Next Issue
Volume 12, November
Previous Issue
Volume 12, September
 
 

Bioengineering, Volume 12, Issue 10 (October 2025) – 125 articles

Cover Story (view full-size image): Electrospun polycaprolactone/collagen (PCL/COL) scaffolds offer a robust platform for tissue engineering by enhancing the mechanical properties and manipulability of self-assembled extracellular matrix (ECM) constructs. This study demonstrates that stromal cells from various tissues deposit ECM with distinct compositions and growth factor profiles when cultured on PCLCOL versus traditional culture plates. The hybrid scaffolds support strong cell adhesion, promote ECM thickness, and maintain cell viability, making them promising candidates for regenerative applications requiring both biological functionality and mechanical resilience. View this paper
  • Issues are regarded as officially published after their release is announced to the table of contents alert mailing list.
  • You may sign up for e-mail alerts to receive table of contents of newly released issues.
  • PDF is the official format for papers published in both, html and pdf forms. To view the papers in pdf format, click on the "PDF Full-text" link, and use the free Adobe Reader to open them.
Order results
Result details
Section
Select all
Export citation of selected articles as:
17 pages, 2547 KB  
Article
Engineering Multilayered Hepatic Cell Sheet Model Using Oxygen-Supplying MeHA/CPO Hydrogel
by Kyungsook Kim, So Hee Han, Jiyoen Oh, Delger Bayarsaikhan, Moon Suk Kim, Dayoen Kim, Teruo Okano and Bonghee Lee
Bioengineering 2025, 12(10), 1132; https://doi.org/10.3390/bioengineering12101132 - 21 Oct 2025
Viewed by 1044
Abstract
Three-dimensional (3D) hepatic tissue engineering holds great potential for liver regeneration, disease modeling, and drug screening. These applications require densely layered hepatic tissues that mimic native 3D liver architecture. However, limited oxygen supply and reduced cell viability in densely layered hepatic constructs remain [...] Read more.
Three-dimensional (3D) hepatic tissue engineering holds great potential for liver regeneration, disease modeling, and drug screening. These applications require densely layered hepatic tissues that mimic native 3D liver architecture. However, limited oxygen supply and reduced cell viability in densely layered hepatic constructs remain key challenges. To overcome this, this study developed a photo-crosslinkable, oxygen-releasing hydrogel composed of methacrylated hyaluronic acid (MeHA) and calcium peroxide (CPO). The MeHA/CPO hydrogel exhibited favorable rheological properties and sustained oxygen release. Induced pluripotent stem cell-derived hepatocyte (iHep) sheets were cultured with or without MeHA/CPO hydrogel in single- and double-layer formats. The hydrogel enhanced structural integrity and supported the formation of a multilayer (~33 µm). Double-layered iHep sheets with MeHA/CPO showed the significantly increased expression of paracrine factors (HGF, VEGF, Alb) and improved albumin secretion without loss of hepatocyte identity (AFP, HNF4α). This oxygen-releasing system effectively alleviates hypoxic stress, supporting the structural and functional viability of multilayered iHep sheets. Our platform provides a promising approach for engineering metabolically active hepatic tissues and may serve as a foundation for 3D hepatic tissue engineering. Full article
(This article belongs to the Special Issue The Next Generation of Tissue Engineering)
Show Figures

Figure 1

11 pages, 789 KB  
Article
Effect of Abutment Screw Design on Torque Loss Under Cyclic Fatigue Loading: A Comparison of TSIII and KSIII Implant Systems
by Jung-Tae Lee, Jae-Chang Lee, Dong-Wook Han and Bongju Kim
Bioengineering 2025, 12(10), 1131; https://doi.org/10.3390/bioengineering12101131 - 21 Oct 2025
Viewed by 1644
Abstract
Background: Abutment screw loosening (ASL) is the most frequent mechanical complication in dentistry, leading to prosthetic instability and biological risks. Preload, generated during screw tightening, is critical for maintaining stability but is influenced by torque application, screw geometry, and cyclic loading. Methods: This [...] Read more.
Background: Abutment screw loosening (ASL) is the most frequent mechanical complication in dentistry, leading to prosthetic instability and biological risks. Preload, generated during screw tightening, is critical for maintaining stability but is influenced by torque application, screw geometry, and cyclic loading. Methods: This in vitro study compared torque loss between two implant systems (Osstem TSIII and KSIII) with different abutment screw designs. Fifty implant–abutment assemblies (n = 5 per torque group) were tested under tightening torques of 20, 25, 30, 35, and 40 Ncm. Initial removal torque (T1) was measured 5 min after tightening, followed by cyclic loading (150 N, 14 Hz, 100,000 cycles). Post-fatigue removal torque (T2) was then recorded, and torque loss rate (%) was calculated. Independent t-tests and a one-way ANOVA were used for statistical analysis. Results: KSIII consistently exhibited higher T1 and T2 values than TSIII across all torque levels (p < 0.05). The torque loss rate for TSIII ranged from 36.5% (35 Ncm) to 51.8% (20 Ncm), showing a torque-dependent trend (p < 0.05). In contrast, KSIII maintained torque loss rates below 25% at all levels, with no significant differences between torque groups (p > 0.05). On average, torque loss in TSIII was approximately 2.5–3.0 times higher than in KSIII. Conclusions: The KSIII system demonstrated superior biomechanical stability, with significantly lower torque loss compared with TSIII, independent of torque level. Clinically, these findings suggest that the KSIII system may reduce the incidence of screw loosening and associated complications. A tightening torque of approximately 35 Ncm appeared to provide the most stable preload. Long-term in vivo studies are warranted to confirm these results under clinical conditions. Full article
(This article belongs to the Special Issue New Sight for the Treatment of Dental Diseases: Updates and Direction)
Show Figures

Figure 1

25 pages, 4182 KB  
Article
New Gait Representation Maps for Enhanced Recognition in Clinical Gait Analysis
by Nagwan Abdel Samee, Mohammed A. Al-masni, Eman N. Marzban, Abobakr Khalil Al-Shamiri, Mugahed A. Al-antari, Maali Ibrahim Alabdulhafith, Noha F. Mahmoud and Yasser M. Kadah
Bioengineering 2025, 12(10), 1130; https://doi.org/10.3390/bioengineering12101130 - 21 Oct 2025
Cited by 1 | Viewed by 1520
Abstract
Gait analysis is essential in the evaluation of neuromuscular and musculoskeletal disorders; however, traditional approaches based on expert visual observation remain subjective and often lack consistency. Accurate and objective assessment of gait impairments is critical for early diagnosis, monitoring rehabilitation progress, and guiding [...] Read more.
Gait analysis is essential in the evaluation of neuromuscular and musculoskeletal disorders; however, traditional approaches based on expert visual observation remain subjective and often lack consistency. Accurate and objective assessment of gait impairments is critical for early diagnosis, monitoring rehabilitation progress, and guiding clinical decision-making. Although Gait Energy Images (GEI) have become widely used in automated, vision-based gait analysis, they are limited in capturing boundary details and time-resolved motion dynamics, both critical for robust clinical interpretation. To overcome these limitations, we introduce four novel gait representation maps: the time-coded gait boundary image (tGBI), color-coded GEI (cGEI), time-coded gait delta image (tGDI), and color-coded boundary-to-image transform (cBIT). These representations are specifically designed to embed spatial, temporal, and boundary-specific features of the gait cycle, and are constructed from binary silhouette sequences through straightforward yet effective transformations that preserve key structural and dynamic information. Experiments on the INIT GAIT dataset demonstrate that the proposed representations consistently outperform the conventional GEI across multiple machine learning models and classification tasks involving different numbers of gait impairment categories (four and six classes). These findings highlight the potential of the proposed approaches to enhance the accuracy and reliability of automated clinical gait analysis. Full article
Show Figures

