Effect of Immunization Against Inhibin on Camel Testicular Morphometry, Echotexture Analysis, Semen Quality, and Vascularization in Relation to Hormonal Aspect
Simple Summary
Abstract
1. Introduction
2. Materials and Methods
2.1. Immunogen Preparation
2.2. Animals, Management, and Immunization
2.3. Inhibin Binding Affinity Assessment
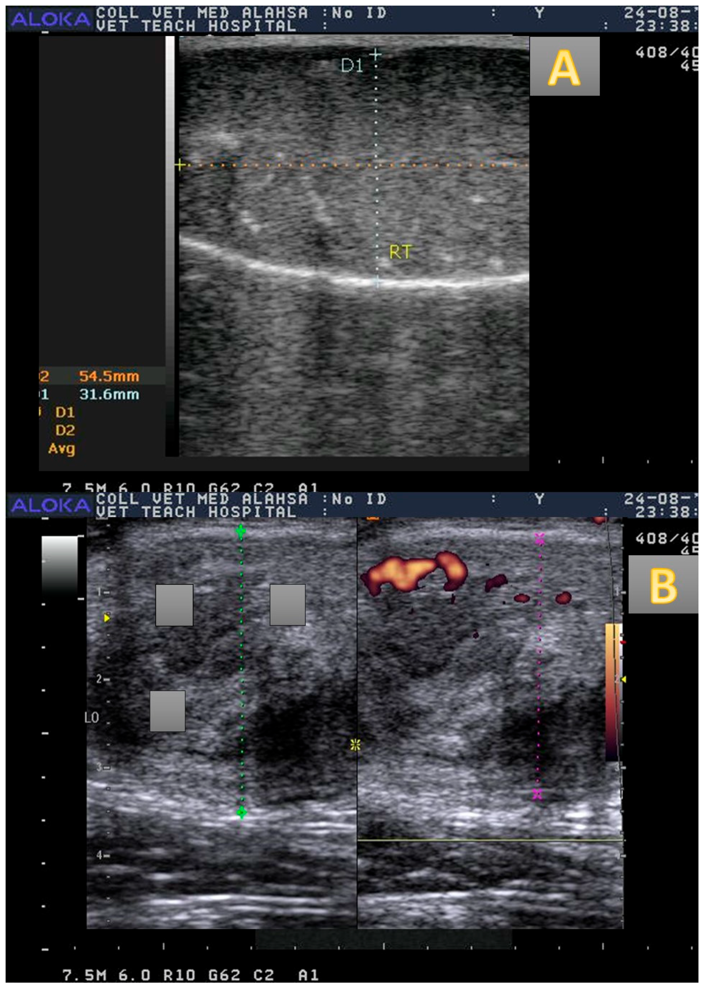
2.4. Ultrasonography Examination
2.5. Blood Collection and Hormone Analysis
2.6. Semen Collection and Analysis
2.7. Statistical Analyses
3. Results
3.1. Inhibin Antibody Titer and Hormonal Profile
3.2. Testicular Vascularization
3.3. Testicular Morphometry and Echogenicity
3.4. Semen Picture
4. Discussion
5. Conclusions
Author Contributions
Funding
Institutional Review Board Statement
Informed Consent Statement
Data Availability Statement
Acknowledgments
Conflicts of Interest
References
- Liguori, I.; Russo, G.; Curcio, F.; Bulli, G.; Aran, L.; Della-Morte, D. Oxidative stressin, aging, and diseases. Clin. Interv. Aging. 2018, 13, 757. [Google Scholar] [CrossRef]
- Abdelnaby, E.A.; Fathi, M.; Salem, N.Y.; Ramadan, E.S.; Yehia, S.G.; Emam, I.A.; Salama, A.; Samir, H.; El-Sherbiny, H.R. Outcomes of dietary alpha-lipoic acid on testicular vascularization, steroid hormones, and seminal quality in aged Baladi bucks. BMC Vet. Res. 2024, 20, 293. [Google Scholar] [CrossRef] [PubMed] [PubMed Central]
- Abdelnaby, E.A.; Alhaider, A.K.; Emam, I.A. Effect of repeated injection of human chorionic gonadotropin on semen quality, testicular hemodynamics and hormonal profile of senile camel. Vet. Res. Commun. 2025, 49, 301. [Google Scholar] [CrossRef]
- Kutzler, M.; Tyson, R.; Grimes, M.; Timm, K. Determination of testicular blood flow in camelids using vascular casting and color pulsed-wave Doppler ultrasonography. Veter Med. Int. 2011, 2011, 638602. [Google Scholar] [CrossRef] [PubMed] [PubMed Central]
- Samir, H.; El Sayed, M.A.I.; Nagaoka, K.; Sasaki, K.; Abo El-Maaty, A.M.; Karen, A.; Abou-Ahmed, M.M.; Watanabe, G. Passive immunization against inhibin increases testicular blood flow in male goats. Theriogenology 2020, 147, 85–91. [Google Scholar] [CrossRef] [PubMed]
- Zhang, S.; Wang, Q.; Li, Z.; Guo, Q. Testicular ischemia associated with IgA vasculitis in a child: A case report and literature review. Front. Pediatr. 2023, 11, 1219878. [Google Scholar] [CrossRef] [PubMed] [PubMed Central]
- Li, M.; Zhang, X.; Yan, J.; Shu, H.; Li, Z.; Ye, C.; Chen, L.; Feng, C.; Zheng, Y. Non-invasive ultrasound localization microscopy (ULM) in azoospermia: Connecting testicular microcirculation to spermatogenic functions. Theranostics 2024, 14, 4967–4982. [Google Scholar] [CrossRef] [PubMed] [PubMed Central]
- Pozor, M.; Morrissey, H.; Albanese, V.; Khouzam, N.; Deriberprey, A.; Macpherson, M.L.; Kelleman, A.A. Relationship between echotextural and histomorphometric characteristics of stallion testes. Theriogenology 2017, 99, 134–145. [Google Scholar] [CrossRef]
- Pozor, M.A.; Muehlhaus, J.; King, A.; Macpherson, M.L.; Troedsson, M.H.; Bailey, C.S. Effect of pentoxifylline treatment on testicular perfusion and semen quality in Miniature horse stallions. Theriogenology 2011, 76, 1027–1035. [Google Scholar] [CrossRef]
