In Vitro Functional and Structural Evaluation of Low-Complexity Artificial Human Epidermis for 3D Tissue Engineering
Abstract
1. Introduction
2. Materials and Methods
2.1. Bioinks (Hydrogels)
2.2. Rheological Investigation of Hydrogels
2.3. Scanning Electron Microscopy
2.4. Cells and Culturing
2.5. In Vitro Viability Study on HaCaT Cells (Sulforhodamine B Assay-SRB)
2.6. Histology and Immunohistochemistry
2.7. Caffeine Cream Formulation
2.8. In Vitro Permeation Study in Skin-on-a-Chip Microfluidic Device
2.9. Statistics
3. Results
3.1. Rheological Comparison of Hydrogels
3.2. Morphological Comparison of Hydrogels
3.3. Viability Study on Keratinocytes
3.4. Penetration Studies
3.4.1. Cell Number Optimization
3.4.2. Incubation Time Selection
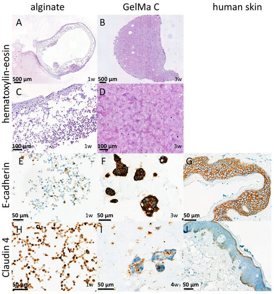
3.5. Histological and Immunohistochemical Analysis of Cell-Containing Scaffolds
3.6. Comparison of Alginate and GelMa C Scaffolds
4. Discussion
Author Contributions
Funding
Institutional Review Board Statement
Data Availability Statement
Acknowledgments
Conflicts of Interest
Correction Statement
References
- Moxon, T.E.; Li, H.; Lee, M.-Y.; Piechota, P.; Nicol, B.; Pickles, J.; Pendlington, R.; Sorrell, I.; Baltazar, M.T. Application of Physiologically Based Kinetic (PBK) Modelling in the next Generation Risk Assessment of Dermally Applied Consumer Products. Toxicol. Vitr. 2020, 63, 104746. [Google Scholar] [CrossRef] [PubMed]
- Riabinin, A.; Pankratova, M.; Rogovaya, O.; Vorotelyak, E.; Terskikh, V.; Vasiliev, A. Ideal Living Skin Equivalents, From Old Technologies and Models to Advanced Ones: The Prospects for an Integrated Approach. BioMed Res. Int. 2024, 2024, 9947692. [Google Scholar] [CrossRef] [PubMed]
- Albanna, M.; Binder, K.W.; Murphy, S.V.; Kim, J.; Qasem, S.A.; Zhao, W.; Tan, J.; El-Amin, I.B.; Dice, D.D.; Marco, J.; et al. In Situ Bioprinting of Autologous Skin Cells Accelerates Wound Healing of Extensive Excisional Full-Thickness Wounds. Sci. Rep. 2019, 9, 1856. [Google Scholar] [CrossRef] [PubMed]
- Mania, S.; Banach-Kopeć, A.; Maciejewska, N.; Czerwiec, K.; Słonimska, P.; Deptuła, M.; Baczyński-Keller, J.; Pikuła, M.; Sachadyn, P.; Tylingo, R. From Bioink to Tissue: Exploring Chitosan-Agarose Composite in the Context of Printability and Cellular Behaviour. Molecules 2024, 29, 4648. [Google Scholar] [CrossRef]
- Ramakrishnan, R.; Kasoju, N.; Raju, R.; Geevarghese, R.; Gauthaman, A.; Bhatt, A. Exploring the Potential of Alginate-Gelatin-Diethylaminoethyl Cellulose-Fibrinogen Based Bioink for 3D Bioprinting of Skin Tissue Constructs. Carbohydr. Polym. Technol. Appl. 2022, 3, 100184. [Google Scholar] [CrossRef]
- Loukelis, K.; Koutsomarkos, N.; Mikos, A.G.; Chatzinikolaidou, M. Advances in 3D Bioprinting for Regenerative Medicine Applications. Regen. Biomater. 2024, 11, rbae033. [Google Scholar] [CrossRef]
- Nyström, A.; Bruckner-Tuderman, L. Matrix Molecules and Skin Biology. Semin. Cell Dev. Biol. 2019, 89, 136–146. [Google Scholar] [CrossRef]
- Bonani, W.; Cagol, N.; Maniglio, D. Alginate Hydrogels: A Tool for 3D Cell Encapsulation, Tissue Engineering, and Biofabrication. In Biomimicked Biomaterials: Advances in Tissue Engineering and Regenerative Medicine; Chun, H.J., Reis, R.L., Motta, A., Khang, G., Eds.; Springer: Singapore, 2020; pp. 49–61. ISBN 9789811532627. [Google Scholar]
