Brain Tumor Segmentation Using Deep Capsule Network and Latent-Dynamic Conditional Random Fields
Abstract
:1. Introduction
2. Related Work
- Generative models that classify brain voxels based on image attributes and that require prior knowledge via probabilistic atlas image registration and take into account the spatial distributions of tissues and their appearances.
- Discriminative models that define brain voxels based on image features and learn characteristics from manually annotated data are used to classify and learn characteristics from manually annotated data.
3. Suggested Method
3.1. Pre-Processing
3.2. Segmentation
3.2.1. Deep Capsule Network
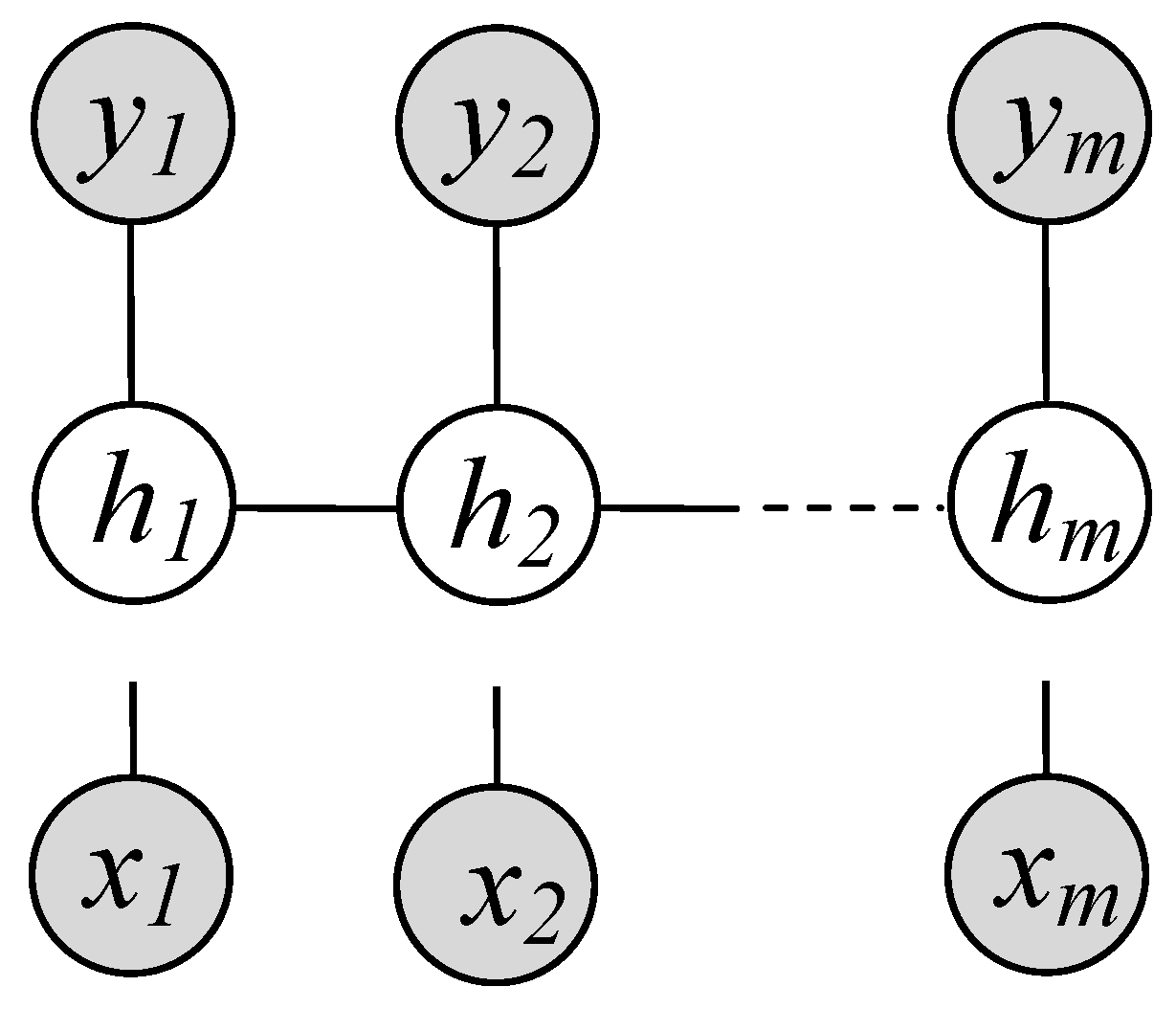
3.2.2. LDCRF
3.2.3. Merging of Deep CapsNet and LDCRF
3.3. Post-Processing
4. Results and Discussions
4.1. Evaluation: BRATS 2015 Dataset
4.2. Evaluation: BRATS 2021 Dataset
5. Conclusions
Author Contributions
Funding
Institutional Review Board Statement
Informed Consent Statement
Data Availability Statement
Conflicts of Interest
References
- Perry, A.; Reifenberger, G.; von Deimling, A.; Figarella, D.; Cavenee, W.K.; Ohgaki, H.; Wiestler, O.D.; Kleihues, P.; Ellison, D.W. The 2016 World Health Organization Classification of Tumors of the Central Nervous System: A summary. Acta Neuropathol. 2016, 131, 803–820. [Google Scholar]
- Liu, J.; Li, M.; Wang, J.; Wu, F.; Liu, T.; Pan, Y. A Survey of MRI-Based Brain Tumor Segmentation Methods. Tsinghua Sci. Technol. 2014, 19, 578–595. [Google Scholar]
- Menze, B.H.; Leemput, K.V.; Lashkari, D. Segmenting Glioma in Multi-Modal Images using a Generative Model for Brain Lesion Segmentation. In Proceedings of the MICCAI-BRATS, Nice, France, 1 October 2012; pp. 49–55. [Google Scholar]
- Yushkevich, P.A.; Pashchinskiy, A.; Oguz, I.; Mohan, S.; Schmitt, J.E.; Stein, J.M.; Zukić, D.; Vicory, J.; McCormick, M.; Yushkevich, N.; et al. User-Guided Segmentation of Multi-modality Medical Imaging Datasets with ITK-SNAP. Neuroinformatics 2019, 17, 83–102. [Google Scholar] [CrossRef] [PubMed]
- Awad, N.; Mahmoud, A. Improving the Quality of Reconstructed Image by Using Hybrid Compression Based on DWT-DCT Techniques. Comput. Mater. Cont. 2021, 66, 3151–3160. [Google Scholar]
- Bakas, S.; Akbari, H.; Sotiras, A.; Bilello, M.; Rozycki, M.; Kirby, J.S.; Freymann, J.B.; Farahani, K.; Davatzikos, C. Advancing The Cancer Genome Atlas glioma MRI collections with expert segmentation labels and radiomic features. Sci. Data 2017, 4, 1–13. [Google Scholar] [CrossRef] [Green Version]
