Analgesic Effect of Sulforaphane: A New Application for Poloxamer-Hyaluronic Acid Hydrogels
Abstract
1. Introduction
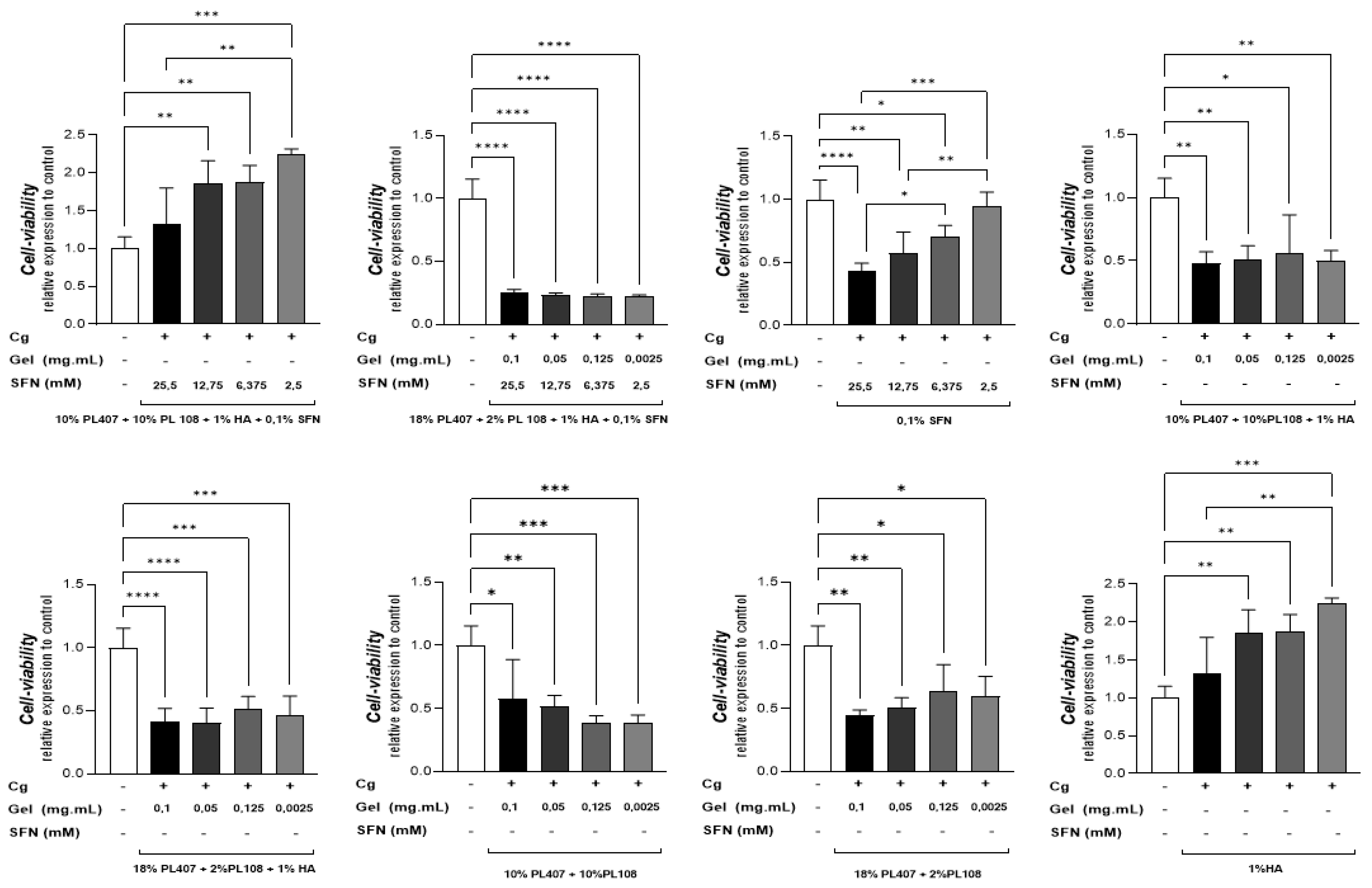
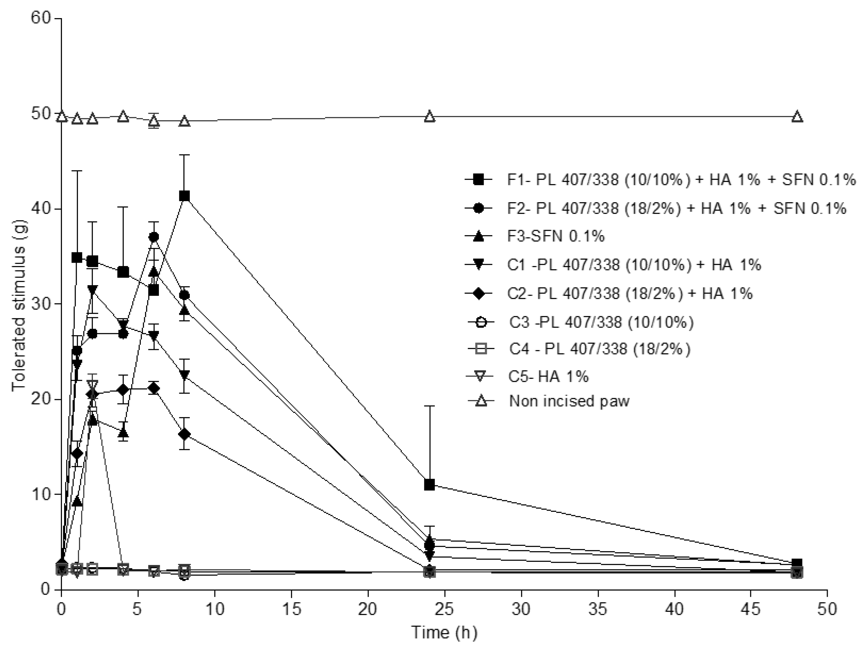
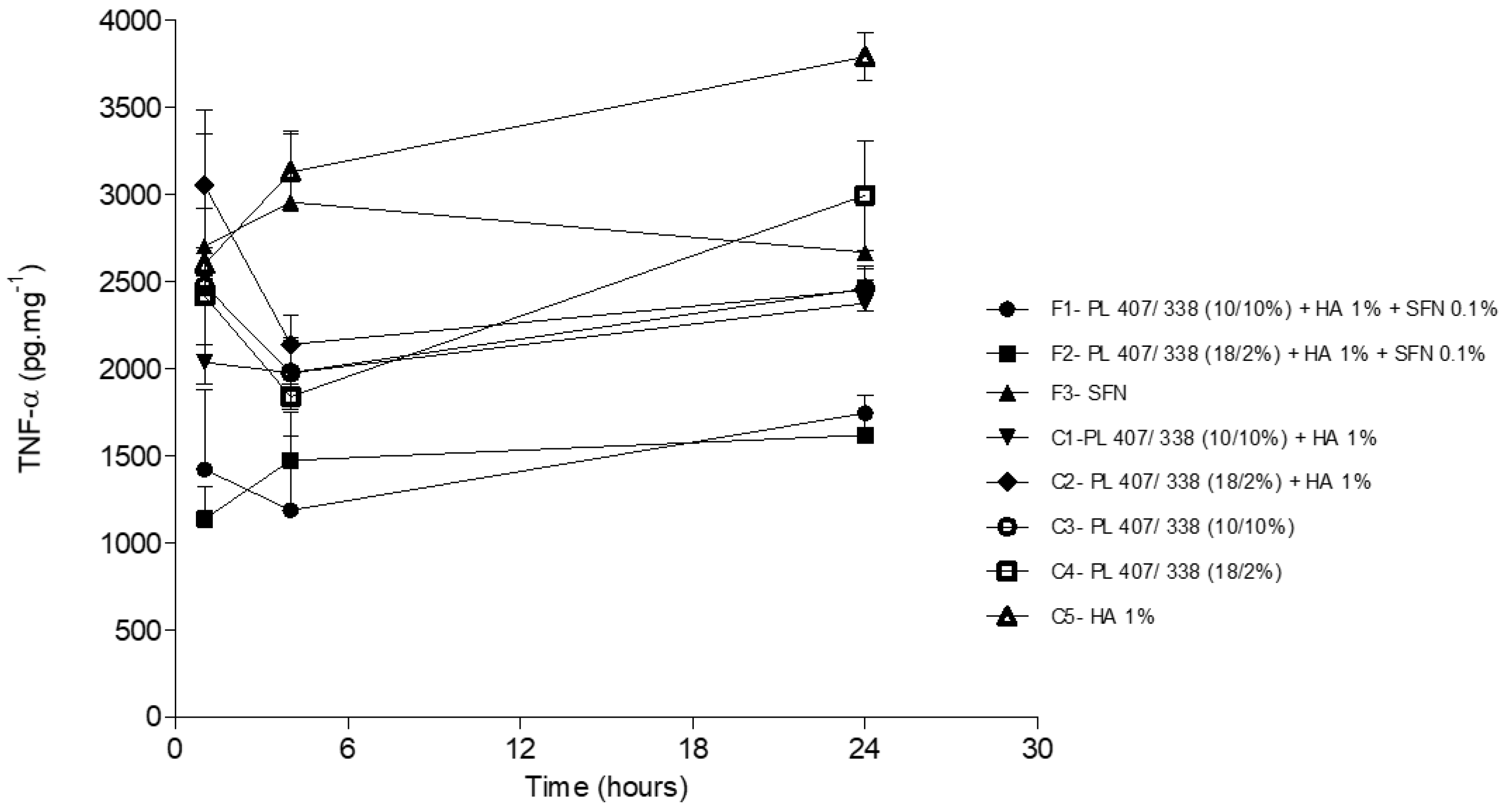
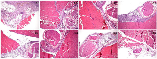
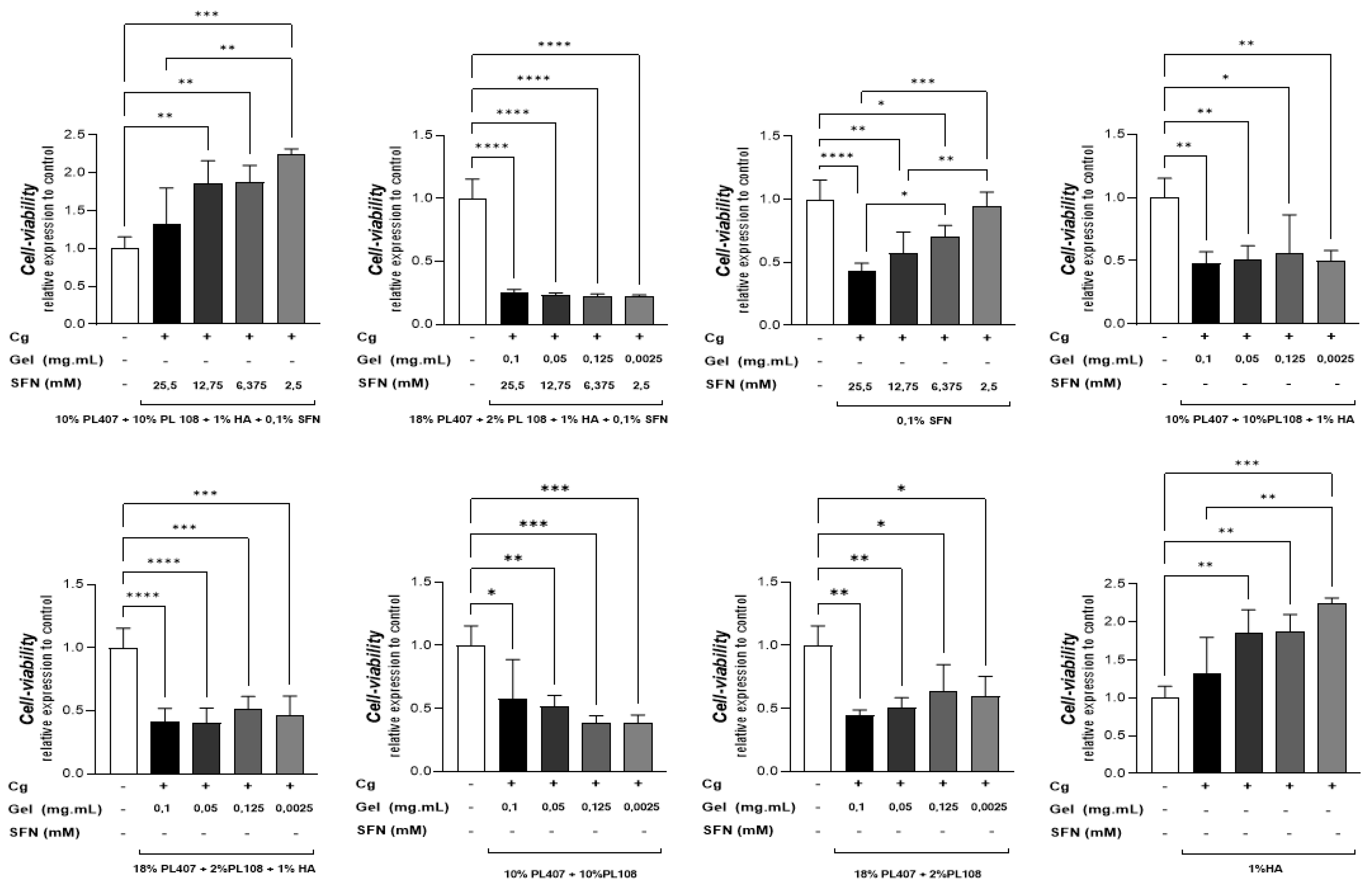
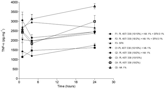
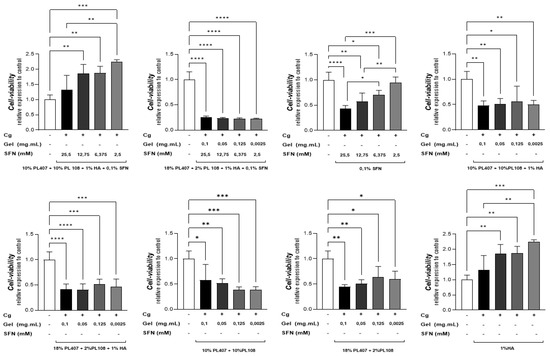
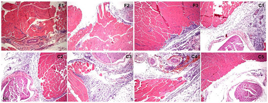
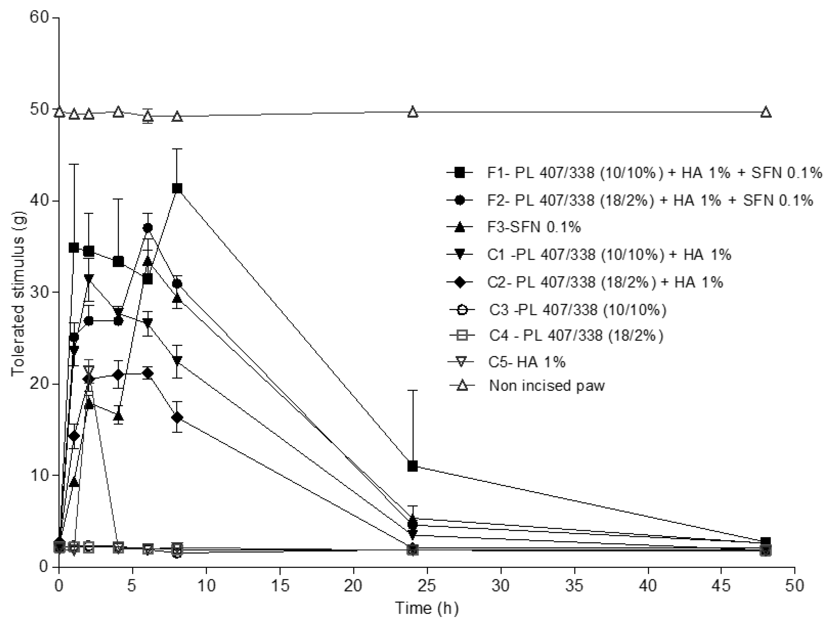
2. Results and Discussion
3. Conclusions
4. Materials and Methods
4.1. Preparation of Hydrogels
4.2. In-Vitro Cell Viability Assays
4.3. Postoperative Pain Model in Rats
4.4. Statistical Analysis
Author Contributions
Funding
Institutional Review Board Statement
Data Availability Statement
Acknowledgments
Conflicts of Interest
References
- Monteiro do Nascimento, M.H.; Ambrosio, F.N.; Ferraraz, D.C.; Windisch-Neto, H.; Querobino, S.M.; Nascimento-Sales, M.; Alberto-Silva, C.; Christoffolete, M.A.; Franco, M.K.K.D.; Kent, B.; et al. Sulforaphane-loaded hyaluronic acid-poloxamer hybrid hydrogel enhances cartilage protection in osteoarthritis models. Mater. Sci. Eng. C Mater. Biol. Appl. 2021, 128, 112345. [Google Scholar] [CrossRef] [PubMed]
- Weisman, S. Naproxen for Post-Operative Pain. J. Pharm. Pharm. Sci. 2021, 24, 62–70. [Google Scholar] [CrossRef] [PubMed]
- Hemmings, H.C., Jr.; Lambert, D.G. The good, the bad, and the ugly: The many faces of opioids. Br. J. Anaesth. 2019, 122, 705–707. [Google Scholar] [CrossRef] [PubMed]
