New Formulations Loading Caspofungin for Topical Therapy of Vulvovaginal Candidiasis
Abstract
1. Introduction
2. Results and Discussion
2.1. Physical Characterization of Caspofungin Hydrogels
2.1.1. pH Evaluation
2.1.2. Morphological Studies
2.1.3. Surface Electrical Properties
2.1.4. Rheological Behavior
2.1.5. Spreadability Test
2.1.6. Extrudability Study
2.1.7. Evaluation of Mucoadhesion Properties
2.2. In Vitro Release and Kinetic Evaluation
2.3. Ex Vivo Permeation of Caspofungin through Vaginal Mucosa
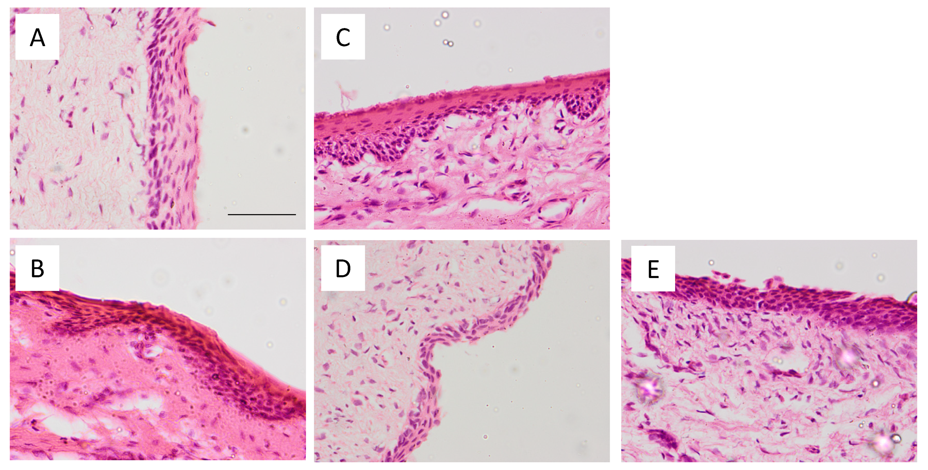
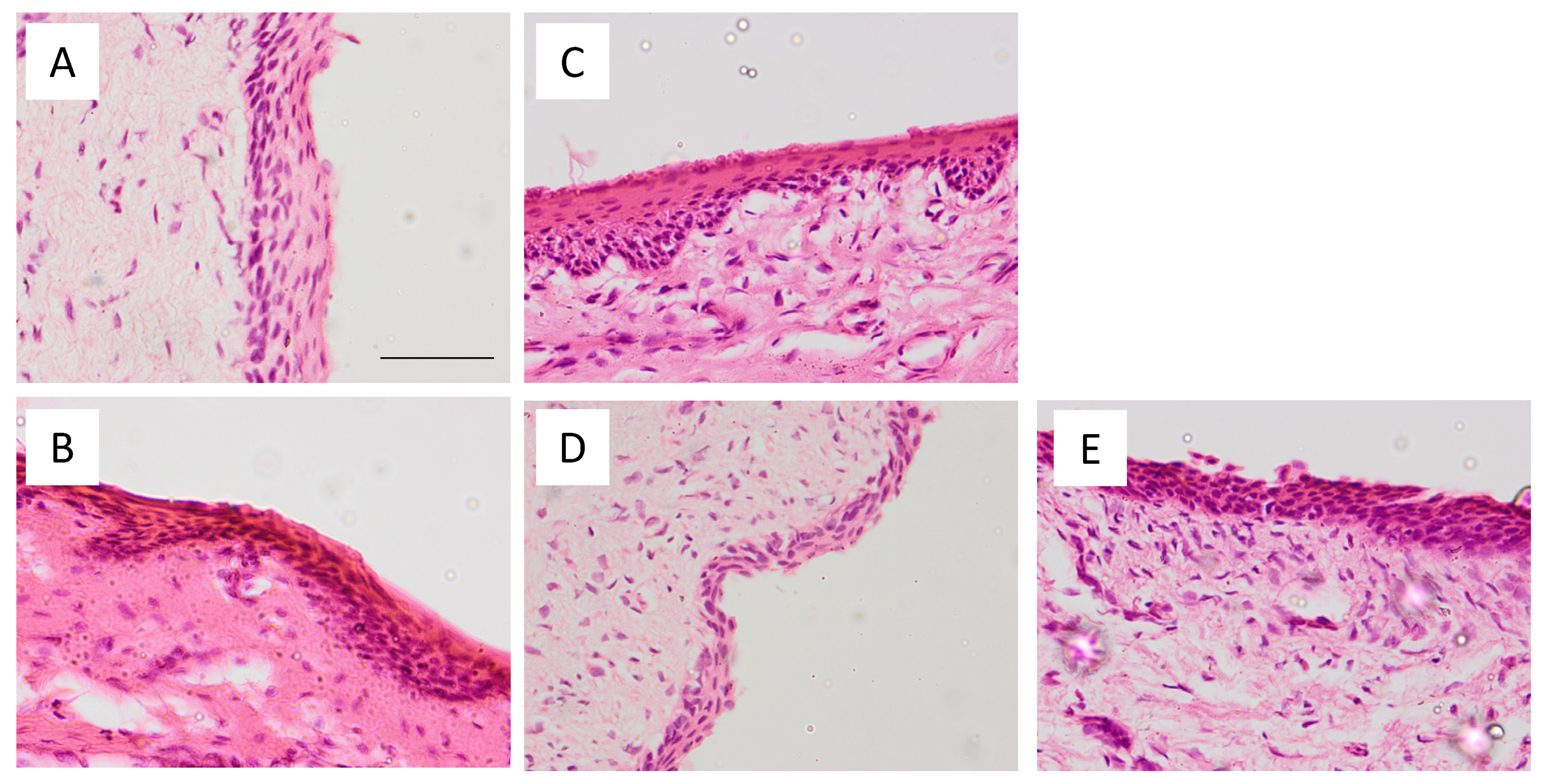
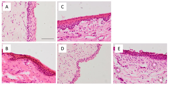
2.4. Histological Evaluation
2.5. Antifungal Efficacy
3. Conclusions
4. Materials and Methods
4.1. Materials
4.1.1. Chemical and Reagents
4.1.2. Biological Tissue for Ex Vivo Assays
4.2. Preparation of CSP Hydrogels
4.3. Physical Characterization of CSP Hydrogels
4.3.1. pH Measurements
4.3.2. Morphological Studies
4.3.3. Surface Electrical Properties
4.3.4. Rheological Behavior
4.3.5. Spreadability Test
4.3.6. Extrudability Study
4.3.7. Evaluation of Mucoadhesion Properties
4.4. In Vitro Release and Kinetic Evaluation
4.5. Ex Vivo Permeation of CSP through Vaginal Mucosa
4.5.1. Calculation of the Permeation Parameters
4.5.2. Amount of CSP Retained in the Vaginal Mucosa
4.6. Analysis of CSP in Solution
4.7. Histological Evaluation
4.8. Antifungal Efficacy
4.9. Statistical Analysis
Author Contributions
Funding
Institutional Review Board Statement
Informed Consent Statement
Data Availability Statement
Acknowledgments
Conflicts of Interest
References
- Sobel, J.D. Vulvovaginal Candidosis. Lancet 2007, 369, 1961–1971. [Google Scholar] [CrossRef]
- Pandey, M.; Choudhury, H.; Abdul-Aziz, A.; Bhattamisra, S.K.; Gorain, B.; Carine, T.; Toong, T.W.; Yi, N.J.; Yi, L.W. Promising Drug Delivery Approaches to Treat Microbial Infections in the Vagina: A Recent Update. Polymers 2020, 13, 26. [Google Scholar] [CrossRef]
- Albertini, B.; Passerini, N.; Di Sabatino, M.; Vitali, B.; Brigidi, P.; Rodriguez, L. Polymer-Lipid Based Mucoadhesive Microspheres Prepared by Spray-Congealing for the Vaginal Delivery of Econazole Nitrate. Eur. J. Pharm. Sci. 2009, 36, 591–601. [Google Scholar] [CrossRef]
- Balkus, J.E.; Srinivasan, S.; Anzala, O.; Kimani, J.; Andac, C.; Schwebke, J.; Fredricks, D.N.; McClelland, R.S. Impact of Periodic Presumptive Treatment for Bacterial Vaginosis on the Vaginal Microbiome among Women Participating in the Preventing Vaginal Infections Trial. J. Infect. Dis. 2017, 215, 723–731. [Google Scholar] [CrossRef]
- Felix, T.C.; de Brito Röder, D.V.D.; dos Santos Pedroso, R. Alternative and Complementary Therapies for Vulvovaginal Candidiasis. Folia Microbiol. 2019, 64, 133–141. [Google Scholar] [CrossRef]
- Lopez, J.E.M. Candidiasis (Vulvovaginal). BMJ Clin. Evid. 2015, 2015, 0815. [Google Scholar]
- Cain, D.W.; Cidlowski, J.A. After 62 Years of Regulating Immunity, Dexamethasone Meets COVID-19. Nat. Rev. Immunol. 2020, 20, 587–588. [Google Scholar] [CrossRef]
- Arastehfar, A.; Carvalho, A.; Nguyen, M.H.; Hedayati, M.T.; Netea, M.G.; Perlin, D.S.; Hoenigl, M. COVID-19-Associated Candidiasis (CAC): An Underestimated Complication in the Absence of Immunological Predispositions? J. Fungi 2020, 6, 211. [Google Scholar] [CrossRef] [PubMed]