- Abdelnaby, E.A. Testicular haemodynamics, plasma testosterone and oestradiol concentrations, and serum nitric oxide levels in the Egyptian buffalo bull after a single administration of human chorionic gonadotropin. Reprod. Domest. Anim. 2022, 57, 754–760. [Google Scholar] [CrossRef] [PubMed]
- Abdelnaby, E.A.; Emam, I.A.; Salem, N.Y.; Ramadan, E.S.; Khattab, M.S.; Farghali, H.A.; Abd El Kader, N.A. Uterine hemodynamic patterns, oxidative stress, and chromoendoscopy in mares with endometritis. Theriogenology 2020, 158, 112–120. [Google Scholar] [CrossRef] [PubMed]
- Venianaki, A.P.; Barbagianni, M.S.; Fthenakis, G.C.; Galatos, A.D.; Gouletsou, P.G. Ultrasonography of Testicular Maturation and Correlation with Body Growth and Semen Evaluation in Beagle Dog Model. Vet. Sci. 2024, 11, 270. [Google Scholar] [CrossRef] [PubMed] [PubMed Central]
- Siqueira, L.G.; Areas, V.S.; Ghetti, A.M.; Fonseca, J.F.; Palhão, M.P.; Fernandes, C.A.C. Color Doppler Flow Imaging for the Early Detection of Nonpregnant Cattle at 20 Days After Timed Artificial Insemination. J. Dairy. Sci. 2013, 96, 6461–6472. [Google Scholar] [CrossRef]
- Palhão, M.P.; Ribeiro, A.C.; Martins, A.B.; Guimarães, C.R.B.; Alvarez, R.D.; Seber, M.F.; Fernandes, C.A.C.; Neves, J.P.; Viana, J.H.M. Early resynchronization of non-pregnant beef cows based in corpus luteum blood flow evaluation 21 days after Timed-AI. Theriogenology 2020, 146, 26–30. [Google Scholar] [CrossRef] [PubMed]
- Ginther, O.J.; Utt, M.D. Doppler ultrasound in equine reproduction: Principles, techniques, and potential. J. Equine Vet. Sci. 2004, 24, 516–526. [Google Scholar] [CrossRef]
- Ortega-Ferrusola, C.; Gómez-Arrones, V.; Martín-Cano, F.E.; Gil, M.C.; Peña, F.J.; Gaitskell-Phillips, G.; Da Silva-Álvarez, E. Advances in the ultrasound diagnosis in equine reproductive medicine: New approaches. Reprod Domest Anim. 2022, 57 (Suppl. S5), 34–44. [Google Scholar] [CrossRef] [PubMed] [PubMed Central]
- Ribeiro, S.; Quirino, C.Q.; Junior, A.B.; Pacheco, A. Biometry and ultrasound evaluation of testicles and accessory glands in Santa Ines rams Mariana R. Bras. Zootec. 2017, 46, 317–323. [Google Scholar] [CrossRef]
- O’Shaughnessy, P.J.; Monteiro, A.; Verhoeven, G.; De Gendt, K.; Abel, M.H. Effect of FSH on testicular morphology and spermatogenesis in gonadotrophin-deficient hypogonadal mice lacking androgen receptors. Reproduction 2010, 139, 177–184. [Google Scholar] [CrossRef] [PubMed] [PubMed Central]
- Burger, H.G.; Cahir, N.; Robertson, D.M.; Groome, N.P.; Dudley, E.; Green, A.; Dennerstein, L. Serum inhibins A and B fall differentially as FSH rises in perimenopausal women. Clin. Endocrinol. 1998, 48, 809–813, Erratum in Clin. Endocrinol. 1998, 49, 550. [Google Scholar] [CrossRef] [PubMed]
- Heshmati, H.M.; Taleb, M.; Turpin, G. Inhibine: Origine, nature et rôle [Inhibin: Its origin, nature and role]. Presse Med. 1983, 12, 1663–1665. (In French) [Google Scholar] [PubMed]
