The Purification and Characterization of a Novel Neutral Protease from Volvariella volvacea Fruiting Bodies and the Enzymatic Digestion of Soybean Isolates
Abstract
1. Introduction
2. Materials and Methods
2.1. Mushroom Material
2.2. Main Reagents and Instruments
2.3. Extraction of Crude Enzyme
2.4. Determination of Protease Activity and Protein Content
2.5. Purification of Proteases
2.6. Sodium Dodecyl Sulfate-Polyacrylamide Gel Electrophoresis (SDS-PAGE)
2.7. Characterization of Proteases
2.7.1. Effects of pH and Temperature on the Activity and Stability of Protease
2.7.2. Effects of Metal Ions on Enzyme Activity
2.7.3. Effects of Chemical Modulators on Volvariella volvacea Neutral Protease
2.7.4. Calculation of Kinetic Parameters of Enzymatic Reactions
2.8. Hydrolytic Action of Volvariella volvacea Protease on Isolated Soybean Proteins
2.8.1. Determination of Hydrolysis
2.8.2. Effects of pH and Temperature on Proteolytic Cleavage of Soybean Isolates by Proteases
2.8.3. Effect of Enzyme Digestion Time on the Protease Digestion of Soybean Isolates
2.8.4. Determination of Peptide Mass Distribution and Free Amino Acid Content in Enzyme Digestion Products
2.9. Statistical Analysis
3. Results and Discussion
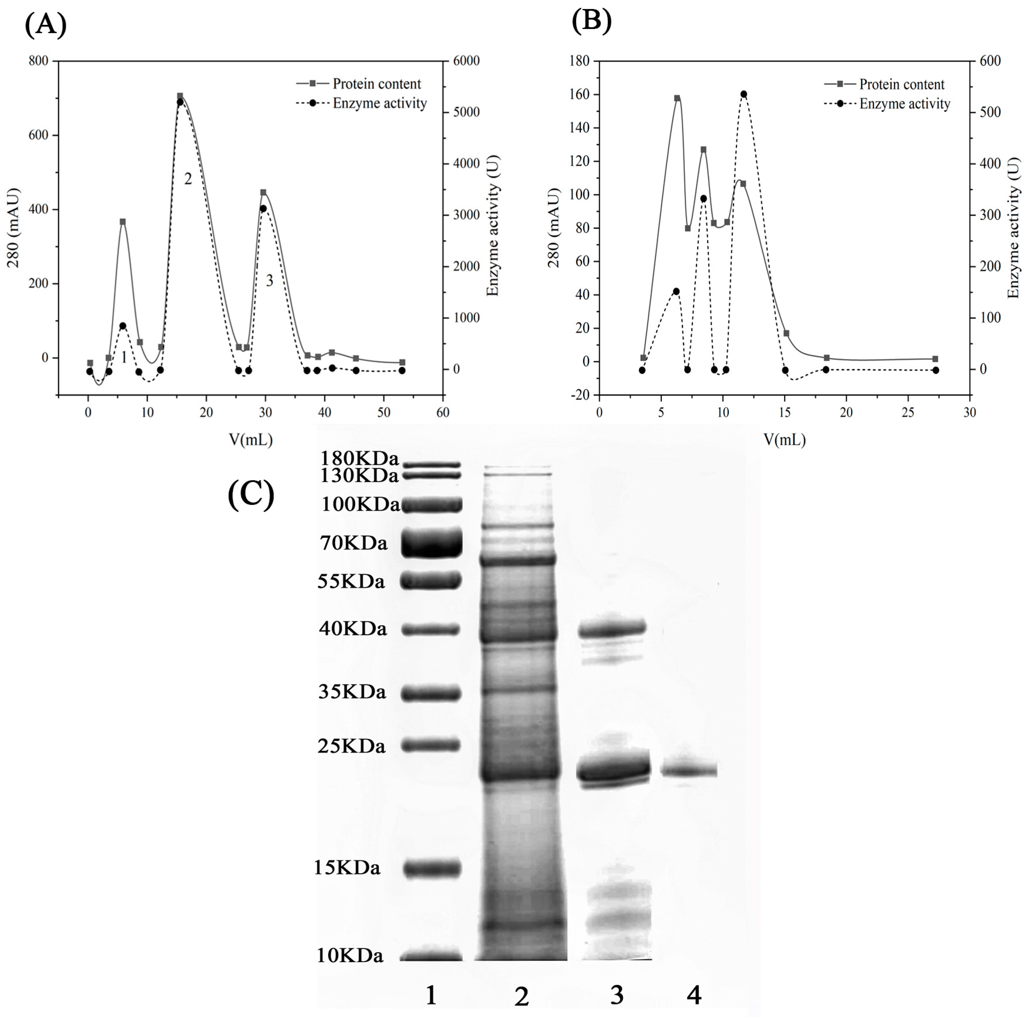
3.1. Protease Purification
3.2. Effects of pH and Temperature on the Activity and Stability of Purified Proteases
3.3. Effects of Metal Ions on Protease Activity
3.4. Effects of Protease Inhibitors and Surfactants on Enzyme Activity
3.5. Quantification of Kinetic Constants for Chemical Reactions
3.6. Unraveling the Enzymatic Potential of Volvariella volvacea Protease on Soybean Protein Isolates
3.6.1. Effects of Optimum Hydrolysis pH, Temperature, and Enzymatic Time on Soybean-Isolate Proteins
3.6.2. Peptide Distribution of Enzymatic Products
3.6.3. Free Amino Acids in Enzymatic Products
4. Conclusions
Author Contributions
Funding
Institutional Review Board Statement
Informed Consent Statement
Data Availability Statement
Conflicts of Interest
References
- Pawar, K.S.; Singh, P.N.; Singh, S.K. Fungal alkaline proteases and their potential applications in different industries. Front. Microbiol. 2023, 14, 1138401. [Google Scholar] [CrossRef]
- Hu, Q.X.; Zhang, G.Q.; Zhang, R.Y.; Hu, D.D.; Wang, H.X.; Ng, T.B. A Novel Aspartic Protease with HIV-1 Reverse Transcriptase Inhibitory Activity from Fresh Fruiting Bodies of the Wild Mushroom. J. Biomed. Biotechnol. 2012, 2012, 728975. [Google Scholar] [CrossRef] [PubMed]
- Majumder, R.; Banik, S.P.; Khowala, S. Purification and characterisation of κ-casein specific milk-clotting metalloprotease from Termitomyces clypeatus MTCC 5091. Food Chem. 2015, 173, 441–448. [Google Scholar] [CrossRef] [PubMed]