Figure 1

47 pages, 22552 KB  
Article
Exosomes from Adipose Tissue Mesenchymal Stem Cells, a Preliminary Study for In Vitro and In Vivo Application
by Thao Duy Huynh, Ciro Gargiulo Isacco, Quan Thai Minh Ngo, Binh Thanh Nguyen, Tuan Ngoc Huu Nguyen, Tri Minh Dang Bui, Vinh Minh Ngo, Ky Quoc Truong, Tro Van Chau, Hoa Cong Truong, Kieu Diem Cao Nguyen, Emilio Jirillo, Van Hung Pham, Luigi Santacroce and Toai Cong Tran
Bioengineering 2025, 12(10), 1129; https://doi.org/10.3390/bioengineering12101129 - 21 Oct 2025
Cited by 1 | Viewed by 2560
Abstract
Mesenchymal stem cells (MSCs), particularly their secreted exosomes, small microvesicles, represent a major focus in regenerative medicine due to their therapeutic potential. Exosomes exhibit growth factors and cytokines and are loaded with microRNAs (miRNA) and short interfering RNA (siRNA) that can be transferred [...] Read more.
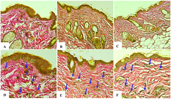
Mesenchymal stem cells (MSCs), particularly their secreted exosomes, small microvesicles, represent a major focus in regenerative medicine due to their therapeutic potential. Exosomes exhibit growth factors and cytokines and are loaded with microRNAs (miRNA) and short interfering RNA (siRNA) that can be transferred to other cells, potentially affecting their function. Exosomes are crucial mediators of intercellular communication, are immunomodulatory, and are promoters of tissue regeneration. Despite their promise, the standardized methods for exosome isolation and characterization remain weak. This exploratory study addresses this gap by detailing an effective method for isolating exosomes from adipose tissue mesenchymal stem cells (AT-MSCs), emphasizing precipitation as a technique yielding a high efficiency and purity compared to other methods. Functionally, we aimed to confirm the AT-MSC exosomes’ ability to exert an effective protective activity on the skin and its main components, such as fibroblasts, collagen, and elastin. To achieve this goal, we had to demonstrate that AT-MSC exosomes are safe and free of toxic substances. They can express specific proteins such as CD9, CD63, and CD81, which are well-known exosome markers. These exosomes also contain key miRNAs, including miRNA-203 A, miRNA-203 B, and miRNA-3196, important for skin regeneration, as well as enhancers of cell integrity and proliferation. We eventually confirmed the ability of exosomes to exert protective and recovery effects on fibroblasts after H2O2-induced damage in vitro, as well as on mouse skin after UVB-induced damage in vivo. These effects were verified by measuring levels of reactive oxidative species (ROS), assessing SA-β-Galactosidase (SA-β-Gal) activity, analyzing the cell cycle, evaluating the telomere length of fibroblasts by RT-PCR, and conducting histological assessments of collagen and elastin structure in murine skin after UVB exposure. This exploratory work provides valuable insights into the isolation, characterization, and bioactive and reparative properties of exosomes from AT-MSCs, supporting their development for future studies and therapeutic applications. Full article
Show Figures

Figure 1

18 pages, 1715 KB  
Article
hiPSCGEM01: A Genome-Scale Metabolic Model for Fibroblast-Derived Human iPSCs
by Anna Procopio, Elvira Immacolata Parrotta, Stefania Scalise, Paolo Zaffino, Rita Granata, Francesco Amato, Giovanni Cuda and Carlo Cosentino
Bioengineering 2025, 12(10), 1128; https://doi.org/10.3390/bioengineering12101128 - 21 Oct 2025
Viewed by 1397
Abstract
Human induced pluripotent cells (hiPSCs), generated in vitro, represent a groundbreaking tool for tissue regeneration and repair. Understanding the metabolic intricacies governing hiPSCs is crucial for optimizing their performance across diverse environmental conditions and improving production strategies. To this end, in this work, [...] Read more.
Human induced pluripotent cells (hiPSCs), generated in vitro, represent a groundbreaking tool for tissue regeneration and repair. Understanding the metabolic intricacies governing hiPSCs is crucial for optimizing their performance across diverse environmental conditions and improving production strategies. To this end, in this work, we introduce hiPSCGEM01, the first genome-scale, context-specific metabolic model (GEM) uniquely tailored to fibroblast-derived hiPSCs, marking a clear distinction from existing models of embryonic and cancer stem cells. hiPSCGEM01 was developed using relevant genome expression data carefully selected from the Gene Expression Omnibus (GEO), and integrated with the RECON 3D framework, a comprehensive genome-scale metabolic model of human metabolism. Redundant and unused reactions and genes were identified and removed from the model. Key reactions, including those facilitating the exchange and transport of metabolites between extracellular and intracellular environments, along with all metabolites required to simulate the growth medium, were integrated into hiPSCGEM01. Finally, blocked reactions and dead-end metabolites were identified and adequately solved. Knockout simulations combined with flux balance analysis (FBA) were employed to identify essential genes and metabolites within the metabolic network, providing a comprehensive systems-level view of fibroblast-derived hiPSC metabolism. Notably, the model uncovered the unexpected involvement of nitrate and xenobiotic metabolism—pathways not previously associated with hiPSCs—highlighting potential novel mechanisms of cellular adaptation that merit further investigation. hiPSCGEM01 establishes a robust platform for in silico analysis and the rational optimization of in vitro experiments. Future applications include the evaluation and refinement of culture media, the design of new formulations, and the prediction of hiPSC responses under varying growth conditions, ultimately advancing both experimental and clinical outcomes. Full article
(This article belongs to the Section Cellular and Molecular Bioengineering)
Show Figures

Figure 1

25 pages, 11762 KB  
Article
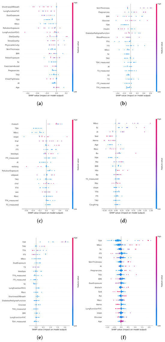
AI-RiskX: An Explainable Deep Learning Approach for Identifying At-Risk Patients During Pandemics
by Nada Zendaoui, Nardjes Bouchemal, Mohamed Rafik Aymene Berkani, Mounira Bouzahzah, Saad Harous and Naila Bouchemal
Bioengineering 2025, 12(10), 1127; https://doi.org/10.3390/bioengineering12101127 - 21 Oct 2025
Cited by 1 | Viewed by 1657
Abstract
Pandemics place extraordinary pressure on healthcare systems, particularly in identifying and prioritizing high-risk groups such as the elderly, pregnant women, and individuals with chronic diseases. Existing Artificial Intelligence models often fall short, focusing on single diseases, lacking interpretability, and overlooking patient-specific vulnerabilities. To [...] Read more.
Pandemics place extraordinary pressure on healthcare systems, particularly in identifying and prioritizing high-risk groups such as the elderly, pregnant women, and individuals with chronic diseases. Existing Artificial Intelligence models often fall short, focusing on single diseases, lacking interpretability, and overlooking patient-specific vulnerabilities. To address these gaps, we propose an Explainable Deep Learning approach for identifying at-risk patients during pandemics (AI-RiskX). AI-RiskX performs risk classification of patients diagnosed with COVID-19 or related infections to support timely intervention and resource allocation. Unlike previous models, AI-RiskX integrates five public datasets (asthma, diabetes, heart, kidney, and thyroid), employs the Synthetic Minority Over-sampling Technique (SMOTE) for class balancing, and uses a hybrid convolutional neural network–long short-term memory model (CNN–LSTM) for robust disease classification. SHAP (SHapley Additive exPlanations) enables both individual and population-level interpretability, while a post-prediction rule-based module stratifies patients by age and pregnancy status. Achieving 98.78% accuracy, AI-RiskX offers a scalable, interpretable solution for equitable classification and decision support in public health emergencies. Full article
(This article belongs to the Section Biosignal Processing)
Show Figures

Graphical abstract

20 pages, 5506 KB  
Article
Computational Study of Tesla Valve Design for Vesico-Amniotic Shunt to Manage Lower Urinary Tract Obstruction and Pleural Effusion
by SaiSri Nakirekanti, Varun Chandra Sarkonda, Janet Dong, Donglu Shi, Ahmad M. Alsaghir, Je-Hyeong Bahk and Braxton Forde
Bioengineering 2025, 12(10), 1126; https://doi.org/10.3390/bioengineering12101126 - 21 Oct 2025
Viewed by 1148
Abstract
Fetal lower urinary tract obstruction (LUTO) and pleural effusion are conditions that can disrupt fetal growth and lead to fetal death. LUTO inhibits the formation of amniotic fluid, which is vital for lung development, while pleural effusions can compress the fetal heart, potentially [...] Read more.
Fetal lower urinary tract obstruction (LUTO) and pleural effusion are conditions that can disrupt fetal growth and lead to fetal death. LUTO inhibits the formation of amniotic fluid, which is vital for lung development, while pleural effusions can compress the fetal heart, potentially causing fatal cardiac failure. To manage these conditions, a fetal shunt (vesico-amniotic shunt) is placed inside the fetal bladder. This paper presents a study on a new design incorporating a Tesla valve in the shunt. Six groups of Tesla valves with loop angles of 50 degrees and 60 degrees, and different end dimensions, are examined and evaluated in terms of the urine flow rate from the fetal bladder into the amniotic cavity, the pressure buildup between the two sides, and their potential in developing fetal bladder muscles. A mathematical method is used to compare diode characteristics, analyze flow rates, identify the Tesla valve angle, determine the Reynolds number, and assess diodicity. The Computational Fluid Dynamics (CFD) method is also employed to verify calculation results and simulate fluid behavior inside the Tesla valve. Combining the calculations and simulations, a 50-degree Tesla valve with specific dimensions showed the best performance and will be the optimal design for the fetal shunt. Full article
(This article belongs to the Special Issue Medical Devices and Implants, 2nd Edition)
Show Figures

