A Review of Factors Affecting Radiation Dose and Image Quality in Coronary CTA Performed with Wide-Detector CT
Abstract
1. Introduction
2. The Hardware Configuration of Wide-Detector CT
3. Comparison Between Wide-Detector CT and Dual-Source CT (DSCT)
4. Factors Affecting CCTA Image Quality and Radiation Dose
4.1. High Heart Rate and Arrhythmia
4.2. Scanning Mode
4.3. Reconstruction Algorithm
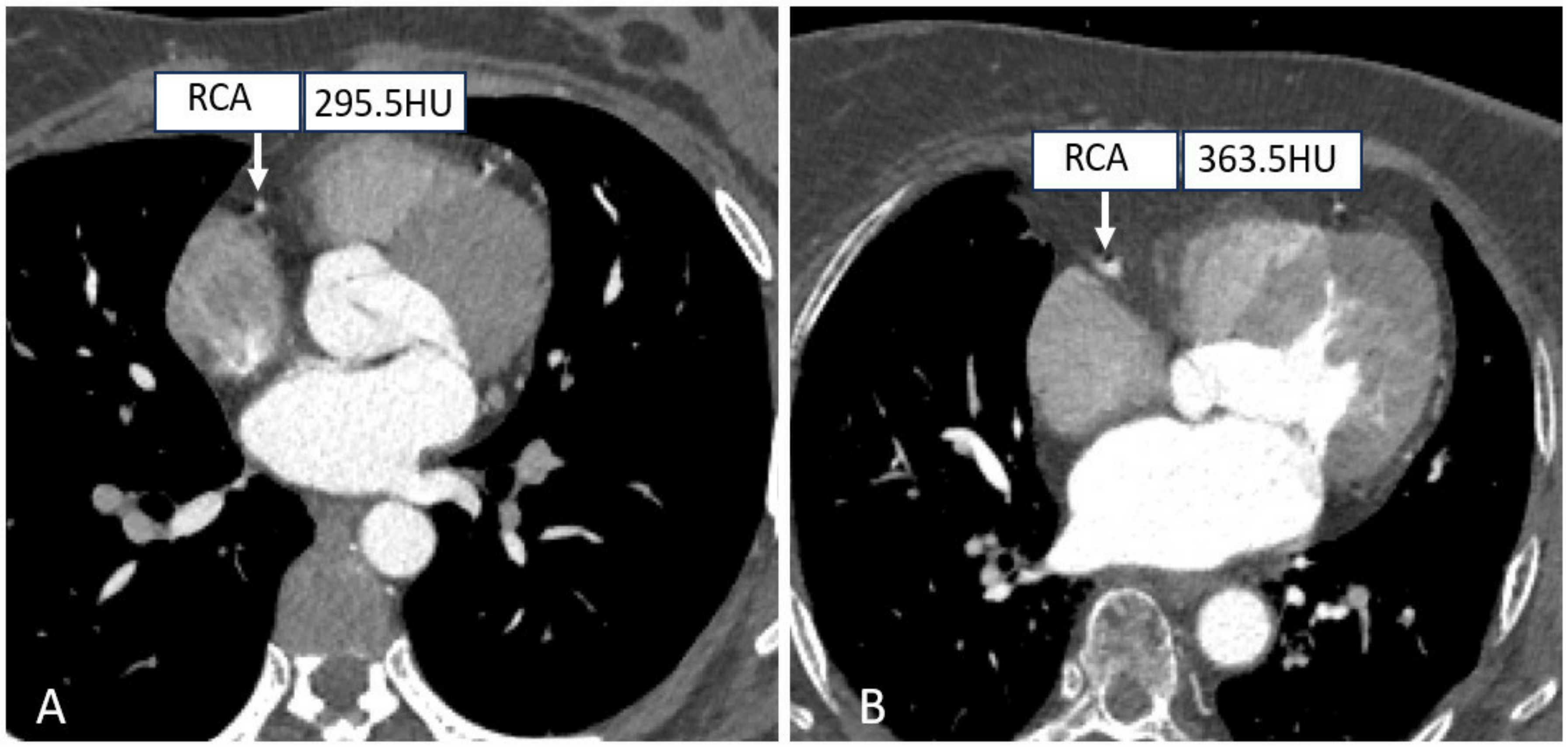
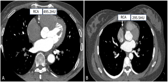
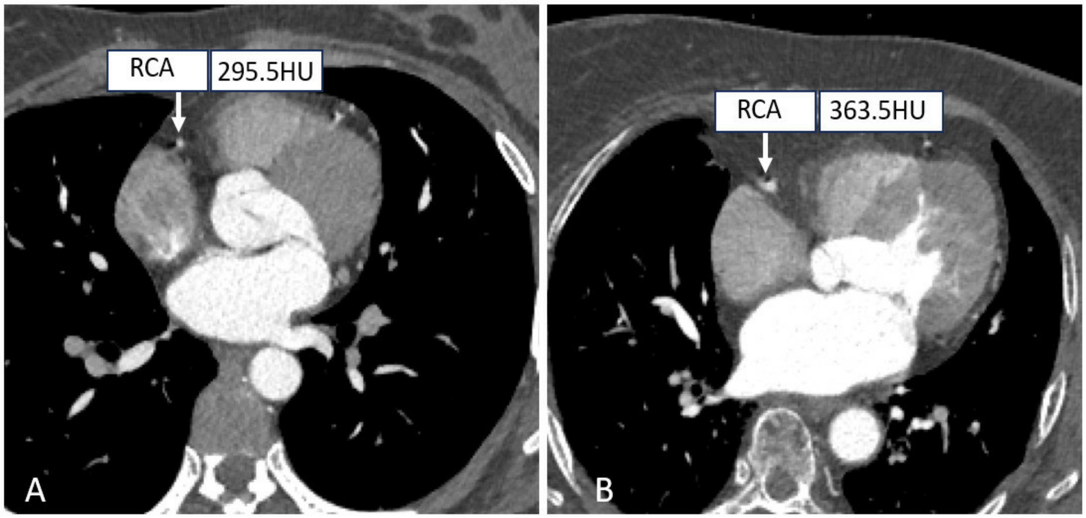
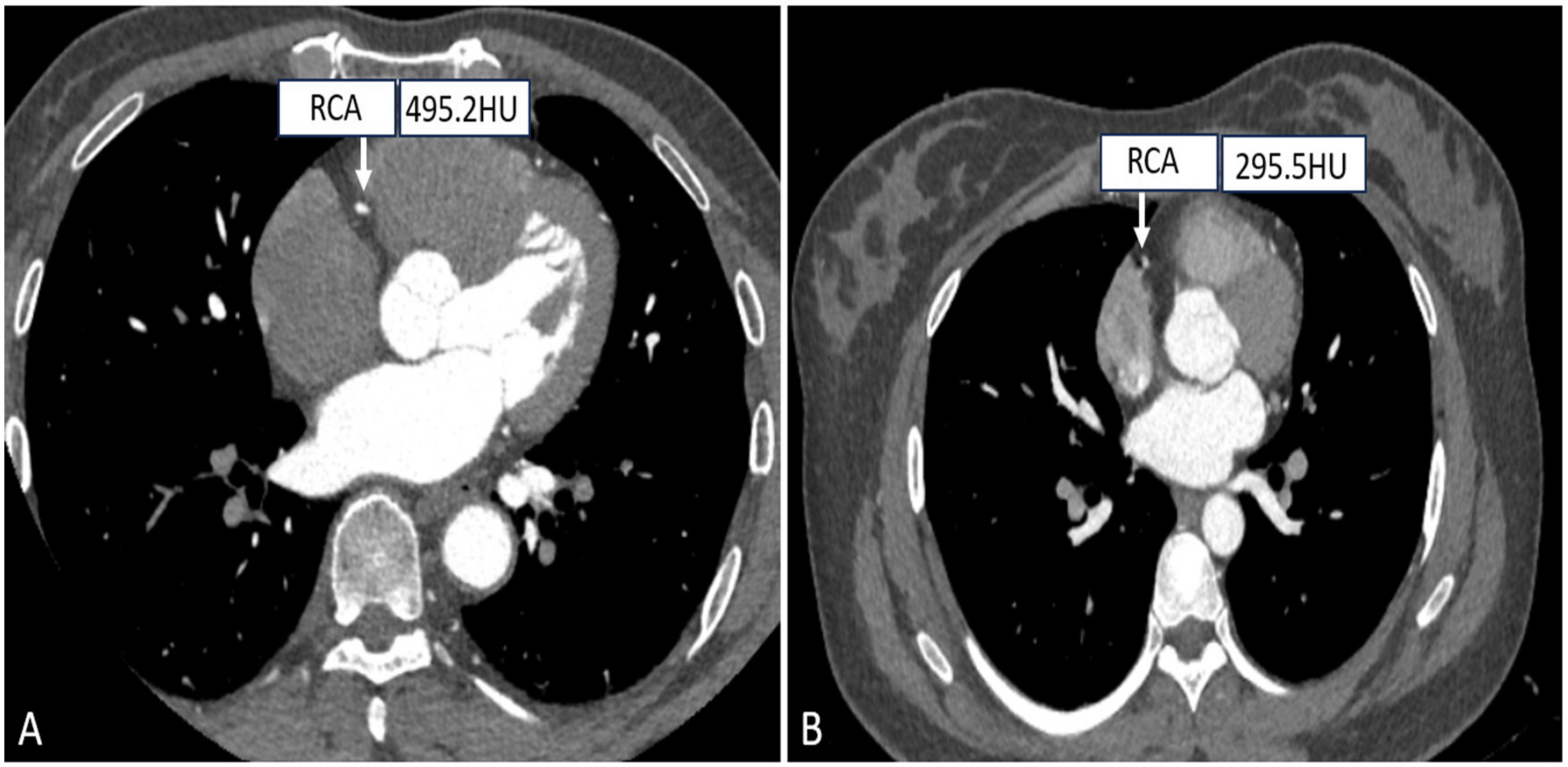
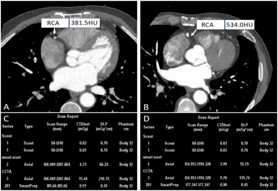
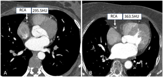
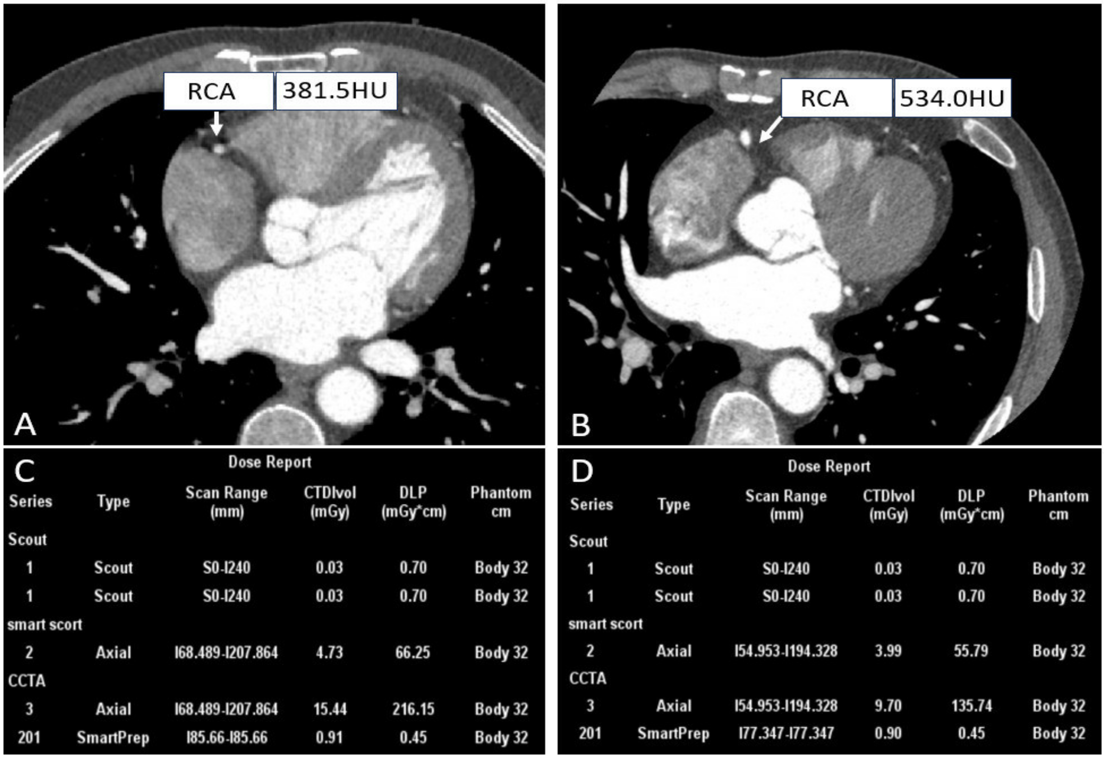
4.4. Tube Voltages
4.5. Scanning Field of View (SFOV)
5. Diagnostic Value
6. New Technologies in the Field of CT
7. Conclusions and Outlook
Author Contributions
Funding
Conflicts of Interest
References
- Ru, L.; Lan, P.; Xu, C.; Lu, L.; Chen, T. The value of coronary CTA in the diagnosis of coronary artery disease. Am. J. Transl. Res. 2021, 13, 5287–5293. [Google Scholar] [PubMed]
- Pichlhöfer, O.; Maier, M.; Badr-Eslam, R.; Ristl, R.; Zebrowska, M.; Lang, I.M. Clinical presentation and management of stable coronary artery disease in Austria. PLoS ONE 2017, 12, e0176257. [Google Scholar] [CrossRef] [PubMed]
- Antman, E.M.; Braunwald, E. Managing stable ischemic heart disease. N. Engl. J. Med. 2020, 382, 1468–1470. [Google Scholar] [CrossRef]
- Varadaraj, G.; Chowdhary, G.S.; Ananthakrishnan, R.; Jacob, M.J.; Mukherjee, P. Diagnostic accuracy of stress myocardial perfusion imaging in diagnosing stable ischemic heart disease. J. Assoc. Physicians India 2018, 66, 40–44. [Google Scholar] [PubMed]
- Tang, Z. Application of double low dose combined low flow injection in coronary dual-source coronary computed tomography angiography. Echocardiography 2018, 35, 1442–1447. [Google Scholar] [CrossRef]
- Collet, C.; Onuma, Y.; Andreini, D.; Sonck, J.; Pompilio, G.; Mushtaq, S.; La Meir, M.; Miyazaki, Y.; de Mey, J.; Gaemperli, O.; et al. Coronary computed tomography angiography for heart team decision-making in multivessel coronary artery disease. Eur. Hear J. 2018, 39, 3689–3698. [Google Scholar] [CrossRef]
- Becker, C.R.; Knez, A.; Ohnesorge, B.; Schoepf, U.J.; Reiser, M.F. Imaging of noncalcified coronary plaques using helical CT with retrospective ECG gating. Am. J. Roentgenol. 2000, 175, 423–424. [Google Scholar] [CrossRef]
- Vanhoenacker, P.K.; Heijenbrok-Kal, M.H.; Van Heste, R.; Decramer, I.; Van Hoe, L.R.; Wijns, W.; Hunink, M.G.M. Diagnostic performance of multidetector CT angiography for assessment of coronary artery disease: Meta-analysis. Radiology 2007, 244, 419–428. [Google Scholar] [CrossRef]
- Lewis, M.A.; Pascoal, A.; Keevil, S.F.; Lewis, C.A. Selecting a CT scanner for cardiac imaging: The heart of the matter. Br. J. Radiol. 2016, 89, 20160376. [Google Scholar] [CrossRef]
- Kalisz, K.; Buethe, J.; Saboo, S.S.; Abbara, S.; Halliburton, S.; Rajiah, P. Artifacts at Cardiac CT: Physics and Solutions. RadioGraphics 2016, 36, 2064–2083. [Google Scholar] [CrossRef]
