Transformative Approaches in Breast Cancer Detection: Integrating Transformers into Computer-Aided Diagnosis for Histopathological Classification
Abstract
1. Introduction
- -
- Twin-Stream Architecture: A novel architecture combining two streams—Virchow2 for histopathological feature extraction and Nomic for vision-based transformer modeling—offering a comprehensive representation of breast cancer histopathological data.
- -
- Integration of ViTs: Demonstrated the application of ViTs for histopathological image analysis, addressing long-range dependencies and contextual relationships often missed by traditional methods.
- -
- State-of-the-Art Performance: Achieved a mean accuracy of 98.60% and specificity of 99.07% on the BACH dataset, surpassing the performance of existing single-stream and hybrid models.
- -
- Comprehensive Statistical Validation: Performed rigorous statistical analyses, including paired t-tests, ANOVA, and correlation studies, to confirm the robustness and reliability of the proposed approach.
- -
- Benchmark Comparisons: Demonstrated superior performance against benchmark models like Inception-v3, ResNet50, ADSVM with RANet, and Google Teachable Machine CNN, hig ighting the advantages of the twin-stream methodology.
- -
- Class-Wise Evaluation: Provided detailed insights into class-specific performance, showing improved detection for categories like invasive, benign, normal, and in situ classes, even in challenging scenarios.
- -
- Scalable and Efficient Framework: Designed a computationally efficient solution that can be adapted to resource-constrained environments, addressing the increasing demand for scalable diagnostic tools in clinical settings.
- -
- Clinical Applicability: Hig ighted the potential for the proposed twin-stream approach to be implemented in real-world healthcare scenarios, offering enhanced diagnostic precision and consistency.
2. Related Studies
Research Gap
3. Materials
- -
- Microscopy Images: Dimensions of 2048 × 1536 pixels, with a pixel scale of 0.42 μm × 0.42 μm, and individual image file sizes ranging from 10 to 20 MB.
- -
- Whole-Slide Images: Stored in .svs format, these images have varying sizes, for example, 42,113 × 62,625 pixels, a pixel scale of 0.467 μm/pixel, and memory requirements of approximately 8 GB when stored as a numpy array or 200–250 MB in .svs format.
- -
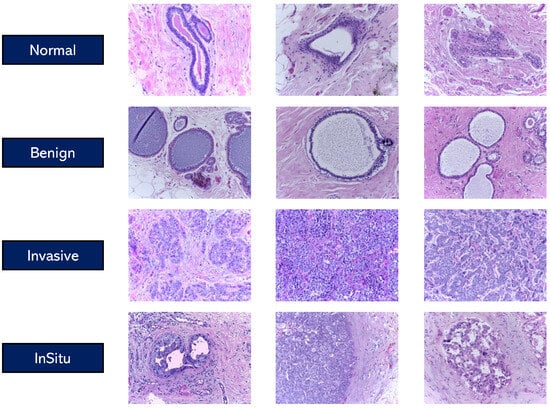
- Microscopy Images: Classified into 4 categories: (a) normal, (b) benign, (c) in situ carcinoma, and (d) invasive carcinoma.
- -
- Whole-Slide Images: Annotated with regions labeled by coordinates for benign, in situ carcinoma, and invasive carcinoma areas, aligning with the microscopy image classes for consistency.
4. Methodology
4.1. Feature Extraction: Histopathologically Inherited Features Using Virchow2
4.2. Feature Extraction: Vision-Based Features Using Nomic
4.3. Feature Fusion: Integrating Histopathological and Vision-Based Features
| Algorithm 1: The twin-stream feature extraction and fusion process for breast cancer histopathology classification. |
// Input: Histopathology image I. Output: Fused feature representation .
Apply Gated Linear Unit (GLU) mechanism for dynamic feature selection:
Extract embeddings from the last hidden state.
Output final classification decision.
|
4.4. Data Augmentation During Learning
4.5. Performance Metrics
5. Experiments
5.1. Statistical Analysis
5.1.1. Paired t-Test and Wilcoxon Signed-Rank Test
5.1.2. One-Way ANOVA and Kruskal-Wallis Test
5.1.3. Effect Size Calculation
5.1.4. Correlation Analysis
5.1.5. Discussion of Combined Results
5.2. Comparison with Related Studies
5.3. Comparison with Google Teachable Machine (CNN)
6. Overall Discussion and Medical Relevance
6.1. Computational Efficiency
- Inference Time: On our experimental setup (Windows 11, 8 GB NVIDIA GPU), the model processes a single 256 × 256 patch in approximately 0.03 s, making it suitable for real-time applications. However, deploying the model on lower-end hardware may require additional optimizations.
