Fungal Abscess of Anterior Nasal Septum Complicating Maxillary Sinus Fungal Ball Rhinosinusitis Caused by Aspergillus flavus: Case Report and Review of Literature
Abstract
1. Introduction
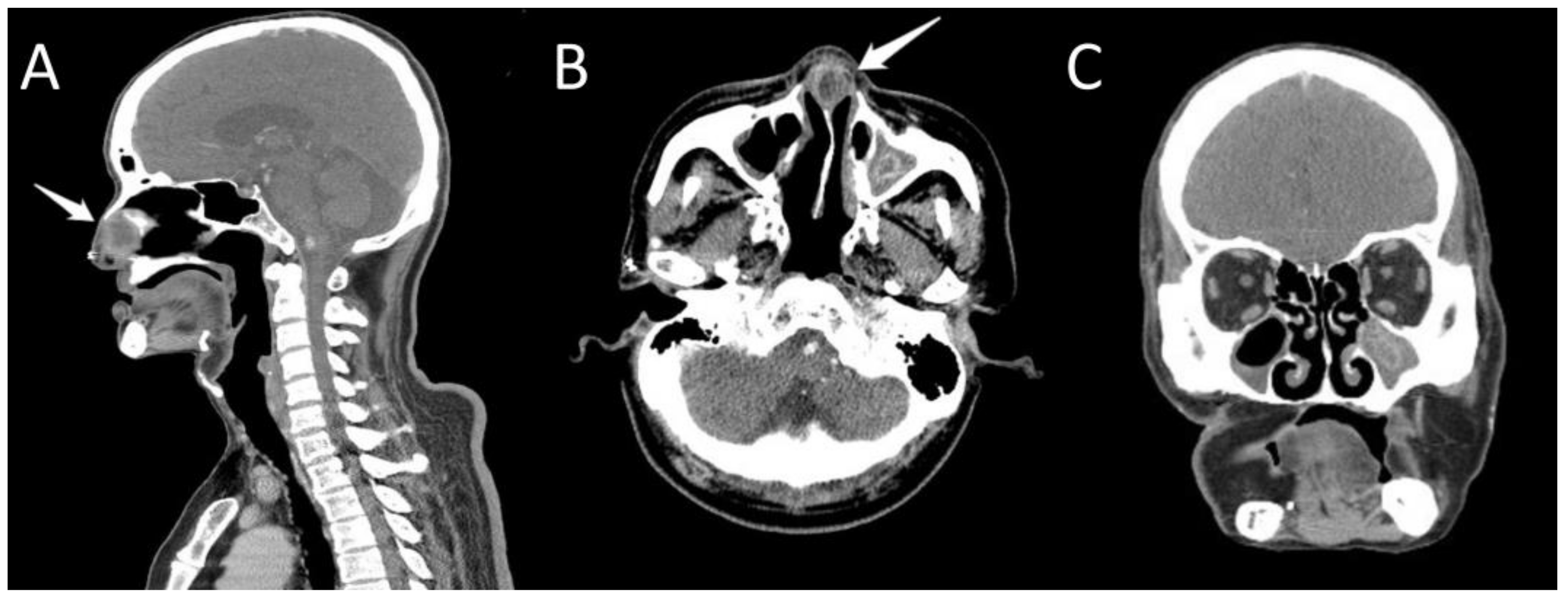
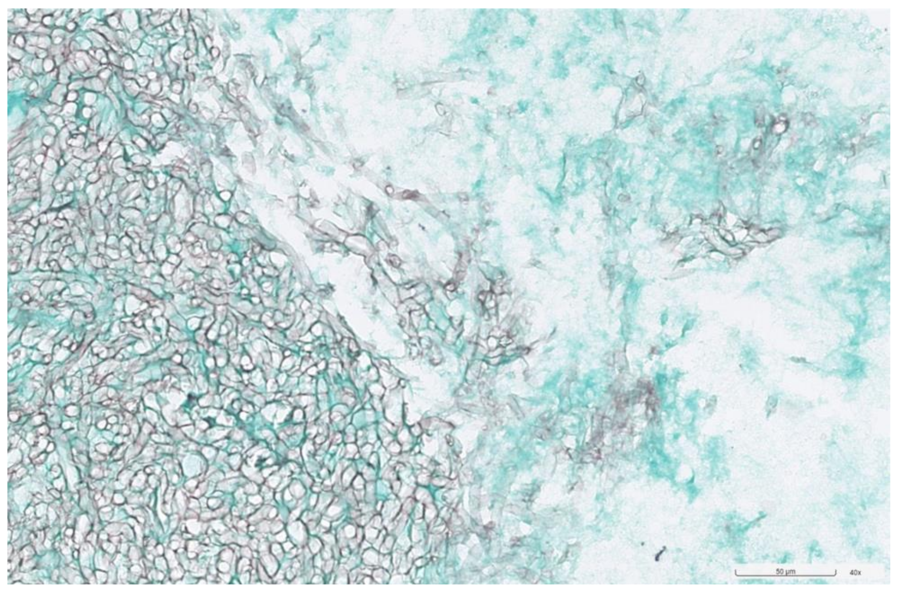
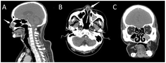
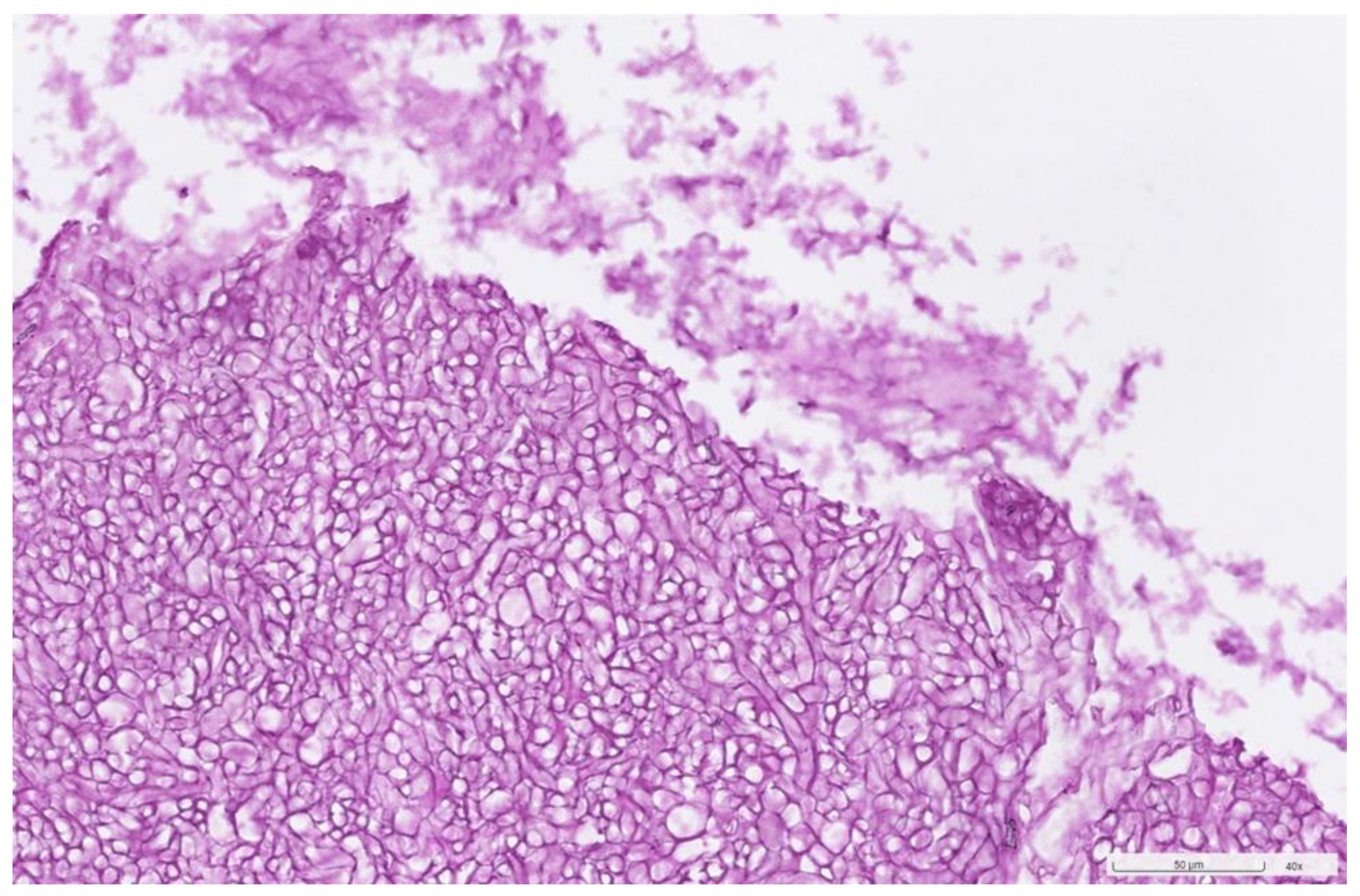
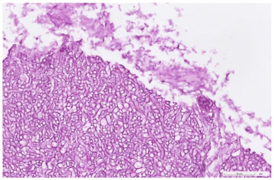
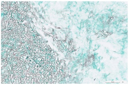
2. Case Presentation
3. Discussion
4. Conclusions
Author Contributions
Funding
Institutional Review Board Statement
Informed Consent Statement
Data Availability Statement
Acknowledgments
Conflicts of Interest
References
- Kishimoto, I.; Shinohara, S.; Ueda, T.; Tani, S.; Yoshimura, H.; Imai, Y. Orbital apex syndrome secondary to a fungal nasal septal abscess caused by Scedosporium apiospermum in a patient with uncontrolled diabetes: A case report. BMC Infect. Dis. 2017, 17, 649. [Google Scholar] [CrossRef]
- Patel, R.; Orlandi, R.R. Fungal septal abscess complicating maxillary sinus fungus balls in an immunocompetent host. Allergy Rhinol. 2015, 6, 184–187. [Google Scholar] [CrossRef] [PubMed]
- Rochdi, Y.; Labani, Y.; Oulghoul, O.; Fakiri, M.M.E.; Nouri, H.; Raji, A. Fungal nasal septum abscess caused by Aspergillus flavus complicating sinonasal surgery. Pan Afr. Med. J. 2020, 36, 234. [Google Scholar] [CrossRef]
- Walker, R.; Gardner, L.; Sindwani, R. Fungal nasal septal abscess in the immunocompromised patient. Otolaryngol. Head Neck Surg. 2007, 136, 506–507. [Google Scholar] [CrossRef] [PubMed]
- Dornbusch, H.J.; Buzina, W.; Summerbell, R.C.; Lass-Flörl, C.; Lackner, H.; Schwinger, W.; Sovinz, P.; Urban, C. Fusarium verticillioides abscess of the nasal septum in an immunosuppressed child: Case report and identification of the morphologically atypical fungal strain. J. Clin. Microbiol. 2005, 43, 1998–2001. [Google Scholar] [CrossRef]
- Sohn, H.G.; Yoon, M.H.; Kim, T.E.; Yeo, N.-K. Invasive Aspergillosis Associated Bacterial Infection in the Nasal Septum after Sphenoid Sinus Surgery. Korean J. Otorhinolaryngol. Head Neck Surg. 2018, 61, 541–545. [Google Scholar] [CrossRef]
- Cho, I.-K.; Chung, Y.-J. A Case of Nasal Septal Abscess Caused by Combined Bacterial and Fungal Infection in the Immunocompromised Patient. Korean J. Otorhinolaryngol. Head Neck Surg. 2012, 55, 378–381. [Google Scholar] [CrossRef]
