Storytelling of Hypertrophic Cardiomyopathy Discovery
Abstract
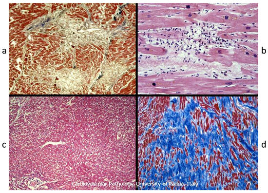
1. The Pathology Spectrum of Hypertrophic Cardiomyopathy
2. Restrictive Cardiomyopathy
3. Conclusions
Author Contributions
Funding
Conflicts of Interest
References
- Teare, D. Asymmetrical hypertrophy of the heart in young adults. Br. Heart J. 1958, 20, 1–8. [Google Scholar] [CrossRef] [PubMed]
- Braunwald, E. Reflections on Hypertrophic Cardiomyopathy. Eur. Heart J. 2021, 42, 2969–2970. [Google Scholar] [CrossRef] [PubMed]
- Morrow, A.G.; Braunwald, E. Functional aortic stenosis; a malformation characterized by resistance to left ventricular outflow without anatomic obstruction. Circulation 1959, 20, 181–189. [Google Scholar] [CrossRef] [PubMed]
- Aygen, M.M.; Hilbish, T.F.; Braunwald, E.; Morrow, A.G.; Cornell, W.P. Idiopathic hypertrophic subaortic stenosis: Clinical, hemodynamic and angiographic manifestations. Am. J. Med. 1960, 29, 924–945. [Google Scholar]
- Brock, R. Functional obstruction of the left ventricle; acquired aortic subvalvar stenosis. Guys Hosp. Rep. 1957, 106, 221–238. [Google Scholar] [PubMed]
- Maron, B.J.; Bonow, R.O.; Salberg, L.; Roberts, W.C.; Braunwald, E. The first patient clinically diagnosed with hypertrophic cardiomyopathy. Am. J. Cardiol. 2008, 102, 1418–1420. [Google Scholar] [CrossRef]
- Report of the WHO/ISFC task force on the definition and classification of cardiomyopathies. Br. Heart J. 1980, 44, 672–673. [CrossRef]
- Richardson, P.; McKenna, W.; Bristow, M.; Maisch, B.; Mautner, B.; O’Connell, J.; Olsen, E.; Thiene, G.; Goodwin, J.; Gyarfas, I.; et al. Report of the 1995 World Health Organization/International Society and Federation of Cardiology Task Force on the Definition and Classification of cardiomyopathies. Circulation 1996, 93, 841–842. [Google Scholar]
- Jarcho, J.A.; McKenna, W.; Pare, J.A.; Solomon, S.D.; Holcombe, R.F.; Dickie, S.; Levi, T.; Donis-Keller, H.; Seidman, J.G.; Seidman, C.E. Mapping a gene for familial hypertrophic cardiomyopathy to chromosome 14q1. N. Engl. J. Med. 1989, 321, 1372–1378. [Google Scholar] [CrossRef]
- Geisterfer-Lowrance, A.A.; Kass, S.; Tanigawa, G.; Vosberg, H.P.; McKenna, W.; Seidman, C.E.; Seidman, J.G. A molecular basis for familial hypertrophic cardiomyopathy: A beta cardiac myosin heavy chain gene missense mutation. Cell 1990, 62, 999–1006. [Google Scholar] [CrossRef] [PubMed]
- Hollman, A.; Goodwin, J.F.; Teare, D.; Renwick, J.W. A family with obstructive cardiomyopathy (asymmetrical hypertrophy). Br. Heart J. 1960, 22, 449–456. [Google Scholar] [CrossRef] [PubMed]
- Watkins, H.; Seidman, C.E.; MacRae, C.; Seidman, J.G.; McKenna, W. Progress in familial hypertrophic cardiomyopathy: Molecular genetic analyses in the original family studied by Teare. Br. Heart J. 1992, 67, 34–38. [Google Scholar] [CrossRef] [PubMed][Green Version]
- Marian, A.J.; Braunwald, E. Hypertrophic Cardiomyopathy: Genetics, Pathogenesis, Clinical Mani-festations, Diagnosis, and Therapy. Circ Res. 2017, 121, 749–770. [Google Scholar] [CrossRef] [PubMed]
