent Pancreatitis and Secondary Diabetes Mellitus—A Case Report

by
Nicoleta Mîndrescu
1,
Georgeta Văcaru
2,
Emil Ștefănescu
3,
Loreta Guja
3 and
Rucsandra Elena Dănciulescu Miulescu
3,4,*
1
Nicodiab Private Practice, Bucharest, Romania
2
EasyDiet Private Practice, Bucharest, Romania
3
Carol Davila University of Medicine and Pharmacy, Bucharest, Romania
4
N.C. Paulescu National Institute of Diabetes, Nutrition and Metabolic Diseases, Bucharest, Romania
*
Author to whom correspondence should be addressed.
J. Mind Med. Sci. 2019, 6(2), 361-366; https://doi.org/10.22543/7674.62.P361366
Submission received: 6 July 2019 / Revised: 2 September 2019 / Accepted: 2 September 2019 / Published: 9 October 2019

Highlights

  • In cases of recurrent renal lithiasis or pancreatitis, screening for hyperparathyroidism is recommended.
  • Metabolic evaluation is required in patients with recurrent pancreatitis because of their high risk of developing diabetes.

Abstract

:

Highlights

  • In cases of recurrent renal lithiasis or pancreatitis, screening for hyperparathyroidism is recommended.
  • Metabolic evaluation is required in patients with recurrent pancreatitis because of their high risk of developing diabetes.

Abstract

Introduction. Acute or recurrent pancreatitis may be a complication of primary hyperparathyroidism and patients with previous episodes of pancreatitis may develop secondary diabetes mellitus. Case report. We describe the clinical case of a 52-year old Caucasian man diagnosed with chronic recurrent pancreatitis in 2007. The first episode of acute pancreatitis occurred in 2002, followed by another 4 episodes in 2004 and 2007. In 2004, papilosfincterectomy was implemented with a stent mount that was removed one month later. In 2005, the patient underwent a surgical intervention for the diagnosis of chronic lithiasis, and cholecystectomy was performed. Additional investigations on the etiology of recurrent chronic pancreatitis, initially diagnosed as idiopathic, revealed elevated values of total serum calcium, serum parathormone, and the presence of a parathyroid adenoma in the right lower pole of the thyroid. In September 2007, parathyroidectomy was performed with a favorable evolution and the remission of the acute pancreatitis episodes. The patient had not had any family history of diabetes; in 2017 he was diagnosed with diabetes. Conclusion. In cases of recurrent pancreatitis, screening for hyperparathyroidism is recommended. Metabolic evaluation is required, because the risk of developing diabetes in patients with recurrent pancreatitis is high.

Introduction

Primary hyperparathyroidism is an endocrine disorder generated by the autonomous production of parathyroid hormone (PTH). The prevalence of the disease varies between 0.1% and 1.0 %, being the third endocrine disease after diabetes and thyroid disorder. The affliction is generated in most situations by a solitary parathyroid adenoma. Other causes of primary hyperparathyroidism include: multiple adenoma, hyperplasia of the four glands, and parathyroid carcinoma [1]. PTH acts on the bones, kidneys, and small intestine. In the bones, PTH stimulates osteoblasts directly and osteoclasts indirectly, which leads to the release of calcium secondary to the resorption of the bones. The effects of PTH on the kidneys include: increased calcium reabsorption and decreased phosphate reabsorption; and activation of the 1 α hydroxylase, an enzyme that catalyzes the transformation of 25-hydroxycholecalciferol (the inactive form of vitamin D) to 1,25-dihydroxycholecalciferol (the active form of vitamin D). In the small intestine, the active form of vitamin D ensures the absorption of calcium through two pathways: active transcellular and passive paracellular pathway [2,3]. The consequences of primary hyperparathyroidism are hypercalcemia (but the normocalcemic variant is now recognized), hypercalciuria, hypophosphatemia, damage of the cortical and trabecular bones, renal, gastrointestinal, cardiovascular, neuromuscular, and psychiatric symptoms. The clinical form includes symptomatic or asymptomatic diseases. Symptomatic primary hyperparathyroidism occurs in countries where biochemical screenings are not routinely used [4]. The introduction of the serum AutoAnalyzer in 1970 allowed the identification of patients with asymptomatic hypercalcemia, and advances in techniques to determine PTH have facilitated the diagnosis of primary hyperparathyroidism [5].
Acute or recurrent pancreatitis may be a complication of primary hyperparathyroidism [6,7]. The prevalence of acute or recurrent pancreatitis in patients with primary hyperparathyroidism has been estimated, according to some studies, between 1.5% and 13% [5]. A study published in 2009 by Khoo and collaborators contradicts previous reports. Their study included 684 patients with primary hyperparathyroidism. 10 patients (1.5%) developed acute pancreatitis compared to 32 out of the 1,368 (2.3%) from the control group. The authors concluded that there is no causal relationship between primary hyperparathyroidism and acute pancreatitis [8].
Subjects with previous episodes of pancreatitis may develop diabetes mellitus. The prevalence of diabetes secondary to pancreatitis is estimated between 5% and 10% in the Western population [9,10]. In 2013, Ewald and Bretzel suggested several diagnostic criteria for diabetes mellitus secondary to pancreatic diseases, as follows:
“ 1) the presence of pancreatic exocrine insufficiency,
2) evidence of pathological pancreatic imaging,
3) the absence of type 1 diabetes mellitus (T1DM)- associated autoantibodies ” [11].