- Naeem, F.; Rubnitz, J.E.; Hakim, H. Isolated nasal septum necrosis caused by Aspergillus flavus in an immunocompromised child. Pediatr. Infect. Dis. J. 2011, 30, 627–629. [Google Scholar] [CrossRef]
- Siberry, G.K.; Costarangos, C.; Cohen, B.A. Destruction of the nasal septum by Aspergillus infection after autologous bone marrow transplantation. N. Engl. J. Med. 1997, 337, 275–276. [Google Scholar] [CrossRef]
- Debnam, J.M.; Gillenwater, A.M.; Ginsberg, L.E. Nasal septal abscess in patients with immunosuppression. Am. J. Neuroradiol. 2007, 28, 1878–1879. [Google Scholar] [CrossRef]
- Parent-Michaud, M.; Dufresne, P.J.; Fournier, É.; Martineau, C.; Moreira, S.; Perkins, V.; de Repentigny, L.; Dufresne, S.F. Draft Genome Sequence of Azole-Resistant Aspergillus thermomutatus (Neosartorya pseudofischeri) Strain HMR-AF-39, Isolated from a Human Nasal Septum Abscess Aspirate. Microbiol. Resour. Announc. 2019, 8, e01444-18. [Google Scholar] [CrossRef] [PubMed]
- Izoton, C.F.G.; de Brito Sousa, A.X.; Valete, C.M.; Schubach, A.O.; Procópio-Azevedo, A.C.; Zancopé-Oliveira, R.M.; de Macedo, P.M.; Gutierrez-Galhardo, M.C.; Castro-Alves, J.; Almeida-Paes, R.; et al. Sporotrichosis in the nasal mucosa: A single-center retrospective study of 37 cases from 1998 to 2020. PLoS Negl. Trop. Dis. 2023, 17, e0011212. [Google Scholar] [CrossRef]
- Escalante, L.; Granizo-Rubio, J.; Pinos-Leon, V.; Tello, S.; Maldonado, A.; Cherrez-Ojeda, I. Nasal cartilage destruction associated to cutaneous histoplasmosis in AIDS. BMC Infect. Dis. 2022, 22, 377. [Google Scholar] [CrossRef] [PubMed]
- Yavuz, H.; Vural, O. Nasal septal abscess: Uncommon localization of extraintestinal amoebiasis. Braz. J. Otorhinolaryngol. 2021, 87, 241–243. [Google Scholar] [CrossRef]
- Thiagalingam, S.; Fernando, G.T.; Tan, K.; O’Donnell, B.A.; Weeks, K.; Branley, M. Orbital apex syndrome secondary to Pseudallescheria boydii fungal sinusitis in an immunocompetent patient. Clin. Exp. Ophthalmol. 2004, 32, 545–547. [Google Scholar] [CrossRef] [PubMed]
- Seo, M.Y.; Lee, S.H.; Ryu, G.; Hong, S.D.; Kim, H.Y.; Dhong, H.J.; Chung, S.K. Clinical pattern of fungal balls in the paranasal sinuses: Our experience with 70 patients. Eur. Arch. Otorhinolaryngol. 2019, 276, 1035–1038. [Google Scholar] [CrossRef] [PubMed]
