Mycoviromic Analysis Unveils Complex Virus Composition in a Hypovirulent Strain of Sclerotinia sclerotiorum
Abstract
1. Introduction
2. Materials and Methods
2.1. Strains and Cultural Conditions
2.2. Total RNA Extraction and Sequencing
2.3. Sequencing Data Analysis and Mycovirus Detection
2.4. Viral Sequence Extensions
2.5. Mycovirus Genome Characteristics and Sequence Analysis
2.6. Biological Properties Detection of Virus Co-Infection Strain Ep-1PNA367V
3. Results
3.1. Strain HC025 Is Co-Infected by Five ssRNA Mycoviruses
3.2. Genomic Analysis of Four Newly Identified Mycoviruses Infecting HC025 Highly Similar to Known Mycoviruses
3.3. A Novel Virus Related to Members of the Family Botourmiaviridae
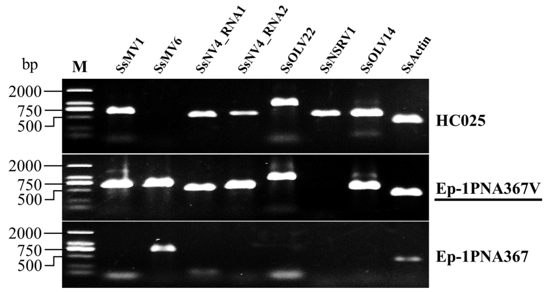
3.4. Four Mycoviruses Can Transfer Horizontally via Hyphal Fusion
3.5. Virus Co-Infection Endows Abnormal Biological Characteristics to S. sclerotiorum
4. Discussion
5. Conclusions
Supplementary Materials
Author Contributions
Funding
Institutional Review Board Statement
Informed Consent Statement
Data Availability Statement
Conflicts of Interest
References
- Mu, F.; Li, B.; Cheng, S.F.; Jia, J.C.; Jiang, D.H.; Fu, Y.P.; Cheng, J.S.; Lin, Y.; Chen, T.; Xie, J.T. Nine viruses from eight lineages exhibiting new evolutionary modes that co-infect a hypovirulent phytopathogenic fungus. PLoS Pathog. 2021, 17, e1009823. [Google Scholar] [CrossRef]
- Neupane, A.; Feng, C.C.; Feng, J.H.; Kafle, A.; Buecking, H.; Lee Marzano, S.Y. Metatranscriptomic analysis and in Silico approach identified mycoviruses in the arbuscular mycorrhizal fungus Rhizophagus spp. Viruses 2018, 10, 707. [Google Scholar] [CrossRef] [PubMed]
- Vainio, E.J. Mitoviruses in the conifer root rot pathogens Heterobasidion annosum and H. parviporum. Virus Res. 2019, 271, 197681. [Google Scholar] [CrossRef] [PubMed]
- Wu, M.D.; Zhang, L.; Li, G.Q.; Jiang, D.H.; Ghabrial, S.A. Genome characterization of a debilitation-associated mitovirus infecting the phytopathogenic fungus Botrytis cinerea. Virology 2010, 406, 117–126. [Google Scholar] [CrossRef] [PubMed]
- Xie, J.T.; Ghabrial, S.A. Molecular characterizations of two mitoviruses co-infecting a hyovirulent isolate of the plant pathogenic fungus Sclerotinia sclerotiorum. Virology 2012, 428, 77–85. [Google Scholar] [CrossRef]
- Shafik, K.; Umer, M.; You, H.F.; Aboushedida, H.; Wang, Z.H.; Ni, D.J.; Xu, W.X. Characterization of a novel mitovirus infecting Melanconiella theae isolated from tea plants. Front. Microbiol. 2021, 12, 757556. [Google Scholar] [CrossRef]
- Hillman, B.I.; Cai, G. The family Narnaviridae: Simplest of RNA viruses. Adv. Virus Res. 2013, 86, 149–176. [Google Scholar]
- Jia, J.C.; Fu, Y.P.; Jiang, D.H.; Mu, F.; Cheng, J.S.; Lin, Y.; Li, B.; Marzano, S.Y.L.; Xie, J.T. Interannual dynamics, diversity and evolution of the virome in Sclerotinia sclerotiorum from a single crop field. Virus Evol. 2021, 7, veab032. [Google Scholar] [CrossRef]
- Kotta-Loizou, I.; Coutts, R.H.A. Studies on the virome of the entomopathogenic fungus Beauveria bassiana reveal novel dsRNA elements and mild hypervirulence. PLoS Pathog. 2017, 13, e1006183. [Google Scholar] [CrossRef]