- Kang, E.J. Clinical Applications of Wide-Detector CT Scanners for Cardiothoracic Imaging: An Update. Korean J. Radiol. 2019, 20, 1583–1596. [Google Scholar] [CrossRef] [PubMed]
- Tridandapani, S.; Banait-Deshmane, S.; Aziz, M.U.; Bhatti, P.; Singh, S.P. Coronary computed tomographic angiography: A review of the techniques, protocols, pitfalls, and radiation dose. J. Med. Imaging Radiat. Sci. 2021, 52, S1–S11. [Google Scholar] [CrossRef]
- Pola, A.; Corbella, D.; Righini, A.; Torresin, A.; Colombo, P.E.; Vismara, L.; Trombetta, L.; Maddalo, M.; Introini, M.V.; Tinelli, D.; et al. Computed tomography use in a large Italian region: Trend analysis 2004-2014 of emergency and outpatient CT examinations in children and adults. Eur. Radiol. 2018, 28, 2308–2318. [Google Scholar] [CrossRef]
- Anonymous. The 2007 Recommendations of the International Commission on Radiological Protection. ICRP publication 103. Ann. ICRP 2007, 37, 1–332. [Google Scholar]
- Buchberger, B.; Scholl, K.; Krabbe, L.; Spiller, L.; Lux, B. Radiation exposure by medical X-ray applications. Ger. Med. Sci. 2022, 20, Doc06. [Google Scholar]
- Chaikriangkrai, K.; Choi, S.Y.; Nabi, F.; Chang, S.M. Important advances in technology and unique applications to cardiovascular computed tomography. Methodist DeBakey Cardiovasc. J. 2014, 10, 152–158. [Google Scholar] [CrossRef] [PubMed]
- Roik, D.; Kucińska, B.; Roik, M.; Werner, B. Image quality and radiation doses of volumetric 320-row computed tomography angiography with prospective electrocardiogram-gating in the assessment of coronary arteries in neonates and infants. Kardiologia Polska 2022, 80, 567–574. [Google Scholar] [CrossRef]
- Nagata, K.; Tanaka, R.; Takagi, H.; Fusazaki, T.; Morino, Y.; Yoshioka, K. Improved diagnostic performance of transluminal attenuation gradient in combination with morphological evaluation of coronary artery stenosis using 320-row computed tomography. Jpn. J. Radiol. 2017, 36, 51–58. [Google Scholar] [CrossRef] [PubMed]
- Yi, Y.; Xu, C.; Xu, M.; Yan, J.; Li, Y.-Y.; Wang, J.; Yang, S.-J.; Guo, Y.-B.; Wang, Y.; Li, Y.-M.; et al. Diagnostic Improvements of Deep Learning-Based Image Reconstruction for Assessing Calcification-Related Obstructive Coronary Artery Disease. Front. Cardiovasc. Med. 2021, 8, 758793. [Google Scholar] [CrossRef]
- Huang, S.; Li, X.; Chen, S.; Li, S.; Lin, J. Comparison of GE Revolution Coronary CTA and Toshiba 320 Coronary CTA Imaging. Mod. Med. Imageol. 2019, 28, 738–740. [Google Scholar]
- Liang, C.R.; Ong, C.C.; Chai, P.; Teo, L.L.S. Comparison of radiation dose, contrast enhancement and image quality of prospective ECG-Gated CT coronary angiography: Single versus dual source CT. Radiography 2021, 27, 831–839. [Google Scholar] [CrossRef] [PubMed]
- Yan, C.; Zhou, G.; Yang, X.; Lu, X.; Zeng, M.; Ji, M. Image quality of automatic coronary CT angiography reconstruction for patients with HR ≥ 75 bpm using an AI-assisted 16-cm z-coverage CT scanner. BMC Med. Imaging 2021, 21, 24. [Google Scholar] [CrossRef] [PubMed]
- Hsieh, J.; Nett, B.; Yu, Z.; Sauer, K.; Thibault, J.; Bouman, C. Recent Advances in CT Image Reconstruction. Curr. Radiol. Rep. 2013, 1, 39–51. [Google Scholar] [CrossRef]
