Segmentation of Renal Thyroid Follicle Colloid in Common Carp: Insights into Perfluorooctanoic Acid-Induced Morphometric Alterations
Abstract
1. Introduction
2. Materials and Methods
2.1. Experimental Design Derived from Previous Research [37]
2.2. Tissue Processing for Light Microscopy from Previous Research [37]
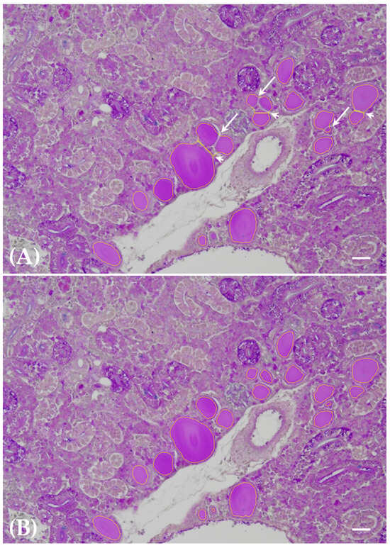
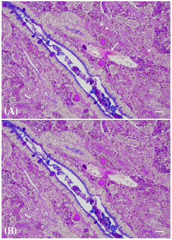
2.3. Thyroid Follicle Colloid Segmentation
- Circularity measures how closely an object’s shape resembles a perfect circle by comparing its area to its perimeter squared. A circularity value of 1 indicates a perfect circle, while values nearing 0 suggest elongated or irregular shapes. It is defined as follows: [41].
- Roundness quantifies how closely an object’s boundary resembles a perfect circle by comparing its area to the square of its major diameter. Higher roundness values indicate shapes that are more circular, while lower values suggest irregular or angular shapes. It is defined as follows: , where the max diameter is the major diameter of the object [41].
- Convexity measures the degree to which a shape bulges outward or is convex by comparing the perimeter of the object’s convex hull (the smallest convex shape enclosing the object) to its own perimeter. Convexity values range from 0 to 1, with higher values indicating smoother shapes. It is defined as follows: , where the convex perimeter is the perimeter of the imaginary convex hull drawn around the object [41].
- Compactness provides a numerical value for how “round” or “squished” a shape is, somewhat similar to roundness but using a different scale factor. It is defined as follows: , where the max diameter is the major diameter of the object [41].
- Solidity assesses the proportion of the object’s area covered by its convex hull, indicating the solidity of the shape. Solidity values range from 0 to 1, with higher values indicating shapes that are more solid or filled in, while lower values suggest shapes with concavities on the surface. It is defined as follows: , where the convex area is the area of the imaginary convex hull drawn around the object [41].
2.4. Statistical Analysis
3. Results
3.1. Thyroid Follicle Histology
3.2. Thyroid Follicle Colloid Segmentation
3.3. Thyroid Follicle Colloid Morphometrics
4. Discussion
- Impaired thyroglobulin synthesis;
- Impaired thyroglobulin iodination;
- Impaired colloid macropinocytosis and thyroglobulin clivage;
- Altered hepatic deiodinase activity.