- Ayllon, M.A.; Turina, M.; Xie, J.T.; Nerva, L.; Marzano, S.Y.L.; Donaire, L.; Jiang, D.H.; ICTV Report Consortium. ICTV virus taxonomy profile: Botourmiaviridae. J. Gen. Virol. 2020, 101, 454–455. [Google Scholar] [CrossRef]
- Ruiz-Padilla, A.; Rodriguez-Romero, J.; Gomez-Cid, I.; Pacifico, D.; Ayllon, M.A. Novel mycoviruses discovered in the mycovirome of a necrotrophic fungus. mBio 2021, 12, e03705-20. [Google Scholar] [CrossRef] [PubMed]
- Illana, A.; Marconi, M.; Rodriguez-Romero, J.; Xu, P.; Dalmay, T.; Wilkinson, M.D.; Angeles, A.M.; Sesma, A. Molecular characterization of a novel ssRNA ourmia-like virus from the rice blast fungus Magnaporthe oryzae. Arch. Virol. 2017, 162, 891–895. [Google Scholar] [CrossRef] [PubMed]
- Jiang, D.H.; Ayllon, M.A.; Marzano, S.Y.L.; Lefkowitz, E.J.; Davison, A.J.; Siddell, S.G.; Sabanadzovic, S.; Simmonds, P.; Smith, D.B.; Orton, R.J.; et al. ICTV Virus Taxonomy Profile: Mymonaviridae. J. Gen. Virol. 2019, 100, 1343–1344. [Google Scholar] [CrossRef]
- Liu, L.J.; Xie, J.T.; Cheng, J.S.; Fu, Y.P.; Li, G.Q.; Yi, X.H.; Jiang, D.H. Fungal negative-stranded RNA virus that is related to bornaviruses and nyaviruses. Proc. Natl. Acad. Sci. USA 2014, 111, 12205–12210. [Google Scholar] [CrossRef] [PubMed]
- Bolton, M.D.; Thomma, B.P.H.J.; Nelson, B.D. Sclerotinia sclerotiorum (Lib.) de Bary: Biology and molecular traits of a cosmopolitan pathogen. Mol. Plant Pathol. 2006, 7, 1–16. [Google Scholar] [CrossRef]
- Zhao, Y.; Zhang, Y.Y.; Wan, X.R.; She, Y.Y.; Li, M.; Xi, H.J.; Xie, J.T.; Wen, C.Y. A novel ourmia-like mycovirus confers hypovirulence-associated traits on Fusarium oxysporum. Front. Microbiol. 2020, 11, 569869. [Google Scholar] [CrossRef]
- Xiao, X.Q.; Cheng, J.S.; Tang, J.H.; Fu, Y.P.; Jiang, D.H.; Baker, T.S.; Ghabrial, S.A.; Xie, J.T. A novel partitivirus that confers hypovirulence on plant pathogenic fungi. J. Virol. 2014, 88, 10120–10133. [Google Scholar] [CrossRef]
- Yu, X.; Li, B.; Fu, Y.P.; Jiang, D.H.; Ghabrial, S.A.; Li, G.Q.; Peng, Y.L.; Xie, J.T.; Cheng, J.S.; Huang, J.B.; et al. A geminivirus-related DNA mycovirus that confers hypovirulence to a plant pathogenic fungus. Proc. Natl. Acad. Sci. USA 2010, 107, 8387–8392. [Google Scholar] [CrossRef]
- Zhang, H.X.; Xie, J.T.; Fu, Y.P.; Cheng, J.S.; Qu, Z.; Zhao, Z.Z.; Cheng, S.F.; Chen, T.; Li, B.; Wang, Q.Q.; et al. A 2-kb mycovirus converts a pathogenic fungus into a beneficial endophyte for Brassica protection and yield enhancement. Mol. Plant 2020, 13, 1420–1433. [Google Scholar] [CrossRef]
- Maimaiti, Y.; Ding, L.; Chai, M.; Jing, X.Y.; Yang, D.; Han, S.; Sun, L.Q.; Chen, W. Identification and analysis of new mycoviruses from melon powdery mildew. J. Plant Pathol. 2020, 102, 1191–1196. [Google Scholar] [CrossRef]
- Botella, L.; Jung, T. Multiple viral infections detected in Phytophthora condilina by total and small RNA sequencing. Viruses 2021, 13, 620. [Google Scholar] [CrossRef] [PubMed]
- Rogers, H.J.; Buck, K.W.; Brasier, C.M. Transmission of double-stranded RNA and a disease factor in Ophiostoma ulmi. Plant Pathol. 1986, 35, 277–287. [Google Scholar] [CrossRef]
