Bright Luminal Sign on High b-Value Diffusion-Weighted Magnetic Resonance Enterography Imaging as a New Biomarker to Predict Fibrotic Strictures in Crohn’s Disease Patients: A Retrospective Preliminary Study
Abstract
1. Introduction
2. Materials and Methods
2.1. Study Population
2.2. Imaging Parameters
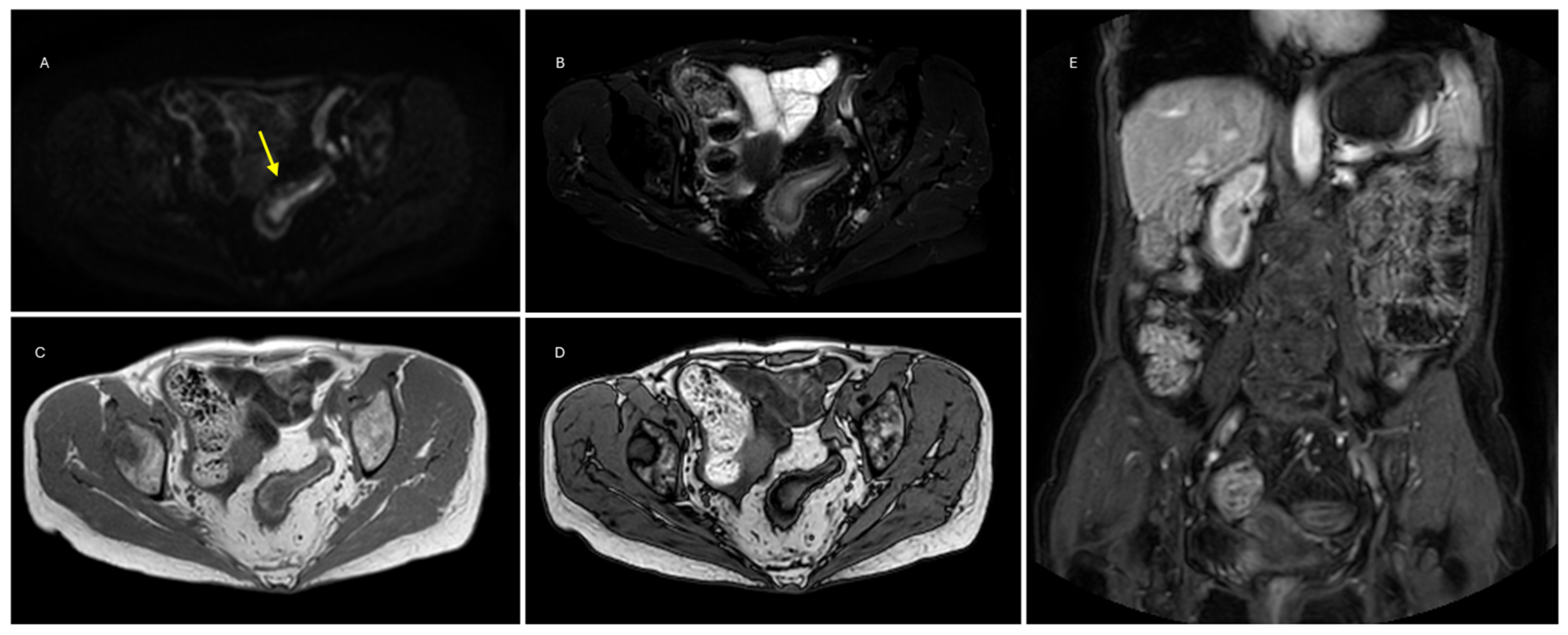
2.3. Image Analysis
2.4. Statistical Analysis
3. Results
4. Discussion
5. Conclusions
Author Contributions
Funding
Institutional Review Board Statement
Informed Consent Statement
Data Availability Statement
Conflicts of Interest
References
- Petagna, L.; Antonelli, A.; Ganini, C.; Bellato, V.; Campanelli, M.; Divizia, A.; Efrati, C.; Franceschilli, M.; Guida, A.M.; Ingallinella, S.; et al. Pathophysiology of Crohn’s disease inflammation and recurrence. Biol. Direct. 2020, 15, 23. [Google Scholar] [CrossRef] [PubMed]
- Cushing, K.; Higgins, P.D.R. Management of Crohn Disease: A Review. JAMA 2021, 325, 69–80. [Google Scholar] [CrossRef] [PubMed]
- Feuerstein, J.D.; Cheifetz, A.S. Crohn Disease: Epidemiology, Diagnosis, and Management. Mayo Clin. Proc. 2017, 92, 1088–1103. [Google Scholar] [CrossRef] [PubMed]
- Ng, S.C.; Shi, H.Y.; Hamidi, N.; Underwood, F.E.; Tang, W.; Benchimol, E.I.; Panaccione, R.; Ghosh, S.; Wu, J.C.Y.; Chan, F.K.L.; et al. Worldwide incidence and prevalence of inflammatory bowel disease in the 21st century: A systematic review of population-based studies. Lancet 2017, 390, 2769–2778. [Google Scholar] [CrossRef]
- Ng, S.C.; Tang, W.; Ching, J.Y.; Wong, M.; Chow, C.M.; Hui, A.J.; Wong, T.C.; Leung, V.K.; Tsang, S.W.; Yu, H.H.; et al. Incidence and phenotype of inflammatory bowel disease based on results from the Asia-pacific Crohn’s and colitis epidemiology study. Gastroenterology 2013, 145, 158–165. [Google Scholar] [CrossRef]
- Banerjee, R.; Pal, P.; Girish, B.G.; Reddy, D.N. Risk factors for diagnostic delay in Crohn’s disease and their impact on long-term complications: How do they differ in a tuberculosis endemic region? Aliment. Pharmacol. Ther. 2018, 47, 1367–1374. [Google Scholar] [CrossRef]
- Li, Y.; Ren, J.; Wang, G.; Gu, G.; Wu, X.; Ren, H.; Hong, Z.; Hu, D.; Wu, Q.; Li, G.; et al. Diagnostic delay in Crohn’s disease is associated with increased rate of abdominal surgery: A retrospective study in Chinese patients. Dig. Liver Dis. 2015, 47, 544–548. [Google Scholar] [CrossRef]
- Nguyen, V.Q.; Jiang, D.; Hoffman, S.N.; Guntaka, S.; Mays, J.L.; Wang, A.; Gomes, J.; Sorrentino, D. Impact of Diagnostic Delay and Associated Factors on Clinical Outcomes in a U.S. Inflammatory Bowel Disease Cohort. Inflamm. Bowel Dis. 2017, 23, 1825–1831. [Google Scholar] [CrossRef]