- Toussain, G.; Botterel, F.; Alsamad, I.A.; Zerah-Lancner, F.; Pruliere-Escabasse, V.; Coste, A.; Papon, J.F. Sinus fungal balls: Characteristics and management in patients with host factors for invasive infection. Rhinology 2012, 50, 269–276. [Google Scholar] [CrossRef]
- Costa, F.; Emanuelli, E.; Franz, L.; Tel, A.; Sembronio, S.; Robiony, M. Fungus ball of the maxillary sinus: Retrospective study of 48 patients and review of the literature. Am. J. Otolaryngol. 2019, 40, 700–704. [Google Scholar] [CrossRef] [PubMed]
- Pang, K.P.; Sethi, D.S. Nasal septal abscess: An unusual complication of acute spheno-ethmoiditis. J. Laryngol. Otol. 2002, 116, 543–545. [Google Scholar] [CrossRef]
- Kqiku, L.; Biblekaj, R.; Weiglein, A.H.; Kqiku, X.; Stadtler, P. Arterial blood architecture of the maxillary sinus in dentate specimens. Croat. Med. J. 2013, 54, 180–184. [Google Scholar] [CrossRef]
- Chiu, T.; Dunn, J.S. An anatomical study of the arteries of the anterior nasal septum. Otolaryngol. Head Neck Surg. 2006, 134, 33–36. [Google Scholar] [CrossRef] [PubMed]
- Rohrich, R.J.; Gunter, J.P.; Friedman, R.M. Nasal tip blood supply: An anatomic study validating the safety of the transcolumellar incision in rhinoplasty. Plast. Reconstr. Surg. 1995, 95, 795–799. [Google Scholar] [CrossRef] [PubMed]
- Ambrus, P.S.; Eavey, R.D.; Baker, A.S.; Wilson, W.R.; Kelly, J.H. Management of nasal septal abscess. Laryngoscope 1981, 91, 575–582. [Google Scholar] [CrossRef] [PubMed]
- da Silva, M.; Helman, J.; Eliachar, I.; Joachims, H.Z. Nasal septal abscess of dental origin. Arch. Otolaryngol. 1982, 108, 380–381. [Google Scholar] [CrossRef] [PubMed]
- Aksoy, F.; Yildirim, Y.S.; Demirhan, H.; Özturan, O.; Solakoglu, S. Structural characteristics of septal cartilage and mucoperichondrium. J. Laryngol. Otol. 2012, 126, 38–42. [Google Scholar] [CrossRef] [PubMed]
- Singh, V. Fungal Rhinosinusitis: Unravelling the Disease Spectrum. J. Maxillofac. Oral. Surg. 2019, 18, 164–179. [Google Scholar] [CrossRef] [PubMed]
- Das, A.K.; Kashyap, R.C.; Gupta, S.C.; Venkatesh, M.D. Allergic Fungal Sinusitis with Mycetoma. Med. J. Armed Forces India 2003, 59, 250–251. [Google Scholar] [CrossRef][Green Version]