- Rogers, H.J.; Buck, K.W.; Brasier, C.M. A mitochondrial target for double-stranded RNA in diseased isolates of the fungus that causes Dutch elm disease. Nature 1987, 329, 558–560. [Google Scholar] [CrossRef]
- Cole, T.E.; Muller, B.M.; Hong, Y.; Brasier, C.M.; Buck, K.W. Complexity of virus-like double-stranded RNA elements in a diseased isolate of the Dutch elm disease fungus, Ophiostoma novo-ulmi. J. Phytopathol. 1998, 146, 593–598. [Google Scholar] [CrossRef]
- Hong, Y.G.; Dover, S.L.; Cole, T.E.; Brasier, C.M.; Buck, K.W. Multiple mitochondrial viruses in an isolate of the Dutch elm disease fungus Ophiostoma novo-ulmi. Virology 1999, 258, 118–127. [Google Scholar] [CrossRef]
- Tuomivirta, T.T.; Hantula, J. Three unrelated viruses occur in a single isolate of Gremmeniella abietina var. abietina type A. Virus Res. 2005, 110, 31–39. [Google Scholar] [CrossRef]
- Zhu, J.Z.; Zhu, H.J.; Gao, B.D.; Zhou, Q.; Zhong, J. Diverse, novel mycoviruses from the virome of a hypovirulent Sclerotium rolfsii strain. Front. Plant Sci. 2018, 9, 1738. [Google Scholar] [CrossRef]
- Xu, Z.Y.; Wu, S.S.; Liu, L.J.; Cheng, J.S.; Fu, Y.P.; Jiang, D.H.; Xie, J.T. A mitovirus related to plant mitochondrial gene confers hypovirulence on the phytopathogenic fungus Sclerotinia sclerotiorum. Virus Res. 2015, 197, 127–136. [Google Scholar] [CrossRef]
- Wang, Q.H.; Mu, F.; Xie, J.T.; Cheng, J.S.; Fu, Y.P.; Jiang, D.H. A single ssRNA segment encoding RdRp is sufficient for replication, infection, and transmission of ourmia-like virus in fungi. Front. Microbiol. 2020, 11, 379. [Google Scholar] [CrossRef]
- Pfaffl, M.W.; Fleige, S.; Riedmaier, I. Validation of Lab-on-Chip Capillary electrophoresis systems for total RNA quality and quantity control. Biotechnol. Biotechnol. Equip. 2014, 22, 829–834. [Google Scholar] [CrossRef][Green Version]
- Ravi, R.K.; Walton, K.; Khosroheidari, M. MiSeq: A next generation sequencing platform for genomic analysis. In Disease Gene Identification; Di Stefano, J., Ed.; Humana Press: New York, NY, USA, 2018; pp. 223–232. [Google Scholar]
- Bolger, A.M.; Lohse, M.; Usadel, B. Trimmomatic: A flexible trimmer for Illumina sequence data. Bioinformatics 2014, 30, 2114–2120. [Google Scholar] [CrossRef] [PubMed]
- Kim, D.; Langmead, B.; Salzberg, S.L. HISAT: A fast spliced aligner with low memory requirements. Nat. Methods 2015, 12, 357–360. [Google Scholar] [CrossRef] [PubMed]
- Li, H.; Handsaker, B.; Wysoker, A.; Fennell, T.; Ruan, J.; Homer, N.; Marth, G.; Abecasis, G.; Durbin, R. The sequence alignment/map format and SAMtools. Bioinformatics 2009, 25, 2078–2079. [Google Scholar] [CrossRef] [PubMed]
- Bankevich, A.; Nurk, S.; Antipov, D.; Gurevich, A.A.; Dvorkin, M.; Kulikov, A.S.; Lesin, V.M.; Nikolenko, S.I.; Pham, S.; Prjibelski, A.D.; et al. SPAdes: A new genome assembly algorithm and its applications to single-cell sequencing. J. Comput. Biol. 2012, 19, 455–477. [Google Scholar] [CrossRef]
- Fu, L.; Niu, B.F.; Zhu, Z.W.; Wu, S.T.; Li, W.Z. CD-HIT: Accelerated for clustering the next-generation sequencing data. Bioinformatics 2012, 28, 3150–3152. [Google Scholar] [CrossRef] [PubMed]
- Buchfink, B.; Xie, C.; Huson, D.H. Fast and sensitive protein alignment using DIAMOND. Nat. Methods 2015, 12, 59–60. [Google Scholar] [CrossRef]
