Hollow Particles Obtained by Prilling and Supercritical Drying as a Potential Conformable Dressing for Chronic Wounds
Abstract
1. Introduction
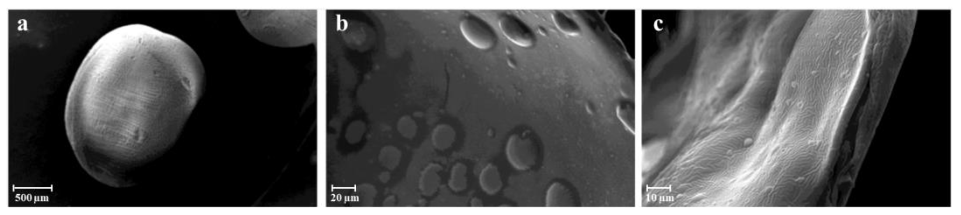
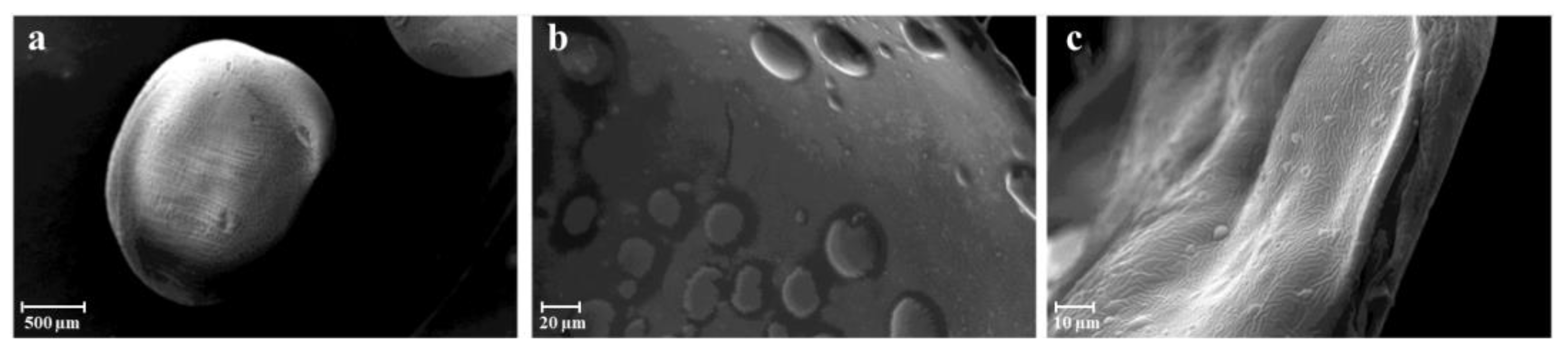
2. Results and Discussion
3. Conclusions
4. Materials and Methods
4.1. Materials
4.2. Methods
4.2.1. Production of Core-Shell Microparticles
4.2.2. Supercritical Drying of Core-Shell Particles
4.2.3. Characterization of the Aerogels
Fluorescent Microscopy
Scanning Electron Microscopy
Nitrogen Adsorption Porosimetry
FTIR-ATR Spectroscopy
Drug Content and Encapsulation Efficiency of Aerogels
Volume and Density Measurements
Fluid Uptake
Drug Release Studies
Supplementary Materials
Author Contributions
Funding
Institutional Review Board Statement
Informed Consent Statement
Data Availability Statement
Conflicts of Interest
References
- Bernardes, B.G.; Del Gaudio, P.; Alves, P.; Costa, R.; García-Gonzaléz, C.A.; Oliveira, A.L. Bioaerogels: Promising nanostructured materials in fluid management, healing and regeneration of wounds. Molecules 2021, 26, 3834. [Google Scholar] [CrossRef]
- Järbrink, K.; Ni, G.; Sönnergren, H.; Schmidtchen, A.; Pang, C.; Bajpai, R.; Car, J. The humanistic and economic burden of chronic wounds: A protocol for a systematic review. Syst. Rev. 2017, 6, 1–7. [Google Scholar] [CrossRef] [PubMed]
- Rezvani Ghomi, E.; Khalili, S.; Nouri Khorasani, S.; Esmaeely Neisiany, R.; Ramakrishna, S. Wound dressings: Current advances and future directions. J. Appl. Polym. Sci. 2019, 136, 47738. [Google Scholar] [CrossRef]
- Broussard, K.C.; Powers, J.G. Wound dressings: Selecting the most appropriate type. Am. J. Clin. Dermatol. 2013, 14, 449–459. [Google Scholar] [CrossRef]
- Amante, C.; Esposito, T.; Del Gaudio, P.; Di Sarno, V.; Porta, A.; Tosco, A.; Russo, P.; Nicolais, L.; Aquino, R.P. A novel three-polysaccharide blend in situ gelling powder for wound healing applications. Pharmaceutics 2021, 13, 1680. [Google Scholar] [CrossRef]
- Guo, S.A.; DiPietro, L.A. Factors affecting wound healing. J. Dent. Res. 2010, 89, 219–229. [Google Scholar] [CrossRef] [PubMed]
- Bowler, P.; Duerden, B.; Armstrong, D.G. Wound microbiology and associated approaches to wound management. Clin. Microbiol. Rev. 2001, 14, 244–269. [Google Scholar] [CrossRef]
- Banjare, J.; Bhalerao, S. Obesity associated noncommunicable disease burden. Int. J. Health Allied Sci. 2016, 5, 81. [Google Scholar]
- Han, G.; Ceilley, R. Chronic wound healing: A review of current management and treatments. Adv. Ther. 2017, 34, 599–610. [Google Scholar] [CrossRef]
- Boateng, J.S.; Matthews, K.H.; Stevens, H.N.; Eccleston, G.M. Wound healing dressings and drug delivery systems: A review. J. Pharm. Sci. 2008, 97, 2892–2923. [Google Scholar] [CrossRef]
- Yu, Y.; Shen, M.; Song, Q.; Xie, J. Biological activities and pharmaceutical applications of polysaccharide from natural resources: A review. Carbohydr. Polym. 2018, 183, 91–101. [Google Scholar] [CrossRef] [PubMed]
