Embolization of a Large Right-Coronary-Artery-to-Left-Atrium Fistula in a Three-Year-Old Child: A Case Report
Abstract
1. Introduction
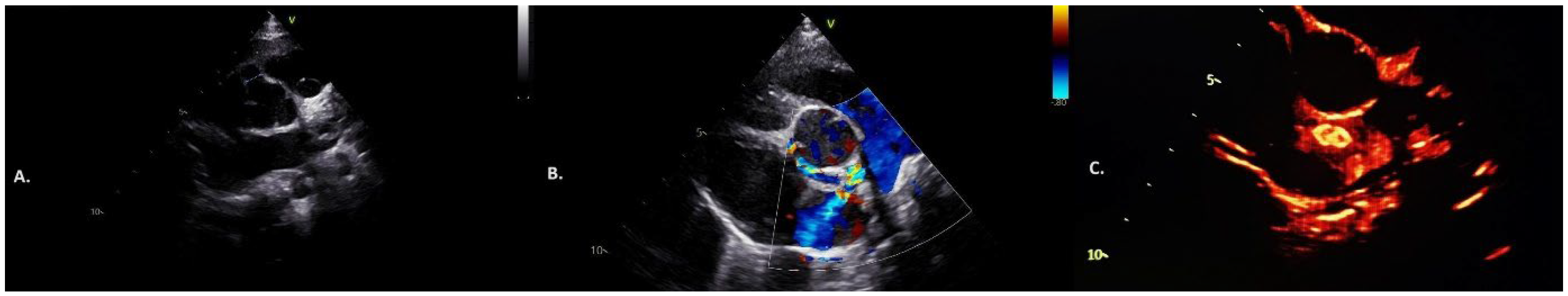
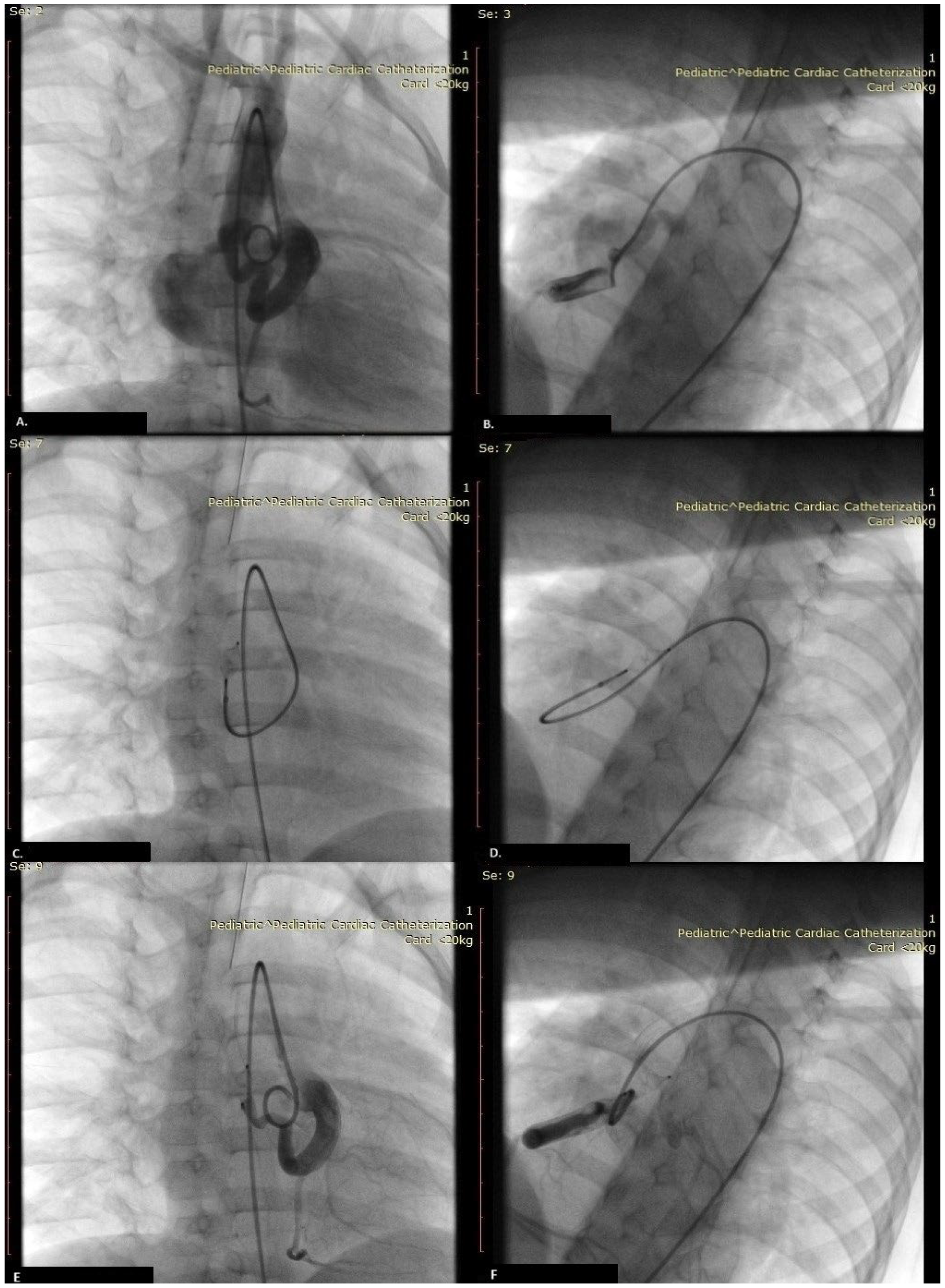
2. Case Report
3. Discussion
Supplementary Materials
Author Contributions
Funding
Institutional Review Board Statement
Informed Consent Statement
Data Availability Statement
Conflicts of Interest
References
- Challoumas, D.; Pericleous, A.; Dimitrakaki, I.A.; Danelatos, C.; Dimitrakakis, G. Coronary arteriovenous fistulae: A review. Int. J. Angiol. 2014, 23, 1–10. [Google Scholar] [CrossRef] [PubMed] [PubMed Central]
- Al-Hijji, M.; El Sabbagh, A.; El Hajj, S.; AlKhouli, M.; El Sabawi, B.; Cabalka, A.; Miranda, W.R.; Holmes, D.R.; Rihal, C.S. Coronary Artery Fistulas: Indications, Techniques, Outcomes, and Complications of Transcatheter Fistula Closure. JACC Cardiovasc. Interv. 2021, 14, 1393–1406. [Google Scholar] [CrossRef] [PubMed]
- Jha, N.K.; Kiraly, L.; Shah, N.; Al Mulla, A.; Mora, B. Congenital aneurysmal right coronary artery with a fistula to the left atrium in an adult. J. Cardiothorac. Surg. 2019, 14, 33. [Google Scholar] [CrossRef] [PubMed] [PubMed Central]
- Goo, H.W. Imaging Findings of Coronary Artery Fistula in Children: A Pictorial Review. Korean J. Radiol. 2021, 22, 2062–2072. [Google Scholar] [CrossRef] [PubMed] [PubMed Central]
- Achim, A.; Johnson, N.P.; Liblik, K.; Burckhardt, A.; Krivoshei, L.; Leibundgut, G. Coronary steal: How many thieves are out there? Eur. Heart J. 2023, 44, 2805–2814. [Google Scholar] [CrossRef] [PubMed]
- Agusti, R.; Liebman, J.; Ankeney, J.; Macleod, C.A.; Linton, D.S.; Wiltsie, R. Congenital right coronary artery to left atrium fistula. J. Am. Coll. Cardiol. 1967, 19, 428–433. [Google Scholar] [CrossRef] [PubMed]
- Oliver, J.M.; López de Sá, E.; Dominguez, F.; Sobrino, J.A.; Muñoz, J.E.; Iglesias, A. Congenital right coronary artery-to-left atrium fistula detected by two-dimensional and Doppler echocardiography. Am. Hear. J. 1987, 114, 165–166. [Google Scholar] [CrossRef] [PubMed]
- Taydaş, O.; Erarslan, Y.; Evrenos, B.; Hazırolan, T. Fistula between Right Coronary Artery and Left Atrium via Sinoatrial Artery: A Rare Entity. Available online: https://www.eurorad.org/case/13167 (accessed on 22 September 2024). [CrossRef]