- Folgoc, L.L.; Nori, A.V.; Alvarez-Valle, J.; Lowe, R.; Criminisi, A. Segmentation of brain tumors via cascades of lifted decision forests. In Proceedings of the MICCAI-BRATS Workshop, Athens, Greece, 17 October 2016; pp. 240–248. [Google Scholar]
- Gordillo, N.; Montseny, E.; Sobrevilla, P. State of the art survey on mri brain tumor segmentation. Magn. Reson. Imag. 2013, 31, 1426–1438. [Google Scholar] [CrossRef]
- Gu, J.; Wang, Z.; Kuen, J.; Ma, L.; Shahroudy, A.; Shuai, B.; Liu, T.; Wang, X.; Wang, G.; Chen, T. Recent advances in convolutional neural networks. Pattern Recogn. 2015, 77, 354–377. [Google Scholar] [CrossRef] [Green Version]
- Ghahramani, Z. Probabilistic machine learning and artificial intelligence. Nature 2015, 521, 452. [Google Scholar] [CrossRef]
- Litjens, G.; Kooi, T.; Bejnordi, B.E.; Adiyoso, A.A.S.; Ciompi, F.; Ghafoorian, M.; van der Laak, J.A.W.; van Ginneken, B.; Sanchez, C.I. A survey on deep learning in medical image analysis. Med. Image Anal. 2017, 42, 60–88. [Google Scholar] [CrossRef] [Green Version]
- Akkus, Z.; Galimzianova, A.; Hoogi, A.; Rubin, D.L.; Erickson, B.J. Deep learning for brain mri segmentation: State of the art and future directions. J. Digit. Imag. 2017, 30, 449–459. [Google Scholar] [CrossRef] [Green Version]
- Bernal, J.; Kushibar, K.; Asfaw, D.S.; Valverde, S.; Oliver, A.; Marti, R.; Llado, X. Deep convolutional neural networks for brain image analysis on magnetic resonance imaging: A review. Artif. Intell. Med. 2018, 95, 64–81. [Google Scholar] [CrossRef] [Green Version]
- Liu, L.; Ouyang, W.; Wang, X.; Fieguth, P.; Chen, J.; Liu, X.; Pietikainen, M. Deep learning for generic object detection: A survey. arXiv 2018, arXiv:1809.02165. [Google Scholar] [CrossRef] [Green Version]
- Esteva, A.; Robicquet, A.; Ramsundar, B.; Kuleshov, V.; DePristo, M.; Cui, C.; Chou, K.; Corrado, G.; Thrun, S.; Dean, J. A guide to deep learning in healthcare. Nat. Med. 2019, 25, 24–29. [Google Scholar] [CrossRef] [PubMed]
- Wang, Z.L.; Kuen, J.; Ma, L.; Shahroudy, A.; Shuai, B.; Liu, T. Deep Learning Based Brain Tumor Segmentation: A Survey. arXiv 2020, arXiv:2007.09479v2. [Google Scholar]
- Menze, B.H.; Jakab, A.; Bauer, S.; Kalpathy, J.; Farahani, K.; Kirby, J.; Burren, Y.; Porz, N.; Slorboom, J.; Wiest, R.; et al. The Multimodal Brain Tumor Image Segmentation Benchmark (BRATS). IEEE Trans. Med. Imag. 2015, 34, 1993–2024. [Google Scholar] [CrossRef]