- Mogensen, J.; Kubo, T.; Duque, M.; Uribe, W.; Shaw, A.; Murphy, R.; Gimeno, J.R.; Elliott, P.; McKenna, W.J. Idiopathic restrictive cardiomyopathy is part of the clinical expression of cardiac troponin I mutations. J. Clin. Investig. 2003, 111, 209–216. [Google Scholar] [CrossRef]
- Menon, S.C.; Michels, V.V.; Pellikka, P.A.; Ballew, J.D.; Karst, M.L.; Herron, K.J.; Nelson, S.M.; Rodeheffer, R.J.; Olson, T.M. Cardiac troponin T mutation in familial cardiomyopathy with variable remodeling and restrictive physiology. Clin. Genet. 2008, 74, 445–454. [Google Scholar] [CrossRef]
- Angelini, A.; Calzolari, V.; Thiene, G.; Boffa, G.M.; Valente, M.; Daliento, L.; Basso, C.; Calabrese, F.; Razzolini, R.; Livi, U.; et al. Morphologic spectrum of primary restrictive cardiomyopathy. Am. J. Cardiol. 1997, 80, 1046–1050. [Google Scholar] [CrossRef]
- Htet, M.; Lei, S.; Bajpayi, S.; Zoitou, A.; Chamakioti, M.; Tampakakis, E. The role of noncoding genetic variants in cardiomyopathy. Front. Cardiovasc. Med. 2023, 10, 1116925. [Google Scholar] [CrossRef]
- Kim, R.J.; Judd, R.M. Gadolinium-enhanced magnetic resonance imaging in hypertrophic cardiomyopathy: In vivo imaging of the pathologic substrate for premature cardiac death? J. Am. Coll. Cardiol. 2003, 41, 1568–1572. [Google Scholar] [CrossRef]
- Maron, B.J.; Rowin, E.J.; Casey, S.A.; Maron, M.S. How Hypertrophic Cardiomyopathy Became a Contemporary Treatable Genetic Disease With Low Mortality: Shaped by 50 Years of Clinical Research and Practice. JAMA Cardiol. 2016, 1, 98–105. [Google Scholar] [CrossRef]
- Corrado, D.; Basso, C.; Schiavon, M.; Thiene, G. Screening for hypertrophic cardiomyopathy in young athletes. N. Engl. J. Med. 1998, 339, 364–369. [Google Scholar] [CrossRef]
- Olivotto, I.; Oreziak, A.; Barriales-Villa, R.; Abraham, T.P.; Masri, A.; Garcia-Pavia, P.; Saberi, S.; Lakdawala, N.K.; Wheeler, M.T.; Owens, A.; et al. Mavacamten for treatment of symptomatic obstructive hypertrophic cardiomyopathy (EXPLORER-HCM): A randomised, double-blind, placebo-controlled, phase 3 trial. Lancet 2020, 396, 759–769. [Google Scholar] [CrossRef] [PubMed]
- Maron, M.S.; Masri, A.; Nassif, M.E.; Barriales-Villa, R.; Arad, M.; Cardim, N.; Choudhury, L.; Claggett, B.; Coats, C.J.; Düngen, H.-D.; et al. Aficamten for symptomatic obstructive hypertrophic cardiomyopathy. N. Engl. J. Med. 2024, 390, 1849–1861. [Google Scholar] [CrossRef] [PubMed]
- Bogle, C.; Colan, S.D.; Miyamoto, S.D.; Choudhry, S.; Baez-Hernandez, N.; Brickler, M.M.; Feingold, B.; Lal, A.K.; Lee, T.M.; Canter, C.E.; et al. Treatment Strategies for Cardiomyopathy in Children: A Scientific Statement From the American Heart Association. Circulation 2023, 148, e3. [Google Scholar] [CrossRef]
- Basso, C.; Thiene, G.; Corrado, D.; Buja, G.; Melacini, P.; Nava, A. Hypertrophic cardiomyopathy and sudden death in the young: Pathologic evidence of myocardial ischemia. Hum. Pathol. 2000, 31, 988–998. [Google Scholar] [CrossRef] [PubMed]
- Coleman, J.A.; Doste, R.; Ashkir, Z.; Coppini, R.; Sachetto, R.; Watkins, H.; Raman, B.; Bueno-Orovio, A. Mechanisms of ischaemia-induced arrhythmias in hypertrophic cardiomyopathy: A large-scale computational study. Cardiovasc. Res. 2024, 120, 914–926. [Google Scholar] [CrossRef] [PubMed]