- Camacho, C.; Coulouris, G.; Avagyan, V.; Ma, N.; Papadopoulos, J.; Bealer, K.; Madden, T.L. BLAST+: Architecture and applications. BMC Bioinform. 2009, 10, 421. [Google Scholar] [CrossRef]
- Xie, J.T.; Wei, D.M.; Jiang, D.H.; Fu, Y.P.; Li, G.Q.; Ghabrial, S.; Peng, Y.L. Characterization of debilitation-associated mycovirus infecting the plant-pathogen fungus Sclerotinia sclerotiorum. J. Gen. Virol. 2006, 87, 241–249. [Google Scholar] [CrossRef]
- Racine, J.S. RStudio: A platform-independent IDE for R and Sweave. J. Appl. Econom. 2012, 27, 167–172. [Google Scholar] [CrossRef]
- Thorvaldsdottir, H.; Robinson, J.T.; Mesirov, J.P. Integrative Genomics Viewer (IGV): High-performance genomics data visualization and exploration. Brief. Bioinform. 2013, 14, 178–192. [Google Scholar] [CrossRef]
- Berkman, S.J.; Roscoe, E.M.; Bourret, J.C. Comparing self-directed methods for training staff to create graphs using Graphpad Prism. J. Appl. Behav. Anal. 2019, 52, 188–204. [Google Scholar] [CrossRef] [PubMed]
- Chen, C.J.; Chen, H.; Zhang, Y.; Thomas, H.R.; Frank, M.H.; He, Y.H.; Xia, R. TBtools: An integrative toolkit developed for interactive analyses of big biological data. Mol. Plant 2020, 13, 1194–1202. [Google Scholar] [CrossRef] [PubMed]
- Katoh, K.; Kuma, K.; Toh, H.; Miyata, T. MAFFT version 5: Improvement in accuracy of multiple sequence alignment. Nucleic Acids Res. 2005, 33, 511–518. [Google Scholar] [CrossRef] [PubMed]
- Waterhouse, A.M.; Procter, J.B.; Martin, D.M.; Clamp, M.; Barton, G.J. Jalview Version 2-a multiple sequence alignment editor and analysis workbench. Bioinformatics 2009, 25, 1189–1191. [Google Scholar] [CrossRef] [PubMed]
- Capella-Gutierrez, S.; Silla-Martinez, J.M.; Gabaldon, T. trimAl: A tool for automated alignment trimming in large-scale phylogenetic analyses. Bioinformatics 2009, 25, 1972–1973. [Google Scholar] [CrossRef]
- Nguyen, L.T.; Schmidt, H.A.; Von Haeseler, A.; Minh, B.Q. IQ-TREE: A fast and effective stochastic algorithm for estimating maximum-likelihood phylogenies. Mol. Biol. Evol. 2015, 32, 268–274. [Google Scholar] [CrossRef]
- Zorov, D.B.; Juhaszova, M.; Sollott, S.J. Mitochondrial reactive oxygen species (ROS) and ROS-induced ROS release. Physiol. Rev. 2014, 94, 909–950. [Google Scholar] [CrossRef]
- Balaban, R.S.; Nemoto, S.; Finkel, T. Mitochondria, oxidants, and aging. Cell 2005, 120, 483–495. [Google Scholar] [CrossRef]
- Bernhardt, D.; Hamann, A.; Osiewacz, H.D. The role of mitochondria in fungal aging. Curr. Opin. Microbiol. 2014, 22, 1–7. [Google Scholar] [CrossRef]
- Schirmer, M.; D’Amore, R.; Ijaz, U.Z.; Hall, N.; Quince, C. Illumina error profiles: Resolving fine-scale variation in metagenomic sequencing data. BMC Bioinform. 2016, 17, 125. [Google Scholar] [CrossRef]
- Zhou, X.; Shuai, S.M.; Zheng, H.; Ding, H.; An, H.L.; Miao, S.Y.; Fang, S.G.; Zhang, S.B.; Deng, Q.C. Complete nucleotide sequence of a novel botourmiavirus from the rice blast fungus Magnaporthe oryzae isolate SH05. Arch. Virol. 2021, 166, 1783–1787. [Google Scholar] [CrossRef] [PubMed]
- Linnakoski, R.; Sutela, S.; Coetzee, M.P.A.; Duong, T.A.; Pavlov, I.N.; Litovka, Y.A.; Hantula, J.; Wingfield, B.D.; Vainio, E.J. Armillaria root rot fungi host single-stranded RNA viruses. Sci. Rep. 2021, 11, 7336. [Google Scholar] [CrossRef]