5. Conclusions
Author Contributions
Funding
Institutional Review Board Statement
Informed Consent Statement
Data Availability Statement
Acknowledgments
Conflicts of Interest
References
- Glüge, J.; Scheringer, M.; Cousins, I.T.; Dewitt, J.C.; Goldenman, G.; Herzke, D.; Lohmann, R.; Ng, C.A.; Trier, X.; Wang, Z. An overview of the uses of per- and polyfluoroalkyl substances (PFAS). Environ. Sci. Process. Impacts 2020, 22, 2345–2373. [Google Scholar] [CrossRef] [PubMed]
- Giesy, J.; Kannan, K.; Jones, P. Global biomonitoring of perfluorinated organics. Sci. World J. 2001, 1, 627–629. [Google Scholar] [CrossRef] [PubMed]
- Frisbee, S.J.; Brooks, A.P.; Maher, A.; Flensborg, P.; Arnold, S.; Fletcher, T.; Steenland, K.; Shankar, A.; Knox, S.S.; Pollard, C.; et al. The C8 health project: Design, methods, and participants. Environ. Health Perspect. 2009, 117, 1873–1882. [Google Scholar] [CrossRef] [PubMed]
- Mastrantonio, M.; Bai, E.; Uccelli, R.; Cordiano, V.; Screpanti, A.; Crosignani, P. Drinking water contamination from perfluoroalkyl substances (PFAS): An ecological mortality study in the Veneto Region, Italy. Eur. J. Public Health 2018, 28, 180–185. [Google Scholar] [CrossRef] [PubMed]
- Zahm, S.; Bonde, J.P.; Chiu, W.A.; Hoppin, J.; Kanno, J.; Abdallah, M.; Blystone, C.R.; Calkins, M.M.; Dong, G.H.; Dorman, D.C.; et al. Carcinogenicity of perfluorooctanoic acid and perfluorooctanesulfonic acid. Lancet. Oncol. 2024, 25, 16–17. [Google Scholar] [CrossRef] [PubMed]
- Health and Ecological Criteria Division—Office of Science and Technology—Office of Water. Interim Drinking Water Health Advisory: Perfluorooctanoic Acid (PFOA) CASRN 335-67-1; U.S. Environmental Protection Agency: Washington, DC, USA, 2022. [Google Scholar]
- The European Commission. Commission Delegated Regulation (EU) 2021/115 of 27 November 2020 amending Annex I to Regulation (EU) 2019/1021 of the European Parliament and of the Council as regards perfluorooctanoic acid (PFOA), its salts and PFOA-related compounds. Off. J. Eur. Union 2021, 64, L36/7. [Google Scholar]
- Evich, M.G.; Davis, M.J.B.; McCord, J.P.; Acrey, B.; Awkerman, J.A.; Knappe, D.R.U.; Lindstrom, A.B.; Speth, T.F.; Tebes-Stevens, C.; Strynar, M.J.; et al. Per- and polyfluoroalkyl substances in the environment. Science 2022, 375, 512. [Google Scholar] [CrossRef]
- Kim, J.; Lee, G.; Lee, Y.M.; Zoh, K.D.; Choi, K. Thyroid disrupting effects of perfluoroundecanoic acid and perfluorotridecanoic acid in zebrafish (Danio rerio) and rat pituitary (GH3) cell line. Chemosphere 2021, 262, 128012. [Google Scholar] [CrossRef]
- Coperchini, F.; Greco, A.; Rotondi, M. Changing the structure of PFOA and PFOS: A chemical industry strategy or a solution to avoid thyroid-disrupting effects? J. Endocrinol. Investig. 2024. [Google Scholar] [CrossRef]
- Lee, J.W.; Choi, K.; Park, K.; Sung, C.; Yu, S.D.; Kim, P.; Seong, C.; Yu, S.D.; Kim, P. Adverse effects of perfluoroalkyl acids on fish and other aquatic organisms: A review. Sci. Total Environ. 2020, 707, 135334. [Google Scholar] [CrossRef]
- Fenton, S.E.; Ducatman, A.; Boobis, A.; DeWitt, J.C.; Lau, C.; Ng, C.; Smith, J.S.; Roberts, S.M. Per- and polyfluoroalkyl substance toxicity and human health review: Current state of knowledge and strategies for informing future research. Environ. Toxicol. Chem. 2021, 40, 606–630. [Google Scholar] [CrossRef] [PubMed]