- Song, G.; Liang, G.; Liu, W. Fungal Co-Infections Associated with Global COVID-19 Pandemic: A Clinical and Diagnostic Perspective from China. Mycopathologia 2020, 185, 599–606. [Google Scholar] [CrossRef]
- Cook, M.T.; Brown, M.B. Polymeric Gels for Intravaginal Drug Delivery. J. Control. Release 2018, 270, 145–157. [Google Scholar] [CrossRef]
- Pfaller, M.A.; Diekema, D.J. Rare and Emerging Opportunistic Fungal Pathogens: Concern for Resistance beyond Candida Albicans and Aspergillus Fumigatus. J. Clin. Microbiol. 2004, 42, 4419–4431. [Google Scholar] [CrossRef] [PubMed]
- Seyedmousavi, S.; Rafati, H.; Ilkit, M.; Tolooe, A.; Hedayati, M.T.; Verweij, P. Systemic Antifungal Agents: Current Status and Projected Future Developments. Methods Mol. Biol. 2017, 1508, 107–139. [Google Scholar]
- Chen, S.C.A.; Slavin, M.A.; Sorrell, T.C. Echinocandin Antifungal Drugs in Fungal Infections: A Comparison. Drugs 2011, 71, 11–41. [Google Scholar] [CrossRef]
- Denning, D.W. Echinocandin Antifungal Drugs. Lancet 2003, 362, 1142–1151. [Google Scholar] [CrossRef]
- Boucher, H.W.; Groll, A.H.; Chiou, C.C.; Walsh, T.J. Newer Systemic Antifungal Agents: Pharmacokinetics, Safety and Efficacy. Drugs 2004, 64, 1997–2020. [Google Scholar] [CrossRef] [PubMed]
- Letscher-Bru, V.; Herbrecht, R. Caspofungin: The First Representative of a New Antifungal Class. J. Antimicrob. Chemother. 2003, 51, 513–521. [Google Scholar] [CrossRef]
- Deresinski, S.C.; Stevens, D.A. Caspofungin. Clin. Infect. Dis. 2003, 36, 1445–1457. [Google Scholar]
- McCormack, P.L.; Perry, C.M. Caspofungin: A Review of Its Use in the Treatment of Fungal Infections. Drugs 2005, 65, 2049–2068. [Google Scholar] [CrossRef]
- Vanić, Ž.; Škalko-Basnet, N. Nanopharmaceuticals for Improved Topical Vaginal Therapy: Can They Deliver? Eur. J. Pharm. Sci. 2013, 50, 29–41. [Google Scholar] [CrossRef] [PubMed]
- Ziemczonek, P.; Gosecka, M.; Gosecki, M.; Marcinkowska, M.; Janaszewska, A.; Klajnert-Maculewicz, B. Star-Shaped Poly(Furfuryl Glycidyl Ether)-Block-Poly(Glyceryl Glycerol Ether) as an Efficient Agent for the Enhancement of Nifuratel Solubility and for the Formation of Injectable and Self-Healable Hydrogel Platforms for the Gynaecological Therapies. Int. J. Mol. Sci. 2021, 22, 8386. [Google Scholar] [CrossRef]
- Grisin, T.; Bories, C.; Bombardi, M.; Loiseau, P.M.; Rouffiac, V.; Solgadi, A.; Mallet, J.M.; Ponchel, G.; Bouchemal, K. Supramolecular Chitosan Micro-Platelets Synergistically Enhance Anti-Candida Albicans Activity of Amphotericin B Using an Immunocompetent Murine Model. Pharm. Res. 2017, 34, 1067–1082. [Google Scholar] [CrossRef]
- Ravani, L.; Esposito, E.; Bories, C.; Moal, V.L.L.; Loiseau, P.M.; Djabourov, M.; Cortesi, R.; Bouchemal, K. Clotrimazole-Loaded Nanostructured Lipid Carrier Hydrogels: Thermal Analysis and in Vitro Studies. Int. J. Pharm. 2013, 454, 695–702. [Google Scholar] [CrossRef]
- Ci, T.; Yuan, L.; Bao, X.; Hou, Y.; Wu, H.; Sun, H.; Cao, D.; Ke, X. Development and Anti-Candida Evaluation of the Vaginal Delivery System of Amphotericin B Nanosuspension-Loaded Thermogel. J. Drug Target. 2018, 26, 829–839. [Google Scholar] [CrossRef]
