Antifungal Activity of Disalt of Epipyrone A from Epicoccum nigrum Likely via Disrupted Fatty Acid Elongation and Sphingolipid Biosynthesis
Abstract
1. Introduction
2. Materials and Methods
2.1. Chemicals
2.2. Fungal Strains
2.3. Extraction and Purification of Disalt of Epipyrone A (DEA)
2.4. Liquid Bioactivity Assay
2.5. Chemical-Genetic Analysis of Haploid Deletion Library
2.6. Culture Preparation for Metabolomics
2.7. Sampling and Extraction Procedure for Intracellular Metabolite Analysis
2.8. Extracellular Metabolite Analysis
2.9. Separation, Identification, and Analysis of Metabolites
2.10. Proteome-Wide Protein Abundance and Localization Analysis
2.11. Thin-Layer Chromatography (TLC)
3. Results
3.1. Bioativity of DEA in Yeast
3.2. Chemical-Genetic Profiling Distinguishes the Importance of Endocytosis, Fatty Acid Elongation, Cell Wall Integrity, and Actin Cytoskeleton as Mechanisms Buffering DEA Bioactivity
3.3. Metabolomic Analysis Reveals Increased Membrane Permeability and Increased Intracellular Phenolic Acid Accumulation Induced by DEA
3.4. Fluorescence Microscopy Confirms Interruption of Sphingolipid Biosynthesis by DEA
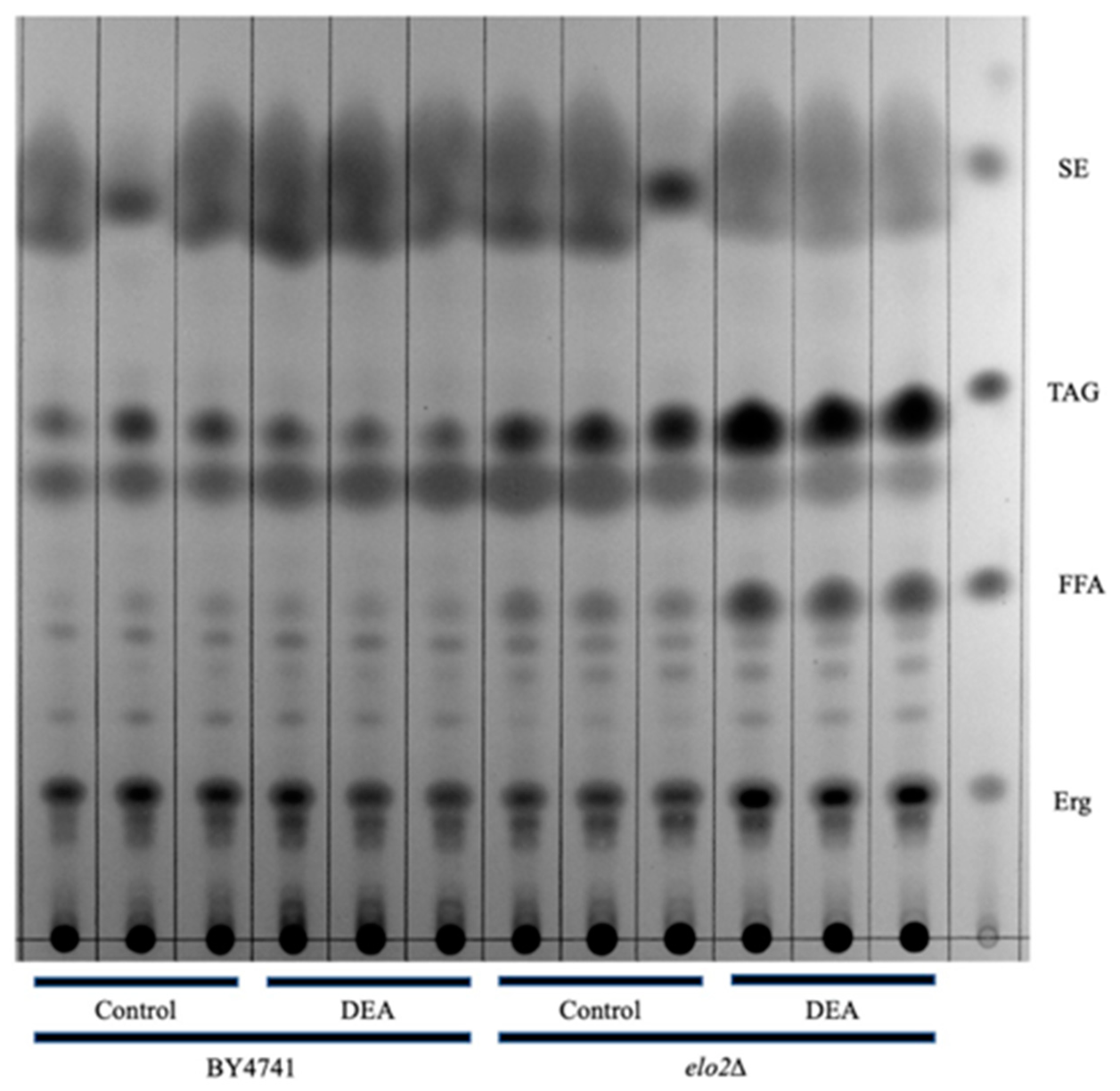
3.5. Thin Layer Chromatography Confirms the Effect of DEA on Lipid Metabolism
4. Discussion
5. Conclusions
Supplementary Materials
Author Contributions
Funding
Institutional Review Board Statement
Informed Consent Statement
Data Availability Statement
Acknowledgments
Conflicts of Interest
References
- Chen, Y.; Mallick, J.; Maqnas, A.; Sun, Y.; Choudhury, B.I.; Côte, P.; Yan, L.; Ni, T.; Li, Y.; Zhang, D.; et al. Chemogenomic profiling of the fungal pathogen Candida albicans. Antimicrob. Agents Chemother. 2018, 62, 10–1128. [Google Scholar] [CrossRef] [PubMed]
- Revie, N.M.; Iyer, K.R.; Robbins, N.; Cowen, L.E. Antifungal drug resistance: Evolution, mechanisms and impact. Curr. Opin. Microbiol. 2018, 45, 70–76. [Google Scholar] [CrossRef]
- Perfect, J.R. The antifungal pipeline: A reality check. Nat. Rev. Drug Discov. 2017, 16, 603–616. [Google Scholar] [CrossRef] [PubMed]
- Jiang, Z.; Liu, N.; Hu, D.; Dong, G.; Miao, Z.; Yao, J.; He, H.; Jiang, Y.; Zhang, W.; Wang, Y.; et al. The discovery of novel antifungal scaffolds by structural simplification of the natural product sampangine. Chem. Commun. 2015, 51, 14648–14651. [Google Scholar] [CrossRef] [PubMed]
- Mor, V.; Rella, A.; Farnou, A.M.; Singh, A.; Munshi, M.; Bryan, A.; Naseem, S.; Konopka, J.B.; Ojima, I.; Bullesbach, E.; et al. Identification of a new class of antifungals targeting the synthesis of fungal sphingolipids. mBio 2015, 6, 1110–1128. [Google Scholar] [CrossRef] [PubMed]
- Stierle, A.A.; Stierle, D.B.; Decato, D.; Priestley, N.D.; Alverson, J.B.; Hoody, J.; McGrath, K.; Klepacki, D. The berkeleylactones, antibiotic macrolides from fungal coculture. J. Nat. Prod. 2017, 80, 1150–1160. [Google Scholar] [CrossRef] [PubMed]
