Local Use of Hydrogel with Amiodarone in Cardiac Surgery: Experiment and Translation to the Clinic
Abstract
1. Introduction
2. Results and Discussion
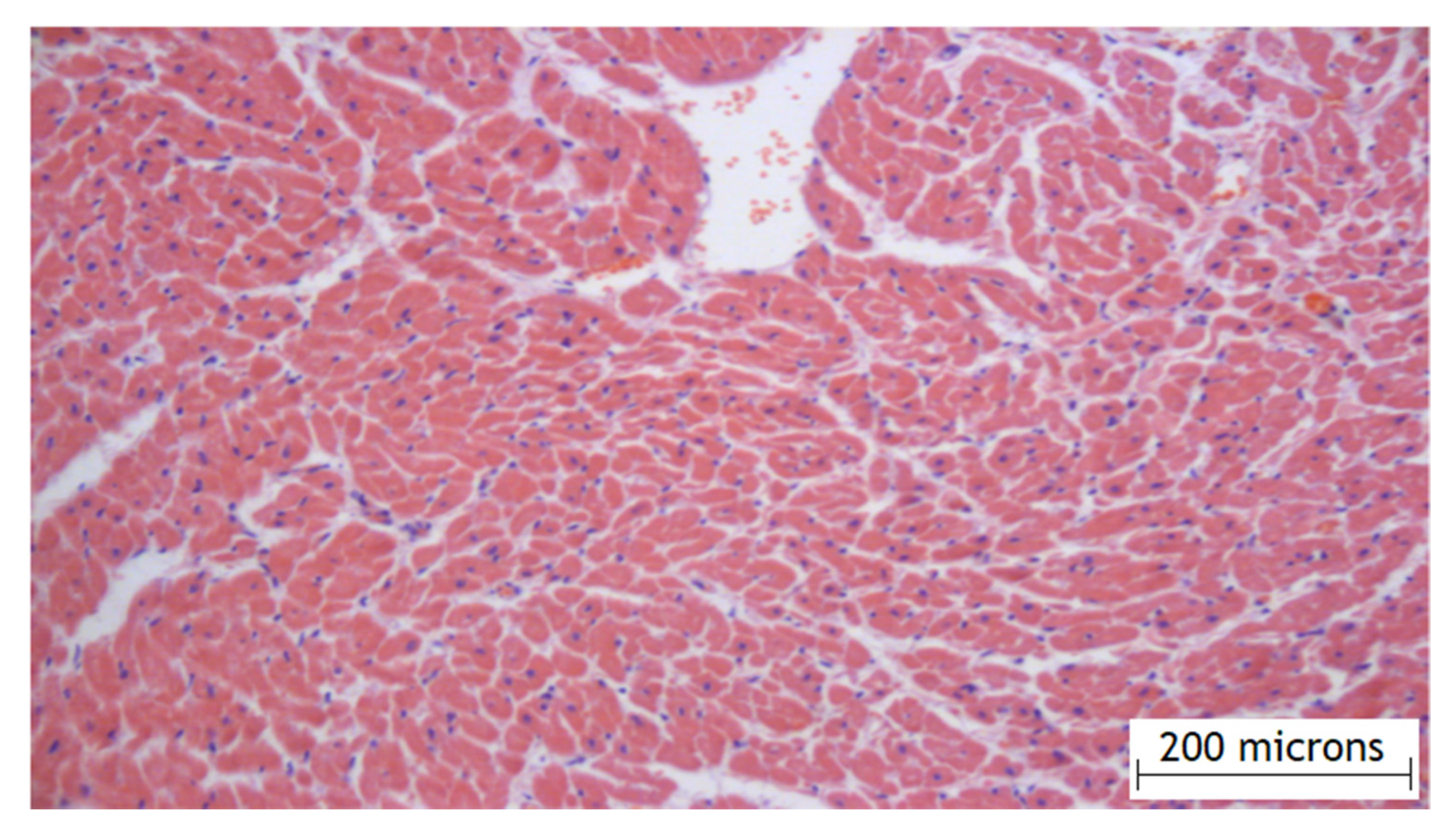
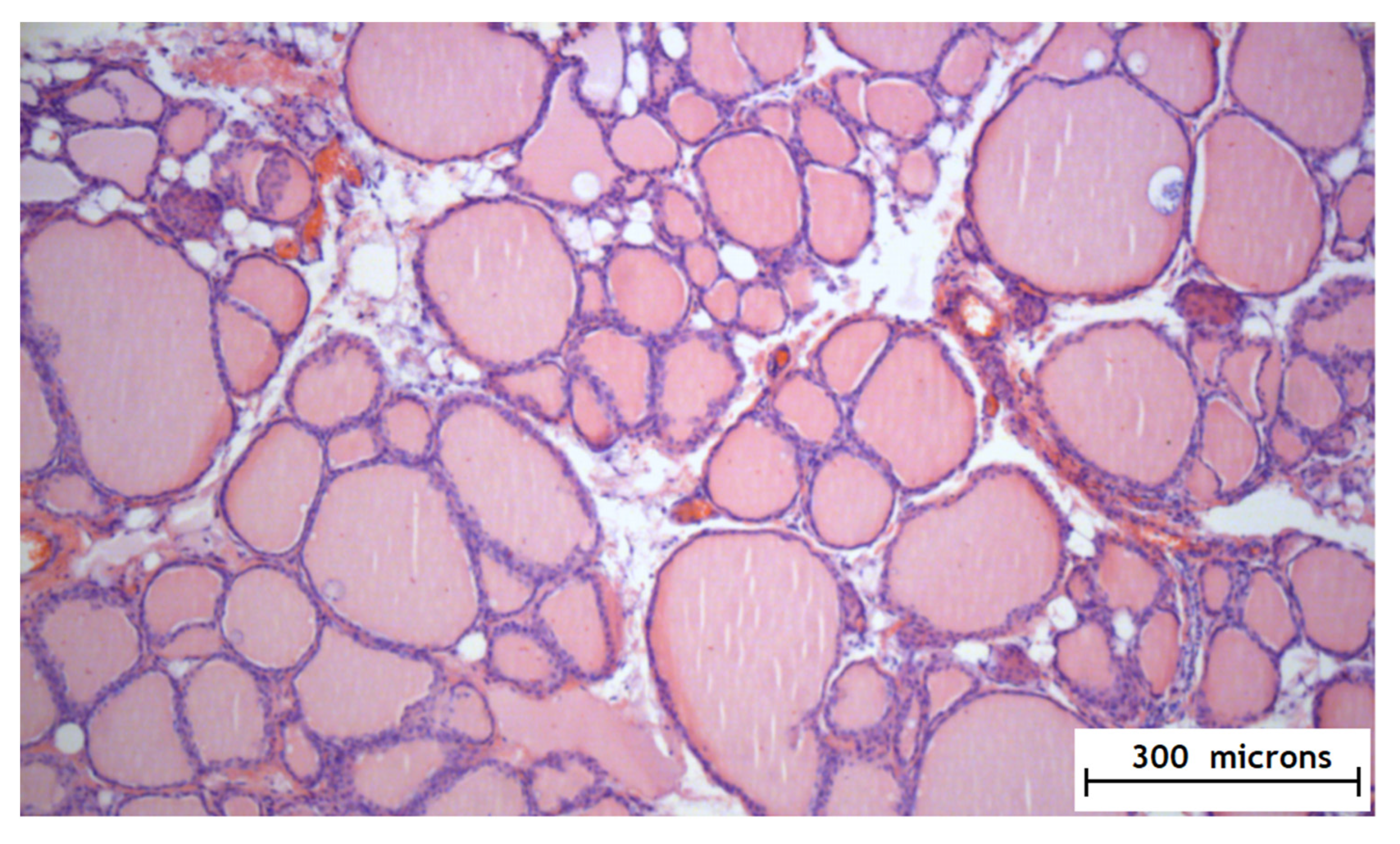
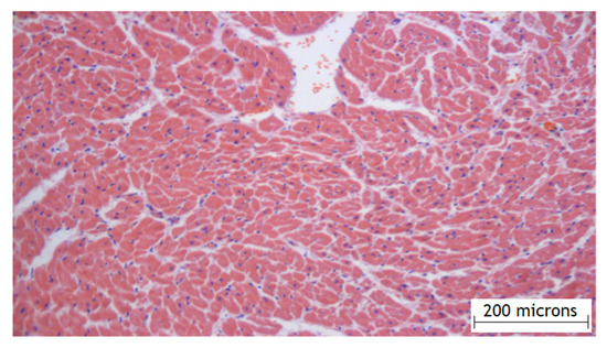
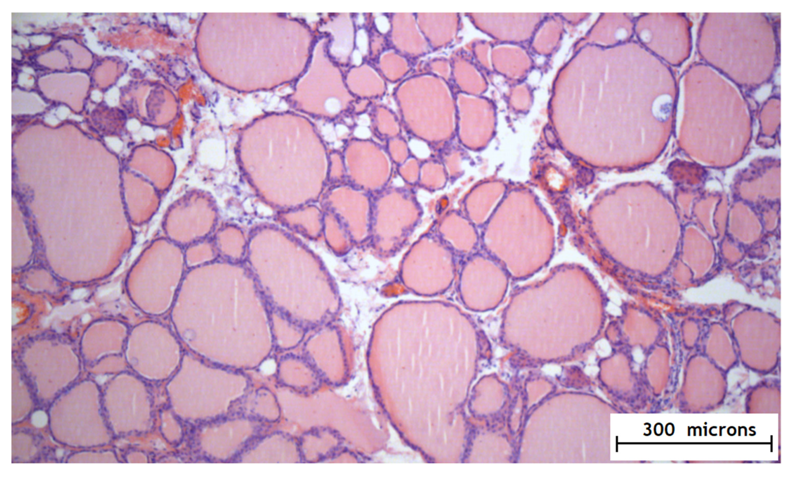
2.1. Results of the Experimental Part
2.2. Results of the Clinical Part
3. Conclusions
4. Experimental Part
4.1. Hydrogel
4.2. Experiment
- Group 1 (n = 8)—the dose of amiodarone in hydrogel was 1 mg;
- Group 2 (n = 11)—the dose of amiodarone in the hydrogel was 3 mg;
- Group 3 (n = 7)—the dose of amiodarone in the hydrogel was 6 mg;
- Group 4 (n = 10) control group—the application of the hydrogel material without amiodarone;
- Group 5 (n = 10)—group with an intravenous form of amiodarone at the dose of 60 mg.
5. Clinical Part
Surgery
Author Contributions
Funding
Institutional Review Board Statement
Informed Consent Statement
Conflicts of Interest
References
- Mathew, J.P.; Fontes, M.L.; Tudor, I.C.; Ramsay, J.; Duke, P.; Mazer, C.D.; Barash, P.G.; Hsu, P.H.; Mangano, D.T. A Multicenter Risk Index for Atrial Fibrillation After Cardiac Surgery. JAMA 2004, 291, 1720–1729. [Google Scholar] [CrossRef]
- Everett, R.J.; Clavel, M.; Pibarot, P.; Dweck, M.R. Timing of intervention in aortic stenosis: A review of current and future strategies. Heart 2018, 104, 2067–2076. [Google Scholar] [CrossRef] [PubMed]
- Raiten, J.; Patel, P.A.; Gutsche, J. Management of postoperative atrial fibrillation in cardiac surgery patients. Semin. Cardiothorac. Vasc. Anesth. 2015, 19, 122–129. [Google Scholar] [CrossRef] [PubMed]
- Aranki, S.F.; Shaw, D.P.; Adams, D.H.; Rizzo, R.J.; Couper, G.S.; Vandervliet, M.; Collins, J.J.; Cohn, L.H.; Burstin, H.R. Predictors of atrial fibrillation after coronary artery surgery. Current trends and impact on hospital resources. Circulation 1996, 94, 390–397. [Google Scholar] [CrossRef] [PubMed]
