Assessment of Anti-Alzheimer Pursuit of Jambolan Fruit Extract and/or Choline against AlCl3 Toxicity in Rats
Abstract
1. Introduction
2. Materials and Methods
2.1. Plant Material and Animals
2.2. Chemicals and Kits
2.3. Extract Preparation
2.4. Determination of Phenolic Compounds
2.5. Study Design
2.6. Sacrifice and Sampling
2.7. Growth-Related Parameters
2.8. Behavior Analysis: Testing for Mental Capacity through a Reinforcement System. The Morris Water Maze
2.9. Preparation of Brain Homogenates and Biochemical Analysis
2.10. Histopathological Examination
2.11. Gene Expressions Using Real Time-PCR
2.12. Statistical Analysis
3. Results
3.1. The Polyphenolic Compounds of Bulb Extract
3.2. Morris Water Maze Test
3.3. Body and Brain Weight
3.4. Effect of Jambolan Extract and Choline on Acetyl Choline (pg/mL), Dopamine (ng/mL) and Serotonin (pg/mL) in Rats Intoxicated by AlCl3
3.5. Effect of Jambolan Extract and Choline on Acetylcholine Esterase (mU/mL), IL6 (pg/mL), TNF (pg/mL), and HCY(pmol/mL) in Rats Intoxicated by AlCl3
3.6. Effect of Jambolan Extract and Choline on MDA, NO, CAT, and SOD Levels in Alzheimer’s Disease Induced by AlCl3
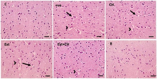
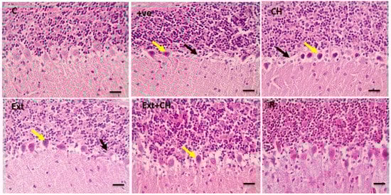
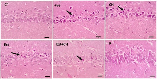
3.7. Histopathological Results
3.8. Effect of Jambolan Extract and/or Choline Treatment on Inflammatory mRNA Gene Expression in AlCl3 Treated Rats
4. Discussion
5. Conclusions
Supplementary Materials
Author Contributions
Funding
Institutional Review Board Statement
Informed Consent Statement
Data Availability Statement
Acknowledgments
Conflicts of Interest
References
- Naz, F.; Siddique, Y.H. Human Brain Disorders: A Review. Open Biol. J. 2020, 8. [Google Scholar] [CrossRef]
- Lancaster, E. The diagnosis and treatment of autoimmune encephalitis. J. Clin. Neurol. 2016, 12, 1–13. [Google Scholar] [CrossRef] [PubMed]
- Tai, J.; Liu, W.; Li, Y.; Li, L.; Hölscher, C. Neuroprotective effects of a triple GLP-1/GIP/glucagon receptor agonist in the APP/PS1 transgenic mouse model of Alzheimer’s disease. Brain Res. 2018, 1678, 64–74. [Google Scholar] [CrossRef]
- Uwishema, O.; Mahmoud, A.; Sun, J.; Correia, I.F.S.; Bejjani, N.; Alwan, M.; Nicholas, A.; Oluyemisi, A.; Dost, B. Is Alzheimer’s disease an infectious neurological disease? A review of the literature. Brain Behav. 2022, 12, e2728. [Google Scholar] [CrossRef] [PubMed]
- Edwards, G.A., III; Gamez, N.; Escobedo, G., Jr.; Calderon, O.; Moreno-Gonzalez, I. Modifiable risk factors for Alzheimer’s disease. Front. Aging Neurosci. 2019, 11, 146. [Google Scholar] [CrossRef]
- Moreno-Gonzalez, I.; Morales, R.; Baglietto-Vargas, D.; Sanchez-Varo, R. Risk Factors for Alzheimer’s Disease. Front. Aging Neurosci. 2020, 12, 124. [Google Scholar] [CrossRef]
- Amtul, Z.; Yang, J.; Lee, T.-Y.; Cechetto, D.F. Pathological changes in microvascular morphology, density, size and responses following comorbid cerebral injury. Front. Aging Neurosci. 2019, 11, 47. [Google Scholar] [CrossRef]
- Livingston, G.; Huntley, J.; Sommerlad, A.; Ames, D.; Ballard, C.; Banerjee, S.; Brayne, C.; Burns, A.; Cohen-Mansfield, J.; Cooper, C.; et al. Dementia prevention, intervention, and care: 2020 report of the Lancet Commission. Lancet 2020, 396, 413–446. [Google Scholar] [CrossRef]
- Ali, A.A.; Ahmed, H.I.; Khaleel, S.A.; Abu-Elfotuh, K. Vinpocetine mitigates aluminum-induced cognitive impairment in socially isolated rats. Physiol. Behav. 2019, 208, 112571. [Google Scholar] [CrossRef]
- Borai, I.H.; Ezz, M.K.; Rizk, M.Z.; Aly, H.F.; El-Sherbiny, M.; Matloub, A.A.; Fouad, G.I. Therapeutic impact of grape leaves polyphenols on certain biochemical and neurological markers in AlCl3-induced Alzheimer’s disease. Biomed. Pharmacother. 2017, 93, 837–851. [Google Scholar] [CrossRef]
- Castelli, V.; Benedetti, E.; Antonosante, A.; Catanesi, M.; Pitari, G.; Ippoliti, R.; Cimini, A.; d’Angelo, M. Neuronal cells rearrangement during aging and neurodegenerative disease: Metabolism, oxidative stress and organelles dynamic. Front. Mol. Neurosci. 2019, 12, 132. [Google Scholar] [CrossRef]
- Pereira, A.C.; Gray, J.D.; Kogan, J.F.; Davidson, R.L.; Rubin, T.G.; Okamoto, M.; Morrison, J.H.; McEwen, B.S. Age and Alzheimer’s disease gene expression profiles reversed by the glutamate modulator riluzole. Mol. Psychiatry 2017, 22, 296–305. [Google Scholar] [CrossRef]
- Raschetti, R.; Albanese, E.; Vanacore, N.; Maggini, M. Cholinesterase inhibitors in mild cognitive impairment: A systematic review of randomised trials. PLoS Med. 2007, 4, e338. [Google Scholar] [CrossRef]