- De Cicco, F.; Porta, A.; Sansone, F.; Aquino, R.P.; Del Gaudio, P. Nanospray technology for an in situ gelling nanoparticulate powder as a wound dressing. Int. J. Pharm. 2014, 473, 30–37. [Google Scholar] [CrossRef]
- Van Tomme, S.R.; Storm, G.; Hennink, W.E. In situ gelling hydrogels for pharmaceutical and biomedical applications. Int. J. Pharm. 2008, 355, 1–18. [Google Scholar] [CrossRef]
- García-González, C.A.; Sosnik, A.; Kalmár, J.; De Marco, I.; Erkey, C.; Concheiro, A.; Alvarez-Lorenzo, C. Aerogels in drug delivery: From design to application. J. Control. Release 2021, 332, 40–63. [Google Scholar] [CrossRef] [PubMed]
- Adami, R.; Russo, P.; Amante, C.; De Soricellis, C.; Della Porta, G.; Reverchon, E.; Del Gaudio, P. Supercritical antisolvent technique for the production of breathable naringin powder. Pharmaceutics 2022, 14, 1623. [Google Scholar] [CrossRef]
- Stergar, J.; Maver, U. Review of aerogel-based materials in biomedical applications. J. Sol Gel Sci. Technol. 2016, 77, 738–752. [Google Scholar] [CrossRef]
- Mikkonen, K.S.; Parikka, K.; Ghafar, A.; Tenkanen, M. Prospects of polysaccharide aerogels as modern advanced food materials. Trends Food Sci. Technol. 2013, 34, 124–136. [Google Scholar] [CrossRef]
- Franco, P.; De Marco, I. Supercritical CO2 adsorption of non-steroidal anti-inflammatory drugs into biopolymer aerogels. J. CO2 Util. 2020, 36, 40–53. [Google Scholar] [CrossRef]
- Lovskaya, D.; Lebedev, A.; Menshutina, N. Aerogels as drug delivery systems: In vitro and in vivo evaluations. J. Supercrit. Fluids 2015, 106, 115–121. [Google Scholar] [CrossRef]
- Zhu, Y.; Zeng, Q.; Zhang, Q.; Li, K.; Shi, X.; Liang, F.; Han, D. Temperature/near-infrared light-responsive conductive hydrogels for controlled drug release and real-time monitoring. Nanoscale 2020, 12, 8679–8686. [Google Scholar] [CrossRef]
- Goimil, L.; Jaeger, P.; Ardao, I.; Gómez-Amoza, J.L.; Concheiro, A.; Alvarez-Lorenzo, C.; García-González, C.A. Preparation and stability of dexamethasone-loaded polymeric scaffolds for bone regeneration processed by compressed CO2 foaming. J. CO2 Util. 2018, 24, 89–98. [Google Scholar] [CrossRef]
- Batista, M.; Gonçalves, V.S.; Gaspar, F.; Nogueira, I.; Matias, A.A.; Gurikov, P. Novel alginate-chitosan aerogel fibres for potential wound healing applications. Int. J. Biol. Macromol. 2020, 156, 773–782. [Google Scholar] [CrossRef] [PubMed]
- Mehling, T.; Smirnova, I.; Guenther, U.; Neubert, R.H. Polysaccharide-based aerogels as drug carriers. J. Non Cryst. Solids 2009, 355, 2472–2479. [Google Scholar] [CrossRef]
- White, R.J.; Budarin, V.L.; Clark, J.H. Pectin-derived porous materials. Chem. Eur. J. 2010, 16, 1326–1335. [Google Scholar] [CrossRef] [PubMed]
- Chen, K.; Zhang, H. Alginate/pectin aerogel microspheres for controlled release of proanthocyanidins. Int. J. Biol. Macromol. 2019, 136, 936–943. [Google Scholar] [CrossRef]