- Liu, Y.; Zhang, L.Y.; Esmael, A.; Duan, J.; Bian, X.F.; Jia, J.C.; Xie, J.T.; Cheng, J.S.; Fu, Y.P.; Jiang, D.H.; et al. Four novel botourmiaviruses co-infecting an isolate of the rice blast fungus Magnaporthe oryzae. Viruses 2020, 12, 1383. [Google Scholar] [CrossRef] [PubMed]
- Gao, Z.X.; Wu, J.Y.; Jiang, D.H.; Xie, J.T.; Cheng, J.S.; Lin, Y. ORF I of mycovirus SsNSRV-1 is associated with debilitating symptoms of Sclerotinia sclerotiorum. Viruses 2020, 12, 456. [Google Scholar] [CrossRef] [PubMed]
- Green, D.R.; Reed, J.C. Mitochondria and apoptosis. Science 1998, 281, 1309–1316. [Google Scholar] [CrossRef]
- McBride, H.M.; Neuspiel, M.; Wasiak, S. Mitochondria: More than just a powerhouse. Curr. Biol. 2006, 16, R551–R560. [Google Scholar] [CrossRef]






| Name | Length (nt) | Name of Putative Virus | Best Match | Identity (aa, %) | Reads | Accession Number |
|---|---|---|---|---|---|---|
| sequence1 | 2505 | SsMV1 | Sclerotinia sclerotiorum mitovirus 1 (YP_009121785.1) | 95.32 | 131,476 | KJ463570 |
| sequence2 | 3031 | SsNV4_RNA1 | Sclerotinia sclerotiorum narnavirus 4 RNA1 (QZE12024.1) | 96.35 | 87,059 | OK165495 |
| sequence3 | 2453 | SsNV4_RNA2 | Sclerotinia sclerotiorum narnavirus 4 RNA2 (QZE12025.1) | 98.85 | 76,859 | OK165496 |
| sequence4 | 9835 | SsNSRV1 | Sclerotinia sclerotiorum negative-stranded RNA virus 1-WX (QUE49133.1) | 98.5 | 214,467 | OK165497 |
| sequence5 | 1913 | SsOLV14 | Sclerotinia sclerotiorum ourmia-like virus 14 (QUE49177.1) | 98.16 | 533,197 | OK165498 |
| sequence6 | 3987 | SsOLV22 | Hubei narna-like virus 10 (APG77208.1) | 24.84 | 103,130 | OK165499 |
Publisher’s Note: MDPI stays neutral with regard to jurisdictional claims in published maps and institutional affiliations. |
© 2022 by the authors. Licensee MDPI, Basel, Switzerland. This article is an open access article distributed under the terms and conditions of the Creative Commons Attribution (CC BY) license (https://creativecommons.org/licenses/by/4.0/).
Share and Cite
Wang, Y.; Xu, Z.; Hai, D.; Huang, H.; Cheng, J.; Fu, Y.; Lin, Y.; Jiang, D.; Xie, J. Mycoviromic Analysis Unveils Complex Virus Composition in a Hypovirulent Strain of Sclerotinia sclerotiorum. J. Fungi 2022, 8, 649. https://doi.org/10.3390/jof8070649
Wang Y, Xu Z, Hai D, Huang H, Cheng J, Fu Y, Lin Y, Jiang D, Xie J. Mycoviromic Analysis Unveils Complex Virus Composition in a Hypovirulent Strain of Sclerotinia sclerotiorum. Journal of Fungi. 2022; 8(7):649. https://doi.org/10.3390/jof8070649
Chicago/Turabian StyleWang, Yong, Zhiyong Xu, Du Hai, Huang Huang, Jiasen Cheng, Yanping Fu, Yang Lin, Daohong Jiang, and Jiatao Xie. 2022. "Mycoviromic Analysis Unveils Complex Virus Composition in a Hypovirulent Strain of Sclerotinia sclerotiorum" Journal of Fungi 8, no. 7: 649. https://doi.org/10.3390/jof8070649
APA StyleWang, Y., Xu, Z., Hai, D., Huang, H., Cheng, J., Fu, Y., Lin, Y., Jiang, D., & Xie, J. (2022). Mycoviromic Analysis Unveils Complex Virus Composition in a Hypovirulent Strain of Sclerotinia sclerotiorum. Journal of Fungi, 8(7), 649. https://doi.org/10.3390/jof8070649