- Beheshti, S.; Aghaie, R. Therapeutic effect of frankincense in a rat model of Alzheimer’s disease. Avicenna J. Phytomed. 2016, 6, 468. [Google Scholar]
- Ravi, S.K.; Ramesh, B.N.; Mundugaru, R.; Vincent, B. Multiple pharmacological activities of Caesalpinia crista against aluminium-induced neurodegeneration in rats: Relevance for Alzheimer’s disease. Environ. Toxicol. Pharmacol. 2018, 58, 202–211. [Google Scholar] [CrossRef] [PubMed]
- Naber, M.; Hommel, B.; Colzato, L.S. Improved human visuomotor performance and pupil constriction after choline supplementation in a placebo-controlled double-blind study. Sci. Rep. 2015, 5, 1–9. [Google Scholar] [CrossRef] [PubMed]
- Melo, E.d.A.; Maciel, M.I.S.; Lima, V.L.A.G.d.; Nascimento, R.J.d. Capacidade antioxidante de frutas. Rev. Bras. De Ciências Farm. 2008, 44, 193–201. [Google Scholar] [CrossRef]
- Angeloni, C.; Maraldi, T.; Milenkovic, D.; Vauzour, D. Dietary polyphenols and their effects on cell biochemistry and pathophysiology 2014. Oxid. Med. Cell. Longev. 2015, 2015, 782424. [Google Scholar]
- Madani, B.; Mirshekari, A.; Yahia, E.M.; Golding, J.B.; Hajivand, S.; Dastjerdy, A.M. Jamun (Syzygium cumini L. Skeels): A promising fruit for the future. Hortic. Rev. 2021, 48, 275–306. [Google Scholar]
- Singh, B.; Singh, J.P.; Kaur, A.; Singh, N. Insights into the phenolic compounds present in jambolan (Syzygium cumini) along with their health-promoting effects. Int. J. Food Sci. Technol. 2018, 53, 2431–2447. [Google Scholar] [CrossRef]
- Rodrigo, R.; Miranda, A.; Vergara, L. Modulation of endogenous antioxidant system by wine polyphenols in human disease. Clin. Chim. Acta 2011, 412, 410–424. [Google Scholar] [CrossRef]
- Bensalem, J.; Dal-Pan, A.; Gillard, E.; Calon, F.; Pallet, V. Protective effects of berry polyphenols against age-related cognitive impairment. Nutr. Aging 2015, 3, 89–106. [Google Scholar] [CrossRef]
- Hajipour, S.; Sarkaki, A.; Farbood, Y.; Eidi, A.; Mortazavi, P.; Valizadeh, Z. Effect of gallic acid on dementia type of Alzheimer disease in rats: Electrophysiological and histological studies. Basic Clin. Neurosci. 2016, 7, 97–106. [Google Scholar] [CrossRef]
- Klotz, K.; Weistenhöfer, W.; Neff, F.; Hartwig, A.; van Thriel, C.; Drexler, H. The health effects of aluminum exposure. Dtsch. Ärzteblatt Int. 2017, 114, 653–659. [Google Scholar] [CrossRef] [PubMed]
- Walton, J.R. Evidence that Ingested Aluminum additives contained in processed foods and alum-treated drinking water are a major risk factor for Alzheimer’s Disease. Curr. Inorg. Chem. (Discontin.) 2012, 2, 19–39. [Google Scholar] [CrossRef]
- Krewski, D.; Yokel, R.A.; Nieboer, E.; Borchelt, D.; Cohen, J.; Harry, J.; Kacew, S.; Lindsay, J.; Mahfouz, A.M.; Rondeau, V. Human health risk assessment for aluminium, aluminium oxide, and aluminium hydroxide. J. Toxicol. Environ. Health Part B 2007, 10, 1–269. [Google Scholar] [CrossRef] [PubMed]
- Doungue, H.T.; Kengne, A.P.N.; Kuate, D. Neuroprotective effect and antioxidant activity of Passiflora edulis fruit flavonoid fraction, aqueous extract, and juice in aluminum chloride-induced Alzheimer’s disease rats. Nutrire 2018, 43, 23. [Google Scholar] [CrossRef]
- Gulya, K.; Rakonczay, Z.; Kasa, P. Cholinotoxic effects of aluminum in rat brain. J. Neurochem. 1990, 54, 1020–1026. [Google Scholar] [CrossRef]
- Lukiw, W.J.; LeBlanc, H.J.; Carver, L.A.; McLachlan, D.R.; Bazan, N.G. Run-on gene transcription in human neocortical nuclei: Inhibition by nanomolar aluminum and implications for neurodegenerative disease. J. Mol. Neurosci. 1998, 11, 67–78. [Google Scholar] [CrossRef]
- Kawahara, M.; Kato-Negishi, M. Link between aluminum and the pathogenesis of Alzheimer’s disease: The integration of the aluminum and amyloid cascade hypotheses. Int. J. Alzheimer’s Dis. 2011, 2011, 276393. [Google Scholar] [CrossRef]
- Fish, P.V.; Steadman, D.; Bayle, E.D.; Whiting, P. New approaches for the treatment of Alzheimer’s disease. Bioorg. Med. Chem. Lett. 2019, 29, 125–133. [Google Scholar] [CrossRef]
- Dubois, B.; Hampel, H.; Feldman, H.H.; Scheltens, P.; Aisen, P.; Andrieu, S.; Bakardjian, H.; Benali, H.; Bertram, L.; Blennow, K.; et al. Preclinical Alzheimer’s disease: Definition, natural history, and diagnostic criteria. Alzheimer’s Dement. 2016, 12, 292–323. [Google Scholar] [CrossRef]
- Lu, C.-T.; Zhao, Y.-Z.; Wong, H.L.; Cai, J.; Peng, L.; Tian, X.-Q. Current approaches to enhance CNS delivery of drugs across the brain barriers. Int. J. Nanomed. 2014, 9, 2241–2257. [Google Scholar] [CrossRef]