- Zhang, X.; Liu, Q.; Zhang, G.; Wang, H.; Ng, T. Purification and molecular cloning of a serine protease from the mushroom Hypsizigus marmoreus. Process Biochem. 2010, 45, 724–730. [Google Scholar] [CrossRef]
- Zhou, L.; Xu, Q.; Zhang, Y.; Zhou, Z.; Guan, W.; Li, Y. Purification, Characterization and in vitro Anthelmintic Activity of a Neutral Metalloprotease from Laccocephalum mylittae. Chin. J. Chem. Eng. 2010, 18, 122–128. [Google Scholar] [CrossRef]
- Li, Y.; Feng, Y.; Shang, Y.; Xu, H.; Xia, R.; Hou, Z.; Pan, S.; Li, L.; Bian, Y.; Zhu, J.; et al. Sexual spores in edible mushroom: Bioactive components, discharge mechanisms and effects on fruiting bodies quality. Food Sci. Hum. Wellness 2023, 12, 2111–2123. [Google Scholar] [CrossRef]
- Zhou, R.; Wang, Y.T.; Li, C.; Jia, S.T.; Shi, Y.A.; Tang, Y.F.; Li, Y.Q. A preliminary study on preparation, characterization, and prebiotic activity of a polysaccharide from the edible mushroom Ramaria flava. J. Food Biochem. 2022, 46, e14371. [Google Scholar] [CrossRef] [PubMed]
- Zheng, L.F.; Yu, X.Y.; Wei, C.H.; Qiu, L.Y.; Yu, C.W.; Xing, Q.; Fan, Y.W.; Deng, Z.Y. Production and characterization of a novel alkaline protease from a newly isolated Neurospora crassa through solid-state fermentation. Lwt-Food Sci. Technol. 2020, 122, 108990. [Google Scholar] [CrossRef]
- Bradford, M.M. A rapid and sensitive method for the quantitation of microgram quantities of protein utilizing the principle of protein-dye binding. Anal. Biochem. 1976, 72, 248–254. [Google Scholar] [CrossRef] [PubMed]
- Sun, F.D.; Sun, Q.X.; Zhang, H.; Kong, B.H.; Xia, X.F. Purification and biochemical characteristics of the microbial extracellular protease from Lactobacillus curvatus isolated from Harbin dry sausages. Int. J. Biol. Macromol. 2019, 133, 987–997. [Google Scholar] [CrossRef] [PubMed]
- Mukhia, S.; Kumar, A.; Kumar, R. Generation of antioxidant peptides from soy protein isolate through psychrotrophic Chryseobacterium sp. derived alkaline broad temperature active protease. Lwt 2021, 143, 111152. [Google Scholar] [CrossRef]
- Khaled, H.B.; Ghorbel-Bellaaj, O.; Hmidet, N.; Jellouli, K.; Ali, N.E.-H.; Ghorbel, S.; Nasri, M. A novel aspartic protease from the viscera of Sardinelle (Sardinella aurita): Purification and characterisation. Food Chem. 2011, 128, 847–853. [Google Scholar] [CrossRef]
- Li, G.; Liu, X.; Cong, S.; Deng, Y.; Zheng, X. A novel serine protease with anticoagulant and fibrinolytic activities from the fruiting bodies of mushroom Agrocybe aegerita. Int. J. Biol. Macromol. 2021, 168, 631–639. [Google Scholar] [CrossRef] [PubMed]
- Benmrad, M.O.; Mechri, S.; Jaouadi, N.Z.; Ben Elhoul, M.; Rekik, H.; Sayadi, S.; Bejar, S.; Kechaou, N.; Jaouadi, B. Purification and biochemical characterization of a novel thermostable protease from the oyster mushroom Pleurotus sajor-caju strain CTM10057 with industrial interest. BMC Biotechnol. 2019, 19, 43. [Google Scholar] [CrossRef] [PubMed]