Figure 1

15 pages, 2661 KB  
Article
Biological Interpretable Machine Learning Model for Predicting Pathological Grading in Clear Cell Renal Cell Carcinoma Based on CT Urography Peritumoral Radiomics Features
by Dingzhong Yang, Haonan Mei, Panpan Jiao and Qingyuan Zheng
Bioengineering 2025, 12(10), 1125; https://doi.org/10.3390/bioengineering12101125 - 20 Oct 2025
Viewed by 1874
Abstract
Background: The purpose of this study was to investigate the value of machine learning models for preoperative non-invasive prediction of International Society of Urological Pathology (ISUP) grading in clear cell renal cell carcinoma (ccRCC) based on CT urography (CTU)-related peritumoral area (PAT) radiomics [...] Read more.
Background: The purpose of this study was to investigate the value of machine learning models for preoperative non-invasive prediction of International Society of Urological Pathology (ISUP) grading in clear cell renal cell carcinoma (ccRCC) based on CT urography (CTU)-related peritumoral area (PAT) radiomics features. Methods: We retrospectively analysed 328 ccRCC patients from our institution, along with an external validation cohort of 175 patients from The Cancer Genome Atlas. A total of 1218 radiomics features were extracted from contrast-enhanced CT images, with LASSO regression used to select the most predictive features. We employed four machine learning models, namely, Logistic Regression (LR), Multilayer Perceptron (MLP), Support Vector Machine (SVM), and Extreme Gradient Boosting (XGBoost), for training and evaluation using Receiver Operating Characteristic (ROC) analysis. The model performance was assessed in training, internal validation, and external validation sets. Results: The XGBoost model demonstrated consistently superior discriminative ability across all datasets, achieving AUCs of 0.95 (95% CI: 0.92–0.98) in the training set, 0.93 (95% CI: 0.89–0.96) in the internal validation set, and 0.92 (95% CI: 0.87–0.95) in the external validation set. The model significantly outperformed LR, MLP, and SVM (p < 0.001) and demonstrated prognostic value (Log-rank p = 0.018). Transcriptomic analysis of model-stratified groups revealed distinct biological signatures, with high-grade predictions showing significant enrichment in metabolic pathways (DPEP3/THRSP) and immune-related processes (lymphocyte-mediated immunity, MHC complex activity). These findings suggest that peritumoral imaging characteristics provide valuable biological insights into tumor aggressiveness. Conclusions: The machine learning models based on PAT radiomics features of CTU demonstrated significant value in the non-invasive preoperative prediction of ISUP grading for ccRCC, and the XGBoost modeling had the best predictive ability. This non-invasive approach may enhance preoperative risk stratification and guide clinical decision-making, reducing reliance on invasive biopsy procedures. Full article
(This article belongs to the Special Issue New Sights of Machine Learning and Digital Models in Biomedicine)
Show Figures

Figure 1

10 pages, 922 KB  
Article
Effects of Slit Lamp Examination on Tear Osmolarity in Normal Controls and Dry Eye Patients
by Myung-Sun Song, Jooye Park, Hae Jung Paik and Dong Hyun Kim
Bioengineering 2025, 12(10), 1124; https://doi.org/10.3390/bioengineering12101124 - 20 Oct 2025
Cited by 1 | Viewed by 1949
Abstract
Background/Objective: Tear hyperosmolarity is the main triggering factor in the immunopathogenesis of dry eye disease (DED). Tear osmolarity is known as the relevant metric to evaluate DED severity; however, measuring tear osmolarity after slit lamp examination (SLE) is known as a contraindication [...] Read more.
Background/Objective: Tear hyperosmolarity is the main triggering factor in the immunopathogenesis of dry eye disease (DED). Tear osmolarity is known as the relevant metric to evaluate DED severity; however, measuring tear osmolarity after slit lamp examination (SLE) is known as a contraindication due to variability. In this study, we investigated the effects of SLE and fluorescein staining (FS) on the variabilities of tear osmolarity. Methods: In this prospective observational study sixty-five patients were enrolled in the study, comprising 31 healthy controls and 34 DED patients. The tear osmolarity was measured in the right eye using the TearLab® system. The initial measurements were performed to establish baseline values before SLE, and additional measurements were performed after 20 s of SLE and followed by 20 s of SLE+FS. There were five-minute intervals between measurements. A correlation analysis was performed between OSDI score, tear film break-up time (TBUT), and tear osmolarity. A linear mixed-effects model was also applied to account for repeated measures and inter-subject variability. Results: The mean ages of the control and DED group were 31.3 ± 11.5 and 50.5 ± 15.5 years. Increased tear osmolarity was significantly associated with greater OSDI score and lower TBUT only in DED patients, but not in normal controls (OSDI:R = 0.378/p = 0.030, TBUT:R = −0.543/p = 0.011). The mean tear osmolarities in the normal controls were 298.3 ± 11.3, 299.1 ± 13.3, and 297.0 ± 12.6 mOsm/L at baseline (group 1), after SLE (group 2), and after SLE+FS (group 3), respectively, with no significant difference (p = 0.379). However, there was a significant difference in the tear osmolarities of the three groups in the DED patients (296.1 ± 11.5, 296.5 ± 11.0, and 291.2 ± 11.3 mOsm/L for groups 1–3, respectively/p < 0.001). The tear osmolarity of group 3 was significantly lower than those of groups 1 and 2 in the DED patients (p = 0.010/0.016). After FS, the mean tear osmolarity decreased by 4.9 ± 9.2 mOsm compared to the baseline in DED group. Conclusions: Tear osmolarity was only decreased in DED patients after SLE+FS, whereas it was unaffected in normal control subjects. Increased tear osmolarity in only DED patients correlated with increased symptom scores and decreased TBUT. These fluctuations in tear osmolarity reflect compromised tear film homeostasis in DED, highlighting the need to contextualize osmolarity data with clinical DED parameters. Full article
(This article belongs to the Section Biomedical Engineering and Biomaterials)
Show Figures

Graphical abstract

15 pages, 2326 KB  
Article
Bridging Photoacoustic and Protoacoustic Imaging: Material Heterogeneity Effects on Proton Range Verification Using Time-of-Flight Analysis
by Sangwoon Jeong, Wonjoong Cheon, Youngyih Han and Sungkoo Cho
Bioengineering 2025, 12(10), 1123; https://doi.org/10.3390/bioengineering12101123 - 20 Oct 2025
Viewed by 1074
Abstract
Photoacoustic and protoacoustic imaging share the common principle of acoustic wave generation through different excitation sources: optical absorption vs. proton Bragg-peak. These acoustic signals exhibit heterogeneity within the tissue, which strongly influence wave propagation and detection accuracy. In this study, we investigate how [...] Read more.
Photoacoustic and protoacoustic imaging share the common principle of acoustic wave generation through different excitation sources: optical absorption vs. proton Bragg-peak. These acoustic signals exhibit heterogeneity within the tissue, which strongly influence wave propagation and detection accuracy. In this study, we investigate how material variation affects time-of-flight (TOF)-based acoustic signal analysis in the context of protoacoustic proton range verification, providing insights relevant to broader photoacoustic imaging methodologies. A ±15 °C temperature difference in water caused only a 0.04 μs delay and thus had a minimal effect. In heterogeneous phantoms, lung-containing cases produced range errors up to 3.72 mm. In clinical scenarios, detectors aligned with air or low-density tissues showed large overestimations, up to 192.4 mm. Only 2 of 25 detector positions met the <2 mm error criterion. These results highlight that tissue composition and acoustic heterogeneity significantly influence protoacoustic wave propagation and range accuracy. Accurate range verification using protoacoustics must account for material variations along the wave path, particularly in lung regions, to ensure clinical applicability. Full article
Show Figures