- Kahkeshani, N.; Farzaei, F.; Fotouhi, M.; Alavi, S.S.; Bahramsoltani, R.; Naseri, R.; Momtaz, S.; Abbasabadi, Z.; Rahimi, R.; Farzaei, M.H.; et al. Pharmacological effects of gallic acid in health and diseases: A mechanistic review. Iran. J. Basic Med. Sci. 2019, 22, 225–237. [Google Scholar] [PubMed]
- Ogunlade, B.; Adelakun, S.; Agie, J. Nutritional supplementation of gallic acid ameliorates Alzheimer-type hippocampal neurodegeneration and cognitive impairment induced by aluminum chloride exposure in adult Wistar rats. Drug Chem. Toxicol. 2022, 45, 651–662. [Google Scholar] [CrossRef] [PubMed]
- Reeves, P.G.; Nielsen, F.H.; Fahey, G.C., Jr. AIN-93 Purified Diets for Laboratory Rodents: Final Report of the American Institute of Nutrition Ad Hoc Writing Committee on the Reformulation of the AIN-76A Rodent Diet; Oxford University Press: Oxford, UK, 1993. [Google Scholar]
- Singh, J.P.; Kaur, A.; Singh, N.; Nim, L.; Shevkani, K.; Kaur, H.; Arora, D.S. In vitro antioxidant and antimicrobial properties of jambolan (Syzygium cumini) fruit polyphenols. LWT-Food Sci. Technol. 2016, 65, 1025–1030. [Google Scholar] [CrossRef]
- Tarola, A.M.; Van de Velde, F.; Salvagni, L.; Preti, R. Determination of phenolic compounds in strawberries (Fragaria ananassa Duch) by high performance liquid chromatography with diode array detection. Food Anal. Methods 2013, 6, 227–237. [Google Scholar] [CrossRef]
- Zaher, M.F.; Bendary, M.A.; Abd El-Aziz, G.S.; Ali, A.S. Potential Protective Role of Thymoquinone on Experimentally-Induced Alzheimer Rats; King Abdulaziz University: Jeddah, Saudi Arabia, 2020. [Google Scholar]
- Yassin, E.M.; El-Moslemany, A.M. The Protective Effect of The Methanolic Extract of Syzgium cumini L Fruit on Kidney and Testes Tissue Damages Induced by Carbon Tetrachloride. Egypt. J. Food Sci. 2018, 46, 153–163. [Google Scholar]
- Carageorgiou, H.; Sideris, A.C.; Messari, I.; Liakou, C.I.; Tsakiris, S. The effects of rivastigmine plus selegiline on brain acetylcholinesterase,(Na+, K+)-, Mg2+-ATPase activities, antioxidant status, and learning performance of aged rats. Neuropsychiatr. Dis. Treat. 2008, 4, 687–699. [Google Scholar] [CrossRef]
- Velazquez, R.; Ferreira, E.; Knowles, S.; Fux, C.; Rodin, A.; Winslow, W.; Oddo, S. Lifelong choline supplementation ameliorates Alzheimer’s disease pathology and associated cognitive deficits by attenuating microglia activation. Aging Cell 2019, 18, e13037. [Google Scholar] [CrossRef]
- Thippeswamy, A.H.; Rafiq, M.; shastry Viswantha, G.L.; Kavya, K.J.; Anturlikar, S.D.; Patki, P.S. Evaluation of Bacopa monniera for its synergistic activity with rivastigmine in reversing aluminum-induced memory loss and learning deficit in rats. J. Acupunct. Meridian Stud. 2013, 6, 208–213. [Google Scholar] [CrossRef]
- Sasa, S.; Blank, C.L. Determination of serotonin and dopamine in mouse brain tissue by high performance liquid chromatography with electrochemical detection. Anal. Chem. 1977, 49, 354–359. [Google Scholar] [CrossRef] [PubMed]
- Cheney, D.L.; Lehmann, J.; Cosi, C.; Wood, P.L. Determination of acetylcholine dynamics. In Drugs as Tools in Neurotransmitter Research; Humana Press: Totowa, NJ, USA, 1989; pp. 443–495. [Google Scholar]
- Borish, L.; Rosenbaum, R.; Albury, L.; Clark, S. Activation of neutrophils by recombinant interleukin 6. Cell. Immunol. 1989, 121, 280–289. [Google Scholar] [CrossRef] [PubMed]
- Bergmeyer, H.; Herder, M.; Ref, R. International federation of clinical chemistry (IFCC). J. Clin. Chem. Clin. Biochem. 1986, 24, 497–510. [Google Scholar] [PubMed]
- Nandi, A.; Chatterjee, I. Assay of superoxide dismutase activity in animal tissues. J. Biosci. 1988, 13, 305–315. [Google Scholar] [CrossRef]
- Uchiyama, M.; Mihara, M. Determination of malonaldehyde precursor in tissues by thiobarbituric acid test. Anal. Biochem. 1978, 86, 271–278. [Google Scholar] [CrossRef]
- Giustarini, D.; Rossi, R.; Milzani, A.; Dalle-Donne, I. Nitrite and nitrate measurement by Griess reagent in human plasma: Evaluation of interferences and standardization. Methods Enzymol. 2008, 440, 361–380. [Google Scholar]
- Grafström, G.; Nittby, H.; Brun, A.; Malmgren, L.; Persson, B.R.; Salford, L.G.; Eberhardt, J. Histopathological examinations of rat brains after long-term exposure to GSM-900 mobile phone radiation. Brain Res. Bull. 2008, 77, 257–263. [Google Scholar] [CrossRef]