- Ouyang, X.-K.; Zhao, L.; Jiang, F.; Ling, J.; Yang, L.-Y.; Wang, N. Cellulose nanocrystal/calcium alginate-based porous microspheres for rapid hemostasis and wound healing. Carbohydr. Polym. 2022, 293, 119688. [Google Scholar] [CrossRef]
- Quignard, F.; Valentin, R.; Di Renzo, F. Aerogel materials from marine polysaccharides. N. J. Chem. 2008, 32, 1300–1310. [Google Scholar] [CrossRef]
- Robitzer, M.; Tourrette, A.; Horga, R.; Valentin, R.; Boissière, M.; Devoisselle, J.-M.; Di Renzo, F.; Quignard, F. Nitrogen sorption as a tool for the characterisation of polysaccharide aerogels. Carbohydr. Polym. 2011, 85, 44–53. [Google Scholar] [CrossRef]
- Robitzer, M.; Di Renzo, F.; Quignard, F. Natural materials with high surface area. Physisorption methods for the characterization of the texture and surface of polysaccharide aerogels. Microporous Mesoporous Mater. 2011, 140, 9–16. [Google Scholar] [CrossRef]
- Tsioptsias, C.; Michailof, C.; Stauropoulos, G.; Panayiotou, C. Chitin and carbon aerogels from chitin alcogels. Carbohydr. Polym. 2009, 76, 535–540. [Google Scholar] [CrossRef]
- Chang, P.R.; Jian, R.; Yu, J.; Ma, X. Fabrication and characterisation of chitosan nanoparticles/plasticised-starch composites. Food Chem. 2010, 120, 736–740. [Google Scholar] [CrossRef]
- Ko, E.; Kim, H. Preparation of chitosan aerogel crosslinked in chemical and ionical ways by non-acid condition for wound dressing. Int. J. Biol. Macromol. 2020, 164, 2177–2185. [Google Scholar] [CrossRef]
- El Kadib, A.; Molvinger, K.; Cacciaguerra, T.; Bousmina, M.; Brunel, D. Chitosan templated synthesis of porous metal oxide microspheres with filamentary nanostructures. Microporous Mesoporous Mater. 2011, 142, 301–307. [Google Scholar] [CrossRef]
- Liebner, F.; Haimer, E.; Wendland, M.; Neouze, M.A.; Schlufter, K.; Miethe, P.; Heinze, T.; Potthast, A.; Rosenau, T. Aerogels from unaltered bacterial cellulose: Application of scCO2 drying for the preparation of shaped, ultra-lightweight cellulosic aerogels. Macromol. Biosci. 2010, 10, 349–352. [Google Scholar] [CrossRef] [PubMed]
- Innerlohinger, J.; Weber, H.K.; Kraft, G. Aerocellulose: Aerogels and aerogel-like materials made from cellulose. Macromol. Symp. 2006, 244, 126–135. [Google Scholar] [CrossRef]
- Rodríguez-Dorado, R.; Landín, M.; Altai, A.; Russo, P.; Aquino, R.P.; Del Gaudio, P. A novel method for the production of core-shell microparticles by inverse gelation optimized with artificial intelligent tools. Int. J. Pharm. 2018, 538, 97–104. [Google Scholar] [CrossRef]
- Lisboa, F.A.; Bradley, M.J.; Hueman, M.T.; Schobel, S.A.; Gaucher, B.J.; Styrmisdottir, E.L.; Potter, B.K.; Forsberg, J.A.; Elster, E.A. Nonsteroidal anti-inflammatory drugs may affect cytokine response and benefit healing of combat-related extremity wounds. Surgery 2017, 161, 1164–1173. [Google Scholar] [CrossRef]
- Posbeyikian, A.; Tubert, E.; Bacigalupe, A.; Escobar, M.M.; Santagapita, P.R.; Amodeo, G.; Perullini, M. Evaluation of calcium alginate bead formation kinetics: An integrated analysis through light microscopy, rheology and microstructural SAXS. Carbohydr. Polym. 2021, 269, 118293. [Google Scholar] [CrossRef]