- Zhang, W.W.; Geng, X.R.; Chen, W.W.; Wang, H.X.; Ng, T.B. Purification and Characterization of a Novel Protease from the Inky Cap Mushroom, Coprinopsis atramentaria (Agaricomycetes). Int. J. Med. Mushrooms 2018, 20, 349–358. [Google Scholar] [CrossRef]
- Zaman, U.; Khan, S.U.; Alem, S.F.M.; Rehman, K.u.; Almehizia, A.A.; Naglah, A.M.; Al-Wasidi, A.S.; Refat, M.S.; Saeed, S.; Zaki, M.E.A. Purification and thermodynamic characterization of acid protease with novel properties from Melilotus indicus leaves. Int. J. Biol. Macromol. 2023, 230, 123217. [Google Scholar] [CrossRef] [PubMed]
- Hashmi, S.; Iqbal, S.; Ahmed, I.; Janjua, H.A. Production, Optimization, and Partial Purification of Alkali-Thermotolerant Proteases from Newly Isolated Bacillus subtilis S1 and Bacillus amyloliquefaciens KSM12. Processes 2022, 10, 1050. [Google Scholar] [CrossRef]
- Ugbede, A.S.; Abioye, O.P.; Aransiola, S.A.; Oyewole, O.A.; Maddela, N.R.; Prasad, R. Production, optimization and partial purification of bacterial and fungal proteases for animal skin dehairing: A sustainable development in leather-making process. Bioresour. Technol. Rep. 2023, 24, 101632. [Google Scholar] [CrossRef]
- Zaman, U.; Rehman, K.u.; Khan, S.U.; Badshah, S.; Hosny, K.M.; Alghamdi, M.A.; Hmid, H.K.; Alissa, M.; Bukhary, D.M.; Abdelrahman, E.A. Production, optimization, and purification of alkaline thermotolerant protease from newly isolated Phalaris minor seeds. Int. J. Biol. Macromol. 2023, 233, 123544. [Google Scholar] [CrossRef] [PubMed]
- Bezerra, R.S.; Santos, J.F.; Paiva, P.M.G.; Correia, M.T.S.; Coelho, L.; Vieira, V.L.A.; Carvalho, L.B. Partial purification and characterization of a thermostable trypsin from pyloric caeca of tambaqui (Colossoma macropomum). J. Food Biochem. 2001, 25, 199–210. [Google Scholar] [CrossRef]
- Wu, J.; Lan, G.; He, N.; He, L.; Li, C.; Wang, X.; Zeng, X. Purification of fibrinolytic enzyme from Bacillus amyloliquefaciens GUTU06 and properties of the enzyme. Food Chem. X 2023, 20, 100896. [Google Scholar] [CrossRef] [PubMed]
- Moon, S.-M.; Kim, J.-S.; Kim, H.-J.; Choi, M.S.; Park, B.R.; Kim, S.-G.; Ahn, H.; Chun, H.S.; Shin, Y.K.; Kim, J.-J.; et al. Purification and characterization of a novel fibrinolytic α chymotrypsin like serine metalloprotease from the edible mushroom, Lyophyllum shimeji. J. Biosci. Bioeng. 2014, 117, 544–550. [Google Scholar] [CrossRef] [PubMed]
- Choi, J.H.; Kim, D.W.; Kim, S.; Kim, S.J. Purification and partial characterization of a fibrinolytic enzyme from the fruiting body of the medicinal and edible mushroom. Prep. Biochem. Biotechnol. 2017, 47, 539–546. [Google Scholar] [CrossRef]
