Balloon Valvuloplasty in Congenital Critical Aortic Valve Stenosis in Neonates and Infants: A Rescue Procedure for the Left Ventricle
Abstract
1. Introduction
2. Material and Methods
- -
- Patients’ characteristics (sex, body weight, and age at intervention);
- -
- AV cuspidity and diameter of the AV annulus;
- -
- Balloon diameter and balloon/annulus ratio;
- -
- Direction of the AV access (i.e., antegrade or retrograde);
- -
- Left ventricular end-diastolic diameter (LVEDD (mm)) before BAV;
- -
- Left ventricular shortening fraction (LVSF (%)) before and after BAV;
- -
- Peak trans-valvular systolic pressure gradient (mmHg) before and after BAV;
- -
- Post-interventional aortic regurgitation and other BAV-related complications (cardiovascular injuries, thrombosis, embolism, hemorrhage, and mortality);
- -
- Time to AV surgery.
2.1. Statistics
2.2. Percutaneous Catheterization
3. Results
3.1. Patients’ Characteristics, Cardiac Parameters, and Procedural Parameters
3.2. Effectiveness of BAV
3.2.1. First BAV
3.2.2. Second BAV
3.2.3. Third BAV
3.3. Complications
3.3.1. Aortic Regurgitation
3.3.2. Miscellaneous Complications
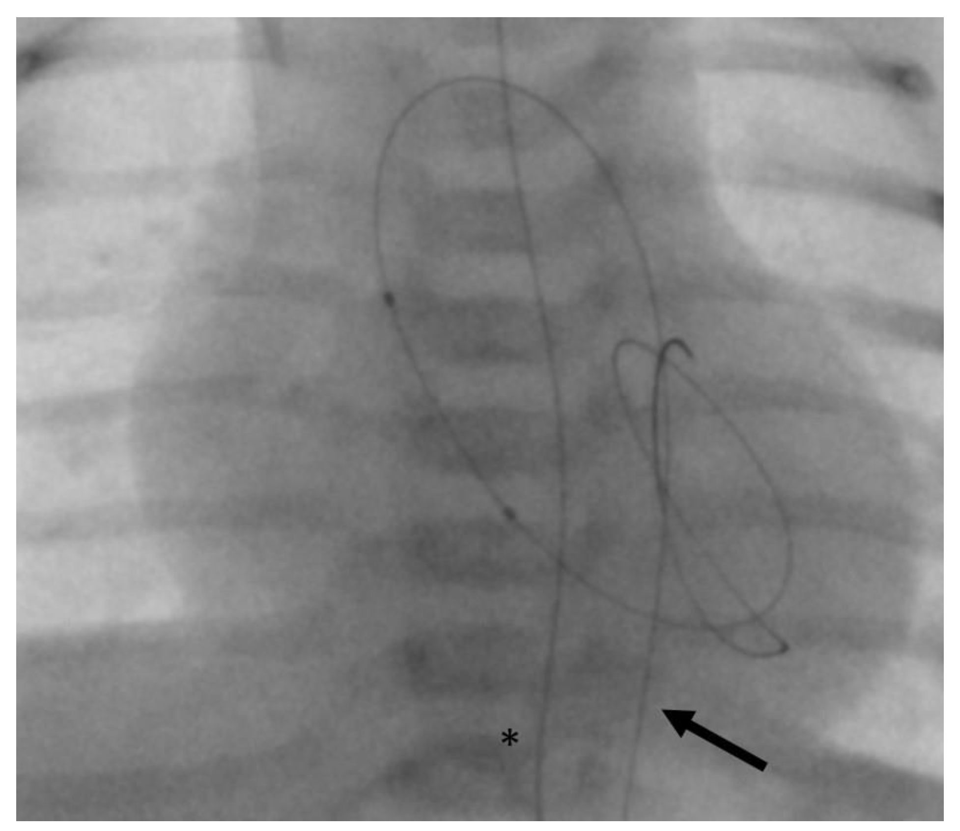
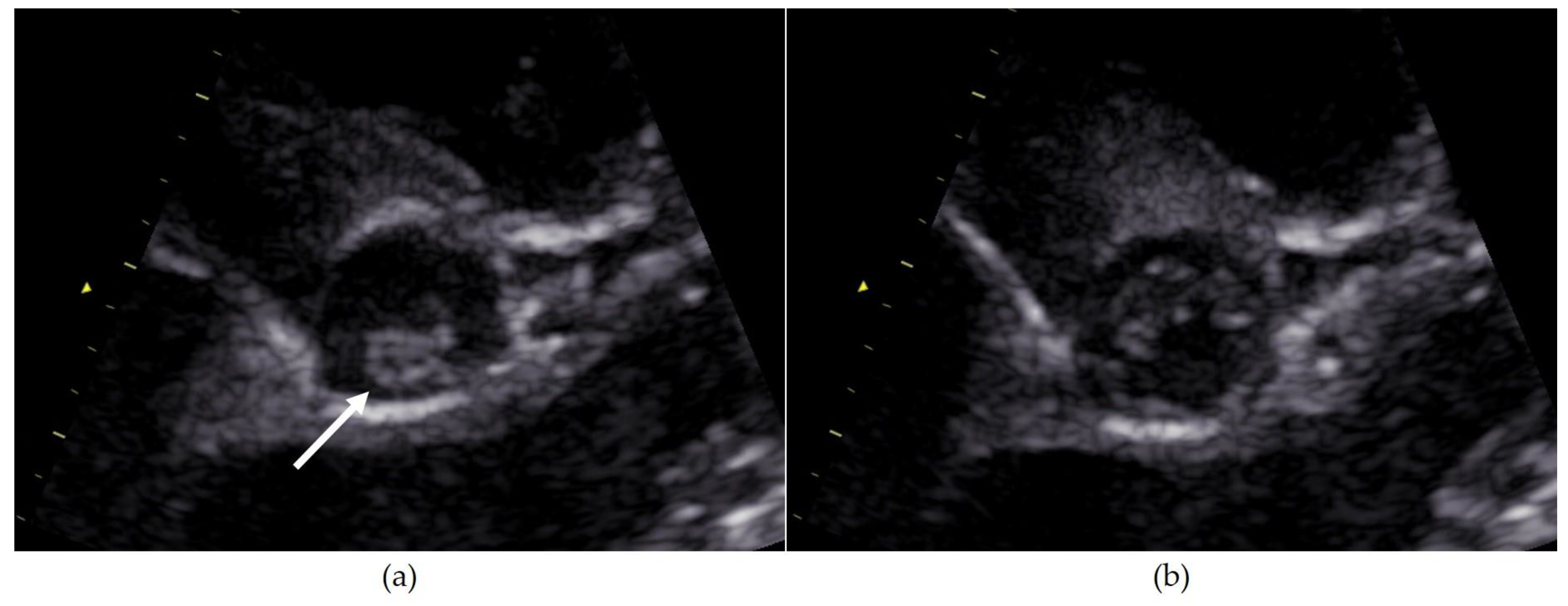
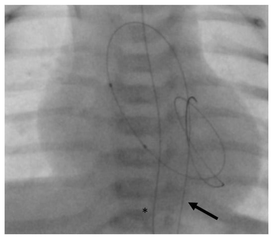
- In case 2, there was an air embolism in the left ventricle during the patient’s first catheterization. Due to depressed LV function with low contractility, the air bubble remained ventrally in the LV (Figure 8), where we managed to extract it with the catheter.
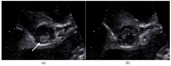
- In the same patient, an aortic wall injury resulting in a constriction of the intima following the second BAV occurred (Figure 9). However, this constriction was without significant stenosis and was corrected at the time of necessary aortic valve repair.
- Further complications did not occur, and there was no mortality.
