Optimization of Potential Nanoemulgels for Boosting Transdermal Glimepiride Delivery and Upgrading Its Anti-Diabetic Activity
Abstract
1. Introduction
2. Results and Discussion
2.1. Screening of NE Components
2.2. Validation of Surfactant and Co-Surfactant
2.3. Construction of Phase Diagrams
2.4. Characterization of GM-Loaded NEs
2.4.1. Thermodynamic Stability Tests
2.4.2. Determination of Emulsion Type
2.5. Statistical Analysis by CCD
Zeta potential (R2) = 7.19 − 1.77 A + 1.13 B + 0.245 AB + 1.36 A2 + 0.266 B2
DE% (R3) = 73.11 − 7.80 A + 10.51 B + 6.71 AB − 5.33 A2 − 4.95 B2
2.5.1. Impact of Formulation Variables on Droplet Size
2.5.2. Impact of Formulation Variables on Zeta Potential
2.5.3. Impact of Formulation Variables on DE%
2.5.4. Optimization Technique
2.6. Characterization of Optimized GM-Loaded NE Formulation
2.6.1. TEM Study of the Optimized NE Formulation
2.6.2. DSC Study of the Optimized NE Formulation
2.6.3. FTIR Study of the Optimized NE Formulation
2.7. In-Vitro Release Study of the Optimized NE Formulation
2.8. Preparation of GM-Loaded Nanoemulgel Formulations
2.9. Characterization of GM-Loaded Nanoemulgel Formulations
2.9.1. Visual Inspection
2.9.2. pH Measurement
2.9.3. Viscosity Determination
2.9.4. Spreadability Determination
2.10. In-Vitro Release Study
2.11. Ex-Vivo Permeability Study of the Optimized Nanoemulgel
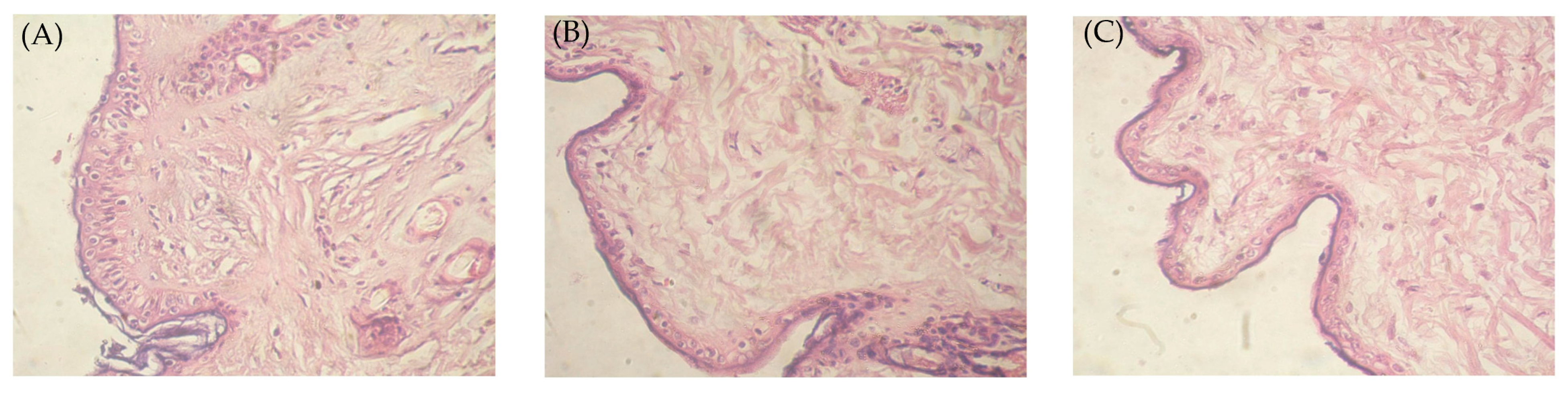
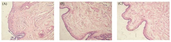
2.12. Histopathological Study of the Optimized Nanoemulgel
2.13. In-Vivo Pharmacokinetic Study of the Optimized Nanoemulgel
3. Conclusions
4. Materials and Methods
4.1. Materials
4.2. Solubility Studies
4.3. NE components Screening and Selection
4.3.1. Surfactant Validation
4.3.2. Co-Surfactant Validation
4.4. Experimental Design of GM-Loaded NEs
4.5. Preparation of GM-Loaded NEs
4.6. Characterization of GM-Loaded NEs
4.6.1. Thermodynamic Stability Studies
4.6.2. Determination of Particle Size and Zeta Potential of NEs
4.6.3. In-Vitro Drug Release and DE% Measurement
4.6.4. Transmission Electron Microscopy of the Optimum GM-Loaded Nanoemulsion
4.6.5. Differential Scanning Colorimetry (DSC) of the Optimized GM-Loaded NE
4.6.6. Fourier Transform Infrared (FTIR) Spectroscopy of the Optimized GM-Loaded NE
4.7. Formulation of GM-Loaded Nanoemulgels
4.8. Characterization of GM-Loaded Nanoemulgels
4.8.1. Visual Assessment for Clarity and pH Measurement
4.8.2. Gel Strength Measurement
4.8.3. Viscosity Measurement
4.8.4. Spreadability Measurement
4.9. In-Vitro Drug Release and DE% Measurement
4.10. Ex-Vivo Drug Permeation Study of the Optimized Nanoemulgel
4.11. Histopathological Study of the Optimized Nanoemulgel
4.12. In-Vivo Characterization of the Optimized Nanoemulgel
4.12.1. Ethical Approval
4.12.2. In-Vivo Pharmacokinetic Study
Supplementary Materials
Author Contributions
Funding
Institutional Review Board Statement
Informed Consent Statement