- Wei, Z.; Zuo, Y.; Wu, E.; Huang, L.; Qian, Y.; Wang, J.; Chen, Z. Highly Biocompatible, Antioxidant and Antibacterial Gelatin Methacrylate/Alginate—Tannin Hydrogels for Wound Healing. Int. J. Biol. Macromol. 2024, 279, 135417. [Google Scholar] [CrossRef] [PubMed]
- Raucci, M.G.; D’Amora, U.; Ronca, A.; Demitri, C.; Ambrosio, L. Bioactivation Routes of Gelatin-Based Scaffolds to Enhance at Nanoscale Level Bone Tissue Regeneration. Front. Bioeng. Biotechnol. 2019, 7, 27. [Google Scholar] [CrossRef]
- Somasekharan, L.T.; Raju, R.; Kumar, S.; Geevarghese, R.; Nair, R.P.; Kasoju, N.; Bhatt, A. Biofabrication of Skin Tissue Constructs Using Alginate, Gelatin and Diethylaminoethyl Cellulose Bioink. Int. J. Biol. Macromol. 2021, 189, 398–409. [Google Scholar] [CrossRef]
- Seok, J.M.; Ahn, M.; Kim, D.; Lee, J.-S.; Lee, D.; Choi, M.-J.; Yeo, S.J.; Lee, J.H.; Lee, K.; Kim, B.S.; et al. Decellularized Matrix Bioink with Gelatin Methacrylate for Simultaneous Improvements in Printability and Biofunctionality. Int. J. Biol. Macromol. 2024, 262, 130194. [Google Scholar] [CrossRef]
- Xu, L.; Zhang, Z.; Jorgensen, A.M.; Yang, Y.; Jin, Q.; Zhang, G.; Cao, G.; Fu, Y.; Zhao, W.; Ju, J.; et al. Bioprinting a Skin Patch with Dual-Crosslinked Gelatin (GelMA) and Silk Fibroin (SilMA): An Approach to Accelerating Cutaneous Wound Healing. Mater. Today Bio 2023, 18, 100550. [Google Scholar] [CrossRef] [PubMed]
- Jin, R.; Cui, Y.; Chen, H.; Zhang, Z.; Weng, T.; Xia, S.; Yu, M.; Zhang, W.; Shao, J.; Yang, M.; et al. Three-Dimensional Bioprinting of a Full-Thickness Functional Skin Model Using Acellular Dermal Matrix and Gelatin Methacrylamide Bioink. Acta Biomater. 2021, 131, 248–261. [Google Scholar] [CrossRef] [PubMed]
- Piao, Y.; You, H.; Xu, T.; Bei, H.-P.; Piwko, I.Z.; Kwan, Y.Y.; Zhao, X. Biomedical Applications of Gelatin Methacryloyl Hydrogels. Eng. Regen. 2021, 2, 47–56. [Google Scholar] [CrossRef]
- Gaglio, C.G.; Baruffaldi, D.; Pirri, C.F.; Napione, L.; Frascella, F. GelMA Synthesis and Sources Comparison for 3D Multimaterial Bioprinting. Front. Bioeng. Biotechnol. 2024, 12, 1383010. [Google Scholar] [CrossRef]
- Wilson, V.G. Growth and Differentiation of HaCaT Keratinocytes. In Epidermal Cells: Methods and Protocols; Turksen, K., Ed.; Springer: New York, NY, USA, 2014; pp. 33–41. ISBN 978-1-4939-1224-7. [Google Scholar]
- Temirel, M.; Dabbagh, S.R.; Tasoglu, S. Shape Fidelity Evaluation of Alginate-Based Hydrogels through Extrusion-Based Bioprinting. J. Funct. Biomater. 2022, 13, 225. [Google Scholar] [CrossRef]
- Zhang, J.; Wehrle, E.; Vetsch, J.R.; Paul, G.R.; Rubert, M.; Müller, R. Alginate Dependent Changes of Physical Properties in 3D Bioprinted Cell-Laden Porous Scaffolds Affect Cell Viability and Cell Morphology. Biomed. Mater. 2019, 14, 065009. [Google Scholar] [CrossRef] [PubMed]
- Svanström, A.; Rosendahl, J.; Salerno, S.; Leiva, M.C.; Gregersson, P.; Berglin, M.; Bogestål, Y.; Lausmaa, J.; Oko, A.; Chinga-Carrasco, G.; et al. Optimized Alginate-Based 3D Printed Scaffolds as a Model of Patient Derived Breast Cancer Microenvironments in Drug Discovery. Biomed. Mater. 2021, 16, 045046. [Google Scholar] [CrossRef] [PubMed]
- GelMA C, CELLINK. Available online: https://www.cellink.com/product/gelma-c/ (accessed on 5 February 2025).