- Soled, D.; Uppal, N.; Weiner, S.G. Breaking the cycle: A public-private partnership to combat the American opioid epidemic. Healthcare 2021, 9, 100592. [Google Scholar] [CrossRef]
- Gupta, A.; Bah, M. NSAIDs in the Treatment of Postoperative Pain. Curr. Pain Headache Rep. 2016, 20, 62. [Google Scholar] [CrossRef] [PubMed]
- Bhusal, P.; Harrison, J.; Sharma, M.; Jones, D.S.; Hill, A.G.; Svirskis, D. Controlled release drug delivery systems to improve post-operative pharmacotherapy. Drug Deliv. Transl. Res. 2016, 6, 441–451. [Google Scholar] [CrossRef] [PubMed]
- Decker, H.; Wu, C.L.; Wick, E. Multimodal Pain Control in Surgery. Adv. Surg. 2021, 55, 147–157. [Google Scholar] [CrossRef] [PubMed]
- Zheng, W.; Li, X.; Zhang, T.; Wang, J. Biological mechanisms and clinical efficacy of sulforaphane for mental disorders. Gen. Psychiatr. 2022, 35, e100700. [Google Scholar] [CrossRef] [PubMed]
- Taylor, E.; Kim, Y.; Zhang, K.; Chau, L.; Nguyen, B.C.; Rayalam, S.; Wang, X. Antiaging Mechanism of Natural Compounds: Effects on Autophagy and Oxidative Stress. Molecules 2022, 27, 4396. [Google Scholar] [CrossRef]
- Mangla, B.; Javed, S.; Sultan, M.H.; Kumar, P.; Kohli, K.; Najmi, A.; Alhazmi, H.A.; Al Bratty, M.; Ahsan, W. Sulforaphane: A review of its therapeutic potentials, advances in its nanodelivery, recent patents, and clinical trials. Phytother. Res. 2021, 35, 5440–5458. [Google Scholar] [CrossRef]
- Bokatyi, A.N.; Dubashynskaya, N.V.; Skorik, Y.A. Chemical modification of hyaluronic acid as a strategy for the development of advanced drug delivery systems. Carbohydr. Polym. 2024, 337, 122145. [Google Scholar] [CrossRef] [PubMed]
