Investigation of the In Vitro and In Vivo Biocompatibility of a Three-Dimensional Printed Thermoplastic Polyurethane/Polylactic Acid Blend for the Development of Tracheal Scaffolds
Abstract
1. Introduction
2. Materials and Methods
2.1. Materials
2.2. 3D Printing of the TPU/PLA Scaffolds
2.3. In Vitro Study
2.3.1. In Vitro Degradation Study
2.3.2. pH Analysis of Degradation Extract
2.3.3. Preparation of 3D-Printed Scaffold Extracts
2.3.4. MTT Cell Proliferation Assay
2.3.5. Scratch Assay
2.3.6. Cell Attachment Assay
2.4. In Vivo Study
2.4.1. Source of Animals and Ethical Approval
2.4.2. Subcutaneous Implantation of 3D Printed Scaffolds
2.4.3. Histological Assessment of Explanted Skin Tissues and Other Organs
- (a)
- Post-mortem tissue handling
- (b)
- Tissue processing and embedding
2.4.4. Haematoxylin and Eosin (H&E) Staining
2.4.5. Scanning Electron Microscopy for Tissue Samples
2.5. Morphometric Analyses
2.6. Statistical Analysis
3. Results and Discussion
3.1. Morphology and Properties of the Scaffolds
3.2. Degradation and pH Analysis
3.3. Proliferation and Wound Healing Effects
3.4. Cell Attachment on the 3D Printed Scaffold
3.5. Macroscopic Evaluation, Cell Attachment, and Morphology under SEM
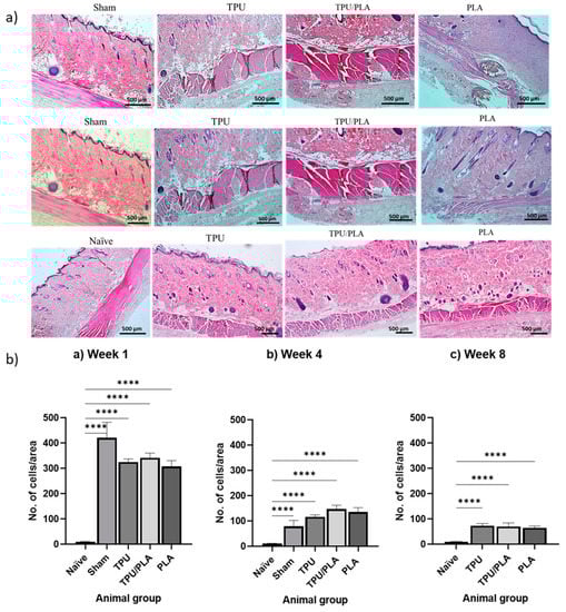
3.6. Inflammatory Response Following Implantation
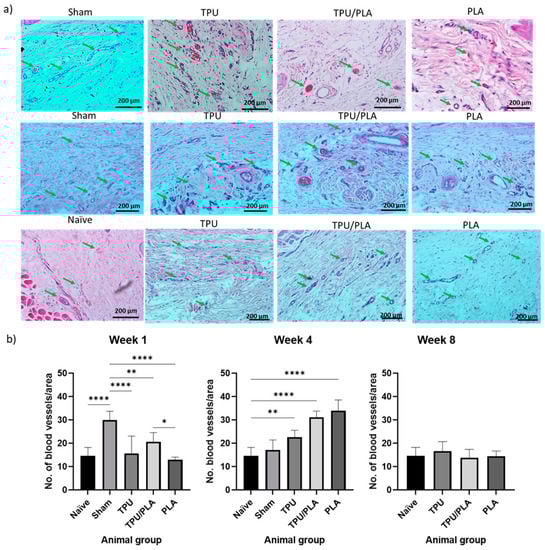
3.7. Vascularisation in the Scaffold Surroundings Post-Implantation
4. Conclusions
Author Contributions
Funding
Institutional Review Board Statement
Informed Consent Statement
Data Availability Statement
Acknowledgments
Conflicts of Interest
References
- Loos, E.; Meulemans, J.; Vranckx, J.; Poorten, V.V.; Delaere, P. Tracheal Autotransplantation for Functional Reconstruction of Extended Hemilaryngectomy Defects: A Single-Center Experience in 30 Patients. Ann. Surg. Oncol. 2016, 23, 1674–1683. Available online: https://link.springer.com/article/10.1245/s10434-015-5033-y (accessed on 16 April 2022). [CrossRef] [PubMed]
- Greaney, A.M.; Niklason, L.E. The History of Engineered Tracheal Replacements: Interpreting the Past and Guiding the Future. Tissue Eng.—Part B Rev. 2021, 27, 341–352. Available online: https://www.liebertpub.com/doi/abs/10.1089/ten.TEB.2020.0238 (accessed on 2 February 2022). [CrossRef] [PubMed]
- Law, J.X.; Liau, L.L.; Aminuddin, B.S.; Ruszymah, B.H.I. Tissue-engineered trachea: A review. Int. J. Pediatr. Otorhinolaryngol. 2016, 91, 55–63. Available online: https://pubmed.ncbi.nlm.nih.gov/27863642/ (accessed on 17 December 2019). [CrossRef]
- Han, F.; Wang, J.; Ding, L.; Hu, Y.; Li, W.; Yuan, Z.; Guo, Q.; Zhu, C.; Yu, L.; Wang, H.; et al. Tissue Engineering and Regenerative Medicine: Achievements, Future, and Sustainability in Asia. Front Bioeng. Biotechnol. 2020, 8, 83. [Google Scholar] [CrossRef] [PubMed]
- Gao, M.; Zhang, H.; Dong, W.; Bai, J.; Gao, B.; Xia, D.; Feng, B.; Chen, M.; He, X.; Yin, M.; et al. Tissue-engineered trachea from a 3D-printed scaffold enhances whole-segment tracheal repair. Sci. Rep. 2017, 7, 5246. [Google Scholar] [CrossRef]
- Arif, Z.U.; Khalid, M.Y.; Sheikh, M.F.; Zolfagharian, A.; Bodaghi, M. Biopolymeric sustainable materials and their emerging applications. J. Environ. Chem. Eng. 2022, 10, 108159. [Google Scholar] [CrossRef]
- Bogan, S.L.; Teoh, G.Z.; Birchall, M.A. Tissue Engineered Airways: A Prospects Article. J. Cell. Biochem. 2016, 117, 1497–1505. Available online: http://doi.wiley.com/10.1002/jcb.25512 (accessed on 15 January 2020). [CrossRef] [PubMed]
- Park, J.H.; Yoon, J.K.; Lee, J.B.; Shin, Y.M.; Lee, K.W.; Bae, S.W.; Lee, J.; Yu, J.; Jung, C.-R.; Youn, Y.-N.; et al. Experimental Tracheal Replacement Using 3-dimensional Bioprinted Artificial Trachea with Autologous Epithelial Cells and Chondrocytes. Sci. Rep. 2019, 9, 2103. [Google Scholar] [CrossRef]