- Lee, J.K.; Klein, G.J.; Krahn, A.D.; Yee, R.; Zarnke, K.; Simpson, C.; Skanes, A.; Spindler, B. Rate-control versus conversion strategy in postoperative atrial fibrillation: A prospective, randomized pilot study. Am. Heart J. 2000, 140, 871–877. [Google Scholar] [CrossRef] [PubMed]
- Frendl, G.; Sodickson, A.C.; Chung, M.K.; Waldo, A.L.; Gersh, B.J.; Tisdale, J.E.; Calkins, H.; Aranki, S.; Kaneko, T.; Cassivi, S.; et al. 2014 AATS guidelines for the prevention and management of perioperative atrial fibrillation and flutter for thoracic surgical procedures. J. Thoracic. Cardiovasc. Surg. 2014, 148, e153–e193. [Google Scholar] [CrossRef] [PubMed]
- Andrews, T.C.; Reimold, S.C.; Berlin, J.A.; Antman, E.M. Prevention of supraventricular arrhythmias after coronary artery bypass surgery. A meta-analysis of randomized control trials. Circulation 1991, 84, 236–244. [Google Scholar]
- Sokol’skaya, M.A.; Shvartz, V.A.; Bockeria, O.L. Experience in the use of wireless system “Spyder” for multi-day monitoring of electrocardiogram. Ann. Aritmologii 2018, 15, 213–219. [Google Scholar] [CrossRef]
- January, C.T.; Wann, L.S.; Alpert, J.S.; Calkins, H.; Cigarroa, J.E.; Cleveland, J.C., Jr.; Conti, J.B.; Ellinor, P.T.; Ezekowitz, M.D.; Field, M.E.; et al. 2014 AHA/ACC/HRS guideline for the management of patients with atrial fibrillation: Executive summary: A report of the American College of Cardiology/American Heart Association Task Force on practice guidelines and the Heart Rhythm Society. Circulation 2014, 130, 2071–2104. [Google Scholar] [CrossRef] [PubMed]
- Kirchhof, P.; Benussi, S.; Kotecha, D.; Ahlsson, A.; Atar, D.; Casadei, B.; Castella, M.; Diener, H.-C.; Heidbuchel, H.; Hendriks, J.; et al. 2016 ESC guidelines for the management of atrial fibrillation developed in collaboration with EACTS. Eur. Heart J. 2016, 37, 2893–2962. [Google Scholar] [CrossRef] [PubMed]
- Kanametov, T.N.; Shvartz, V.A.; Oltarzhevskaya, N.D.; Bockeria, O.L. Effect of epicardial application of amiodarone-releasing hydrogel on heart rate in an animal model. Cardiovasc. Diagn. Ther. 2019, 9, 328–336. [Google Scholar] [CrossRef] [PubMed]
