Anomalous Arising of Right Coronary Artery from the Pulmonary Artery
Abstract
1. Introduction
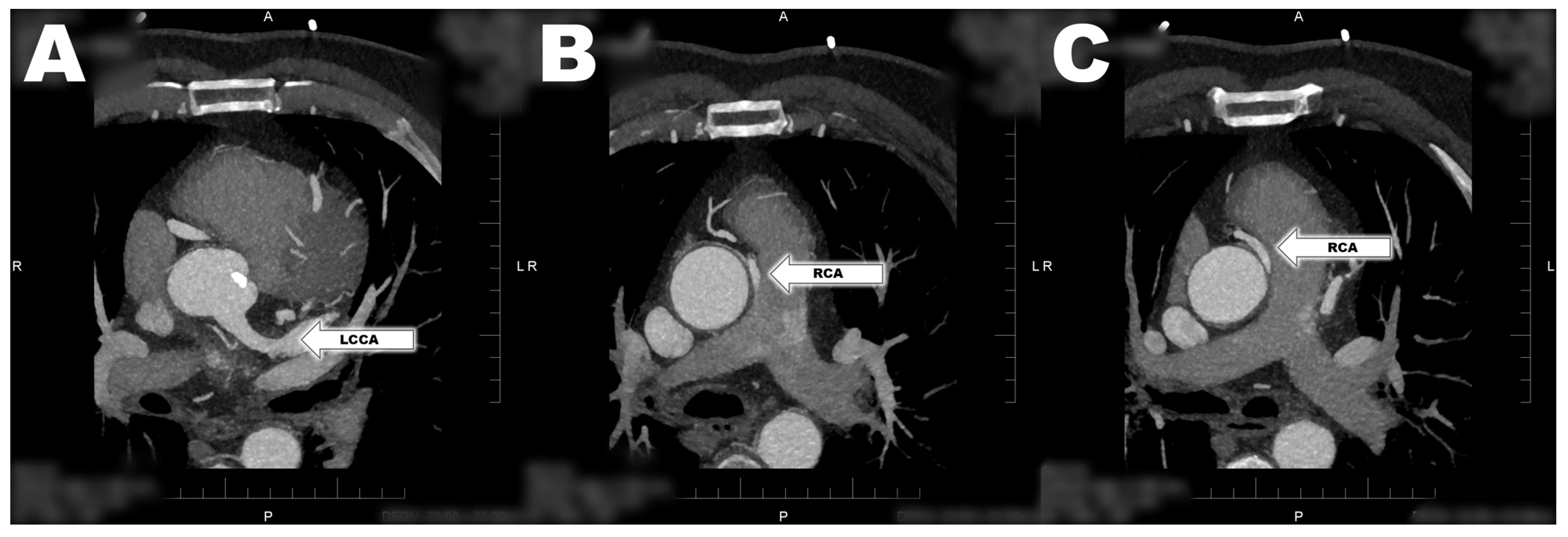
2. Case Report
3. Discussion
4. Conclusions
Author Contributions
Funding
Institutional Review Board Statement
Informed Consent Statement
Data Availability Statement
Conflicts of Interest
References
- Ajam, A.; Rahnamoun, Z.; Sahebjam, M.; Sattartabar, B.; Razminia, Y.; Ahmadi Tafti, S.H.; Hosseini, K. Cardiac imaging findings in anomalous origin of the coronary arteries from the pulmonary artery; narrative review of the literature. Echo Res. Pract. 2022, 9, 12. [Google Scholar] [CrossRef] [PubMed]
- Mahmoud, H.; Cinteza, E.; Voicu, C.; Margarint, I.; Rotaru, I.; Aria, A.; Youssef, T.; Nicolescu, A. Challenging Diagnosis of Anomalous Origin of the Right Coronary Artery from the Pulmonary Artery. Diagnostics 2022, 12, 2671. [Google Scholar] [CrossRef] [PubMed]
- Rao, S.; Pathmanathan, A.; Khan, A.; Malik, M.; Chaudhuri, D.; Ford, T.; Byrum, C.; Smith, F. Heart Failure as the Initial Presentation of Anomalous Left Coronary Artery From the Pulmonary Artery. J. Investig. Med. High. Impact Case Rep. 2022, 10, 23247096221084909. [Google Scholar] [CrossRef] [PubMed]
- Mishra, A. Surgical management of anomalous origin of coronary artery from pulmonary artery. Indian J. Thorac. Cardiovasc. Surg. 2021, 37 (Suppl. S1), 131–143. [Google Scholar] [CrossRef] [PubMed]
- Cavalcanti, L.R.P.; Sa, M.; Escorel Neto, A.C.; Salerno, P.R.; Lima, R.C. Anomalous origin of the left coronary artery from the pulmonary artery (ALCAPA) in adults: Collateral circulation does not preclude direct reimplantation. J. Card. Surg. 2021, 36, 731–734. [Google Scholar] [CrossRef] [PubMed]
- Prandi, F.R.; Zaidi, A.N.; LaRocca, G.; Hadley, M.; Riasat, M.; Anastasius, M.O.; Moreno, P.R.; Sharma, S.; Kini, A.; Murthy, R.; et al. Sudden Cardiac Arrest in an Adult with Anomalous Origin of the Left Coronary Artery from the Pulmonary Artery (ALCAPA): Case Report. Int. J. Environ. Res. Public Health 2022, 19, 1554. [Google Scholar] [CrossRef] [PubMed]
- Ojha, V.; Pandey, N.N.; Kumar, S.; Ramakrishnan, S.; Jagia, P. Anomalous origin of left main coronary artery from pulmonary artery: Patient characteristics and imaging associations on multidetector computed tomography angiography. J. Card. Surg. 2021, 36, 4043–4053. [Google Scholar] [CrossRef] [PubMed]
- Alsamman, M.; Tuna, K.; Dunn, S.; Rifai, F.; Reed, J. Adult Anomalous Left Coronary Artery Arising From the Pulmonary Artery (ALCAPA) Syndrome as First Presentation With Atrial Fibrillation in a Marathon Runner. Cureus 2021, 13, e15354. [Google Scholar] [CrossRef] [PubMed]
- Wang, X.; Xia, X.; Huang, W.; Li, X.; Liu, Y. Anomalous origin of the left coronary artery from the pulmonary artery as a rare cause of mitral valve prolapse: A case report. BMC Cardiovasc. Disord. 2022, 22, 304. [Google Scholar] [CrossRef] [PubMed]
- Furuta, A.; Matsumura, G.; Shinkawa, T.; Niinami, H. Long-term surgical results of anomalous origin of the left coronary artery from the pulmonary artery repair in infants and older patients. J. Card. Surg. 2021, 36, 821–827. [Google Scholar] [CrossRef] [PubMed]
- Shibagaki, K.; Shiiku, C.; Kamiya, H.; Kikuchi, Y. Anomalous Origin of the Left Anterior Descending Coronary Artery in an Adult. Thorac. Cardiovasc. Surg. Rep. 2021, 10, e9–e10. [Google Scholar] [CrossRef] [PubMed]