3.4. Follow-Up
4. Discussion
5. Conclusions
Author Contributions
Funding
Institutional Review Board Statement
Informed Consent Statement
Data Availability Statement
Acknowledgments
Conflicts of Interest
References
- Lindinger, A.; Schwedler, G.; Hense, H.W. Prevalence of congenital heart defects in newborns in Germany: Results of the first registration year of the PAN Study (July 2006 to June 2007). Klin. Padiatr. 2010, 222, 321–326. [Google Scholar] [CrossRef] [PubMed]
- Singh, G.K. Congenital Aortic Valve Stenosis. Children 2019, 6, 69. [Google Scholar] [CrossRef]
- Olofsson, C.K.; Hanseus, K.; Ramgren, J.J.; Synnergren, M.J.; Sunnegårdh, J. Outcomes in neonatal critical and non-critical aortic stenosis: A retrospective cohort study. Arch. Dis. Child. 2023, 108, 398–404. [Google Scholar] [CrossRef] [PubMed]
- Schulz, A.; Taylor, L.; Buratto, E.; Ivanov, Y.; Zhu, M.; Brizard, C.P.; Konstantinov, I.E. Aortic Valve Repair in Neonates with Aortic Stenosis and Reduced Left Ventricular Function. Semin. Thorac. Cardiovasc. Surg. 2023, 35, 713–721. [Google Scholar] [CrossRef] [PubMed]
- Aldawsari, K.A.; Alhuzaimi, A.N.; Alotaibi, M.T.; Albert-Brotons, D.C. Endocardial fibroelastosis in infants and young children: A state-of-the-art review. Heart Fail. Rev. 2023, 28, 1023–1031. [Google Scholar] [CrossRef] [PubMed]
- Tulzer, A.; Arzt, W.; Tulzer, G. Fetal aortic valvuloplasty may rescue fetuses with critical aortic stenosis and hydrops. Ultrasound Obstet. Gynecol. 2021, 57, 119–125. [Google Scholar] [CrossRef] [PubMed]
- Freud, L.R.; Moon-Grady, A.; Escobar-Diaz, M.C.; Gotteiner, N.L.; Young, L.T.; McElhinney, D.B.; Tworetzky, W. Low rate of prenatal diagnosis among neonates with critical aortic stenosis: Insight into the natural history in utero. Ultrasound Obstet. Gynecol. 2015, 45, 326–332. [Google Scholar] [CrossRef] [PubMed]
- Hraska, V.; Schneider, M. Critical aortic stenosis with severe left ventricular dysfunction. Eur. J. Cardiothorac. Surg. 2013, 43, 148–149. [Google Scholar] [CrossRef] [PubMed][Green Version]
- Affolter, J.T.; Ghanayem, N.S. Preoperative management of the neonate with critical aortic valvar stenosis. Cardiol. Young 2014, 24, 1111–1116. [Google Scholar] [CrossRef] [PubMed]
- Zain, Z.; Zadinello, M.; Menahem, S.; Brizard, C. Neonatal isolated critical aortic valve stenosis: Balloon valvuloplasty or surgical valvotomy. Heart Lung Circ. 2006, 15, 18–23. [Google Scholar] [CrossRef] [PubMed]
- Hraška, V. Neonatal Aortic Stenosis Is a Surgical Disease. Semin. Thorac. Cardiovasc. Surg. Pediatr. Card. Surg. Annu. 2016, 19, 2–5. [Google Scholar] [CrossRef] [PubMed]
- Benson, L. Neonatal Aortic Stenosis is a Surgical Disease: An Interventional Cardiologist View. Semin. Thorac. Cardiovasc. Surg. Pediatr. Card. Surg. Annu. 2016, 19, 6–9. [Google Scholar] [CrossRef] [PubMed]