- Bockeria, O.L.; Kanametov, T.N.; Shvartz, V.A.; Sokolskaya, M.A.; Zhuginisov, D.S.; Sanakoev, M.K.; Bockeria, L.A. Epicardial Application of Hydrogel with Amiodarone for Prevention of Postoperative Atrial Fibrillation in Patients After Coronary Artery Bypass Grafting. J. Cardiovasc. Trans. Res. 2020, 13, 191–198. [Google Scholar] [CrossRef]
- Rezaei, Y.; Peighambari, M.M.; Naghshbandi, S.; Samiei, N.; Ghavidel, A.A.; Dehghani, M.R.; Haghjoo, M.; Hosseini, S. Postoperative Atrial Fibrillation Following Cardiac Surgery: From Pathogenesis to Potential Therapies. Am. J. Cardiovasc. Drugs 2020, 20, 19–49. [Google Scholar] [CrossRef]
- Bolderman, R.W.; Hermans, J.B.; Rademakers, L.M.; De Jong, M.M.; Bruin, P.; Dias, A.A.; van der Veen, F.H.; Maessen, J.G. Epicardial application of an amiodarone releasing hydrogel to suppress atrial tachyarrhythmias. Int. J. Cardiol. 2011, 149, 341–346. [Google Scholar] [CrossRef]
- Wang, W.; Feng, X.D.; Wang, X.N.; Yuan, X.H. Effectiveness of biatrial epicardial application of amiodarone releasing adhesive hydrogel to prevent postoperative atrial fibrillation. J. Thorac. Cardiovasc. Surg. 2014, 148, 939–943. [Google Scholar]
- Wang, W.; Mei, Y.Q.; Yuan, X.H.; Feng, X.D. Clinical efficacy of epicardial application of drug-releasing hydrogels to prevent postoperative atrial fibrillation. J. Thorac. Cardiovasc. Surg. 2016, 151, 80–85. [Google Scholar] [CrossRef] [PubMed]
- Loke, Y.W.; King, A. Human Implantation. In Gel, Biology and Immunology; University Press: Cambridge, UK, 1996; 313p. [Google Scholar]
- Jenkins, M.M. Biomedical Polymers, 1st ed.; Woodhead Publishing: Cambridge, UK, 2007; 236p. [Google Scholar]
- Kuhn, E.W.; Liakopoulos, O.J.; Stange, S.; Deppe, A.C.; Slottosch, I.; Choi, Y.H.; Wahlers, T. Preoperative statin therapy in cardiac surgery: A meta-analysis of 90,000 patients. Eur. J. Cardiothorac. Surg. 2014, 45, 17–26. [Google Scholar] [CrossRef]