- Basak, A.; Chakraborty, R.; Mandal, S.M. Recent Trends in Antifungal Agents and Antifungal Therapy; Springer: New Delhi, India, 2016; 250p. [Google Scholar]
- Genilloud, O. Natural product reports Actinomycetes: Still a source of novel antibiotics. Nat. Prod. Rep. 2017, 34, 1203–1232. [Google Scholar] [CrossRef]
- Hahn, M. The rising threat of fungicide resistance in plant pathogenic fungi: Botrytis as a case study. J. Chem. Biol. 2014, 7, 133–141. [Google Scholar] [CrossRef]
- Juliano, R.; Lopez-Berestein, G.; Hopfer, R.; Mills, K. Selective toxicity and enhanced therapeutic index of liposomal polyene antibiotics in systemic fungal infections. Ann. N. Y. Acad. Sci. 1985, 446, 390–402. [Google Scholar] [CrossRef]
- Ng, A.W.K.; Wasan, K.M.; Lopez-Berestein, G. Development of liposomal polyene antibiotics: An historical perspective. J. Pharm. Pharm. Sci. 2003, 6, 67–83. [Google Scholar]
- Alves, D.; Mario, N.; Denardi, L.B.; Bandeira, L.A.; Antunes, M.S.; Santurio, J.M.; Severo, L.C.; Alves, S.H. The activity of echinocandins, amphotericin B and voriconazole against fluconazole-susceptible and fluconazole-resistant Brazilian Candida glabrata isolates. Mem. Inst. Oswaldo Cruz 2012, 107, 433–436. [Google Scholar]
- Eschenauer, G.; Depestel, D.D.; Carver, P.L. Comparison of echinocandin antifungals. Ther. Clin. Risk Manag. 2007, 3, 71–98. [Google Scholar] [CrossRef] [PubMed]
- Wright, G.D. Natural product reports opportunities for natural products in 21st century antibiotic discovery. Nat. Prod. Rep. 2017, 34, 694–701. [Google Scholar] [CrossRef]
- Bladt, T.T.; Frisvad, J.C.; Knudsen, P.B.; Larsen, T.O. Anticancer and antifungal compounds from Aspergillus, Penicillium and other filamentous fungi. Molecules 2013, 18, 11338–11376. [Google Scholar] [CrossRef]
- Vicente, F.; Basilio, A.; Cabello, A.; Pelaz, F. Microbial natural products as a source of antifungals. Clin. Microbiol. Infect. 2003, 9, 15032. [Google Scholar] [CrossRef]
- Brown, A.E.; Finlay, R.; Ward, J.S. Antifungal compounds produced by soil-borne plant pathogenic fungi. Soil Biol. Biochem. 1987, 19, 657–664. [Google Scholar] [CrossRef]
- Burge, W.; Buckley, L. Isolation and biological activity of the pigments of the mold Epicoccum nigrum. J. Agric. 1976, 24, 555–559. [Google Scholar] [CrossRef] [PubMed]
- Frederick, C.B.; Bentley, M.D.; Shive, W. Structure of triornicin, a new siderophore. Biochemistry 1981, 20, 2436–2438. [Google Scholar] [CrossRef] [PubMed]
- Peng, J.; Jiao, J.; Li, J.; Wang, W.; Gu, Q.; Zhu, T.; Dehai, L. Pyronepolyene C-glucosides with NF- KB inhibitory and anti-influenza A viral (H1N1) activities from the sponge-associated fungus Epicoccum sp. JJY40. Bioorg. Med. Chem. Lett. 2012, 22, 3188–3190. [Google Scholar] [CrossRef]
- Kimura, J.; Furui, M.; Kanda, M.; Sugiyama, M. Telomerase Inhibitor. JP2002047281A, 28 July 2002. [Google Scholar]