- McElhinney, D.B.; Lock, J.E.; Keane, J.F.; Moran, A.M.; Colan, S.D. Left heart growth, function, and reintervention after balloon aortic valvuloplasty for neonatal aortic stenosis. Circulation 2005, 111, 451–458. [Google Scholar] [CrossRef]
- Stapleton, G.E. Transcatheter management of neonatal aortic stenosis. Cardiol. Young 2014, 24, 1117–1120. [Google Scholar] [CrossRef] [PubMed]
- Hill, G.D.; Ginde, S.; Rios, R.; Frommelt, P.C.; Hill, K.D. Surgical Valvotomy Versus Balloon Valvuloplasty for Congenital Aortic Valve Stenosis: A Systematic Review and Meta-Analysis. J. Am. Heart Assoc. 2016, 5, e003931. [Google Scholar] [CrossRef] [PubMed]
- Christensen, A.; Chaturvedi, R.; Callahan, C.; Lee, K.-J.; Wan, A.; Barron, D.; Honjo, O.; Benson, L. Current-Era Outcomes of Balloon Aortic Valvotomy in Neonates and Infants. JACC Adv. 2022, 1, 100004. [Google Scholar] [CrossRef]
- Lababidi, Z.; Wu, J.R.; Walls, J.T. Percutaneous balloon aortic valvuloplasty: Results in 23 patients. Am. J. Cardiol. 1984, 53, 194–197. [Google Scholar] [CrossRef] [PubMed]
- Rao, P.S.; Jureidini, S.B. Transumbilical venous, anterograde, snare-assisted balloon aortic valvuloplasty in a neonate with critical aortic stenosis. Catheter. Cardiovasc. Diagn. 1998, 45, 144–148. [Google Scholar] [CrossRef]
- Cantinotti, M.; Giordano, R.; Scalese, M.; Murzi, B.; Assanta, N.; Spadoni, I.; Maura, C.; Marco, M.; Molinaro, S.; Kutty, S.; et al. Nomograms for two-dimensional echocardiography derived valvular and arterial dimensions in Caucasian children. J. Cardiol. 2017, 69, 208–215. [Google Scholar] [CrossRef] [PubMed]
- Cantinotti, M.; Scalese, M.; Murzi, B.; Assanta, N.; Spadoni, I.; De Lucia, V.; Crocetti, M.; Cresti, A.; Gallotta, M.; Marotta, M.; et al. Echocardiographic nomograms for chamber diameters and areas in Caucasian children. J. Am. Soc. Echocardiogr. 2014, 27, 1279–1292. [Google Scholar] [CrossRef]
- Ewen, S.; Karliova, I.; Weber, P.; Schirmer, S.H.; Abdul-Khaliq, H.; Schöpe, J.; Mahfoud, F.; Schäfers, H.J. Echocardiographic criteria to detect unicuspid aortic valve morphology. Eur. Heart J. Cardiovasc. Imaging 2019, 20, 40–44. [Google Scholar] [CrossRef] [PubMed]
- Khalil, M.; Jux, C.; Rueblinger, L.; Behrje, J.; Esmaeili, A.; Schranz, D. Acute therapy of newborns with critical congenital heart disease. Transl. Pediatr. 2019, 8, 114–126. [Google Scholar] [CrossRef] [PubMed]
- Looi, J.L.; Kerr, A.J.; Gabriel, R. Morphology of congenital and acquired aortic valve disease by cardiovascular magnetic resonance imaging. Eur. J. Radiol. 2015, 84, 2144–2154. [Google Scholar] [CrossRef] [PubMed]
- Matsushima, S.; Heß, A.; Lämmerzahl, J.R.; Karliova, I.; Abdul-Khaliq, H.; Schäfers, H.J. Unicuspid aortic valve repair with bicuspidization in the paediatric population. Eur. J. Cardiothorac. Surg. 2021, 59, 253–261. [Google Scholar] [CrossRef] [PubMed]