- Livak, K.J.; Schmittgen, T.D. Analysis of relative gene expression data using real-time quantitative PCR and the 2− ΔΔCT method. Methods 2001, 25, 402–408. [Google Scholar] [CrossRef]
- Mohamed, A.B.; Mohamed, A.Z.; Aly, S. Effect of Thymoquinone against Aluminum Chloride-Induced Alzheimer-Like Model in Rats: A Neurophysiological and Behavioral Study. Med. J. Cairo Univ. 2020, 88, 355–365. [Google Scholar] [CrossRef]
- Ahmed, R.; Tariq, M.; Hussain, M.; Andleeb, A.; Masoud, M.S.; Ali, I.; Mraiche, F.; Hasan, A. Phenolic contents-based assessment of therapeutic potential of Syzygium cumini leaves extract. PLoS ONE 2019, 14, e0221318. [Google Scholar] [CrossRef]
- Rajan, M.; Guedes, T.J.F.L.; Barbosa, P.F.; Araujoa, H.C.S.; Narain, N. Development on chemical characteristics including the bioactive compounds and antioxidant activity during maturation of jambolan (Syzygium cuminii L.) fruit. J. Food Meas. Charact. 2023, 17, 2247–2260. [Google Scholar] [CrossRef]
- Brusamarello, B.; da Silva, J.C.C.; de Morais Sousa, K.; Guarneri, G.A. Bearing fault detection in three-phase induction motors using support vector machine and fiber Bragg grating. IEEE Sens. J. 2022, 23, 4413–4421. [Google Scholar] [CrossRef]
- Naghizadeh, B.; Mansouri, M. Protective effects of gallic acid against streptozotocin-induced oxidative damage in rat striatum. Drug Res. 2015, 65, 515–520. [Google Scholar] [CrossRef]
- Prema, A.; Thenmozhi, A.J.; Manivasagam, T.; Essa, M.M.; Akbar, M.D.; Akbar, M. Fenugreek seed powder nullified aluminium chloride induced memory loss, biochemical changes, Aβ burden and apoptosis via regulating Akt/GSK3β signaling pathway. PLoS ONE 2016, 11, e0165955. [Google Scholar] [CrossRef]
- Mohapatra, D.; Kanungo, S.; Pradhan, S.P.; Jena, S.; Prusty, S.K.; Sahu, P.K. Captopril is more effective than Perindopril against aluminium chloride induced amyloidogenesis and AD like pathology. Heliyon 2022, 8, e08935. [Google Scholar] [CrossRef] [PubMed]
- Zeisel, S.H. Choline: An essential nutrient for humans. Nutrition 2000, 16, 669–671. [Google Scholar] [CrossRef] [PubMed]
- Pacelli, C.; Coluccia, A.; Grattagliano, I.; Cocco, T.; Petrosillo, G.; Paradies, G.; De Nitto, E.; Massaro, A.; Persichella, M.; Borracci, P.; et al. Dietary choline deprivation impairs rat brain mitochondrial function and behavioral phenotype. J. Nutr. 2010, 140, 1072–1079. [Google Scholar] [CrossRef]
- Jiang, X.; West, A.A.; Caudill, M.A. Maternal choline supplementation: A nutritional approach for improving offspring health? Trends Endocrinol. Metab. 2014, 25, 263–273. [Google Scholar] [CrossRef]
- Pohanka, M. Alpha7 nicotinic acetylcholine receptor is a target in pharmacology and toxicology. Int. J. Mol. Sci. 2012, 13, 2219–2238. [Google Scholar] [CrossRef] [PubMed]
- Zotova, E.; Holmes, C.; Johnston, D.; Neal, J.W.; Nicoll, J.A.; Boche, D. Microglial alterations in human Alzheimer’s disease following Aβ42 immunization. Neuropathol. Appl. Neurobiol. 2011, 37, 513–524. [Google Scholar] [CrossRef] [PubMed]
- Srividhya, R.; Gayathri, R.; Kalaiselvi, P. Impact of epigallo catechin-3-gallate on acetylcholine-acetylcholine esterase cycle in aged rat brain. Neurochem. Int. 2012, 60, 517–522. [Google Scholar] [CrossRef]
- Cheruku, S.P.; Ramalingayya, G.V.; Chamallamudi, M.R.; Biswas, S.; Nandakumar, K.; Nampoothiri, M.; Gourishetti, K.; Kumar, N. Catechin ameliorates doxorubicin-induced neuronal cytotoxicity in in vitro and episodic memory deficit in in vivo in Wistar rats. Cytotechnology 2018, 70, 245–259. [Google Scholar] [CrossRef]
- Jabir, N.R.; Khan, F.R.; Tabrez, S. Cholinesterase targeting by polyphenols: A therapeutic approach for the treatment of Alzheimer’s disease. CNS Neurosci. Ther. 2018, 24, 753–762. [Google Scholar] [CrossRef]
- Buraimoh, A.; Ojo, S. Effects of Aluminium chloride exposure on the body weight of Wistar rats. Ann. Biol. Res. 2014, 2, 66–73. [Google Scholar]
- Balgoon, M.J. Assessment of the protective effect of Lepidium sativum against aluminum-induced liver and kidney effects in albino rat. BioMed Res. Int. 2019, 2019, 4516730. [Google Scholar] [CrossRef] [PubMed]
- Lahouel, Z.; Kharoubi, O.; Boussadia, A.; Bekkouche, Z.; Aoues, A. Effect of Aluminium and Aqueous extract of Rosmarinus officinalis on rat Brain: Impact on Neurobehavioral and Histological study. J. Drug Deliv. Ther. 2020, 10, 179–187. [Google Scholar] [CrossRef]
- Bekhedda, H.; Menadi, N.; Demmouche, A.; Ghani, A.; Mai, H. Histological study of the effects of aluminum chloride exposure on the brain of wistar rats female. J. Drug Deliv. Ther. 2020, 10, 37–42. [Google Scholar] [CrossRef]