Data Availability Statement
Acknowledgments
Conflicts of Interest
References
- Hegazy, W.A.H.; Rajab, A.A.H.; Abu Lila, A.S.; Abbas, H.A. Anti-diabetics and antimicrobials: Harmony of mutual interplay. World J. Diabetes 2021, 12, 1832–1855. [Google Scholar] [CrossRef] [PubMed]
- Itumalla, R.; Kumar, R.; Tharwat Elabbasy, M.; Perera, B.; Torabi, M.R. Structural Factors and Quality of Diabetes Health Services in Hail, Saudi Arabia: A Cross-Sectional Study. Healthcare 2021, 9, 1691. [Google Scholar] [CrossRef]
- Food and Drug Administration. Diabetes. 2022. Available online: https://www.fda.gov/consumers/minority-health-and-health-equity-resources/diabetes (accessed on 1 January 2022).
- Inukai, K.; Watanabe, M.; Nakashima, Y.; Takata, N.; Isoyama, A.; Sawa, T.; Kurihara, S.; Awata, T.; Katayama, S. Glimepiride enhances intrinsic peroxisome proliferator-activated receptor-gamma activity in 3T3-L1 adipocytes. Biochem. Biophys. Res. Commun. 2005, 328, 484–490. [Google Scholar] [CrossRef] [PubMed]
- Kabadi, M.U.; Kabadi, U.M. Effects of glimepiride on insulin secretion and sensitivity in patients with recently diagnosed type 2 diabetes mellitus. Clin. Ther. 2004, 26, 63–69. [Google Scholar] [CrossRef] [PubMed]
- Li, C.-J.; Zhang, J.-Y.; Yu, D.-M.; Zhang, Q.-M. Adding glimepiride to current insulin therapy increases high-molecular weight adiponectin levels to improve glycemic control in poorly controlled type 2 diabetes. Diabetol. Metab. Syndr. 2014, 6, 41. [Google Scholar] [CrossRef] [PubMed]
- Nybäck-Nakell, Å.; Adamson, U.; Lins, P.E.; Landstedt-Hallin, L. Adding glimepiride to insulin+metformin in type 2 diabetes of more than 10 years’ duration—A randomised, double-blind, placebo-controlled, cross-over study. Diabetes Res. Clin. Pract. 2014, 103, 286–291. [Google Scholar] [CrossRef]
- Ammar, H.O.; Salama, H.A.; Ghorab, M.; Mahmoud, A.A. Formulation and biological evaluation of glimepiride-cyclodextrin-polymer systems. Int. J. Pharm. 2006, 309, 129–138. [Google Scholar] [CrossRef]
- Abdallah, M.H.; Sabry, S.A.; Hasan, A.A. Enhancing Transdermal Delivery of Glimepiride via Entrapment in Proniosomal Gel. J. Young Pharm. 2016, 8, 335–340. [Google Scholar] [CrossRef]
- Reven, S.; Homar, M.; Peternel, L.; Kristl, J.; Žagar, E. Preparation and characterization of tablet formulation based on solid dispersion of glimepiride and poly(ester amide) hyperbranched polymer. Pharm. Dev. Technol. 2013, 18, 323–332. [Google Scholar] [CrossRef]
- Ammar, H.O.; Salama, H.A.; Ghorab, M.; Mahmoud, A.A. Implication of inclusion complexation of glimepiride in cyclodextrin-polymer systems on its dissolution, stability and therapeutic efficacy. Int. J. Pharm. 2006, 320, 53–57. [Google Scholar] [CrossRef]
- Seedher, N.; Kanojia, M. Co-solvent solubilization of some poorly-soluble antidiabetic drugs. Pharm. Dev. Technol. 2009, 14, 185–192. [Google Scholar] [CrossRef] [PubMed]