- Gajendran, M.; Loganathan, P.; Catinella, A.P.; Hashash, J.G. A comprehensive review and update on Crohn’s disease. Dis. Mon. 2018, 64, 20–57. [Google Scholar] [CrossRef]
- Speca, S.; Giusti, I.; Rieder, F.; Latella, G. Cellular and molecular mechanisms of intestinal fibrosis. World J. Gastroenterol. 2013, 18, 3635–3661. [Google Scholar] [CrossRef]
- Rieder, F.; Fiocchi, C. Intestinal fibrosis in IBD—A dynamic, multifactorial process. Nat. Rev. Gastroenterol. Hepatol. 2009, 6, 228–235. [Google Scholar] [CrossRef] [PubMed]
- Sturm, A.; Maaser, C.; Calabrese, E.; Annese, V.; Fiorino, G.; Kucharzik, T.; Vavricka, S.R.; Verstockt, B.; van Rheenen, P.; Tolan, D.; et al. ECCO-ESGAR Guideline for Diagnostic Assessment in IBD Part 2: IBD scores and general principles and technical aspects. J. Crohns Colitis 2019, 13, 273–284. [Google Scholar] [CrossRef]
- Gionchetti, P.; Dignass, A.; Danese, S.; Magro Dias, F.J.; Rogler, G.; Lakatos, P.L.; Adamina, M.; Ardizzone, A.; Buskens, C.J.; Sebastian, S.; et al. 3rd European Evidence-Based Consensus on the Diagnosis and Management of Crohn’s Disease 2016: Part 2: Surgical Management and Special Situations. J. Crohns Colitis 2017, 11, 135–149. [Google Scholar] [CrossRef] [PubMed]
- Cosnes, J.; Cattan, S.; Blain, A.; Beaugerie, L.; Carbonnel, F.; Parc, R.; Gendre, J.-P. Long-term Evolution of Disease Behavior of Crohn’s Disease. Inflamm. Bowel Dis. 2002, 8, 244–250. [Google Scholar] [CrossRef]
- Bernell, O.; Lapidus, A.; Hellers, G. Risk Factors for Surgery and Postoperative Recurrence in Crohn’s Disease. Ann. Surg. 2000, 231, 38–45. [Google Scholar] [CrossRef]
- Rieder, F.; Fiocchi, C.; Rogler, G. Mechanisms, Management, and Treatment of Fibrosis in Patients with Inflammatory Bowel Diseases. Gastroenterology 2017, 152, 340–350. [Google Scholar] [CrossRef]
- Rutgeerts, P.; Geboes, K.; Vantrappen, G.; Beyls, J.; Kerremans, R.; Hiele, M. Predictability of the Postoperative Course of Crohn’s Disease. Gastroenterology 1990, 99, 956–963. [Google Scholar] [CrossRef]
- Samuel, S.; Bruining, D.H.; Loftus, E.V., Jr.; Becker, B.; Fletcher, J.G.; Mandrekar, J.N.; Zinsmeister, A.R.; Sandborn, W.J. Endoscopic skipping of the distal terminal ileum in Crohn’s disease can lead to negative results from ileocolonoscopy. Clin. Gastroenterol. Hepatol. 2012, 10, 1253–1259. [Google Scholar] [CrossRef] [PubMed]
- Goodsall, T.M.; Noy, R.; Nguyen, T.M.; Costello, S.P.; Jairath, V.; Bryant, R.V. Systematic Review: Patient Perceptions of Monitoring Tools in Inflammatory Bowel Disease. J. Can. Assoc. Gastroenterol. 2020, 4, 31–41. [Google Scholar] [CrossRef]