- Akkari, A.C.S.; Papini, J.Z.B.; Garcia, G.K.; Franco, M.K.K.D.; Cavalcanti, L.P.; Gasperini, A.; Alkschbirs, M.I.; Yokaichyia, F.; de Paula, E.; Tófoli, G.R.; et al. Poloxamer 407/188 binary thermosensitive hydrogels as delivery systems for infiltrative local anesthesia: Physico-chemical characterization and pharmacological evaluation. Mater. Sci. Eng. C Mater. Biol. Appl. 2016, 68, 299–307. [Google Scholar] [CrossRef] [PubMed]
- Teixeira, M.A.; Papini, J.Z.B.; Garcez, A.; Tofoli, G.R. Comparative analysis of two laser wavelengths in the stimulation of acupuncture points for analgesic effects in an animal model. J. Biophotonics 2022, 15, e202100213. [Google Scholar] [CrossRef] [PubMed]
- Labrum, J.T., 4th; Ilyas, A.M. Perioperative Pain Control in Upper Extremity Surgery: Prescribing Patterns, Recent Developments, and Opioid-Sparing Treatment Strategies. Hand 2019, 14, 439–444. [Google Scholar] [CrossRef] [PubMed]
- Biancuzzi, H.; Dal Mas, F.; Brescia, V.; Campostrini, S.; Cascella, M.; Cuomo, A.; Cobianchi, L.; Dorken-Gallastegi, A.; Gebran, A.; Kaafarani, H.M.; et al. Opioid Misuse: A Review of the Main Issues, Challenges, and Strategies. Int. J. Environ. Res. Public Health 2022, 19, 11754. [Google Scholar] [CrossRef] [PubMed]
- Kiser, C.; Gonul, C.P.; Olcum, M.; Genc, S. Inhibitory effects of sulforaphane on NLRP3 inflammasome activation. Mol. Immunol. 2021, 140, 175–185. [Google Scholar] [CrossRef] [PubMed]