- Han, S.; Lemire, J.; Appanna, V.P.; Auger, C.; Castonguay, Z.; Appanna, V.D. How aluminum, an intracellular ROS generator promotes hepatic and neurological diseases: The metabolic tale. Cell Biol. Toxicol. 2013, 29, 75–84. [Google Scholar] [CrossRef] [PubMed]
- Rogge, M.M. The role of impaired mitochondrial lipid oxidation in obesity. Biol. Res. Nurs. 2009, 10, 356–373. [Google Scholar] [CrossRef] [PubMed]
- Kaushik, V.; Smith, S.T.; Mikobi, E.; Raji, M.A. Acetylcholinesterase inhibitors: Beneficial effects on comorbidities in patients with Alzheimer’s disease. Am. J. Alzheimer’s Dis. Other Dement.® 2018, 33, 73–85. [Google Scholar] [CrossRef] [PubMed]
- Nordberg, A.; Ballard, C.; Bullock, R.; Darreh-Shori, T.; Somogyi, M. A review of butyrylcholinesterase as a therapeutic target in the treatment of Alzheimer’s disease. Prim. Care Companion CNS Disord. 2013, 15, 26731. [Google Scholar] [CrossRef]
- Maya, S.; Prakash, T.; Madhu, K.D.; Goli, D. Multifaceted effects of aluminium in neurodegenerative diseases: A review. Biomed. Pharmacother. 2016, 83, 746–754. [Google Scholar] [CrossRef] [PubMed]
- Cohen, E.L.; Wurtman, R.J. Brain acetylcholine: Control by dietary choline. Science 1976, 191, 561–562. [Google Scholar] [CrossRef] [PubMed]
- Kaizer, R.R.; Corrêa, M.C.; Spanevello, R.M.; Morsch, V.M.; Mazzanti, C.M.; Gonçalves, J.F.; Schetinger, M.R. Acetylcholinesterase activation and enhanced lipid peroxidation after long-term exposure to low levels of aluminum on different mouse brain regions. J. Inorg. Biochem. 2005, 99, 1865–1870. [Google Scholar] [CrossRef]
- Jasiecki, J.; Wasąg, B. Butyrylcholinesterase protein ends in the pathogenesis of Alzheimer’s disease—Could BCHE genotyping be helpful in Alzheimer’s therapy? Biomolecules 2019, 9, 592. [Google Scholar] [CrossRef]
- Hajialyani, M.; Hosein Farzaei, M.; Echeverría, J.; Nabavi, S.M.; Uriarte, E.; Sobarzo-Sánchez, E. Hesperidin as a neuroprotective agent: A review of animal and clinical evidence. Molecules 2019, 24, 648. [Google Scholar] [CrossRef]
- Ju, Y.; Tam, K.Y. Pathological mechanisms and therapeutic strategies for Alzheimer’s disease. Neural Regen. Res. 2022, 17, 543–549. [Google Scholar]
- Strandwitz, P. Neurotransmitter modulation by the gut microbiota. Brain Res. 2018, 1693, 128–133. [Google Scholar] [CrossRef]
- Holland, N.; Robbins, T.W.; Rowe, J.B. The role of noradrenaline in cognition and cognitive disorders. Brain 2021, 144, 2243–2256. [Google Scholar] [CrossRef]
- Butzlaff, M.; Ponimaskin, E. The role of serotonin receptors in Alzheimer’s disease. Opera Med. Physiol. 2016, 1, 91–100. [Google Scholar]
- Ceyzériat, K.; Gloria, Y.; Tsartsalis, S.; Fossey, C.; Cailly, T.; Fabis, F.; Millet, P.; Tournier, B.B. Alterations in dopamine system and in its connectivity with serotonin in a rat model of Alzheimer’s disease. Brain Commun. 2021, 3, fcab029. [Google Scholar] [CrossRef] [PubMed]
- Pan, X.; Kaminga, A.C.; Wen, S.W.; Wu, X.; Acheampong, K.; Liu, A. Dopamine and dopamine receptors in Alzheimer’s disease: A systematic review and network meta-analysis. Front. Aging Neurosci. 2019, 11, 175. [Google Scholar] [CrossRef]
- Obafemi, T.O.; Owolabi, O.V.; Omiyale, B.O.; Afolabi, B.A.; Ojo, O.A.; Onasanya, A.; Adu, I.A.; Rotimi, D. Combination of donepezil and gallic acid improves antioxidant status and cholinesterases activity in aluminum chloride-induced neurotoxicity in Wistar rats. Metab. Brain Dis. 2021, 36, 2511–2519. [Google Scholar] [CrossRef]
- Aly, H.F.; Metwally, F.M.; Ahmed, H.H. Neuroprotective effects of dehydroepiandrosterone (DHEA) in rat model of Alzheimer’s disease. Acta Biochim. Pol. 2011, 58, 513–520. [Google Scholar] [CrossRef]
- Tsaluchidu, S.; Cocchi, M.; Tonello, L.; Puri, B.K. Fatty acids and oxidative stress in psychiatric disorders. BMC Psychiatry 2008, 8, S5. [Google Scholar] [CrossRef]
- Nehru, B.; Anand, P. Oxidative damage following chronic aluminium exposure in adult and pup rat brains. J. Trace Elem. Med. Biol. 2005, 19, 203–208. [Google Scholar] [CrossRef]
- Abdel-Salam, O.M.; Hamdy, S.M.; Seadawy, S.A.M.; Galal, A.F.; Abouelfadl, D.M.; Atrees, S.S. Effect of piracetam, vincamine, vinpocetine, and donepezil on oxidative stress and neurodegeneration induced by aluminum chloride in rats. Comp. Clin. Pathol. 2016, 25, 305–318. [Google Scholar] [CrossRef]
- Oyetayo, B.O.; Abolaji, A.O.; Fasae, K.D.; Aderibigbe, A. Ameliorative role of diets fortified with Curcumin in a Drosophila melanogaster model of aluminum chloride-induced neurotoxicity. J. Funct. Foods 2020, 71, 104035. [Google Scholar] [CrossRef]