- Michelena, H.I.; Della Corte, A.; Evangelista, A.; Maleszewski, J.J.; Edwards, W.D.; Roman, M.J.; Devereux, R.B.; Fernández, B.; Asch, F.M.; Barker, A.J.; et al. International consensus statement on nomenclature and classification of the congenital bicuspid aortic valve and its aortopathy, for clinical, surgical, interventional and research purposes. J. Thorac. Cardiovasc. Surg. 2021, 162, e383–e414. [Google Scholar] [CrossRef] [PubMed]
- Sylwestrzak, O.; Strzelecka, I.; Wójtowicz-Marzec, M.; Krekora, M.; Moszura, T.; Słodki, M.; Respondek-Liberska, M. Fetal echocardiography and early neonatal balloon valvuloplasty improved overall survival in prenatally detected aortic stenosis over 25 years of tertiary center experience. J. Clin. Ultrasound 2022, 50, 1279–1285. [Google Scholar] [CrossRef] [PubMed]
- Petit, C.J.; Maskatia, S.A.; Justino, H.; Mattamal, R.J.; Crystal, M.A.; Ing, F.F. Repeat balloon aortic valvuloplasty effectively delays surgical intervention in children with recurrent aortic stenosis. Catheter. Cardiovasc. Interv. 2013, 82, 549–555. [Google Scholar] [CrossRef] [PubMed]
- Petit, C.J.; Gao, K.; Goldstein, B.H.; Lang, S.M.; Gillespie, S.E.; Kim, S.I.; Sachdeva, R. Relation of Aortic Valve Morphologic Characteristics to Aortic Valve Insufficiency and Residual Stenosis in Children with Congenital Aortic Stenosis Undergoing Balloon Valvuloplasty. Am. J. Cardiol. 2016, 117, 972–979. [Google Scholar] [CrossRef]
- Varan, B.; Yakut, K.; Erdoğan, İ.; Özkan, M.; Tokel, K. Aortic balloon valvuloplasty and mid-term results in newborns: A single center experience. Turk. J. Pediatr. 2020, 62, 233–243. [Google Scholar] [CrossRef] [PubMed]
- Bobillo-Perez, S.; Sanchez-de-Toledo, J.; Segura, S.; Girona-Alarcon, M.; Mele, M.; Sole-Ribalta, A.; Cañizo Vazquez, D.; Jordan, I.; Cambra, F.J. Risk stratification models for congenital heart surgery in children: Comparative single-center study. Congenit. Heart Dis. 2019, 14, 1066–1077. [Google Scholar] [CrossRef] [PubMed]
- Kido, T.; Guariento, A.; Doulamis, I.P.; Porras, D.; Baird, C.W.; Del Nido, P.J.; Nathan, M. Aortic Valve Surgery After Neonatal Balloon Aortic Valvuloplasty in Congenital Aortic Stenosis. Circ. Cardiovasc. Interv. 2021, 14, e009933. [Google Scholar] [CrossRef] [PubMed]
- Vida, V.L.; Bottio, T.; Milanesi, O.; Reffo, E.; Biffanti, R.; Bonato, R.; Stellin, G. Critical aortic stenosis in early infancy: Surgical treatment for residual lesions after balloon dilation. Ann. Thorac. Surg. 2005, 79, 47–51, discussion 51–42. [Google Scholar] [CrossRef] [PubMed]
- Tyc, F.; Galeczka, M.; Białkowski, J.; Kulig, K.; Fiszer, R. Balloon aortic valvuloplasty in neonates: Short- and long-term effects and predictors of successful outcome. Postepy Kardiol. Interwencyjnej 2022, 18, 154–161. [Google Scholar] [CrossRef] [PubMed]