- Urban, G.; Bendszus, M.; Hamprecht, F.; Kleesiek, J. Multimodal Brain Tumor Segmentation using Deep Convolutional Neural Networks. In Proceedings of the MICCAI-BRATS, Boston, MA, USA, 14 September 2014; pp. 31–35. [Google Scholar]
- Dvorak, P.; Menze, B. Structured prediction with convolutional neural networks for multimodal brain tumor segmentation. In Proceedings of the MICCAI-BRATS, Munich, Germany, 4 December 2015; pp. 13–24. [Google Scholar]
- Kamnitsas, K.; Ferrante, E.; Parisot, S.; Ledig, C.; Nori, A.V.; Criminisi, A.; Rueckert, D.; Glocker, B. DeepMedic on Brain Tumor Segmentation. In Proceedings of the Brainlesion: Glioma, Multiple Sclerosis, Stroke and Traumatic Brain Injuries; Springer: Berlin/Heidelberg, Germany, 2016; pp. 138–149. [Google Scholar]
- Daimary, D.; Bora, M.B.; Amitab, K.; Kandar, D. Brain Tumor Segmentation from Multi Modal MR images using Fully Convolutional Neural Network. Procedia Comput. Sci. 2020, 167, 2419–2428. [Google Scholar] [CrossRef]
- Li, X.; Chen, H.; Qi, X.; Dou, Q.; Fu, C.W.; Heng, P.A. H-DenseUNet: Hybrid Densely Connected UNet for Liver and Tumor Segmentation From CT Volumes. IEEE Trans. Med. Imaging 2018, 37, 2663–2674. [Google Scholar] [CrossRef] [Green Version]
- Feng, X.; Tustison, N.J.; Patel, S.H.; Meyer, C.H. Brain Tumor Segmentation Using an Ensemble of 3D U-Nets and Overall Survival Prediction Using Radiomic Features. Front. Comput. Neurosci. 2020, 14, 25. [Google Scholar] [CrossRef] [Green Version]
- Jia, Q.; Shu, H. BiTr-Unet: A CNN-Transformer Combined Network for MRI Brain Tumor Segmentation. arXiv 2021, arXiv:2109.12271. [Google Scholar]
- Ieva, A.D.; Russo, C.; Jian, A.; Bai, M.Y.; Magnussen, J.S.; Quian, Y. Application of deep learning for automatic segmentation of brain tumors on magnetic resonance imaging: A heuristic approach in the clinical scenario. Neuroradiology 2021, 63, 1253–1262. [Google Scholar] [CrossRef]
- Ronneberger, O.; Fischer, P.; Brox, T. U-Net: Convolutional Networks for Biomedical Image Segmentation. In Proceedings of the International Conference on Medical Image Computing and Computer-Assisted Intervention, Munich, Germany, 5–9 October 2015; pp. 234–241. [Google Scholar]
- Shen, G.; Ding, Y.; Lan, T.; Chen, H.; Qin, Z. Brain Tumor Segmentation Using Concurrent Fully Convolutional Networks and Conditional Random Fields. In Proceedings of the 3rd International Conference on Multimedia and Image Processing (ICMIP 2018), Guiyang, China, 16–18 March 2018; pp. 75–87. [Google Scholar]
- Sille, R.; Choudhury, T.; Chauhan, P.; Sharma, D. A Systematic Approach for Deep Learning Based Brain Tumor Segmentation. Ing. Syst. Inform. 2021, 26, 245–254. [Google Scholar] [CrossRef]