- Džoljić, E.; Grabatinić, I.; Kostić, V. Why is nitric oxide important for our brain? Funct. Neurol. 2015, 30, 159–163. [Google Scholar] [CrossRef] [PubMed]
- Obafemi, T.O.; Olasehinde, O.R.; Olaoye, O.A.; Jaiyesimi, K.F.; Adewumi, F.D.; Adewale, O.B.; Afolabi, B.A. Metformin/Donepezil combination modulates brain antioxidant status and hippocampal endoplasmic reticulum stress in type 2 diabetic rats. J. Diabetes Metab. Disord. 2020, 19, 499–510. [Google Scholar] [CrossRef]
- Tseng, P.S.; Ande, C.; Moremen, K.W.; Crich, D. Influence of side chain conformation on the activity of glycosidase inhibitors. Angew. Chem. 2023, 135, e202217809. [Google Scholar] [CrossRef]
- Rajasekaran, P.; Ande, C.; Vankar, Y.D. Synthesis of (5, 6 & 6, 6)-oxa-oxa annulated sugars as glycosidase inhibitors from 2-formyl galactal using iodocyclization as a key step. Arkivoc 2022, 2022, 5–23. [Google Scholar]
- Chennaiah, A.; Bhowmick, S.; Vankar, Y.D. Conversion of glycals into vicinal-1, 2-diazides and 1, 2-(or 2, 1)-azidoacetates using hypervalent iodine reagents and Me3SiN3. Application in the synthesis of N-glycopeptides, pseudo-trisaccharides and an iminosugar. RSC Adv. 2017, 7, 41755–41762. [Google Scholar] [CrossRef]
- Parekh, K.D.; Dash, R.P.; Pandya, A.N.; Vasu, K.K.; Nivsarkar, M. Implication of novel bis-imidazopyridines for management of Alzheimer’s disease and establishment of its role on protein phosphatase 2A activity in brain. J. Pharm. Pharmacol. 2013, 65, 1785–1795. [Google Scholar] [CrossRef] [PubMed]
- Petrovic, S.; Arsic, A.; Ristic-Medic, D.; Cvetkovic, Z.; Vucic, V. Lipid peroxidation and antioxidant supplementation in neurodegenerative diseases: A review of human studies. Antioxidants 2020, 9, 1128. [Google Scholar] [CrossRef] [PubMed]
- Li, Q.; Wang, J.; Li, Y.; Xu, X. Neuroprotective effects of salidroside administration in a mouse model of Alzheimer’s disease. Mol. Med. Rep. 2018, 17, 7287–7292. [Google Scholar] [CrossRef]
- Kong, D.; Yan, Y.; He, X.-Y.; Yang, H.; Liang, B.; Wang, J.; He, Y.; Ding, Y.; Yu, H. Effects of resveratrol on the mechanisms of antioxidants and estrogen in Alzheimer’s disease. BioMed Res. Int. 2019, 2019, 8983752. [Google Scholar] [CrossRef]
- Nabila, M.R. Effect of physalis and choline on lipid profile and antioxidant activity in hepatic toxicity rats. Aust. J. Basic Appl. Sci. 2012, 6, 654–660. [Google Scholar]
- Shi, B.; Hu, X.; Jin, M.; Xia, M.; Zhao, M.; Jiao, L.; Sun, P.; Zhou, Q. Dietary choline improves growth performance, antioxidant ability and reduces lipid metabolites in practical diet for juvenile Pacific white shrimp, Litopenaeus vannamei. Aquac. Nutr. 2021, 27, 39–48. [Google Scholar] [CrossRef]
- Chan, P.; Cheng, J.-T.; Tsai, J.-C.; Lien, G.-S.; Chen, F.-C.; Kao, P.-F.; Liu, J.-C.; Chen, Y.-J.; Hsieh, M.-H. Effect of catechin on the activity and gene expression of superoxide dismutase in cultured rat brain astrocytes. Neurosci. Lett. 2002, 328, 281–284. [Google Scholar] [CrossRef]
- Yeh, C.-T.; Yen, G.-C. Effects of phenolic acids on human phenolsulfotransferases in relation to their antioxidant activity. J. Agric. Food Chem. 2003, 51, 1474–1479. [Google Scholar] [CrossRef]
- Song, F.; Li, H.; Sun, J.; Wang, S. Protective effects of cinnamic acid and cinnamic aldehyde on isoproterenol-induced acute myocardial ischemia in rats. J. Ethnopharmacol. 2013, 150, 125–130. [Google Scholar] [CrossRef]
- Liu, L.; Liu, Y.; Zhao, J.; Xing, X.; Zhang, C.; Meng, H. Neuroprotective effects of D-(-)-quinic acid on aluminum chloride-induced dementia in rats. Evid.-Based Complement. Altern. Med. 2020, 2020, 5602597. [Google Scholar] [CrossRef]
- Shunan, D.; Yu, M.; Guan, H.; Zhou, Y. Neuroprotective effect of Betalain against AlCl3-induced Alzheimer’s disease in Sprague Dawley Rats via putative modulation of oxidative stress and nuclear factor kappa B (NF-κB) signaling pathway. Biomed. Pharmacother. 2021, 137, 111369. [Google Scholar] [CrossRef]
- Kim, J.; Wie, M.-B.; Ahn, M.; Tanaka, A.; Matsuda, H.; Shin, T. Benefits of hesperidin in central nervous system disorders: A review. Anat. Cell Biol. 2019, 52, 369–377. [Google Scholar] [CrossRef] [PubMed]
- Cheng, X.-J.; Gu, J.-X.; Pang, Y.-P.; Liu, J.; Xu, T.; Li, X.-R.; Hua, Y.-Z.; Newell, K.A.; Huang, X.-F.; Yu, Y.; et al. Tacrine–hydrogen sulfide donor hybrid ameliorates cognitive impairment in the aluminum chloride mouse model of Alzheimer’s disease. ACS Chem. Neurosci. 2019, 10, 3500–3509. [Google Scholar] [CrossRef]