- Ma, T.; Ye, C.; Wang, T.; Li, X.; Luo, Y. Toxicity of per- and polyfluoroalkyl substances to aquatic invertebrates, planktons, and microorganisms. Int. J. Environ. Res. Public Health 2022, 19, 16729. [Google Scholar] [CrossRef] [PubMed]
- Dong, H.; Lu, G.; Wang, X.; Zhang, P.; Yang, H.; Yan, Z.; Liu, J.; Jiang, R. Tissue-specific accumulation, depuration, and effects of perfluorooctanoic acid on fish: Influences of aqueous pH and sex. Sci. Total Environ. 2023, 861, 160567. [Google Scholar] [CrossRef] [PubMed]
- Ma, T.; Wu, P.; Wang, L.; Li, Q.; Li, X.; Luo, Y. Toxicity of per- and polyfluoroalkyl substances to aquatic vertebrates. Front. Environ. Sci. 2023, 11, 1101100. [Google Scholar] [CrossRef]
- Kim, W.-K.; Lee, S.-K.; Jung, J. Integrated assessment of biomarker responses in common carp (Cyprinus carpio) exposed to perfluorinated organic compounds. J. Hazard. Mater. 2010, 180, 395–400. [Google Scholar] [CrossRef] [PubMed]
- Manera, M.; Castaldelli, G.; Giari, L. Perfluorooctanoic acid promotes recruitment and exocytosis of rodlet cells in the renal hematopoietic tissue of common carp. Toxics 2023, 11, 831. [Google Scholar] [CrossRef] [PubMed]
- Rericha, Y.; Simonich, M.T.; Truong, L.; Tanguay, R.L. Review of the zebrafish as a model to investigate per- and polyfluoroalkyl substance toxicity. Toxicol. Sci. 2023, 194, 138–152. [Google Scholar] [CrossRef] [PubMed]
- Mattsson, A.; Sjöberg, S.; Kärrman, A.; Brunström, B. Developmental exposure to a mixture of perfluoroalkyl acids (PFAAs) affects the thyroid hormone system and the bursa of Fabricius in the chicken. Sci. Rep. 2019, 9, 19808. [Google Scholar] [CrossRef] [PubMed]
- Miranda, A.F.; Trestrail, C.; Lekamge, S.; Nugegoda, D. Effects of perfluorooctanoic acid (PFOA) on the thyroid status, vitellogenin, and oxidant–antioxidant balance in the Murray River rainbowfish. Ecotoxicology 2020, 29, 163–174. [Google Scholar] [CrossRef] [PubMed]
- Zoeller, R.T. Environmental chemicals impacting the thyroid: Targets and consequences. Thyroid 2007, 17, 811–817. [Google Scholar] [CrossRef] [PubMed]
- Weiss, J.M.; Andersson, P.L.; Lamoree, M.H.; Leonards, P.E.G.; Van Leeuwen, S.P.J.; Hamers, T. Competitive binding of poly- and perfluorinated compounds to the thyroid hormone transport protein transthyretin. Toxicol. Sci. 2009, 109, 206–216. [Google Scholar] [CrossRef] [PubMed]
- Kar, S.; Sepúlveda, M.S.; Roy, K.; Leszczynski, J. Endocrine-disrupting activity of per- and polyfluoroalkyl substances: Exploring combined approaches of ligand and structure based modeling. Chemosphere 2017, 184, 514–523. [Google Scholar] [CrossRef] [PubMed]
- Kowalska, D.; Sosnowska, A.; Bulawska, N.; Stępnik, M.; Besselink, H.; Behnisch, P.; Puzyn, T. How the structure of per- and polyfluoroalkyl substances (PFAS) influences their binding potency to the peroxisome proliferator-activated and thyroid hormone receptors—An in silico screening study. Molecules 2023, 28, 479. [Google Scholar] [CrossRef] [PubMed]
- Wei, Y.; Liu, Y.; Wang, J.; Tao, Y.; Dai, J. Toxicogenomic analysis of the hepatic effects of perfluorooctanoic acid on rare minnows (Gobiocypris rarus). Toxicol. Appl. Pharmacol. 2008, 226, 285–297. [Google Scholar] [CrossRef] [PubMed]
- Du, G.; Huang, H.; Hu, J.; Qin, Y.; Wu, D.; Song, L.; Xia, Y.; Wang, X. Endocrine-related effects of perfluorooctanoic acid (PFOA) in zebrafish, H295R steroidogenesis and receptor reporter gene assays. Chemosphere 2013, 91, 1099–1106. [Google Scholar] [CrossRef] [PubMed]