- Datta, J.; Kasprzyk, P. Thermoplastic polyurethanes derived from petrochemical or renewable resources: A comprehensive review. Polym. Eng. Sci. 2018, 58, E14–E35. Available online: https://onlinelibrary.wiley.com/doi/full/10.1002/pen.24633 (accessed on 19 July 2022). [CrossRef]
- Xie, F.; Zhang, T.; Bryant, P.; Kurusingal, V.; Colwell, J.M.; Laycock, B. Degradation and stabilization of polyurethane elastomers. Prog. Polym. Sci. 2019, 90, 211–268. [Google Scholar] [CrossRef]
- Williamson, M.R.; Black, R.; Kielty, C. PCL-PU composite vascular scaffold production for vascular tissue engineering: Attachment, proliferation and bioactivity of human vascular endothelial cells. Biomaterials 2006, 27, 3608–3616. Available online: http://www.ncbi.nlm.nih.gov/pubmed/16530824 (accessed on 12 April 2020). [CrossRef] [PubMed]
- Bergmeister, H.; Seyidova, N.; Schreiber, C.; Strobl, M.; Grasl, C.; Walter, I.; Messner, B.; Baudis, S.; Fröhlich, S.; Marchetti-Deschmann, M.; et al. Biodegradable, thermoplastic polyurethane grafts for small diameter vascular replacements. Acta Biomater. 2015, 11, 104–113. [Google Scholar] [CrossRef] [PubMed]
- Yu, E.; Zhang, J.; Thomson, J.A.; Turng, L.S. Fabrication and characterization of electrospun thermoplastic polyurethane/fibroin small-diameter vascular grafts for vascular tissue engineering. Int. Polym. Process. 2016, 31, 638–646. [Google Scholar] [CrossRef] [PubMed]
- Du, Y.J.; Brash, J.L.; McClung, G.; Berry, L.R.; Klement, P.; Chan, A.K.C. Protein adsorption on polyurethane catheters modified with a novel antithrombin-heparin covalent complex. J. Biomed. Mater. Res.—Part A 2007, 80, 216–225. Available online: http://www.ncbi.nlm.nih.gov/pubmed/17072855 (accessed on 12 April 2020). [CrossRef] [PubMed]
- Kim, L.; Hermel-Davidock, T.; Weimer, M.W.; Burkolz, J.K. Catheter Tubing with Tailored Modulus Response. U.S. Patent 10596302B2, 24 March 2020. [Google Scholar]
- Shie, M.Y.; Chang, W.C.; Wei, L.J.; Huang, Y.H.; Chen, C.H.; Shih, C.T.; Chen, Y.-W.; Shen, Y.-F. 3D printing of cytocompatible water-based light-cured polyurethane with hyaluronic acid for cartilage tissue engineering applications. Materials 2017, 10, 136. Available online: https://www.ncbi.nlm.nih.gov/pmc/articles/PMC5459153/ (accessed on 18 June 2021). [CrossRef]
- Ge, Z.; Li, C.; Heng, B.C.; Cao, G.; Yang, Z. Functional biomaterials for cartilage regeneration. J. Biomed. Mater. Res. Part A 2012, 100, 2526–2536. [Google Scholar] [CrossRef]
- Ebrahimi, F.; Ramezani Dana, H. Poly lactic acid (PLA) polymers: From properties to biomedical applications. Int. J. Polym. Mater. Polym. Biomater. 2022, 71, 1117–1130. Available online: https://www.tandfonline.com/doi/abs/10.1080/00914037.2021.1944140 (accessed on 18 January 2023). [CrossRef]
- Hwang, S.W.; Shim, J.K.; Selke, S.; Soto-Valdez, H.; Rubino, M.; Auras, R. Effect of maleic-anhydride grafting on the physical and mechanical properties of poly(L-lactic acid)/starch blends. Macromol. Mater. Eng. 2013, 298, 624–633. Available online: http://doi.wiley.com/10.1002/mame.201200111 (accessed on 29 October 2019). [CrossRef]
- Casalini, T.; Rossi, F.; Castrovinci, A.; Perale, G. A Perspective on Polylactic Acid-Based Polymers Use for Nanoparticles Synthesis and Applications. Front. Bioeng. Biotechnol. 2019, 7, 259. [Google Scholar] [CrossRef]
- Sandanamsamy, L.; Harun, W.S.W.; Ishak, I.; Romlay, F.R.M.; Kadirgama, K.; Ramasamy, D.; Idris, S.R.A.; Tsumori, F. A comprehensive review on fused deposition modelling of polylactic acid. Prog. Addit. Manuf. 2022, 1–25. Available online: https://link.springer.com/article/10.1007/s40964-022-00356-w (accessed on 18 January 2023).