- Achenbach, S.; Goroll, T.; Seltmann, M.; Pflederer, T.; Anders, K.; Ropers, D.; Daniel, W.G.; Uder, M.; Lell, M.; Marwan, M. Detection of coronary artery stenoses by low-dose, prospectively ECG-triggered, high-pitch spiral coronary CT angiography. JACC: Cardiovasc. Imaging 2011, 4, 328–337. [Google Scholar] [CrossRef]
- Finck, T.; Klambauer, K.; Hendrich, E.; Will, A.; Martinoff, S.; Hadamitzky, M. Radiation Dose and Image Quality of a High-Pitch Prospective Spiral First Approach in Coronary Computed Tomography Angiography (CCTA). J. Cardiovasc. Dev. Dis. 2021, 8, 119. [Google Scholar] [CrossRef] [PubMed]
- Goetti, R.; Baumüller, S.; Feuchtner, G.; Stolzmann, P.; Karlo, C.; Alkadhi, H.; Leschka, S. High-pitch dual-source CT angiography of the thoracic and abdominal aorta: Is simultaneous coronary artery assessment possible? AJR Am. J. Roentgenol. 2010, 194, 938–944. [Google Scholar] [CrossRef]
- Ochs, M.M.; Andre, F.; Korosoglou, G.; Fritz, T.; Seitz, S.; Bogomazov, Y.; Schlett, C.L.; Sokiranski, R.; Sommer, A.; Gückel, F.; et al. Strengths and limitations of coronary angiography with turbo high-pitch third-generation dual-source CT. Clin. Radiol. 2017, 72, 739–744. [Google Scholar] [CrossRef]
- Basar, Y.; Akbas, T.; Alis, D.; Ulus, S.; Topel, C.; Tekcan Sanli, D.E.; Karaarslan, E. Third-Generation Dual-Source Computed Tomography for Coronary Angiography With Individually Tailored Scan Protocols Can Achieve a Low Radiation Dose with Good Image Quality in Unselected Patients. J. Comput. Assist. Tomogr. 2021, 46, 41–49. [Google Scholar] [CrossRef]
- Stocker, T.J.; Leipsic, J.; Chen, M.Y.; Achenbach, S.; Knuuti, J.; Newby, D.; Hausleiter, J. Influence of Heart Rate on Image Quality and Radiation Dose Exposure in Coronary CT Angiography. Radiology 2021, 300, 701–703. [Google Scholar] [CrossRef]
- Giesler, T.; Baum, U.; Ropers, D.; Ulzheimer, S.; Wenkel, E.; Mennicke, M.; Bautz, W.; Kalender, W.A.; Daniel, W.G.; Achenbach, S. Noninvasive visualization of coronary arteries using contrast-enhanced multidetector CT: Influence of heart rate on image quality and stenosis detection. Am. J. Roentgenol. 2002, 179, 911–916. [Google Scholar] [CrossRef]
- Hong, C.; Becker, C.R.; Huber, A.; Schoepf, U.J.; Ohnesorge, B.; Knez, A.; Brüning, R.; Reiser, M.F. ECG-gated reconstructed multi-detector row CT coronary angiography: Effect of varying trigger delay on image quality. Radiology 2001, 220, 712–717. [Google Scholar] [CrossRef] [PubMed]
- Mahabadi, A.A.; Achenbach, S.; Burgstahler, C.; Dill, T.; Fischbach, R.; Knez, A.; Moshage, W.; Richartz, B.M.; Ropers, D.; Schröder, S.; et al. Working group “Cardiac CT” of the German Cardiac Society. Safety, efficacy, and indications of beta-adrenergic receptor blockade to reduce heart rate prior to coronary CT angiography. Radiology 2010, 257, 614–623. [Google Scholar] [CrossRef] [PubMed]
- Sun, G.; Li, M.; Jiang, X.S.; Li, L.; Peng, Z.H.; Li, G.Y.; Xu, L. 320-detector row CT coronary angiography: Effects of heart rate and heart rate variability on image quality, diagnostic accuracy and radiation exposure. Br. J. Radiol. 2012, 85, e388–e394. [Google Scholar] [CrossRef] [PubMed]