- Malcolm, D.; Richardson, K.B.; Hope, W. CHAPTER 11—Aspergillus. In Clinical Mycology, 2nd ed.; Anaissie, E.J., McGinnis, M.R., Pfaller, M.A., Eds.; Churchill Livingstone: London, UK, 2009; pp. 271–296. [Google Scholar]
- Hom, D.B.; Adams, G.L.; Monyak, D. Irradiated soft tissue and its management. Otolaryngol. Clin. N. Am. 1995, 28, 1003–1019. [Google Scholar]
- Wagh, Y.; Menon, A.; Mody, B.; Agashe, V.M.; Agarwal, M. Radiation-Induced Wound Infections in Operated Soft Tissue Sarcomas: An Unbelievable Challenge in a Series of Five Cases. J. Orthop. Case Rep. 2019, 10, 30–34. [Google Scholar] [CrossRef]
- Slotman, G.J.; Doolittle, C.H.; Glicksman, A.S. Preoperative combined chemotherapy and radiation therapy plus radical surgery in advanced head and neck cancer. Five-year results with impressive complete response rates and high survival. Cancer 1992, 69, 2736–2743. [Google Scholar] [CrossRef]
- Huang, Y.C.; Hung, P.L.; Lin, H.C. Nasal septal abscess in an immunocompetent child. Pediatr. Neonatol. 2012, 53, 213–215. [Google Scholar] [CrossRef] [PubMed]
- Sabino, R.; Wiederhold, N. Diagnosis from Tissue: Histology and Identification. J. Fungi 2022, 8, 505. [Google Scholar] [CrossRef] [PubMed]
- Pasqualotto, A.C. Differences in pathogenicity and clinical syndromes due to Aspergillus fumigatus and Aspergillus flavus. Med. Mycol. 2009, 47 (Suppl. S1), S261–S270. [Google Scholar] [CrossRef] [PubMed]
- Thompson, G.R., 3rd; Young, J.H. Aspergillus Infections. N. Engl. J. Med. 2021, 385, 1496–1509. [Google Scholar] [CrossRef] [PubMed]
- Sandona, K.; Billingsley Tobias, T.L.; Hutchinson, M.I.; Natvig, D.O.; Porras-Alfaro, A. Diversity of thermophilic and thermotolerant fungi in corn grain. Mycologia 2019, 111, 719–729. [Google Scholar] [CrossRef] [PubMed]
- Northolt, M.D.; van Egmond, H.P.; Paulsch, W.E. Differences Between Aspergillus flavus Strains in Growth and Aflatoxin B(1) Production in Relation to Water Activity and Temperature. J. Food Prot. 1977, 40, 778–781. [Google Scholar] [CrossRef] [PubMed]
- Zhou, Z.X.; Yin, X.D.; Zhang, Y.; Shao, Q.H.; Mao, X.Y.; Hu, W.J.; Shen, Y.L.; Zhao, B.; Li, Z.L. Antifungal Drugs and Drug-Induced Liver Injury: A Real-World Study Leveraging the FDA Adverse Event Reporting System Database. Front. Pharmacol. 2022, 13, 891336. [Google Scholar] [CrossRef] [PubMed]