- Singhvi, M.S.; Zinjarde, S.S.; Gokhale, D.V. Polylactic acid: Synthesis and biomedical applications. J. Appl. Microbiol. 2019, 127, 1612–1626. Available online: https://pubmed.ncbi.nlm.nih.gov/31021482/ (accessed on 22 March 2022). [CrossRef]
- Saini, P.; Arora, M.; Kumar, M.N.V.R. Poly(lactic acid) blends in biomedical applications. Adv. Drug. Deliv. Rev. 2016, 107, 47–59. [Google Scholar] [CrossRef] [PubMed]
- Liu, S.; Yu, J.; Li, H.; Wang, K.; Wu, G.; Wang, B.; Liu, M.; Zhang, Y.; Wang, P.; Zhang, J.; et al. Controllable drug release behavior of polylactic acid (PLA) surgical suture coating with ciprofloxacin (CPFX)-polycaprolactone (PCL)/ polyglycolide (PGA). Polymers 2020, 12, 288. Available online: https://www.ncbi.nlm.nih.gov/pmc/articles/PMC7077375/ (accessed on 4 August 2021). [CrossRef] [PubMed]
- Tappa, K.; Jammalamadaka, U.; Weisman, J.A.; Ballard, D.H.; Wolford, D.D.; Pascual-Garrido, C.; Wolford, L.M.; Woodard, P.K.; Mills, D.K. 3D printing custom bioactive and absorbable surgical screws, pins, and bone plates for localized drug delivery. J. Funct. Biomater. 2019, 10, 17. Available online: https://pubmed.ncbi.nlm.nih.gov/30939719/ (accessed on 4 August 2021). [CrossRef] [PubMed]
- Sikhosana, S.T.; Gumede, T.P.; Malebo, N.J.; Ogundeji, A.O. Poly(Lactic acid) and its composites as functional materials for 3-d scaffolds in biomedical applications: A mini-review of recent trends. Express Polym. Lett. 2021, 15, 568–580. Available online: https://www.proquest.com/openview/0fc46af3c7fac79a28abc10e97fe5c7e/1?pq-origsite=gscholar&cbl=2044900 (accessed on 18 June 2021). [CrossRef]
- Mi, H.-Y.; Salick, M.R.; Jing, X.; Jacques, B.; Crone, W.; Peng, X.-F.; Turng, L.-S. Characterization of thermoplastic polyurethane/polylactic acid (TPU/PLA) tissue engineering scaffolds fabricated by microcellular injection molding. Mater. Sci. Eng. R Rep. 2013, 33, 4767–4776. [Google Scholar] [CrossRef]
- Jing, X.; Mi, H.Y.; Salick, M.R.; Cordie, T.; Crone, W.C.; Peng, X.F.; Turng, L.S. Morphology, mechanical properties, and shape memory effects of poly(lactic acid)/ thermoplastic polyurethane blend scaffolds prepared by thermally induced phase separation. J. Cell. Plast. 2014, 50, 361–379. Available online: http://journals.sagepub.com/doi/10.1177/0021955X14525959 (accessed on 15 January 2020). [CrossRef]
- Rahmatabadi, D.; Ghasemi, I.; Baniassadi, M.; Abrinia, K.; Baghani, M. 3D printing of PLA-TPU with different component ratios: Fracture toughness, mechanical properties, and morphology. J. Mater. Res. Technol. 2022, 21, 3970–3981. [Google Scholar] [CrossRef]
- Yu, X.; Qian, G.; Chen, S.; Xu, D.; Zhao, X.; Du, C. A tracheal scaffold of gelatin-chondroitin sulfate-hyaluronan-polyvinyl alcohol with orientated porous structure. Carbohydr. Polym. 2017, 159, 20–28. [Google Scholar] [CrossRef]
- Wang, X.; Jiang, M.; Zhou, Z.; Gou, J.; Hui, D. 3D printing of polymer matrix composites: A review and prospective. Compos. Part B Eng. 2017, 110, 442–458. [Google Scholar] [CrossRef]
- Zeltmann, S.E.; Gupta, N.; Tsoutsos, N.G.; Maniatakos, M.; Rajendran, J.; Karri, R. Manufacturing and Security Challenges in 3D Printing. JOM 2016, 68, 1872–1881. Available online: https://link.springer.com/article/10.1007/s11837-016-1937-7 (accessed on 19 January 2022). [CrossRef]
- Mankovich, N.J.; Samson, D.; Pratt, W.; Lew, D.; Beumer, J. Surgical planning using three-dimensional imaging and computer modeling. Otolaryngol. Clin. N. Am. 1994, 27, 875–889. [Google Scholar] [CrossRef] [PubMed]
- Wang, M.O.; Vorwald, C.E.; Dreher, M.L.; Mott, E.J.; Cheng, M.H.; Cinar, A.; Mehdizadeh, H.; Somo, S.; Dean, D.; Brey, E.M.; et al. Evaluating 3D-printed biomaterials as scaffolds for vascularized bone tissue engineering. Adv. Mater. 2014, 27, 138–144. Available online: https://onlinelibrary.wiley.com/doi/full/10.1002/adma.201403943 (accessed on 19 January 2022). [CrossRef] [PubMed]