- Raj M., H.; Ghosh, D.; Banerjee, R.; Salimath, B.P. Suppression of VEGF-induced angiogenesis and tumor growth by Eugenia jambolana, Musa paradisiaca, and Coccinia indica extracts. Pharm. Biol. 2017, 55, 1489–1499. [Google Scholar] [CrossRef]
- Wang, W.-Y.; Tan, M.-S.; Yu, J.-T.; Tan, L. Role of pro-inflammatory cytokines released from microglia in Alzheimer’s disease. Ann. Transl. Med. 2015, 3, 136. [Google Scholar] [PubMed]
- Su, F.; Bai, F.; Zhang, Z. Inflammatory cytokines and Alzheimer’s disease: A review from the perspective of genetic polymorphisms. Neurosci. Bull. 2016, 32, 469–480. [Google Scholar] [CrossRef] [PubMed]
- Kinney, J.W.; Bemiller, S.M.; Murtishaw, A.S.; Leisgang, A.M.; Salazar, A.M.; Lamb, B.T. Inflammation as a central mechanism in Alzheimer’s disease. Alzheimer’s Dement. Transl. Res. Clin. Interv. 2018, 4, 575–590. [Google Scholar] [CrossRef]
- Milnerowicz, H.; Ściskalska, M.; Dul, M. Pro-inflammatory effects of metals in persons and animals exposed to tobacco smoke. J. Trace Elem. Med. Biol. 2015, 29, 1–10. [Google Scholar] [CrossRef] [PubMed]
- Lee, S.; Kim, H.-B.; Hwang, E.-S.; Kim, E.-S.; Kim, S.-S.; Jeon, T.-D.; Song, M.-C.; Lee, J.-S.; Chung, M.-C.; Maeng, S.; et al. Antidepressant-like effects of p-coumaric acid on LPS-induced depressive and inflammatory changes in rats. Exp. Neurobiol. 2018, 27, 189–199. [Google Scholar] [CrossRef] [PubMed]
- Mellott, T.J.; Huleatt, O.M.; Shade, B.N.; Pender, S.M.; Liu, Y.B.; Slack, B.E.; Blusztajn, J.K. Perinatal choline supplementation reduces amyloidosis and increases choline acetyltransferase expression in the hippocampus of the APPswePS1dE9 Alzheimer’s disease model mice. PLoS ONE 2017, 12, e0170450. [Google Scholar]
- Zeisel, S.H. Choline, other methyl-donors and epigenetics. Nutrients 2017, 9, 445. [Google Scholar] [CrossRef]
- Liaquat, L.; Sadir, S.; Batool, Z.; Tabassum, S.; Shahzad, S.; Afzal, A.; Haider, S. Acute aluminum chloride toxicity revisited: Study on DNA damage and histopathological, biochemical and neurochemical alterations in rat brain. Life Sci. 2019, 217, 202–211. [Google Scholar] [CrossRef]
- Al-Hazmi, M.A.; Rawi, S.M.; Hamza, R.Z. Biochemical, histological, and neuro-physiological effects of long-term aluminum chloride exposure in rats. Metab. Brain Dis. 2021, 36, 429–436. [Google Scholar] [CrossRef]
- Kumaran, D.; Hassabis, D.; McClelland, J.L. What learning systems do intelligent agents need? Complementary learning systems theory updated. Trends Cogn. Sci. 2016, 20, 512–534. [Google Scholar] [CrossRef]
- Buraimoh, A.; Ojo, S.; Hambolu, J.; Adebisi, S. Effects of oral administration of aluminium chloride on the histology of the hippocampus of wistar rats. Curr. Res. J. Biol. Sci. 2011, 3, 509–515. [Google Scholar]
- Buraimoh, A.; Ojo, S. Effects of aluminium chloride exposure on the histology of the stomach of wistar rats. Int. J. Pharm. Bio Sci. 2012, 2, 266–276. [Google Scholar]
- Ekundayo, B.E.; Obafemi, T.O.; Afolabi, B.A.; Adewale, O.B.; Onasanya, A.; Osukoya, O.A.; Falode, J.A.; Akintayo, C.; Adu, I.A. Gallic acid and hesperidin elevate neurotransmitters level and protect against oxidative stress, inflammation and apoptosis in aluminum chloride-induced Alzheimer’s disease in rats. Pharmacol. Res.-Mod. Chin. Med. 2022, 5, 100193. [Google Scholar] [CrossRef]
- Zou, J.; Cai, P.-S.; Xiong, C.-M.; Ruan, J.-L. Neuroprotective effect of peptides extracted from walnut (Juglans Sigilata Dode) proteins on Aβ25-35-induced memory impairment in mice. J. Huazhong Univ. Sci. Technol. [Med. Sci.] 2016, 36, 21–30. [Google Scholar] [CrossRef] [PubMed]
- Kumar, E.; Mastan, S.; Reddy, K.R.; Reddy, G.A.; Raghunandan, N.; Chaitanya, G. Anti-arthritic property of the methanolic extract of Syzygium cumini seeds. Int. J. Integr. Biol. 2008, 4, 55–61. [Google Scholar]
- Liu, L.; Lu, Y.; Bi, X.; Xu, M.; Yu, X.; Xue, R.; He, X.; Zang, W. Choline ameliorates cardiovascular damage by improving vagal activity and inhibiting the inflammatory response in spontaneously hypertensive rats. Sci. Rep. 2017, 7, 42553. [Google Scholar] [CrossRef] [PubMed]
- McMaster, W.G.; Kirabo, A.; Madhur, M.S.; Harrison, D.G. Inflammation, immunity, and hypertensive end-organ damage. Circ. Res. 2015, 116, 1022–1033. [Google Scholar] [CrossRef] [PubMed]




| Compound | Concentration (μg/g) |
|---|---|
| Gallic | 838.878 |
| Protocatechuic | 6.126 |
| p-hydroxybenzoic | 29.136 |
| Gentisic | ND |
| Cateachin | 73.115 |
| Chlorogenic | ND |