- He, S.; Hang, J.P.; Zhang, L.; Wang, F.; Zhang, D.C.; Gong, F.H. A systematic review and meta-analysis of diagnostic accuracy of serum 1,3-β-D-glucan for invasive fungal infection: Focus on cutoff levels. J. Microbiol. Immunol. Infect. 2015, 48, 351–361. [Google Scholar] [CrossRef] [PubMed]
- De Vlieger, G.; Lagrou, K.; Maertens, J.; Verbeken, E.; Meersseman, W.; Van Wijngaerden, E. Beta-D-glucan detection as a diagnostic test for invasive aspergillosis in immunocompromised critically ill patients with symptoms of respiratory infection: An autopsy-based study. J. Clin. Microbiol. 2011, 49, 3783–3787. [Google Scholar] [CrossRef]
- Ferreras-Antolin, L.; Borman, A.; Diederichs, A.; Warris, A.; Lehrnbecher, T. Serum Beta-D-Glucan in the Diagnosis of Invasive Fungal Disease in Neonates, Children and Adolescents: A Critical Analysis of Current Data. J. Fungi 2022, 8, 1262. [Google Scholar] [CrossRef]






| No. | Author(s), Publication Date | Age | Gender | Fungus | Method of Detection of Fungus | Invasive Fungal Infection | Patient’s Immune Status |
|---|---|---|---|---|---|---|---|
| 1 | Siberry et al., 1997 [9] | 15 | Male | Aspergillus | Fungal culture and pathology | Yes | Immuno-compromised |
| 2 | Dornbusch et al., 2005 [5] | 9 | Male | Fusarium verticillioides | PCR ‡ of the ribosomal ITS § | Yes | Immuno-compromised |
| 3 | Walker et al., 2007 [4] | 64 | Male | Aspergillus flavus | Fungal culture and pathology | No | Immuno-compromised |
| 4 | Debnam et al., 2007 [10] | 17 | Male | Aspergillus flavus | Fungal culture and pathology | Yes | Immuno-compromised |
| 5 | Naeem et al., 2011 [8] | 5 | Male | Aspergillus flavus | Fungal culture and pathology | Yes | Immuno-compromised |
| 6 | Cho et al., 2012 [7] | 52 | Male | Aspergillus species | Pathology | Yes | Immuno-compromised |
| 7 | Patel et al., 2015 [2] | 51 | Female | Scedosporium apiospermum (nasal septum) † | Fungal culture (nasal septum) † | Yes | Immuno-competent |
| 8 | Kishimoto et al., 2017 [1] | 59 | Male | Scedosporium apiospermum in both nasal septum and left side maxillary sinus | PCR ‡ of the ribosomal ITS § (nasal septum and maxillary sinus); pathology (maxillary sinus) | Yes | Immuno-compromised |