- Furlan, B.; de Melo, B.T.; Papini, J.Z.B.; Sperandio, M.; Oliveira, J.D.; de Paula, E.; Cereda, C.M.S.; Tofoli, G.R. Pre-clinical evaluation of new dibucaine formulations for preventive analgesia. J. Liposome Res. 2021, 31, 230–236. [Google Scholar] [CrossRef] [PubMed]
- Fu, J.; Xu, M.; Xu, L.; Ni, H.; Zhao, B.; Ni, C.; Huang, M.; Zhu, J.; Luo, G.; Yao, M. Sulforaphane alleviates hyperalgesia and enhances analgesic potency of morphine in rats with cancer-induced bone pain. Eur. J. Pharmacol. 2021, 909, 174412. [Google Scholar] [CrossRef] [PubMed]
- Redondo, A.; Chamorro, P.A.F.; Riego, G.; Leánez, S.; Pol, O. Treatment with Sulforaphane Produces Antinociception and Improves Morphine Effects during Inflammatory Pain in Mice. J. Pharmacol. Exp. Ther. 2017, 363, 293–302. [Google Scholar] [CrossRef]
- Wang, C.; Wang, C. Anti-nociceptive and anti-inflammatory actions of sulforaphane in chronic constriction injury-induced neuropathic pain mice. Inflammopharmacology 2017, 25, 99–106. [Google Scholar] [CrossRef]
- Pogatzki-Zahn, M.; Segelck, D.; Schug, S.A. Postoperative pain—From mechanisms to treatment. Pain Rep. 2017, 2, e588. [Google Scholar] [CrossRef] [PubMed]
- Neychev, D.; Sbirkova, T.; Ivanovska, M.; Raycheva, R.; Murdjeva, M.; Atanasov, D. Correlation between CGRP Levels and the Neuropathic and Inflammatory Component of Postoperative Pain. Folia Med. 2020, 62, 365–371. [Google Scholar] [CrossRef]
- Liu, Y.; Zhang, Z.; Lu, X.; Meng, J.; Qin, X.; Jiang, J. Anti-nociceptive and anti-inflammatory effects of sulforaphane on sciatic endometriosis in a rat model. Neurosci. Lett. 2020, 723, 134858. [Google Scholar] [CrossRef] [PubMed]