- de Lima, J.A.; Paines, T.C.; Motta, M.H.; Weber, W.B.; dos Santos, S.S.; Cruz, L.; da Silva, C.B. Novel Pemulen/Pullulan Blended Hydrogel Containing Clotrimazole-Loaded Cationic Nanocapsules: Evaluation of Mucoadhesion and Vaginal Permeation. Mater. Sci. Eng. C 2017, 79, 886–893. [Google Scholar] [CrossRef]
- Kenechukwu, F.C.; Attama, A.A.; Ibezim, E.C.; Nnamani, P.O.; Umeyor, C.E.; Uronnachi, E.M.; Gugu, T.H.; Momoh, M.A.; Ofokansi, K.C.; Akpa, P.A. Surface-Modified Mucoadhesive Microgels as a Controlled Release System for Miconazole Nitrate to Improve Localized Treatment of Vulvovaginal Candidiasis. Eur. J. Pharm. Sci. 2018, 111, 358–375. [Google Scholar] [CrossRef]
- Gafiţanu, C.A.; Filip, D.; Cernătescu, C.; Ibănescu, C.; Danu, M.; Pâslaru, E.; Rusu, D.; Tuchiluş, C.G.; Macocinschi, D. Formulation and Evaluation of Anise-Based Bioadhesive Vaginal Gels. Biomed. Pharm. 2016, 83, 485–495. [Google Scholar] [CrossRef]
- Zimmermann, E.S.; Ferreira, L.M.; Denardi, L.B.; Sari, M.H.M.; Cervi, V.F.; Nogueira, C.W.; Alves, S.H.; Cruz, L. Mucoadhesive Gellan Gum Hydrogel Containing Diphenyl Diselenide-Loaded Nanocapsules Presents Improved Anti-Candida Action in a Mouse Model of Vulvovaginal Candidiasis. Eur. J. Pharm. Sci. 2021, 167, 106011. [Google Scholar] [CrossRef]
- Su, J.; Ma, J.; Mo, F.; Yang, X.; Zhang, P.; Zhang, J. Thermosensitive Hydrogels as a Controlled Release System for Alkannin to Improve Localized Treatment of Candida Vaginitis after External Beam Radiotherapy in Vitro and in Vivo. Pathog. Dis. 2019, 77, ftz041. [Google Scholar] [CrossRef]
- Arpa, M.D.; Yoltaş, A.; Onay Tarlan, E.; Şenyüz, C.Ş.; Sipahi, H.; Aydın, A.; Üstündağ Okur, N. New Therapeutic System Based on Hydrogels for Vaginal Candidiasis Management: Formulation-Characterization and in Vitro Evaluation Based on Vaginal Irritation and Direct Contact Test. Pharm. Dev. Technol. 2020, 25, 1238–1248. [Google Scholar] [CrossRef]
- Neoh, C.F.; Leung, L.; Misra, A.; Vajpayee, R.B.; Davies, G.E.; Fullinfaw, R.O.; Stewart, K.; Kong, D.C.M. Penetration of Topically Administered 0.5-Percent Caspofungin Eye Drops into Human Aqueous Humor. Antimicrob. Agents Chemother. 2011, 55, 761–1763. [Google Scholar] [CrossRef][Green Version]
- Chatterjee, S.; Hui, P.C. leung. Review of Stimuli-Responsive Polymers in Drug Delivery and Textile Application. Molecules 2019, 24, 2547. [Google Scholar] [CrossRef]
- Peak, C.W.; Wilker, J.J.; Schmidt, G. A Review on Tough and Sticky Hydrogels. Colloid Polym. Sci. 2013, 291, 2031–2047. [Google Scholar] [CrossRef]
- Islam, M.; Park, T.-E.; Reesor, E.; Cherukula, K.; Hasan, A.; Firdous, J.; Singh, B.; Kang, S.-K.; Choi, Y.-J.; Park, I.-K.; et al. Mucoadhesive Chitosan Derivatives as Novel Drug Carriers. Curr. Pharm. Des. 2015, 21, 4285–4309. [Google Scholar] [CrossRef]
- Jiménez-Gómez, C.P.; Cecilia, J.A. Chitosan: A Natural Biopolymer with a Wide and Varied Range of Applications. Molecules 2020, 25, 3981. [Google Scholar] [CrossRef]
- Sahariah, P.; Másson, M. Antimicrobial Chitosan and Chitosan Derivatives: A Review of the Structure-Activity Relationship. Biomacromolecules 2017, 18, 3846–3868. [Google Scholar] [CrossRef]