- Panes, J.; Bouhnik, Y.; Reinisch, W.; Stoker, J.; Taylor, S.A.; Baumgart, D.C.; Danese, S.; Halligan, S.; Marincek, B.; Matos, C.; et al. Imaging techniques for assessment of inflammatory bowel disease: Joint ECCO and ESGAR evidence-based consensus guidelines. J. Crohns Colitis 2013, 7, 556–585. [Google Scholar] [CrossRef]
- Rimola, J.; Planell, N.; Rodríguez, S.; Delgado, S.; Ordás, I.; Ramírez-Morros, A.; Ayuso, C.; Aceituno, M.; Ricart, E.; Jauregui-Amezaga, A.; et al. Characterization of inflammation and fibrosis in Crohn’s disease lesions by magnetic resonance imaging. Am. J. Gastroenterol. 2015, 110, 432–440. [Google Scholar] [CrossRef] [PubMed]
- Bhatnagar, G.; Mallett, S.; Beable, R.; Greenhalgh, R.; Ilangovan, R.; Lambie, H.; Mainta, E.; Patel, U.; Porté, F.; Sidhu, H.; et al. Influence of diffusion weighted imaging and contrast enhanced T1 sequences on the diagnostic accuracy of magnetic resonance enterography for Crohn’s disease. Eur. J. Radiol. 2024, 175, 111454. [Google Scholar] [CrossRef]
- Cicero, G.; Alibrandi, A.; Blandino, A.; Ascenti, V.; Fries, W.; Viola, A.; Mazziotti, S. DWI ratios: New indexes for Crohn’s disease activity at magnetic resonance enterography? La Radiol. Med. 2023, 128, 16–26. [Google Scholar] [CrossRef] [PubMed]
- Thormann, M.; Melekh, B.; Bär, C.; Pech, M.; Omari, J.; Wienke, A.; Meyer, H.J.; Surov, A. Apparent diffusion coefficient for assessing Crohn’s disease activity: A meta-analysis. Eur. Radiol. 2023, 33, 1677–1686. [Google Scholar] [CrossRef]
- Cansu, A.; Bekircavusoglu, S.; Oguz, S.; Bulut, E.; Fidan, S. Can diffusion weighted imaging be used as an alternative to contrast-enhanced imaging on magnetic resonance enterography for the assessment of active inflammation in Crohn disease? Medicine 2020, 99, e19202. [Google Scholar] [CrossRef] [PubMed]
- Foti, P.V.; Travali, M.; Farina, R.; Palmucci, S.; Coronella, M.; Spatola, C.; Puzzo, L.; Garro, R.; Inserra, G.; Riguccio, G.; et al. Can Conventional and Diffusion-Weighted MR Enterography Biomarkers Differentiate Inflammatory from Fibrotic Strictures in Crohn’s Disease? Medicina 2021, 57, 265. [Google Scholar] [CrossRef]
- Wang, Y.D.; Zhang, R.N.; Mao, R.; Li, X.H. Inflammatory bowel disease cross-sectional imaging: What’s new? United Eur. Gastroenterol. J. 2022, 10, 1179–1193. [Google Scholar] [CrossRef]
- Chen, W.; Lu, C.; Hirota, C.; Iacucci, M.; Ghosh, S.; Gui, X. Smooth Muscle Hyperplasia/Hypertrophy Is the Most Prominent Histological Change in Crohn’s Fibrostenosing Bowel Strictures: A Semiquantitative Analysis by Using a Novel Histological Grading Scheme. J. Crohns Colitis 2017, 11, 92–104. [Google Scholar] [CrossRef]