| 9 | Sohn et al., 2018 [6] | 79 | Male | Aspergillus species | Pathology (maxillary sinus, anterior nasal spetum) | Yes | Immuno-compromised |
| 10 | Parent-Michaud et al., 2019 [11] | NA * | NA * | Aspergillus thermomutatus | Draft genome sequence | Yes | Immuno-compromised |
| 11 | Rochdi et al., 2020 [3] | 53 | Female | Aspergillus flavus | Fungal culture | Yes | Immuno-compromised |
| 12 | The present case | 57 | Male | Aspergillus flavus (nasal septum); Aspergillus spp. (maxillary sinus) | Fungal culture (nasal septum); pathology (maxillary sinus) | No | Immuno-compromised |
Disclaimer/Publisher’s Note: The statements, opinions and data contained in all publications are solely those of the individual author(s) and contributor(s) and not of MDPI and/or the editor(s). MDPI and/or the editor(s) disclaim responsibility for any injury to people or property resulting from any ideas, methods, instructions or products referred to in the content. |
© 2024 by the authors. Licensee MDPI, Basel, Switzerland. This article is an open access article distributed under the terms and conditions of the Creative Commons Attribution (CC BY) license (https://creativecommons.org/licenses/by/4.0/).
Share and Cite
Yang, S.-W.; Luo, C.-M.; Cheng, T.-C. Fungal Abscess of Anterior Nasal Septum Complicating Maxillary Sinus Fungal Ball Rhinosinusitis Caused by Aspergillus flavus: Case Report and Review of Literature. J. Fungi 2024, 10, 497. https://doi.org/10.3390/jof10070497
Yang S-W, Luo C-M, Cheng T-C. Fungal Abscess of Anterior Nasal Septum Complicating Maxillary Sinus Fungal Ball Rhinosinusitis Caused by Aspergillus flavus: Case Report and Review of Literature. Journal of Fungi. 2024; 10(7):497. https://doi.org/10.3390/jof10070497
Chicago/Turabian StyleYang, Shih-Wei, Cheng-Ming Luo, and Tzu-Chien Cheng. 2024. "Fungal Abscess of Anterior Nasal Septum Complicating Maxillary Sinus Fungal Ball Rhinosinusitis Caused by Aspergillus flavus: Case Report and Review of Literature" Journal of Fungi 10, no. 7: 497. https://doi.org/10.3390/jof10070497
APA StyleYang, S.-W., Luo, C.-M., & Cheng, T.-C. (2024). Fungal Abscess of Anterior Nasal Septum Complicating Maxillary Sinus Fungal Ball Rhinosinusitis Caused by Aspergillus flavus: Case Report and Review of Literature. Journal of Fungi, 10(7), 497. https://doi.org/10.3390/jof10070497