- Champeau, M.; Thomassin, J.-M.; Tassaing, T.; Jérôme, C. Drug loading of polymer implants by supercritical CO2 assisted impregnation: A review. J. Control. Release 2015, 209, 248–259. [Google Scholar] [CrossRef]
- Nurzynska, A.; Klimek, K.; Palka, K.; Szajnecki, Ł.; Ginalska, G. Curdlan-Based Hydrogels for Potential Application as Dressings for Promotion of Skin Wound Healing—Preliminary In Vitro Studies. Materials 2021, 14, 2344. [Google Scholar] [CrossRef]
- Deuber, F.; Mousavi, S.; Federer, L.; Adlhart, C. Amphiphilic nanofiber-based aerogels for selective liquid absorption from electrospun biopolymers. Adv. Mater. Interfaces 2017, 4, 1700065. [Google Scholar] [CrossRef]
- Malektaj, H.; Drozdov, A.D.; Declaville Christiansen, J. Swelling of Homogeneous Alginate Gels with Multi-Stimuli Sensitivity. Int. J. Mol. Sci. 2023, 24, 5064. [Google Scholar] [CrossRef] [PubMed]
- Rodriguez Dorado, R. Development of Technological Approaches Based on Supercritical Fluids for the Production of Polymeric Micro-nano Particulate Systems for Wound Healing. Ph.D. Thesis, University of Salerno, Fisciano, Italy, 2019. [Google Scholar]
- Azeez, A.M.; Fakhre, N.A. Determination of ketoprofen in tablet dosage forms by derivative IR spectroscopy. Egypt. J. Chem. 2022, 65, 215–219. [Google Scholar] [CrossRef]
- Papageorgiou, S.K.; Kouvelos, E.P.; Favvas, E.P.; Sapalidis, A.A.; Romanos, G.E.; Katsaros, F.K. Metal–carboxylate interactions in metal–alginate complexes studied with FTIR spectroscopy. Carbohydr. Res. 2010, 345, 469–473. [Google Scholar] [CrossRef] [PubMed]
- Amante, C.; Andretto, V.; Rosso, A.; Augusti, G.; Marzocco, S.; Lollo, G.; Del Gaudio, P. Alginate-pectin microparticles loaded with nanoemulsions as nanocomposites for wound healing. Drug Deliv. Transl. Res. 2023, 13, 1343–1357. [Google Scholar] [CrossRef]






| Batch (#) | ALG % (w/v) | Ketoprofen Lys % (w/w) | FRALG (Bar) | FRemulsion (mL/min) | Inner/Outer Nozzle (μm) | Falling Distance (cm) | Gelling Bath (CaCl2 0.3 M) | Sphericity | Coaxiality |
|---|---|---|---|---|---|---|---|---|---|
| 11 | 1.5 | - | 100 | 5.00 | 450/600 | 10 | H2O | 0 | 0 |
| 12 | - | 84 | 0 | 0 | |||||
| 13 | - | 54 | 1 | 0 | |||||
| 19 | 1.75 | - | 140 | 4.87 | 300/700 | 4.5 | H2O | 0 | 0 |
| 20 | - | 96 | 5.00 | 0 | 0 | ||||
| 26 | 1.75 | - | 96 | 6.00 | 450/900 | 4.5 | EtOH | 1 | 0 |
| 34 | - | 3.0 | 1 | 1 | |||||
| 48 | 2.25 | - | 150 | 1 | 1 | ||||
| 45 | 1.75 | 5.0 | 96 | 6.00 | 450/900 | 3.0 | EtOH | 1 | 1 |
| 39 | 10.0 | 1 | 1 | ||||||
| 42 | 20.0 | 1 | 1 | ||||||
| 49 | 2.25 | 5.0 | 150 | 1 | 1 | ||||
| 50 | 10.0 | 1 | 1 | ||||||
| 51 | 20.0 | 1 | 1 |
| Sample | Alg % (w/v) | Ketoprofen Lys. % (w/w) | Surface Area (Sa) (m2/g) | Pore Volume (VpBJH, d) (cm3/g) | Pore Diameter (DpBJH, d) (nm) | Density (g/cm3) | Porosity (%) | E.E. (%) |
|---|---|---|---|---|---|---|---|---|