- Tabari, A.; Lo Gullo, R.; Murugan, V.; Otrakji, A.; Digumarthy, S.; Kalra, M. Recent Advances in Computed Tomographic Technology: Cardiopulmonary Imaging Applications. J. Thorac Imaging 2017, 32, 89–100. [Google Scholar] [CrossRef] [PubMed]
- Chen, Y.; Wei, D.; Li, D.; Liu, Z.; Hu, Z.; Li, M.; Jia, Y.; Yu, Y.; Han, D.; Ren, R.; et al. The Value of 16-cm Wide-Detector Computed Tomography in Coronary Computed Tomography Angiography for Patients with High Heart Rate Variability. J. Comput. Assist. Tomogr. 2018, 42, 906–911. [Google Scholar] [CrossRef]
- Toia, P.; La Grutta, L.; Sollami, G.; Clemente, A.; Gagliardo, C.; Galia, M.; Maffei, E.; Midiri, M.; Cademartiri, F. Technical development in cardiac CT: Current standards and future improvements-a narrative review. Cardiovasc. Diagn. Ther. 2020, 10, 2018–2035. [Google Scholar] [CrossRef]
- Achenbach, S.; Ropers, D.; Holle, J.; Muschiol, G.; Daniel, W.G.; Moshage, W. In-plane coronary arterial motion velocity: Measurement with electron-beam CT. Radiology 2000, 216, 457–463. [Google Scholar] [CrossRef]
- Gui-Ru, H.E.; Xiao-Bei, L.; Wei, W. Study on Radiation Dose in Prospective ECG-Controlled Tube Current Modulation Scanning of Dual-Source CTCA to High BMI. Chin. J. CT MRI 2014, 9, 2384–2388. [Google Scholar]
- Hausleiter, J.; Meyer, T.; Hadamitzky, M.; Huber, E.; Zankl, M.; Martinoff, S.; Kastrati, A.; Schömig, A. Radiation dose estimates from cardiac multislice computed tomography in daily practice: Impact of different scanning protocols on effective dose estimates. Circulation 2006, 113, 1305–1310. [Google Scholar] [CrossRef]
- Mushtaq, S.; Conte, E.; Melotti, E.; Andreini, D. Coronary CT Angiography in Challenging Patients: High Heart Rate and Atrial Fibrillation. A Review. Acad. Radiol. 2019, 26, 1544–1549. [Google Scholar] [CrossRef]
- Matsubara, K.; Sakuda, K.; Nunome, H.; Takata, T.; Koshida, K.; Gabata, T. 128-slice dual-source CT coronary angiography with prospectively electrocardiography-triggered high-pitch spiral mode: Radiation dose, image quality, and diagnostic acceptability. Acta Radiol. 2015, 57, 25–32. [Google Scholar] [CrossRef] [PubMed]
- Tang, S.; Zhang, G.; Chen, Z.; Liu, X.; He, L. Application of prospective ECG-gated multiphase scanning for coronary CT in children with different heart rates. Jpn. J. Radiol. 2021, 39, 946–955. [Google Scholar] [CrossRef] [PubMed]
- Richards, C.E.; Obaid, D.R. Low-Dose Radiation Advances in Coronary Computed Tomography Angiography in the Diagnosis of Coronary Artery Disease. Curr. Cardiol. Rev. 2019, 15, 304–315. [Google Scholar] [CrossRef] [PubMed]
- Tanabe, Y.; Kido, T.; Kurata, A.; Kouchi, T.; Hosokawa, T.; Nishiyama, H.; Kawaguchi, N.; Kido, T.; Uetani, T.; Mochizuki, T. Impact of Knowledge-Based Iterative Model Reconstruction on Image Quality and Hemodynamic Parameters in Dynamic Myocardial Computed Tomography Perfusion Using Low-Tube-Voltage Scan: A Feasibility Study. J. Comput. Assist. Tomogr. 2019, 43, 811–816. [Google Scholar] [CrossRef]
- Yamashiro, T.; Miyara, T.; Honda, O.; Kamiya, H.; Murata, K.; Ohno, Y.; Tomiyama, N.; Moriya, H.; Koyama, M.; Noma, S.; et al. Adaptive Iterative Dose Reduction Using Three Dimensional Processing (AIDR3D) improves chest CT image quality and reduces radiation exposure. PLoS ONE 2014, 9, e105735. [Google Scholar] [CrossRef][Green Version]
