Systemic Candida Infection and Pulmonary Aspergillosis in an Alpaca (Vicugna pacos): A Case Report
Abstract
1. Introduction
2. Case Presentation
2.1. Necropsy
2.2. Microbiological Investigations
2.3. Molecular Identification
2.4. Cytological Examination
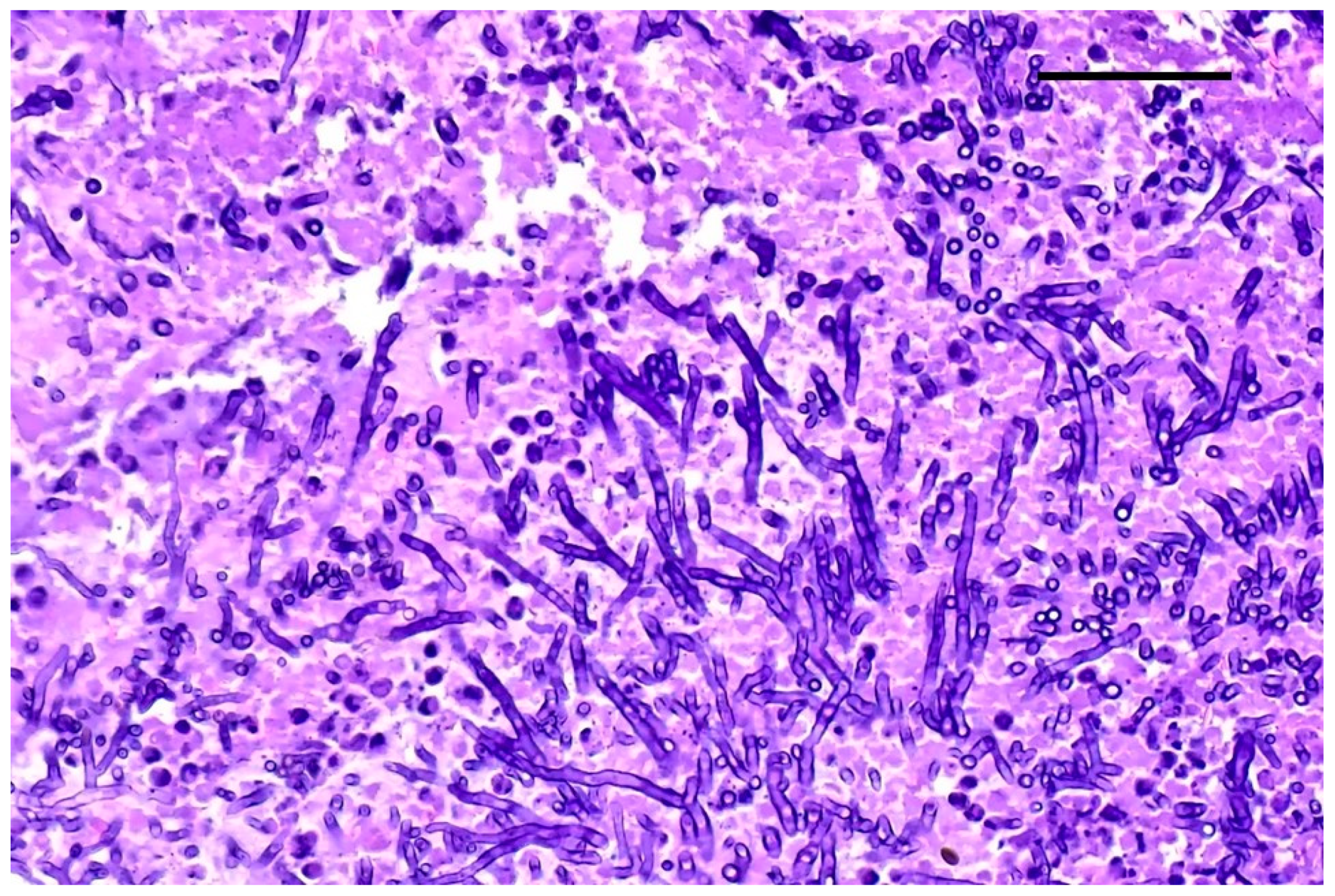
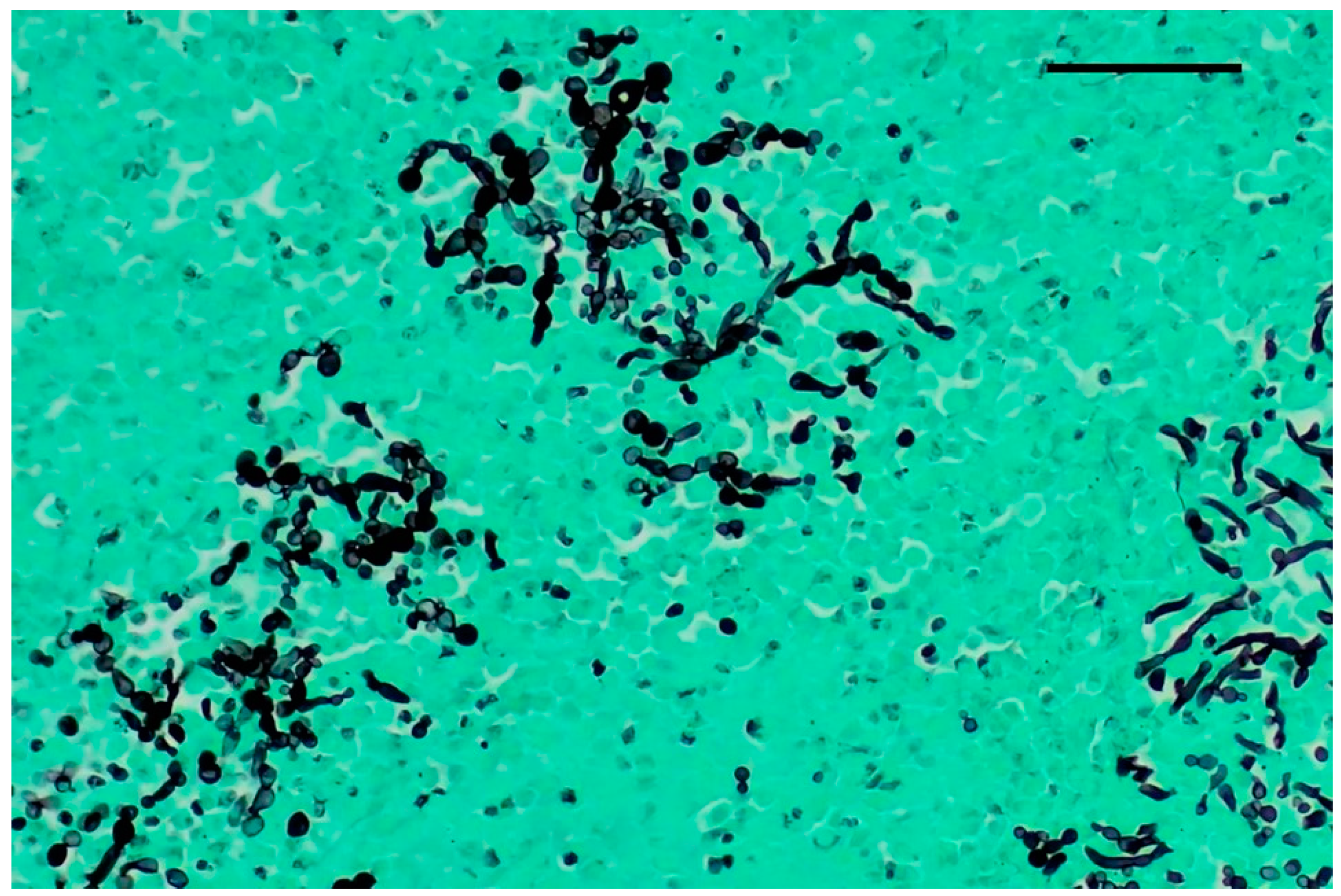
2.5. Histopathological Examination
2.6. Serum Protein Electrophoresis and Fungal Antigen Detection
3. Discussion
4. Conclusions
Author Contributions
Funding
Informed Consent Statement
Data Availability Statement
Acknowledgments
Conflicts of Interest
References
- Fisher, M.C.; Henk, D.A.; Briggs, C.J.; Brownstein, J.S.; Madoff, L.C.; McCraw, S.L.; Gurr, S.J. Emerging fungal threats to animal, plant and ecosystem health. Nature 2012, 484, 186–194. [Google Scholar] [CrossRef] [PubMed]
 - Greene, C.E.; Chandler, W. Candidiasis and rhodotorulosis. In Infectious Diseases of the Dog and Cat; Greene, C.E., Chandler, F.W., Eds.; WB Saunders: Philadelphia, PA, USA, 2006; pp. 627–632. [Google Scholar]
 - Brown, A.J.; Odds, F.C.; Gow, N.A. Infection-related gene expression in Candida albicans. Curr. Opin. Microbiol. 2007, 10, 307–313. [Google Scholar] [CrossRef] [PubMed]
 - Boehm, T.M.S.A.; Parzefall, B.; Klinger, C.J.; Wielaender, F.; Udraite Vovk, L.; Scabell, P.; Mueller, R.S. Recurrent polyp formation with Candida tropicalis infection and otitis in a dog. Tierarztl. Prax. Ausg. K Kleintiere/Heimtiere 2020, 48, 365–368. [Google Scholar] [CrossRef] [PubMed]
 - Reagan, K.L.; Dear, J.D.; Kass, P.H.; Sykes, J.E. Risk factors for Candida urinary tract infections in dogs and cats. J. Vet. Intern. Med. 2019, 33, 648–653. [Google Scholar] [CrossRef] [PubMed]
 - Fidel, P.L., Jr.; Vazquez, J.A.; Sobel, J.D. Candida glabrata: Review of epidemiology, pathogenesis, and clinical disease with comparison to C. albicans. Clin. Microbiol. Rev. 1999, 12, 80–96. [Google Scholar] [CrossRef] [PubMed]
 - Obendorf, D.L. Candidiasis in young hand-reared kangaroos. J. Wildl. Dis. 1980, 16, 135–140. [Google Scholar] [CrossRef] [PubMed]