- Du, B.; Shen, G.; Wang, D.; Pang, L.; Chen, Z.; Liu, Z. Development and characterization of glimepiride nanocrystal formulation and evaluation of its pharmacokinetic in rats. Drug Deliv. 2013, 20, 25–33. [Google Scholar] [CrossRef] [PubMed]
- Ilić, I.; Dreu, R.; Burjak, M.; Homar, M.; Kerc, J.; Srcic, S. Microparticle size control and glimepiride microencapsulation using spray congealing technology. Int. J. Pharm. 2009, 381, 176–183. [Google Scholar] [CrossRef] [PubMed]
- Fasinu, P.; Pillay, V.; Ndesendo, V.M.; du Toit, L.C.; Choonara, Y.E. Diverse approaches for the enhancement of oral drug bioavailability. Biopharm. Drug Dispos. 2011, 32, 185–209. [Google Scholar] [CrossRef] [PubMed]
- Abdallah, M.H.; Abu Lila, A.S.; Shawky, S.M.; Almansour, K.; Alshammari, F.; Khafagy, E.-S.; Makram, T.S. Experimental Design and Optimization of Nano-Transfersomal Gel to Enhance the Hypoglycemic Activity of Silymarin. Polymers 2022, 14, 508. [Google Scholar] [CrossRef] [PubMed]
- Khafagy, E.S.; Almutairy, B.K.; Abu Lila, A.S. Tailoring of Novel Bile Salt Stabilized Vesicles for Enhanced Transdermal Delivery of Simvastatin: A New Therapeutic Approach against Inflammation. Polymers 2023, 15, 677. [Google Scholar] [CrossRef] [PubMed]
- Yu, Y.Q.; Yang, X.; Wu, X.F.; Fan, Y.B. Enhancing Permeation of Drug Molecules Across the Skin via Delivery in Nanocarriers: Novel Strategies for Effective Transdermal Applications. Front. Bioeng. Biotechnol. 2021, 9, 646554. [Google Scholar] [CrossRef]
- Alkilani, A.Z.; McCrudden, M.T.; Donnelly, R.F. Transdermal Drug Delivery: Innovative Pharmaceutical Developments Based on Disruption of the Barrier Properties of the stratum corneum. Pharmaceutics 2015, 7, 438–470. [Google Scholar] [CrossRef]
- Singh, I.; Morris, A.P. Performance of transdermal therapeutic systems: Effects of biological factors. Int. J. Pharm. Investig. 2011, 1, 4–9. [Google Scholar] [CrossRef]
- Hua, S. Lipid-based nano-delivery systems for skin delivery of drugs and bioactives. Front. Pharmacol. 2015, 6, 219. [Google Scholar] [CrossRef]
- Paudel, K.S.; Milewski, M.; Swadley, C.L.; Brogden, N.K.; Ghosh, P.; Stinchcomb, A.L. Challenges and opportunities in dermal/transdermal delivery. Ther. Deliv. 2010, 1, 109–131. [Google Scholar] [CrossRef] [PubMed]
- Zhang, Z.; Tsai, P.C.; Ramezanli, T.; Michniak-Kohn, B.B. Polymeric nanoparticles-based topical delivery systems for the treatment of dermatological diseases. Wiley Interdiscip. Rev. Nanomed. Nanobiotechnol. 2013, 5, 205–218. [Google Scholar] [CrossRef] [PubMed]
- Tabarzad, M.; Ghorbani-Bidkorbeh, F. Chapter 22—Dendrimers formulations to enhance skin drug delivery. In Dendrimer-Based Nanotherapeutics; Kesharwani, P., Ed.; Academic Press: Cambridge, MA, USA, 2021; pp. 399–416. [Google Scholar]