- Abdalla, H.B.; Napimoga, M.H.; Lopes, A.H.; de Macedo Maganin, A.G.; Cunha, T.M.; Van Dyke, T.E.; Clemente Napimoga, J.T. Activation of PPAR-γ induces macrophage polarization and reduces neutrophil migration mediated by heme oxygenase 1. Int. Immunopharmacol. 2020, 84, 106565. [Google Scholar] [CrossRef]
- Ohri, R.; Blaskovich, P.; Wang, J.C.; Pham, L.; Nichols, G.; Hildebrand, W.; Costa, D.; Scarborough, N.; Herman, C.; Strichartz, G. Prolonged nerve block by microencapsulated bupivacaine prevents acute postoperative pain in rats. Reg. Anesth. Pain Med. 2012, 37, 607–615. [Google Scholar] [CrossRef]
- Wang, Z.; Huang, H.; Yang, S.; Huang, S.; Guo, J.; Tang, Q.; Qi, F. Long-term effect of ropivacaine nanoparticles for sciatic nerve block on postoperative pain in rats. Int. J. Nanomed. 2016, 11, 2081–2090. [Google Scholar]
- Choi, G.J.; Kang, H.; Hong, M.E.; Shin, H.Y.; Baek, C.W.; Jung, Y.H.; Lee, Y.; Kim, J.W.; Park, I.l.K.; Cho, W.J. Effects of a lidocaine-loaded poloxamer/alginate/CaCl2 mixture on postoperative pain and adhesion in a rat model of incisional pain. Anesth. Analg. 2017, 125, 320–327. [Google Scholar] [CrossRef]
- Merlos, M.; Portillo-Salido, E.; Brenchat, A.; Aubel, B.; Buxens, J.; Fisas, A.; Codony, X.; Romero, L.; Zamanillo, D.; Vela, J.M. Administration of a co-crystal of tramadol and celecoxib in a 1:1 molecular ratio produces synergistic antinociceptive effects in a postoperative pain model in rats. Eur. J. Pharmacol. 2018, 833, 370–378. [Google Scholar] [CrossRef] [PubMed]