- Wallace, F.; Buratto, E.; Schulz, A.; d’Udekem, Y.; Weintraub, R.G.; Brizard, C.P.; Konstantinov, I.E. Long-term outcomes of primary aortic valve repair for isolated congenital aortic stenosis in children. J. Thorac. Cardiovasc. Surg. 2022, 164, 1263–1274.e1261. [Google Scholar] [CrossRef] [PubMed]
- Kjellberg Olofsson, C.; Berggren, H.; Söderberg, B.; Sunnegårdh, J. Treatment of valvular aortic stenosis in children: A 20-year experience in a single institution. Interact. Cardiovasc. Thorac. Surg. 2018, 27, 410–416. [Google Scholar] [CrossRef] [PubMed]
- Auld, B.; Carrigan, L.; Ward, C.; Justo, R.; Alphonso, N.; Anderson, B. Balloon Aortic Valvuloplasty for Congenital Aortic Stenosis: A 14-Year Single Centre Review. Heart Lung Circ. 2019, 28, 632–636. [Google Scholar] [CrossRef] [PubMed]
- Kaneko, Y.; Hirata, Y.; Achiwa, I.; Morishita, H.; Soto, H.; Kobayahsi, J. Adhesion barrier reduces postoperative adhesions after cardiac surgery. Asian Cardiovasc. Thorac. Ann. 2012, 20, 257–262. [Google Scholar] [CrossRef] [PubMed]
- Walther, T.; Rastan, A.; Dähnert, I.; Falk, V.; Jacobs, S.; Mohr, F.W.; Kostelka, M. A novel adhesion barrier facilitates reoperations in complex congenital cardiac surgery. J. Thorac. Cardiovasc. Surg. 2005, 129, 359–363. [Google Scholar] [CrossRef] [PubMed]
- Vergnat, M.; Asfour, B.; Arenz, C.; Suchowerskyj, P.; Bierbach, B.; Schindler, E.; Schneider, M.; Hraska, V. Aortic stenosis of the neonate: A single-center experience. J. Thorac. Cardiovasc. Surg. 2019, 157, 318–326.e311. [Google Scholar] [CrossRef] [PubMed]
- Kjellberg Olofsson, C.; Hanseus, K.; Johansson Ramgren, J.; Johansson Synnergren, M.; Sunnegårdh, J. A national study of the outcome after treatment of critical aortic stenosis in the neonate. Cardiol. Young 2020, 30, 1321–1327. [Google Scholar] [CrossRef]
- Siddiqui, J.; Brizard, C.P.; Galati, J.C.; Iyengar, A.J.; Hutchinson, D.; Konstantinov, I.E.; Wheaton, G.R.; Ramsay, J.M.; d’Udekem, Y. Surgical valvotomy and repair for neonatal and infant congenital aortic stenosis achieves better results than interventional catheterization. J. Am. Coll. Cardiol. 2013, 62, 2134–2140. [Google Scholar] [CrossRef] [PubMed]
- Mozumdar, N.; Burke, E.; Schweizer, M.; Gillespie, M.J.; Dori, Y.; Narayan, H.K.; Rome, J.J.; Glatz, A.C. A Comparison of Anterograde Versus Retrograde Approaches for Neonatal Balloon Aortic Valvuloplasty. Pediatr. Cardiol. 2018, 39, 450–458. [Google Scholar] [CrossRef] [PubMed]
- Meliota, G.; Vairo, U. Transcatheter Interventions for Neonates with Congenital Heart Disease: A Review. Diagnostics 2023, 13, 2673. [Google Scholar] [CrossRef] [PubMed]