- Elmezain, M. Invariant color features-based foreground segmentation for human-computer interaction. Math. Methods Appl. Sci. 2017, 41, 5770–5779. [Google Scholar] [CrossRef]
- Elmezain, M.; Al-Hamadi, A. Vision-Based Human Activity Recognition Using LDCRFs. Int. Arab J. Inform. Technol. 2018, 15, 389–395. [Google Scholar]
- Elmezain, M.; Ibrahem, H.M. Retrieving Semantic Image Using Shape Descriptors and Latent-Dynamic Conditional Random Fields. Comput. J. 2020, 64, 1876–1885. [Google Scholar] [CrossRef]
- Hussain, S.; Anwar, S.M.; Majid, M. Segmentation of glioma tumors in brain using deep convolutional neural network. Neurocomputing 2018, 282, 248–261. [Google Scholar] [CrossRef] [Green Version]
- Tseng, K.L.; Lin, Y.L.; Hsu, W.; Huang, C.Y. Joint Sequence Learning and Cross-Modality Convolution for 3D Biomedical Segmentation. In Proceedings of the IEEE Conference on Computer Vision and Pattern Recognition (CVPR), Honolulu, HI, USA, 21–26 July 2017. [Google Scholar]
- Piedra, E.A.R.; Ellingson, B.M.; Taira, R.K.; El-Saden, S.; Bui, A.A.T.; Hsu, W. Brain Tumor Segmentation by Variability Characterization of Tumor Boundaries. In Proceedings of the Brainlesion: Glioma, Multiple Sclerosis, Stroke and Traumatic Brain Injuries; Springer: Berlin/Heidelberg, Germany, 2016; pp. 206–216. [Google Scholar]
- Song, B.; Chou, C.R.; Chen, X.; Huang, A.; Liu, M.C. Anatomy-Guided Brain Tumor Segmentation and Classification. In Proceedings of the Brainlesion: Glioma, Multiple Sclerosis, Stroke and Traumatic Brain Injuries; Springer: Berlin/Heidelberg, Germany, 2016; pp. 162–170. [Google Scholar]
- Casamitjana, A.; Puch, S.; Aduriz, A.; Vilaplana, V. 3D Convolutional Neural Networks for Brain Tumor Segmentation: A Comparison of Multi-resolution Architectures. In Proceedings of the Brainlesion: Glioma, Multiple Sclerosis, Stroke and Traumatic Brain Injuries; Springer: Berlin/Heidelberg, Germany, 2016; pp. 150–161. [Google Scholar]
- Baid, U.; Ghodasara, S.; Bilello, M.; Mohan, S.; Calabrese, E.; Colak, E.; Farahani, K.; Kalpathy-Cramer, J.; Kitamura, F.C.; Pati, S.; et al. The rsna-asnr-miccai brats 2021 benchmark on brain tumor segmentation and radiogenomic classification. arXiv 2021, arXiv:2107.02314. [Google Scholar]
- RSNA-MICCAI Brain Tumor Radiogenomic Classification Challange. Available online: https://www.kaggle.com/c/rsna-miccai-brain-tumor-radiogenomic-classification/ (accessed on 15 September 2019).