 - Hubbard, M.J.; Sullivan, P.A.; Shepherd, M.G. Morphological studies of N-acetylglucosamine induced germ tube formation by Candida albicans. Can. J. Microbiol. 1985, 31, 696–701. [Google Scholar] [CrossRef]
 - Verduyn Lunel, F.M.; Meis, J.F.; Voss, A. Nosocomial fungal infections: Candidemia. Diagn. Microbiol. Infect. Dis. 1999, 34, 213–220. [Google Scholar] [CrossRef]
 - Clercx, C.; McEntee, K.; Snaps, F.; Jacquinet, E.; Coignoul, F. Bronchopulmonary and disseminated granulomatous disease associated with Aspergillus fumigatus and Candida species infection in a golden retriever. J. Am. Anim. Hosp. Assoc. 1996, 32, 139–145. [Google Scholar] [CrossRef]
 - Heseltine, J.C.; Panciera, D.L.; Saunders, G.K. Systemic candidiasis in a dog. J. Am. Vet. Med. Assoc. 2003, 223, 810+821–824. [Google Scholar] [CrossRef]
 - Kuwamura, M.; Ide, M.; Yamate, J.; Shiraishi, Y.; Kotani, T. Systemic candidiasis in a dog, developing spondylitis. J. Vet. Med. Sci. 2006, 68, 1117–1119. [Google Scholar] [CrossRef]
 - Matsuda, K.; Sakaguchi, K.; Kobayashi, S.; Tominaga, M.; Hirayama, K.; Kadosawa, T.; Taniyama, H. Systemic candidiasis and mesenteric mast cell tumor with multiple metastases in a dog. J. Vet. Med. Sci. 2009, 71, 229–232. [Google Scholar] [CrossRef]
 - Mills, J.H.; Hirth, R.S. Systemic candidiasis in calves on prolonged antibiotic therapy. J. Am. Vet. Med. Assoc. 1967, 150, 862–870. [Google Scholar]
 - Jubb, T.F.; Baird, J.D.; Percy, D.H. Systemic candidiasis in a Suffolk ram. Aust. Vet. J. 1988, 65, 333–335. [Google Scholar] [CrossRef]
 - Stock, S.J.; Patey, O.; Thilaganathan, B.; White, S.; Furfaro, L.L.; Payne, M.S.; Spiller, O.B.; Noé, A.; Watts, R.; Carter, S.; et al. Intrauterine Candida albicans Infection Causes Systemic Fetal Candidiasis With Progressive Cardiac Dysfunction in a Sheep Model of Early Pregnancy. Reprod. Sci. 2017, 24, 77–84. [Google Scholar] [CrossRef]
 - Gerding, P.A., Jr.; Morton, L.D.; Dye, J.A. Ocular and disseminated candidiasis in an immunosuppressed cat. J. Am. Vet. Med. Assoc. 1994, 204, 1635–1638. [Google Scholar] [CrossRef]
 - Reilly, L.K.; Palmer, J.E. Systemic candidiasis in four foals. J. Am. Vet. Med. Assoc. 1994, 205, 464–466. [Google Scholar] [CrossRef] [PubMed]