- Bernard, D.J.; Chapman, S.C.; Woodruff, T.K. Mechanisms of inhibin signal transduction. Recent. Prog. Horm. Res. 2001, 56, 417–450. [Google Scholar] [CrossRef] [PubMed]
- Stefano Luisi Pasquale Florio Fernando, M. Reis, Felice Petraglia, Inhibins in female and male reproductive physiology: Role in gametogenesis, conception, implantation and early pregnancy. Hum. Reprod. Updat. 2005, 11, 123–135. [Google Scholar] [CrossRef]
- Martin, T.L.; Williams, G.L.; Lunstra, D.D.; Ireland, J.J. Immunoneutralization of inhibin modifies hormone secretion and sperm production in bulls. Biol. Reprod. 1991, 45, 73–77. [Google Scholar] [CrossRef]
- Voge, J.L.; Wheaton, J.E. Effects of immunization against two inhibin antigens on daily sperm production and hormone concentrations in ram lambs. J. Anim. Sci. 2007, 85, 3249–3255. [Google Scholar] [CrossRef] [PubMed]
- Reyes, J.G.; Farias, J.G.; Henríquez-Olavarrieta, S.; Madrid, E.; Parraga, M.; Zepeda, A.B.; Moreno, R.D. The hypoxic testicle: Physiology and pathophysiology. Oxid. Med. Cell Longev. 2012, 2012, 929285. [Google Scholar] [CrossRef] [PubMed] [PubMed Central]
- Kocoglu, H.; Alan, C.; Ulker Cakır, D.; Malkoc, E.; Cosansu, K.; Kırılmaz, B.; Ertung, Y.; Resit Ersay, A. Association between serum inhibin-B levels and coronary artery disease in aging males. Arch. Med. Sci. 2013, 9, 796–801. [Google Scholar] [CrossRef] [PubMed]
- Han, Y.; Jiang, T.; Shi, J.; Liu, A.; Liu, L. Review: Role and regulatory mechanism of inhibin in animal reproductive system. Theriogenology 2023, 202, 10–20. [Google Scholar] [CrossRef]
- de Jong, F.H.; Grootenhuis, A.J.; Klaij, I.A.; Van Beurden, W.M. Inhibin and related proteins: Localization, regulation, and effects. Adv. Exp. Med. Biol. 1990, 274, 271–293. [Google Scholar] [CrossRef] [PubMed]
- Lovell, T.M.; Knight, P.G.; Groome, N.P.; Gladwell, R.T. Changes in plasma inhibin A levels during sexual maturation in the female chicken and the effects of active immunization against inhibin alpha-subunit on reproductive hormone profiles and ovarian function. Biol. Reprod. 2001, 64, 188–196. [Google Scholar] [CrossRef] [PubMed]
- Medan, M.S.; Watanabe, G.; Nagura, Y.; Fujita, M.; Taya, K. Effect of active immunization against inhibin on hormonal concentrations and semen characteristics in Shiba bucks. Theriogenology 2006, 65, 691–702. [Google Scholar] [CrossRef] [PubMed]
- Medan, M.S.; Watanabe, G.; Nagura, Y.; Kanazawa, H.; Fujita, M.; Taya, K. Passive immunoneutralization of endogenous inhibin increases ovulation rate in miniature Shiba goats. J. Reprod. Dev. 2004, 50, 705–710. [Google Scholar] [CrossRef]
- Love, C.; Garcia, M.; Riera, F.; Kenney, R. Evaluation of measures taken by ultrasonography caliper to estimate testicular volume predict daily sperm output in the stallion. J. Reprod. Fertil 1991, 44, 99–105. [Google Scholar]
- Brito, L.F.; Barth, A.D.; Wilde, R.E.; Kastelic, J.P. Testicular ultrasonogram pixel intensity during sexual development and its relationship with semen quality, sperm production, and quantitative testicular histology in beef bulls. Theriogenology 2012, 78, 69–76. [Google Scholar] [CrossRef] [PubMed]