- Optimization Strategies:
- –
- Pruning: Remove redundant neurons and layers without significantly affecting performance.
- –
- Quantization: Convert the model to lower precision (e.g., FP16 or INT8) to reduce memory usage and accelerate inference.
- –
- Cloud-Based Deployment: Host the model on cloud platforms to enable remote access and reduce the computational burden on local devices.
- –
- Edge Computing: Deploy lightweight versions of the model on edge devices for faster inference in clinical settings. These optimizations can enhance the model’s usability in diverse healthcare environments, ensuring scalability and accessibility.
6.2. Clinical Adoption and Implications
6.3. Dataset Limitations and Suggestions
- -
- The lack of complete patient-wise origin information in the BACH dataset may limit the generalizability of the model to broader populations.
- -
- Variations in staining protocols, scanner differences, and image quality across institutions could impact the model’s performance when applied to external datasets.
- -
- Incorporate more diverse datasets that include samples from different geographic regions, ethnic groups, and healthcare systems.
- -
- Use domain adaptation techniques to enhance the model’s robustness to variations in staining protocols and imaging conditions.
- -
- Validate the model on external datasets to assess its generalizability and real-world applicability.
6.4. Overall Limitations
7. Conclusions and Future Work
Author Contributions
Funding
Institutional Review Board Statement
Informed Consent Statement
Data Availability Statement
Conflicts of Interest
References
- Cox, T.R.; Erler, J.T. Remodeling and homeostasis of the extracellular matrix: Implications for fibrotic diseases and cancer. Dis. Model. Mech. 2011, 4, 165–178. [Google Scholar] [CrossRef] [PubMed]
- Hong, R.; Xu, B. Breast cancer: An up-to-date review and future perspectives. Cancer Commun. 2022, 42, 913–936. [Google Scholar] [CrossRef] [PubMed]
- Arnold, M.; Morgan, E.; Rumgay, H.; Mafra, A.; Singh, D.; Laversanne, M.; Vignat, J.; Gralow, J.R.; Cardoso, F.; Siesling, S.; et al. Current and future burden of breast cancer: Global statistics for 2020 and 2040. Breast 2022, 66, 15–23. [Google Scholar] [CrossRef]
- Qaseem, A.; Lin, J.S.; Mustafa, R.A.; Horwitch, C.A.; Wilt, T.J.; Clinical Guidelines Committee of the American College of Physicians. Screening for breast cancer in average-risk women: A guidance statement from the American College of Physicians. Ann. Intern. Med. 2019, 170, 547–560. [Google Scholar] [CrossRef]
- Lei, S.; Zheng, R.; Zhang, S.; Wang, S.; Chen, R.; Sun, K.; Zeng, H.; Zhou, J.; Wei, W. Global patterns of breast cancer incidence and mortality: A population-based cancer registry data analysis from 2000 to 2020. Cancer Commun. 2021, 41, 1183–1194. [Google Scholar] [CrossRef]
- Ahmed, Z.; Mohamed, K.; Zeeshan, S.; Dong, X. Artificial intelligence with multi-functional machine learning platform development for better healthcare and precision medicine. Database 2020, 2020, baaa010. [Google Scholar] [CrossRef]
- Păvăloaia, V.D.; Necula, S.C. Artificial intelligence as a disruptive technology—A systematic literature review. Electronics 2023, 12, 1102. [Google Scholar] [CrossRef]
- Balaha, H.M.; Antar, E.R.; Saafan, M.M.; El-Gendy, E.M. A comprehensive framework towards segmenting and classifying breast cancer patients using deep learning and Aquila optimizer. J. Ambient Intell. Humaniz. Comput. 2023, 14, 7897–7917. [Google Scholar] [CrossRef]