- Lee, A.J.; Cadelis, M.M.; Kim, S.H.; Swift, S.; Copp, B.R.; Villas-Boas, S.G. Epipyrone A, a broad-spectrum antifungal compound produced by Epicoccum nigrum ICMP 19927. Molecules 2020, 25, 5997. [Google Scholar] [CrossRef]
- Park, H.B.; Yang, H.O.; Lee, K.R.; Kwon, H.C. Gombapyrones E and F, new α-pyrone polyenes produced by Streptomyces sp. KMC-002. Molecules 2011, 16, 3519–3529. [Google Scholar] [CrossRef]
- Madden, K.S.; Mosa, F.A.; Whiting, A. Non-isoprenoid polyene natural products- structures and synthetic strategies. Org. Biomol. Chem. 2014, 12, 7877–7899. [Google Scholar] [CrossRef] [PubMed]
- François, I.E.J.A.; Cammue, B.P.A.; Borgers, M.; Ausma, J.; Dispersyn, G.D.; Thevissen, K. Azoles: Mode of antifungal action and resistance development. Effect of miconazole on endogenous reactive oxygen species production in Candida albicans. Antiinfect. Agents Med. Chem. 2006, 5, 3–13. [Google Scholar] [CrossRef]
- Denning, D.W. Echinocandins: A new class of antifungal. J. Antimicrob. Chemother. 2002, 49, 889–891. [Google Scholar] [CrossRef]
- Thirsk, C.; Whiting, A. Polyene natural products. J. Chem. Soc. Perkin Trans. 1 2002, 8, 999–1023. [Google Scholar] [CrossRef]
- Rollin-Pinheiro, R.; Singh, A.; Poeta, M.D. Sphingolipids as targets for treatment of fungal infections. Futur. Med. Chem. 2016, 8, 1469–1484. [Google Scholar] [CrossRef]
- Smart, K.F.; Aggio, R.B.M.; Van Houtte, J.R.; Villas-Boas, S.G. Analytical platform for metabolome analysis of microbial cells using methyl chloroformate derivatization followed by gas chromatography-mass spectrometry. Nat. Protoc. 2010, 5, 1709–1729. [Google Scholar] [CrossRef] [PubMed]
- Tkach, J.M.; Yimit, A.; Lee, A.Y.; Riffle, M.; Costanzo, M.; Jaschob, D.; Hendry, J.A.; Ou, J.; Moffat, J.; Boone, C.; et al. Dissecting DNA damage response pathways by analysing protein localization and abundance changes during DNA replication stress. Nat. Cell Biol. 2012, 14, 966–976. [Google Scholar] [CrossRef]
- Kurat, C.F.; Natter, K.; Petschnigg, J.; Wolinski, H.; Scheuringer, K.; Scholz, H.; Zimmermann, R.; Leber, R.; Zechner, R.; Kohlwein, S.D. Obese yeast: Triglyceride lipolysis is functionally conserved from mammals to yeast. J. Biol. Chem. 2006, 281, 491–500. [Google Scholar] [CrossRef]
- Folch, J.; Lees, M.; Sloane-Stanley, G.H. A simple method for the isolation and purification of total lipids from animal tissues. J. Biol. Chem. 1957, 226, 497–509. [Google Scholar] [CrossRef]
- Parsons, A.B.; Lopez, A.; Givoni, I.E.; Williams, D.E.; Gray, C.A.; Porter, J.; Chua, G.; Sopko, R.; Brost, R.L.; Ho, C.-H.; et al. Exploring the mode-of-action of bioactive compounds by chemical-genetic profiling in yeast. Cell 2006, 126, 611–625. [Google Scholar] [CrossRef]
- Breton, A.M.; Schaeffer, J.; Aigle, M. The yeast Rvs161 and Rvs167 proteins are involved in secretory vesicles targeting the plasma membrane and in cell integrity. Yeast 2001, 18, 1053–1068. [Google Scholar] [CrossRef] [PubMed]