- Hernandez, M.F.; Hernandez, R.H.; Perez Siller, G.R. Double Coronary–Cameral Fistula: Right Coronary Artery and Circumflex to Left Atrium. AIM Clin. Cases 2023, 2, e221269. [Google Scholar] [CrossRef]
- Kosutic, J.; Prijic, S.; Vujic, A. Successful closure of large congenital coronary fistula with an amplatzer vascular plug: A case report and review of the literature. World J. Pediatr. Congenit. Heart Surg. 2011, 2, 513–516. [Google Scholar] [CrossRef] [PubMed]
- Reidy, J.F.; Sowton, E.; Ross, D.N. Transcatheter occlusion of coronary to bronchial anastomosis by detachable balloon combined with coronary angioplasty at same procedure. Br. Heart J. 1983, 49, 284–287. [Google Scholar] [CrossRef] [PubMed]
- Feltes, T.F.; Bacha, E.; Beekman, R.H., 3rd; Cheatham, J.P.; Feinstein, J.A.; Gomes, A.S.; Hijazi, Z.M.; Ing, F.F.; de Moor, M.; Morrow, W.R.; et al. Indications for cardiac catheterization and intervention in pediatric cardiac disease: A scientific statement from the American Heart Association. Circulation 2011, 123, 2607–2652. [Google Scholar] [CrossRef] [PubMed]
- Stout, K.K.; Daniels, C.J.; Aboulhosn, J.A.; Bozkurt, B.; Broberg, C.S.; Colman, J.M.; Crumb, S.R.; Dearani, J.A.; Fuller, S.; Gurvitz, M.; et al. 2018 AHA/ACC Guideline for the Management of Adults with Congenital Heart Disease: Executive Summary: A Report of the American College of Cardiology/American Heart Association Task Force on Clinical Practice Guidelines. J. Am. Coll. Cardiol. 2019, 73, 1494–1563, Erratum in J. Am. Coll. Cardiol. 2019, 73, 2361. https://doi.org/10.1016/j.jacc.2019.03.017. [Google Scholar] [CrossRef] [PubMed]
- Lopera, J.E. The Amplatzer Vascular Plug: Review of Evolution and Current Applications. Semin. Interv. Radiol. 2015, 32, 356–369. [Google Scholar] [CrossRef] [PubMed] [PubMed Central]
- Wu, S.; Fares, M.; Zellers, T.M.; Jyothinagaram, M.; Reddy, S.R.V. Diagnosis and Management of Congenital Coronary Artery Fistulas in Infants and Children. Curr. Cardiol. Rep. 2023, 25, 1921–1932. [Google Scholar] [CrossRef] [PubMed]
- Sang, Z.; Ji, Q.; Tong, H.; Shen, L.; Wang, X.; He, B. The functional impact on donor vessel following transcatheter closure of coronary artery fistulas-a retrospective study using QFR analysis. Front. Cardiovasc. Med. 2024, 11, 1435025. [Google Scholar] [CrossRef] [PubMed] [PubMed Central]