- Grant, G.J.; Lax, J.; Susser, L.; Zakowski, M.; Weissman, T.E.; Turndorf, H. Wound infiltration with liposomal bupivacaine prolongs analgesia in rats. Acta Anaesthesiol. Scand. 1997, 41, 204–207. [Google Scholar] [CrossRef]
- Ickowicz, D.E.; Golovanevski, L.; Domb, A.J.; Weiniger, C.F. Extended duration local anesthetic agent in a rat paw model. Int. J. Pharm. 2014, 468, 152–157. [Google Scholar] [CrossRef]
- Zar, J.H. Biostat. Analysis, 5th ed.; Prentice Hall: Upper Saddle River, NJ, USA, 2010. [Google Scholar]










| 1 H | 2 H | 4 H | 6 H | 8 H | 24 H | |
|---|---|---|---|---|---|---|
| F1-PL 407/338 (10/10%) + HA 1% + SFN 0.1% | 25.12 ± 4.69 a ***. b ***. d ***. e ***. f ***. g *** | 26. 91 ± 5.09 a **. b ***. d *. e ***. f *** | 26.91 ± 3.93 a **. b ***. d *. e ***. f ***. g *** | 37.59 ± 4.98 c *. d ***. e ***. f ***. g *** | 30.97 ± 2.60 a ***. c ***. d ***. e ***. f ***. g *** | 4.61 ± 1.62 a ** |
| F2-PL 407/338 (18/2%) + HA 1% + SFN 0.1% | 34.89 ± 9.09 h ***. i ***. j ***. k ***. l ***. m *** | 34.51 ± 4.09 h ***. j ***. k ***. l ***. m ***. | 33.36 ± 6.87 h ***. i *. j ***. k ***. l ***. m *** | 31.85 ± 3.92 j **. k ***. l ***. m *** | 41.37 ± 4.25 h ***. i ***. j ***. k ***. l ***. m *** | 11.07 ± 8.20 h *. i ***. j ***. k ***. l ***. m *** |
| F3-SFN 0.1%. | 9.39 ± 1.17 n ***. p *. q *. r ** | 17. 98 ± 2.17 n ***. p ***. q *** | 16.63 ±2.89 n ***. p ***. q ***. r *** | 32.61 ± 6.30 o ***. p ***. q ***. r *** | 29.44 ± 3.63 n **. o ***. p ***. q ***. r *** | 5.34 ± 3.98 |