- Fareed, A.; Vavere, A.L.; Zimmermann, E.; Tanami, Y.; Steveson, C.; Matheson, M.; Paul, N.; Clouse, M.; Cox, C.; Lima, J.A.C.; et al. Impact of iterative reconstruction vs. filtered back projection on image quality in 320-slice CT coronary angiography: Insights from the CORE320 multicenter study. Medicine 2017, 96, e8452. [Google Scholar] [CrossRef]
- Ippolito, D.; Riva, L.; Talei Franzesi, C.R.; Cangiotti, C.; De Vito, A.; Di Gennaro, F.; D’andrea, G.; Crespi, A.; Sironi, S. Diagnostic efficacy of model-based iterative reconstruction algorithm in an assessment of coronary artery in Comparison with standard hybrid-Iterative reconstruction algorithm: Dose reduction and image quality. Radiol. Med. 2019, 124, 350–359. [Google Scholar] [CrossRef]
- Naoum, C.; Blanke, P.; Leipsic, J. Iterative reconstruction in cardiac CT. J. Cardiovasc. Comput. Tomogr. 2015, 9, 255–263. [Google Scholar] [CrossRef]
- Abdullah, K.A.; McEntee, M.F.; Reed, W.M.; Kench, P.L. Increasing iterative reconstruction strength at low tube voltage in coronary CT angiography protocols using 3D-printed and Catphan® 500 phantoms. J. Appl. Clin. Med Phys. 2020, 21, 209–214. [Google Scholar] [CrossRef]
- Benz, D.C.; Fuchs, T.A.; Gräni, C.; Studer Bruengger, A.A.; Clerc, O.F.; Mikulicic, F.; Messerli, M.; Stehli, J.; Possner, M.; Pazhenkottil, A.P.; et al. Head-to-head Comparison of adaptive statistical and model-based iterative reconstruction algorithms for submillisievert coronary CT angiography. Eur. Hear J. Cardiovasc. Imaging 2018, 19, 193–198. [Google Scholar] [CrossRef]
- Heinrich, A.; Yücel, S.; Böttcher, B.; Öner, A.; Manzke, M.; Klemenz, A.C.; Weber, M.A.; Meinel, F.G. Improved image quality in transcatheter aortic valve implantation planning CT using deep learning-based image reconstruction. Quant. Imaging Med. Surg. 2023, 13, 970–981. [Google Scholar] [CrossRef] [PubMed]
- Benz, D.C.; Gräni, C.; Mikulicic, F.; Vontobel, J.; Fuchs, T.A.; Possner, M.; Clerc, O.F.; Stehli, J.; Gaemperli, O.; Pazhenkottil, A.P.; et al. Adaptive Statistical Iterative Reconstruction-V: Impact on Image Quality in Ultralow-Dose Coronary Computed Tomography Angiography. J. Comput. Assist. Tomogr. 2016, 40, 958–963. [Google Scholar] [CrossRef] [PubMed]
- Chen, H.; Zhang, Y.; Zhang, W.; Liao, P.; Li, K.; Zhou, J.; Wang, G. Low-dose CT via convolutional neural network. Biomed. Opt. Express 2017, 8, 679–694. [Google Scholar] [CrossRef]
- Yang, Q.; Yan, P.; Zhang, Y.; Yu, H.; Shi, Y.; Mou, X.; Kalra, M.K.; Zhang, Y.; Sun, L.; Wang, G. Low-Dose CT Image Denoising Using a Generative Adversarial Network with Wasserstein Distance and Perceptual Loss. IEEE Trans. Med Imaging 2018, 37, 1348–1357. [Google Scholar] [CrossRef]
- Koetzier, L.R.; Mastrodicasa, D.; Szczykutowicz, T.P.; van der Werf, N.R.; Wang, A.S.; Sandfort, V.; van der Molen, A.J.; Fleischmann, D.; Willemink, M.J. Deep Learning Image Reconstruction for CT: Technical Principles and Clinical Prospects. Radiology 2023, 306, e221257. [Google Scholar] [CrossRef]