- Du, Y.; Chen, C.; Zhou, G.; Cai, Z.; Man, Q.; Liu, B.; Wang, W.C. Perfluorooctanoic acid disrupts thyroid-specific genes expression and regulation via the TSH-TSHR signaling pathway in thyroid cells. Environ. Res. 2023, 239, 117372. [Google Scholar] [CrossRef] [PubMed]
- Hagenaars, A.; Vergauwen, L.; Benoot, D.; Laukens, K.; Knapen, D. Mechanistic toxicity study of perfluorooctanoic acid in zebrafish suggests mitochondrial dysfunction to play a key role in PFOA toxicity. Chemosphere 2013, 91, 844–856. [Google Scholar] [CrossRef] [PubMed]
- Coperchini, F.; Croce, L.; Ricci, G.; Magri, F.; Rotondi, M.; Imbriani, M.; Chiovato, L. Thyroid disrupting effects of old and new generation PFAS. Front. Endocrinol. 2021, 11, 1077. [Google Scholar] [CrossRef] [PubMed]
- Wang, J.; Shi, G.; Yao, J.; Sheng, N.; Cui, R.; Su, Z.; Guo, Y.; Dai, J. Perfluoropolyether carboxylic acids (novel alternatives to PFOA) impair zebrafish posterior swim bladder development via thyroid hormone disruption. Environ. Int. 2020, 134, 105317. [Google Scholar] [CrossRef] [PubMed]
- Birgersson, L.; Jouve, J.; Jönsson, E.; Asker, N.; Andreasson, F.; Golovko, O.; Ahrens, L.; Sturve, J. Thyroid function and immune status in perch (Perca fluviatilis) from lakes contaminated with PFASs or PCBs. Ecotoxicol. Environ. Saf. 2021, 222, 112495. [Google Scholar] [CrossRef] [PubMed]
- Geven, E.J.W.; Nguyen, N.K.; Van Den Boogaart, M.; Spanings, T.; Flik, G.; Klaren, P.H.M. Comparative thyroidology: Thyroid gland location and iodothyronine dynamics in Mozambique tilapia (Oreochromis mossambicus Peters) and common carp (Cyprinus carpio L.). J. Exp. Biol. 2007, 210, 4005–4015. [Google Scholar] [CrossRef] [PubMed]
- Manera, M.; Castaldelli, G.; Giari, L. Perfluorooctanoic acid affects thyroid follicles in common carp (Cyprinus carpio). Int. J. Environ. Res. Public Health 2022, 19, 9049. [Google Scholar] [CrossRef] [PubMed]
- Ji, K.; Kim, Y.; Oh, S.; Ahn, B.; Jo, H.; Choi, K. Toxicity of perfluorooctane sulfonic acid and perfluorooctanoic acid on freshwater macroinvertebrates (Daphnia magna and Moina macrocopa) and fish (Oryzias latipes). Environ. Toxicol. Chem. 2008, 27, 2159–2168. [Google Scholar] [CrossRef] [PubMed]
- Lee, J.W.; Lee, J.-W.; Kim, K.; Shin, Y.J.; Kim, J.; Kim, S.; Kim, H.; Kim, P.; Park, K. PFOA-induced metabolism disturbance and multi-generational reproductive toxicity in Oryzias latipes. J. Hazard. Mater. 2017, 340, 231–240. [Google Scholar] [CrossRef] [PubMed]
- Godfrey, A.; Hooser, B.; Abdelmoneim, A.; Horzmann, K.A.; Freemanc, J.L.; Sepúlveda, M.S. Thyroid disrupting effects of halogenated and next generation chemicals on the swim bladder development of zebrafish. Aquat. Toxicol. 2017, 193, 228–235. [Google Scholar] [CrossRef]
- Giari, L.; Vincenzi, F.; Badini, S.; Guerranti, C.; Dezfuli, B.S.; Fano, E.A.; Castaldelli, G. Common carp Cyprinus carpio responses to sub-chronic exposure to perfluorooctanoic acid. Environ. Sci. Pollut. Res. 2016, 23, 15321–15330. [Google Scholar] [CrossRef] [PubMed]
- Loos, R.; Locoro, G.; Huber, T.; Wollgast, J.; Christoph, E.H.; de Jager, A.; Manfred Gawlik, B.; Hanke, G.; Umlauf, G.; Zaldívar, J.M. Analysis of perfluorooctanoate (PFOA) and other perfluorinated compounds (PFCs) in the River Po watershed in N-Italy. Chemosphere 2008, 71, 306–313. [Google Scholar] [CrossRef] [PubMed]