Figure 1

20 pages, 5408 KB  
Review
Surgical Approaches to Retinal Gene Therapy: 2025 Update
by Milin J. Patel, Sohum Sheth, Jessica Mar, Ninel Z. Gregori and Jesse D. Sengillo
Bioengineering 2025, 12(10), 1122; https://doi.org/10.3390/bioengineering12101122 - 20 Oct 2025
Cited by 3 | Viewed by 4655
Abstract
Gene therapy offers a promising new frontier in the treatment of inherited and acquired retinal disease. This review describes the current surgical delivery approaches for gene therapy to the retina—subretinal, suprachoroidal, and intravitreal—and provides an update on the state of the art for [...] Read more.
Gene therapy offers a promising new frontier in the treatment of inherited and acquired retinal disease. This review describes the current surgical delivery approaches for gene therapy to the retina—subretinal, suprachoroidal, and intravitreal—and provides an update on the state of the art for each method in 2025. Full article
Show Figures

Figure 1

23 pages, 9580 KB  
Article
Precision Oncology for High-Grade Gliomas: A Tumor Organoid Model for Adjuvant Treatment Selection
by Arushi Tripathy, Sunjong Ji, Habib Serhan, Reka Chakravarthy Raghunathan, Safiulla Syed, Visweswaran Ravijumar, Sunita Shankar, Dah-Luen Huang, Yazen Alomary, Yacoub Haydin, Tiffany Adam, Kelsey Wink, Nathan Clarke, Carl Koschmann, Nathan Merrill, Toshiro Hara, Sofia D. Merajver and Wajd N. Al-Holou
Bioengineering 2025, 12(10), 1121; https://doi.org/10.3390/bioengineering12101121 - 19 Oct 2025
Cited by 3 | Viewed by 2253
Abstract
High-grade gliomas (HGGs) are aggressive brain tumors with limited treatment options and poor survival outcomes. Variants including isocitrate dehydrogenase (IDH)-wildtype, IDH-mutant, and histone 3 lysine to methionine substitution (H3K27M)-mutant subtypes demonstrate considerable tumor heterogeneity at the genetic, cellular, and microenvironmental levels. This presents [...] Read more.
High-grade gliomas (HGGs) are aggressive brain tumors with limited treatment options and poor survival outcomes. Variants including isocitrate dehydrogenase (IDH)-wildtype, IDH-mutant, and histone 3 lysine to methionine substitution (H3K27M)-mutant subtypes demonstrate considerable tumor heterogeneity at the genetic, cellular, and microenvironmental levels. This presents a major barrier to the development of reliable models that recapitulate tumor heterogeneity, allowing for the development of effective therapies. Glioma tumor organoids (GTOs) have emerged as a promising model, offering a balance between biological relevance and practical scalability for precision medicine. In this study, we present a refined methodology for generating three-dimensional, multiregional, patient-derived GTOs across a spectrum of glioma subtypes (including primary and recurrent tumors) while preserving the transcriptomic and phenotypic heterogeneity of their source tumors. We demonstrate the feasibility of a high-throughput drug-screening platform to nominate multi-drug regimens, finding marked variability in drug response, not only between patients and tumor types, but also across regions within the tumor. These findings underscore the critical impact of spatial heterogeneity on therapeutic sensitivity and suggest that multiregional sampling is critical for adequate glioma model development and drug discovery. Finally, regional differential drug responses suggest that multi-agent drug therapy may provide better comprehensive oncologic control and highlight the potential of multiregional GTOs as a clinically actionable tool for personalized treatment strategies in HGG. Full article
(This article belongs to the Special Issue Advancing Treatment for Brain Tumors)
Show Figures

Graphical abstract

24 pages, 4301 KB  
Article
Control Deficits and Compensatory Mechanisms in Individuals with Chronic Ankle Instability During Dual-Task Stair-to-Ground Transition
by Yilin Zhong, Xuanzhen Cen, Xiaopan Hu, Datao Xu, Lei Tu, Monèm Jemni, Gusztáv Fekete, Dong Sun and Yang Song
Bioengineering 2025, 12(10), 1120; https://doi.org/10.3390/bioengineering12101120 - 19 Oct 2025
Cited by 1 | Viewed by 2254
Abstract
(1) Background: Chronic ankle instability (CAI), a common outcome of ankle sprains, involves recurrent sprains, balance deficits, and gait impairments linked to both peripheral and central neuromuscular dysfunction. Dual-task (DT) demands further aggravate postural control, especially during stair descent, a major source of [...] Read more.
(1) Background: Chronic ankle instability (CAI), a common outcome of ankle sprains, involves recurrent sprains, balance deficits, and gait impairments linked to both peripheral and central neuromuscular dysfunction. Dual-task (DT) demands further aggravate postural control, especially during stair descent, a major source of fall-related injuries. Yet the biomechanical mechanisms of stair-to-ground transition in CAI under dual-task conditions remain poorly understood. (2) Methods: Sixty individuals with CAI and age- and sex-matched controls performed stair-to-ground transitions under single- and dual-task conditions. Spatiotemporal gait parameters, center of pressure (COP) metrics, ankle inversion angle, and relative joint work contributions (Ankle%, Knee%, Hip%) were obtained using 3D motion capture, a force plate, and musculoskeletal modeling. Correlation and regression analyses assessed the relationships between ankle contributions, postural stability, and proximal joint compensations. (3) Results: Compared with the controls, the CAI group demonstrated marked control deficits during the single task (ST), characterized by reduced gait speed, increased step width, elevated mediolateral COP root mean square (COP-ml RMS), and abnormal ankle inversion and joint kinematics; these impairments were exacerbated under DT conditions. Individuals with CAI exhibited a significantly reduced ankle plantarflexion moment and energy contribution (Ankle%), accompanied by compensatory increases in knee and hip contributions. Regression analyses indicated that Ankle% significantly predicted COP-ml RMS and gait speed (GS), highlighting the pivotal role of ankle function in maintaining dynamic stability. Furthermore, CAI participants adopted a “posture-first” strategy under DT, with concurrent deterioration in gait and cognitive performance, reflecting strong reliance on attentional resources. (4) Conclusions: CAI involves global control deficits, including distal insufficiency, proximal compensation, and an inefficient energy distribution, which intensify under dual-task conditions. As the ankle is central to lower-limb kinetics, its dysfunction induces widespread instability. Rehabilitation should therefore target coordinated lower-limb training and progressive dual-task integration to improve motor control and dynamic stability. Full article
Show Figures

Figure 1

16 pages, 6154 KB  
Article
Design and Performance Assessment of a High-Resolution Small-Animal PET System
by Wei Liu, Peng Xi, Jiguo Liu, Xilong Xu, Zhaoheng Xie, Yanye Lu, Xiangxi Meng and Qiushi Ren
Bioengineering 2025, 12(10), 1119; https://doi.org/10.3390/bioengineering12101119 - 19 Oct 2025
Cited by 1 | Viewed by 978
Abstract
This work reports the performance evaluation of a newly developed small-animal positron emission tomography (PET) system based on lutetium-yttrium oxyorthosilicate (LYSO) crystals and multi-pixel photon counter (MPPC). Performance was evaluated, including spatial resolution, system sensitivity, energy resolution, scatter fraction (SF), noise–equivalent count rate [...] Read more.
This work reports the performance evaluation of a newly developed small-animal positron emission tomography (PET) system based on lutetium-yttrium oxyorthosilicate (LYSO) crystals and multi-pixel photon counter (MPPC). Performance was evaluated, including spatial resolution, system sensitivity, energy resolution, scatter fraction (SF), noise–equivalent count rate (NECR), micro-Derenzo phantom imaging, and in vivo imaging of mice and rats. The system achieved a tangential spatial resolution of 0.9 mm in the axial direction at a quarter axial offset using the three-dimensional ordered-subsets expectation maximization (3D OSEM) reconstruction algorithm. The peak sensitivity was 8.74% within a 200–750 keV energy window, with an average energy resolution of 12.5%. Scatter fractions were 12.9% and 30.0% for mouse- and rat-like phantoms, respectively. The NECR reached 878.7 kcps at 57.6 MBq for the mouse phantom and 421.4 kcps at 63.2 MBq for the rat phantom. High-resolution phantom and in vivo images confirmed the system’s capability for quantitative, high-sensitivity small-animal imaging, demonstrating its potential for preclinical molecular imaging studies. Full article
(This article belongs to the Special Issue Application of Artificial Intelligence in Oncologic PET Imaging)
Show Figures