- Yaffe, B.H.; Korelitz, B.I. Prognosis for Nonoperative Management of Small-Bowel Obstruction in Crohn’s Disease. J. Clin. Gastroenterol. 1983, 5, 211–216. [Google Scholar] [CrossRef]
- Dohan, A.; Taylor, S.; Hoeffel, C.; Barret, M.; Allez, M.; Dautry, R.; Zappa, M.; Savoye-Collet, C.; Dray, X.; Boudiaf, M.; et al. Diffusion-weighted MRI in Crohn’s disease: Current status and recommendations. J. Magn. Reson. Imaging 2016, 44, 1381–1396. [Google Scholar] [CrossRef]
- Qayyum, A. Diffusion-weighted imaging in the abdomen and pelvis: Concepts and applications. Radiographics 2009, 29, 1797–1810. [Google Scholar] [CrossRef] [PubMed]
- Koh, D.M.; Collins, D.J. Diffusion-weighted MRI in the body: Applications and challenges in oncology. AJR Am. J. Roentgenol. 2007, 188, 1622–1635. [Google Scholar] [CrossRef] [PubMed]
- Li, X.H.; Sun, C.H.; Mao, R.; Huang, S.Y.; Zhang, Z.W.; Yang, X.F.; Huang, L.; Lin, J.J.; Zhang, J.; Ben-Horin, S.; et al. Diffusion-weighted MRI Enables to Accurately Grade Inflammatory Activity in Patients of Ileocolonic Crohn’s Disease: Results from an Observational Study. Inflamm. Bowel Dis. 2017, 23, 244–253. [Google Scholar] [CrossRef] [PubMed]
- Seo, N.; Park, S.H.; Kim, K.J.; Kang, B.K.; Lee, Y.; Yang, S.K.; Ye, B.D.; Park, S.H.; Kim, S.Y.; Baek, S.; et al. MR Enterography for the Evaluation of Small-Bowel Inflammation in Crohn Disease by Using Diffusion-weighted Imaging without Intravenous Contrast Material: A Prospective Noninferiority Study. Radiology 2016, 278, 762–772. [Google Scholar] [CrossRef] [PubMed]
- Tielbeek, J.A.; Ziech, M.L.; Li, Z.; Lavini, C.; Bipat, S.; Bemelman, W.A.; Roelofs, J.J.; Ponsioen, C.Y.; Vos, F.M.; Stoker, J. Evaluation of conventional, dynamic contrast enhanced and diffusion weighted MRI for quantitative Crohn’s disease assessment with histopathology of surgical specimens. Eur. Radiol. 2014, 24, 619–629. [Google Scholar] [CrossRef]
- Kovanlikaya, A.; Beneck, D.; Rose, M.; Renjen, P.; Dunning, A.; Solomon, A.; Sockolow, R.; Brill, P.W. Quantitative apparent diffusion coefficient (ADC) values as an imaging biomarker for fibrosis in pediatric Crohn’s disease: Preliminary experience. Abdom. Imaging 2015, 40, 1068–1074. [Google Scholar] [CrossRef]
- Li, X.H.; Mao, R.; Huang, S.Y.; Fang, Z.N.; Lu, B.L.; Lin, J.J.; Xiong, S.S.; Chen, M.H.; Li, Z.P.; Sun, C.H.; et al. Ability of DWI to characterize bowel fibrosis depends on the degree of bowel inflammation. Eur. Radiol. 2019, 29, 2465–2473. [Google Scholar] [CrossRef]