- Liu, L.; Gao, Q.; Lu, X.; Zhou, H. In Situ Forming Hydrogels Based on Chitosan for Drug Delivery and Tissue Regeneration. Asian J. Pharm. Sci. 2016, 11, 673–683. [Google Scholar] [CrossRef]
- Rizwan, M.; Yahya, R.; Hassan, A.; Yar, M.; Azzahari, A.D.; Selvanathan, V.; Sonsudin, F.; Abouloula, C.N. PH Sensitive Hydrogels in Drug Delivery: Brief History, Properties, Swelling, and Release Mechanism, Material Selection and Applications. Polymers 2017, 9, 137. [Google Scholar] [CrossRef]
- Antunes, F.E.; Gentile, L.; Rossi, C.O.; Tavano, L.; Ranieri, G.A. Gels of Pluronic F127 and Nonionic Surfactants from Rheological Characterization to Controlled Drug Permeation. Colloids Surf. B Biointerfaces 2011, 87, 42–48. [Google Scholar] [CrossRef]
- Frank, L.A.; Sandri, G.; D’Autilia, F.; Contri, R.V.; Bonferoni, M.C.; Caramella, C.; Frank, A.G.; Pohlmann, A.R.; Guterres, S.S. Chitosan Gel Containing Polymeric Nanocapsules: A New Formulation for Vaginal Drug Delivery. Int. J. Nanomed. 2014, 9, 3151–3161. [Google Scholar]
- Jalalvandi, E.; Shavandi, A. In Situ-Forming and PH-Responsive Hydrogel Based on Chitosan for Vaginal Delivery of Therapeutic Agents. J. Mater. Sci. Mater. Med. 2018, 29, 158. [Google Scholar] [CrossRef]
- Yang, T.T.; Cheng, Y.Z.; Qin, M.; Wang, Y.H.; Yu, H.L.; Wang, A.L.; Zhang, W.F. Thermosensitive Chitosan Hydrogels Containing Polymeric Microspheres for Vaginal Drug Delivery. Biomed. Res. Int. 2017, 2017, 3564060. [Google Scholar] [CrossRef]
- Patil, M.V.; Jadhav, R.L.; Shaikh, S.N.; Belhekar, S.N. Formulation and Evaluation Thermoreversible Gel of Antifungal Agent for Treatment of Vaginal Infection. J. Pharm. Res. Int. 2020, 32, 58–66. [Google Scholar] [CrossRef]
- Wang, X.; Wang, J.; Wu, W.; Li, H. Vaginal Delivery of Carboplatin-Loaded Thermosensitive Hydrogel to Prevent Local Cervical Cancer Recurrence in Mice. Drug Deliv. 2016, 23, 3544–3551. [Google Scholar] [CrossRef]
- Vasile, C.; Pamfil, D.; Stoleru, E.; Baican, M. New Developments in Medical Applications of Hybrid Hydrogels Containing Natural Polymers. Molecules 2020, 25, 1539. [Google Scholar] [CrossRef]
- Chen, Y.; Lee, J.H.; Meng, M.; Cui, N.; Dai, C.Y.; Jia, Q.; Lee, E.S.; Jiang, H.B. An Overview on Thermosensitive Oral Gel Based on Poloxamer 407. Materials 2021, 14, 4522. [Google Scholar] [CrossRef] [PubMed]
- Malli, S.; Bories, C.; Pradines, B.; Loiseau, P.M.; Ponchel, G.; Bouchemal, K. In Situ Forming Pluronic® F127/Chitosan Hydrogel Limits Metronidazole Transmucosal Absorption. Eur. J. Pharm. Biopharm. 2017, 112, 143–147. [Google Scholar] [CrossRef]
- Park, K.M.; Woo Bae, J.; Joung, Y.K.; Shin, J.W.; Park, K.D. Nanoaggregate of Thermosensitive Chitosan-Pluronic for Sustained Release of Hydrophobic Drug. Colloids Surf. B Biointerfaces 2008, 63, 1–6. [Google Scholar] [CrossRef]
- Yoo, H.S. Photo-Cross-Linkable and Thermo-Responsive Hydrogels Containing Chitosan and Pluronic for Sustained Release of Human Growth Hormone (HGH). J. Biomater. Sci. Polym. Ed. 2007, 18, 1429–1441. [Google Scholar] [CrossRef] [PubMed]