- Basso, C.; Thiene, G.; Mackey-Bojack, S.; Frigo, A.C.; Corrado, D.; Maron, B.J. Myocardial bridging, a frequent component of the hypertrophic cardiomyopathy phenotype, lacks systematic association with sudden cardiac death. Eur. Heart J. 2009, 30, 1627–1634. [Google Scholar] [CrossRef]
- Morales, A.R.; Romanelli, R.; Boucek, R.J. The mural left anterior descending coronary artery, strenuous exercise and sudden death. Circulation 1980, 62, 230–237. [Google Scholar] [CrossRef]
- Green, N.; Chen, Y.; O’Mahony, C.; Elliott, P.M.; Barriales-Villa, R.; Monserrat, L.; Anastasakis, A.; Biagini, E.; Gimeno, J.R.; Limongelli, G.; et al. A cost-effectiveness analysis of hypertrophic cardiomyopathy sudden cardiac death risk algorithms for implantable cardioverter defibrillator decision-making. Eur. Heart J. Qual. Care Clin. Outcomes 2024, 10, 285–293. [Google Scholar] [CrossRef]
- Hilderink, S.; Schuldt, M.; Goebel, M.; Jansen, V.J.; Manders, E.; Moorman, S.; Dorsch, L.M.; van Steenbeek, F.G.; van der Velden, J.; Kuster, D.W.D. Characterization of heterozygous and homozygous mouse models with the most common hypertrophic cardiomyopathy mutation MYBPC3c.2373InsG in the Netherlands. J. Mol. Cell. Cardiol. 2023, 185, 65–76. [Google Scholar] [CrossRef]
- Desai, M.Y. The promise of gene therapy in hypertrophic cardiomyopathy: Emergence of human experience. Cardiovasc. Res. 2024, 120, e33–e35. [Google Scholar] [CrossRef]






















|
Disclaimer/Publisher’s Note: The statements, opinions and data contained in all publications are solely those of the individual author(s) and contributor(s) and not of MDPI and/or the editor(s). MDPI and/or the editor(s) disclaim responsibility for any injury to people or property resulting from any ideas, methods, instructions or products referred to in the content. |
© 2024 by the authors. Licensee MDPI, Basel, Switzerland. This article is an open access article distributed under the terms and conditions of the Creative Commons Attribution (CC BY) license (https://creativecommons.org/licenses/by/4.0/).
Share and Cite
Thiene, G.; Calore, C.; De Gaspari, M.; Basso, C. Storytelling of Hypertrophic Cardiomyopathy Discovery. J. Cardiovasc. Dev. Dis. 2024, 11, 300. https://doi.org/10.3390/jcdd11100300
Thiene G, Calore C, De Gaspari M, Basso C. Storytelling of Hypertrophic Cardiomyopathy Discovery. Journal of Cardiovascular Development and Disease. 2024; 11(10):300. https://doi.org/10.3390/jcdd11100300
Chicago/Turabian StyleThiene, Gaetano, Chiara Calore, Monica De Gaspari, and Cristina Basso. 2024. "Storytelling of Hypertrophic Cardiomyopathy Discovery" Journal of Cardiovascular Development and Disease 11, no. 10: 300. https://doi.org/10.3390/jcdd11100300
APA StyleThiene, G., Calore, C., De Gaspari, M., & Basso, C. (2024). Storytelling of Hypertrophic Cardiomyopathy Discovery. Journal of Cardiovascular Development and Disease, 11(10), 300. https://doi.org/10.3390/jcdd11100300