- Abdelnaby, E.A.; Emam, I.A. L-Citrulline single intravenous administration promotes testicular blood flow, plasma testosterone, estradiol, circulating citrulline and serum nitric oxide levels in male camels under heat stress at the end of non-breeding season. Reprod. Domest. Anim. 2025, 60, e70079. [Google Scholar] [CrossRef] [PubMed]
- Sary, R.; Khalil, K.; Sindi, R.A.; Mohamed, R.H.; Hussein, H.A.; Eid, R.A.; Samir, H.; Alkahtani, M.M.; Swelum, A.A.; Ahmed, A.E. Characteristics of Ultrasound and Magnetic Resonance Imaging of Normal Testes and Epididymis Besides Angiography of Testicular Artery in Dromedary Camel. Front. Vet. Sci. 2022, 9, 899570. [Google Scholar] [CrossRef] [PubMed] [PubMed Central]
- Abdelnaby, E.A.; Alhaider, A.K.; Ghoneim, I.M.; Emam, I.A. Vascular Alterations in Uterine and Ovarian Hemodynamics and Hormonal Analysis throughout Pregnancy Loss in Cows under Heat Stress. Vet. Sci. 2024, 11, 479. [Google Scholar] [CrossRef]
- Salama, A.; Abdelnaby, E.A.; Emam, I.A.; Fathi, M. Single melatonin injection enhances the testicular artery hemodynamic, reproductive hormones, and semen parameters in German shepherd dogs. BMC Vet. Res. 2022, 18, 403. [Google Scholar] [CrossRef] [PubMed] [PubMed Central]
- Akhtar, M.F.; Umar, M.; Chai, W.; Li, L.; Ahmad, E.; Wang, C. Effect of Inhibin Immunization on Reproductive Hormones and Testicular Morphology of Dezhou Donkeys During the Non-Breeding Season. Animals 2025, 15, 813. [Google Scholar] [CrossRef]
- Ali, A.; Derar, D.R.; Zeitoun, M.M.; Al-Sobayil, F. Impotentia generandi in male dromedary camels: FSH, LH and testosterone profiles and their association with clinical findings and semen analysis data. Theriogenology 2018, 120, 98–104. [Google Scholar] [CrossRef] [PubMed]
- Ghoneim, I.M.; Waheed, M.M.; El-Bahr, S.M.; Alhaider, A.K.; Al-Eknah, M.M. Comparison of some biochemical and hormonal constituents of oversized follicles and preovulatory follicles in camels (Camelus dromedarius). Theriogenology 2013, 79, 647–652. [Google Scholar] [CrossRef] [PubMed]
- Fouad, K.E.; Elzomor, S.; Farghali, H.; Emam, I.; Abdelnaby, E.A. Measurement of normal splenic blood flow indices in donkeys using color Doppler ultrasound. Biosci. Res. 2018, 15, 4237–4242. [Google Scholar]
- Tingari, M.D.; El-Manna, M.M.; Rahim, A.T.A.; Ahmed, A.K.; Hamad, M.H. Studies on camel semen, I. Electroejaculation and some aspects of semen characteristics. Anim. Reprod. Sci. 1986, 12, 213–222. [Google Scholar] [CrossRef]
- Mansour, N. A novel, patented method for semen collection in dromedary camel (Camelus dromedarius). Reprod. Domest. Anim. 2023, 58, 238–245. [Google Scholar] [CrossRef] [PubMed]
- Tanga, B.M.; Qamar, A.Y.; Raza, S.; Bang, S.; Fang, X.; Yoon, K.; Cho, J. Semen evaluation: Methodological advancements in sperm quality-specific fertility assessment—A review. Anim. Biosci. 2021, 34, 1253–1270. [Google Scholar] [CrossRef] [PubMed] [PubMed Central]
- El-Bahrawy, K.; Rateb, S.; Khalifa, M.; Monaco, D.; Lacalandra, G. Physical and kinematic properties of cryopreserved camelsperm after elimination of semen viscosity by different tech-niques. Anim. Reprod. Sci. 2017, 187, 100–108. [Google Scholar] [CrossRef]