| C1-PL 407/338 (10/10%) + HA 1% | 23.54 ± 4.76 s ***. t ***. u ***. v *** | 31. 38 ± 7.03 s ***. t ***. u ***. v *** | 24.72 ± 2.38 s **. t ***. u ***. v *** | 29.84 ± 6.20 s *. t ***. u ***. v *** | 22.45 ± 5.30 s **. t ***. u ***. v *** | 3.49 ± 1.11 |
| C2-PL 407/338 (18/2%) + HA 1% | 14.32 ± 3.96 w ***. x ***. y *** | 20.54 ± 4.20 w ***. x ***. | 21.03 ± 4.44 w ***. x ***. y *** | 22.65 ± 4.55 x ***. y ***. z *** | 16.37 ± 5.00 x ***. y ***. z *** | 2.096 ± 0.32 |
| C3-PL 407/338 (10/10%) | 2.32 ± 0.39 | 2.35 ± 0.34 aa *** | 2.27 ± 0.38 | 2.21 ± 0.43 | 1.56 ± 0.32 | 1.91 ± 0.30 |
| C4-PL 407 − 18% + PL 188 − 2% | 2.20 ± 0.54 | 2.18 ± 0.31 bb *** | 2.18 ± 0.31 | 2.11 ± 045 | 1.98 ± 0.43 | 2.01 ± 0.35 |
| C5-HA 1% | 1.81 ± 0.39 | 21.39 ± 3.95 | 2.06 ± 0.33 | 2.04 ± 0.46 | 2.13 ± 0.38 | 1.85 ± 0.40 |
| Formulations | 2 Days | 7 Days |
|---|---|---|
| F1-PL 407/338 (10/10%) + HA 1% + SFN 0.1% | 1 (1–3) | 2 (2–3) |
| F2-PL 407/338 (18/2%) + HA 1% + SFN 0.1% | 1 (1–2) | 2 (1–3) |
| F3-SFN 0.1%. | 1 (1–2) | 2 (1–2) |
| C1-PL 407/338 (10/10%) + HA 1% | 2 (1–3) | 3 (2–3) |
| C2-PL 407/338 (18/2%) + HA 1% | 2 (1–3) | 2 (1–2) |
| C3-PL 407/338 (10/10%) | 3 (2–3) a *, b *, c *, d * | 2 (2–3) |
| C4-PL 407 − 18% + PL 188 − 2% | 2 (2–3) | 2 (2–3) |
| C5-HA 1% | 1 (1–2) | 2 (1–2) e **, f ***, g *** |
Disclaimer/Publisher’s Note: The statements, opinions and data contained in all publications are solely those of the individual author(s) and contributor(s) and not of MDPI and/or the editor(s). MDPI and/or the editor(s) disclaim responsibility for any injury to people or property resulting from any ideas, methods, instructions or products referred to in the content. |