 - Keck, N.; Libert, C.; Rispail, P.; Albaric, O. Systemic candidosis in a guanaco (Lama guanicoe). Vet. Rec. 2009, 164, 245. [Google Scholar] [CrossRef] [PubMed]
 - Smith, S.H.; Reel, D.R. Cerebral and renal candidosis in a llama (Lama glama). Vet. Rec. 2008, 162, 485–486. [Google Scholar] [CrossRef] [PubMed]
 - Kramer, K.; Haist, V.; Roth, C.; Schröder, C.; Siesenhop, U.; Baumgärtner, W.; Wohlsein, P. Systemic Candida albicans infection in two alpacas (Lama pacos). J. Comp. Pathol. 2008, 139, 141–145. [Google Scholar] [CrossRef] [PubMed]
 - El-Baba, F.; Gao, Y.; Soubani, A.O. Pulmonary Aspergillosis: What the Generalist Needs to Know. Am. J. Med. 2020, 133, 668–674. [Google Scholar] [CrossRef] [PubMed]
 - Muntz, F.H. Oxalate-producing pulmonary aspergillosis in an alpaca. Vet. Pathol. 1999, 36, 631–632. [Google Scholar] [CrossRef]
 - Baddley, J.W.; Stroud, T.P.; Salzman, D.; Pappas, P.G. Invasive mold infections in allogeneic bone marrow transplant recipients. Clin. Infect. Dis. 2001, 32, 1319–1324. [Google Scholar] [CrossRef] [PubMed]
 - Perfect, J.R.; Cox, G.M.; Lee, J.Y.; Kauffman, C.A.; de Repentigny, L.; Chapman, S.W.; Morrison, V.A.; Pappas, P.; Hiemenz, J.W.; Stevens, D.A.; et al. The impact of culture isolation of Aspergillus species: A hospital-based survey of aspergillosis. Clin. Infect. Dis. 2001, 33, 1824–1833. [Google Scholar] [CrossRef] [PubMed]
 - Enoch, D.A.; Ludlam, H.A.; Brown, N.M. Invasive fungal infections: A review of epidemiology and management options. J. Med. Microbiol. 2006, 55, 809–818. [Google Scholar] [CrossRef] [PubMed]
 - Gupta, K.; Gupta, P.; Mathew, J.L.; Bansal, A.; Singh, G.; Singh, M.; Chakrabarti, A. Fatal Disseminated Aspergillus penicillioides Infection in a 3-Month-Old Infant with Suspected Cystic Fibrosis: Autopsy Case Report with Review of Literature. Pediatr. Dev. Pathol. 2016, 19, 506–511. [Google Scholar] [CrossRef] [PubMed]
 - Lass-Flörl, C.; Griff, K.; Mayr, A.; Petzer, A.; Gastl, G.; Bonatti, H.; Freund, M.; Kropshofer, G.; Dierich, M.P.; Nachbaur, D. Epidemiology and outcome of infections due to Aspergillus terreus: 10-year single centre experience. Br. J. Haematol. 2005, 131, 201–207. [Google Scholar] [CrossRef] [PubMed]