- Rawlings, A. Metabolism of sphingolipids in Saccharomyces cerevisiae. SSRN Electron. J. 2018, 1, 1–21. [Google Scholar] [CrossRef]
- Oh, C.S.; Toke, D.A.; Mandala, S.; Martin, C.E. ELO2 and ELO3, homologues of the Saccharomyces cerevisiae ELO1 gene, function in fatty acid elongation and are required for sphingolipid formation. J. Biol. Chem. 1997, 272, 17376–17384. [Google Scholar] [CrossRef]
- García, R.; Botet, J.; Rodríguez-Peña, J.M.; Bermejo, C.; Ribas, J.C.; Revuelta, J.L.; Nombela, C.; Arroyo, J. Genomic profiling of fungal cell wall-interfering compounds: Identification of a common gene signature. BMC Genom. 2015, 16, 683. [Google Scholar] [CrossRef] [PubMed]
- Flagfeldt, D.B.; Siewers, V.; Huang, L.; Nielsen, J. Characterization of chromosomal integration sites for heterologous gene expression in Saccharomyces cerevisiae. Yeast 2009, 26, 545–551. [Google Scholar] [CrossRef]
- Tarasov, K.; Stefanko, A.; Casanovas, A.; Surma, M.A.; Berzina, Z.; Hannibal-Bach, H.K.; Ekroosa, K.; Ejsing, C.S. High-content screening of yeast mutant libraries by shotgun lipidomics. Mol. BioSyst. 2014, 10, 1364–1376. [Google Scholar] [CrossRef]
- Esch, B.; Sergej, L.; Bogdanowski, A.; Gournas, C.; More, T.; Sundag, C.; Walter, S.; Heinisch, J.J.; Ejsing, C.S.; André, B.; et al. Uptake of exogenous serine is important to maintain sphingolipid homeostasis in Saccharomyces cerevisiae. PLoS Genet. 2020, 16, e1008745. [Google Scholar] [CrossRef]
- Mcevoy, K.; Normile, T.G.; Poeta, M.D. Antifungal drug development: Targeting the fungal sphingolipid pathway. J. Fungi 2020, 6, 142. [Google Scholar] [CrossRef]
- Kanehisa, M.; Goto, S. KEGG: Kyoto Encyclopedia of Genes and Genomes. Nucleic Acids Res. Spec. Publ. 2000, 28, 27–30. [Google Scholar] [CrossRef]
- Adeboye, P.T.; Bettiga, M.; Olsson, L. The chemical nature of phenolic compounds determines their toxicity and induces distinct physiological responses in Saccharomyces cerevisiae in lignocellulose hydrolysates. AMB Express 2014, 4, 46. [Google Scholar] [CrossRef]
- Pinu, F.R.; Granucci, N.; Daniell, J.; Han, T.-L.; Carneiro, S.; Rocha, I.; Nielsen, J.; Villas-Boas, S.G. Metabolite secretion in microorganisms: The theory of metabolic overflow put to the test. Metabolomics 2018, 14, 43. [Google Scholar] [CrossRef] [PubMed]
- Granucci, N.; Pinu, F.R.; Han, T.L.; Villas-Boas, S.G. Can we predict the intracellular metabolic state of a cell based on extracellular metabolite data? Mol. Biosyst. 2015, 11, 3297–3304. [Google Scholar] [CrossRef] [PubMed]
- Lesuisse, E.; Simon-Casteras, M.; Labbe, P. Siderophore-mediated iron uptake in Saccharomyces cerevisiae: The SIT1 gene encodes a ferrioxamine B permease that belongs to the major facilitator superfamily. Microbiology 1998, 144, 3455–3462. [Google Scholar] [CrossRef]
- Macdonald, C.; Stringer, D.K.; Piper, R.C. Sna3 is an Rsp5 adaptor protein that relies on ubiquitination for its MVB sorting. Traffic 2012, 13, 586–598. [Google Scholar] [CrossRef]