- Magee, A.G.; Nykanen, D.; McCrindle, B.W.; Wax, D.; Freedom, R.M.; Benson, L.N. Balloon dilation of severe aortic stenosis in the neonate: Comparison of anterograde and retrograde catheter approaches. J. Am. Coll. Cardiol. 1997, 30, 1061–1066. [Google Scholar] [CrossRef] [PubMed]
- Rao, P.S. Balloon aortic valvuloplasty. Indian Heart J. 2016, 68, 592–595. [Google Scholar] [CrossRef] [PubMed]
- Brown, D.W.; Chong, E.C.; Gauvreau, K.; Keane, J.F.; Lock, J.E.; Marshall, A.C. Aortic wall injury as a complication of neonatal aortic valvuloplasty: Incidence and risk factors. Circ. Cardiovasc. Interv. 2008, 1, 53–59. [Google Scholar] [CrossRef] [PubMed]










| Variable | First Valvuloplasty n = 12 | Second Valvuloplasty n = 9 | Third Valvuloplasty n = 2 |
|---|---|---|---|
| Age at procedure: days (range) | 3 (1–55) | 34 (4–83) | 49 and 104 |
| Female: n (%) | 2 (16.7) | 1 (11.1) | 0 |
| Male: n (%) | 10 (83.3) | 8 (88.9) | 2 (100) |
| Body weight: kg (range) | 3.2 (2.6–5.1) | 3.9 (2.7–5.1) | 3.4 and 5.7 |
| Unicuspid AV: n (%) | 9 (75.0) | 8 (88.9) | 2 (100) |
| Bicuspid AV: n (%) | 3 (25.0) | 1 (11.1) | 0 |
| Antegrade BAV: n (%) | 6 (50.0) | 3 (32.3) | 0 |
| Retrograde BAV: n (%) | 6 (50.0) | 6 (66.7) | 2 (100) |
| Case | Sex | Valve Cuspidity | Number of Interventions | Age (d) | Weight (kg) | LVEDD (mm) (Z Score) | AV Annulus (mm) (Z score) | Maximum Balloon Diameter (mm) | Balloon/Annulus Ratio | Antegrade (A) or Retrograde (R) BAV | LVSF before BAV (%) | LVSF following BAV (%) | Maximal Δp before BAV (mmHg) | Maximal Δp following BAV (mmHg) | AR following BAV (Grade 0–4) |
|---|---|---|---|---|---|---|---|---|---|---|---|---|---|---|---|
| 1 | m | UVC | 1/2 | 3 | 3.6 | 30 (+5.4) | 6.0 (−2.3) | 5.5 | 0.91 | R | 13 | 23 | 37 | 20 | 0 |
| 2/2 | 7 | 3.6 | 30 (+5.4) | 6.0 (−2.3) | 7.0 | 1.16 | R | 22 | 31 | 42 | 18 | 1 | |||
| 2 | m | UCV | 1/3 | 1 | 2.7 | 25 (+3.7) | 5.5 (−2.4) | 4.5 | 0.81 | A | 12 | 23 | 50 | 50 | 0 |
| 2/3 | 4 | 2.7 | 26 (+4.2) | 5.5 (−2.4) | 6.0 | 1.09 | A | 21 | 30 | 60 | 36 | 1 | |||
| 3/3 | 49 | 3.4 | 25 (+3.0) | 6.5 (−1.5) | 8.0 | 1.23 | R | 18 | 28 | 52 | 16 | 2 | |||
| 3 | m | UCV | 1/2 | 55 | 5.1 | 35 (+6.2) | 9.0 (+0.9) | 7.0 | 0.77 | R | 4 | 20 | 60 | 45 | 0 |
| 2/2 | 70 | 5.1 | 34 (+5.8) | 9.0 (+0.8) | 8.0 | 0.88 | R | 15 | 23 | 50 | 21 | 1 | |||
| 4 | m | UCV | 1/2 | 29 | 3.9 | 25 (+2.8) | 9.5 (+2.5) | 7.0 | 0.73 | R | 15 | 27 | 90 | 50 | 1 |
| 2/2 | 34 | 3.9 | 25 (+2.8) | 9.5 (+2.5) | 8.0 | 0.84 | R | 20 | 34 | 70 | 25 | 1 | |||
| 5 | m | UCV | 1/3 | 6 | 3.0 | 21 (+1.4) | 6.0 (−1.9) | 6.0 | 1.00 | A | 11 | n.a. | 55 | 36 | 1 |
| 2/3 | 9 | 2.8 | 21 (+1.5) | 6.0 (−1.7) | 7.0 | 1.16 | A | n.a. | n.a. | 62 | 30 | 1 | |||
| 3/3 | 104 | 5.7 | 19 (−1.4) | 6.5 (−3.1) | 8.0 | 1.23 | R | 33 | 36 | 81 | 40 | 1 | |||
| 6 | m | UCV | 1/2 | 1 | 3.4 | 21 (+1.3) | 7.5 (+0.5) | 7.0 | 0.93 | R | 44 | 50 | 130 | 50 | 0 |