 - Balajee, S.A.; Kano, R.; Baddley, J.W.; Moser, S.A.; Marr, K.A.; Alexander, B.D.; Andes, D.; Kontoyiannis, D.P.; Perrone, G.; Peterson, S.; et al. Molecular identification of Aspergillus species collected for the Transplant-Associated Infection Surveillance Network. J. Clin. Microbiol. 2009, 47, 3138–3141. [Google Scholar] [CrossRef]
 - White, T.J.; Bruns, T.; Lee, S.J.W.T.; Taylor, J. Amplification, and direct sequencing of fungal ribosomal RNA genes for phylogenetics. In PCR Protocols: A Guide to Methods and Applications; Academic Press: New York, NY, USA, 1990; Volume 18, pp. 315–322. [Google Scholar]
 - Alastruey-Izquierdo, A.; Alcazar-Fuoli, L.; Rivero-Menéndez, O.; Ayats, J.; Castro, C.; García-Rodríguez, J.; Goterris-Bonet, L.; Ibáñez-Martínez, E.; Linares-Sicilia, M.J.; Martin-Gomez, M.T.; et al. Molecular identification and susceptibility testing of molds isolated in a prospective surveillance of triazole resistance in Spain (FILPOP2 Study). J. Antimicrob. Chemother. 2018, 62, 10–1128. [Google Scholar] [CrossRef]
 - Hall, T.A. BioEdit: A user-friendly biological sequence alignment editor and analysis program for Windows 95/98/NT. Nucleic Acids Symp. Ser. 1999, 41, 95–98. [Google Scholar]
 - Quist, C.F.; Dutton, D.M.; Schneider, D.A.; Prestwood, A.K. Gastrointestinal ulceration and pulmonary aspergillosis in a llama treated for parelaphostrongylosis. J. Am. Vet. Med. Assoc. 1998, 212, 1438–1441. [Google Scholar] [CrossRef]
 - Seyedmousavi, S.; Guillot, J.; Arné, P.; de Hoog, G.S.; Mouton, J.W.; Melchers, W.J.; Verweij, P.E. Aspergillus and aspergilloses in wild and domestic animals: A global health concern with parallels to human disease. Med. Mycol. 2015, 53, 765–797. [Google Scholar] [CrossRef] [PubMed]
 - Sobel, J.D. The emergence of non-albicans Candida species as causes of invasive candidiasis and candidemia. Curr. Infect. Dis. Rep. 2006, 8, 427–433. [Google Scholar] [CrossRef] [PubMed]
 - Kontoyiannis, D.P.; Luna, M.A.; Samuels, B.I.; Bodey, G.P. Hepatosplenic candidiasis. A manifestation of chronic disseminated candidiasis. Infect. Dis. Clin. N. Am. 2000, 14, 721–739. [Google Scholar] [CrossRef] [PubMed]