- Müller, O.; Neumann, H.; Bayer, M.J.; Mayer, A. Role of the Vtc proteins in V-ATPase stability and membrane trafficking. J. Cell. Sci. 2003, 116, 1107–1115. [Google Scholar] [CrossRef] [PubMed]
- Tibbetts, A.S.; Appling, D.R. Saccharomyces cerevisiae expresses two genes encoding isozymes of 5-aminoimidazole-4-carboxamide ribonucleotide transformylase. Arch. Biochem. Biophys. 1997, 340, 195–200. [Google Scholar] [CrossRef]
- Ohyas, Y.; Kawasaki, H.; Suzukis, K. Two yeast genes encoding calmodulin-dependent protein kinases. J. Biol. Chem. 1991, 266, 12784–12794. [Google Scholar]
- Uemura, S.; Kihara, A.; Inokuchi, J.; Igarashi, Y. Csg1p and newly identified Csh1p function in mannosylinositol phosphorylceramide synthesis by interacting with Csg2p*. J. Biol. Chem. 2003, 278, 45049–45055. [Google Scholar] [CrossRef]
- Milkereit, P.; Gadal, O.; Podtelejnikov, A.; Trumtel, S.; Gas, N.; Petfalski, E.; Tollervey, D.; Mann, M.; Hurt, E.; Tschochner, H. Maturation and intranuclear transport of pre-ribosomes requires Noc proteins. Cell 2001, 105, 499–509. [Google Scholar] [CrossRef]
- Stock, S.D.; Hama, H.; Radding, J.A.; Young, D.A.; Takemoto, J.Y. Syringomycin E inhibition of Saccharomyces cerevisiae: Requirement for biosynthesis of sphingolipids with very-long-chain fatty acids and mannose- and phosphoinositol-containing head groups. Antimicrob. Agents Chemother. 2000, 44, 1174–1180. [Google Scholar] [CrossRef]
- Roy, A.; Lu, C.F.; Marykwas, D.L.; Lipke, P.N.; Kurjan, J. The AGA1 product is involved in cell surface attachment of the Saccharomyces cerevisiae cell adhesion glycoprotein a-agglutinin. Mol. Cell Biol. 1991, 11, 4196–4206. [Google Scholar]
- Funato, K.; Riezman, H. Biosynthesis and trafficking of sphingolipids in the yeast Saccharomyces cerevisiae. Biochemistry 2002, 41, 15105–15114. [Google Scholar] [CrossRef]
- Gao, J.; Wang, H.; Li, Z.; Wong, A.H.; Zeng, G.; Wang, Y.; Guo, Y.; Lin, X.; Zeng, G.; Liu, H.; et al. Candida albicans gains azole resistance by altering sphingolipid composition. Nat. Comm. 2018, 9, 4495. [Google Scholar] [CrossRef]
- Lindahl, L.; Santos, A.X.S.; Olsson, H.; Olsson, L.; Bettiga, M. Membrane engineering of S. cerevisiae targeting sphingolipid metabolism. Sci. Rep. 2017, 7, 41868. [Google Scholar] [CrossRef]
- Dickson, R.C. New insights into sphingolipid metabolism and function in budding yeast. J. Lipid Res. 2008, 49, 909–921. [Google Scholar] [CrossRef] [PubMed]
- Dickson, R.C. Roles for sphingolipids in Saccharomyces cerevisiae. Adv. Exp. Med. Biol. 2010, 688, 217–231. [Google Scholar]
- Morgan, J.; Mccourt, P.; Rankin, L.; Swain, E.; Rice, L.M.; Nickels, J.T. Altering sphingolipid metabolism in Saccharomyces cerevisiae cells lacking the amphiphysin ortholog Rvs161 reinitiates sugar transporter endocytosis. Eukaryot. Cell 2009, 8, 779–789. [Google Scholar] [CrossRef] [PubMed]