- Björndahl, L.; Söderlund, I.; Kvist, U. Evaluation of the one-step eosin-nigrosin staining technique for human sperm vitality assessment. Hum. Reprod. 2003, 18, 813–816. [Google Scholar] [CrossRef] [PubMed]
- Wheaton, J.E.; Godfrey, R.W.; Plasma, L.H. FSH, testosterone, and age at puberty in ram lambs actively immunized against an inhibin alpha-subunit peptide. Theriogenology 2003, 60, 933–941. [Google Scholar] [CrossRef]
- Schanbacher, B.D. Pituitary and testicular responses of beef bulls to active immunization against inhibin alpha. J. Anim. Sci. 1991, 69, 252–257. [Google Scholar] [CrossRef] [PubMed][Green Version]
- Al-Bulushi, S.; Manjunatha, B.M.; de Graaf, S.P.; Rickard, J.P. Reproductive seasonality of male dromedary camels. Anim. Reprod. Sci. 2019, 202, 10–20. [Google Scholar] [CrossRef] [PubMed]
- Bame, J.H.; Dalton, J.C.; Degelos, S.D.; Good, T.E.; Ireland, J.L.; Jimenez-Krassel, F.; Sweeney, T.; Saacke, R.G.; Ireland, J.J. Effect of long-term immunization against inhibin on sperm output in bulls. Biol. Reprod. 1999, 60, 1360–1366. [Google Scholar] [CrossRef] [PubMed]
- Ramaswamy, S.; Pohl, C.R.; McNeilly, A.S.; Winters, S.J.; Plant, T.M. The time course of follicle-stimulating hormone suppression by recombinant human inhibin A in the adult male rhesus monkey (Macaca mulatta). Endocrinology 1998, 139, 3409–3415. [Google Scholar] [CrossRef]
- Adeeko, A.O.; Dunne, E.; Mather, J.; Moore, A.; Morris, I.D. Testicular germ cell populations in the adult rat after continuous in-vivo testicular infusion of inhibin-A and activin-A. Int. J. Androl. 1996, 19, 69–76. [Google Scholar] [CrossRef] [PubMed]
- Araki, K.; Arai, K.; Watanabe, G.; Taya, K. Involvement of inhibin in the regulation of follicle-stimulating hormone secretion in the young adult male Shiba goat. J. Androl. 2000, 21, 558–565. [Google Scholar] [CrossRef] [PubMed]
- Kaneko, H.; Yoshida, M.; Hara, Y.; Taya, K.; Araki, K.; Watanabe, G.; Sasamoto, S.; Hasegawa, Y. Involvement of inhibin in the regulation of FSH secretion in prepubertal bulls. J. Endocrinol. 1993, 137, 15–19. [Google Scholar] [CrossRef]
- Meachem, S.J.; Nieschlag, E.; Simoni, M. Inhibin B in male reproduction: Pathophysiology and clinical relevance. Eur. J. Endocrinol. 2001, 145, 561–571. [Google Scholar] [CrossRef] [PubMed]
- Welt, C.K.; Hall, J.E.; Adams, J.M.; Taylor, A.E. Relationship of estradiol and inhibin to the follicle-stimulating hormone variability in hypergonadotropic hypogonadism or premature ovarian failure. J. Clin. Endocrinol. Metab. 2005, 90, 826–830. [Google Scholar] [CrossRef] [PubMed]
- Akishita, M.; Yu, J. Hormonal effects on blood vessels. Hypertens. Res. 2012, 35, 363–369. [Google Scholar] [CrossRef] [PubMed]
- Nevzati, E.; Shafighi, M.; Bakhtian, K.D.; Treiber, H.; Fandino, J.; Fathi, A.R. Estrogen induces nitric oxide production via nitric oxide synthase activation in endothelial cells. Acta Neurochir. Suppl. 2015, 120, 141–145. [Google Scholar] [CrossRef] [PubMed]