- Liakopoulos, O.J.; Kuhn, E.W.; Slottosch, I.; Wassmer, G.; Wahlers, T. Preoperative statin therapy for patients undergoing cardiac surgery. Cochrane Database Syst. Rev. 2012, 18, CD008493. [Google Scholar] [CrossRef]





| Parameters | Group 1 (n = 8) | Group 2 (n = 11) | Group 3 (n = 7) | Group 4 (n = 10) | Group 5 (n = 10) | p |
|---|---|---|---|---|---|---|
| Aspartate aminotransferases (e/L) | 33 (29.5; 35) | 36 ± 6 | 33 ± 4 | 36 ± 6 | 31 ± 5 | 0.449 |
| Alanine transaminase (e/L) | 32.5 ± 6.4 | 34 ± 7 | 34 ± 1 | 34 ± 6 | 33 ± 5 | 0.689 |
| WBC, ×109/mL | 5.8 ± 0.9 | 5.7 ± 1 | 5.2 ± 1.2 | 5.6 ± 0.8 | 6.4 (5.4; 6.7) | 0.518 |
| Neutrophils, ×109/mL | 63.7 ± 7.5 | 63 ± 4 | 64 ± 5 | 62 ± 5 | 58.5 (56; 66) | 0.477 |
| PQ (ms) | 71.2 ± 8.3 | 70 ± 9 | 70 (60; 90) | 73 ± 10 | 77 ± 9 | 0.801 |
| QRS (ms) | 60 (50; 60) | 50 (50; 75) | 50 (50; 70) | 60 (50; 70) | 62 ± 9 | 0.759 |
| QT (ms) | 135.6 ± 9 | 139 ± 14 | 130 ± 13 | 140 ± 11 | 141 ± 11 | 0.321 |
| Hb (g/L) | 141 ± 7 | 141 ± 8 | 137 ± 5.7 | 140 ± 8 | 139 (130; 149) | 0.683 |
| Procedure time, min | 45 (43.5; 45.5) | 42 ± 1 | 41 ± 3.7 | 44 ± 2 | 44 ± 2 | 0.014 |
| APV time, min | 35.2 ± 2.4 | 33 ± 2 | 35 ± 3.9 | 35 ± 2 | 36 ± 2 | 0.085 |
| Heart Rate, n/min | Group 1 | Group 2 | Group 3 | Group 4 | Group 5 | p |
|---|---|---|---|---|---|---|
| Before the procedure | 145 ± 8 | 158 ± 16 | 153 ± 26 | 149 ± 14 | 154 ± 16 | 0.443 |
| Before the procedure, after the atropine test | 157.6 ± 6.2 | 170 ± 13 | 174 ± 29 | 165 ± 11 | 176 ± 12 | 0.285 |
| After the procedure | 145.5 (136; 151) | 157 ± 19 | 90 (80; 100) | 153 ± 17 | 149 ± 11 | 0.009 |
| After the procedure, after the atropine test | 152 (145; 162) | 167 ± 18 | 95 (83; 105) | 160 ± 18 | 153 (152; 160) | 0.006 |
| Two hours after the procedure, after atropine | 149 (142; 153) | 138 ± 12 | 89 ± 35 | 151 (147; 160) | 155 ± 8 | <0.001 |