- Xu, C.; Xu, M.; Yan, J.; Li, Y.Y.; Yi, Y.; Guo, Y.B.; Wang, M.; Li, Y.M.; Jin, Z.Y.; Wang, Y.N. The impact of deep learning reconstruction on image quality and coronary CT angiography-derived fractional flow reserve values. Eur. Radiol. 2022, 32, 7918–7926. [Google Scholar] [CrossRef]
- Benz, D.C.; Ersözlü, S.; Mojon, F.L.A.; Messerli, M.; Mitulla, A.K.; Ciancone, D.; Kenkel, D.; Schaab, J.A.; Gebhard, C.; Pazhenkottil, A.P.; et al. Radiation dose reduction with deep-learning image reconstruction for coronary computed tomography angiography. Eur. Radiol. 2021, 32, 2620–2628. [Google Scholar] [CrossRef] [PubMed]
- Oda, S.; Utsunomiya, D.; Funama, Y.; Awai, K.; Katahira, K.; Nakaura, T.; Yanaga, Y.; Namimoto, T.; Yamashita, Y. A low tube voltage technique reduces the radiation dose at retrospective ECG-gated cardiac computed tomography for anatomical and functional analyses. Acad. Radiol. 2011, 18, 991–999. [Google Scholar] [CrossRef]
- Fanous, R.; Kashani, H.; Jimenez, L.; Murphy, G.; Paul, N.S. Image quality and radiation dose of pulmonary CT angiography performed using 100 and 120 kVp. Am. J. Roentgenol. 2012, 199, 990–996. [Google Scholar] [CrossRef]
- Hausleiter, J.; Meyer, T.; Hermann, F.; Hadamitzky, M.; Krebs, M.; Gerber, T.C.; McCollough, C.; Martinoff, S.; Kastrati, A.; Schömig, A.; et al. Estimated radiation dose associated with cardiac CT angiography. JAMA 2009, 301, 500–507. [Google Scholar] [CrossRef]
- Tan, S.K.; Yeong, C.H.; Raja Aman, R.R.A.; Ng, K.H.; Abdul Aziz, Y.F.; Chee, K.H.; Sun, Z. Low tube voltage prospectively ECG-triggered coronary CT angiography: A systematic review of image quality and radiation dose. Br. J. Radiol. 2018, 91, 20170874. [Google Scholar] [CrossRef] [PubMed]
- Wang, X.; Yang, F.; Zhu, Y.; Xiao, Z.; Cui, S. Feasibility Research of Low Concentration Contrast Agent Iodixanol (270 mg I/mL) Combined with the Lower Tube Voltage in Coronary CTA with 640-slice Volumetric CT. J. Hebei North Univ. (Nat. Sci. Ed.) 2018, 83, e92–e99. [Google Scholar]
- Baş, S.; Alkara, U.; Aliyev, B. Evaluation of complex congenital heart disease with prospective ECG-gated cardiac CT in a single heartbeat at low tube voltage (70 kV) and adaptive statistical iterative reconstruction in infants: A single center experience. Int. J. Cardiovasc. Imaging 2022, 38, 413–422. [Google Scholar] [CrossRef] [PubMed]
- Frauenfelder, T.; Appenzeller, P.; Karlo, C.; Scheffel, H.; Desbiolles, L.; Stolzmann, P.; Marincek, B.; Alkadhi, H.; Schertler, T. Triple rule-out CT in the emergency department: Protocols and spectrum of imaging findings. Eur. Radiol. 2009, 19, 789–799. [Google Scholar] [CrossRef]
- Muenzel, D.; Noel, P.B.; Dorn, F.; Dobritz, M.; Rummeny, E.J.; Huber, A. Coronary CT angiography in step-and-shoot technique with 256-slice CT: Impact of the field of view on image quality, craniocaudal coverage, and radiation exposure. Eur. J. Radiol. 2012, 81, 1562–1568. [Google Scholar] [CrossRef]
- Zhang, Y.Q.; Jiang, Y.F.; Hong, L.; Chen, M.; Zhang, N.N.; Yang, H.J.; Zhou, Y.F. Diagnostic value of cadmium-zinc-telluride myocardial perfusion imaging versus coronary angiography in coronary artery disease: A PRISMA-compliant meta-analysis. Medicine 2019, 98, e14716. [Google Scholar] [CrossRef]