Figure 1

18 pages, 1670 KB  
Article
VNTR Polymorphisms in the SLC6A3 Gene and Their Impact on Time Perception and EEG Activity
by Francisco Victor Costa Marinho, Silmar Silva Teixeira, Giovanny Rebouças Pinto, Thomaz de Oliveira, France Keiko Nascimento Yoshioka, Hygor Fernandes, Aline Miranda, Bruna Brandão Velasques, Alair Pedro Ribeiro de Souza e Silva, Maurício Cagy and Victor Hugo do Vale Bastos
Bioengineering 2025, 12(10), 1118; https://doi.org/10.3390/bioengineering12101118 - 19 Oct 2025
Viewed by 1191
Abstract
Aim: The research examined the relationship between SLC6A3 3′-UTR and intron 8 VNTR polymorphisms and their influence on supra-second time estimation performance and EEG alpha band activity. Material and methods: A total of 178 male participants (aged 18 to 32 years) underwent [...] Read more.
Aim: The research examined the relationship between SLC6A3 3′-UTR and intron 8 VNTR polymorphisms and their influence on supra-second time estimation performance and EEG alpha band activity. Material and methods: A total of 178 male participants (aged 18 to 32 years) underwent genotyping for the SLC6A3 3′-UTR and intron 8 VNTR polymorphisms. An electroencephalographic assessment was conducted targeting the dorsolateral prefrontal cortex (DLPFC), simultaneously with the time estimation task. The 3′-UTR and intron 8 VNTRs polymorphisms were linked to absolute error and ratio in a time estimation task (target duration: 1 s, 4 s, 7 s, and 9 s) neurophysiological variable. Results: Regarding the absolute error and ratio, the combinatory effect of SLC6A3 3′-UTR and intron 8 VNTRs showed a difference in the interpretation of time only for 1 s (p = 0.0002). In the EEG alpha power, the analysis revealed a difference only for the left DLPFC (p = 0.0002). Conclusions: Electrophysiological and behavioral investigation in the time perception associated with the SLC6A3 gene suggests an alternative evaluation of neurobiological aspects inbuilt in timing. The 3′-UTR and intron 8 VNTR polymorphisms modulate dopaminergic neurotransmission during short-temporal scale judgment in the domain of supra seconds and indicate a role in its inputs to the left dorsolateral prefrontal cortex during the voluntary attention processes for visual stimulus. Our findings demonstrate that cognitive resources to capture and store time intervals can be measured based on the EEG power activity pattern. Full article
(This article belongs to the Section Biosignal Processing)
Show Figures

Figure 1

25 pages, 767 KB  
Review
Enhancing Anaerobic Digestion of Agricultural By-Products: Insights and Future Directions in Microaeration
by Ellie B. Froelich and Neslihan Akdeniz
Bioengineering 2025, 12(10), 1117; https://doi.org/10.3390/bioengineering12101117 - 18 Oct 2025
Viewed by 1698
Abstract
Anaerobic digestion of manures, crop residues, food waste, and sludge frequently yields biogas with elevated hydrogen sulfide concentrations, which accelerate corrosion and reduce biogas quality. Microaeration, defined as the controlled addition of oxygen at 1 to 5% of the biogas production rate, has [...] Read more.
Anaerobic digestion of manures, crop residues, food waste, and sludge frequently yields biogas with elevated hydrogen sulfide concentrations, which accelerate corrosion and reduce biogas quality. Microaeration, defined as the controlled addition of oxygen at 1 to 5% of the biogas production rate, has been investigated as a low-cost desulfurization strategy. This review synthesizes studies from 2015 to 2025 spanning laboratory, pilot, and full-scale anaerobic digester systems. Continuous sludge digesters supplied with ambient air at 0.28–14 m3 h−1 routinely achieved 90 to 99% H2S removal, while a full-scale dairy manure system reported a 68% reduction at 20 m3 air d−1. Pure oxygen dosing at 0.2–0.25 m3 O2 (standard conditions) per m3 reactor volume resulted in greater than 99% removal. Reported methane yield improvements ranged from 5 to 20%, depending on substrate characteristics, operating temperature, and aeration control. Excessive oxygen, however, reduced methane yields in some cases by inhibiting methanogens or diverting carbon to CO2. Documented benefits of microaeration include accelerated hydrolysis of lignocellulosic substrates, mitigation of sulfide inhibition, and stimulation of sulfur-oxidizing bacteria that convert sulfide to elemental sulfur or sulfate. Optimal redox conditions were generally maintained between −300 and −150 mV, though monitoring was limited by low-resolution oxygen sensors. Recent extensions of the Anaerobic Digestion Model No. 1 (ADM1), a mathematical framework developed by the International Water Association, incorporate oxygen transfer and sulfur pathways, enhancing its ability to predict gas quality and process stability under microaeration. Economic analyses estimate microaeration costs at 0.0015–0.0045 USD m−3 biogas, substantially lower than chemical scrubbing. Future research should focus on refining oxygen transfer models, quantifying microbial shifts under long-term operation, assessing effects on digestate quality and nitrogen emissions, and developing adaptive control strategies that enable reliable application across diverse substrates and reactor configurations. Full article
(This article belongs to the Section Biochemical Engineering)
Show Figures

Figure 1

15 pages, 2160 KB  
Article
Evaluation of Parkinson’s Disease Motor Symptoms via Wearable Inertial Measurements Units and Surface Electromyography Sensors
by Xiangliang Zhang, Wenhao Pan, Zhuoneng Wu, Xiangzhi Liu, Yiping Sun, Bingfei Fan, Miao Cai, Tong Li and Tao Liu
Bioengineering 2025, 12(10), 1116; https://doi.org/10.3390/bioengineering12101116 - 18 Oct 2025
Cited by 3 | Viewed by 1682
Abstract
Parkinson’s disease (PD) is one of the fastest-growing neurodegenerative disorders; its cardinal motor signs—tremor, bradykinesia, and rigidity—substantially impair quality of life. Conventional clinician-rated scales can be subjective and exhibit limited interrater reliability, underscoring the need for objective and reliable quantification. We present an [...] Read more.
Parkinson’s disease (PD) is one of the fastest-growing neurodegenerative disorders; its cardinal motor signs—tremor, bradykinesia, and rigidity—substantially impair quality of life. Conventional clinician-rated scales can be subjective and exhibit limited interrater reliability, underscoring the need for objective and reliable quantification. We present an integrated evaluation framework that leverages surface electromyography (sEMG) with multimodal sensing. For representation learning, we combine time–frequency descriptors with Mini-ROCKET features. Grading is performed by an sEMG-based Unified Parkinson’s Disease Rating Scale (UPDRS) model (LDA-SV) that produces per-segment probabilities for ordinal scores (0–3) and aggregates them via soft voting to assign item-level ratings. Participants completed a standardized protocol spanning gait, seated rest, and upper-limb tasks (forearm pronation–supination, finger-to-nose, fist clench, and thumb–index pinch). Using the aforementioned dataset, we report task-wise performance with 95% confidence intervals and compare the proposed model against CNN, LSTM, and InceptionTime using McNemar tests and log-odds ratios. The results indicate that the proposed model outperforms the three baseline models overall. These findings demonstrate the effectiveness and feasibility of the proposed approach, suggesting a viable pathway for the objective quantification of PD motor symptoms and facilitating broader clinical adoption of sEMG in diagnosis and treatment. Full article
(This article belongs to the Special Issue Advanced Wearable Sensors for Human Gait Analysis)
Show Figures