- de Castilho, A.R.F.; Rosalen, P.L.; Oliveira, M.Y.; Burga-Sánchez, J.; Duarte, S.; Murata, R.M.; Rontani, R.M.P. Bioactive Compounds Enhance the Biocompatibility and the Physical Properties of a Glass Ionomer Cement. J. Funct. Biomater. 2024, 15, 332. [Google Scholar] [CrossRef]
- de Castilho, A.R.F.; Rosalen, P.; Oliveira, M.; Sánchez, J.; Duarte, S.; Murata, R. Cytotoxicity and Physical Properties of Glass Ionomer Cement Containing Flavonoids IADR Abstract Archives. In Proceedings of the 2019 IADR/AADR/CADR General Session, Vancouver, BC, Canada, 18 June 2019; p. 2121. [Google Scholar]
- Orellana, E.A.; Kasinski, A.L. Sulforhodamine B (SRB) Assay in Cell Culture to Investigate Cell Proliferation. Bio Protoc. 2016, 6, e1984. [Google Scholar] [CrossRef] [PubMed]
- Kocsis, D.; Dhinakaran, S.; Pandey, D.; Laki, A.J.; Laki, M.; Sztankovics, D.; Lengyel, M.; Vrábel, J.; Naszlady, M.B.; Sebestyén, A.; et al. Fluid Dynamics Optimization of Microfluidic Diffusion Systems for Assessment of Transdermal Drug Delivery: An Experimental and Simulation Study. Sci. Pharm. 2024, 92, 35. [Google Scholar] [CrossRef]
- Lukács, B.; Bajza, Á.; Kocsis, D.; Csorba, A.; Antal, I.; Iván, K.; Laki, A.J.; Erdő, F. Skin-on-a-Chip Device for Ex Vivo Monitoring of Transdermal Delivery of Drugs-Design, Fabrication, and Testing. Pharmaceutics 2019, 11, 445. [Google Scholar] [CrossRef] [PubMed]
- Szederkényi, G.; Kocsis, D.; Vághy, M.A.; Czárán, D.; Sasvári, P.; Lengyel, M.; Naszlady, M.B.; Kreis, F.; Antal, I.; Csépányi-Kömi, R.; et al. Mathematical Modeling of Transdermal Delivery of Topical Drug Formulations in a Dynamic Microfluidic Diffusion Chamber in Health and Disease. PLoS ONE 2024, 19, e0299501. [Google Scholar] [CrossRef]
- Bajza, Á.; Kocsis, D.; Berezvai, O.; Laki, A.J.; Lukács, B.; Imre, T.; Iván, K.; Szabó, P.; Erdő, F. Verification of P-Glycoprotein Function at the Dermal Barrier in Diffusion Cells and Dynamic “Skin-On-A-Chip” Microfluidic Device. Pharmaceutics 2020, 12, 804. [Google Scholar] [CrossRef]
- Varga-Medveczky, Z.; Kocsis, D.; Naszlady, M.B.; Fónagy, K.; Erdő, F. Skin-on-a-Chip Technology for Testing Transdermal Drug Delivery-Starting Points and Recent Developments. Pharmaceutics 2021, 13, 1852. [Google Scholar] [CrossRef] [PubMed]
- Franco, A.; Van Durme, B.; Van Vlierberghe, S.; Dupont-Gillain, C. Misleading Pore Size Measurements in Gelatin and Alginate Hydrogels Revealed by Confocal Microscopy. Tissue Eng. Part C Methods 2024, 30, 307–313. [Google Scholar] [CrossRef]
- Zhuang, P.; Ng, W.L.; An, J.; Chua, C.K.; Tan, L.P. Layer-by-Layer Ultraviolet Assisted Extrusion-Based (UAE) Bioprinting of Hydrogel Constructs with High Aspect Ratio for Soft Tissue Engineering Applications. PLoS ONE 2019, 14, e0216776. [Google Scholar] [CrossRef]
- Hafezi, M.; Khorasani, S.N.; Khalili, S.; Neisiany, R.E. Self-Healing Interpenetrating Network Hydrogel Based on GelMA/Alginate/Nano-Clay. Int. J. Biol. Macromol. 2023, 242, 124962. [Google Scholar] [CrossRef]
- Karam, M.; Faraj, M.; Jaffa, M.A.; Jelwan, J.; Aldeen, K.S.; Hassan, N.; Mhanna, R.; Jaffa, A.A. Development of Alginate and Alginate Sulfate/Polycaprolactone Nanoparticles for Growth Factor Delivery in Wound Healing Therapy. Biomed. Pharmacother. 2024, 175, 116750. [Google Scholar] [CrossRef]