Case Reports

A 52-year old Caucasian man was diagnosed with chronic recurrent pancreatitis in 2007. The diagnosis was based on personal pathological history (repeated episodes of acute pancreatitis, biochemical, and imagistic investigations). A suggestive aspect of chronic pancreatitis evidenced by cholangio nuclear magnetic resonance is shown in Figure 1, Figure 2, Figure 3.
The first episode of acute pancreatitis occurred in 2002 when the patient was hospitalized in an emergency department with intense pain in the epigastrium with dorsal irradiation after a high-fat meal. Upon admission, the patient had elevated values of serum amylase (817 U/l: normal range: < 100 U/l) and leukocytosis. The abdominal ultrasound revealed a slightly enlarged pancreas, non- homogeneous echotexture, and the absence of intra or extra pancreatic collections. The evolution was favorable under conservative treatment, with symptomatic remission and normalization of serum amylase levels. In October 2004, the patient returned to the emergency department with the same symptomatology. Paraclinical investigations revealed leukocytosis, serum amylase values of 1.300 U/l, and fluid in the peritoneal cavity without visible collections. Conservative treatment (antispastics, antisecretory drugs, anti-enzymatic drugs, antibiotics) led to improvement of the clinical symptomatology. In November 2004, an endoscopic retrograde cholangio pancreatography was performed, which established the diagnosis of stenotic papillomatosis. Papilosfincterectomy was performed with a stent mount that was removed one month later. In 2005, the patient underwent a surgical intervention for chronic lithiasis, and cholecystectomy was performed. In 2007, the patient presented 3 episodes of acute pancreatitis. The imaging investigations (computerized tomography and nuclear magnetic resonance) highlighted the presence of multiple intraductal calculi, and for this reason the extraction of calculi was performed with papillotomy and stenting (which had to be changed every 6 months). Additional investigations on the etiology of recurrent chronic pancreatitis, initially diagnosed as idiopathic, revealed elevated values of total serum calcium (2.90 mmol/l, 2.99 mmol/l; normal range: 2.10-2.65 mmol/l) and serum parathormone (448.8 pg/ml; normal range 15.0-68.3 pg/dl). The presence of a parathyroid adenoma in the right lower pole of the thyroid was subsequently highlighted through ultrasound (Figure 4 and 5) and subsequently by scintigraphy. In September 2007, a parathyroidectomy was performed. In February 2008, the imaging control and the laboratory tests (after surgery) were performed. The values of total serum calcium were 2.49 mmol/l, serum parathormone 112 pg/ml, and thyroid scintigraphy (after the intravenous administration of 74 Mega-Becquerel Technetium 99 m) highlighted the homogenous distribution of the radioactive tracer without hot or cold areas. After parathyroidectomy, the patient showed a favorable evolution with the remission of the acute episodes of pancreatitis. The patient did not have any family history of diabetes. However, in 2017, he was diagnosed with diabetes. From the personal pathological history, the patient has been diagnosed with renal bilateral lithiasis with repeated eliminations of calculi.