- Rai, V.K.; Mishra, N.; Yadav, K.S.; Yadav, N.P. Nanoemulsion as pharmaceutical carrier for dermal and transdermal drug delivery: Formulation development, stability issues, basic considerations and applications. J. Control. Release 2018, 270, 203–225. [Google Scholar] [CrossRef] [PubMed]
- Li, H.; Pan, T.; Cui, Y.; Li, X.; Gao, J.; Yang, W.; Shen, S. Improved oral bioavailability of poorly water-soluble glimepiride by utilizing microemulsion technique. Int. J. Nanomed. 2016, 11, 3777–3788. [Google Scholar] [CrossRef]
- Manzoor, M.; Sharma, P.; Murtaza, M.; Jaiswal, A.K.; Jaglan, S. Fabrication, characterization, and interventions of protein, polysaccharide and lipid-based nanoemulsions in food and nutraceutical delivery applications: A review. Int. J. Biol. Macromol. 2023, 241, 124485. [Google Scholar] [CrossRef]
- Donthi, M.R.; Munnangi, S.R.; Krishna, K.V.; Saha, R.N.; Singhvi, G.; Dubey, S.K. Nanoemulgel: A Novel Nano Carrier as a Tool for Topical Drug Delivery. Pharmaceutics 2023, 15, 164. [Google Scholar] [CrossRef]
- Choudhury, H.; Gorain, B.; Pandey, M.; Chatterjee, L.A.; Sengupta, P.; Das, A.; Molugulu, N.; Kesharwani, P. Recent Update on Nanoemulgel as Topical Drug Delivery System. J. Pharm. Sci. 2017, 106, 1736–1751. [Google Scholar] [CrossRef]
- Abdallah, M.H.; Abu Lila, A.S.; Unissa, R.; Elsewedy, H.S.; Elghamry, H.A.; Soliman, M.S. Preparation, characterization and evaluation of anti-inflammatory and anti-nociceptive effects of brucine-loaded nanoemulgel. Colloids Surf. B Biointerfaces 2021, 205, 111868. [Google Scholar] [CrossRef]
- Shehata, T.M.; Nair, A.B.; Al-Dhubiab, B.E.; Shah, J.; Jacob, S.; Alhaider, I.A.; Attimarad, M.; Elsewedy, H.S.; Ibrahim, M.M. Vesicular Emulgel Based System for Transdermal Delivery of Insulin: Factorial Design and in Vivo Evaluation. Appl. Sci. 2020, 10, 5341. [Google Scholar] [CrossRef]
- Wais, M.; Samad, A.; Nazish, I.; Khale, A.; Aqil, M.; Khan, M.U. Formulation Development Ex-Vivo and In-Vivo Evaluation of Nanoemulsion for Transdermal Delivery of Glibenclamide. Int. J. Pharm. Pharm. Sci 2013, 5, 747–754. [Google Scholar]
- Shinde, U.A.; Modani, S.H.; Singh, K.H. Design and Development of Repaglinide Microemulsion Gel for Transdermal Delivery. AAPS PharmSciTech 2018, 19, 315–325. [Google Scholar] [CrossRef] [PubMed]
- Razzaq, F.A.; Asif, M.; Asghar, S.; Iqbal, M.S.; Khan, I.U.; Khan, S.U.; Irfan, M.; Syed, H.K.; Khames, A.; Mahmood, H.; et al. Glimepiride-Loaded Nanoemulgel; Development, In Vitro Characterization, Ex Vivo Permeation and In Vivo Antidiabetic Evaluation. Cells 2021, 10, 2404. [Google Scholar] [CrossRef]
- Ali, M.S.; Alam, M.S.; Alam, N.; Siddiqui, M.R. Preparation, characterization and stability study of dutasteride loaded nanoemulsion for treatment of benign prostatic hypertrophy. Iran. J. Pharm. Res. 2014, 13, 1125–1140. [Google Scholar]
- Ghanbarzadeh, S.; Khorrami, A.; Arami, S. Nonionic surfactant-based vesicular system for transdermal drug delivery. Drug Deliv. 2015, 22, 1071–1077. [Google Scholar] [CrossRef]