- Chan, H.P.; Samala, R.K.; Hadjiiski, L.M. CAD and AI for breast cancer—Recent development and challenges. Br. J. Radiol. 2019, 93, 20190580. [Google Scholar] [CrossRef]
- Baghdadi, N.A.; Malki, A.; Balaha, H.M.; AbdulAzeem, Y.; Badawy, M.; Elhosseini, M. Classification of breast cancer using a manta-ray foraging optimized transfer learning framework. PeerJ Comput. Sci. 2022, 8, e1054. [Google Scholar] [CrossRef]
- Mia, M.S.; Arnob, A.B.H.; Naim+, A.; Voban, A.A.B.; Islam, M.S. ViTs are Everywhere: A Comprehensive Study Showcasing Vision Transformers in Different Domain. arXiv 2023, arXiv:2310.05664. [Google Scholar]
- Shamshad, F.; Khan, S.; Zamir, S.W.; Khan, M.H.; Hayat, M.; Khan, F.S.; Fu, H. Transformers in medical imaging: A survey. Med. Image Anal. 2023, 88, 102802. [Google Scholar] [CrossRef]
- Rane, N. Transformers for Medical Image Analysis: Applications, Challenges, and Future Scope. In Challenges, and Future Scope (November 2, 2023); Elsevier: Amsterdam, The Netherlands, 2023. [Google Scholar]
- Li, J.; Chen, J.; Tang, Y.; Wang, C.; Landman, B.A.; Zhou, S.K. Transforming medical imaging with Transformers? A comparative review of key properties, current progresses, and future perspectives. Med. Image Anal. 2023, 85, 102762. [Google Scholar] [CrossRef] [PubMed]
- Ben Ammar, M.; Ayachi, F.L.; Cardoso de Paiva, A.; Ksantini, R.; Mahjoubi, H. Harnessing Deep Learning for Early Breast Cancer Diagnosis: A Review of Datasets, Methods, Challenges, and Future Directions. Int. J. Comput. Digit. Syst. 2024, 16, 1643–1661. [Google Scholar] [CrossRef]
- Balaha, H.M.; Saif, M.; Tamer, A.; Abdelhay, E.H. Hybrid deep learning and genetic algorithms approach (HMB-DLGAHA) for the early ultrasound diagnoses of breast cancer. Neural Comput. Appl. 2022, 34, 8671–8695. [Google Scholar] [CrossRef]
- Rahman, S. Recent Advancement on Breast Cancer Detection and Treatment. Ph.D. Thesis, Brac University, Dhaka, Bangladesh, 2022. [Google Scholar]
- Sabry, M.; Balaha, H.M.; Ali, K.M.; Soliman, T.H.A.; Gondim, D.; Ghazal, M.; Tahtouh, T.; El-Baz, A. A Vision Transformer Approach for Breast Cancer Classification in Histopathology. In Proceedings of the 2024 IEEE International Symposium on Biomedical Imaging (ISBI), Athens, Greece, 27–30 May 2024; pp. 1–4. [Google Scholar]
- Golatkar, A.; Anand, D.; Sethi, A. Classification of breast cancer histology using deep learning. In Proceedings of the Image Analysis and Recognition: 15th International Conference, ICIAR 2018, Póvoa de Varzim, Portugal, 27–29 June 2018; Proceedings 15. Springer: Berlin/Heidelberg, Germany, 2018; pp. 837–844. [Google Scholar]
- Zhou, Y.; Zhang, C.; Gao, S. Breast cancer classification from histopathological images using resolution adaptive network. IEEE Access 2022, 10, 35977–35991. [Google Scholar] [CrossRef]
- Vesal, S.; Ravikumar, N.; Davari, A.; Ellmann, S.; Maier, A. Classification of breast cancer histology images using transfer learning. In Proceedings of the Image Analysis and Recognition: 15th International Conference, ICIAR 2018, Póvoa de Varzim, Portugal, 27–29 June 2018; Proceedings 15. Springer: Berlin/Heidelberg, Germany, 2018; pp. 812–819. [Google Scholar]
- Vizcarra, J.; Place, R.; Tong, L.; Gutman, D.; Wang, M.D. Fusion in breast cancer histology classification. In Proceedings of the 10th ACM International Conference on Bioinformatics, Computational Biology and Health Informatics, Niagara Falls, NY, USA, 7–10 September 2019; pp. 485–493. [Google Scholar]
- Koné, I.; Boulmane, L. Hierarchical ResNeXt models for breast cancer histology image classification. In Proceedings of the Image Analysis and Recognition: 15th International Conference, ICIAR 2018, Póvoa de Varzim, Portugal, 27–29 June 2018; Proceedings 15. Springer: Berlin/Heidelberg, Germany, 2018; pp. 796–803. [Google Scholar]