- Généreux, P.; Mehran, R.; Leon, M.B.; Bettinger, N.; Stone, G.W. Classification for Assessing the Quality of Diagnostic Coronary Angiography. J. Invasive Cardiol. 2017, 29, 417–420. [Google Scholar]
- Kolossváry, M.; Szilveszter, B.; Édes, I.F.; Nardai, S.; Voros, V.; Hartyánszky, I.; Merkely, B.; Voros, S.; Maurovich-Horvat, P. Comparison of Quantity of Coronary Atherosclerotic Plaques Detected by Computed Tomography Versus Angiography. Am. J. Cardiol. 2016, 117, 1863–1867. [Google Scholar] [CrossRef]
- Achenbach, S.; Moselewski, F.; Ropers, D.; Ferencik, M.; Hoffmann, U.; MacNeill, B.; Pohle, K.; Baum, U.; Anders, K.; Jang, I.K.; et al. Detection of calcified and noncalcified coronary atherosclerotic plaque by contrast-enhanced, submillimeter multidetector spiral computed tomography: A segment-based comparison with intravascular ultrasound. Circulation 2004, 109, 14–17. [Google Scholar] [CrossRef]
- De Bosscher, R.; Dausin, C.; Claus, P.; Bogaert, J.; Dymarkowski, S.; Goetschalckx, K.; Ghekiere, O.; Van De Heyning, C.M.; Van Herck, P.; Paelinck, B.; et al. Lifelong endurance exercise and its relation with coronary atherosclerosis. Eur. Hear J. 2023, 44, 2388–2399. [Google Scholar] [CrossRef]
- Hou, Y.; Ma, Y.; Fan, W.; Wang, Y.; Yu, M.; Vembar, M.; Guo, Q. Diagnostic accuracy of low-dose 256-slice multi-detector coronary CT angiography using iterative reconstruction in patients with suspected coronary artery disease. Eur. Radiol. 2014, 24, 3–11. [Google Scholar] [CrossRef] [PubMed]
- De Graaf, F.R.; Schuijf, J.D.; van Velzen, J.E.; Kroft, L.J.; de Roos, A.; Reiber, J.H.; Boersma, E.; Schalij, M.J.; Spanó, F.; Jukema, J.W.; et al. Diagnostic accuracy of 320-row multidetector computed tomography coronary angiography in the noninvasive evaluation of significant coronary artery disease. Eur. Hear J. 2010, 31, 1908–1915. [Google Scholar] [CrossRef] [PubMed]
- Azarine, A.; Scalbert, F.; Garçon, P. Cardiac functional imaging. Presse Med. 2022, 51, 104119. [Google Scholar] [CrossRef] [PubMed]
- Nazir, M.S.; Mittal, T.K.; Weir-McCall, J.; Nieman, K.; Channon, K.; Nicol, E.D. Opportunities and challenges of implementing computed tomography fractional flow reserve into clinical practice. Heart 2020, 106, 1387–1393. [Google Scholar] [CrossRef] [PubMed]
- Andreini, D.; Belmonte, M.; Penicka, M.; Van Hoe, L.; Mileva, N.; Paolisso, P.; Nagumo, S.; Nørgaard, B.L.; Ko, B.; Otake, H.; et al. Impact of coronary CT image quality on the accuracy of the FFRCT Planner. Eur. Radiol. 2024, 34, 2677–2688. [Google Scholar] [CrossRef]
- Meloni, A.; Frijia, F.; Panetta, D.; Degiorgi, G.; De Gori, C.; Maffei, E.; Clemente, A.; Positano, V.; Cademartiri, F. Photon-Counting Computed Tomography (PCCT): Technical Background and Cardio-Vascular Applications. Diagnostics 2023, 13, 645. [Google Scholar] [CrossRef]
- Hagar, M.T.; Soschynski, M.; Saffar, R.; Rau, A.; Taron, J.; Weiss, J.; Stein, T.; Faby, S.; von Zur Muehlen, C.; Ruile, P.; et al. Accuracy of Ultrahigh-Resolution Photon-counting CT for Detecting Coronary Artery Disease in a High-Risk Population. Radiology 2023, 307, e223305. [Google Scholar] [CrossRef]