- Sa, M.W.; Nguyen, B.N.B.; Moriarty, R.A.; Kamalitdinov, T.; Fisher, J.P.; Kim, J.Y. Fabrication and evaluation of 3D printed BCP scaffolds reinforced with ZrO2 for bone tissue applications. Biotechnol. Bioeng. 2018, 115, 989–999. Available online: https://pubmed.ncbi.nlm.nih.gov/29240243/ (accessed on 19 January 2022). [CrossRef] [PubMed]
- Morrison, R.J.; Hollister, S.J.; Niedner, M.F.; Mahani, M.G.; Park, A.H.; Mehta, D.K.; Ohye, R.G.; Green, G.E. Mitigation of tracheobronchomalacia with 3D-printed personalized medical devices in pediatric patients. Sci. Transl. Med. 2015, 7, 285ra64. Available online: https://www.ncbi.nlm.nih.gov/pmc/articles/PMC4495899/ (accessed on 19 January 2022). [CrossRef] [PubMed]
- Szojka, A.; Lalh, K.; Andrews, S.H.J.; Jomha, N.M.; Osswald, M.; Adesida, A.B. Biomimetic 3D printed scaffolds for meniscus tissue engineering. Bioprinting 2017, 8, 1–7. [Google Scholar] [CrossRef]
- Li, Z.; Jia, S.; Xiong, Z.; Long, Q.; Yan, S.; Hao, F.; Liu, J.; Yuan, Z. 3D-printed scaffolds with calcified layer for osteochondral tissue engineering. J. Biosci. Bioeng. 2018, 126, 389–396. [Google Scholar] [CrossRef]
- Tareq, M.S.; Rahman, T.; Hossain, M.; Dorrington, P. Additive manufacturing and the COVID-19 challenges: An in-depth study. J. Manuf. Syst. 2021, 60, 787–798. [Google Scholar] [CrossRef]
- Nacharaju, D.; Menzel, W.; Fontaine, E.; Child, D.; El Haddi, S.J.; Nonas, S.; Chi, A.M. Three-Dimensional Printed Ventilators: A Rapid Solution to Coronavirus Disease 2019–Induced Supply-Chain Shortages. Crit. Care Explor. 2020, 2, e0226. Available online: https://www.ncbi.nlm.nih.gov/pmc/articles/PMC7535551/ (accessed on 18 January 2023). [CrossRef]
- Lee Ventola, C. Medical applications for 3D printing: Current and projected uses. Pharm. Ther. 2014, 39, 704–711. Available online: https://www.ncbi.nlm.nih.gov/pmc/articles/PMC4189697/ (accessed on 18 January 2023).
- Williams, D.F. On the mechanisms of biocompatibility. Biomaterials 2008, 29, 2941–2953. Available online: https://pubmed.ncbi.nlm.nih.gov/18440630/ (accessed on 21 May 2022). [CrossRef]
- An, Y.H.; Woolf, S.K.; Friedman, R.J. Pre-clinical in vivo evaluation of orthopaedic bioabsorbable devices. Biomaterials 2000, 21, 2635–2652. Available online: https://pubmed.ncbi.nlm.nih.gov/11071614/ (accessed on 15 January 2022). [CrossRef] [PubMed]
- Modulevsky, D.J.; Cuerrier, C.M.; Pelling, A.E. Biocompatibility of Subcutaneously Implanted Plant-Derived Cellulose Biomaterials. PLoS ONE 2016, 11, e0157894. [Google Scholar] [CrossRef] [PubMed]
- Khorramirouz, R.; Go, J.L.; Noble, C.; Jana, S.; Maxson, E.; Lerman, A.; Young, M.D. A novel surgical technique for a rat subcutaneous implantation of a tissue engineered scaffold. Acta Histochem. 2018, 120, 282–291. Available online: https://www.ncbi.nlm.nih.gov/pmc/articles/PMC5914524/ (accessed on 15 November 2021). [CrossRef]
- Goonoo, N.; Bhaw-Luximon, A.; Bowlin, G.L.; Jhurry, D. An assessment of biopolymer- and synthetic polymer-based scaffolds for bone and vascular tissue engineering. Polym. Int. 2013, 62, 523–533. Available online: https://onlinelibrary.wiley.com/doi/full/10.1002/pi.4474 (accessed on 21 May 2022). [CrossRef]
- Jaiswal, A.K.; Dhumal, R.V.; Bellare, J.R.; Vanage, G.R. In vivo biocompatibility evaluation of electrospun composite scaffolds by subcutaneous implantation in rat. Drug. Deliv. Transl. Res. 2013, 3, 504–517. Available online: https://pubmed.ncbi.nlm.nih.gov/25786371/ (accessed on 15 January 2022). [CrossRef]
- Aoki, F.G.; Varma, R.; Marin-Araujo, A.E.; Lee, H.; Soleas, J.P.; Li, A.H.; Soon, K.; Romero, D.; Moriya, H.T.; Haykal, S.; et al. De-epithelialization of porcine tracheal allografts as an approach for tracheal tissue engineering. Sci. Rep. 2019, 9, 1–12. Available online: https://www.nature.com/articles/s41598-019-48450-4 (accessed on 29 November 2019). [CrossRef]
- Zhong, N.; Dong, T.; Chen, Z.; Guo, Y.; Shao, Z.; Zhao, X. A novel 3D-printed silk fibroin-based scaffold facilitates tracheal epithelium proliferation in vitro. J. Biomater. Appl. 2019, 34, 3–11. Available online: https://journals.sagepub.com/doi/full/10.1177/0885328219845092 (accessed on 1 May 2022). [CrossRef]