- Argenta, D.F.; Bernardo, B.D.C.; Chamorro, A.F.; Matos, P.R.; Caon, T. Thermosensitive Hydrogels for Vaginal Delivery of Secnidazole as an Approach to Overcome the Systemic Side-Effects of Oral Preparations. Eur. J. Pharm. Sci. 2021, 159, 105722. [Google Scholar] [CrossRef] [PubMed]
- Falavigna, M.; Pattacini, M.; Wibel, R.; Sonvico, F.; Škalko-Basnet, N.; Flaten, G.E. The Vaginal-PVPA: A Vaginal Mucosa-Mimicking in Vitro Permeation Tool for Evaluation of Mucoadhesive Formulations. Pharmaceutics 2020, 12, 568. [Google Scholar] [CrossRef] [PubMed]
- Chatterjee, S.; Hui, P.C.-L.; Kan, C.-W.; Wang, W. Dual-Responsive (PH/Temperature) Pluronic F-127 Hydrogel Drug Delivery System for Textile-Based Transdermal Therapy. Sci. Rep. 2019, 9, 11658. [Google Scholar] [CrossRef] [PubMed]
- Wang, W.Y.; Hui, P.C.L.; Wat, E.; Ng, F.S.F.; Kan, C.W.; Lau, C.B.S.; Leung, P.C. Enhanced Transdermal Permeability via Constructing the Porous Structure of Poloxamer-Based Hydrogel. Polymers 2016, 8, 406. [Google Scholar] [CrossRef] [PubMed]
- Shaarani, S.; Hamid, S.S.; Kaus, N.H.M. The Influence of Pluronic F68 and F127 Nanocarrier on Physicochemical Properties, in Vitro Release, and Antiproliferative Activity of Thymoquinone Drug. Pharmacogn. Res. 2017, 9, 12–20. [Google Scholar]
- Berenguer, D.; Alcover, M.M.; Sessa, M.; Halbaut, L.; Guillén, C.; Boix-montañés, A.; Fisa, R.; Calpena-campmany, A.C.; Riera, C.; Sosa, L. Topical Amphotericin B Semisolid Dosage Form for Cutaneous Leishmaniasis: Physicochemical Characterization, Ex Vivo Skin Permeation and Biological Activity. Pharmaceutics 2020, 12, 149. [Google Scholar] [CrossRef] [PubMed]
- Chejara, D.R.; Kondaveeti, S.; Prasad, K.; Siddhanta, A.K. Studies on the Structure–Property Relationship of Sodium Alginate Based Thixotropic Hydrogels. RSC Adv. 2013, 3, 15744–15751. [Google Scholar] [CrossRef]
- Liu, Y.; Yang, F.; Feng, L.; Yang, L.; Chen, L.; Wei, G.; Lu, W. In Vivo Retention of Poloxamer-Based in Situ Hydrogels for Vaginal Application in Mouse and Rat Models. Acta Pharm. Sin. B 2017, 7, 502–509. [Google Scholar] [CrossRef]
- Sanz, R.; Clares, B.; Mallandrich, M.; Suñer-Carbó, J.; Montes, M.J.; Calpena, A.C. Development of a Mucoadhesive Delivery System for Control Release of Doxepin with Application in Vaginal Pain Relief Associated with Gynecological Surgery. Int. J. Pharm. 2018, 535, 393–401. [Google Scholar] [CrossRef] [PubMed]
- Acosta, N.; Sánchez, E.; Calderón, L.; Cordoba-Diaz, M.; Cordoba-Diaz, D.; Dom, S.; Heras, A. Physical Stability Studies of Semi-Solid Formulations from Natural Compounds Loaded with Chitosan Microspheres. Mar. Drugs 2015, 13, 5901–5919. [Google Scholar] [CrossRef]
- Giuliano, E.; Paolino, D.; Fresta, M.; Cosco, D. Mucosal Applications of Poloxamer 407-Based Hydrogels: An Overview. Pharmaceutics 2018, 10, 159. [Google Scholar] [CrossRef] [PubMed]
- Bansal, M.; Mittal, N.; Yadav, S.K.; Khan, G.; Gupta, P.; Mishra, B.; Nath, G. Periodontal Thermoresponsive, Mucoadhesive Dual Antimicrobial Loaded in-Situ Gel for the Treatment of Periodontal Disease: Preparation, in-Vitro Characterization and Antimicrobial Study. J. Oral Biol. Craniofacial Res. 2018, 8, 126–133. [Google Scholar] [CrossRef]