- Sumantha, A.; Sandhya, C.; Szakacs, G.; Soccol, C.R.; Pandey, A. Production and partial purification of a neutral metalloprotease by fungal mixed substrate fermentation. Food Technol. Biotechnol. 2005, 43, 313–319. [Google Scholar]
- Sana, B.; Ghosh, D.; Saha, M.; Mukherjee, J. Purification and characterization of a salt, solvent, detergent and bleach tolerant protease from a new gamma-Proteobacterium isolated from the marine environment of the Sundarbans. Process Biochem. 2006, 41, 208–215. [Google Scholar] [CrossRef]
- Holmquist, B.; Vallee, B.L. Metal substitutions and inhibition of thermolysin: Spectra of the cobalt enzyme. J. Biol. Chem. 1974, 249, 4601–4607. [Google Scholar] [CrossRef]
- Klein, T.; Eckhard, U.; Dufour, A.; Solis, N.; Overall, C.M. Proteolytic Cleavage-Mechanisms, Function, and “Omic” Approaches for a Near-Ubiquitous Posttranslational Modification. Chem. Rev. 2018, 118, 261–292. [Google Scholar] [CrossRef]
- Matkawala, F.; Nighojkar, S.; Kumar, A.; Nighojkar, A. A novel thiol-dependent serine protease from Neocosmospora sp. N1. Heliyon 2019, 5, e02246. [Google Scholar] [CrossRef] [PubMed]
- Gordon, A.; Barbut, S. Meat batter proteins—Effect of chemical modification on structure. J. Sci. Food Agric. 1995, 68, 457–464. [Google Scholar] [CrossRef]
- Shaolan, Y.; Lixin, Z.; Lin, H.; Di, M.; Jing, L.; Zhikui, H.; Zhengbing, G.; Yujie, C.; Xiangru, L. Mining of alkaline proteases from Bacillus altitudinis W3 for desensitization of milk proteins: Their heterologous expression, purification, and characterization. Int. J. Biol. Macromol. 2020, 153, 1220–1230. [Google Scholar] [CrossRef]
- Zhang, A.; Wu, H.; Chen, X.; Chen, Z.; Pan, Y.; Qu, W.; Hao, H.; Chen, D.; Xie, S. Targeting and arginine-driven synergizing photodynamic therapy with nutritional immunotherapy nanosystems for combating MRSA biofilms. Sci. Adv. 2023, 9, eadg9116. [Google Scholar] [CrossRef] [PubMed]
- Kohl, S.; Behrens, M.; Dunkel, A.; Hofmann, T.; Meyerhof, W. Amino Acids and Peptides Activate at Least Five Members of the Human Bitter Taste Receptor Family. J. Agric. Food Chem. 2013, 61, 53–60. [Google Scholar] [CrossRef] [PubMed]





| Purification Steps | Protein Content (mg) | Total Activity (U) | Specific Enzyme Activity (U/mg) | Purification Factor |
|---|---|---|---|---|
| Ammonium sulfate precipitation | 354.63 ± 12.42 a | 7544 ± 253 a | 21.27 ± 0.04 c | 1 |
| DEAE-Sepharose FF | 20.58 ± 1.26 b | 3186 ± 118 b | 154.84 ± 3.73 b | 7.28 ± 0.17 |
| Sephadex-G75 Chromatography | 1.88 ± 0.19 c | 539 ± 23 c | 286.82 ± 16.77 a | 13.48 ± 0.06 |
| Metal Ions | Concentration | Relative Activity (%) |
|---|---|---|
| None | - | 100 ± 1 |
| Ca2+ | 5 mM | 150 ± 2 |
| Cu2+ | 5 mM | 43 ± 2 |
| Fe2+ | 5 mM | 89 ± 1 |
| Mg2+ | 5 mM | 96 ± 3 |
| Ni2+ | 5 mM | 36 ± 2 |
| Co2+ | 5 mM | 86 ± 2 |
| Zn2+ | 5 mM | 79 ± 3 |
| Chemical Reagents | Concentration | Relative Activity (%) |
|---|---|---|