- Lee, H.; Marin-Araujo, A.E.; Aoki, F.G.; Haykal, S.; Waddell, T.K.; Amon, C.H.; Romero, D.A.; Karoubi, G. Computational fluid dynamics for enhanced tracheal bioreactor design and long-segment graft recellularization. Sci. Rep. 2021, 11, 1187. Available online: /pmc/articles/PMC7807076/ (accessed on 1 May 2022). [CrossRef]
- Abdul Samat, A.; Abdul Hamid, Z.A.; Jaafar, M.; Yahaya, B.H. Mechanical Properties and In Vitro Evaluation of Thermoplastic Polyurethane and Polylactic Acid Blend for Fabrication of 3D Filaments for Tracheal Tissue Engineering. Polymers 2021, 13, 3087. Available online: https://www.mdpi.com/2073-4360/13/18/3087/htm (accessed on 20 September 2021). [CrossRef]
- ISO 10993-12; Biological Evaluation of Medical Devices–Part 12: Sample Preparation and Reference Materials–Volume 3. International Organization for Standardization: Geneva, Switzerland, 2004. Available online: https://www.iso.org/obp/ui#iso:std:iso:10993:-12:ed-5:v1:en (accessed on 20 January 2022).
- Mohd Shafiee, M.A.; Muhamad Asri, M.A.; Syed Alwi, S.S. Review on the in vitro cytotoxicity assessment in accordance to the international organization for standardization (ISO). Malays. J. Med. Heal. Sci. 2021, 17, 261–269. [Google Scholar]
- Zadeh, K.M.; Luyt, A.S.; Zarif, L.; Augustine, R.; Hasan, A.; Messori, M.; Hassan, M.K.; Yalcin, H.C. Electrospun polylactic acid/date palm polyphenol extract nanofibres for tissue engineering applications. Emergent. Mater. 2019, 2, 141–151. Available online: https://link.springer.com/article/10.1007/s42247-019-00042-8 (accessed on 10 November 2021). [CrossRef]
- Bobadilla, A.V.P.; Arévalo, J.; Sarró, E.; Byrne, H.M.; Maini, P.K.; Carraro, T.; Balocco, S.; Meseguer, A.; Alarcón, T. In vitro cell migration quantification method for scratch assays. J. R. Soc. Interface 2019, 16, 20180709. Available online: https://royalsocietypublishing.org/doi/abs/10.1098/rsif.2018.0709 (accessed on 23 January 2022). [CrossRef] [PubMed]
- Kurzyk, A.; Ostrowska, B.; Świȩszkowski, W.; Pojda, Z. Characterization and Optimization of the Seeding Process of Adipose Stem Cells on the Polycaprolactone Scaffolds. Stem Cells Int. 2019, 2019, 1201927. [Google Scholar] [CrossRef]
- Rahmatabadi, D.; Soltanmohammadi, K.; Aberoumand, M.; Soleyman, E.; Ghasemi, I.; Baniassadi, M.; Abrinia, K.; Bodaghi, M.; Baghani, M. Development of Pure Poly Vinyl Chloride (PVC) with Excellent 3D Printability and Macro- and Micro-Structural Properties. Macromol. Mater. Eng. 2022, 2200568. Available online: https://onlinelibrary.wiley.com/doi/full/10.1002/mame.202200568 (accessed on 17 January 2023). [CrossRef]
- Tran, T.N.; Bayer, I.S.; Heredia-Guerrero, J.A.; Frugone, M.; Lagomarsino, M.; Maggio, F.; Athanassiou, A. Cocoa Shell Waste Biofilaments for 3D Printing Applications. Macromol. Mater. Eng. 2017, 302, 1700219. Available online: https://onlinelibrary.wiley.com/doi/full/10.1002/mame.201700219 (accessed on 22 January 2022). [CrossRef]
- Zhao, D.; Cai, X.; Shou, G.; Gu, Y.; Wang, P. Study on the preparation of bamboo plastic composite intend for additive manufacturing. Key Eng. Mater. 2016, 667, 250–258. Available online: https://www.scientific.net/KEM.667.250 (accessed on 22 January 2022). [CrossRef]
- Heidari-Rarani, M.; Ezati, N.; Sadeghi, P.; Badrossamay, M.R. Optimization of FDM process parameters for tensile properties of polylactic acid specimens using Taguchi design of experiment method. J. Thermoplast. Compos. Mater. 2020, 35, 2435–2452. Available online: https://journals.sagepub.com/doi/abs/10.1177/0892705720964560 (accessed on 18 May 2022). [CrossRef]
- Auffray, L.; Gouge, P.A.; Hattali, L. Design of experiment analysis on tensile properties of PLA samples produced by fused filament fabrication. Int. J. Adv. Manuf. Technol. 2022, 118, 4123–4137. Available online: https://link.springer.com/article/10.1007/s00170-021-08216-7 (accessed on 18 May 2022). [CrossRef]