- Ahmed, S.; Gull, A.; Alam, M.; Aqil, M.; Sultana, Y. Ultrasonically tailored, chemically engineered and “QbD” enabled fabrication of agomelatine nanoemulsion; optimization, characterization, ex-vivo permeation and stability study. Ultrason. Sonochemis. 2018, 41, 213–226. [Google Scholar] [CrossRef] [PubMed]
- Gaba, B.; Khan, T.; Haider, M.F.; Alam, T.; Baboota, S.; Parvez, S.; Ali, J. Vitamin E Loaded Naringenin Nanoemulsion via Intranasal Delivery for the Management of Oxidative Stress in a 6-OHDA Parkinson’s Disease Model. Biomed. Res. Int. 2019, 2019, 2382563. [Google Scholar] [CrossRef] [PubMed]
- Azeem, A.; Rizwan, M.; Ahmad, F.J.; Iqbal, Z.; Khar, R.K.; Aqil, M.; Talegaonkar, S. Nanoemulsion components screening and selection: A technical note. AAPS PharmSciTech 2009, 10, 69–76. [Google Scholar] [CrossRef]
- Al-Edresi, S.; Baie, S. Formulation and stability of whitening VCO-in-water nano-cream. Int. J. Pharm. 2009, 373, 174–178. [Google Scholar] [CrossRef]
- Tenjarla, S. Microemulsions: An overview and pharmaceutical applications. Crit. Rev. Ther. Drug Carr. Syst. 1999, 16, 461–521. [Google Scholar] [CrossRef]
- Abdulla, N.A.; Balata, G.F.; El-Ghamry, H.A.; Gomaa, E. Intranasal delivery of Clozapine using nanoemulsion-based in-situ gels: An approach for bioavailability enhancement. Saudi Pharm. J. 2021, 29, 1466–1485. [Google Scholar] [CrossRef]
- Manev, E.D.; Pugh, R.J. Diffuse layer electrostatic potential and stability of thin aqueous films containing a nonionic surfactant. Langmuir 1991, 7, 2253–2260. [Google Scholar] [CrossRef]
- Ibrahim, T.M.; Abdallah, M.H.; El-Megrab, N.A.; El-Nahas, H.M. Upgrading of dissolution and anti-hypertensive effect of Carvedilol via two combined approaches: Self-emulsification and liquisolid techniques. Drug Dev. Ind. Pharm. 2018, 44, 873–885. [Google Scholar] [CrossRef] [PubMed]
- Mahmood, A.; Khan, L.; Ijaz, M.; Nazir, I.; Naseem, M.; Tahir, M.A.; Aamir, M.N.; Rehman, M.U.; Asim, M.H. Enhanced Intestinal Permeability of Cefixime by Self-Emulsifying Drug Delivery System: In-Vitro and Ex-Vivo Characterization. Molecules 2023, 28, 2827. [Google Scholar] [CrossRef] [PubMed]
- Ullah, I.; Alhodaib, A.; Naz, I.; Ahmad, W.; Ullah, H.; Amin, A.; Nawaz, A. Fabrication of Novel Omeprazole-Based Chitosan Coated Nanoemulgel Formulation for Potential Anti-Microbia; In Vitro and Ex Vivo Characterizations. Polymers 2023, 15, 1298. [Google Scholar] [CrossRef]
- Balata, G.F.; Essa, E.A.; Shamardl, H.A.; Zaidan, S.H.; Abourehab, M.A. Self-emulsifying drug delivery systems as a tool to improve solubility and bioavailability of resveratrol. Drug Des. Devel. Ther. 2016, 10, 117–128. [Google Scholar] [CrossRef]
- Lashari, Z.A.; Yang, H.; Zhu, Z.; Tang, X.; Cao, C.; Iqbal, M.W.; Kang, W. Experimental research of high strength thermally stable organic composite polymer gel. J. Mol. Liq. 2018, 263, 118–124. [Google Scholar] [CrossRef]