- Nakase, M.; Tani, M.; Morita, T.; Kitamoto, H.K.; Kashiwazaki, J.; Nakamura, T.; Hosomi, A.; Tanaka, N.; Takegawa, K. Mannosylinositol phosphorylceramide is a major sphingolipid component and is required for proper localization of plasma-membrane proteins in Schizosaccharomyces pombe. J. Cell Sci. 2010, 123, 1578–1587. [Google Scholar] [CrossRef] [PubMed]
- Erpapazoglou, Z.; Froissard, M.; Nondier, I.; Lesuisse, E.; Haguenauer-Tsapis, R.; Belgareh-Touzé, N. Substrate- and ubiquitin-dependent trafficking of the yeast siderophore transporter Sit1. Traffic 2008, 9, 1372–1391. [Google Scholar] [CrossRef]
- Lauwers, E.; Erpapazoglou, Z.; Haguenauer-Tsapis, R.; Andre, B. The ubiquitin code of yeast permease trafficking. Trends Cell Biol. 2010, 20, 196–204. [Google Scholar] [CrossRef] [PubMed]
- Bossche, H.; Engelen, M.; Rochette, F. Antifungal agents of use in animal health—Chemical, biochemical, and pharmacological aspects. J. Vet. Pharmacol. Ther. 2003, 26, 5–29. [Google Scholar] [CrossRef] [PubMed]









Disclaimer/Publisher’s Note: The statements, opinions and data contained in all publications are solely those of the individual author(s) and contributor(s) and not of MDPI and/or the editor(s). MDPI and/or the editor(s) disclaim responsibility for any injury to people or property resulting from any ideas, methods, instructions or products referred to in the content. |
© 2024 by the authors. Licensee MDPI, Basel, Switzerland. This article is an open access article distributed under the terms and conditions of the Creative Commons Attribution (CC BY) license (https://creativecommons.org/licenses/by/4.0/).
Share and Cite
Lee, A.J.; Hammond, J.; Sheridan, J.; Swift, S.; Munkacsi, A.B.; Villas-Boas, S.G. Antifungal Activity of Disalt of Epipyrone A from Epicoccum nigrum Likely via Disrupted Fatty Acid Elongation and Sphingolipid Biosynthesis. J. Fungi 2024, 10, 597. https://doi.org/10.3390/jof10090597
Lee AJ, Hammond J, Sheridan J, Swift S, Munkacsi AB, Villas-Boas SG. Antifungal Activity of Disalt of Epipyrone A from Epicoccum nigrum Likely via Disrupted Fatty Acid Elongation and Sphingolipid Biosynthesis. Journal of Fungi. 2024; 10(9):597. https://doi.org/10.3390/jof10090597
Chicago/Turabian StyleLee, Alex J., Joseph Hammond, Jeffrey Sheridan, Simon Swift, Andrew B. Munkacsi, and Silas G. Villas-Boas. 2024. "Antifungal Activity of Disalt of Epipyrone A from Epicoccum nigrum Likely via Disrupted Fatty Acid Elongation and Sphingolipid Biosynthesis" Journal of Fungi 10, no. 9: 597. https://doi.org/10.3390/jof10090597
APA StyleLee, A. J., Hammond, J., Sheridan, J., Swift, S., Munkacsi, A. B., & Villas-Boas, S. G. (2024). Antifungal Activity of Disalt of Epipyrone A from Epicoccum nigrum Likely via Disrupted Fatty Acid Elongation and Sphingolipid Biosynthesis. Journal of Fungi, 10(9), 597. https://doi.org/10.3390/jof10090597