- Sobral, J.M.; Caridade, S.G.; Sousa, R.A.; Mano, J.F.; Reis, R.L. Three-dimensional plotted scaffolds with controlled pore size gradients: Effect of scaffold geometry on mechanical performance and cell seeding efficiency. Acta Biomater. 2011, 7, 1009–1018. Available online: https://pubmed.ncbi.nlm.nih.gov/21056125/ (accessed on 13 January 2022). [CrossRef]
- Bružauskaitė, I.; Bironaitė, D.; Bagdonas, E.; Bernotienė, E. Scaffolds and cells for tissue regeneration: Different scaffold pore sizes—Different cell effects. Cytotechnology 2016, 68, 355–369. Available online: https://pubmed.ncbi.nlm.nih.gov/26091616/ (accessed on 21 January 2022). [CrossRef]
- Ciolacu, D.E.; Nicu, R.; Ciolacu, F. Natural Polymers in Heart Valve Tissue Engineering: Strategies, Advances and Challenges. Biomedicines 2022, 10, 1095. Available online: https://www.mdpi.com/2227-9059/10/5/1095/htm (accessed on 18 January 2023). [CrossRef] [PubMed]
- Loh, Q.L.; Choong, C. Three-dimensional scaffolds for tissue engineering applications: Role of porosity and pore size. Tissue Eng. Part B Rev. 2013, 19, 485–502. Available online: https://pubmed.ncbi.nlm.nih.gov/23672709/ (accessed on 4 March 2020). [CrossRef] [PubMed]
- Kojima, K.; Vacanti, C.A. Tissue engineering in the trachea. Anat. Rec. 2014, 297, 44–50. [Google Scholar] [CrossRef] [PubMed]
- Tian, H.; Tang, Z.; Zhuang, X.; Chen, X.; Jing, X. Biodegradable synthetic polymers: Preparation, functionalization and biomedical application. In Progress in Polymer Science (Oxford); Elsevier Ltd.: Amsterdam, The Netherlands, 2012; Volume 37, pp. 237–280. [Google Scholar]
- Li, C.; Guo, C.; Fitzpatrick, V.; Ibrahim, A.; Zwierstra, M.J.; Hanna, P.; Lechtig, A.; Nazarian, A.; Lin, S.J.; Kaplan, D.L. Design of biodegradable, implantable devices towards clinical translation. Nat. Rev. Mater. 2020, 5, 61–81. Available online: https://www.nature.com/articles/s41578-019-0150-z (accessed on 19 May 2022). [CrossRef]
- Gao, B.; Jing, H.; Gao, M.; Wang, S.; Fu, W.; Zhang, X.; He, X.; Zheng, J. Long-segmental tracheal reconstruction in rabbits with pedicled Tissue-engineered trachea based on a 3D-printed scaffold. Acta Biomater. 2019, 97, 177–186. [Google Scholar] [CrossRef]
- Brzeska, J.; Heimowska, A.; Sikorska, W.; Jasińska-Walc, L.; Kowalczuk, M.; Rutkowska, M. Chemical and Enzymatic Hydrolysis of Polyurethane/Polylactide Blends. Int. J. Polym. Sci. 2015, 2015, 795985. [Google Scholar] [CrossRef]
- Araque-Monrós, M.C.; Vidaurre, A.; Gil-Santos, L.; Gironés Bernabé, S.; Monleón-Pradas, M.; Más-Estellés, J. Study of the degradation of a new PLA braided biomaterial in buffer phosphate saline, basic and acid media, intended for the regeneration of tendons and ligaments. Polym. Degrad. Stab. 2013, 98, 1563–1570. [Google Scholar] [CrossRef]
- Chaffin, K.A.; Chen, X.; McNamara, L.; Bates, F.S.; Hillmyer, M.A. Polyether urethane hydrolytic stability after exposure to deoxygenated water. Macromolecules 2014, 47, 5220–5226. Available online: https://pubs.acs.org/doi/full/10.1021/ma500904d (accessed on 3 January 2022). [CrossRef]
- Magnin, A.; Pollet, E.; Phalip, V.; Avérous, L. Evaluation of biological degradation of polyurethanes. Biotechnol. Adv. 2020, 39, 107457. [Google Scholar] [CrossRef]
- Grémare, A.; Guduric, V.; Bareille, R.; Heroguez, V.; Latour, S.; L’Heureux, N.; Fricain, J.-C.; Catros, S.; Le Nihouannen, D. Characterization of printed PLA scaffolds for bone tissue engineering. J. Biomed. Mater. Res. Part A 2018, 106, 887–894. Available online: https://onlinelibrary.wiley.com/doi/full/10.1002/jbm.a.36289 (accessed on 22 May 2022). [CrossRef]
- Sumayya, A.S.; Muraleedhara Kurup, G. Biocompatibility of subcutaneously implanted marine macromolecules cross-linked bio-composite scaffold for cartilage tissue engineering applications. J. Biomater. Sci. Polym. Ed. 2018, 29, 257–276. Available online: https://pubmed.ncbi.nlm.nih.gov/29205092/ (accessed on 16 January 2022). [CrossRef] [PubMed]