- Siddiquee, M.M.R.; Myronenko, A. Redundancy Reduction in Semantic Segmentation of 3D Brain Tumor MRIs. arXiv 2021, arXiv:2111.00742. [Google Scholar]
- Saueressig, C.; Berkley, A.; Munbodh, R.; Singh, R. A Joint Graph and Image Convolution Network for Automatic Brain Tumor Segmentation. arXiv 2021, arXiv:2109.05580. [Google Scholar]








| The Title of the Survey | Publish Year | Remarking |
|---|---|---|
| State-of-the-art survey on MRI brain tumor segmentation [8] | 2013 | Prior to 2013, a list of segmentation methods was developed. |
| A survey of MRI-based brain tumor segmentation methods [2] | 2014 | A survey about segmentation approaches of brain MRI, which was carried out in the years preceding 2014; the results were published in 2014. |
| Recent advances in convolutional neural networks [9] | 2015 | An investigation was conducted into the application of convolutional neural networks in language processing, computer vision, and speech recognition. |
| Probabilistic machine learning and artificial intelligence [10] | 2015 | An overview of stochastic machine learning techniques and the applications of these approaches. |
| A survey on deep learning in medical image analysis [11] | 2017 | A detailed assessment of deep learning algorithms for medical image processing is presented, including both theoretical and practical considerations. |
| Deep learning for brain MRI segmentation: state-of-the-art and future directions [12] | 2018 | This work provides deep learning algorithms for brain MRI segmentation that relies on machine learning. |
| Deep convolutional neural networks for the brain image analysis on magnetic resonance imaging: a review [13] | 2018 | Convolutional neural networks (CNNs) are discussed in relation to their usage in evaluating magnetic resonance imaging (MRI) of the brain. |
| Deep learning for generic object detection: a survey [14] | 2018 | A detailed survey of deep learning-based object detection methodologies. |
| A guide to deep learning in healthcare [15] | 2019 | Deep learning techniques to boost healthcare applications are discussed in this survey. |
| Deep learning-based brain tumor Segmentation: a survey [16] | 2020 | A comprehensive evaluation of deep learning to segment the brain tumor. |
| Year | Total Data | Training Data | Validation Data | Testing Data | Processes | Data Type |
|---|---|---|---|---|---|---|
| 2012 | 50 | 35 | N/A | 15 | Segmentation | Pre-operative only |
| 2013 | 60 | 35 | N/A | 25 | Segmentation | Pre-operative only |
| 2014 | 238 | 200 | N/A | 38 | Disease progression and segmentation | Longitudinal |
| 2015 | 253 | 200 | N/A | 53 | Disease progression and segmentation | Longitudinal |
| 2016 | 391 | 200 | N/A | 191 | Disease progression and segmentation | Longitudinal |
| 2017 | 477 | 285 | 46 | 146 | Segmentation and survival prediction | Pre-operative only |