| Vendor | Canon | GE | Philips | United | Neusoft | ||||
|---|---|---|---|---|---|---|---|---|---|
| CT System | Aquilion ONE [17] | Aquilion ONE Vision [18] | Aquilion ONE Genesis [19] | Revolution CT [20] | Brilliance iCT [21] | uCT960+ [22] | uCT968 | NeuViz Epoch+ CT | NeuViz Glory+ CT |
| Number of Detectors Rows | 320 | 320 | 320 | 256 | 128 | 320 | 320 | 256 | 128 |
| Detector Z-axis Coverage | 160 mm | 160 mm | 160 mm | 160 mm | 80 mm | 160 mm | 160 mm | 160 mm | 80 mm |
| Detector Element | 0.5 mm | 0.5 mm | 0.5 mm | 0.625 mm | 0.625 mm | 0.5 mm | 0.5 mm | / | 0.625 mm |
| Rotation Time | 350 ms | 275 ms | 275 ms | 280 ms | 270 ms | 250 ms | / | 235 ms | 235 ms |
| Temporal Resolution | 175 ms | 137 ms | 137 ms | 140 ms | 135 ms | / | / | / | / |
| Iterative Reconstruction | AIDR3D | AIDR3D | AIDR3D, DLR | ASiR-V | iDose4 | / | AIIR | ClearInfinity | |
| Modulation Technique | Smart mA kV assist | DoseRight | / | Intelligent mA technology Auto-kV | |||||
| Vendor | Canon | GE | Philips |
|---|---|---|---|
| IR Algorithm | Adaptive dose reduction (AIDR) | Adaptive statistical iterative reconstruction (ASIR) | iDose4 |
| Three-dimensional AIDR (AIDR3D) | Model-based iterative reconstruction (MBIR) | Iterative Model Reconstruction (IMR) | |
| Forward-projected model-based iterative reconstruction solution (FIRST) | Adaptive statistical iterative reconstruction-V (ASIR-V) | ||
| DLR Algorithm | AiCE | TrueFidelity | Precise Image |
Disclaimer/Publisher’s Note: The statements, opinions and data contained in all publications are solely those of the individual author(s) and contributor(s) and not of MDPI and/or the editor(s). MDPI and/or the editor(s) disclaim responsibility for any injury to people or property resulting from any ideas, methods, instructions or products referred to in the content. |
© 2024 by the authors. Licensee MDPI, Basel, Switzerland. This article is an open access article distributed under the terms and conditions of the Creative Commons Attribution (CC BY) license (https://creativecommons.org/licenses/by/4.0/).
Share and Cite
Fan, Y.; Qin, T.; Sun, Q.; Wang, M.; Liang, B. A Review of Factors Affecting Radiation Dose and Image Quality in Coronary CTA Performed with Wide-Detector CT. Tomography 2024, 10, 1730-1743. https://doi.org/10.3390/tomography10110127
Fan Y, Qin T, Sun Q, Wang M, Liang B. A Review of Factors Affecting Radiation Dose and Image Quality in Coronary CTA Performed with Wide-Detector CT. Tomography. 2024; 10(11):1730-1743. https://doi.org/10.3390/tomography10110127
Chicago/Turabian StyleFan, Yihan, Tian Qin, Qingting Sun, Mengting Wang, and Baohui Liang. 2024. "A Review of Factors Affecting Radiation Dose and Image Quality in Coronary CTA Performed with Wide-Detector CT" Tomography 10, no. 11: 1730-1743. https://doi.org/10.3390/tomography10110127
APA StyleFan, Y., Qin, T., Sun, Q., Wang, M., & Liang, B. (2024). A Review of Factors Affecting Radiation Dose and Image Quality in Coronary CTA Performed with Wide-Detector CT. Tomography, 10(11), 1730-1743. https://doi.org/10.3390/tomography10110127