- Fredriksson, C.; Hedhammar, M.; Feinstein, R.; Nordling, K.; Kratz, G.; Johansson, J.; Huss, F.; Rising, A. Tissue Response to Subcutaneously Implanted Recombinant Spider Silk: An in Vivo Study. Materials 2009, 2, 1908. Available online: https://www.ncbi.nlm.nih.gov/pmc/articles/PMC5513568/ (accessed on 16 January 2022). [CrossRef]
- Kamarul, T.; Krishnamurithy, G.; Salih, N.D.; Ibrahim, N.S.; Raghavendran, H.R.B.; Suhaeb, A.R.; Choon, D.S.K. Biocompatibility and Toxicity of Poly(vinyl alcohol)/N,O-Carboxymethyl Chitosan Scaffold. Sci. World J. 2014, 905103. Available online: https://pubmed.ncbi.nlm.nih.gov/25298970/ (accessed on 16 January 2022). [CrossRef] [PubMed]
- Martins, A.M.; Kretlow, J.D.; Costa-Pinto, A.R.; Malafaya, P.B.; Fernandes, E.M.; Neves, N.M.; Alves, C.M.; Mikos, A.G.; Kasper, F.; Reis, R.L. Gradual pore formation in natural origin scaffolds throughout subcutaneous implantation. J. Biomed. Mater. Res. Part A 2012, 100, 599–612. [Google Scholar] [CrossRef] [PubMed]
- Guarnieri, M.; Tyler, B.; Detolla, L.; Zhao, M.; Kobrin, B. Subcutaneous implants for long-acting drug therapy in laboratory animals may generate unintended drug reservoirs. J. Pharm. Bioallied. Sci. 2014, 6, 38–42. Available online: https://pubmed.ncbi.nlm.nih.gov/24459402/ (accessed on 16 January 2022). [CrossRef] [PubMed]
- Meagher, M.J.; Weiss-Bilka, H.E.; Best, M.E.; Boerckel, J.D.; Wagner, D.R.; Roeder, R.K. Acellular hydroxyapatite-collagen scaffolds support angiogenesis and osteogenic gene expression in an ectopic murine model: Effects of hydroxyapatite volume fraction. J. Biomed. Mater. Res. Part A 2016, 104, 2178–2188. Available online: https://pubmed.ncbi.nlm.nih.gov/27112109/ (accessed on 16 January 2022). [CrossRef]
- Mazza, G.; Rombouts, K.; Rennie Hall, A.; Urbani, L.; Vinh Luong, T.; Al-Akkad, W.; Longato, L.; Brown, D.; Maghsoudlou, P.; Dhillon, A.P.; et al. Decellularized human liver as a natural 3D-scaffold for liver bioengineering and transplantation. Sci. Rep. 2015, 5, 13079. Available online: https://www.ncbi.nlm.nih.gov/pmc/articles/PMC4528226/ (accessed on 16 January 2022). [CrossRef]
- Khalili, A.A.; Ahmad, M.R. A Review of cell adhesion studies for biomedical and biological applications. Int. J. Mol. Sci. 2015, 16, 18149–18184. Available online: https://www.ncbi.nlm.nih.gov/pmc/articles/PMC4581240/ (accessed on 5 May 2022). [CrossRef]
- You, R.; Li, X.; Liu, Y.; Liu, G.; Lu, S.; Li, M. Response of filopodia and lamellipodia to surface topography on micropatterned silk fibroin films. J. Biomed. Mater. Res. Part A 2014, 102, 4206–4212. Available online: https://pubmed.ncbi.nlm.nih.gov/24464986/ (accessed on 22 May 2022). [CrossRef]
- Metwally, S.; Ferraris, S.; Spriano, S.; Krysiak, Z.J.; Kaniuk, Ł.; Marzec, M.M.; Kim, S.K.; Szewczyk, P.K.; Gruszczyński, A.; Wytrwal-Sarna, M.; et al. Surface potential and roughness controlled cell adhesion and collagen formation in electrospun PCL fibers for bone regeneration. Mater. Des. 2020, 194, 108915. [Google Scholar] [CrossRef]
- Barbosa, J.N.; Amaral, I.F.; Águas, A.P.; Barbosa, M.A. Evaluation of the effect of the degree of acetylation on the inflammatory response to 3D porous chitosan scaffolds. J. Biomed. Mater. Res. Part A 2010, 93, 20–28. Available online: https://onlinelibrary.wiley.com/doi/full/10.1002/jbm.a.32499 (accessed on 23 May 2022). [CrossRef] [PubMed]
- Chocarro-Wrona, C.; De Vicente, J.; Antich, C.; Jiménez, G.; Martínez-Moreno, D.; Carrillo, E.; Montanez, E.; Galvez-Martin, P.; Peran, M.; Lopez-Ruiz, E.; et al. Validation of the 1,4-butanediol thermoplastic polyurethane as a novel material for 3D bioprinting applications. Bioeng. Transl. Med. 2021, 6, e10192. Available online: https://pubmed.ncbi.nlm.nih.gov/33532591/ (accessed on 23 May 2022). [CrossRef] [PubMed]