Discussions

The relationship between primary hyperparathyroidism and recurrent nephrolithiasis is well known. The prevalence of renal lithiasis has dropped from 60-80% in initial studies to 7-20% in the more recent studies [12,13,14]. The etiology of nephrolithiasis is multifactorial and involves genetic factors, hypercalciuria (a characteristic of hyperparathyroidism), hyperoxaluria, and cystinuria [15]. In 2018, Letavernier and Daudon mention that hypercalciuria promotes the formation of kidney stones and the most common type of nephrolithiasis is calcium oxalate formed at Randall’s plaques [16].
According to the American Gastroenterological Association Institute Guideline of Initial Management of Acute Pancreatitis, acute pancreatitis is defined as “an inflammatory condition of the pancreas that can cause local injury, systemic inflammatory response syndrome, and organ failure” [17]. The etiology of acute pancreatitis includes obstructive causes, metabolic abnormalities, ischemia, and autoimmune diseases. In 10% of cases, the cause cannot be identified and the condition is defined as idiopathic pancreatitis [18].
The relationship between primary hyperparathyroidism and acute or chronic recurrent pancreatitis is not fully elucidated. Previous studies have highlighted that hypercalcemia, which is characteristic to hyperparathyroidism, can induce pancreatic injuries [19,20,21]. There have been several hypotheses implicating hypercalcemia in the development of pancreatitis:
1. a greater extracellular amount of calcium generates the elevation of cytosolic calcium, which activates calcineurin and generates the zymogen activation and its transformation into trypsin [22,23,24]. The intracellular zymogen activation is one of the earliest events for the initiation of acute pancreatitis and the development of chronic pancreatitis. Experimental studies mention that intracellular trypsin activity generates the apoptosis of the acinar cell [25,26,27];
2. high cytosolic calcium can generate the activation of nuclear factor Kappa-B (NF-kB) leading to local and systemic inflammation [28,29];
3. calcium precipitations generate the formation of intraductal stones in the ducts [30].
Diabetes is associated with pancreatic disorders such as ductal pancreatic adenocarcinoma, hemochromatosis, pancreatitis, cystic fibrosis, and pancreatic surgery, but also with the alteration of bone quality [31]. The prevalence of diabetes in association with pancreatitis was estimated, according to different studies, at 25-80% [32]. In a study by Pan and al. in 2016 in which 2011 patients with chronic pancreatitis were enrolled (1396 men and 615 women), the authors concluded that men are at higher risk of diabetes among patients with pancreatitis than women (hazard ratio, 1.51; 95% confidence interval, 1.28–2.33, p< 0.001) [33]. In chronic pancreatitis, the median age of the onset of diabetes mellitus is between 10-25 years [34]. The consensus statement of PancreasFest 2012 recommended an annual screening for diabetes in patients with chronic pancreatitis by determining the fasting glucose and hemoglobin A1c; the impairment of these constants requires further investigations [35].

Conclusions

In cases of recurrent renal lithiasis or pancreatitis, screening for hyperparathyroidism is recommended. Metabolic evaluation is required in patients with recurrent pancreatitis because of their high risk of developing diabetes.

Conflict of interest disclosure

There are no known conflicts of interest in the publication of this article. The manuscript was read and approved by all authors.

Compliance with ethical standards

Any aspect of the work covered in this manuscript has been conducted with the ethical approval of all relevant bodies and that such approvals are acknowledged within the manuscript.