| None | - | 100 ± 2 |
| PMSF | 1 mM | 64 ± 2 |
| EDTA | 4 mM | 80 ± 1 |
| β-mercaptoethanol | 2 mM | 38 ± 3 |
| CTAB | 10 mM | 64 ± 2 |
| Tween-80 | 5% | 49 ± 2 |
| Triton X-100 | 5% | 27 ± 3 |
| Enzymatic Products | ≥30 kDa (%) | 10–30 kDa (%) | 4–10 kDa (%) | ≤4 kDa (%) |
|---|---|---|---|---|
| V. volvacea protease digestion products | 73.92 | 15.09 | 2.12 | 8.86 |
| Trypsin digestion products | 60.2 | 8.2 | 18.84 | 12.76 |
| Free Amino Acid Species | V. volvacea Protease Digestion Products (%) | Trypsin Digestion Products (%) |
|---|---|---|
| Asp | 4.77 | 0.81 |
| Thr | 2.99 | 3.15 |
| Ser | 1.89 | 5.34 |
| Glu | 5.87 | 10.08 |
| Gly | 2.57 | 2.85 |
| Ala | 8.80 | 8.97 |
| Val | 2.84 | 4.12 |
| Cys | - | 0.54 |
| Met | 3.57 | 2.76 |
| Ile | 1.29 | 4.77 |
| Leu | 8.25 | 11.45 |
| Tyr | 4.68 | 9.92 |
| Phe | 18.32 | 14.45 |
| Lys | 5.35 | 11.11 |
| His | 2.00 | 3.77 |
| Arg | 20.15 | - |
| Pro | 2.51 | 0.45 |
| Trp | 4.13 | 5.44 |
Disclaimer/Publisher’s Note: The statements, opinions and data contained in all publications are solely those of the individual author(s) and contributor(s) and not of MDPI and/or the editor(s). MDPI and/or the editor(s) disclaim responsibility for any injury to people or property resulting from any ideas, methods, instructions or products referred to in the content. |
© 2025 by the authors. Licensee MDPI, Basel, Switzerland. This article is an open access article distributed under the terms and conditions of the Creative Commons Attribution (CC BY) license (https://creativecommons.org/licenses/by/4.0/).
Share and Cite
Xu, B.; Li, Z.; Guo, Q.; Zha, L.; Li, C.; Yu, P.; Chen, M.; Zhao, Y. The Purification and Characterization of a Novel Neutral Protease from Volvariella volvacea Fruiting Bodies and the Enzymatic Digestion of Soybean Isolates. J. Fungi 2025, 11, 190. https://doi.org/10.3390/jof11030190
Xu B, Li Z, Guo Q, Zha L, Li C, Yu P, Chen M, Zhao Y. The Purification and Characterization of a Novel Neutral Protease from Volvariella volvacea Fruiting Bodies and the Enzymatic Digestion of Soybean Isolates. Journal of Fungi. 2025; 11(3):190. https://doi.org/10.3390/jof11030190
Chicago/Turabian StyleXu, Baoting, Zhiping Li, Qian Guo, Lei Zha, Chuanhua Li, Panling Yu, Mingjie Chen, and Yan Zhao. 2025. "The Purification and Characterization of a Novel Neutral Protease from Volvariella volvacea Fruiting Bodies and the Enzymatic Digestion of Soybean Isolates" Journal of Fungi 11, no. 3: 190. https://doi.org/10.3390/jof11030190
APA StyleXu, B., Li, Z., Guo, Q., Zha, L., Li, C., Yu, P., Chen, M., & Zhao, Y. (2025). The Purification and Characterization of a Novel Neutral Protease from Volvariella volvacea Fruiting Bodies and the Enzymatic Digestion of Soybean Isolates. Journal of Fungi, 11(3), 190. https://doi.org/10.3390/jof11030190