- Trapani, A.; Corbo, F.; Stefàno, E.; Capobianco, L.; Muscella, A.; Marsigliante, S.; Cricenti, A.; Luce, M.; Becerril, D.; Bellucci, S. Oxidized Alginate Dopamine Conjugate: A Study to Gain Insight into Cell/Particle Interactions. J. Funct. Biomater. 2022, 13, 201. [Google Scholar] [CrossRef] [PubMed]
- Dragomir, D.C.; Carbunaru, V.; Moldovan, C.A.; Lascar, I.; Dontu, O.; Ristoiu, V.; Gheorghe, R.; Oproiu, A.M.; Firtat, B.; Franti, E.; et al. Biocompatibility Analysis of GelMa Hydrogel and Silastic RTV 9161 Elastomer for Encapsulation of Electronic Devices for Subdermal Implantable Devices. Coatings 2023, 13, 19. [Google Scholar] [CrossRef]
- Cano-Vicent, A.; Tuñón-Molina, A.; Bakshi, H.; Sabater i Serra, R.; Alfagih, I.M.; Tambuwala, M.M.; Serrano-Aroca, Á. Biocompatible Alginate Film Crosslinked with Ca2+ and Zn2+ Possesses Antibacterial, Antiviral, and Anticancer Activities. ACS Omega 2023, 8, 24396–24405. [Google Scholar] [CrossRef]
- Cameron, O.G.; Modell, J.G.; Hariharan, M. Caffeine and Human Cerebral Blood Flow: A Positron Emission Tomography Study. Life Sci. 1990, 47, 1141–1146. [Google Scholar] [CrossRef]
- Koo, S.; Hirakawa, S.; Fujii, S.; Kawasumi, M.; Nghiem, P. Protection from Photodamage by Topical Application of Caffeine after Ultraviolet Irradiation. Br. J. Dermatol. 2007, 156, 957–964. [Google Scholar] [CrossRef] [PubMed]
- Pires-de-Campos, M.S.M.; Leonardi, G.R.; Chorilli, M.; Spadari-Bratfisch, R.C.; Polacow, M.L.O.; Grassi-Kassisse, D.M. The Effect of Topical Caffeine on the Morphology of Swine Hypodermis as Measured by Ultrasound. J. Cosmet. Dermatol. 2008, 7, 232–237. [Google Scholar] [CrossRef] [PubMed]
- Todo, H.; Hasegawa, Y.; Okada, A.; Itakura, S.; Sugibayashi, K. Improvement of Skin Permeation of Caffeine, a Hydrophilic Drug, by the Application of Water Droplets Provided by a Novel Humidifier Device. Chem. Pharm. Bull. 2021, 69, 727–733. [Google Scholar] [CrossRef] [PubMed]
- Kurzyk, A.; Szumera-Ciećkiewicz, A.; Miłoszewska, J.; Chechlińska, M. 3D Modeling of Normal Skin and Cutaneous Squamous Cell Carcinoma. A Comparative Study in 2D Cultures, Spheroids, and 3D Bioprinted Systems. Biofabrication 2024, 16, 025021. [Google Scholar] [CrossRef] [PubMed]
- Gungor-Ozkerim, P.S.; Inci, I.; Zhang, Y.S.; Khademhosseini, A.; Dokmeci, M.R. Bioinks for 3D Bioprinting: An Overview. Biomater. Sci. 2018, 6, 915–946. [Google Scholar] [CrossRef]
- Rutz, A.L.; Lewis, P.L.; Shah, R.N. Toward Next-Generation Bioinks: Tuning Material Properties Pre- and Post-Printing to Optimize Cell Viability. MRS Bull. 2017, 42, 563–570. [Google Scholar] [CrossRef]
- Hölzl, K.; Lin, S.; Tytgat, L.; Van Vlierberghe, S.; Gu, L.; Ovsianikov, A. Bioink Properties before, during and after 3D Bioprinting. Biofabrication 2016, 8, 032002. [Google Scholar] [CrossRef]
- Schulik, J.; Salehi, S.; Boccaccini, A.R.; Schrüfer, S.; Schubert, D.W.; Arkudas, A.; Kengelbach-Weigand, A.; Horch, R.E.; Schmid, R. Comparison of the Behavior of 3D-Printed Endothelial Cells in Different Bioinks. Bioengineering 2023, 10, 751. [Google Scholar] [CrossRef] [PubMed]
- Chopin-Doroteo, M.; Mandujano-Tinoco, E.A.; Krötzsch, E. Tailoring of the Rheological Properties of Bioinks to Improve Bioprinting and Bioassembly for Tissue Replacement. Biochim. Biophys. Acta Gen. Subj. 2021, 1865, 129782. [Google Scholar] [CrossRef]