- Desai, P.R.; Jain, N.J.; Sharma, R.K.; Bahadur, P. Effect of Additives on the Micellization of PEO/PPO/PEO Block Copolymer F127 in Aqueous Solution. Colloids Surfaces A Physicochem. Eng. Asp. 2001, 178, 57–69. [Google Scholar] [CrossRef]
- Brugués, A.P.; Naveros, B.C.; Campmany, A.C.C.; Pastor, P.H.; Saladrigas, R.F.; Lizandra, C.R. Developing Cutaneous Applications of Paromomycin Entrapped in Stimuli-Sensitive Block Copolymer Nanogel Dispersions. Nanomedicine 2015, 10, 227–240. [Google Scholar] [CrossRef]
- Gosecka, M.; Gosecki, M. Antimicrobial Polymer-Based Hydrogels for the Intravaginal Therapies-Engineering Considerations. Pharmaceutics 2021, 13, 1393. [Google Scholar] [CrossRef] [PubMed]
- Takeuchi, H.; Thongborisute, J.; Matsui, Y.; Sugihara, H.; Yamamoto, H.; Kawashima, Y. Novel Mucoadhesion Tests for Polymers and Polymer-Coated Particles to Design Optimal Mucoadhesive Drug Delivery Systems. Adv. Drug Deliv. Rev. 2005, 57, 1583–1594. [Google Scholar] [CrossRef]
- Saikia, C.; Gogoi, P. Chitosan: A Promising Biopolymer in Drug Delivery Applications. J. Mol. Genet. Med. 2015, s4, 899–910. [Google Scholar] [CrossRef]
- Domínguez-Delgado, C.L.; Fuentes-Prado, E.; Escobar-Chávez, J.J.; Vidal-Romero, G.; Rodríguez-Cruz, I.M.; Díaz-Torres, R. Chitosan and Pluronic® F-127: Pharmaceutical Applications. Encycl. Biomed. Polym. Polym. Biomater. 2016, 2016, 1513–1535. [Google Scholar]
- Zhou, Y.; Cheng, L.; Lei, Y.L.; Ren, B.; Zhou, X. The Interactions Between Candida Albicans and Mucosal Immunity. Front. Microbiol. 2021, 12, 652725. [Google Scholar] [CrossRef]
- Muilwijk, E.W.; Schouten, J.A.; van Leeuwen, H.J.; van Zanten, A.R.H.; de Lange, D.W.; Colbers, A.; Verweij, P.E.; Burger, D.M.; Pickkers, P.; Brüggemann, R.J.M. Pharmacokinetics of Caspofungin in ICU Patients. J. Antimicrob. Chemother. 2014, 69, 3294–3299. [Google Scholar] [CrossRef] [PubMed]
- Moor, A.B.-D.; Sysiak-Sławecka, J.; Rypulak, E.; Borys, M.; Piwowarczyk, P.; Raszewski, G.; Onichimowski, D.; Czuczwar, M.; Wiczling, P. Nonstationary Pharmacokinetics of Caspofungin in ICU Patients. Antimicrob. Agents Chemother. 2020, 64, e00345-20. [Google Scholar]
- Gustot, T.; Heine, R.T.; Brauns, E.; Cotton, F.; Jacobs, F.; Brüggemann, R.J. Caspofungin Dosage Adjustments Are Not Required for Patients with Child-Pugh B or C Cirrhosis. J. Antimicrob. Chemother. 2018, 73, 2493–2496. [Google Scholar] [CrossRef] [PubMed]
- Dodane, V.; Khan, M.A.; Merwin, J.R. Effect of Chitosan on Epithelial Permeability and Structure. Int. J. Pharm. 1999, 182, 21–32. [Google Scholar] [CrossRef]
- Dumortier, G.; Grossiord, J.L.; Agnely, F.; Chaumeil, J.C. A Review of Poloxamer 407 Pharmaceutical and Pharmacological Characteristics. Pharm. Res. 2006, 23, 2709–2728. [Google Scholar] [CrossRef] [PubMed]
- Bodratti, A.M.; Alexandridis, P. Formulation of Poloxamers for Drug Delivery. J. Funct. Biomater. 2018, 9, 11. [Google Scholar] [CrossRef] [PubMed]
- Katz, D.F.; Yuan, A.; Gao, Y. Vaginal Drug Distribution Modeling. Adv. Drug Deliv. Rev. 2015, 92, 2–13. [Google Scholar] [CrossRef] [PubMed]
- Ensign, L.M.; Tang, B.C.; Wang, Y.Y.; Tse, T.A.; Hoen, T.; Cone, R.; Hanes, J. Mucus-Penetrating Nanoparticles for Vaginal Drug Delivery Protect against Herpes Simplex Virus. Sci. Transl. Med. 2012, 4, 138ra79. [Google Scholar] [CrossRef]