| 2/2 | 21 | 3.7 | 21 (+1.1) | 7.5 (+0.2) | 7.0 | 0.93 | R | 45 | 48 | 50 | 15 | 0 | |||
| 7 | m | UCV | 1/2 | 32 | 3.5 | 24 (+2.6) | 7.0 (−0.6) | 6.0 | 0.85 | A | 25 | 25 | 104 | 50 | 0 |
| 2/2 | 83 | 4.9 | 24 (+0.5) | 8.0 (−1.5) | 8.0 | 1.00 | R | 33 | 39 | 130 | 40 | 2 | |||
| 8 | f | BCV | 1/1 | 7 | 2.9 | 21 (+1.6) | 5.5 (−2.6) | 5.0 | 0.90 | R | 41 | 43 | 85 | 45 | 2 |
| 9 | f | UCV | 1/2 | 2 | 3.2 | 15 (−2.0) | 5.0 (−4.0) | 5.0 | 1.00 | A | 38 | 37 | 50 | 30 | 0 |
| 2/2 | 78 | 4.1 | 17 (−1.6) | 5.5 (−3.9) | 5.0 | 0.90 | A | 33 | 32 | 65 | 50 | 0 | |||
| 10 | m | BCV | 1/1 | 3 | 2.6 | 20 (+1.4) | 8.5 (+2.8) | 6.0 | 0.70 | A | 25 | 44 | 125 | 25 | 1 |
| 11 | m | BCV | 1/2 | 2 | 2.6 | 21 (+2.0) | 6.5 (−0.1) | 6.0 | 0.92 | R | 20 | 31 | 80 | 52 | 0 |
| 2/2 | 55 | 4.6 | 28 (+3.7) | 7.5 (−0.7 | 8.0 | 1.06 | R | 25 | 30 | 130 | 80 | 0 | |||
| 12 | m | UCV | 1/1 | 2 | 3.2 | 21 (+1.3) | 5.0 (−4.1) | 5.5 | 1.10 | A | 9 | 25 | 19 | 25 | 1 |
Disclaimer/Publisher’s Note: The statements, opinions and data contained in all publications are solely those of the individual author(s) and contributor(s) and not of MDPI and/or the editor(s). MDPI and/or the editor(s) disclaim responsibility for any injury to people or property resulting from any ideas, methods, instructions or products referred to in the content. |
© 2024 by the authors. Licensee MDPI, Basel, Switzerland. This article is an open access article distributed under the terms and conditions of the Creative Commons Attribution (CC BY) license (https://creativecommons.org/licenses/by/4.0/).
Share and Cite
Pfeifer, J.; Rentzsch, A.; Poryo, M.; Abdul-Khaliq, H. Balloon Valvuloplasty in Congenital Critical Aortic Valve Stenosis in Neonates and Infants: A Rescue Procedure for the Left Ventricle. J. Cardiovasc. Dev. Dis. 2024, 11, 156. https://doi.org/10.3390/jcdd11050156
Pfeifer J, Rentzsch A, Poryo M, Abdul-Khaliq H. Balloon Valvuloplasty in Congenital Critical Aortic Valve Stenosis in Neonates and Infants: A Rescue Procedure for the Left Ventricle. Journal of Cardiovascular Development and Disease. 2024; 11(5):156. https://doi.org/10.3390/jcdd11050156
Chicago/Turabian StylePfeifer, Jochen, Axel Rentzsch, Martin Poryo, and Hashim Abdul-Khaliq. 2024. "Balloon Valvuloplasty in Congenital Critical Aortic Valve Stenosis in Neonates and Infants: A Rescue Procedure for the Left Ventricle" Journal of Cardiovascular Development and Disease 11, no. 5: 156. https://doi.org/10.3390/jcdd11050156
APA StylePfeifer, J., Rentzsch, A., Poryo, M., & Abdul-Khaliq, H. (2024). Balloon Valvuloplasty in Congenital Critical Aortic Valve Stenosis in Neonates and Infants: A Rescue Procedure for the Left Ventricle. Journal of Cardiovascular Development and Disease, 11(5), 156. https://doi.org/10.3390/jcdd11050156