References

  1. Madkhali, T.; Alhefdhi, A.; Chen, H.; Elfenbein, D. Primary hyperparathyroidism. Ulus Cerrahi Derg. 2016, 32, 58–66. [Google Scholar] [CrossRef] [PubMed]
  2. Lombardi, G.; Di Somma, C.; Rubino, M.; Faggiano, A.; Vuolo, L.; Guerra, E.; Contaldi, P.; Savastano, S.; Colao, A. The roles of parathyroid hormone in bone remodeling: Prospects for novel therapeutics. Endocrinol Invest. 2011, 34, 18–22. [Google Scholar]
  3. Costanzo, L.S. Regulation of calcium and phosphate homeostasis. Adv Physiol Edu. 1998, 20, 206–216. [Google Scholar] [CrossRef]
  4. Bilezikian, J.P.; Cusano, N.E.; Khan, A.A.; Liu, L.M.; Marcocci, C.; Bandeira, F. Primary hyperparathyroidism. Nat Rev Dis Primers. 2016, 2, 16033. [Google Scholar] [CrossRef] [PubMed]
  5. Silverberg, S.J.; Walker, M.D.; Bilezikian, J.P. Asymptomatic Primary Hyperparathyroidism. J Clin Densitom. 2013, 16, 14–21. [Google Scholar]
  6. Cope, O.; Culver, P.J.; Mixter, C.G., Jr.; Nardi, G.L. Pancreatitis, a diagnostic clue to hyperparathyroidism. Ann Surg. 1957, 145, 857–863. [Google Scholar]
  7. Sitges-Serra, A.; Alonso, M.; de Lecea, C.; Gores, P.F.; Sutherland, D.E. Pancreatitis and hyperparathyroidism. Br J Surg. 1988, 75, 158–160. [Google Scholar] [CrossRef]
  8. Khoo, T.K.; Vege, S.S.; Abu-Lebdeh, H.S.; Ryu, E.; Nadeem, S.; Wermers, R.A. Acute Pancreatitis in Primary Hyperparathyroidism: A Population-Based Study. J Clin Endocrinol Metab. 2009, 94, 2115–2118. [Google Scholar]
  9. Cui, Y.; Andersen, D.K. Pancreatogenic diabetes: Special considerations for management. Pancreatology. 2011, 11, 279–294. [Google Scholar]
  10. Makuc, J. Management of pancreatogenic diabetes: Challenges and solutions. Diabetes Metab Syndr Obes. 2016, 9, 311–315. [Google Scholar]
  11. Ewald, N.; Bretzel, R.G. Diabetes mellitus secondary to pancreatic diseases (Type 3c)—Are we neglecting an important disease? Eur J Intern Med. 2013, 24, 203–206. [Google Scholar]
  12. Mallette, L.E.; Bilezikian, J.P.; Heath, D.A.; Aurbach, G.D. Primary hyperparathyroidism: Clinical and biochemical features. Medicine (Baltimore). 1974, 53, 127–146. [Google Scholar] [PubMed]
  13. Mollerup, C.L.; Vestergaard, P.; Frøkjær, V.G.; Mosekilde, L.; Christiansen, P.; Blichert-Toft, M. Risk of renal stone events in primary hyperparathyroidism before and after parathyroid surgery: Controlled retrospective follow up study. BMJ. 2002, 325, 785–786. [Google Scholar]
  14. Starup-Linde, J.; Waldhauer, E.; Rolighed, L.; Mosekilde, L.; Vestergaard, P. Renal stones and calcifications in patients with primary hyperparathyroidism: Associations with biochemical variables. Ear J Endocrinol. 2012, 166, 1093–1100. [Google Scholar]
  15. Evan, A.P. Physiopathology and etiology of stone formation in the kidney and the urinary tract. Pediatr Nephrol. 2010, 25, 831–841. [Google Scholar] [PubMed]
  16. Letavernier, E.; Daudon, M. Vitamin D, Hypercalciuria and Kidney Stones. Nutrients. 2018, 10, 366. [Google Scholar]