- Schwab, A.; Levato, R.; D’Este, M.; Piluso, S.; Eglin, D.; Malda, J. Printability and Shape Fidelity of Bioinks in 3D Bioprinting. Chem. Rev. 2020, 120, 11028–11055. [Google Scholar] [CrossRef]
- Chimene, D.; Kaunas, R.; Gaharwar, A.K. Hydrogel Bioink Reinforcement for Additive Manufacturing: A Focused Review of Emerging Strategies. Adv. Mater. 2020, 32, 1902026. [Google Scholar] [CrossRef]
- Williams, D.; Thayer, P.; Martinez, H.; Gatenholm, E.; Khademhosseini, A. A Perspective on the Physical, Mechanical and Biological Specifications of Bioinks and the Development of Functional Tissues in 3D Bioprinting. Bioprinting 2018, 9, 19–36. [Google Scholar] [CrossRef]
- Ramasamy, S.; Davoodi, P.; Vijayavenkataraman, S.; Teoh, J.H.; Thamizhchelvan, A.M.; Robinson, K.S.; Wu, B.; Fuh, J.Y.H.; DiColandrea, T.; Zhao, H.; et al. Optimized Construction of a Full Thickness Human Skin Equivalent Using 3D Bioprinting and a PCL/Collagen Dermal Scaffold. Bioprinting 2021, 21, e00123. [Google Scholar] [CrossRef]

) and GelMA C (O) gel samples before crosslinking with a controlled shear rate (0.1–100 1/s) at 25 °C.
) and GelMA C (O) gel samples before crosslinking with a controlled shear rate (0.1–100 1/s) at 25 °C.







Disclaimer/Publisher’s Note: The statements, opinions and data contained in all publications are solely those of the individual author(s) and contributor(s) and not of MDPI and/or the editor(s). MDPI and/or the editor(s) disclaim responsibility for any injury to people or property resulting from any ideas, methods, instructions or products referred to in the content. |
© 2025 by the authors. Licensee MDPI, Basel, Switzerland. This article is an open access article distributed under the terms and conditions of the Creative Commons Attribution (CC BY) license (https://creativecommons.org/licenses/by/4.0/).
Share and Cite
Kocsis, D.; Sztankovics, D.; Józsa, L.; Németh, A.; Garay, T.; Naszlady, M.B.; Lengyel, M.; Vecsernyés, M.; Antal, I.; Sebestyén, A.; et al. In Vitro Functional and Structural Evaluation of Low-Complexity Artificial Human Epidermis for 3D Tissue Engineering. Bioengineering 2025, 12, 230. https://doi.org/10.3390/bioengineering12030230
Kocsis D, Sztankovics D, Józsa L, Németh A, Garay T, Naszlady MB, Lengyel M, Vecsernyés M, Antal I, Sebestyén A, et al. In Vitro Functional and Structural Evaluation of Low-Complexity Artificial Human Epidermis for 3D Tissue Engineering. Bioengineering. 2025; 12(3):230. https://doi.org/10.3390/bioengineering12030230
Chicago/Turabian StyleKocsis, Dorottya, Dániel Sztankovics, Liza Józsa, Afrodité Németh, Tamás Garay, Márton Bese Naszlady, Miléna Lengyel, Miklós Vecsernyés, István Antal, Anna Sebestyén, and et al. 2025. "In Vitro Functional and Structural Evaluation of Low-Complexity Artificial Human Epidermis for 3D Tissue Engineering" Bioengineering 12, no. 3: 230. https://doi.org/10.3390/bioengineering12030230
APA StyleKocsis, D., Sztankovics, D., Józsa, L., Németh, A., Garay, T., Naszlady, M. B., Lengyel, M., Vecsernyés, M., Antal, I., Sebestyén, A., & Erdő, F. (2025). In Vitro Functional and Structural Evaluation of Low-Complexity Artificial Human Epidermis for 3D Tissue Engineering. Bioengineering, 12(3), 230. https://doi.org/10.3390/bioengineering12030230