| F_1.75-0_1 | 1.75 | - | 19.3 ± 2.1 | 0.27 ± 0.05 | 11.16 ± 1.22 | 0.357 | 82.4 | - |
| F_1.75-5_1 | 5 | 27.5 ± 3.2 | 0.21 ± 0.03 | 10.10 ± 1.16 | 0.313 | 85.8 | 9.2 | |
| F_1.75-10_1 | 10 | 8.1 ± 1.2 | 0.18 ± 0.03 | 10.36 ± 1.43 | 0.391 | 80.4 | 10.1 | |
| F_1.75-20_1 | 20 | 26.8 ± 6.6 | 0.11 ± 0.04 | 11.75 ± 0.99 | 0.298 | 84.2 | 14.4 | |
| F_2.25-0_1 | 2.25 | - | 21.2 ± 4.2 | 0.20 ± 0.05 | 10.51 ± 1.28 | 0.327 | 83.6 | - |
| F_2.25-20_1 | 20 | 20.1 ± 3.2 | 0.08 ± 0.03 | 12.35 ± 1.58 | 0.384 | 83.2 | 32.3 | |
| F_1.75-0_2 | 1.75 | - | 344.9 ± 17.2 | 1.40 ± 0.07 | 16.83 ± 0.84 | 0.073 | 95.3 | - |
| F_1.75-5_2 | 5 | 369.6 ± 18.5 | 1.45 ± 0.07 | 14.24 ± 0.71 | 0.146 | 91.1 | 56.3 | |
| F_1.75-10_2 | 10 | 242.7 ± 12.1 | 1.96 ± 0.10 | 25.37 ± 1.27 | 0.107 | 89.9 | 61.2 | |
| F_1.75-20_2 | 20 | 368.4 ± 18.4 | 2.35 ± 0.12 | 25.62 ± 1.28 | 0.068 | 93.1 | 68.5 | |
| F_2.25-0_2 | 2.25 | - | 238.2 ± 11.9 | 1.46 ± 0.07 | 20.51 ± 1.03 | 0.072 | 94.1 | - |
| F_2.25-20_2 | 20 | 417.0 ± 20.8 | 2.97 ± 0.15 | 27.14 ± 1.36 | 0.069 | 93.5 | 74.2 |
Disclaimer/Publisher’s Note: The statements, opinions and data contained in all publications are solely those of the individual author(s) and contributor(s) and not of MDPI and/or the editor(s). MDPI and/or the editor(s) disclaim responsibility for any injury to people or property resulting from any ideas, methods, instructions or products referred to in the content. |
© 2023 by the authors. Licensee MDPI, Basel, Switzerland. This article is an open access article distributed under the terms and conditions of the Creative Commons Attribution (CC BY) license (https://creativecommons.org/licenses/by/4.0/).
Share and Cite
Sellitto, M.R.; Amante, C.; Aquino, R.P.; Russo, P.; Rodríguez-Dorado, R.; Neagu, M.; García-González, C.A.; Adami, R.; Del Gaudio, P. Hollow Particles Obtained by Prilling and Supercritical Drying as a Potential Conformable Dressing for Chronic Wounds. Gels 2023, 9, 492. https://doi.org/10.3390/gels9060492
Sellitto MR, Amante C, Aquino RP, Russo P, Rodríguez-Dorado R, Neagu M, García-González CA, Adami R, Del Gaudio P. Hollow Particles Obtained by Prilling and Supercritical Drying as a Potential Conformable Dressing for Chronic Wounds. Gels. 2023; 9(6):492. https://doi.org/10.3390/gels9060492
Chicago/Turabian StyleSellitto, Maria Rosaria, Chiara Amante, Rita Patrizia Aquino, Paola Russo, Rosalía Rodríguez-Dorado, Monica Neagu, Carlos A. García-González, Renata Adami, and Pasquale Del Gaudio. 2023. "Hollow Particles Obtained by Prilling and Supercritical Drying as a Potential Conformable Dressing for Chronic Wounds" Gels 9, no. 6: 492. https://doi.org/10.3390/gels9060492
APA StyleSellitto, M. R., Amante, C., Aquino, R. P., Russo, P., Rodríguez-Dorado, R., Neagu, M., García-González, C. A., Adami, R., & Del Gaudio, P. (2023). Hollow Particles Obtained by Prilling and Supercritical Drying as a Potential Conformable Dressing for Chronic Wounds. Gels, 9(6), 492. https://doi.org/10.3390/gels9060492