 - Yapar, N. Epidemiology and risk factors for invasive candidiasis. Ther. Clin. Risk Manag. 2014, 10, 95–105. [Google Scholar] [CrossRef]
 - Martins, N.; Ferreira, I.C.; Barros, L.; Silva, S.; Henriques, M. Candidiasis: Predisposing factors, prevention, diagnosis, and alternative treatment. Mycopathologia 2014, 177, 223–240. [Google Scholar] [CrossRef]
 




Disclaimer/Publisher’s Note: The statements, opinions and data contained in all publications are solely those of the individual author(s) and contributor(s) and not of MDPI and/or the editor(s). MDPI and/or the editor(s) disclaim responsibility for any injury to people or property resulting from any ideas, methods, instructions or products referred to in the content.  | 
© 2024 by the authors. Licensee MDPI, Basel, Switzerland. This article is an open access article distributed under the terms and conditions of the Creative Commons Attribution (CC BY) license (https://creativecommons.org/licenses/by/4.0/).
Share and Cite
Grassi, A.; Cafarchia, C.; Decaro, N.; Rhimi, W.; De Laurentiis, V.; D’Annunzio, G.; Luppi, A.; Prati, P. Systemic Candida Infection and Pulmonary Aspergillosis in an Alpaca (Vicugna pacos): A Case Report. J. Fungi 2024, 10, 227. https://doi.org/10.3390/jof10030227
Grassi A, Cafarchia C, Decaro N, Rhimi W, De Laurentiis V, D’Annunzio G, Luppi A, Prati P. Systemic Candida Infection and Pulmonary Aspergillosis in an Alpaca (Vicugna pacos): A Case Report. Journal of Fungi. 2024; 10(3):227. https://doi.org/10.3390/jof10030227
Chicago/Turabian StyleGrassi, Andrea, Claudia Cafarchia, Nicola Decaro, Wafa Rhimi, Vittoriana De Laurentiis, Giulia D’Annunzio, Andrea Luppi, and Paola Prati. 2024. "Systemic Candida Infection and Pulmonary Aspergillosis in an Alpaca (Vicugna pacos): A Case Report" Journal of Fungi 10, no. 3: 227. https://doi.org/10.3390/jof10030227
APA StyleGrassi, A., Cafarchia, C., Decaro, N., Rhimi, W., De Laurentiis, V., D’Annunzio, G., Luppi, A., & Prati, P. (2024). Systemic Candida Infection and Pulmonary Aspergillosis in an Alpaca (Vicugna pacos): A Case Report. Journal of Fungi, 10(3), 227. https://doi.org/10.3390/jof10030227
        