  17. Crockett, S.D.; Wani, S.; Gardner, T.B.; Falck-Ytter, Y.; Barkun, A.N. American Gastroenterological Association Institute Guideline of Initial Management of Acute Pancreatitis. Gastroenterology. 2018, 154, 1096–1101. [Google Scholar]
  18. Sakorafas, G.H.; Tsiotou, A.G. Etiology and pathogenesis of acute pancreatitis: Current concepts. J Clin Gastroenterol. 2000, 30, 343–356. [Google Scholar]
  19. Smith, F.B.; Cook, R.T. Acute fatal hyperparathyroidism. Lancet. 1940, 2, 650. [Google Scholar]
  20. Mixter, C.G.; Keynes, W.M.; Cope, O. Further experience with pancreatitis as a diagnostic clue to hyperparathyroidism. N Engl J Med. 1962, 266, 265–272. [Google Scholar]
  21. Sitges-Serra, A.; Alonso, M.; de Lecea, C.; Gores, P.F.; Sutherland, D.E. Pancreatitis and hyperparathyroidism. Br J Surg. 1988, 75, 158–160. [Google Scholar] [PubMed]
  22. Bai, H.X.; Giefer, M.; Patel, M.; Orbi AIHusain, S.Z. The Association of primary Hyperparathyroidism with Pancreatitis. J Clin Gastroenterol. 2012, 46, 656–661. [Google Scholar]
  23. Sutton, R.; Criddle, D.; Raraty, M.G.; Tepikin, A.; Neoptolemos, J.P.; Petersen, O.H. Signal transduction, calcium and acute pancreatitis. Pancreatology. 2003, 3, 497–505. [Google Scholar]
  24. Husain, S.Z.; Grant, W.M.; Gorelick, F.S.; Nathanson, M.H.; Shah, A.U. Caerulein-induced intracellular pancreatic zymogen activation is dependent on calcineurin. Am J Physiol Gastrointest Liver Physiol. 2007, 292, 1594–1599. [Google Scholar]
  25. Ji, B.; Gaiser, S.; Chen, X.; Ernst, S.A.; Logsdon, C.D. Intracellular trypsin induces pancreatic acinar cell death but not NF-kappaB activation. J Biol Chem. 2009, 284, 17488–17498. [Google Scholar] [PubMed]
  26. Dawra, R.; Sah, R.P.; Dudeja, V.; Rishi, L.; Saluja, A.K. Intra- acinar trypsinogen activation is required for early pancreatic injury but not for inflammation during acute pancreatitis. Gastroenterology. 2011, 141, 2210–2217. [Google Scholar] [PubMed]
  27. Stanescu, A.M.A.; Grajdeanu, I.V.; Iancu, M.A.; et al. Correlation of Oral Vitamin D Administration with the Severity of Psoriasis and the Presence of Metabolic Syndrome. Revista de Chimie 2018, 69, 1668–1672. [Google Scholar]
  28. Chen, X.; Ji, B.; Han, B.; Ernst, S.A.; Simeone, D.; Logsdon, D.C. NF-kappaB activation in pancreas induces pancreatic and systemic inflammatory response. Gastroenterology. 2002, 122, 448–457. [Google Scholar]
  29. Baumann, B.; Wagner, M.; Aleksic, T.; von Wichert, G.; Weber, C.K.; Adler, G.; Wirth, T. Constitutive IKK2 activation in acinar cells is sufficient to induce pancreatitis in vivo. J Clin Invest. 2007, 117, 1502–1513. [Google Scholar]
  30. Guy, O.; Robles-Diaz, G.; Adrich, Z.; Sahel, J.; Salrles, H. Protein content of precipitates present in pancreatic juice of alcoholic subjects and patients with chronic calcifying pancreatitis. Gastroenterology. 1983, 84, 102–107. [Google Scholar]