© 2024 by the authors. Licensee MDPI, Basel, Switzerland. This article is an open access article distributed under the terms and conditions of the Creative Commons Attribution (CC BY) license (https://creativecommons.org/licenses/by/4.0/).
Share and Cite
Papini, J.Z.B.; de Assis Esteves, B.; de Souza Oliveira, V.G.; Abdalla, H.B.; Cereda, C.M.S.; de Araújo, D.R.; Tofoli, G.R. Analgesic Effect of Sulforaphane: A New Application for Poloxamer-Hyaluronic Acid Hydrogels. Gels 2024, 10, 460. https://doi.org/10.3390/gels10070460
Papini JZB, de Assis Esteves B, de Souza Oliveira VG, Abdalla HB, Cereda CMS, de Araújo DR, Tofoli GR. Analgesic Effect of Sulforaphane: A New Application for Poloxamer-Hyaluronic Acid Hydrogels. Gels. 2024; 10(7):460. https://doi.org/10.3390/gels10070460
Chicago/Turabian StylePapini, Juliana Zampoli Boava, Bruno de Assis Esteves, Vagner Gomes de Souza Oliveira, Henrique Ballassani Abdalla, Cintia Maria Saia Cereda, Daniele Ribeiro de Araújo, and Giovana Radomille Tofoli. 2024. "Analgesic Effect of Sulforaphane: A New Application for Poloxamer-Hyaluronic Acid Hydrogels" Gels 10, no. 7: 460. https://doi.org/10.3390/gels10070460
APA StylePapini, J. Z. B., de Assis Esteves, B., de Souza Oliveira, V. G., Abdalla, H. B., Cereda, C. M. S., de Araújo, D. R., & Tofoli, G. R. (2024). Analgesic Effect of Sulforaphane: A New Application for Poloxamer-Hyaluronic Acid Hydrogels. Gels, 10(7), 460. https://doi.org/10.3390/gels10070460