- Raafat, D.; Sahl, H.G. Chitosan and Its Antimicrobial Potential--a Critical Literature Survey. Microb. Biotechnol. 2009, 2, 186–201. [Google Scholar] [CrossRef] [PubMed]
- Raafat, D.; Von Bargen, K.; Haas, A.; Sahl, H.G. Insights into the Mode of Action of Chitosan as an Antibacterial Compound. Appl. Environ. Microbiol. 2008, 74, 3764–3773. [Google Scholar] [CrossRef]
- Abilova, G.K.; Kaldybekov, D.B.; Irmukhametova, G.S.; Kazybayeva, D.S.; Iskakbayeva, Z.A.; Kudaibergenov, S.E.; Khutoryanskiy, V.V. Chitosan/Poly(2-Ethyl-2-Oxazoline) Films with Ciprofloxacin for Application in Vaginal Drug Delivery. Materials 2020, 13, 1709. [Google Scholar] [CrossRef] [PubMed]
- Amores, S.; Domenech, J.; Colom, H.; Calpena, A.C.; Clares, B.; Gimeno, Á.; Lauroba, J. An Improved Cryopreservation Method for Porcine Buccal Mucosa in Ex Vivo Drug Permeation Studies Using Franz Diffusion Cells. Eur. J. Pharm. Sci. 2014, 60, 49–54. [Google Scholar] [CrossRef] [PubMed]
- Aka-Any-Grah, A.; Bouchemal, K.; Koffi, A.; Agnely, F.; Zhang, M.; Djabourov, M.; Ponchel, G. Formulation of Mucoadhesive Vaginal Hydrogels Insensitive to Dilution with Vaginal Fluids. Eur. J. Pharm. Biopharm. 2010, 76, 296–303. [Google Scholar] [CrossRef]
- Schramm, G.; Electron, T. A Practical Approach to Rheology and Rheometry. In Thermo Haake, Karlsruhe, 2nd ed.; Gebrueder HAAKE GmbH: Karlsruhe, Germany, 2004. [Google Scholar]
- El Moussaoui, S.; Fernández-Campos, F.; Alonso, C.; Limón, D.; Halbaut, L.; Garduño-Ramirez, M.L.; Calpena, A.C.; Mallandrich, M. Topical Mucoadhesive Alginate-Based Hydrogel Loading Ketorolac for Pain Management after Pharmacotherapy, Ablation, or Surgical Removal in Condyloma Acuminata. Gels 2021, 7, 8. [Google Scholar] [CrossRef]
- Soriano-Ruiz, J.L.; Calpena-Campmany, A.C.; Silva-Abreu, M.; Halbout-Bellowa, L.; Bozal-de Febrer, N.; Rodríguez-Lagunas, M.J.; Clares-Naveros, B. Design and Evaluation of a Multifunctional Thermosensitive Poloxamer-Chitosan-Hyaluronic Acid Gel for the Treatment of Skin Burns. Int. J. Biol. Macromol. 2020, 142, 412–422. [Google Scholar] [CrossRef] [PubMed]
- Gonzalez-Pizarro, R.; Carvajal-Vidal, P.; Bellowa, L.H.; Calpena, A.C.; Espina, M.; García, M.L. In-Situ Forming Gels Containing Fluorometholone-Loaded Polymeric Nanoparticles for Ocular Inflammatory Conditions. Colloids Surf. B Biointerfaces 2019, 175, 365–374. [Google Scholar] [CrossRef]
- Abdellatif, M.M.; Khalil, I.A.; Elakkad, Y.E.; Eliwa, H.A.; Samir, T.M.; Al-Mokaddem, A.K. Formulation and Characterization of Sertaconazole Nitrate Mucoadhesive Liposomes for Vaginal Candidiasis. Int. J. Nanomed. 2020, 15, 4079–4090. [Google Scholar] [CrossRef]
- Bauer, A.W.; Kirby, W.M.; Sherris, J.C.; Turck, M. Antibiotic Susceptibility Testing by a Standardized Single Disk Method. Am. J. Clin. Pathol. 1966, 45, 493–496. [Google Scholar] [CrossRef] [PubMed]
- Clinical and Laboratory Standard Institute. Performance Standards for Antimicrobial Disk Susceptibility Tests, 11th ed. CLSI Publication Document M02-A11. 2012, Volume 32. Available online: https://www.nih.org.pk/wp-content/uploads/2021/02/CLSI-2020.pdf (accessed on 12 December 2021).