- Bollwein, H.; Schulze, J.J.; Miyamoto, A.; Sieme, H. Testicular blood flow and plasma concentrations of testosterone and total estrogen in the stallion after the administration of human chorionic gonadotropin. J. Reprod Dev. 2008, 54, 335–339. [Google Scholar] [CrossRef]
- Samir, H.; El-Sherbiny, H.R.; Ahmed, A.E.; Ahmad Sindi, R.; Al Syaad, K.M.; Abdelnaby, E.A. Administration of Estradiol Benzoate Enhances Ovarian and Uterine Hemodynamics in Postpartum Dairy Buffaloes. Animals 2023, 13, 2340. [Google Scholar] [CrossRef] [PubMed] [PubMed Central]
- Abdelnaby, E.A. Higher doses of Melatonin affect ovarian and middle uterine arteries vascular blood flow and induce oestrus earlier in acyclic ewes. Reprod. Domest. Anim. 2020, 55, 763–769. [Google Scholar] [CrossRef]
- Simpson, E.R. Aromatization of androgens in women: Current concepts and findings. Fertil. Steril. 2002, 77 (Suppl. S4), 6–10. [Google Scholar] [CrossRef]
- McKeown, R.M.; O’Callaghan, D.; Roche, J.F.; Boland, M.P. Effect of immunization of rams against bovine inhibin alpha 1–26 on semen characteristics, scrotal size, FSH, LH and testosterone concentrations. J. Reprod. Fertil. 1997, 109, 237–245. [Google Scholar] [CrossRef]
- Bagu, E.; Madgwick, S.; Duggavathi, R.; Bartlewski, P.; Barrett, D.; Huchkowsky, S.; Cook, S.; Rawlings, N. Effects of treatment with LH or FSH from 4 to 8 weeks of age on the attainment of puberty in bull calves. Theriogenology 2004, 62, 861–873. [Google Scholar] [CrossRef] [PubMed]
- Arteaga, A.A.; Barth, A.D.; Brito, L.F. Relationship between semen quality and pixel-intensity of testicular ultrasonograms after scrotal insulation in beef bulls. Theriogenology 2005, 64, 408–415. [Google Scholar] [CrossRef] [PubMed]
- England, G.; Bright, L.; Pritchard, B.; Bowen, I.M.; de Souza, M.B.; Silva, L.; Moxon, R. Canine reproductive ultrasound examination for predicting future sperm quality. Reprod. Domest. Anim. 2017, 52 (Suppl. S2), 202–207. [Google Scholar] [CrossRef] [PubMed]
- Venianaki, A.P.; Barbagianni, M.S.; Fthenakis, G.C.; Galatos, A.D.; Gouletsou, P.G. Doppler Examination of the Testicular Artery of Beagle-Breed Dogs from Birth to Puberty. Tomography 2023, 9, 1408–1422. [Google Scholar] [CrossRef] [PubMed] [PubMed Central]
- Evans, A.C.; Pierson, R.A.; Garcia, A.; McDougall, L.M.; Hrudka, F.; Rawlings, N.C. Changes in circulating hormone concentrations, testes histology and testes ultrasonography during sexual maturation in beef bulls. Theriogenology 1996, 46, 345–357. [Google Scholar] [CrossRef] [PubMed]
- Turner, R.M. Declining testicular function in the aging stallion: Management options and future therapies. Anim. Reprod. Sci. 2019, 207, 171–179. [Google Scholar] [CrossRef] [PubMed]
- Brito, L.F.; Silva, A.E.; Unanian, M.M.; Dode, M.A.; Barbosa, R.T.; Kastelic, J.P. Sexual development in early- and late-maturing Bos indicus and Bos indicus x Bos taurus crossbred bulls in Brazil. Theriogenology 2004, 62, 1198–1217. [Google Scholar] [CrossRef] [PubMed]
- Scholkamy, T.H.; El-Badry, D.A.; Mahmoud, K.G. Developmental competence of Dromedary camel oocytes fertilized in vitro by frozen-thawed ejaculated and epididymal spermatozoa. Iran. J. Vet. Res. 2016, 17, 253–258. [Google Scholar] [PubMed] [PubMed Central]