- Zimmermann, E.; Vorontsov, E.; Viret, J.; Casson, A.; Zelechowski, M.; Shaikovski, G.; Tenenholtz, N.; Hall, J.; Klimstra, D.; Yousfi, R.; et al. Virchow2: Scaling self-supervised mixed magnification models in pathology. arXiv 2024, arXiv:2408.00738. [Google Scholar]
- Vorontsov, E.; Bozkurt, A.; Casson, A.; Shaikovski, G.; Zelechowski, M.; Liu, S.; Severson, K.; Zimmermann, E.; Hall, J.; Tenenholtz, N.; et al. Virchow: A million-slide digital pathology foundation model. arXiv 2023, arXiv:2309.07778. [Google Scholar]
- Vorontsov, E.; Bozkurt, A.; Casson, A.; Shaikovski, G.; Zelechowski, M.; Severson, K.; Zimmermann, E.; Hall, J.; Tenenholtz, N.; Fusi, N.; et al. A foundation model for clinical-grade computational pathology and rare cancers detection. Nat. Med. 2024, 30, 2924–2935. [Google Scholar] [CrossRef]
- Nussbaum, Z.; Morris, J.X.; Duderstadt, B.; Mulyar, A. Nomic embed: Training a reproducible long context text embedder. arXiv 2024, arXiv:2402.01613. [Google Scholar]
- Baghdadi, N.A.; Malki, A.; Balaha, H.M.; Badawy, M.; Elhosseini, M. A3c-tl-gto: Alzheimer automatic accurate classification using transfer learning and artificial gorilla troops optimizer. Sensors 2022, 22, 4250. [Google Scholar] [CrossRef] [PubMed]
- Balaha, H.M.; Hassan, A.E.S. A variate brain tumor segmentation, optimization, and recognition framework. Artif. Intell. Rev. 2023, 56, 7403–7456. [Google Scholar] [CrossRef]
- Yousif, N.R.; Balaha, H.M.; Haikal, A.Y.; El-Gendy, E.M. A generic optimization and learning framework for Parkinson disease via speech and handwritten records. J. Ambient Intell. Humaniz. Comput. 2023, 14, 10673–10693. [Google Scholar] [CrossRef]
- Balaha, H.M.; Shaban, A.O.; El-Gendy, E.M.; Saafan, M.M. A multi-variate heart disease optimization and recognition framework. Neural Comput. Appl. 2022, 34, 15907–15944. [Google Scholar] [CrossRef]
- Żydowicz, W.M.; Skokowski, J.; Marano, L.; Polom, K. Navigating the Metaverse: A New Virtual Tool with Promising Real Benefits for Breast Cancer Patients. J. Clin. Med. 2024, 13, 4337. [Google Scholar] [CrossRef]
- Żydowicz, W.M.; Skokowski, J.; Marano, L.; Polom, K. Current Trends and Beyond Conventional Approaches: Advancements in Breast Cancer Surgery through Three-Dimensional Imaging, Virtual Reality, Augmented Reality, and the Emerging Metaverse. J. Clin. Med. 2024, 13, 915. [Google Scholar] [CrossRef]



| Configuration Aspect | Details |
|---|---|
| Learning Rate | |
| Tile Size | |
| Epochs | 50 |
| Batch Size | 16 |
| Data Augmentation Techniques | Random flipping and cropping |
| Train-Test Split | 80% training, 20% testing |
| Evaluation Metrics | Accuracy, Recall, IoU, Specificity, Precision, and F1 |
| Metric Stability | Small constant added for numerical stability |
| Runs | Precision | Recall | F1 | Accuracy | Specificity |
|---|---|---|---|---|---|
| Mean | 0.9728 | 0.9720 | 0.9724 | 0.9860 | 0.9907 |
| Std | 0.0029 | 0.0030 | 0.0030 | 0.0015 | 0.0010 |
| CI | ±0.0015 | ±0.0015 | ±0.0015 | ±0.0008 | ±0.0005 |
| Runs | Precision | Recall | F1 | Accuracy | Specificity |
|---|---|---|---|---|---|
| Mean | 0.8533 | 0.8193 | 0.8360 | 0.9097 | 0.9398 |
| Std | 0.0115 | 0.0141 | 0.0126 | 0.0070 | 0.0047 |
| CI | ±0.0058 | ±0.0071 | ±0.0064 | ±0.0036 | ±0.0024 |
| Study | Approach | Results |
|---|---|---|