| Zeta Potential Values (mV) | ||
|---|---|---|
| CSP-Loaded | CSP-Unloaded | |
| CTS hydrogel | 80.36 ± 4.72 | 74.00 ± 4.19 |
| P407 hydrogel | 11.14 ± 1.62 | 9.94 ± 0.74 |
| CTS/P407 hydrogel | 49.76 ± 3.22 | 40.51 ± 3.87 |
| Samples | Temperature (°C) | Rheological Behavior and Model | Viscosity at 50 s−1 (mPa·s) | Apparent Thixotropy | |
|---|---|---|---|---|---|
| Stretch Ramp-Up | Stretch Ramp-Down | ||||
| CSP-CTS hydrogel | 4 | Pseudoplastic (Cross, r = 0.9998) | Pseudoplastic (Cross, r = 1) | 2237 ± 13.40 | Presence |
| 25 | Pseudoplastic (Cross, r = 0.9999) | Pseudoplastic (Cross, r = 1) | 1645 ± 11.87 | Presence | |
| 37 | Pseudoplastic (Cross, r = 0.9999) | Pseudoplastic (Cross, r = 1) | 1291 ± 7.08 | Presence | |
| CSP-P407 hydrogel | 4 | Pseudoplastic (Cross, r = 0.9997) | Newtonian (Newton, r = 0.9999) | 16.45 ± 0.60 | Absence |
| 25 | Irregular flow | Irregular flow | 73.94 ± 6.09 | Presence | |
| 37 | Pseudoplastic (Cross, r = 0.9989 | Pseudoplastic (Cross, r = 0.9974) | 70.73 ± 2.02 | Presence | |
| CSP-CTS/P407 hydrogel | 4 | Pseudoplastic (Cross, r = 0.9997) | Pseudoplastic (Cross, r = 1) | 1868 ± 14.11 | Presence |
| 25 | Pseudoplastic (Cross, r = 0.9998) | Pseudoplastic (Cross, r = 1) | 1425 ± 12.88 | Presence | |
| 37 | Pseudoplastic (Cross, r = 0.9997) | Pseudoplastic (Cross, r = 1) | 1009 ± 5.51 | Presence | |
| Extrudability (g/cm2) | |
|---|---|
| Reference | 8.05 ± 0.29 * |
| CSP-CTS hydrogel | 4.52 ± 0.43 * |
| CSP-P407 hydrogel | 0.07 ± 0.01 * |
| CTS/P407 hydrogel | 1.83 ± 0.09 * |
| Biopharmaceutical Parameter | Formulations | Statistic | ||
|---|---|---|---|---|
| CSP-CTS Hydrogel 1 | CSP-P407 Hydrogel 2 | CTS/P407 Hydrogel 3 | p < 0.05 | |
| J (μg/h) | 36.76 ± 0.31 | 21.08 ± 4.98 | 31.84 ± 2.76 | 1 vs. 2 2 vs. 3 |
| Kp × 104 (cm/h) | 7.24 ± 0.06 | 4.15 ± 0.98 | 6.27 ± 0.54 | 1 vs. 2 2 vs. 3 |
| Css (μg/mL) | 1.65 ± 0.01 | 0.95 ± 0.22 | 1.43 ± 0.12 | 1 vs. 2 2 vs. 3 |
| Qr (µg/cm2) | 156.23 ± 14.91 | 118.51 ± 12.78 | 409.40 ± 48.34 | 1 vs. 3 2 vs. 3 |
| Yeast Tested | |||||
|---|---|---|---|---|---|
| C. albicans ATCC 10231 | C. auris DSM 21092 | C. tropicalis ATCC 7349 | C. glabrata ATCC 66032 | C. parapsilosis ATCC 22019 | |
| Production of large areas of inhibition | |||||
| CSP-CTS hydrogel | + (a) | R (b) | + | + | + |
| CSP-P407 hydrogel | + | R | + | + | + |
| CSP-CTS/P407 hydrogel | + | R | + | + | + |
| Inhibition of fungi in situ where the sample has been deposited | |||||
| CTS hydrogel | +r (c) | +r | + | + | + |
| P407 hydrogel | + | + | + | + | − |
| CTS/P407 hydrogel | +r | +r | + | + | + |
Publisher’s Note: MDPI stays neutral with regard to jurisdictional claims in published maps and institutional affiliations. |
© 2021 by the authors. Licensee MDPI, Basel, Switzerland. This article is an open access article distributed under the terms and conditions of the Creative Commons Attribution (CC BY) license (https://creativecommons.org/licenses/by/4.0/).
Share and Cite
Pérez-González, N.; Bozal-de Febrer, N.; Calpena-Campmany, A.C.; Nardi-Ricart, A.; Rodríguez-Lagunas, M.J.; Morales-Molina, J.A.; Soriano-Ruiz, J.L.; Fernández-Campos, F.; Clares-Naveros, B. New Formulations Loading Caspofungin for Topical Therapy of Vulvovaginal Candidiasis. Gels 2021, 7, 259. https://doi.org/10.3390/gels7040259
Pérez-González N, Bozal-de Febrer N, Calpena-Campmany AC, Nardi-Ricart A, Rodríguez-Lagunas MJ, Morales-Molina JA, Soriano-Ruiz JL, Fernández-Campos F, Clares-Naveros B. New Formulations Loading Caspofungin for Topical Therapy of Vulvovaginal Candidiasis. Gels. 2021; 7(4):259. https://doi.org/10.3390/gels7040259
Chicago/Turabian StylePérez-González, Noelia, Nuria Bozal-de Febrer, Ana C. Calpena-Campmany, Anna Nardi-Ricart, María J. Rodríguez-Lagunas, José A. Morales-Molina, José L. Soriano-Ruiz, Francisco Fernández-Campos, and Beatriz Clares-Naveros. 2021. "New Formulations Loading Caspofungin for Topical Therapy of Vulvovaginal Candidiasis" Gels 7, no. 4: 259. https://doi.org/10.3390/gels7040259
APA StylePérez-González, N., Bozal-de Febrer, N., Calpena-Campmany, A. C., Nardi-Ricart, A., Rodríguez-Lagunas, M. J., Morales-Molina, J. A., Soriano-Ruiz, J. L., Fernández-Campos, F., & Clares-Naveros, B. (2021). New Formulations Loading Caspofungin for Topical Therapy of Vulvovaginal Candidiasis. Gels, 7(4), 259. https://doi.org/10.3390/gels7040259