- Hosny, K.M.; Hassan, A.H. Intranasal in situ gel loaded with saquinavir mesylate nanosized microemulsion: Preparation, characterization, and in vivo evaluation. Int. J. Pharm. 2014, 475, 191–197. [Google Scholar] [CrossRef]
- Braun-Falco, O.; Korting, H.C. Normal pH value of human skin. Hautarzt 1986, 37, 126–129. [Google Scholar]
- Jain, S.; Pattewad, V.; Bhargavi, N.; Yadav, S.; Sharma, R.; Ghadi, R.; Date, T.; Katiyar, S.S.; Chaudhari, D.; Kuche, K.; et al. Exploring the therapeutic potential of functional excipient-based nanoemulgel of fluticasone propionate for the management of psoriasis. J. Drug Deliv. Sci. Technol. 2023, 84, 104435. [Google Scholar] [CrossRef]
- Saitoh, H.; Takami, K.; Ohnari, H.; Chiba, Y.; Ikeuchi-Takahashi, Y.; Obata, Y. Effects and Mode of Action of Oleic Acid and Tween 80 on Skin Permeation of Disulfiram. Chem. Pharm. Bull. 2023, 71, 289–298. [Google Scholar] [CrossRef]
- Hmingthansanga, V.; Singh, N.; Banerjee, S.; Manickam, S.; Velayutham, R.; Natesan, S. Improved Topical Drug Delivery: Role of Permeation Enhancers and Advanced Approaches. Pharmaceutics 2022, 14, 2818. [Google Scholar] [CrossRef] [PubMed]
- Aggarwal, N.; Goindi, S.; Khurana, R. Formulation, characterization and evaluation of an optimized microemulsion formulation of griseofulvin for topical application. Colloids Surf. B Biointerfaces 2013, 105, 158–166. [Google Scholar] [CrossRef] [PubMed]
- Algahtani, M.S.; Ahmad, M.Z.; Ahmad, J. Nanoemulgel for Improved Topical Delivery of Retinyl Palmitate: Formulation Design and Stability Evaluation. Nanomaterials 2020, 10, 848. [Google Scholar] [CrossRef] [PubMed]
- Ibrahim, T.M.; Ayoub, M.M.; El-Bassossy, H.M.; El-Nahas, H.M.; Gomaa, E. Investigation of Alogliptin-Loaded In Situ Gel Implants by 23 Factorial Design with Glycemic Assessment in Rats. Pharmaceutics 2022, 14, 1867. [Google Scholar] [CrossRef] [PubMed]
- Vishwa, B.; Moin, A.; Gowda, D.V.; Rizvi, S.M.D.; Hegazy, W.A.H.; Abu Lila, A.S.; Khafagy, E.S.; Allam, A.N. Pulmonary Targeting of Inhalable Moxifloxacin Microspheres for Effective Management of Tuberculosis. Pharmaceutics 2021, 13, 79. [Google Scholar] [CrossRef]
- Moin, A.; Wani, S.U.D.; Osmani, R.A.; Abu Lila, A.S.; Khafagy, E.S.; Arab, H.H.; Gangadharappa, H.V.; Allam, A.N. Formulation, characterization, and cellular toxicity assessment of tamoxifen-loaded silk fibroin nanoparticles in breast cancer. Drug Deliv. 2021, 28, 1626–1636. [Google Scholar] [CrossRef]
- Rehman, A.; Iqbal, M.; Khan, B.A.; Khan, M.K.; Huwaimel, B.; Alshehri, S.; Alamri, A.H.; Alzhrani, R.M.; Bukhary, D.M.; Safhi, A.Y.; et al. Fabrication, In Vitro, and In Vivo Assessment of Eucalyptol-Loaded Nanoemulgel as a Novel Paradigm for Wound Healing. Pharmaceutics 2022, 14, 1971. [Google Scholar] [CrossRef]
- Abdelnabi, D.M.; Abdallah, M.H.; Elghamry, H.A. Buspirone Hydrochloride Loaded In Situ Nanovesicular Gel as an Anxiolytic Nasal Drug Delivery System: In Vitro and Animal Studies. AAPS PharmSciTech 2019, 20, 134. [Google Scholar] [CrossRef]