| Golatkar et al. [19] | DL-based method using fine-tuned Inception-v3 CNN for classifying H&E-stained breast tissue images. | Average accuracy of 85% across all classes. Significant improvement over previous benchmark with 93% accuracy for non-cancer vs. malignant. |
| Zhou et al. [20] | Innovative BC diagnosis approach integrating anomaly detection (ADSVM) and resolution adaptive network (RANet). | Achieved top accuracies of 97.75% for multiclass classification and 99.25% for binary classification at the image level. Marked improvements in both classification accuracy and computational efficiency over ResNet and DenseNet, with a 50% reduction in computational time. |
| Vesal et al. [21] | Transfer learning-based breast histology image classification using Inception-V3 and ResNet50 CNNs. Addressed color variations with normalization. | Inception-V3 achieved an average test accuracy of 97.08%, outperforming ResNet50 (96.66%). Transfer learning-based approach demonstrated effectiveness in histology image classification. |
| Vizcarra et al. [22] | Image classification pipeline for BC diagnosis, integrating shallow (SVM) and deep (CNN) learners. | Integrated system achieved the highest accuracy of 92%, surpassing individual learners. Fusion algorithms demonstrated potential for enhancing clinical design support in BC diagnosis. |
| Kone et al. [23] | Hierarchical CNN system for automated BC pathology classification using microscopic histology image analysis. | Achieved remarkable accuracy of 0.99 on the test split for the BACH dataset and 0.96 for the extension dataset. Automated hierarchical CNN system demonstrated efficacy in accurately classifying BC pathologies. |
| Current Study | A twin-stream approach | Accuracy of 98.60% on the testing subset (See Table 2). |
Disclaimer/Publisher’s Note: The statements, opinions and data contained in all publications are solely those of the individual author(s) and contributor(s) and not of MDPI and/or the editor(s). MDPI and/or the editor(s) disclaim responsibility for any injury to people or property resulting from any ideas, methods, instructions or products referred to in the content. |
© 2025 by the authors. Licensee MDPI, Basel, Switzerland. This article is an open access article distributed under the terms and conditions of the Creative Commons Attribution (CC BY) license (https://creativecommons.org/licenses/by/4.0/).
Share and Cite
Alwateer, M.; Bamaqa, A.; Farsi, M.; Aljohani, M.; Shehata, M.; Elhosseini, M.A. Transformative Approaches in Breast Cancer Detection: Integrating Transformers into Computer-Aided Diagnosis for Histopathological Classification. Bioengineering 2025, 12, 212. https://doi.org/10.3390/bioengineering12030212
Alwateer M, Bamaqa A, Farsi M, Aljohani M, Shehata M, Elhosseini MA. Transformative Approaches in Breast Cancer Detection: Integrating Transformers into Computer-Aided Diagnosis for Histopathological Classification. Bioengineering. 2025; 12(3):212. https://doi.org/10.3390/bioengineering12030212
Chicago/Turabian StyleAlwateer, Majed, Amna Bamaqa, Mohamed Farsi, Mansourah Aljohani, Mohamed Shehata, and Mostafa A. Elhosseini. 2025. "Transformative Approaches in Breast Cancer Detection: Integrating Transformers into Computer-Aided Diagnosis for Histopathological Classification" Bioengineering 12, no. 3: 212. https://doi.org/10.3390/bioengineering12030212
APA StyleAlwateer, M., Bamaqa, A., Farsi, M., Aljohani, M., Shehata, M., & Elhosseini, M. A. (2025). Transformative Approaches in Breast Cancer Detection: Integrating Transformers into Computer-Aided Diagnosis for Histopathological Classification. Bioengineering, 12(3), 212. https://doi.org/10.3390/bioengineering12030212