| Caffeic | ND |
| Syringic | 15.381 |
| Vanillic | 8.321 |
| Ferulic | 11.612 |
| Sinapic | ND |
| Rutin | ND |
| p-coumaric | ND |
| Apigenin-7-glucoside | ND |
| Rosmarinic | ND |
| Cinnamic | 20.253 |
| Qurecetin | ND |
| Apigenin | ND |
| Kaempferol | ND |
| Chrysin | 7.682 |
| Groups | Time (min) |
|---|---|
| Negative control | 0.032 ± 0.004 c |
| Positive control | 0.94 ± 0.09 a |
| Fruit extract | 0.27 ± 0.04 b |
| Rivastgmine | 0.028 ± 0.04 c |
| Choline | 0.32 ± 0.08 b |
| Fruit extract + choline | 0.13 ± 0.03 c |
| BWG (%) | FI (g)/d | FER | Brain Weight% | |
|---|---|---|---|---|
| Negative control | 53.27 ± 1.98 a | 202.67 ± 6.81 a | 0.44 ± 0.02 a | 0.75 ± 0.01 b |
| Positive control | 18.97 ± 1.31 d | 94.97 ± 6.11 d | 0.25 ± 0.01d | 0.76 ± 0.02 b |
| Fruit extract | 32.37 ± 9.93 c | 164.33 ± 4.04 b,c | 0.37 ± 0.01 b | 0.76 ± 0.02 b |
| Rivastgmine | 43.57 ± 0.74 b | 170.67 ± 4.62 b | 0.39 ± 0.01b | 0.81 ± 0.02 a |
| Choline | 31 ± 1 c | 160 ± 8 c | 0.30 ± 0.01 c | 0.74 ± 0.01 b |
| Fruit extract + choline | 50.57 ± 1.25 a,b | 199.67 ± 1.53a | 0.43 ± 0.02 a | 0.76 ± 0.01 b |
| Acetylcholine (pg/mL) | Serotonin (pg/mL) | Dopamine (ng/mL) | |
|---|---|---|---|
| Negative control | 37.18 ± 4.82 a | 51.9 ± 3.08 a | 2.34 ± 0.11 a |
| Positive control | 9.8 ± 1.02 e | 17.83 ± 2.38 d | 0.81 ± 0.09 e |
| Fruit extract | 20.9 ± 2.14 c | 31.5 ± 3.10 c | 1.39 ± 0.06 c |
| Rivastgmine | 27.68 ± 1.86 b | 41.97 ± 2.78 b | 1.87 ± 0.09 b |
| Choline | 14.78 ± 2.39 d | 22.5 ± 2.81 d | 1.11 ± 0.12 d |
| Fruit extract + choline | 26.03 ± 4.75 b | 39.97 ± 4.64 b | 1.81 ± 0.21 b |
| IL6 (Pg/mL) | TNF (Pg/mL) | HCY (pmol/mL) | Acetylcholine Esterase (mU/mL) | |
|---|---|---|---|---|
| Negative control | 1.18 ± 0.05 e | 32.43 ± 3.55 e | 73.73 ± 8.49 d | 11.48 ± 2.29 d |
| Positive control | 2.49 ± 0.13 a | 118.07 ± 6.41 a | 218.37 ± 10.69 a | 60.27 ± 6.03 a |
| Fruit extract | 1.69 ± 0.09 c | 70.07 ± 10.14 c | 170.63 ± 7.02 b | 30.13 ± 3.39 c |
| Rivastgmine | 1.44 ± 0.09 d | 54.53 ± 5.42 d | 118.58 ± 9.94 c | 15.58 ± 1.57 d |
| Choline | 1.89 ± 0.11 b | 95.6 ± 6.69 b | 183.88 ± 7.66 b | 42.5 ± 5.27 b |
| Fruit extract + choline | 1.46 ± 0.13 d | 56.23 ± 9.59 d | 120.58 ± 18.62 c | 16.03 ± 3.09 d |
| Groups | MDA (nmol/g) | NO (µmol/g) | CAT (U/g) | SOD (U/g) |
|---|---|---|---|---|
| Negative control | 14.4 ± 1.96 d | 1.29 ± 0.14 e | 2.68 ± 0.12 a | 214.8 ± 8.09 a |
| Positive control | 55.9 ± 5.49 a | 4.15 ± 0.20 a | 0.94 ± 0.09 d | 75.88 ± 4.33 e |
| Fruit extract | 27.38 ± 3.89 c | 3.03 ± 0.31 c | 1.57 ± 0.25 c | 117.7 ± 4.05 c |
| Rivastgmine | 20.63 ± 3.79 c,d | 2.23 ± 0.55 d | 2.15 ± 0.30 b | 156.95 ± 8.80 b |
| Choline | 36.78 ± 6.72 b | 3.54 ± 0.22 b | 1.30 ± 0.09 c | 91.1 ± 3.44 d |
| Fruit extract + choline | 22 ± 3.55 c | 2.35 ± 0.42 d | 2.19 ± 0.13 b | 162.38 ± 7.49 b |
Disclaimer/Publisher’s Note: The statements, opinions and data contained in all publications are solely those of the individual author(s) and contributor(s) and not of MDPI and/or the editor(s). MDPI and/or the editor(s) disclaim responsibility for any injury to people or property resulting from any ideas, methods, instructions or products referred to in the content. |
© 2023 by the authors. Licensee MDPI, Basel, Switzerland. This article is an open access article distributed under the terms and conditions of the Creative Commons Attribution (CC BY) license (https://creativecommons.org/licenses/by/4.0/).
Share and Cite
Hawash, Z.A.S.; Yassien, E.M.; Alotaibi, B.S.; El-Moslemany, A.M.; Shukry, M. Assessment of Anti-Alzheimer Pursuit of Jambolan Fruit Extract and/or Choline against AlCl3 Toxicity in Rats. Toxics 2023, 11, 509. https://doi.org/10.3390/toxics11060509
Hawash ZAS, Yassien EM, Alotaibi BS, El-Moslemany AM, Shukry M. Assessment of Anti-Alzheimer Pursuit of Jambolan Fruit Extract and/or Choline against AlCl3 Toxicity in Rats. Toxics. 2023; 11(6):509. https://doi.org/10.3390/toxics11060509
Chicago/Turabian StyleHawash, Zeinab Abdel Salam, Ensaf M. Yassien, Badriyah S. Alotaibi, Amira M. El-Moslemany, and Mustafa Shukry. 2023. "Assessment of Anti-Alzheimer Pursuit of Jambolan Fruit Extract and/or Choline against AlCl3 Toxicity in Rats" Toxics 11, no. 6: 509. https://doi.org/10.3390/toxics11060509
APA StyleHawash, Z. A. S., Yassien, E. M., Alotaibi, B. S., El-Moslemany, A. M., & Shukry, M. (2023). Assessment of Anti-Alzheimer Pursuit of Jambolan Fruit Extract and/or Choline against AlCl3 Toxicity in Rats. Toxics, 11(6), 509. https://doi.org/10.3390/toxics11060509