  31. Dănciulescu Miulescu, R.; Guja, L.; Ochiana, L.C.; Ungurianu, A.; Șeremet, O.C.; Ștefănescu, E. Serum markers of bone fragility in type-2 diabetes mellitus. J Mind Med Sci. 2019, 6, 78–85. [Google Scholar]
  32. Hart, P.A.; Bellin, M.D.; Anderson, D.A.; Bradley, D.; Cruz-Monserrate, Z.; Forsmark, C.E.; Goodarzi, M.O.; Habtezion, A.; Korc, M.; Kudva, Y.C.; Pandol, S.J.; Yadav, D.; Chari, S.T. Type 3c (pancreatogenic) diabetes mellitus secondary to chronic pancreatitis and pancreatic cancer. Lancet Gastroenterol Hepatol. 2016, 1, 226–237. [Google Scholar] [PubMed]
  33. Pan, J.; Xin, L.; Wang, D.; Liao, Z.; Lin, J.H.; Li, B.R.; Du, T.T.; Te, B.; Zou, W.B.; Chen, H.; Ji, J.T.; Zhrng, Z.H.; Hu, L.H.; Li, Z.S. Risk Factors for Diabetes Mellitus in Chronic Pancreatitis. A Cohort of 2011 Patients. Medicine (Baltimore). 2016, 95, e3251. [Google Scholar] [PubMed]
  34. Malka, D.; Hammel, P.; Sauvanet, A.; Rufat, P.; O’Toole, D.; Bardet, P.; Belghiti, J.; Bemades, P.; Ruszniewski, P.; Lévy, P. Risk factors for diabetes mellitus in chronic pancreatitis. Gastroenterology. 2000, 119, 1324–1332. [Google Scholar]
  35. Rickels, M.R.; Bellin, M.; Toledo, F.G.S.; Robertson, R.P.; Andersen, D.K.; Chari, S.T.; Brad, R.; Frulloni, L.; Anderson, M.A.; Whitcomb, D.C. Detection, Evaluation and Treatment of Diabetes Mellitus in Chronic Pancreatitis: Recommendations from Pancreas Fest 2012. Pancreatology 2013, 13, 336–342. [Google Scholar]
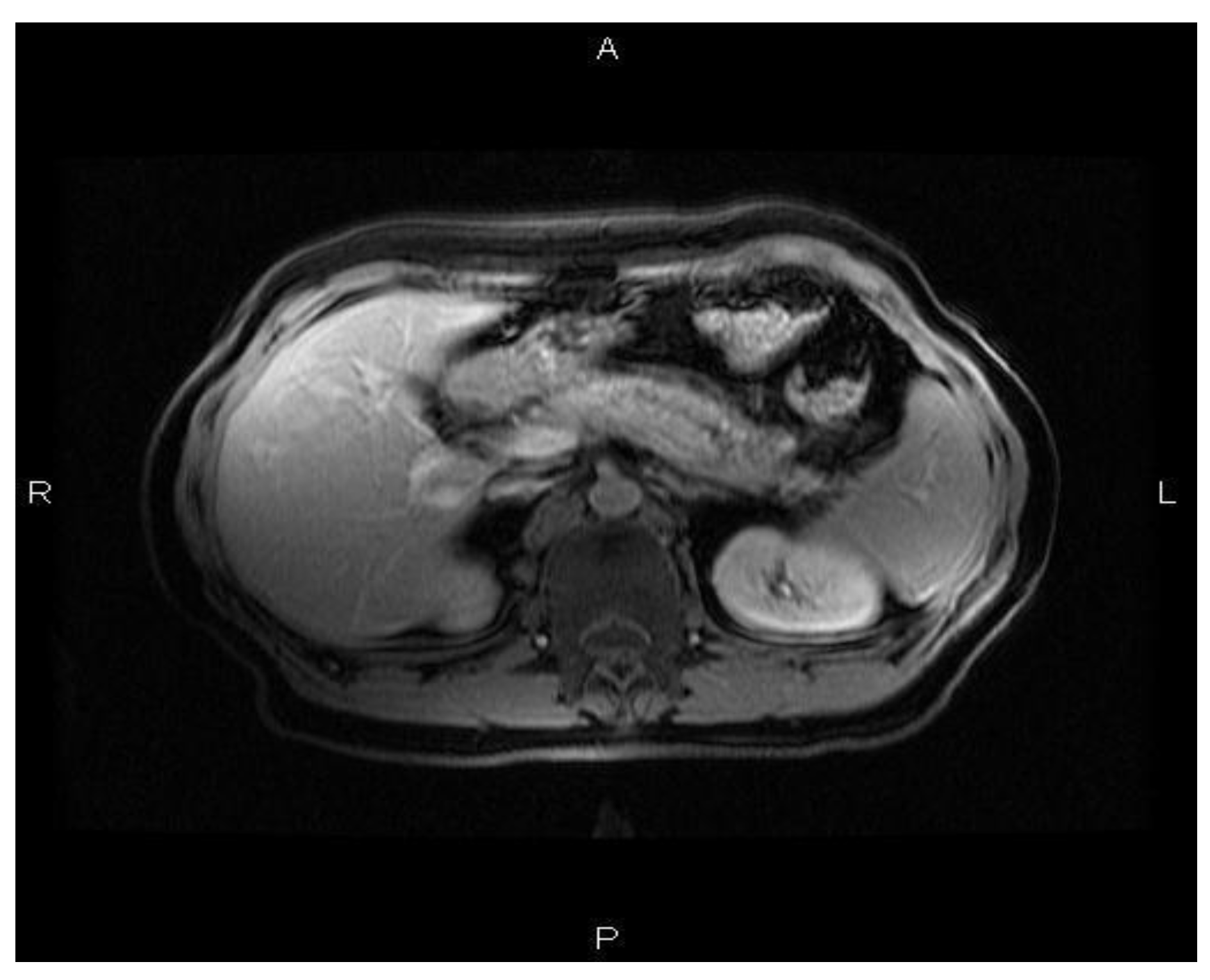
Figure 1. Axial T1 fat-supressed section: pancreas with mild enhancement, with discrete estompation of physiological peripheral lobulation associated with peripancreatic fat stranding and right dilatation of the Wirsung duct.
Figure 1. Axial T1 fat-supressed section: pancreas with mild enhancement, with discrete estompation of physiological peripheral lobulation associated with peripancreatic fat stranding and right dilatation of the Wirsung duct.
Jmms 06 00051 g001
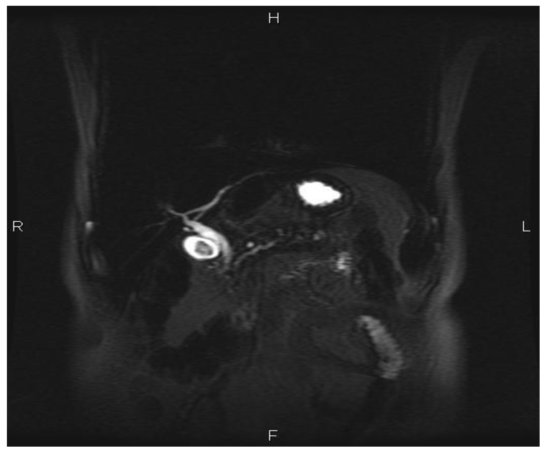
Figure 2. Coronal T2 single shot long TE section: irregular Wirsung duct dilatation associated with small peripheral canal dilations.
Figure 2. Coronal T2 single shot long TE section: irregular Wirsung duct dilatation associated with small peripheral canal dilations.
Jmms 06 00051 g002
Figure 3. Axial T2 weighted fat saturated section: pericephalic pancreatic fat stranding with fine fluid associated collections.
Figure 3. Axial T2 weighted fat saturated section: pericephalic pancreatic fat stranding with fine fluid associated collections.
Jmms 06 00051 g003
Figure 4. Inferior parathyroid adenoma located between the carotid-tracheal-cross section.
Figure 4. Inferior parathyroid adenoma located between the carotid-tracheal-cross section.
Jmms 06 00051 g004
Figure 5. Inferior parathyroid adenoma located between the carotid-tracheal-longitudinal section.
Figure 5. Inferior parathyroid adenoma located between the carotid-tracheal-longitudinal section.
Jmms 06 00051 g005