- Wei, Y.; Dai, J.; Liu, M.; Wang, J.; Xu, M.; Zha, J.; Wang, Z. Estrogen-like properties of perfluorooctanoic acid as revealed by expressing hepatic estrogen-responsive genes in rare minnows (Gobiocypris rarus). Environ. Toxicol. Chem. 2007, 26, 2440–2447. [Google Scholar] [CrossRef] [PubMed]
- Wang, Z.; Cai, W.; Smith, C.D.; Kantake, N.; Rosol, T.J.; Liu, J. Residual pyramid Fcn for robust follicle segmentation. In Proceedings of the International Symposium on Biomedical Imaging, Venice, Italy, 8–11 April 2019; pp. 463–467. [Google Scholar]
- Stritt, M.; Giraud, I.; Lilaj, L. Orbit Image Analysis Handbook; Actelion Pharmaceuticals Ltd.: Allschwil, Switzerland, 2016. [Google Scholar]
- Harach, H.R.; Soto, M.S.; Zusman, S.B.; Saravia Day, E. Parenchymatous thyroid nodules: A histocytological study of 31 cases from a goitrous area. J. Clin. Pathol. 1992, 45, 25–29. [Google Scholar] [CrossRef] [PubMed]
- Fournie, J.W.; Wolfe, M.J.; Wolf, J.C.; Courtney, L.A.; Johnson, R.D.; Hawkins, W.E. Diagnostic criteria for proliferative thyroid lesions in bony fishes. Toxicol. Pathol. 2005, 33, 540–551. [Google Scholar] [CrossRef] [PubMed]
- Campinho, M.A.; Morgado, I.; Pinto, P.I.S.; Silva, N.; Power, D.M. The goitrogenic efficiency of thioamides in a marine teleost, sea bream (Sparus auratus). Gen. Comp. Endocrinol. 2012, 179, 369–375. [Google Scholar] [CrossRef] [PubMed]
- McCluskey, A.; Lalkhen, A.G. Statistics II: Central tendency and spread of data. Contin. Educ. Anaesth. Crit. Care Pain 2007, 7, 127–130. [Google Scholar] [CrossRef]
- Sugiyama, S.; Sato, T. Histological studies of the renal thyroid of the bony fish in comparison with the pharyngeal thyroid. Okajimas Folia Anat. Jpn. 1960, 36, 385–393. [Google Scholar] [CrossRef] [PubMed][Green Version]
- Hussin, A.M.; Khudher, Y.Y. Histological study of the thyroid tissue in carp fish (Cyprinus carpio) in Summer and Winter. Iraqi J. Vet. Med. 2016, 40, 69–72. [Google Scholar] [CrossRef]
- Toda, S.; Koike, N.; Sugihara, H. Cellular integration of thyrocytes and thyroid folliculogenesis: A perspective for thyroid tissue regeneration and engineering. Endocr. J. 2001, 48, 407–425. [Google Scholar] [CrossRef] [PubMed]
- Bilyavskaya, S.B.; Bozhok, G.A.; Legach, E.I.; Borovoy, I.A.; Gella, I.M.; Malyukin, Y.V.; Bondarenko, T.P. Characteristics of primary cell culture from neonatal thyroid grand of pigs: Folliculogenesis, hormone and growth. Tsitologiya 2013, 55, 482–491. [Google Scholar] [CrossRef]
- Toda, S.; Aoki, S.; Suzuki, K.; Koike, E.; Ootani, A.; Watanabe, K.; Koike, N.; Sugihara, H. Thyrocytes, but not C cells, actively undergo growth and folliculogenesis at the periphery of thyroid tissue fragments in three-dimensional collagen gel culture. Cell Tissue Res. 2003, 312, 281–289. [Google Scholar] [CrossRef] [PubMed]
- Perez-Montiel, M.D.; Suster, S. The spectrum of histologic changes in thyroid hyperplasia: A clinicopathologic study of 300 cases. Hum. Pathol. 2008, 39, 1080–1087. [Google Scholar] [CrossRef] [PubMed]
- Rosai, J.; Carcangiu, M.L.; DeLellis, R.A. Tumors of the Thyroid Gland; Armed Forces Institute of Pathology: Bethesda, MD, USA, 1992. [Google Scholar]
- Schlumberger, H.G. Spontaneous goiter and cancer of the thyroid in animals. Ohio J. Sci. 1955, 55, 23–43. [Google Scholar]
- Wester, P.W.; Van Der Ven, L.T.M.; Vos, J.G. Comparative toxicological pathology in mammals and fish: Some examples with endocrine disrupters. Toxicology 2004, 205, 27–32. [Google Scholar] [CrossRef]