| One day after the procedure, after the atropine test | 150 ± 21 | 131 (128; 144) | 86 ± 27 | 167 ± 19 | 152 ± 9 | <0.001 |
| Three days after the procedure, after the atropine test | 147 ± 18 | 130 ± 11 | 74 ± 13 | 162 ± 17 | 151 ± 12 | <0.001 |
| Parameters | Before the Procedure | After the Procedure | p |
|---|---|---|---|
| Group 2 | |||
| PQ, (ms) | 70 ± 9 | 83 ± 9 | 0.002 |
| QRS (ms) | 50 (50; 75) | 50 (50; 60) | 0.169 |
| QT, (ms) | 139 ± 14 | 143 ± 13 | 0.137 |
| AV-blockade 2–3 | 0 | 0 | 0.978 |
| Aspartate aminotransferases (e/L) | 36 ± 6 | 39 ± 9 | 0.318 |
| Alanine transaminase (e/L) | 34 ± 7 | 38 ± 7 | 0.092 |
| Group 3 | |||
| PQ, (ms) | 70 (60; 90) | 90 (60; 100) | 0.001 |
| QRS (ms) | 50 (50; 70) | 80(60; 80) | 0.063 |
| QT, (ms) | 130 ± 13 | 164 ± 12 | <0.001 |
| AV-blockade 2–3 | 0 | 71% | 0.004 |
| Aspartate Aminotransferases (e/L) | 33 ± 4 | 35 (32; 60) | 0.018 |
| Alanine Transaminase (e/L) | 34 ± 1 | 36 (32; 58) | 0.020 |
| Group 5 | |||
| PQ, (ms) | 77 ± 9 | 85 (80; 90) | 0.109 |
| QRS (ms) | 62 ± 9 | 62 ± 9 | 0.990 |
| QT, (ms) | 141 ± 11 | 148 ± 15 | 0.045 |
| AV-blockade 2–3 | 0 | 20% | 0.168 |
| Aspartate aminotransferases (e/L) | 31 ± 5 | 51 ± 21 | 0.039 |
| Alanine transaminase (e/L) | 33 ± 5 | 53 ± 26 | 0.037 |
| AV, atrioventricular. | |||
| Parameters | Study Group (n = 30) | Control Group (n = 30) | p |
|---|---|---|---|
| Clinical data | |||
| Age, years | 61 ± 8.2 | 63 ± 8.8 | 0.264 |
| Male, % | 90 | 77 | 0.375 |
| BMI | 27.6 ± 3.5 | 29 ± 4.1 | 0.139 |
| Prior MI, % | 53 | 56 | 0.824 |
| Remoteness of prior MI, month | 7 (4; 18) | 12 (7; 36) | 0.117 |
| Angina, CCS class | 3 (3; 3) | 3 (3; 3) | 0.505 |
| Stroke, % | 0 | 6 | 0.657 |
| Arterial hypertension, % | 93 | 93 | 0.999 |
| Smoking, % | 27 | 20 | 0.657 |
| Diabetes, % | 30 | 10 | 0.183 |
| COPD, % | 23 | 13 | 0.505 |
| Drug therapy | |||
| ACEi | 97 | 100 | 0.824 |
| ASA | 100 | 100 | 0.999 |
| Statins | 100 | 100 | 0.999 |
| β-blockers | 100 | 100 | 0.997 |
| CCB | 20 | 26 | 0.657 |