- Abdallah, M.H.; Lila, A.S.A.; Anwer, M.K.; Khafagy, E.-S.; Mohammad, M.; Soliman, M.S. Formulation, Development and Evaluation of Ibuprofen Loaded Nano-transferosomal Gel for the Treatment of Psoriasis. J. Pharm. Res. 2019, 31, 1–8. [Google Scholar] [CrossRef]
- Zaki, N.M.; Awad, G.A.; Mortada, N.D.; Abd Elhady, S.S. Enhanced bioavailability of metoclopramide HCl by intranasal administration of a mucoadhesive in situ gel with modulated rheological and mucociliary transport properties. Eur. J. Pharm. Sci. 2007, 32, 296–307. [Google Scholar] [CrossRef]
- Abdallah, M.H.; Lila, A.S.A.; Unissa, R.; Elsewedy, H.S.; Elghamry, H.A.; Soliman, M.S. Brucine-Loaded Ethosomal Gel: Design, Optimization, and Anti-inflammatory Activity. AAPS PharmSciTech 2021, 22, 269. [Google Scholar] [CrossRef] [PubMed]
- Abdallah, M.H. Box-behnken design for development and optimization of acetazolamide microspheres. India 2014, 5, 1228–1239. [Google Scholar] [CrossRef]










| Formula | A: Oil Concentration (%) | B: Tween 80 Conc. in S-Mix (%) | Particle Size (nm) | Zeta Potential (mV) | DE (%) |
|---|---|---|---|---|---|
| F1 | 30 | 55 | 137.3 ± 7.2 | −6.69 ± 0.39 | 74.83 ± 1.34 |
| F2 | 50 | 88 | 279.9 ± 18.3 | −8.70 ± 0.73 | 67.64 ± 1.63 |
| F3 | 30 | 101.66 | 100.5 ± 8.9 | −9.24 ± 0.54 | 81.61 ± 1.28 |
| F4 | 30 | 55 | 108.3 ± 8.2 | −7.45 ± 1.02 | 75.75 ± 1.18 |
| F5 | 50 | 22 | 725.2 ± 18.0 | −6.11 ± 0.73 | 35.92 ± 0.98 |
| F6 | 10 | 22 | 300.9 ± 25.4 | −9.80 ± 0.57 | 68.23 ± 1.12 |
| F7 | 30 | 55 | 135.9 ± 11.0 | −6.99 ± 0.71 | 73.97 ± 1.32 |
| F8 | 30 | 8.33 | 599.7 ± 14.5 | −5.81 ± 0.89 | 48.02 ± 1.05 |
| F9 | 10 | 88 | 105.8 ± 8.3 | −11.41 ± 0.30 | 73.12 ± 0.79 |
| F10 | 58.28 | 55 | 461.1 ± 24.1 | −6.96 ± 0.23 | 55.34 ±1.47 |
| F11 | 30 | 55 | 114.1 ± 10.1 | −7.21 ± 0.72 | 71.59 ± 1.49 |
| F12 | 30 | 55 | 160.5 ± 7.5 | −7.60 ± 0.78 | 69.42 ± 0.65 |
| F13 | 1.71 | 55 | 66.0 ± 15.3 | −12.45 ± 0.26 | 72.75 ± 1.71 |
| Formula | Gel Base Type | Gel:NE Ratio | Gel Strength (s) | pH | Viscosity (cP) | Spreadability (cm) | DE (%) |
|---|---|---|---|---|---|---|---|
| G1 | Carbopol 940 (1%) | 2.5:1 | 28.13 ± 0.84 | 5.55 ± 0.03 | 12,666.7 ± 262.5 | 3.97 ± 0.09 | 63.09 ± 0.79 |
| G2 | Carbopol 940 (1.5%) | 1.5:1 | 26.30 ± 1.02 | 5.52 ± 0.08 | 10,133.3 ± 124.7 | 4.30 ± 0.08 | 60.68 ± 1.52 |
| G3 | Carbopol 940 (2%) | 1:1 | 26.25 ± 0.91 | 5.62 ± 0.06 | 10,300.0 ± 216.0 | 4.67 ± 0.12 | 65.81 ± 1.07 |
| G4 | Carbopol 934 (1%) | 3.5:1 | 25.26 ± 0.86 | 5.46 ± 0.08 | 9800.0 ± 163.3 | 5.25 ± 0.15 | 64.01 ± 0.83 |
| G5 | Carbopol 934 (1.5%) | 3:1 | 31.35 ± 0.74 | 5.65 ± 0.16 | 14,233.3 ± 47.1 | 3.50 ± 0.08 | 70.60 ± 0.52 |
| G6 | Carbopol 934 (2%) | 1.25:1 | 29.30 ± 0.30 | 5.62 ± 0.02 | 13,033.3 ± 124.7 | 3.33 ± 0.09 | 72.91 ± 0.98 |