Figure 1

17 pages, 2060 KB  
Article
Continuous Optical Biosensing of IL-8 Cancer Biomarker Using a Multimodal Platform
by A. L. Hernandez, K. Mandal, B. Santamaria, S. Quintero, M. R. Dokmeci, V. Jucaud and M. Holgado
Bioengineering 2025, 12(10), 1115; https://doi.org/10.3390/bioengineering12101115 - 17 Oct 2025
Viewed by 1350
Abstract
In this work, we used a label-free biosensor that provides optical readouts to perform continuous detection of human interleukin 8 (IL-8), which is especially overexpressed in certain cancers and, thus, could be an effective biomarker for cancer prognosis estimation and therapy evaluation. For [...] Read more.
In this work, we used a label-free biosensor that provides optical readouts to perform continuous detection of human interleukin 8 (IL-8), which is especially overexpressed in certain cancers and, thus, could be an effective biomarker for cancer prognosis estimation and therapy evaluation. For this purpose, we engineered a compact, portable, and easy-to-assemble biosensing module device. It combines a fluidic chip for reagent flow, a biosensing chip for signal transduction, and an optical readout head based on fiber optics in a single module. The biosensing chip is based on independent arrays of resonant nanopillar transducer (RNP) networks. We integrated the biosensing chip with the RNPs facing down in a simple and rapidly fabricated polydimethyl siloxane (PDMS) microfluidic chip, with inlet and outlet channels for the sample flowing through the RNPs. The RNPs were vertically oriented from the backside through an optical fiber mounted on a holder head fabricated ad hoc on polytetrafluoroethylene (PTFE). The optical fiber was connected to a visible spectrometer for optical response analysis and consecutive biomolecule detection. We obtained a sensogram showing anti-IL-8 immobilization and the specific recognition of IL-8. This unique portable and easy-to-handle module can be used for biomolecule detection within minutes and is particularly suitable for in-line sensing of physiological and biomimetic organ-on-a-chip systems. Cancer biomarkers’ continuous monitoring arises as an efficient and non-invasive alternative to classical tools (imaging, immunohistology) for determining clinical prognostic factors and therapeutic responses to anticancer drugs. In addition, the multiplexed layout of the optical transducers and the simplicity of the monolithic sensing module yield potential high-throughput screening of a combination of different biomarkers, which, together with other medical exams (such as imaging and/or patient history), could become a cutting-edge technology for further and more accurate diagnosis and prediction of cancer and similar diseases. Full article
(This article belongs to the Section Biosignal Processing)
Show Figures

Figure 1

4 pages, 149 KB  
Editorial
Biomechanics and Motion Analysis: From Human Performance to Clinical Practice
by Chen He, Hong Fu and Christina Zong-Hao Ma
Bioengineering 2025, 12(10), 1114; https://doi.org/10.3390/bioengineering12101114 - 17 Oct 2025
Viewed by 2116
Abstract
Research in biomechanics and motion analysis quantifies motion, forces, and control strategies, bridging the gap between fundamental science and practical applications [...] Full article
(This article belongs to the Special Issue Biomechanics and Motion Analysis)
31 pages, 3812 KB  
Review
Generative Adversarial Networks in Dermatology: A Narrative Review of Current Applications, Challenges, and Future Perspectives
by Rosa Maria Izu-Belloso, Rafael Ibarrola-Altuna and Alex Rodriguez-Alonso
Bioengineering 2025, 12(10), 1113; https://doi.org/10.3390/bioengineering12101113 - 16 Oct 2025
Cited by 1 | Viewed by 1570
Abstract
Generative Adversarial Networks (GANs) have emerged as powerful tools in artificial intelligence (AI) with growing relevance in medical imaging. In dermatology, GANs are revolutionizing image analysis, enabling synthetic image generation, data augmentation, color standardization, and improved diagnostic model training. This narrative review explores [...] Read more.
Generative Adversarial Networks (GANs) have emerged as powerful tools in artificial intelligence (AI) with growing relevance in medical imaging. In dermatology, GANs are revolutionizing image analysis, enabling synthetic image generation, data augmentation, color standardization, and improved diagnostic model training. This narrative review explores the landscape of GAN applications in dermatology, systematically analyzing 27 key studies and identifying 11 main clinical use cases. These range from the synthesis of under-represented skin phenotypes to segmentation, denoising, and super-resolution imaging. The review also examines the commercial implementations of GAN-based solutions relevant to practicing dermatologists. We present a comparative summary of GAN architectures, including DCGAN, cGAN, StyleGAN, CycleGAN, and advanced hybrids. We analyze technical metrics used to evaluate performance—such as Fréchet Inception Distance (FID), SSIM, Inception Score, and Dice Coefficient—and discuss challenges like data imbalance, overfitting, and the lack of clinical validation. Additionally, we review ethical concerns and regulatory limitations. Our findings highlight the transformative potential of GANs in dermatology while emphasizing the need for standardized protocols and rigorous validation. While early results are promising, few models have yet reached real-world clinical integration. The democratization of AI tools and open-access datasets are pivotal to ensure equitable dermatologic care across diverse populations. This review serves as a comprehensive resource for dermatologists, researchers, and developers interested in applying GANs in dermatological practice and research. Future directions include multimodal integration, clinical trials, and explainable GANs to facilitate adoption in daily clinical workflows. Full article
(This article belongs to the Special Issue AI-Driven Imaging and Analysis for Biomedical Applications)
Show Figures

Figure 1

21 pages, 1703 KB  
Article
Spatiotemporal Feature Learning for Daily-Life Cough Detection Using FMCW Radar
by Saihu Lu, Yuhan Liu, Guangqiang He, Zhongrui Bai, Zhenfeng Li, Pang Wu, Xianxiang Chen, Lidong Du, Peng Wang and Zhen Fang
Bioengineering 2025, 12(10), 1112; https://doi.org/10.3390/bioengineering12101112 - 15 Oct 2025
Viewed by 1250
Abstract
Cough is a key symptom reflecting respiratory health, with its frequency and pattern providing valuable insights into disease progression and clinical management. Objective and reliable cough detection systems are therefore of broad significance for healthcare and remote monitoring. However, existing algorithms often struggle [...] Read more.
Cough is a key symptom reflecting respiratory health, with its frequency and pattern providing valuable insights into disease progression and clinical management. Objective and reliable cough detection systems are therefore of broad significance for healthcare and remote monitoring. However, existing algorithms often struggle to jointly model spatial and temporal information, limiting their robustness in real-world applications. To address this issue, we propose a cough recognition framework based on frequency-modulated continuous-wave (FMCW) radar, integrating a deep convolutional neural network (CNN) with a Self-Attention mechanism. The CNN extracts spatial features from range-Doppler maps, while Self-Attention captures temporal dependencies, and effective data augmentation strategies enhance generalization by simulating position variations and masking local dependencies. To rigorously evaluate practicality, we collected a large-scale radar dataset covering diverse positions, orientations, and activities. Experimental results demonstrate that, under subject-independent five-fold cross-validation, the proposed model achieved a mean F1-score of 0.974±0.016 and an accuracy of 99.05±0.55 %, further supported by high precision of 98.77±1.05 %, recall of 96.07±2.16 %, and specificity of 99.73±0.23 %. These results confirm that our method is not only robust in realistic scenarios but also provides a practical pathway toward continuous, non-invasive, and privacy-preserving respiratory health monitoring in both clinical and telehealth applications. Full article
Show Figures

Graphical abstract

20 pages, 987 KB  
Article
Optimization of the Parameters of a Minimal Coagulation Model
by Carolin Link, Gábor Janiga and Dominique Thévenin
Bioengineering 2025, 12(10), 1111; https://doi.org/10.3390/bioengineering12101111 - 15 Oct 2025
Viewed by 1040
Abstract
The formation of a blood clot within a vessel can result in its complete blockage. This phenomenon, known as thrombosis, can have severe consequences. In contrary, thrombosis can be sometimes desirable. Intra-aneurysmal thrombosis is the primary objective of an endovascular treatment aimed at [...] Read more.
The formation of a blood clot within a vessel can result in its complete blockage. This phenomenon, known as thrombosis, can have severe consequences. In contrary, thrombosis can be sometimes desirable. Intra-aneurysmal thrombosis is the primary objective of an endovascular treatment aimed at occluding the aneurysm sac. The proper modeling of the coagulation system is, therefore, important for the prediction, early recognition, and prevention of these tendencies. In silico investigations based on computational fluid dynamics (CFD) extended by thrombosis models provide a valuable tool for a detailed analysis. Minimal models are particularly useful for practical purposes to reduce computational efforts. This work proposes an approach to adapt the parameters of a minimal model to reproduce the behavior obtained with a comprehensive description of the coagulation cascade. The objective is to obtain the same thrombin generation curves while reducing strongly computational costs. For this purpose, machine learning—based here on an evolutionary algorithm—is used to optimize the obtained agreement. By adapting the reaction rate coefficients, a significant improvement can be achieved. The obtained results pave the way for future applications of the improved model in complex configurations such as for planning personalized interventions. Notably, the minimal model will be used for CFD in future studies to take advantage of its low computational cost. Full article
(This article belongs to the Section Biomedical Engineering and Biomaterials)
Show Figures