- Xiao, L.; Liu, S.; Yao, D.; Ding, Z.; Fan, Z.; Lu, Q.; Kaplan, D.L. Fabrication of Silk Scaffolds with Nanomicroscaled Structures and Tunable Stiffness. Biomacromolecules 2017, 18, 2073–2079. Available online: https://pubs.acs.org/doi/abs/10.1021/acs.biomac.7b00406 (accessed on 23 May 2022). [CrossRef] [PubMed]
- Jung, S.Y.; Lee, S.J.; Kim, H.Y.; Park, H.S.; Wang, Z.; Kim, H.J.; Yoo, J.J.; Chung, S.M.; Kim, H.S. 3D printed polyurethane prosthesis for partial tracheal reconstruction: A pilot animal study. Biofabrication 2016, 8, 045015. Available online: https://pubmed.ncbi.nlm.nih.gov/27788126/ (accessed on 18 June 2021). [CrossRef]
- Huo, Y.; Xu, Y.; Wu, X.; Gao, E.; Zhan, A.; Chen, Y.; Zhang, Y.; Hua, Y.; Swieszkowski, W.; Zhang, Y.S.; et al. Functional Trachea Reconstruction Using 3D-Bioprinted Native-Like Tissue Architecture Based on Designable Tissue-Specific Bioinks. Adv. Sci. 2022, 9, 2202181. Available online: https://onlinelibrary.wiley.com/doi/full/10.1002/advs.202202181 (accessed on 18 January 2023). [CrossRef]
- Park, J.H.; Ahn, M.; Park, S.H.; Kim, H.; Bae, M.; Park, W.; Hollister, S.J.; Kim, S.W.; Cho, D.W. 3D bioprinting of a trachea-mimetic cellular construct of a clinically relevant size. Biomaterials 2021, 279, 121246. Available online: https://europepmc.org/article/med/34775331 (accessed on 18 January 2023). [CrossRef]
- Arif, Z.U.; Khalid, M.Y.; Zolfagharian, A.; Bodaghi, M. 4D bioprinting of smart polymers for biomedical applications: Recent progress, challenges, and future perspectives. React. Funct. Polym. 2022, 179, 105374. [Google Scholar] [CrossRef]
- Khalid, M.Y.; Arif, Z.U.; Ahmed, W.; Umer, R.; Zolfagharian, A.; Bodaghi, M. 4D printing: Technological developments in robotics applications. Sens. Actuators A Phys. 2022, 343, 113670. [Google Scholar] [CrossRef]








| Polymer Type | Mean Fibre Diameter Size (µm) | Mean Pore Size (µm) | Mean Porosity (%) |
|---|---|---|---|
| TPU | 205.00 ± 82.25 | 133.28 ± 38.22 | 31.3 ± 12.4 |
| TPU/PLA | 183.80 ± 43.25 | 129.60 ±43.08 | 27.3 ± 5.8 |
| PLA | 278.40 ± 61.09 | 122.64 ± 45.16 | 38.7 ± 22.3 |
Disclaimer/Publisher’s Note: The statements, opinions and data contained in all publications are solely those of the individual author(s) and contributor(s) and not of MDPI and/or the editor(s). MDPI and/or the editor(s) disclaim responsibility for any injury to people or property resulting from any ideas, methods, instructions or products referred to in the content. |
© 2023 by the authors. Licensee MDPI, Basel, Switzerland. This article is an open access article distributed under the terms and conditions of the Creative Commons Attribution (CC BY) license (https://creativecommons.org/licenses/by/4.0/).
Share and Cite
Abdul Samat, A.; Abdul Hamid, Z.A.; Jaafar, M.; Ong, C.C.; Yahaya, B.H. Investigation of the In Vitro and In Vivo Biocompatibility of a Three-Dimensional Printed Thermoplastic Polyurethane/Polylactic Acid Blend for the Development of Tracheal Scaffolds. Bioengineering 2023, 10, 394. https://doi.org/10.3390/bioengineering10040394
Abdul Samat A, Abdul Hamid ZA, Jaafar M, Ong CC, Yahaya BH. Investigation of the In Vitro and In Vivo Biocompatibility of a Three-Dimensional Printed Thermoplastic Polyurethane/Polylactic Acid Blend for the Development of Tracheal Scaffolds. Bioengineering. 2023; 10(4):394. https://doi.org/10.3390/bioengineering10040394
Chicago/Turabian StyleAbdul Samat, Asmak, Zuratul Ain Abdul Hamid, Mariatti Jaafar, Chern Chung Ong, and Badrul Hisham Yahaya. 2023. "Investigation of the In Vitro and In Vivo Biocompatibility of a Three-Dimensional Printed Thermoplastic Polyurethane/Polylactic Acid Blend for the Development of Tracheal Scaffolds" Bioengineering 10, no. 4: 394. https://doi.org/10.3390/bioengineering10040394
APA StyleAbdul Samat, A., Abdul Hamid, Z. A., Jaafar, M., Ong, C. C., & Yahaya, B. H. (2023). Investigation of the In Vitro and In Vivo Biocompatibility of a Three-Dimensional Printed Thermoplastic Polyurethane/Polylactic Acid Blend for the Development of Tracheal Scaffolds. Bioengineering, 10(4), 394. https://doi.org/10.3390/bioengineering10040394