Share and Cite

MDPI and ACS Style

Mîndrescu, N.; Văcaru, G.; Ștefănescu, E.; Guja, L.; Dănciulescu Miulescu, R.E. Primary Hyperparathyroidism Can Generate Recurrent Pancreatitis and Secondary Diabetes Mellitus—A Case Report. J. Mind Med. Sci. 2019, 6, 361-366. https://doi.org/10.22543/7674.62.P361366

AMA Style

Mîndrescu N, Văcaru G, Ștefănescu E, Guja L, Dănciulescu Miulescu RE. Primary Hyperparathyroidism Can Generate Recurrent Pancreatitis and Secondary Diabetes Mellitus—A Case Report. Journal of Mind and Medical Sciences. 2019; 6(2):361-366. https://doi.org/10.22543/7674.62.P361366

Chicago/Turabian Style

Mîndrescu, Nicoleta, Georgeta Văcaru, Emil Ștefănescu, Loreta Guja, and Rucsandra Elena Dănciulescu Miulescu. 2019. "Primary Hyperparathyroidism Can Generate Recurrent Pancreatitis and Secondary Diabetes Mellitus—A Case Report" Journal of Mind and Medical Sciences 6, no. 2: 361-366. https://doi.org/10.22543/7674.62.P361366

APA Style

Mîndrescu, N., Văcaru, G., Ștefănescu, E., Guja, L., & Dănciulescu Miulescu, R. E. (2019). Primary Hyperparathyroidism Can Generate Recurrent Pancreatitis and Secondary Diabetes Mellitus—A Case Report. Journal of Mind and Medical Sciences, 6(2), 361-366. https://doi.org/10.22543/7674.62.P361366

Article Metrics

Back to TopTop