Graphical abstract

33 pages, 2007 KB  
Review
Review of Artificial Intelligence Techniques for Breast Cancer Detection with Different Modalities: Mammography, Ultrasound, and Thermography Images
by Aigerim Mashekova, Michael Yong Zhao, Vasilios Zarikas, Olzhas Mukhmetov, Nurduman Aidossov, Eddie Yin Kwee Ng, Dongming Wei and Madina Shapatova
Bioengineering 2025, 12(10), 1110; https://doi.org/10.3390/bioengineering12101110 - 15 Oct 2025
Cited by 6 | Viewed by 5184
Abstract
Breast cancer remains one of the most prevalent cancers worldwide, necessitating reliable, efficient, and precise diagnostic methods. Meanwhile, the rapid development of artificial intelligence (AI) presents significant opportunities for integration into various fields, including healthcare, by enabling the processing of medical data and [...] Read more.
Breast cancer remains one of the most prevalent cancers worldwide, necessitating reliable, efficient, and precise diagnostic methods. Meanwhile, the rapid development of artificial intelligence (AI) presents significant opportunities for integration into various fields, including healthcare, by enabling the processing of medical data and the early detection of cancer. This review examines the major medical imaging techniques used for breast cancer detection, specifically mammography, ultrasound, and thermography, and identifies widely used publicly available datasets in this domain. It also surveys traditional machine learning and deep learning approaches commonly applied to the analysis of mammographic, ultrasound, and thermographic images, discussing key studies in the field and evaluating the potential of different AI techniques for breast cancer detection. Furthermore, the review highlights the development and integration of explainable artificial intelligence (XAI) to enhance transparency and trust in medical imaging-based diagnoses. Finally, it considers potential future directions, including the application of large language models (LLMs) and multimodal LLMs in breast cancer diagnosis, emphasizing recent research aimed at advancing the precision, accessibility, and reliability of diagnostic systems. Full article
Show Figures

Graphical abstract

1 pages, 127 KB  
Correction
Correction: Bräuchle et al. Large-Scale Expansion of Suspension Cells in an Automated Hollow-Fiber Perfusion Bioreactor. Bioengineering 2025, 12, 644
by Eric Bräuchle, Maria Knaub, Laura Weigand, Elisabeth Ehrend, Patricia Manns, Antje Kremer, Hugo Fabre and Halvard Bonig
Bioengineering 2025, 12(10), 1109; https://doi.org/10.3390/bioengineering12101109 - 15 Oct 2025
Viewed by 582
Abstract
In the original publication [...] Full article
(This article belongs to the Section Biomedical Engineering and Biomaterials)
27 pages, 6922 KB  
Article
Real-World Wrist-Derived Digital Mobility Outcomes in People with Multiple Long-Term Conditions: A Comparison of Algorithms
by Dimitrios Megaritis, Lisa Alcock, Kirsty Scott, Hugo Hiden, Andrea Cereatti, Ioannis Vogiatzis and Silvia Del Din
Bioengineering 2025, 12(10), 1108; https://doi.org/10.3390/bioengineering12101108 - 15 Oct 2025
Cited by 1 | Viewed by 1617
Abstract
Digital Mobility outcomes can serve as objective biomarkers of health, but their validation in populations with multiple long-term conditions (MLTCs) based on wrist-worn devices remains unexplored. We refined, improved, and introduced novel algorithms, specifically tailored and adapted for (i) gait sequence detection, (ii) [...] Read more.
Digital Mobility outcomes can serve as objective biomarkers of health, but their validation in populations with multiple long-term conditions (MLTCs) based on wrist-worn devices remains unexplored. We refined, improved, and introduced novel algorithms, specifically tailored and adapted for (i) gait sequence detection, (ii) initial contact identification, and (iii) stride length estimation from a single wrist-worn device. Validation was performed using data from 28 participants with co-occurring MLTCs performing a 2.5 h real-world monitoring session. Reference data from an established multi-sensor system were used to assess algorithm performance across diverse gait patterns of co-occurring MLTCs. Twenty-eight participants (mean age 70.4 years, 43% females) had a median of three co-occurring MLTCs. Among six gait sequence detection methods, improved versions of the Kheirkhahan algorithm performed best (accuracy = 0.92, specificity = 0.96). For initial contact detection (nine methods tested), Shin’s algorithm achieved the highest performance index (0.85) followed by McCamley (0.84). Stride length estimation was most accurate using novel approaches based on the Weinberg method (performance index > 0.70). The proposed fine-tuned algorithms, the newly developed adaptive variants, and the foot-length augmented versions demonstrated robust performance, surpassing many existing methods and addressing the complexity of gait patterns in MLTCs. These findings enable scalable, real-time mobility monitoring in complex clinical populations using accessible wearable technology. Full article
(This article belongs to the Special Issue Advanced Wearable Sensors for Human Gait Analysis)
Show Figures

Figure 1

19 pages, 4569 KB  
Article
NeuroNet-AD: A Multimodal Deep Learning Framework for Multiclass Alzheimer’s Disease Diagnosis
by Saeka Rahman, Md Motiur Rahman, Smriti Bhatt, Raji Sundararajan and Miad Faezipour
Bioengineering 2025, 12(10), 1107; https://doi.org/10.3390/bioengineering12101107 - 15 Oct 2025
Cited by 4 | Viewed by 3764
Abstract
Alzheimer’s disease (AD) is the most prevalent form of dementia. This disease significantly impacts cognitive functions and daily activities. Early and accurate diagnosis of AD, including the preliminary stage of mild cognitive impairment (MCI), is critical for effective patient care and treatment development. [...] Read more.
Alzheimer’s disease (AD) is the most prevalent form of dementia. This disease significantly impacts cognitive functions and daily activities. Early and accurate diagnosis of AD, including the preliminary stage of mild cognitive impairment (MCI), is critical for effective patient care and treatment development. Although advancements in deep learning (DL) and machine learning (ML) models improve diagnostic precision, the lack of large datasets limits further enhancements, necessitating the use of complementary data. Existing convolutional neural networks (CNNs) effectively process visual features but struggle to fuse multimodal data effectively for AD diagnosis. To address these challenges, we propose NeuroNet-AD, a novel multimodal CNN framework designed to enhance AD classifcation accuracy. NeuroNet-AD integrates Magnetic Resonance Imaging (MRI) images with clinical text-based metadata, including psychological test scores, demographic information, and genetic biomarkers. In NeuroNet-AD, we incorporate Convolutional Block Attention Modules (CBAMs) within the ResNet-18 backbone, enabling the model to focus on the most informative spatial and channel-wise features. We introduce an attention computation and multimodal fusion module, named Meta Guided Cross Attention (MGCA), which facilitates effective cross-modal alignment between images and meta-features through a multi-head attention mechanism. Additionally, we employ an ensemble-based feature selection strategy to identify the most discriminative features from the textual data, improving model generalization and performance. We evaluate NeuroNet-AD on the Alzheimer’s Disease Neuroimaging Initiative (ADNI1) dataset using subject-level 5-fold cross-validation and a held-out test set to ensure robustness. NeuroNet-AD achieved 98.68% accuracy in multiclass classification of normal control (NC), MCI, and AD and 99.13% accuracy in the binary setting (NC vs. AD) on the ADNI dataset, outperforming state-of-the-art models. External validation on the OASIS-3 dataset further confirmed the model’s generalization ability, achieving 94.10% accuracy in the multiclass setting and 98.67% accuracy in the binary setting, despite variations in demographics and acquisition protocols. Further extensive evaluation studies demonstrate the effectiveness of each component of NeuroNet-AD in improving the performance. Full article
Show Figures