- Zappa, M.; Stefanescu, C.; Cazals-Hatem, D.; Bretagnol, F.; Deschamps, L.; Attar, A.; Larroque, B.; Tréton, X.; Panis, Y.; Vilgrain, V.; et al. Which magnetic resonance imaging findings accurately evaluate inflammation in small bowel Crohn’s disease? A retrospective comparison with surgical pathologic analysis. Inflamm. Bowel Dis. 2011, 17, 984–993. [Google Scholar] [CrossRef]


| Characteristics | Number of Patients (n) |
|---|---|
| Patients | 32 |
| Male (%) | 22 (69%) |
| Female (%) | 10 (31%) |
| Age at diagnosis (median) | 29.2 |
| Disease duration (years, mean SD) | 7.1 (2.8) |
| Fibro-stenotic localization | |
| -Rectum | 0 |
| -Sigmoid/Left colon | 2 |
| -Transverse colon | 0 |
| -Right colon | 1 |
| -Ileum | 32 |
| Therapy at any time of MRE | |
| -Anti-TNF (%) | 14 (44%) |
| -Corticosteroids (%) | 9 (28%) |
| -Immunosuppressant (%) | 7 (22%) |
| -No treatment (%) | 2 (6%) |
| Exclusion Criteria |
|---|
| Age < 18 Radiological diagnosis of active inflammation Previous intestinal surgery |
| Presence of abdominal abscess or internal fistula No clinical and radiological evidence of fibro-stricturing CD |
| T2-TSE | T2-SPAIR | DUAL-FFE | BFFE | DYNAMIC THRIVE | DWI | THRIVE | |
|---|---|---|---|---|---|---|---|
| Plane | axial | axial | axial | coronal | coronal (3D) | axial | axial (3D) |
| Slice thickness (mm) | 5 | 5 | 5 | 5 | 1.5 | 6 | 3 |
| FOV (mm) | 450 × 450 | 400 × 400 | 450 × 450 | 400 × 400 | 420 × 420 | 450 × 450 | 420 × 420 |
| TR (ms) | 385 | 3100 | 140 | 2.9 | 5.5 | 3144 | 5.5 |
| TE (ms) | 80 | 80 | 4.6/2.3 | 1.4 | 0 | 89 | 0 |
| Flip angle (degree) | 90 | 90 | 80 | 40 | 10 | 90 | 10 |
| Diagnostic accuracy | 88% |
| Sensitivity | 90% |
| Specificity | 85% |
| Positive predictive value (PPV) | 85% |
| Negative predictive value (NPV) | 90% |
| Pathological Segment Without DWI Luminal Hyperintensity (n = 3) | Pathological Segment With DWI Luminal Hyperintensity (n = 29) | p-Value | |
|---|---|---|---|
| Wall thickness (mm) | 6.1 (5.45; 7.6) | 9.2 (8.63; 11.1) | 0.13 b |
| Submucosal edema on T2w | 3 (100%) | 3 (10.3%) | 0.64 a |
| Submucosal fat infiltration on T2 fat sat or DUAL FFE | 1 (33.3%) | 24 (82.75%) | 0.05 a |
| Luminal stenosis with prestenotic dilatation | 1 (33.3%) | 25 (86.2%) | 0.05 a |
Enhancement 7 min:
| 0 (0%) 1 (33.3%) 1 (33.3%) | 27 (93.1%) 1 (3.4%) 0 (0%) | <0.001 b |
| Percentage of gain enhancement 70 s–7 min | 11 (9.4; 13.1) | 32 (28.5; 39.7) | <0.001 b |
| ICC | p-Value | |
|---|---|---|
| Wall thickness (mm) | 0.868 | 0.001 |
| Submucosal edema on T2w | 0.854 | <0.001 |