| G7 | Na-CMC (5%) | 3.5:1 | 31.85 ± 0.29 | 6.22 ± 0.09 | 26,500.0 ± 216.0 | 1.13 ± 0.12 | 51.54 ± 1.61 |
| G8 | Sodium alginate (5%) | 1.25:1 | 31.24 ± 0.42 | 6.27 ± 0.13 | 14,266.7 ± 205.5 | 3.03 ± 0.05 | 59.19 ± 1.43 |
| G9 | HPMC (5%) | 5:1 | 27.35 ± 0.82 | 6.36 ± 0.11 | 12,133.3 ± 47.1 | 4.23 ± 0.12 | 55.69 ± 1.19 |
| Parameter | Optimized G6 Formulation | Control GM Gel |
|---|---|---|
| Jss (μg/cm2·h−1) | 29.20 ± 4.85 | 4.23 ± 1.63 |
| Kp × 10−3 (cm/h) | 18.14 ± 2.86 | 2.12 ± 0.99 |
| Er | 6.90 | - |
| Pharmacokinetic Parameter | Optimized GM-Loaded Nanoemulgel (G6) | Control GM-Loaded Gel |
|---|---|---|
| Cmax (ng/mL) | 53.75 ± 6.27 | 9.68 ± 2.51 |
| Tmax (h) | 4 | 4 |
| Kel (h−1) | 0.086 ± 0.02 | 0.12 ± 0.01 |
| t1/2 (h) | 8.03 ± 0.32 | 5.91 ± 0.14 |
| AUC0–24h (ng/mL·h) | 666.89 ± 36.27 | 61.00 ± 19.35 |
| AUC0–∞ (ng/mL·h) | 779.24 ± 25.19 | 112.63 ± 12.03 |
| MRT (h) | 12.36 ± 2.44 | 9.69 ± 2.03 |
| Independent Variables | Type | Actual Levels | |
|---|---|---|---|
| Low | High | ||
| A: Oil concentration (%) | Numeric | 10 | 50 |
| B: Tween 80 concentration in S-mix (%) | Numeric | 22 | 88 |
| Response variables | Goal | ||
| R1: Particle size (nm) | Minimize | ||
| R2: Zeta potential (mV) | Maximize | ||
| R3: Dissolution efficiency (%) | Maximize | ||
Disclaimer/Publisher’s Note: The statements, opinions and data contained in all publications are solely those of the individual author(s) and contributor(s) and not of MDPI and/or the editor(s). MDPI and/or the editor(s) disclaim responsibility for any injury to people or property resulting from any ideas, methods, instructions or products referred to in the content. |
© 2023 by the authors. Licensee MDPI, Basel, Switzerland. This article is an open access article distributed under the terms and conditions of the Creative Commons Attribution (CC BY) license (https://creativecommons.org/licenses/by/4.0/).
Share and Cite
Abdallah, M.H.; Abu Lila, A.S.; El-Nahas, H.M.; Ibrahim, T.M. Optimization of Potential Nanoemulgels for Boosting Transdermal Glimepiride Delivery and Upgrading Its Anti-Diabetic Activity. Gels 2023, 9, 494. https://doi.org/10.3390/gels9060494
Abdallah MH, Abu Lila AS, El-Nahas HM, Ibrahim TM. Optimization of Potential Nanoemulgels for Boosting Transdermal Glimepiride Delivery and Upgrading Its Anti-Diabetic Activity. Gels. 2023; 9(6):494. https://doi.org/10.3390/gels9060494
Chicago/Turabian StyleAbdallah, Marwa H., Amr S. Abu Lila, Hanan M. El-Nahas, and Tarek M. Ibrahim. 2023. "Optimization of Potential Nanoemulgels for Boosting Transdermal Glimepiride Delivery and Upgrading Its Anti-Diabetic Activity" Gels 9, no. 6: 494. https://doi.org/10.3390/gels9060494
APA StyleAbdallah, M. H., Abu Lila, A. S., El-Nahas, H. M., & Ibrahim, T. M. (2023). Optimization of Potential Nanoemulgels for Boosting Transdermal Glimepiride Delivery and Upgrading Its Anti-Diabetic Activity. Gels, 9(6), 494. https://doi.org/10.3390/gels9060494