Graphical abstract

23 pages, 11108 KB  
Article
Generative Modeling for Interpretable Anomaly Detection in Medical Imaging: Applications in Failure Detection and Data Curation
by McKell E. Woodland, Mais Altaie, Caleb S. O’Connor, Austin H. Castelo, Olubunmi C. Lebimoyo, Aashish C. Gupta, Joshua P. Yung, Paul E. Kinahan, Clifton D. Fuller, Eugene J. Koay, Bruno C. Odisio, Ankit B. Patel and Kristy K. Brock
Bioengineering 2025, 12(10), 1106; https://doi.org/10.3390/bioengineering12101106 - 14 Oct 2025
Viewed by 2099
Abstract
This work aims to leverage generative modeling-based anomaly detection to enhance interpretability in AI failure detection systems and to aid data curation for large repositories. For failure detection interpretability, this retrospective study utilized 3339 CT scans (525 patients), divided patient-wise into training, baseline [...] Read more.
This work aims to leverage generative modeling-based anomaly detection to enhance interpretability in AI failure detection systems and to aid data curation for large repositories. For failure detection interpretability, this retrospective study utilized 3339 CT scans (525 patients), divided patient-wise into training, baseline test, and anomaly (having failure-causing attributes—e.g., needles, ascites) test datasets. For data curation, 112,120 ChestX-ray14 radiographs were used for training and 2036 radiographs from the Medical Imaging and Data Resource Center for testing, categorized as baseline or anomalous based on attribute alignment with ChestX-ray14. StyleGAN2 networks modeled the training distributions. Test images were reconstructed with backpropagation and scored using mean squared error (MSE) and Wasserstein distance (WD). Scores should be high for anomalous images, as StyleGAN2 cannot model unseen attributes. Area under the receiver operating characteristic curve (AUROC) evaluated anomaly detection, i.e., baseline and anomaly dataset differentiation. The proportion of highest-scoring patches containing needles or ascites assessed anomaly localization. Permutation tests determined statistical significance. StyleGAN2 did not reconstruct anomalous attributes (e.g., needles, ascites), enabling the unsupervised detection of these attributes: mean (±standard deviation) AUROCs were 0.86 (±0.13) for failure detection and 0.82 (±0.11) for data curation. 81% (±13%) of the needles and ascites were localized. WD outperformed MSE on CT (p < 0.001), while MSE outperformed WD on radiography (p < 0.001). Generative models detected anomalous image attributes, demonstrating promise for model failure detection interpretability and large-scale data curation. Full article
(This article belongs to the Section Biomedical Engineering and Biomaterials)
Show Figures

Figure 1

14 pages, 1605 KB  
Article
Hamstring Tendon Grafts for Anterior Cruciate Ligament Reconstruction: The Effect of a 180° Twist Angle on Tensile Properties
by Jure Serdar, Ana Pilipović, Giuseppe Filardo, Slavica Martinović, Anita Galić Mihić, Mihovil Plečko, Ozgur Basal and Tomislav Smoljanović
Bioengineering 2025, 12(10), 1105; https://doi.org/10.3390/bioengineering12101105 - 14 Oct 2025
Viewed by 1807
Abstract
Background: Evidence regarding the effects of twisting hamstring tendons on graft properties in anterior cruciate ligament (ACL) reconstruction remains controversial. The objective of this study was to evaluate the influence of a 180° twist on the tensile properties of human hamstring tendon grafts [...] Read more.
Background: Evidence regarding the effects of twisting hamstring tendons on graft properties in anterior cruciate ligament (ACL) reconstruction remains controversial. The objective of this study was to evaluate the influence of a 180° twist on the tensile properties of human hamstring tendon grafts (HTGs). Methods: Fourteen human cadavers were included, and hamstring tendons (semitendinosus [ST] and gracilis [GR]) were harvested bilaterally. Matched pairs of tendons were allocated to the ST and GR groups and further subdivided into control (ST-0, GR-0) and experimental (ST-180, GR-180) subgroups. Standard tripled single-tendon grafts were prepared in the control groups, while grafts in the experimental groups were twisted by 180°. All grafts were preconditioned and tested using a universal testing machine (Shimadzu AGS-X, Shimadzu Corporation, Japan) to determine tensile strength, stiffness, tensile modulus, and energy absorption capacity. Results: In the semitendinosus group, the maximum force was 648.72 (±287.71) N for ST-0 and 853.11 (±189.14) N for ST-180, with energy absorption capacities of 9.21 (±4.47) J and 13.48 (±4.95) J, respectively. Although the mean values of the investigated parameters were consistently higher in the ST-180 group, these differences did not reach statistical significance. In the gracilis group, no statistically significant differences were observed between the GR-0 and GR-180 subgroups for any parameter. Conclusions: Twisting hamstring tendons by 180° during graft preparation results in limited alterations of biomechanical properties, without statistically significant improvements. These findings call into question the clinical relevance of this technique in enhancing graft material properties for ACL reconstruction. Full article
(This article belongs to the Special Issue Engineering Biodegradable-Implant Materials, 2nd Edition)
Show Figures

Figure 1

26 pages, 2235 KB  
Article
AF-DETR: Transformer-Based Object Detection for Precise Atrial Fibrillation Beat Localization in ECG
by Peng Wang, Junxian Song, Pang Wu, Zhenfeng Li, Xianxiang Chen, Lidong Du and Zhen Fang
Bioengineering 2025, 12(10), 1104; https://doi.org/10.3390/bioengineering12101104 - 14 Oct 2025
Viewed by 1536
Abstract
Atrial fibrillation (AF) detection in electrocardiograms (ECG) remains challenging, particularly at the heartbeat level. Traditional deep learning methods typically classify ECG segments as a whole, limiting their ability to detect AF at the granularity of individual heartbeats. This paper presents AF-DETR, a novel [...] Read more.
Atrial fibrillation (AF) detection in electrocardiograms (ECG) remains challenging, particularly at the heartbeat level. Traditional deep learning methods typically classify ECG segments as a whole, limiting their ability to detect AF at the granularity of individual heartbeats. This paper presents AF-DETR, a novel transformer-based object detection model for precise AF heartbeat localization and classification. AF-DETR incorporates a CNN backbone and a transformer encoder–decoder architecture, where 2D bounding boxes are used to represent heartbeat positions. Through iterative refinement of these bounding boxes, the model improves both localization and classification accuracy. To further enhance performance, we introduce contrastive denoising training, which accelerates convergence and prevents redundant heartbeat predictions. We evaluate AF-DETR on five publicly available ECG datasets (CPSC2021, AFDB, LTAFDB, MITDB, NSRDB), achieving state-of-the-art performance with F1-scores of 96.77%, 96.20%, 90.55%, and 99.87% for heartbeat-level classification, and segment-level accuracies of 98.27%, 97.55%, 97.30%, and 99.99%, respectively. These results demonstrate the effectiveness of AF-DETR in accurately detecting AF heartbeats and its strong generalization capability across diverse ECG datasets. Full article
(This article belongs to the Section Biosignal Processing)
Show Figures

Figure 1

18 pages, 4982 KB  
Article
A Novel Multi-Modal Flexible Headband System for Sleep Monitoring
by Zaihao Wang, Yuhao Ding, Hongyu Chen, Chen Chen and Wei Chen
Bioengineering 2025, 12(10), 1103; https://doi.org/10.3390/bioengineering12101103 - 13 Oct 2025
Viewed by 2314
Abstract
Sleep monitoring is critical for diagnosing and treating sleep disorders. Although polysomnography (PSG) remains the clinical gold standard, its complexity, discomfort, and lack of portability limit its applicability for long-term and home-based monitoring. To overcome these challenges, this study introduces a novel flexible [...] Read more.
Sleep monitoring is critical for diagnosing and treating sleep disorders. Although polysomnography (PSG) remains the clinical gold standard, its complexity, discomfort, and lack of portability limit its applicability for long-term and home-based monitoring. To overcome these challenges, this study introduces a novel flexible headband system designed for multi-modal physiological signal acquisition, incorporating dry electrodes, a six-axis inertial measurement unit (IMU), and a temperature sensor. The device supports eight EEG channels and enables wireless data transmission via Bluetooth, ensuring user convenience and reliable long-term monitoring in home environments. To rigorously evaluate the system’s performance, we conducted comprehensive assessments involving 13 subjects over two consecutive nights, comparing its outputs with conventional PSG. Experimental results demonstrate the system’s low power consumption, ultra-low input noise, and robust signal fidelity, confirming its viability for overnight sleep tracking. Further validation was performed using the self-collected HBSleep dataset (over 184 h recordings of the 13 subjects), where state-of-the-art sleep staging models (DeepSleepNet, TinySleepNet, and AttnSleepNet) were applied. The system achieved an overall accuracy exceeding 75%, with AttnSleepNet emerging as the top-performing model, highlighting its compatibility with advanced machine learning frameworks. These results underscore the system’s potential as a reliable, comfortable, and practical solution for accurate sleep monitoring in non-clinical settings. Full article
(This article belongs to the Special Issue Soft and Flexible Sensors for Biomedical Applications)
Show Figures

Figure 1

Previous Issue
Next Issue
Back to TopTop