| 2018 | 542 | 285 | 66 | 191 | Segmentation and survival prediction | Pre-operative only |
| 2019 | 584 | 300 | 80 | 204 | Segmentation and survival prediction | Pre-operative only |
| 2020 | 620 | 340 | 80 | 200 | Segmentation and survival prediction | Pre-operative only |
| Methods | Dice | Sensitivity | Specificity | ||||||
|---|---|---|---|---|---|---|---|---|---|
| Complete | Core | Enhancing | Complete | Core | Enhancing | Complete | Core | Enhancing | |
| CapsNet | 0.82 | 0.80 | 0.81 | 0.79 | 0.76 | 0.78 | 0.86 | 0.84 | 0.82 |
| CapsNet + LDCRF | 0.87 | 0.84 | 0.82 | 0.85 | 0.82 | 0.80 | 0.88 | 0.86 | 0.83 |
| CapsNet + LDCRF + Post-processing | 0.91 | 0.86 | 0.85 | 0.88 | 0.84 | 0.83 | 0.93 | 0.90 | 0.86 |
| Methods | Dice | ||
|---|---|---|---|
| Complete | Core | Enhancing | |
| Kuan-Lun Tseng et al. [33] (DCNN) | 0.85 | 0.68 | 0.87 |
| L. L. Folgoc et al. [7] (CLDF) | 0.79 | 0.67 | 0.70 |
| A. R. P. Piedra et al. [34] (VCTB) | 0.74 | 0.54 | 0.54 |
| Bi Song et al. [35] (AG) | 0.85 | 0.70 | 0.73 |
| C. Adria et al. [36] (3DNeT3) | 0.92 | 0.84 | 0.77 |
| S. Hussain et al. [32] (ILinear) | 0.86 | 0.87 | 0.90 |
| Our Method | 0.91 | 0.86 | 0.85 |
| Methods | Dice | Sensitivity | Specificity | ||||||
|---|---|---|---|---|---|---|---|---|---|
| Complete | Core | Enhancing | Complete | Core | Enhancing | Complete | Core | Enhancing | |
| CapsNet | 0.83 | 0.81 | 0.80 | 0.80 | 0.77 | 0.78 | 0.87 | 0.85 | 0.82 |
| CapsNet + LDCRF | 0.87 | 0.85 | 0.83 | 0.85 | 0.83 | 0.81 | 0.88 | 0.86 | 0.84 |
| CapsNet + LDCRF + Post-procesing | 0.92 | 0.88 | 0.85 | 0.90 | 0.86 | 0.85 | 0.93 | 0.91 | 0.87 |
Publisher’s Note: MDPI stays neutral with regard to jurisdictional claims in published maps and institutional affiliations. |
© 2022 by the authors. Licensee MDPI, Basel, Switzerland. This article is an open access article distributed under the terms and conditions of the Creative Commons Attribution (CC BY) license (https://creativecommons.org/licenses/by/4.0/).
Share and Cite
Elmezain, M.; Mahmoud, A.; Mosa, D.T.; Said, W. Brain Tumor Segmentation Using Deep Capsule Network and Latent-Dynamic Conditional Random Fields. J. Imaging 2022, 8, 190. https://doi.org/10.3390/jimaging8070190
Elmezain M, Mahmoud A, Mosa DT, Said W. Brain Tumor Segmentation Using Deep Capsule Network and Latent-Dynamic Conditional Random Fields. Journal of Imaging. 2022; 8(7):190. https://doi.org/10.3390/jimaging8070190
Chicago/Turabian StyleElmezain, Mahmoud, Amena Mahmoud, Diana T. Mosa, and Wael Said. 2022. "Brain Tumor Segmentation Using Deep Capsule Network and Latent-Dynamic Conditional Random Fields" Journal of Imaging 8, no. 7: 190. https://doi.org/10.3390/jimaging8070190
APA StyleElmezain, M., Mahmoud, A., Mosa, D. T., & Said, W. (2022). Brain Tumor Segmentation Using Deep Capsule Network and Latent-Dynamic Conditional Random Fields. Journal of Imaging, 8(7), 190. https://doi.org/10.3390/jimaging8070190