| Submucosal fat infiltration on T2 fat sat or DUAL FFE | 0.909 | <0.001 |
| Luminal stenosis with prestenotic dilatation | 0.889 | <0.001 |
Enhancement 7 min:
| 0.785 0.716 0.871 | <0.001 |
| Percentage of gain enhancement 70 s–7 min | 0.958 | <0.001 |
Disclaimer/Publisher’s Note: The statements, opinions and data contained in all publications are solely those of the individual author(s) and contributor(s) and not of MDPI and/or the editor(s). MDPI and/or the editor(s) disclaim responsibility for any injury to people or property resulting from any ideas, methods, instructions or products referred to in the content. |
© 2024 by the authors. Licensee MDPI, Basel, Switzerland. This article is an open access article distributed under the terms and conditions of the Creative Commons Attribution (CC BY) license (https://creativecommons.org/licenses/by/4.0/).
Share and Cite
Stoppino, L.P.; Piscone, S.; Quarta Colosso, O.; Saccone, S.; Milillo, P.; Della Valle, N.; Sacco, R.; Reginelli, A.; Macarini, L.; Vinci, R. Bright Luminal Sign on High b-Value Diffusion-Weighted Magnetic Resonance Enterography Imaging as a New Biomarker to Predict Fibrotic Strictures in Crohn’s Disease Patients: A Retrospective Preliminary Study. J. Imaging 2024, 10, 283. https://doi.org/10.3390/jimaging10110283
Stoppino LP, Piscone S, Quarta Colosso O, Saccone S, Milillo P, Della Valle N, Sacco R, Reginelli A, Macarini L, Vinci R. Bright Luminal Sign on High b-Value Diffusion-Weighted Magnetic Resonance Enterography Imaging as a New Biomarker to Predict Fibrotic Strictures in Crohn’s Disease Patients: A Retrospective Preliminary Study. Journal of Imaging. 2024; 10(11):283. https://doi.org/10.3390/jimaging10110283
Chicago/Turabian StyleStoppino, Luca Pio, Stefano Piscone, Ottavia Quarta Colosso, Sara Saccone, Paola Milillo, Nicola Della Valle, Rodolfo Sacco, Alfonso Reginelli, Luca Macarini, and Roberta Vinci. 2024. "Bright Luminal Sign on High b-Value Diffusion-Weighted Magnetic Resonance Enterography Imaging as a New Biomarker to Predict Fibrotic Strictures in Crohn’s Disease Patients: A Retrospective Preliminary Study" Journal of Imaging 10, no. 11: 283. https://doi.org/10.3390/jimaging10110283
APA StyleStoppino, L. P., Piscone, S., Quarta Colosso, O., Saccone, S., Milillo, P., Della Valle, N., Sacco, R., Reginelli, A., Macarini, L., & Vinci, R. (2024). Bright Luminal Sign on High b-Value Diffusion-Weighted Magnetic Resonance Enterography Imaging as a New Biomarker to Predict Fibrotic Strictures in Crohn’s Disease Patients: A Retrospective Preliminary Study. Journal of Imaging, 10(11), 283. https://doi.org/10.3390/jimaging10110283