| Instrumental data | |||
| EDV, mL | 111 (102; 129) | 118 (107; 126) | 0.584 |
| ESV, mL | 48 (41; 58) | 47 (37; 58) | 0.468 |
| EDD, sm | 5 (4.8; 5.2) | 5 (4.9; 5.4) | 0.217 |
| LV EF, % | 57 (56; 58) | 58 (56; 59) | 0.355 |
| Left atrium volume, ml | 79 (77; 80) | 77 (69; 79) | 0.039 |
| Average heart rate (Holter ECG), n/min | 68 (64; 70) | 61 (59; 68) | 0.060 |
| PQ, ms | 0.12 (0.12; 0.14) | 0.12 (0.12; 0.14) | 0.554 |
| QT, ms | 0.34 (0.32; 0.38) | 0.34 (0.32; 0.36) | 0.888 |
| Laboratory data | |||
| Creatinine, µmol/L | 74 (70; 90) | 84 (73; 102) | 0.103 |
| Glucose, mmol/L | 5 (4.6; 6) | 5 (4.5; 6) | 0.778 |
| WBC, n × 109/mL | 7 (6.3; 8.4) | 7.6 (6; 8.3) | 0.841 |
| Fibrinogen, g/L | 3 (2; 3) | 3 (2; 3) | 0.180 |
| Parameters | Study Group (n = 30) | Control Group (n = 30) | p |
|---|---|---|---|
| Intraoperative parameters | |||
| Operation time, h | 3.9 ± 0.99 | 3.5 ± 0.85 | 0.379 |
| Time of CPB, min | 84 (65; 105) | 75 (60; 97) | 0.437 |
| The number of grafts, n | 2 (2; 3) | 2 (2; 3) | 0.657 |
| Lactate (the end of the operation) | 1.4 (1.2; 1.9) | 1.5 (1.3; 2) | 0.689 |
| Glucose (the end of the operation) | 7.3 (6.9; 9.4) | 7 (6; 9.6) | 0.610 |
| Postoperative parameters | |||
| Time of artificial lung ventilation, h | 14 (12; 16) | 16 (14; 16) | 0.255 |
| WBC, day 1 | 112 (10; 14) | 13 (9; 13) | 0.344 |
| AF after surgery, % | 3.3 | 37 | <0.001 |
| Lactate, day 5 | 0.6 (0; 1) | 0.5 (0; 1) | 0.898 |
| WBC, day 5 | 11 (8.8; 12) | 11 (9; 13) | 0.270 |
| Glucose, day 5 | 5 (4.9; 6) | 5 (4.7; 5.7) | 0.614 |
| Creatinine, day 5 | 78 (70; 89) | 79 (72; 110) | 0.128 |
| QT, day 5, ms | 0.34 (0.32; 0.36) | 0.34 (0.32; 0.36) | 0.851 |
| PQ, day 5, ms | 0.14 (0.12; 0.16) | 0.12 (0.12; 0.14) | 0.002 |
| Average heart rate (Holter ECG), day 5, n/min | 59 (52; 60) | 69 (65; 75) | <0.001 |
| Minimum heart rate (Holter ECG), day 5, n/min | 50 (49; 55) | 55 (50; 58) | 0.008 |
| Number of bed-days | 6 (6; 7) | 8 (8; 9) | <0.001 |