- Farrell, P.B.; Presicce, G.A.; Brockett, C.C.; Foote, R.H. Quantification of bull sperm characteristics measured by computer-assisted sperm analysis (CASA) and the relationship to fertility. Theriogenology 1998, 49, 871–879. [Google Scholar] [CrossRef] [PubMed]
- Jasko, D.J.; Little, T.V.; Lein, D.H.; Foote, R.H. Comparison of spermatozoal movement and semen characteristics with fertility in stallions: 64 cases. J. Am. Vet. Med. Assoc. 1992, 200, 979–985. [Google Scholar] [CrossRef]
- Gupta, S.K.; Bansal, P. Vaccines for immunological control of fertility. Reprod. Med. Biol. 2009, 9, 61–71. [Google Scholar] [CrossRef] [PubMed] [PubMed Central]






| W | Total Motility (TM; %) | Local Non-Progressive Motility (NPM; %) | Sperm Individual Motility (IM; %) | Sperm Cell Concentration (SCC; 106 Sperm/mL) | Viability (V; %) | |||||
|---|---|---|---|---|---|---|---|---|---|---|
| Immunized | Control | Immunized | Control | Immunized | Control | Immunized | Control | Immunized | Control | |
| 0 | 69.55 ± 1.23 | 67.9 ± 1.22 | 11.88 ± 0.77 | 12.32 ± 1.02 | 54.52 ± 5.99 | 56.72 ± 2.61 | 275 ± 25.32 | 255 ± 11.25 | 70.25 ± 5.92 | 70.88 ± 0.81 |
| 1 | 68.27 ± 1.52 | 68.75 ± 0.45 | 11.32 ± 0.66 | 12.57 ± 1.55 | 56.16 ± 5.69 | 56.28 ± 4.32 | 255 ± 10.25 | 245 ± 10.52 | 68.45 ± 7.36 | 65.65 ± 0.05 |
| 2 | 67.66 ± 1.22 | 69.61 ± 1.95 | 11.25 ± 0.05 | 13.25 ± 1.25 | 55.75 ± 1.32 | 54.22 ± 2.99 | 261 ± 11.25 | 256 ± 15.25 | 68.72 ± 10.25 | 67.25 ± 0.95 |
| 3 | 68.29 ± 5.28 | 68.75 ± 1.72 | 12.31 ± 0.21 | 12.99 ± 1.05 | 58.32 ± 2.55 | 56.32 ± 2.69 | 261 ± 21.02 | 259 ± 17.32 | 71.85 ± 8.65 | 69.25 ± 0.75 |
| 4 | 67.78 ± 5.06 | 65.77 ± 1.14 | 12.65 ± 0.25 | 13.02 ± 0.74 | 57.78 ± 1.87 | 55.69 ± 1.32 | 285 ± 16.88 | 261 ± 14.99 | 73.25 ± 7.58 | 71.32 ± 0.22 |
| 5 | 69.23 ± 2.03 | 68.15 ± 0.75 | 12.88 ± 0.77 | 13.55 ± 0.06 | 58.47 ± 0.15 | 56.77 ± 0.32 | 274 ± 11.26 | 270 ± 1.32 | 73.05 ± 1.23 | 70.88 ± 0.82 |
| 6 | 68.19 ± 5.11 | 66.45 ± 0.55 | 13.28 ± 0.77 | 13.69 ± 0.66 | 54.77 ± 3.21 | 54.21 ± 4.33 | 271 ± 18.65 | 266 ± 14.25 | 71.73 ± 2.78 | 69.65 ± 0.15 |
| 7 | 67.88 ± 5.33 | 69.28 ± 1.16 | 12.87 ± 1.22 | 12.88 ± 0.74 | 56.92 ± 7.24 | 56.75 ± 8.25 | 280 ± 13.52 | 258 ± 15.01 | 71.42 ± 2.71 | 68.25 ± 0.55 |
| 8 | 67.32 ± 2.33 | 67.25 ± 4.55 | 13.48 ± 1.75 | 12.28 ± 1.32 | 57.21 ± 2.32 | 54.32 ± 3.66 | 258 ± 14.66 | 265 ± 14.65 | 66.99 ± 1.20 | 67.58 ± 0.74 |
| 9 | 65.68 ± 5.05 | 68.15 ± 0.75 | 12.25 ± 0.15 | 13.45 ± 1.55 | 56.66 ± 5.69 | 56.98 ± 4.32 | 329 ± 5.32 a | 268 ± 17.25 | 78.25 ± 4.22 a | 70.32 ± 0.66 |
| 10 | 65.62 ± 1.88 | 66.45 ± 0.55 | 12.65 ± 0.25 | 13.01 ± 1.02 | 55.85 ± 1.32 | 54.32 ± 5.99 | 336 ± 7.25 a | 249 ± 5.62 | 76.79 ± 1.20 a | 68.25 ± 0.54 |
| 11 | 67.25 ± 1.22 | 66.18 ± 5.76 | 12.38 ± 0.77 | 12.65 ± 0.52 | 58.32 ± 4.55 | 56.32 ± 5.69 | 354 ± 14.02 a | 251 ± 4.65 | 80.25 ± 4.22 a | 67.25 ± 0.25 |
| 12 | 65.55 ± 5.62 | 69.43 ± 2.15 | 13.02 ± 0.54 | 12.09 ± 0.74 | 57.28 ± 1.88 | 55.69 ± 1.32 | 361 ± 10.22 a | 274 ± 15.97 | 78.25 ± 2.11 a | 70.32 ± 0.11 |