- Smith, C.J.; Gordon Grau, E. Ultrastructural changes in the parrotfish thyroid after in vitro stimulation with bovine thyrotropin. Fish Physiol. Biochem. 1986, 1, 153–162. [Google Scholar] [CrossRef]
- Chen, J.; Zheng, L.; Tian, L.; Wang, N.; Lei, L.; Wang, Y.; Dong, Q.; Huang, C.; Yang, D. Chronic PFOS exposure disrupts thyroid structure and function in zebrafish. Bull. Environ. Contam. Toxicol. 2018, 101, 75–79. [Google Scholar] [CrossRef] [PubMed]
- Song, M.; Kim, Y.J.; Park, Y.K.; Ryu, J.C. Changes in thyroid peroxidase activity in response to various chemicals. J. Environ. Monit. 2012, 14, 2121–2126. [Google Scholar] [CrossRef] [PubMed]
- Rotondo, J.C.; Giari, L.; Guerranti, C.; Tognon, M.; Castaldelli, G.; Fano, E.A.; Martini, F. Environmental doses of perfluorooctanoic acid change the expression of genes in target tissues of common carp. Environ. Toxicol. Chem. 2018, 37, 942–948. [Google Scholar] [CrossRef] [PubMed]
- Huisinga, M.; Bertrand, L.; Chamanza, R.; Damiani, I.; Engelhardt, J.; Francke, S.; Freyberger, A.; Harada, T.; Harleman, J.; Kaufmann, W.; et al. Adversity considerations for thyroid follicular cell hypertrophy and hyperplasia in nonclinical toxicity studies: Results from the 6th ESTP International Expert Workshop. Toxicol. Pathol. 2020, 48, 920–938. [Google Scholar] [CrossRef] [PubMed]
- Carr, J.A.; Patiño, R. The hypothalamus-pituitary-thyroid axis in teleosts and amphibians: Endocrine disruption and its consequences to natural populations. Gen. Comp. Endocrinol. 2011, 170, 299–312. [Google Scholar] [CrossRef] [PubMed]
- Van der Spek, A.H.; Fliers, E.; Boelen, A. The classic pathways of thyroid hormone metabolism. Mol. Cell. Endocrinol. 2017, 458, 29–38. [Google Scholar] [CrossRef] [PubMed]
- Sheridan, P. Thyroid hormones and the liver. Clin. Gastroenterol. 1983, 12, 797–818. [Google Scholar] [CrossRef] [PubMed]
- Shimada, T.; Higashi, K.; Umeda, T.; Sato, T. Thyroid functions in patients with various chronic liver diseases. Endocrinol. Jpn. 1988, 35, 357–369. [Google Scholar] [CrossRef] [PubMed]
- Volkova, A.R.; Dygun, O.D.; Lukichev, B.G.; Dora, S.V.; Galkina, O.V. Thyroid dysfunction in patients with chronic kidney disease: The state of the problem and the ways of solving. Nephrology 2018, 22, 40–49. [Google Scholar] [CrossRef]
- Manera, M.; Casciano, F.; Giari, L. Ultrastructural alterations of the glomerular filtration barrier in fish experimentally exposed to perfluorooctanoic acid. Int. J. Environ. Res. Public Health 2023, 20, 5253. [Google Scholar] [CrossRef] [PubMed]
- Manera, M.; Castaldelli, G.; Guerranti, C.; Giari, L. Effect of waterborne exposure to perfluorooctanoic acid on nephron and renal hemopoietic tissue of common carp Cyprinus carpio. Ecotoxicol. Environ. Saf. 2022, 234, 113407. [Google Scholar] [CrossRef] [PubMed]
- Manera, M.; Castaldelli, G.; Fano, E.A.; Giari, L. Perfluorooctanoic acid-induced cellular and subcellular alterations in fish hepatocytes. Environ. Toxicol. Pharmacol. 2021, 81, 103548. [Google Scholar] [CrossRef] [PubMed]
- Manera, M.; Dezfuli, B.S.; Castaldelli, G.; DePasquale, J.A.; Fano, E.A.; Martino, C.; Giari, L. Perfluorooctanoic acid exposure assessment on common carp liver through image and ultrastructural investigation. Int. J. Environ. Res. Public Health 2019, 16, 4923. [Google Scholar] [CrossRef] [PubMed]






| Descriptive Statistics | Group | Perimeter | Area | Circularity | Roundness | Convexity | Compactness | Solidity |
|---|---|---|---|---|---|---|---|---|