| Parameter | Regression Coefficient β | Standard Error | The Exponent Beta (Risk Index Exp, B) | Wald Criterion | p |
|---|---|---|---|---|---|
| Age, years | 0.164 | 0.063 | 1.178 | 6.716 | 0.009 |
| Application of amiodarone–hydrogel | −2.939 | 1.168 | 18.914 | 6.329 | 0.011 |
| Time of CPB, min. | 0.021 | 0.011 | 1.020 | 2.995 | 0.835 |
| LV EF, % | −0.111 | 0.075 | 0.894 | 2.178 | 0.139 |
| The number of grafts, n | −1.307 | 0.926 | 0.270 | 1.989 | 0.158 |
| EDV, mL | −0.009 | 0.014 | 0.991 | 0.348 | 0.554 |
| Male | −0.481 | 0.818 | 0.618 | 0.345 | 0.557 |
Publisher’s Note: MDPI stays neutral with regard to jurisdictional claims in published maps and institutional affiliations. |
© 2021 by the authors. Licensee MDPI, Basel, Switzerland. This article is an open access article distributed under the terms and conditions of the Creative Commons Attribution (CC BY) license (http://creativecommons.org/licenses/by/4.0/).
Share and Cite
Shvartz, V.; Kanametov, T.; Sokolskaya, M.; Petrosyan, A.; Le, T.; Bockeria, O.; Bockeria, L. Local Use of Hydrogel with Amiodarone in Cardiac Surgery: Experiment and Translation to the Clinic. Gels 2021, 7, 29. https://doi.org/10.3390/gels7010029
Shvartz V, Kanametov T, Sokolskaya M, Petrosyan A, Le T, Bockeria O, Bockeria L. Local Use of Hydrogel with Amiodarone in Cardiac Surgery: Experiment and Translation to the Clinic. Gels. 2021; 7(1):29. https://doi.org/10.3390/gels7010029
Chicago/Turabian StyleShvartz, Vladimir, Teymuraz Kanametov, Maria Sokolskaya, Andrey Petrosyan, Tatyana Le, Olga Bockeria, and Leo Bockeria. 2021. "Local Use of Hydrogel with Amiodarone in Cardiac Surgery: Experiment and Translation to the Clinic" Gels 7, no. 1: 29. https://doi.org/10.3390/gels7010029
APA StyleShvartz, V., Kanametov, T., Sokolskaya, M., Petrosyan, A., Le, T., Bockeria, O., & Bockeria, L. (2021). Local Use of Hydrogel with Amiodarone in Cardiac Surgery: Experiment and Translation to the Clinic. Gels, 7(1), 29. https://doi.org/10.3390/gels7010029