| 13 | 66.02 ± 1.55 | 68.75 ± 1.72 | 11.25 ± 0.05 | 13.25 ± 1.25 | 58.66 ± 0.88 | 56.77 ± 0.32 | 354 ± 17.07 a | 244 ± 15.21 | 80.35 ± 2.35 a | 71.02 ± 1.62 |
| 14 | 68.33 ± 1.65 | 65.17 ± 1.04 | 12.31 ± 0.21 | 12.99 ± 1.05 | 57.28 ± 1.88 | 55.69 ± 1.32 | 266 ± 23.25 | 254 ± 15.62 | 73.65 ± 5.88 | 71.25 ± 2.85 |
| 15 | 70.32 ± 1.45 | 68.17 ± 0.25 | 12.65 ± 0.25 | 13.02 ± 0.74 | 58.66 ± 0.88 | 56.77 ± 0.32 | 256 ± 24.25 | 287 ± 2.51 | 68.65 ± 6.85 | 67.26 ± 2.55 |
| 16 | 67.52 ± 1.35 | 66.41 ± 0.15 | 12.38 ± 0.77 | 13.75 ± 0.16 | 54.65 ± 6.32 | 54.21 ± 4.33 | 284 ± 15.21 | 251 ± 5.25 | 70.22 ± 5.69 | 68.25 ± 2.35 |
| 17 | 68.33 ± 1.07 | 69.33 ± 1.46 | 11.55 ± 0.05 | 13.25 ± 1.05 | 51.62 ± 2.36 | 54.32 ± 0.33 | 273 ± 15.62 | 271 ± 6.22 | 71.65 ± 2.88 | 70.88 ± 0.82 |
| 18 | 69.36 ± 1.02 | 67.77 ± 4.45 | 11.72 ± 0.15 | 12.78 ± 0.24 | 59.36 ± 1.66 | 58.99 ± 0.58 | 268 ± 21.22 | 254 ± 8.69 | 68.02 ± 4.65 | 69.65 ± 0.85 |
| 19 | 69.87 ± 1.22 | 69.02 ± 1.44 | 11.75 ± 0.28 | 12.55 ± 1.37 | 57.28 ± 2.33 | 57.25 ± 2.12 | 271 ± 12.25 | 274 ± 18.25 | 70.55 ± 4.02 | 70.88 ± 0.03 |
| 20 | 71.33 ± 0.22 | 70.32 ± 1.44 | 11.75 ± 0.15 | 13.55 ± 1.45 | 52.36 ± 5.02 | 55.36 ± 1.66 | 266 ± 15.32 | 273 ± 2.36 | 70.33 ± 2.36 | 66.58 ± 1.22 |
Disclaimer/Publisher’s Note: The statements, opinions and data contained in all publications are solely those of the individual author(s) and contributor(s) and not of MDPI and/or the editor(s). MDPI and/or the editor(s) disclaim responsibility for any injury to people or property resulting from any ideas, methods, instructions or products referred to in the content. |
© 2025 by the authors. Licensee MDPI, Basel, Switzerland. This article is an open access article distributed under the terms and conditions of the Creative Commons Attribution (CC BY) license (https://creativecommons.org/licenses/by/4.0/).
Share and Cite
Abdelnaby, E.A.; El-Sherbiny, H.R.; Alhaider, A.K.; Marzok, M.; Emam, I.A. Effect of Immunization Against Inhibin on Camel Testicular Morphometry, Echotexture Analysis, Semen Quality, and Vascularization in Relation to Hormonal Aspect. Vet. Sci. 2025, 12, 896. https://doi.org/10.3390/vetsci12090896
Abdelnaby EA, El-Sherbiny HR, Alhaider AK, Marzok M, Emam IA. Effect of Immunization Against Inhibin on Camel Testicular Morphometry, Echotexture Analysis, Semen Quality, and Vascularization in Relation to Hormonal Aspect. Veterinary Sciences. 2025; 12(9):896. https://doi.org/10.3390/vetsci12090896
Chicago/Turabian StyleAbdelnaby, Elshymaa A., Hossam R. El-Sherbiny, Abdulrhman K. Alhaider, Mohamed Marzok, and Ibrahim A. Emam. 2025. "Effect of Immunization Against Inhibin on Camel Testicular Morphometry, Echotexture Analysis, Semen Quality, and Vascularization in Relation to Hormonal Aspect" Veterinary Sciences 12, no. 9: 896. https://doi.org/10.3390/vetsci12090896
APA StyleAbdelnaby, E. A., El-Sherbiny, H. R., Alhaider, A. K., Marzok, M., & Emam, I. A. (2025). Effect of Immunization Against Inhibin on Camel Testicular Morphometry, Echotexture Analysis, Semen Quality, and Vascularization in Relation to Hormonal Aspect. Veterinary Sciences, 12(9), 896. https://doi.org/10.3390/vetsci12090896