- Saighi Bouaouina, M.; Perier, M.; Kechabtia, K.; Aymard, A.; Van Belle, E.; Perdrix, C.; Benamer, H. Transcatheter Occlusion of Coronary-Pulmonary Fistula with a Liquid Embolic Agent after Evaluation by FFR. JACC Case Rep. 2022, 4, 391–394. [Google Scholar] [CrossRef] [PubMed] [PubMed Central]
- Huang, Z.; Liu, Z.; Ye, S. The role of the fractional flow reserve in the coronary steal phenomenon evaluation caused by the coronary-pulmonary fistulas: Case report and review of the literature. J. Cardiothorac. Surg. 2020, 15, 32. [Google Scholar] [CrossRef] [PubMed]



Disclaimer/Publisher’s Note: The statements, opinions and data contained in all publications are solely those of the individual author(s) and contributor(s) and not of MDPI and/or the editor(s). MDPI and/or the editor(s) disclaim responsibility for any injury to people or property resulting from any ideas, methods, instructions or products referred to in the content. |
© 2024 by the authors. Licensee MDPI, Basel, Switzerland. This article is an open access article distributed under the terms and conditions of the Creative Commons Attribution (CC BY) license (https://creativecommons.org/licenses/by/4.0/).
Share and Cite
Krasic, S.; Butera, G.; Topic, V.; Vukomanovic, V. Embolization of a Large Right-Coronary-Artery-to-Left-Atrium Fistula in a Three-Year-Old Child: A Case Report. J. Cardiovasc. Dev. Dis. 2024, 11, 298. https://doi.org/10.3390/jcdd11100298
Krasic S, Butera G, Topic V, Vukomanovic V. Embolization of a Large Right-Coronary-Artery-to-Left-Atrium Fistula in a Three-Year-Old Child: A Case Report. Journal of Cardiovascular Development and Disease. 2024; 11(10):298. https://doi.org/10.3390/jcdd11100298
Chicago/Turabian StyleKrasic, Stasa, Gianfranco Butera, Vesna Topic, and Vladislav Vukomanovic. 2024. "Embolization of a Large Right-Coronary-Artery-to-Left-Atrium Fistula in a Three-Year-Old Child: A Case Report" Journal of Cardiovascular Development and Disease 11, no. 10: 298. https://doi.org/10.3390/jcdd11100298
APA StyleKrasic, S., Butera, G., Topic, V., & Vukomanovic, V. (2024). Embolization of a Large Right-Coronary-Artery-to-Left-Atrium Fistula in a Three-Year-Old Child: A Case Report. Journal of Cardiovascular Development and Disease, 11(10), 298. https://doi.org/10.3390/jcdd11100298