| Mean ± standard deviation | Unexposed | 113 ± 45 | 885 ± 661 | 0.77 ± 0.12 | 0.67 ± 0.15 | 0.95 ± 0.02 | 0.81 ± 0.10 | 0.95 ± 0.05 |
| PFOA 200 ng L−1 | 82 ± 44 | 555 ± 655 | 0.80 ± 0.07 | 0.66 ± 0.12 | 0.95 ± 0.01 | 0.81 ± 0.08 | 0.96 ± 0.02 | |
| PFOA 2 mg L−1 | 98 ± 52 | 798 ± 881 | 0.81 ± 0.07 | 0.69 ± 0.11 | 0.95 ± 0.01 | 0.83 ± 0.07 | 0.96 ± 0.03 | |
| Median | Unexposed | 113 | 829 | 0.80 | 0.69 | 0.95 | 0.83 | 0.96 |
| PFOA 200 ng L−1 | 69 | 295 | 0.81 | 0.68 | 0.96 | 0.82 | 0.97 | |
| PFOA 2 mg L−1 | 86 | 461 | 0.83 | 0.71 | 0.95 | 0.84 | 0.97 |
| Group/Follicle Type | Perimeter | Area | Circularity 1 | Roundness 1 | Reference | Note |
|---|---|---|---|---|---|---|
| - | 125 ± 8 | 963 ± 91 | 0.88 ± 0.01 | 0.72 ± 0.02 | [32] | Measures pertain to thyroid follicle colloids, as originally reported by the authors. The values represent average mode values ± s.d., based on a sample size (n) of 4. The measurements were conducted on fish from an all-male E4XR3R8 isogenic strain. The body mass of the specimens was reported as 39.3 ± 0.5 g. |
| Small follicles | 110 | 962 | - | - | [46] | Derived from the mean major and minor follicle axes initially reported by the authors, based on measurements from three carp specimens with body masses ranging from 500 to 690 g and body lengths between 32 and 36 cm. |
| Large follicles | 552 | 21,936 | 0.90 | 0.63 | [46] | |
| Small follicles/summer | 126 | 1257 | - | - | [47] | Derived from the mean follicle diameter originally reported by the authors. The measurements were obtained from 12 adult female carp specimens. |
| Large follicles/summer | 270 | 5809 | - | - | [47] | |
| Small follicles/winter | 154 | 1886 | - | - | [47] | Derived from the mean follicle diameter originally reported by the authors. The measurements were obtained from 12 adult female carp specimens. |
| Large follicles/winter | 308 | 7543 | - | - | [47] |
Disclaimer/Publisher’s Note: The statements, opinions and data contained in all publications are solely those of the individual author(s) and contributor(s) and not of MDPI and/or the editor(s). MDPI and/or the editor(s) disclaim responsibility for any injury to people or property resulting from any ideas, methods, instructions or products referred to in the content. |
© 2024 by the authors. Licensee MDPI, Basel, Switzerland. This article is an open access article distributed under the terms and conditions of the Creative Commons Attribution (CC BY) license (https://creativecommons.org/licenses/by/4.0/).
Share and Cite
Manera, M.; Giari, L. Segmentation of Renal Thyroid Follicle Colloid in Common Carp: Insights into Perfluorooctanoic Acid-Induced Morphometric Alterations. Toxics 2024, 12, 369. https://doi.org/10.3390/toxics12050369
Manera M, Giari L. Segmentation of Renal Thyroid Follicle Colloid in Common Carp: Insights into Perfluorooctanoic Acid-Induced Morphometric Alterations. Toxics. 2024; 12(5):369. https://doi.org/10.3390/toxics12050369
Chicago/Turabian StyleManera, Maurizio, and Luisa Giari. 2024. "Segmentation of Renal Thyroid Follicle Colloid in Common Carp: Insights into Perfluorooctanoic Acid-Induced Morphometric Alterations" Toxics 12, no. 5: 369. https://doi.org/10.3390/toxics12050369
APA StyleManera, M., & Giari, L. (2024). Segmentation of Renal Thyroid Follicle Colloid in Common Carp: Insights into Perfluorooctanoic Acid-Induced Morphometric Alterations. Toxics, 12(5), 369. https://doi.org/10.3390/toxics12050369