- Irvine, D.S.; Rozava, K.; Theodotou, A.; Evans, R.; Huang, J. Anesthesia Consideration for a Patient With Incidentally Diagnosed Anomalous Origin of Right Coronary Artery Originating From Pulmonary Trunk (ARCAPA): A Case Study. Cureus 2022, 14, e28955. [Google Scholar] [CrossRef] [PubMed]
- Sorgaard, M.H.; Kofoed, K.F.; Abdulla, J. Anomalous origin of the right coronary artery from pulmonary artery in an adult presenting with rapid atrial fibrillation: A case report. Eur. Heart J. Case Rep. 2023, 7, ytad113. [Google Scholar] [CrossRef] [PubMed]
- Scordino, D.; Venturi, G.; Nudi, F.; Tomai, F. Multi-imaging evaluation and long-term outcome of a patient with chest pain and an anomalous right coronary artery arising from pulmonary artery: A case report. Eur. Heart J. Case Rep. 2022, 6, ytac430. [Google Scholar] [CrossRef] [PubMed]
- Talebian Yazdi, M.; Robbers-Visser, D.; van der Bilt, I.A.C.; Boekholdt, S.M.; Koolbergen, D.R.; Planken, R.N.; Groenink, M. Anomalous coronary artery from the pulmonary artery diagnosed in adulthood: A case series on variations of coronary anatomy and the diagnostic value of cardiac magnetic resonance imaging. Eur. Heart J. Case Rep. 2022, 6, ytac345. [Google Scholar] [CrossRef] [PubMed]
- Achim, A.; Johnson, N.P.; Liblik, K.; Burckhardt, A.; Krivoshei, L.; Leibundgut, G. Coronary steal: How many thieves are out there? Eur. Heart J. 2023, 44, 2805–2814. [Google Scholar] [CrossRef] [PubMed]
- Ohashi, K.; Itagaki, R.; Mukaida, T.; Miyazaki, K.; Ohashi, K.; Kawada, M.; Abe, D. Cardiac Arrest in a 33-year-old Marathon Runner with Anomalous Right Coronary Artery Originating from the Pulmonary Artery. Intern. Med. 2022, 61, 673–677. [Google Scholar] [CrossRef] [PubMed]
- Baumgartner, H.; De Backer, J. The ESC Clinical Practice Guidelines for the Management of Adult Congenital Heart Disease 2020. Eur. Heart J. 2020, 41, 4153–4154. [Google Scholar] [CrossRef] [PubMed]


Disclaimer/Publisher’s Note: The statements, opinions and data contained in all publications are solely those of the individual author(s) and contributor(s) and not of MDPI and/or the editor(s). MDPI and/or the editor(s) disclaim responsibility for any injury to people or property resulting from any ideas, methods, instructions or products referred to in the content. |
© 2024 by the authors. Licensee MDPI, Basel, Switzerland. This article is an open access article distributed under the terms and conditions of the Creative Commons Attribution (CC BY) license (https://creativecommons.org/licenses/by/4.0/).
Share and Cite
Kolesár, A.; Toporcer, T.; Čobejová, J.; Lukačin, Š. Anomalous Arising of Right Coronary Artery from the Pulmonary Artery. J. Cardiovasc. Dev. Dis. 2024, 11, 50. https://doi.org/10.3390/jcdd11020050
Kolesár A, Toporcer T, Čobejová J, Lukačin Š. Anomalous Arising of Right Coronary Artery from the Pulmonary Artery. Journal of Cardiovascular Development and Disease. 2024; 11(2):50. https://doi.org/10.3390/jcdd11020050
Chicago/Turabian StyleKolesár, Adrián, Tomáš Toporcer, Jana Čobejová, and Štefan Lukačin. 2024. "Anomalous Arising of Right Coronary Artery from the Pulmonary Artery" Journal of Cardiovascular Development and Disease 11, no. 2: 50. https://doi.org/10.3390/jcdd11020050
APA StyleKolesár, A., Toporcer, T., Čobejová, J., & Lukačin, Š. (2024). Anomalous Arising of Right Coronary Artery from the Pulmonary Artery. Journal of Cardiovascular Development and Disease, 11(2), 50. https://doi.org/10.3390/jcdd11020050

